Abstract
Differentiation of naive CD4+ T cells (Th0) into Th1 or Th2 cells determines whether antigen will raise a cellular or a humoral immune response. The maturation pathway chosen by the Th0 cell is often decisive for the outcome of disease and depends among others on the (co-)stimulatory attributes of the APC and the nature and abundance of cytokines provided by the APC and the microenvironment. In this study, we used macrophages, loaded ex vivo with antigen, for inciting Th0 activation and differentiation in vivo. The macrophages were derived from a clonal, immortalized population that both functionally and phenotypically expressed features characteristic of mature macrophages. Injection into syngeneic mice of IFN-γ-treated, Ag-loaded macrophages induced a primary T cell response, indicated by the occurrence of a proliferative response in vitro after restimulation of splenocytes with Ag. Analysis of the accompanying cytokine secretion revealed high numbers of IFN-γ-producing Th1 cells and only a few IL-4-secreting Th2 cells. This dominance of Th1 cells had functional implications, reflected in the high titer of Th1 cell-dependent IgG2 Abs and the absence of IgG1, characteristic of humoral immunity. Moreover, administration of Ag-loaded macrophages to mice with an ongoing Th1/Th2 response resulted in a complete suppression of IgG1 production, whereas IgG2 levels remained unaffected. These results demonstrate that macrophages exert APC activity in the organism, strongly skew primary responses to cellular immunity, and in addition suppress an already generated Th2-dependent humoral response, thus characterizing these cells as Th1-oriented APC.
After TCR ligation, Th0 cells differentiate into distinct subsets characterized by their functions and cytokine production profiles (1). Thus, Th1 lymphocytes, characterized by the production of IL-2, IFN-γ, and TNF-β, contribute to cellular immunity, whereas Th2 lymphocytes, mainly involved in humoral immunity, produce IL-4, IL-5, and IL-10. Numerous examples of the consequences on disease outcome of skewed Th1 to Th2 ratios have been reported. Polarized Th2 responses have been implicated in pathologic situations, such as after Leishmania major (2, 3), human leprosy (4), or mycotic infections (5). The contribution of Th1 cells relative to Th2 cells to a developing autoimmune response determines to a large extent whether or not this response will lead to a clinical disease (6, 7, 8). Also the chronic autoimmune graft-vs-host disease can be prevented by switching a Th2 to a Th1 response by administration of IFN-γ at the time of cellular transfer (9). Moreover, the presence of activated tumor-infiltrating lymphocytes, characterized by a predominant type 2 cytokine production, has been linked to the inefficiency of the immune response to a human glioma (10). This lack of efficiency of type 2 cytokines can be attributed to the fact that they do not promote a tumoricidal immune response and therefore do not counteract the growth of the tumor.
Clearly, parameters that control Th1/Th2 development may play a crucial role in the susceptibility or resistance to a particular disease, especially because individual Th0 cells appear to be capable of differentiating into either T cell subset. Besides parameters such as MHC haplotype (11), dose and nature of the Ag (12, 13), and the route of Ag administration (14), the availability of IFN-γ and IL-12 as opposed to IL-4 is decisive for the maturation to Th1 or Th2, both in vitro and in vivo (15). Initial sources of IL-12 and IFN-γ are mainly cells that are part of the innate immune system, namely macrophages, dendritic cells, and NK cells. The cells responsible for the initial production of IL-4 are less well defined and apparently include the naive T cells themselves, induced by IL-6 (16). Because it is likely that most in vivo responses do not take place in a milieu with sufficient levels of cytokines, professional APCs may steer Th0 maturation to Th1 or Th2 by providing, besides the ligands for the TCR and costimulatory receptors, also the necessary cytokines. Accordingly, dendritic cells seem to induce preferentially the development of Th1 cells (17). However, it has also been described that dendritic cells regulate both cellular and humoral immune responses (18). B cells, on the other hand, seem to support the induction and expansion of Th2 cells (19). Finally, the involvement of macrophages in initiating cognate immunity remains elusive. Although macrophages are dedicated APCs in vitro, they exert this activity only after treatment with IFN-γ and appear to be mainly involved in inflammation. However, macrophages are an important source of IL-12 and might favor the development of Th1 cells (20). This is supported by the observation that macrophage depletion in mice shifts an expected Th1 response to a Th2 response (21). This leaves open the question of whether the involvement of macrophages is limited to that of a source of environmental IL-12 or, on the contrary, also includes presentation of Ag in the role of dedicated APC. In this report, we approached this question by injecting clonal macrophages, appropriately loaded in vitro with soluble protein, into syngeneic mice and by analyzing the specific T cell response raised in vivo. Taken together, our data indicate that macrophages efficiently elicit cellular immunity, selectively suppress an already generated Th2-dependent humoral response, and hence behave in the organism as a Th1-oriented, dedicated APC.
Materials and Methods
Animals
Female C57BL/6 (H-2b) and BALB/c (H-2d) mice were purchased from the Broekman Instituut (Eindhoven, The Netherlands). All mice were 9 to 14 wk old at the time of the experiments.
Immortalization of macrophages
Macrophages were immortalized as described (22). Briefly, primary cultures from spleens were plated at a density of 106 cells/ml. The cells were grown in RPMI 1640 (Life Technologies, Paisley, U.K.), supplemented with 10% FBS, l-glutamine (2 mM), penicillin (100 U/ml), streptomycin (100 μg/ml), sodium pyruvate (1 mM), and 2-ME (5 × 10−5 M). One day after seeding, cells were infected with VN11 retrovirus released by N11 producer cells (provided by Dr. P. Ricciardi-Castagnoli, CNR Center of Cytopharmacology, Milan, Italy). Briefly, 0.5 ml of N11 fresh supernatant from a 24-h subconfluent culture was filtered on 0.22-μm-pore size filters (Costar, Cambridge, MA), diluted 1/1 with complete medium containing 10 μg/ml Polybrene (Sigma Chemical, St. Louis, MO), and added to the primary cultures for 1 h at 37°C. Once established, the cells were cloned by limiting dilution.
