Abstract
We have investigated the ability of hyaluronic acid (HA) fragments to activate the transcription factor NF-κB. HA fragments activated NF-κB in the cell lines T-24, HeLa, MCF7, and J774. Further studies in T-24 cells demonstrated that HA fragments also induced IκBα phosphorylation and degradation, κB-linked reporter gene expression, and ICAM-1 promoter activity in an NF-κB-dependent manner. The effect of HA was size dependent as neither disaccharide nor native HA were active. CD44, the principal cellular receptor for HA, was critical for the response because the anti-CD44 Ab IM7.8.1 blocked the effect on NF-κB. HA fragments activated the IκB kinase complex, and the effect on a κB-linked reporter gene was blocked in T-24 cells expressing dominant negative IκB kinases 1 or 2. Activation of protein kinase C (PKC) was required because calphostin C inhibited NF-κB activation and IκBα phosphorylation. In particular, PKCζ was required because transfection of cells with dominant negative PKCζ blocked the effect of HA fragments on κB-linked gene expression and HA fragments increased PKCζ activity. Furthermore, damnacanthal and manumycin A, two mechanistically distinct inhibitors of Ras, blocked NF-κB activation. Transfection of T-24 cells with dominant negative Ras (RasN17) blocked HA fragment-induced κB-linked reporter gene expression, and HA fragments activated Ras activity within 5 min. Taken together, these studies establish a novel signal transduction cascade eminating from CD44 to Ras, PKCζ, and IκB kinase 1 and 2.
Recently, it has emerged that hyaluronic acid (HA),3 the principal glycosaminoglycan found in all types of mammalian extracellular matrix, undergoes dynamic regulation during inflammation (1). HA is a nonsulfated, linear glycosaminoglycan consisting of repeating units of (β,1–4)-d-glucuronic acid-(β,1–3)-N-acetyl-d-glucosamine. In its native state, HA exists as a high molecular mass polymer, in excess of 106 Da. However, in inflammatory disease states like rheumatoid arthritis and pulmonery fibrosis, HA has been found at elevated concentrations with a preponderance toward lower molecular mass fragments (1). The accumulation of fragments of HA has been shown to occur by a variety of mechanisms, including depolymerization by reactive oxygen species, enzymic cleavage, and de novo biosynthesis (2, 3, 4, 5). Several studies have suggested that high and low molecular weight species of HA exhibit different biological effects on cells and in tissues (6, 7). Low molecular weight but not native HA has been shown to stimulate the expression of IL-1β, TNF-α, and insulin-like growth factor in murine bone marrow-derived macrophages (8). HA fragments have also been shown to elicit the expression of a number of proinflammatory chemokines (9, 10, 11), inducible NO synthase (9, 12), and macrophage metalloelastase (13) through a mechanism involving the principal cell-surface receptor for HA, namely CD44. In addition, HA fragments and/or CD44 receptor cross-linking have been shown to induce the expression of the cell adhesion molecules VCAM-1 (14) and ICAM-1 (15).
The CD44 gene codes for a family of alternatively spliced, multifunctional adhesion molecules (reviewed in Ref. 16), which has recently been implicated in the pathogenesis of inflammatory and malignant disease (17, 18, 19). A growing body of evidence is emerging that suggests that, in addition to its function as an adhesion molecule, CD44 also functions as a bioactive signaling receptor. However, a proper understanding of this function of CD44 has been hampered by a lack of insight into the mode in which CD44 communicates with intracellular signal transduction pathways.