Immunofluorescence
The phenotype of the cell clones was determined by indirect immunofluorescence on live cells using a set of mAbs. Primary Abs were R-phycoerythrin-conjugated anti-Mac-1 (CD11b), anti-CD14, anti-CD18, anti-FcγRII (CD32), anti-CD71 (PharMingen, San Diego, CA), anti-Mac-2 (Cedarlane Laboratories, Hornby, Canada), anti-BM-8, anti-ER-MP58 (BMA Biochemicals, Augst, Switzerland), anti-F4/80, anti-CD40, biotinylated anti-I-Ab (Serotec, Oxford, U.K.), anti-B7-1 (CD80) and anti-B7-2 (CD86) (a gift of Dr. K. Thielemans, Medical School, Free University of Brussels, Brussels, Belgium). FITC-conjugated goat anti-rat IgG (Life Technologies) was used as a secondary Ab, except for detection of anti-B7-1 and biotinylated Abs, where FITC-conjugated goat anti-hamster (Sera-Lab, Crawley Down, U.K.) and streptavidin (Serotec), respectively, were used. Where mentioned, cells were pretreated for 16 h with 400 U/ml of murine rIFN-γ or with 10 μg/ml LPS. Analysis was performed using a FACSCalibur cytofluorometer (Becton Dickinson, Sunnyvale, CA).
Phagocytosis of erythrocytes
SRBC were opsonized by mixing 1 volume of fresh SRBC (10% suspension; Sigma) with an equal volume of appropriately diluted anti-SRBC antiserum (Sigma) for 30 min at room temperature. Then the erythrocytes were washed, plated on monolayers of macrophages at a ratio of 50:1, and incubated at 37°C for 1 h in RPMI 1640 supplemented with 10% FBS. After removal of free SRBC by medium exchange and lysis by osmotic shock, the cells were fixed and stained with May-Grünwald (E. Merck, Darmstadt, Germany) and Giemsa (BDH, Poole, U.K.), after which they were microscopically examined for ingestion of SRBC.
Phagocytosis of fluorescent microspheres
Fluorescent microspheres were purchased from Duke Scientific (Palo Alto, CA) and opsonized with goat anti-mouse Ig Abs. Serial dilutions of the microspheres were made in PBS, sonicated for 30 s, and added to 105 cells. After incubation for 1 h at 37°C, unbound microspheres were separated from cells by passage through a Percoll gradient. Cells containing ingested microspheres were detected and quantified by flow cytometry. To distinguish membrane binding from internalization, a negative control was included consisting of samples incubated at 4°C. This temperature prohibits active processes such as phagocytosis, but not membrane binding.
Cytokine determination
Macrophages were harvested from adherent cultures grown in tissue culture flasks using an enzyme-free cell dissociation buffer (Life Technologies) and plated at a cell density of 3 × 104/200 μl in flat-bottom 96-microwell Falcon plates (Becton Dickinson). After 24 h, cells were stimulated with 20 μg/ml LPS or 200 U/ml IFN-γ for 2 more days, and the culture fluid was collected.
IL-1 and IL-6 levels were quantified by measuring the proliferation of cell lines D10(N4)M (23) and 7TD1 (24), respectively. TNF production was determined using the WEHI 164 clone 13 assay (25). IL-12 levels were determined by sandwich ELISA (BioSource International, Camarillo, CA), which detects both the heterodimeric IL-12 protein and the free p40 subunit.
T-HA proliferation assay
The CD4+ T cell clone T-HA, which is specific for hemagglutinin (HA)3 and is restricted to I-Ab, was developed in our laboratory by immunization of C57BL/6 mice with 10 μg of HA and 0.1 ml of Ribi adjuvant (Ribi Immunochem Research, Hamilton, MT), followed by immunization with 3 μg of HA 3 weeks later. Five days after this boost immunization, lymph nodes were isolated, and 3 × 107 cells were stimulated in vitro with 0.5 μg/ml HA in 25-cm2 culture flasks. On day 4, 10 U/ml murine IL-2 from PMA-stimulated EL4.IL-2 cells were added to the cultures. After two additional biweekly restimulations with 0.5 μg/ml HA and APC, a pool of optimally HA-reactive T lymphocytes was obtained. T-HA cells were maintained long term in vitro by biweekly restimulation in 25-cm2 culture flasks with 200 ng/ml HA and 7 × 107 syngeneic spleen cells from C57BL/6 mice (3000 rad γ-irradiated). On day 2, 30 IU/ml of human rIL-2 were added, after which T cells were further cultured and expanded by medium renewal and IL-2 addition every 4 days. The cytokine secretion profile of Ag-stimulated T-HA cells was typical of Th1 cells, namely, production of IL-2 and IFN-γ, and lack of IL-4.
The Ag HA is the major surface glycoprotein of influenza virus and was prepared by digestion of purified X47 virus (A/Victoria/3/75 (H3N2)) with bromelain (26), purified by ion exchange on a DEAE column (Pharmacia Biotech, Uppsala, Sweden), and revealed as a single band on a silver-stained SDS-PAGE. The HA preparations obtained were endotoxin free.
Mf4/4 macrophages were seeded in 96-well flat-bottom microtiter plates at a density of 2 × 104 cells/well. After 24 h, the indicated concentrations of HA were added in combination with IFN-γ (400 U/ml) or LPS (10 μg/ml), after which the cells were further cultured overnight. The following day, macrophages were treated with 50 μg/ml mitomycin C (Duchefa Biochemie, Haarlem, The Netherlands) for 90 min at 37°C and thoroughly washed; 1 × 104 T-HA T cells were added to each well together with 40 μM indomethacin (Sigma) and 1248 U/ml catalase (Sigma). After 72 h, 0.5 μCi/well of [3H]TdR (Amersham Life Science, Amersham, U.K.) was added for an additional 16-h culture. Cells were harvested on glass fiber filters, and the incorporated radioactivity was measured by liquid scintillation in a TopCount (Packard Instrument Co., Meriden, CT). Results are means of triplicate cultures.
Immunization and proliferative response of immunized spleen cells
Mice were immunized against HA by i.p. injection of 2.5 μg HA, dissolved in 200 μl of PBS or emulsified in 0.1 ml of Ribi adjuvant. Alternatively, mice were injected with Mf4/4 macrophages presenting HA-derived peptides. The latter were derived from Mf4/4 cultures maintained for 48 h in FBS-free medium supplemented with 10 mg/l insulin, 5.5 mg/l transferrin and 6.7 μg/l sodium selenite (ITS; Life Technologies), to which 400 U/ml IFN-γ and 1 μg/ml HA were added for the last 24 h. The treated cells were harvested, washed extensively with PBS to remove free proteins, and immediately injected. Repeated injections were given at biweekly intervals. Mice immunized with Ribi adjuvant received an emulsion of HA and 25 μg monophosphoryl lipid A (Ribi Immunochem Research) as adjuvant in the boost injection. Unless otherwise mentioned, experimental groups consisted of two animals. The proliferative response to HA of the immunized spleen cells was assayed in 96-well flat-bottom microtiter plates as described above. Briefly, the immunized mice were killed, their spleens were removed and the splenocytes were seeded at 2 × 105 cells/well. Unless otherwise mentioned, 1 μg/ml HA was added to the cultures. After 72 h, cell proliferation was measured by [3H]TdR incorporation. Immunization experiments were repeated at least once.
Cytokine assay
The frequency of Ag-induced T cells producing IFN-γ or IL-4 was determined with the enzyme-linked immunospot (ELISPOT) technique according to the supplier’s protocol (PharMingen). Groups of mice were immunized i.p. with HA-loaded macrophages, 2.5 μg of HA in PBS, 2.5 μg of HA emulsified in 0.1 ml of Ribi adjuvant or PBS as placebo, followed by a second injection after 2 wk. Fourteen days after immunization, 5 × 107 splenocytes were stimulated ex vivo with 1 μg/ml HA in 5 ml of complete medium for 24 h. Viable cells were recovered from the cultures by passage through a Histopaque 1077 density gradient (Sigma-Aldrich Co., Irvine, U.K.). They were washed, seeded in nitrocellulose bottomed 96-well Millititer HA plates (Millipore, Bedford, MA) at a density of 4 × 105 cells/well, and cultured for an additional 24 h. Anti-IFN-γ and anti-IL-4 capturing and biotinylated detection mAbs were purchased from PharMingen. Spots were visualized using avidin-peroxidase and 3-amino-9-ethylcarbazole (Sigma) and were microscopically counted. The frequency of cytokine-secreting cells was derived from the increment of number of spots detected with immunized vs placebo-treated splenocytes. No spots were detected in unstimulated cultures without HA.
Determination of anti-HA Ab titer and isotype by indirect ELISA
Blood samples were taken and sera prepared 14 days after the last immunization. The sera were serially diluted in Maxisorp 96-well plates (Nunc, Roskilde, Denmark) previously coated with HA by overnight incubation at 4°C with a 0.5 μg/ml stock solution of the Ag. Bound Ab was detected with goat anti-mouse isotype-specific Abs (anti-IgG, anti-IgG1, anti-IgG2a, anti-IgG2b, anti-IgM; Sigma) using alkaline phosphatase-conjugated rabbit anti-goat IgG as detecting Ab (Sigma). Serum samples were collected from two mice per group and analyzed individually.
Results
Phenotypic and functional characterization of immortalized macrophage clones
To determine whether macrophages were able to prime T cells in vivo, macrophages isolated from the spleen of C57BL/6 mice were immortalized. This provides the advantage over freshly isolated cells of an unlimited source of functionally and phenotypically homogeneous cell populations. Immortalization was conducted as described previously by infection of spleen cell suspensions with VN11 retrovirus (22). This resulted in the establishment of various cell lines exhibiting macrophage features. Among these, clone Mf4/4 is a good representative and was used throughout our additional experiments. Phenotypic analysis of Mf4/4 revealed the presence of BM-8, a macrophage marker, as well as of F4/80, Mac-1 (CD11b) and Mac-2, which are expressed only by mature macrophages (Fig. 1). The latter characteristic was confirmed by the absence of the immature macrophage marker ER-MP58. In addition, the cells expressed high levels of FcγRII (CD32) and CD14, both absent on dendritic cells (27), the transferrin receptor CD71, and the adhesion molecule CD18.
Mf4/4 cells express macrophage-specific differentiation Ags. Cell surface expression of the various differentiation Ags was assessed by indirect immunofluorescence (thick lines). The negative control was stained with the secondary Ab FITC-conjugated goat anti-rat IgG alone (thin lines).
Mf4/4 cells express macrophage-specific differentiation Ags. Cell surface expression of the various differentiation Ags was assessed by indirect immunofluorescence (thick lines). The negative control was stained with the secondary Ab FITC-conjugated goat anti-rat IgG alone (thin lines).
Functionally, Mf4/4 adhered strongly to plastic surfaces, a feature characteristic of macrophages, and exerted activities that are typical of macrophages, namely, sheep erythrocyte receptor- and FcγR-mediated phagocytosis of SRBCs (28) and opsonized fluorescent microspheres, respectively (data not shown), as well as secretion of IL-1, IL-6, IL-12, and TNF-α after treatment with LPS (Table I). These cytokines were not detectable in the culture fluid of cells stimulated with IFN-γ.
Mf4/4 cells secrete proinflammatory cytokines after stimulation with LPS, but not after IFN-γ treatmenta
| Stimulus . | Cytokine Secretion . | . | |
|---|---|---|---|
| . | Cytokine . | Concentration (ng/ml) . | |
| None | Il-1 | <0.001 | |
| IL-6 | <0.05 | ||
| IL-12 | <0.002 | ||
| TNF | <0.001 | ||
| LPS | IL-1 | 1 | |
| IL-6 | 30 | ||
| IL-12 | 0.8 | ||
| TNF | 40 | ||
| IFN-γ | IL-1 | <0.001 | |
| IL-6 | <0.05 | ||
| IL-12 | <0.002 | ||
| TNF | <0.001 | ||
| Stimulus . | Cytokine Secretion . | . | |
|---|---|---|---|
| . | Cytokine . | Concentration (ng/ml) . | |
| None | Il-1 | <0.001 | |
| IL-6 | <0.05 | ||
| IL-12 | <0.002 | ||
| TNF | <0.001 | ||
| LPS | IL-1 | 1 | |
| IL-6 | 30 | ||
| IL-12 | 0.8 | ||
| TNF | 40 | ||
| IFN-γ | IL-1 | <0.001 | |
| IL-6 | <0.05 | ||
| IL-12 | <0.002 | ||
| TNF | <0.001 | ||
Mf4/4 cells (105 cells/ml) were stimulated with LPS (20 μg/ml) or IFN-γ (200 U/ml) or left unstimulated. After 48 h, the culture supernatants were harvested and their cytokine content was assessed by bioassay (IL-1, IL-6, TNF) or ELISA (IL-12).