The unifying theme in the growing list of genes known to be induced by HA fragments, via CD44, is that they are all regulated by the transcription factor NF-κB. HA fragments have been shown to activate NF-κB in murine macrophages (20) and increase the expression of inducible NO synthase (9) and the adhesion molecule ICAM-1 in an NF-κB-dependent manner (15). NF-κB is a dimeric transcription factor that exists in a latent form in the cytoplasm of unstimulated cells complexed to an inhibitor protein IκB (21, 22). The predominant form of NF-κB activated in cells is a p50/p65 heterodimer that is associated with IκBα. Upon stimulation, IκBα is rapidly phosphorylated on two critical serine residues (Ser32 and Ser36), which targets IκBα for ubiquitination and subsequent degradation by the 26S proteosome (reviewed in Ref. 22). This allows NF-κB to translocate to the nucleus and activate target genes by binding with high affinity to κB elements in their promoters. The phosphorylation and degradation of IκBα are tightly coupled events, and the kinase complex responsible for IκBα phosphorylation has recently been identified (23, 24, 25, 26). The complex comprises two kinases, IκB kinase 1 and 2 (IKK-1 and -2), which form a multimeric protein complex with NF-κB essential modulator (NEMO) (27) and the scaffold protein IKK-associated protein (IKAP) (28). NEMO and IKAP have been postulated to function as assembly platforms to facilitate IKK association with upstream regulators. So far, multiple kinases have been shown to be upstream activators of the IKK complex. NF-κB-inducing kinase (NIK) is involved in the classical pathway of NF-κB activation by a wide range of stimuli and serves as a point of convergence of most signals leading to NF-κB activation (29). In addition, the atypical protein kinase C (PKC) isoform PKCζ, has also recently emerged as a direct activator of IKK-2 (30).
To date, the signal transduction mechanisms of CD44-mediated NF-κB activation are unexplored. In this study, we demonstrate the ability of HA fragments to activate NF-κB via CD44 in a diversity of cell lines. Using T-24 carcinoma cells as a model system, we present evidence that the pathway activated by HA fragments involves the low molecular weight G-protein Ras, the atypical PKC isoform PKCζ, and the IKK complex. This represents a novel signaling pathway activated by HA fragments that culminates in NF-κB activation, thereby increasing the expression of NF-κB-dependent genes, forming the molecular basis for the proinflammatory effects of HA fragments.
Materials and Methods
Materials
T-24 human bladder carcinoma, HeLa human cervical carcinoma, MCF7 breast carcinoma, Jurkat J6.1 human T cell lymphoma, and murine EL4.NOB-1 thymoma cell lines were obtained from the European Collection of Animal Cell Cultures (Salisbury, U.K). The murine J774 macrophage cell line was a gift from Dr. K. Mills (Department of Biology, National University Maynooth, Kildare, U.K.). Purified HA fragments were obtained from ICN Biomedicals (Costa Mesa, CA), and, as previously reported, their peak molecular mass is ∼200,000 Da (31). Native and disaccharide HA was obtained from Sigma (Dorset, U.K.). Recombinant human IL-1α was a gift from Prof. J. Saklatvala (Kennedy Institute of Rheumatology, London, U.K.), while TNF-α was a gift from Dr. S. Foster (Zeneca, U.K.). The 22-bp oligonucleotide, 5′-AGT TGA GGG GAC TTT CCC AGG C-3′, containing the NF-κB consensus sequence (underlined) and T4 polynucleotide kinase, was obtained from Promega (Madison, WI). The 22-bp oligonucleotide, 5′-AGT TGA GGC GAC TTT CCC AGG C-3′, containing the mutated NF-κB consensus sequence (underlined), was obtained from Santa Cruz Biotechnology (Santa Cruz, CA). Monoclonal anti-human CD44 standard Ab (anti-human CD44H) was obtained from R&D Systems (Abingdon, U.K.), while anti-murine CD44 Ab (KM201) was obtained from Southern Biotechnology Associates (Birmingham, AL). Monoclonal anti-human IκBα was a kind gift from Prof. Ron Hay (University of St. Andrews, Fife, U.K.). Polyclonal anti-human phospho IκBα Ab was from New England Biolabs (Beverly, MA). Antiserum to the NF-κB subunits p50, p65, and c-Rel were a kind gift from Dr. J. Imbert (Institut National de la Santé et de la Recherche Médicale, Marseille, France). Polyclonal anti-NEMO was a gift from Drs. S. Yamaoka and A. Israel (Institute Pasteur, Paris, France). Monoclonal anti-human CD44 IM7.8.1 was a gift from Dr. D. Buttle (University of Sheffield, Sheffield, U.K.). Anti-Myc epitope (9E10) Ab was obtained from Upstate Biotechnology (Lake Placid, NY). Anti-human monoclonal Ras Ab was obtained from Oncogene Research Products (Cambridge, MA). [γ-32P]ATP (3000 Ci/mmol) was obtained from Amersham International (Aylesbury, U.K.). Poly(dI · dC) was obtained from Pharmacia Biosystems (Milton Keynes, U.K.). Calphostin C, manumycin A, and damnacanthal were obtained from Calbiochem (Nottingham, U.K.). All other chemicals were obtained from Sigma (Poole, Dorset, U.K.).