We also assessed the expression levels of the ligands necessary for T cell activation. Besides TCR ligation through MHC class II (I-A)-associated antigenic peptides, appropriate T cell activation requires interaction with costimulatory ligands, mainly B7-1 (CD80) and/or B7-2 (CD86) (29). Also the CD40/CD40 ligand interaction between APCs and T cells, respectively, plays a central role in Ag presentation and APC activation (30). Examination of the expression level of these markers on Mf4/4 cells revealed the constitutive expression of B7-1, B7-2 and CD40 (Fig. 2). Treatment with IFN-γ readily induced the expression of I-A, whereas the levels of the constitutively expressed markers B7-1, B7-2 and CD40 remained nearly constant. Stimulation with LPS resulted in a weak induction of I-A, but in a strong, 5-fold increase in CD40 expression. To verify whether the induction of an APC+ phenotype (I-A+, B7-1+, B7-2+, CD40+) by LPS, but especially by IFN-γ, had functional implications, the capacity of the macrophages to activate T-HA cells was assessed. T-HA is a Th1 cell clone which is specific for HA and is restricted to I-Ab. Figure 3 shows the proliferative response of T-HA cells triggered by mitomycin-C-treated Mf4/4 macrophages, previously loaded with increasing amounts of HA and pretreated or not with IFN-γ or LPS. Clearly, the induction of an APC+ phenotype by IFN-γ, but not by LPS, was accompanied by the acquisition of APC activity. The absence of proliferation after replacement of HA with hen egg white lysozyme demonstrated that the observed response was Ag specific (data not shown).
Mf4/4 cells acquire an APC+ phenotype after stimulation with IFN-γ. Untreated cells and cells treated with IFN-γ (400 U/ml) or LPS (10 μg/ml) were analyzed for surface expression of I-Ab, B7-1, B7-2, and CD40 (thick lines). Thin lines represent the fluorescence distribution of cells stained with secondary Ab only.
Mf4/4 cells acquire an APC+ phenotype after stimulation with IFN-γ. Untreated cells and cells treated with IFN-γ (400 U/ml) or LPS (10 μg/ml) were analyzed for surface expression of I-Ab, B7-1, B7-2, and CD40 (thick lines). Thin lines represent the fluorescence distribution of cells stained with secondary Ab only.
APC activity of Mf4/4 cells assayed by Ag-dependent proliferation of T-HA cells. Mf4/4 cells were either untreated (open bar) or treated with 400 U/ml IFN-γ (closed bars) or 10 μg/ml LPS (hatched bar) in the presence of the indicated concentrations of HA. The HA-induced proliferative response of T-HA cells was assayed by incorporation of [3H]TdR, added for the last 16 h of the 90-h assay. Results are expressed as mean cpm of triplicate cultures.
APC activity of Mf4/4 cells assayed by Ag-dependent proliferation of T-HA cells. Mf4/4 cells were either untreated (open bar) or treated with 400 U/ml IFN-γ (closed bars) or 10 μg/ml LPS (hatched bar) in the presence of the indicated concentrations of HA. The HA-induced proliferative response of T-HA cells was assayed by incorporation of [3H]TdR, added for the last 16 h of the 90-h assay. Results are expressed as mean cpm of triplicate cultures.
These results demonstrate that Mf4/4 cells are phenotypically mature macrophages and exert macrophage-specific activities including the presentation of exogenous Ag to Th1 lymphocytes. Moreover, our data underline the pivotal role of IFN-γ in regulating this feature by increasing the expression level of I-Ab MHC molecules, thereby converting the macrophage to a dedicated APC.
Injection of Mf4/4 macrophages, ex vivo loaded with HA, generates a primary anti-HA T cell response
To assess whether mature macrophages, induced to exert APC activity by in vitro pretreatment with IFN-γ in the presence of an optimal concentration of HA (1 μg/ml), also exerted this activity in the animal, 1.5 × 106 activated and loaded Mf4/4 cells were injected i.p. into C57BL/6 mice. To reduce the level of irrelevant proteins and to obtain a maximal presentation of relevant, HA-derived peptides, the FBS present in the culture medium was replaced with a mixture of insulin, transferrin, and selenium during coculture with Ag. Two weeks after injection, the mice were killed, and their spleen cells were assayed for the occurrence of a secondary anti-HA T cell response (Fig. 4,A). Splenocytes from mice injected with HA-loaded macrophages elicited a pronounced anti-HA proliferative response. This response was significantly stronger than the one observed with spleen cells from mice injected with soluble, intact HA and was comparable with the response of mice injected with HA emulsified in adjuvant. Unlike HA-loaded macrophages, injection of control macrophages did not prime the spleen cells for a secondary anti-HA proliferative response, demonstrating the dependence of the priming on HA-derived peptides. However, this does not exclude the possibility that the peptides were presented to the host T cells by endogenous APC, having acquired the antigenic peptides on their MHC molecules by passive exchange or following uptake of debris from dead Mf4/4 cells. Accordingly, we determined in MHC-mismatched mice whether the secondary response was restricted by the H-2 haplotype of the injected macrophages, namely, the recipient. As shown in Figure 4 B, injection of HA-loaded Mf4/4 cells (H-2b) into H-2d BALB/c mice did not induce a secondary, H-2d-restricted proliferative response, triggered by BALB/c spleen APC. Nevertheless, both strains developed comparable secondary responses after priming with free HA, emulsified in adjuvant. We conclude therefore that the absence of a secondary response in BALB/c splenocytes immunized with Mf4/4 macrophages can be attributed to the H-2 mismatch between the APC involved in the primary (H-2b) and secondary (H-2d) responses, thus excluding nonspecific Ag reprocessing by the host. Hence, adoptively transferred macrophages, loaded ex vivo with Ag, present the derived antigenic peptides to T cells of the recipient and hereby prime the animal against the Ag.
Injection of Ag-loaded Mf4/4 macrophages primes spleen cells for an Ag-specific and MHC-restricted secondary proliferative response. Mf4/4 cells were cultured for 48 h in serum-free medium, supplemented with ITS. During the last 24 h, IFN-γ (400 U/ml) and HA (1 μg/ml) were added to the culture (Mf4/4-HA). IFN-γ-treated Mf4/4 cultures without HA were used as a negative control (Mf4/4). Pretreated cells were injected i.p. into syngeneic C57BL/6 (A) or allogeneic BALB/c (B) mice. As additional controls, 2.5 μg of HA dissolved in PBS (HA) or emulsified in adjuvant (adjuvant-HA) were injected. Placebo-treated mice received a single injection of PBS. After 2 wk, the priming effect of these various immunizations was assessed on the basis of the secondary, anti-HA proliferative response of spleen cell cultures, measured by [3H]TdR incorporation as described in the legend to Figure 3 (closed bars). Open bars represent the background proliferation of cultures not stimulated with HA. Results are expressed as mean counts/minute of triplicate cultures.
Injection of Ag-loaded Mf4/4 macrophages primes spleen cells for an Ag-specific and MHC-restricted secondary proliferative response. Mf4/4 cells were cultured for 48 h in serum-free medium, supplemented with ITS. During the last 24 h, IFN-γ (400 U/ml) and HA (1 μg/ml) were added to the culture (Mf4/4-HA). IFN-γ-treated Mf4/4 cultures without HA were used as a negative control (Mf4/4). Pretreated cells were injected i.p. into syngeneic C57BL/6 (A) or allogeneic BALB/c (B) mice. As additional controls, 2.5 μg of HA dissolved in PBS (HA) or emulsified in adjuvant (adjuvant-HA) were injected. Placebo-treated mice received a single injection of PBS. After 2 wk, the priming effect of these various immunizations was assessed on the basis of the secondary, anti-HA proliferative response of spleen cell cultures, measured by [3H]TdR incorporation as described in the legend to Figure 3 (closed bars). Open bars represent the background proliferation of cultures not stimulated with HA. Results are expressed as mean counts/minute of triplicate cultures.
Macrophages activate the Th1 subset in vivo
After activation by Ag, naive CD4+ T cells differentiate into Th1 and/or Th2 cells. To identify the differentiation pathway that is predominantly activated following immunization with macrophages, we analyzed the number of cells that released Th1 vs Th2 cytokines. To raise a sufficient number of HA-reactive T cells, mice were injected twice with HA-loaded Mf4/4 cells, free HA, HA emulsified in adjuvant, or PBS. Two weeks after the second injection, splenocytes were restimulated in vitro for 24 h with HA, presented by spleen APC. Live cells were recovered by passage through Histopaque; the frequency of HA-reactive Th1 and Th2 cells was assessed on the basis of IFN-γ- and IL-4-secreting cells, respectively, using ELISPOT assays. As shown in Table II, mice injected twice with Ag-loaded macrophages developed high numbers of IFN-γ-producing Th1 cells, comparable with the numbers obtained after immunization with HA emulsified in adjuvant and significantly higher than the numbers observed after immunization with free Ag. However, a remarkable difference was observed for the Th2 cytokine IL-4. Mice vaccinated with HA-loaded macrophages generated few IL-4-specific spots as compared with animals that received HA emulsified in adjuvant. This differential response is clearly reflected in the ratio of IFN-γ- to IL-4-producing cells, where mice challenged with HA-loaded macrophages exhibited a 10-fold increase relative to mice immunized with either free or adjuvant-emulsified HA. Hence, macrophages shift the T cell response to differentiation into Th1 cells, whereas free Ag induces a mixed Th1 and Th2 response, independently of the presence or absence of adjuvant and of the overall strength of the T cell response.
Immunization by injection of Ag-loaded Mf4/4 macrophages polarizes cytokine secretion to Th1 cytokines
| Immunizationa . | Cytokine-Secreting Cellsb . | . | . | ||
|---|---|---|---|---|---|
| . | IFN-γ . | IL-4 . | IFN-γ/IL-4 ratio . | ||
| HA | 12 ± 1 | 3 ± 0 | 4 | ||
| Adjuvant-HA | 163 ± 3 | 54 ± 5 | 3 | ||
| Mf4/4-HA | 171 ± 5 | 4 ± 0 | 43 | ||
| Immunizationa . | Cytokine-Secreting Cellsb . | . | . | ||
|---|---|---|---|---|---|
| . | IFN-γ . | IL-4 . | IFN-γ/IL-4 ratio . | ||
| HA | 12 ± 1 | 3 ± 0 | 4 | ||
| Adjuvant-HA | 163 ± 3 | 54 ± 5 | 3 | ||
| Mf4/4-HA | 171 ± 5 | 4 ± 0 | 43 | ||
C57BL/6 mice (n = 2) were immunized twice with 2.5 μg of HA dissolved in PBS (HA), HA emulsified in adjuvant (adjuvant-HA), 1.5 × 106 HA-loaded macrophages (Mf4/4-HA), or PBS at a 14-day interval.
At 2 wk after the second injection, the splenocytes were restimulated in vitro for 24 h with 1 μg/ml HA, after which the numbers of HA-induced IFN-γ- and IL-4-producing T cells per 4 × 105 viable cells were determined by ELISPOT. Spleen cells from mice injected with PBS generated 18 spots and 1 spot for IFN-γ and IL-4, respectively, after stimulation with HA. These numbers were subtracted from the counts shown. No spots were detected in unstimulated cultures.