Expression vectors
The pGL3–5κB-luc plasmid was a kind gift from Dr. R. Hofmeister (University of Regensburg, Regensburg, Germany). The pGL1.3 and pGL1.3κBmut plasmids (containing 1344 bp of the ICAM-1 upstream region (−1353 to −9 relative to the start of transcription) without or with a mutation at the proximal NF-κB site) were a gift from Dr. K. Catron, (Boehringer Ingelheim Pharmaceuticals, Ridgefield, CT). Dominant negative expression vectors for IKK-1 and -2 (IKK-1KA and IKK-2KA) were a gift from Dr. D. Goeddel (Tularik, San Fransisco, CA). pCDNA3-ζ PKCmyc containing full-length PKCζ with the myc tag at the COOH terminus and dominant negative PKCζ expression vector (PKCζmut) were a gift from Drs. M. Diaz-Meco and J. Moscat (Centro de Biologia Molecular, Madrid, Spain). The expression vectors encoding amino acids 1–149 of human c-Raf-1 in pGEX-KG (GST-Ras binding domain (RBD)) and dominant negative N17Ras were obtained from Dr. D. Cantrell (Imperial Cancer Research Fund, London, U.K.).
Cell culture and treatments
The human T-24 bladder carcinoma cell line was cultured in Medium 199 (HEPES modification), human HeLa cervical carcinoma, and MCF7 breast carcinoma cells were cultured in DMEM medium, while Jurkat T-cell lymphoma, murine EL4.NOB-1 thymoma, and J774 macrophage cell lines were cultured in RPMI 1640 medium. All media contained 10% (v/v) FCS, 100 U/ml penicillin, 100 μg/ml streptomycin, and 2 mM l-glutamine. Adherant cells (T-24, HeLa, MCF7, and J774) were seeded at 1 × 105ml−1 in six-well plates (3 ml/well) or tissue culture petri dishes (10 ml/dish), while nonadherant cells (Jurkat and EL4.NOB-1) were cultured at 1 × 105ml−1 on day of use. Cells were pretreated with test inhibitors, vehicle control, or left untreated before the addition of stimuli as indicated.
EMSA
Nuclear extracts were prepared as described by Osborn et al. (32) from confluent T-24, HeLa, MCF7, or J774 cells in six-well plates (3 ml volume) treated as described in the figure legends. Jurkat or EL4.NOB-1 cells were collected by centrifugation before preparation of nuclear extracts as above. In all cases, nuclear extracts were assessed for NF-κB-DNA binding activity, competition, and supershift analysis as described previously (33).
Immunoblot assay
Confluent T-24, HeLa, MCF7, and J774 cells in six-well plates (3 ml volume) or Jurkat and EL4.NOB-1 cells in 24-well plates (1 ml volume) were treated as described in the figure legends. For CD44 and IκBα analysis, total cell lysate from each well was extracted in ice-cold radioimmune precipitation buffer (34). Protein estimations of cell extracts were determined by the dye binding assay of Bradford (35). For phospho IκBα analysis, whole-cell lysates were generated using an SDS sample buffer (62.5 mM Tris-HCl, pH 6.8, 2% w/v SDS, 10% glycerol, 50 mM DTT, 0.1% w/v bromophenol blue). Equal amounts of protein (4–8 μg) in the IκBα assay or equal volumes of lysate in the phospho IκBα assay were subjected to 10% SDS-PAGE according to the method of Laemmli (36). Immunoblotting was conducted for CD44, IκBα, or phospho IκBα as previously described (33).