The predominant activation of Th1 cells generates cellular immunity
Th1 and Th2 lymphocytes differentially affect the shift from the T cell-independent IgM isotype to IgG isotypes in activated B lymphocytes, supporting a switch to IgG2a/b and IgG1, respectively (31, 32). Accordingly, analysis of the isotype profile of anti-HA Abs provides information regarding the preferential activation of Th1 cells after immunization with Ag-loaded macrophages. Therefore, mice were immunized with free HA or HA-loaded macrophages; 2 wk later, blood samples were taken and serum from individual mice was prepared and assayed. In contrast to HA-immunized mice, neither anti-HA IgM (data not shown) nor IgG Abs could be detected in sera from mice immunized once or twice with HA-loaded macrophages (Fig. 5). However, a second injection with free HA instead of HA-loaded Mf4/4 cells induced high IgG titers, comparable with those raised by two consecutive injections of free Ag and 10-fold stronger than the titers raised by a single HA injection (Fig. 5). Apparently, the absence of circulating Ag in the case of immunization with HA-loaded macrophages prevented Ab production, although the Th cells generated promoted IgG production, provided the B cells were challenged with circulating Ag.
Anti-HA IgG titers raised by immunization with HA or HA-loaded Mf4/4 macrophages. Mice (n = 2) were immunized once or twice with HA dissolved in PBS (HA) and/or HA-loaded macrophages (Mf4/4-HA). Two weeks after the last immunization, sera were prepared and the HA-specific IgG titers were determined by ELISA. Each bar represents the titer of an individual animal.
Anti-HA IgG titers raised by immunization with HA or HA-loaded Mf4/4 macrophages. Mice (n = 2) were immunized once or twice with HA dissolved in PBS (HA) and/or HA-loaded macrophages (Mf4/4-HA). Two weeks after the last immunization, sera were prepared and the HA-specific IgG titers were determined by ELISA. Each bar represents the titer of an individual animal.
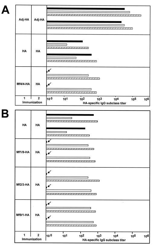
IgG subclass titers were determined on serum samples from mice primed with free Ag or HA-loaded macrophages, followed by a booster injection with free Ag (Fig. 6 A). These data reveal a remarkable difference in the distribution of anti-HA IgG subtypes: mice primed with free HA, whether or not emulsified in adjuvant, developed IgG1 as well as IgG2a and IgG2b Abs, independently of differences in the relative strength of the response. Opposed to this, mice primed with loaded macrophages developed IgG2a and IgG2b isotypes, but no IgG1. This remarkable IgG isotype composition indicates a nearly exclusive activation of Th1 cells, in agreement with the results obtained in vitro by ELISPOT.
Immunization with HA-loaded macrophages primes for production of Th1-dependent IgG2a and IgG2b anti-HA Abs. Sera from mice (n = 2) immunized twice with HA emulsified in adjuvant (adj-HA) or dissolved in PBS (HA) and sera from mice injected with HA-loaded macrophages (A, Mf4/4; B, Mf1/9, Mf2/3, and Mf9/1) followed by a second immunization with HA in PBS, were tested for levels of anti-HA IgG1 (closed bars), IgG2a (open bars), and IgG2b (hatched bars) using subclass-specific ELISA. The titers are grouped per individual animal. Arrows indicate the nearly total absence of HA-specific IgG1 in mice immunized with HA-loaded macrophages followed by soluble HA.
Immunization with HA-loaded macrophages primes for production of Th1-dependent IgG2a and IgG2b anti-HA Abs. Sera from mice (n = 2) immunized twice with HA emulsified in adjuvant (adj-HA) or dissolved in PBS (HA) and sera from mice injected with HA-loaded macrophages (A, Mf4/4; B, Mf1/9, Mf2/3, and Mf9/1) followed by a second immunization with HA in PBS, were tested for levels of anti-HA IgG1 (closed bars), IgG2a (open bars), and IgG2b (hatched bars) using subclass-specific ELISA. The titers are grouped per individual animal. Arrows indicate the nearly total absence of HA-specific IgG1 in mice immunized with HA-loaded macrophages followed by soluble HA.
To verify whether other macrophage clones share with Mf4/4 the capacity for an exclusive activation of cellular immunity, an independent experiment was performed with three additional macrophage clones. These clones were derived from an independent immortalization experiment, were phenotypically characterized as mature macrophages, and exerted activities in vitro similar to those of Mf4/4 (data not shown). All three clones proved to be as potent as Mf4/4 in priming mice for IgG2a and IgG2b Ab responses and, like Mf4/4, did not prime for IgG1 (Fig. 6 B). This result indicates that we are not dealing with a clone-specific phenomenon.
Macrophages suppress Th2-dependent IgG1 production
As free HA raised Th1- as well as Th2-dependent IgG responses, we analyzed the impact of a subsequent immunization with loaded macrophages on the bias of the immune response to IgG2 or IgG1 isotypes, respectively. To this end, mice were injected with free HA, followed 2 wk later by injection of either PBS as a control, free HA, or HA-loaded macrophages. Finally, all mice were rechallenged with free HA, and the IgG isotype profile of the generated anti-HA Abs was analyzed by ELISA (Fig. 7). As expected, mice that had received three injections with free HA, or where the second injection had been replaced with a placebo (PBS), generated comparable titers of IgG1, IgG2a, and IgG2b anti-HA Abs. However, substitution of the second injection by HA-loaded macrophages completely abolished the IgG1 response, while the levels of IgG2a and IgG2b remained unaffected. This pronounced and selective inhibition in vivo of a single isotype indicates that, provided Ag presentation occurs by macrophages, the humoral branch of the immune response is completely and irreversibly suppressed. Furthermore, this result demonstrates the feasibility of redirecting a mixed immune response to a predominant cellular response by administering Ag as peptides, presented by macrophages.
Mf4/4 cells suppress Th2-dependent IgG1 production. Mice (n = 2) were injected with HA dissolved in PBS, PBS, or HA-loaded macrophages (Mf4/4-HA) in between two injections of HA. Two weeks after the last immunization, sera were prepared and tested for levels of anti-HA IgG1 (closed bars), IgG2a (open bars), and IgG2b (hatched bars) by subclass-specific ELISA. The titers are grouped per individual animal. Arrows indicate the absence of IgG1 (see legend to Fig. 6).
Mf4/4 cells suppress Th2-dependent IgG1 production. Mice (n = 2) were injected with HA dissolved in PBS, PBS, or HA-loaded macrophages (Mf4/4-HA) in between two injections of HA. Two weeks after the last immunization, sera were prepared and tested for levels of anti-HA IgG1 (closed bars), IgG2a (open bars), and IgG2b (hatched bars) by subclass-specific ELISA. The titers are grouped per individual animal. Arrows indicate the absence of IgG1 (see legend to Fig. 6).
Discussion
Activation of naive CD4+ T lymphocytes by TCR ligation requires interaction with cells that present the antigenic peptide in a suitable conformation and that additionally express the necessary costimulatory ligands. Different cell types have been identified in vitro that exert these functions either constitutively or after induction by cytokines or other stimuli. These dedicated APCs are mainly dendritic cells, B lymphocytes, and macrophages/monocytes. Accordingly, dendritic cells have been successfully applied for the induction of primary T cell responses in vivo (18, 33). Also B lymphocytes are competent Ag-presenting cells for priming T cells in vivo (34). However, the role of macrophages as APC remains controversial, since these cells appear to be implicated in inflammation rather than in cognate immunity. In the present study, we analyzed the capacity of macrophages to initiate primary T cell responses in vivo as well as to trigger secondary responses in immune mice.
Our results demonstrate that syngeneic macrophages that have been loaded ex vivo with exogenous protein, induced a primary immune response characterized by a predominant activation of Th1 reactivity. The macrophages used in these experiments were derived from a clonal, immortalized population that both functionally and phenotypically expressed features characteristic of mature macrophages. Thus, these Mf4/4 cells expressed the surface molecules BM-8, F4/80, Mac-1, Mac-2, and CD14 that have been described for mature macrophages; they exerted receptor-mediated phagocytosis and produced IL-1, IL-6, IL-12, and TNF in response to LPS, but not to IFN-γ. Moreover, the Mf4/4 cells expressed increased levels of MHC class II Ags after treatment with IFN-γ and concomitantly acquired the capacity to present exogenous Ag to CD4+ T cells. These results demonstrate that, despite their transformed state, the Mf4/4 cells retained their macrophage-specific constitutive and inducible functions.
Injection into syngeneic mice of Ag-(HA)-loaded Mf4/4 cells generated a primary T cell response. This was inferred by the presence of a secondary proliferative response when the splenocytes were restimulated with HA and the absence of such a response in naive splenocytes. This proliferative response was observed only when the injected macrophages were first treated with IFN-γ and cocultured with HA and when the spleen APC, presenting the Ag in the secondary response, possessed the same MHC haplotype as the injected macrophages. The latter finding indicates that the induced immunity was a consequence of Ag presentation by the injected macrophages rather than by endogenous APC that acquired antigenic peptides by exchange of MHC class II-bound peptides or by capture of membrane-bound HA.
Analysis of the cytokine secretion pattern by ELISPOT revealed that the ratio of IFN-γ to IL-4-producing, HA-reactive cells was about 10-fold higher in mice immunized with Ag-loaded macrophages than in mice immunized with soluble Ag or Ag emulsified in adjuvant. Clearly, this shift to a Th1 cytokine profile had functional implications. Thus, the anti-HA Ab response induced by a subsequent immunization with soluble HA contained, besides the T cell-independent IgM Abs, a remarkably high titer of T cell-dependent IgG Abs. The latter belonged to the IgG2 isotype, while the IgG1 isotype, typical of humoral immunity, was absent. This characteristic IgG isotype profile was in strong contrast to the development of, besides IgG2a and IgG2b, IgG1 anti-HA Abs in mice immunized with soluble HA or HA emulsified in adjuvant. Similar results were obtained with macrophage clones derived from an independent immortalization experiment. We therefore conclude that mature macrophages, which were induced by IFN-γ to present exogenous Ags, are potent inducers of Th1 reactivity and cellular immunity.
As already mentioned above, mice injected with Ag-loaded macrophages generated a strong IgG response after a boost with soluble Ag. This result was quite unexpected due to the lack of B cell reactivity during priming, apparent from the absence of anti-HA Abs. Whereas the latter observation can be explained by the inaccessibility of the Mf4/4-bound antigenic peptides to the B cell receptor, the strength of the secondary, in fact primary B cell response indicates that the level of available T cell help, rather than a previous encounter with Ag of the reactive B cells, is critical for IgG production. This conclusion is of relevance for those situations where vaccination is required, but injection of free Ag is not desirable due to, for example, toxicity of the protein.
The observed exclusive induction of Th1-derived cellular immunity by IFN-γ-treated macrophages defines these cells as “Th1 APC.” Several mechanisms have been proposed for the selective induction of Th1 or Th2 responses by Ag. Conboy et al. (35) demonstrated that the genetic background of APC may influence T cells. However, since the macrophage cell line shares its genetic background with (undefined) endogenous APCs, the occurrence of a polarized vs a mixed T cell response can be attributed to characteristics inherent to cells presenting Ag, rather than to the genetic background of the mouse strain. Certain characteristics of Mf4/4 cells point to a number of possibilities. First, a recent report by DeKruyff et al. (36) describes a CD40-dependent pathway for the induction of IL-12 during responses to T cell-dependent Ags. Since IL-12 favors the development of Th1 responses (20, 37) and Mf4/4 cells express high levels of CD40 molecules (Fig. 2), it seems quite possible that this pathway contributes to the bias to Th1 development. Our unpublished observation that IL-12 was not induced by IFN-γ, but was produced in cultures containing Ag-loaded Mf4/4 macrophages and Ag-specific Th1 cells, is consistent with this pathway. Also, the absence of IL-1, a cytokine necessary for proliferation of Th2 cells (38), may further amplify the inclination to Th1 development. Finally, a number of reports implicate B7 isoforms in the differential development of either Th cell type (39, 40). However, such a mechanism seems less likely considering that both B7-1 and B7-2 are expressed at significant levels by IFN-γ-treated Mf4/4 cells. Clearly, further elaboration of this experimental model is necessary to elucidate the pathway(s) by which macrophages promote selective differentiation of Th0 cells into Th1.