Transient transfection and reporter gene assay
Briefly, confluent T-24 cell monolayers were resuspended after trypsinization in PBS in 0.4-cm electroporation cuvettes (Invitrogen, Groningen, The Netherlands). Then, 5 μg of reporter gene plasmid DNA was added to cells as described in the figure legends. In coexpression experiments, dominant negative IKK-1 or -2, (IKK-1 or -2KA), PKCζ (PKCζmut), or Ras (RasN17) were mixed with reporter gene before electroporation. In all cases, total DNA transfected (10 μg) was kept constant by supplementation with the relevant control empty vector (pRK5 for IKK-1 or -2KA, pCDNA3 for PKCζmut, or RSV for RasN17). Then, 48 h after transfection, cells were treated with HA fragments or other stimuli for 6 h. Extracts were harvested, and luciferase reporter gene activity was determined according to the manufacturer’s recommendations (Promega). The results obtained were normalized for protein according to the dye binding assay (35).
IKK assay
T-24 cells were seeded in 10-cm dishes (10 ml at 1 × 105/ml for 72 h) and stimulated with HA fragments (100 μg/ml) as indicated. The IKK complex was immunoprecipitated using anti-NEMO Ab and assayed using GST-IκBα (residues 1–72) as substrate as described previously (27).
Ras activation assay
T-24 cells were seeded in six-well plates (3 ml at 1 × 105/ml for 48 h). For experiments, cells were cultured in 0.5% FBS for 24 h before stimulation with HA fragments (100 μg/ml) from 1 to 60 min as indicated. Total cell lysates were extracted with lysis buffer (50 mM HEPES, pH 7.4, 10 mM NaF, 10 mM iodoacetamide, 75 mM NaCl, 1% Nonidet P-40, 10 mM MgCl2, 1 mM PMSF, 1 mM NA2VO4, 1 mg/ml β-glycerol phosphate) for 20 min on ice. Equal amounts of protein per sample were incubated with c-Raf-1 RBD (residues 1–149) (37) precoupled to glutathione agarose beads (50% solution) for 2 h at 4°C. Only activated Ras will bind GST-RBD. Activated protein was then collected by centrifugation at 6000 × g for 5 min, washed four times in lysis buffer, and bound protein eluted by boiling in SDS sample buffer. Samples were subjected to 15% SDS-PAGE according to the method of Laemmli (36). Immunoblotting was conducted for Ras using anti-human monoclonal Ras Ab and visualized by enhanced chemiluminescence.
PKCζ activation assay
T-24 cells were transfected by electroporation with PKCζ containing a myc tag at the COOH terminus (pCDNA3-ζ PKCmyc). Transfected cells were cultured in 0.5% FBS before stimulation with HA fragments (100 μg/ml) for 0, 5, or 30 min as indicated. Whole-cell lysates were extracted and immunoprecipitated with anti-Myc Ab (9E10). Immune complexes were collected with protein G-Sepharose and subjected to in vitro kinase assay using 2.5 μg myelin basic protein (MBP) as substrate as described (38). Samples were subjected to 15% SDS-PAGE according to the method of Laemmli (36), and MBP phosphorylation was visualized by autoradiography.