Of particular interest is the observation that administration of Ag-loaded macrophages in between injections of free Ag resulted in the complete suppression of Th2-dependent IgG1 production. A similar, selective down-regulation has been observed after treatment with Ag-coupled splenocytes (41). Here the absence of costimulatory signals and the supposedly lesser dependence of Th1 cells on costimulation was proposed as a mechanism. However, considering the high expression level of costimulatory ligands on Mf4/4 macrophages and the lack of evidence in support of costimulatory preferences for restimulation of Th1 or Th2 subsets, it is tempting to speculate that a macrophage-specific feature is responsible for the apparently selective restimulation of Th1 memory cells. Accordingly, it cannot be excluded that a thus far unidentified molecule, expressed on the macrophage membrane, selectively activates memory Th1 cells and/or induces anergy or apoptosis in memory Th2 cells. Alternatively, IL-12 derived from Ag-loaded macrophages may have switched Th2 cells to Th1. Because this type of switch requires a low Ag density (3) and because macrophages, compared with dendritic cells, present less antigenic peptides due to lower expression levels of class II molecules, they may be more prone to induce such a switch.
Although the results described above have been obtained with immortalized cell lines, the full retention of mature macrophage-specific features by the cells supports the assumption that, provided they are appropriately induced by IFN-γ, mature macrophages are able to exert APC activity in the organism. Likely sources of IFN-γ are NK cells and/or Ag-activated Th1 cells (42). Hereby, the induced macrophages may promote Th1-dependent cellular immune responses. In addition, the observed suppression of Th2 cell reactivity without affecting and even promoting the Th1 subset opens perspectives for treatment of various infective diseases in their acute phase, such as leishmaniasis and tuberculosis.
Acknowledgements
We thank Dr. P. Ricciardi-Castagnoli and Dr. K. Thielemans for providing virus producer cells and Abs, respectively. D. Ginneberge is acknowledged for practical assistance and W. Drijvers for artwork.
Footnotes
This work was supported by the Algemene Spaar- en Lijfrentekas, the Interuniversitaire Attractiepolen, the Fonds voor Geneeskundig Wetenschappelijk Onderzoek, and the Vlaams Interuniversitair Instituut voor Biotechnologie.
Abbreviations used in this paper: HA, hemagglutinin; ELISPOT, enzyme-linked immunospot.


![FIGURE 3. APC activity of Mf4/4 cells assayed by Ag-dependent proliferation of T-HA cells. Mf4/4 cells were either untreated (open bar) or treated with 400 U/ml IFN-γ (closed bars) or 10 μg/ml LPS (hatched bar) in the presence of the indicated concentrations of HA. The HA-induced proliferative response of T-HA cells was assayed by incorporation of [3H]TdR, added for the last 16 h of the 90-h assay. Results are expressed as mean cpm of triplicate cultures.](https://aai.silverchair-cdn.com/aai/content_public/journal/jimmunol/160/11/10.4049_jimmunol.160.11.5300/3/m_im1186975003.jpeg?Expires=1713604387&Signature=P9zCYYzGERCQtcaQ0bmrRoM-NpNRFhh~M2mvkJa0LA5Rrb6K2iY3V5A2g~JpON6716RZX4SP5jBmXFOGHt6cQLeVFyYVLDiVB~fDPHrsBbh2Q6AAWkyP5Lk7i9-OU8oiEceb8P7TVh-b6CZHKNsfzPhg~ATpQYOFZGDHCpyBQVgW0ZZYpi1YQVl~FJNXPf5wuiW2G1UDymcjPHlNVcB-jka6gNsX6YAEN6JZ-MzCQQXI6IWQ0ACvsTyD2exIag82nNeqWB3CmB2McuwXEhBmr31zz6B9C36ycTV0B-cep55GLLLawr-vs1cl1WUe2dgcCOvHla2SYqfH8uY6OJgOag__&Key-Pair-Id=APKAIE5G5CRDK6RD3PGA)
![FIGURE 4. Injection of Ag-loaded Mf4/4 macrophages primes spleen cells for an Ag-specific and MHC-restricted secondary proliferative response. Mf4/4 cells were cultured for 48 h in serum-free medium, supplemented with ITS. During the last 24 h, IFN-γ (400 U/ml) and HA (1 μg/ml) were added to the culture (Mf4/4-HA). IFN-γ-treated Mf4/4 cultures without HA were used as a negative control (Mf4/4). Pretreated cells were injected i.p. into syngeneic C57BL/6 (A) or allogeneic BALB/c (B) mice. As additional controls, 2.5 μg of HA dissolved in PBS (HA) or emulsified in adjuvant (adjuvant-HA) were injected. Placebo-treated mice received a single injection of PBS. After 2 wk, the priming effect of these various immunizations was assessed on the basis of the secondary, anti-HA proliferative response of spleen cell cultures, measured by [3H]TdR incorporation as described in the legend to Figure 3 (closed bars). Open bars represent the background proliferation of cultures not stimulated with HA. Results are expressed as mean counts/minute of triplicate cultures.](https://aai.silverchair-cdn.com/aai/content_public/journal/jimmunol/160/11/10.4049_jimmunol.160.11.5300/3/m_im1186975004.jpeg?Expires=1713604387&Signature=VAhuFCLg6fMSc-E~EwybwGs-68yDHcyScStmk2SSbViWNo~efg0cHHdpTma3WodcEfvIazfAh41Z7rcUZBOqu0~OG9tU4gDjwfIA03ncQxZQMRxUyye~Y0TsTqYjTrb0PT1k8YiduHsrZ9yqTwqY0a3NOl0zHC6r6pEKNVO4GyRhLjukYYZ1rRSW5J98Cqila2kE1BQeTs8LFC-1xgp01y6BuwBq6iOcvb~LIufvATGu7uK7xaSYAt3XawvB9VOitHcq3O0ut~NjpF~dH37ys7mwSlf8vv-IRUFRFYn6Eil2q89ItJAlLBzVUvR-I-FnTxeYz7EVzyZA0QSXtGM4vw__&Key-Pair-Id=APKAIE5G5CRDK6RD3PGA)