Results
Involvement of CD44 in the activation of NF-κB by HA fragments
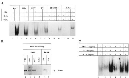
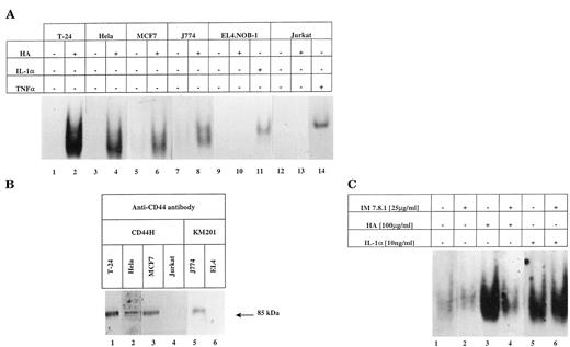
We first investigated the ability of HA fragments to induce NF-κB activation in a variety of human and murine cell lines. Fig. 1,A shows that treatment of T-24 cells with HA fragments (100 μg/ml for 2 h) at a peak molecular mass of 200 kDa activated NF-κB in T-24 bladder carcinoma cells, as evidenced by the increased retardation of the DNA probe containing the κB motif (compare lane 2 to lane 1). HA fragments also activated NF-κB in HeLa cervical carcinoma (lane 4), MCF7 breast carcinoma (lane 6) and J774 murine macrophage cells (lane 8). However, neither EL4.NOB-1 thymoma nor Jurkat T cell lymphoma cells were responsive to HA fragments (lanes 10 and 13, respectively). The lack of effect of HA fragments in Jurkat and EL4.NOB-1 cells was not due to a lack of the required signaling machinery in these cells as activation of NF-κB was observed when cells are treated with IL-1α or TNF-α, respectively (lanes 11 and 14). When cell lines were probed for expression of standard CD44 with either monoclonal anti- human (CD44H) or anti-murine (KM201) CD44 Abs, those cell lines that showed HA activation of NF-κB were positive for CD44 expression as indicated by a band detected at 85 kDa. However, Jurkat and EL4.NOB-1 cells were negative for CD44 expression (Fig. 1 B). Therefore, this study demonstrates a direct correlation between expression of CD44 and the ability of HA fragments to activate NF-κB.
HA fragments induce NF-κB activation via CD44. A, T-24, HeLa, MCF7, Jurkat, EL4.NOB-1, and J774 cells were treated with or without HA fragments (100 μg/ml) for 2 h. Nuclear extracts from each cell line were prepared and assessed for NF-κB DNA-binding activity as described under Materials and Methods. IL-1α and TNF-α (10 ng/ml for 1 h) were used as positive controls for NF-κB activation in EL4.NOB-1 (lane 11) and Jurkat cells (lane 14), respectively. Protein-DNA complexes are shown. Results are representative of three separate experiments. B, Whole-cell lysates were extracted from T-24 (lane 1), HeLa (lane 2), MCF7 (lane 3), Jurkat (lane 4), J774 (lane 5), and EL4.NOB-1 (lane 6) cells. Lysates were probed for CD44 immunoreactivity using a monoclonal anti-human CD44 Ab (CD44H) for human cell lines (T-24, HeLa, MCF7, or Jurkat) (lanes 1–4) or an anti-mouse CD44 Ab (KM201) for murine cell lines (EL4.NOB-1 and J774) (lanes 5 and 6) as indicated. Only one band of 85 kDa was detected and corresponded to standard CD44. Results are representative of two separate experiments. C, T-24 cells were preincubated with anti-human CD44 mAb IM7.8.1 (25 μg/ml) (lanes 2, 4, and 6) or left untreated for 1 h before stimulation with HA fragments (100 μg/ml) (lanes 3 and 4) or IL-1α (10 ng/ml) (lanes 5 and 6) for 2 h. Nuclear extracts were prepared and assessed for NF-κB DNA-binding activity. Protein-DNA complexes are shown. Data are representative of three separate experiments, and the photographs shown are a composite from samples generated in the same experiment but analyzed on different gels under identical conditions.
HA fragments induce NF-κB activation via CD44. A, T-24, HeLa, MCF7, Jurkat, EL4.NOB-1, and J774 cells were treated with or without HA fragments (100 μg/ml) for 2 h. Nuclear extracts from each cell line were prepared and assessed for NF-κB DNA-binding activity as described under Materials and Methods. IL-1α and TNF-α (10 ng/ml for 1 h) were used as positive controls for NF-κB activation in EL4.NOB-1 (lane 11) and Jurkat cells (lane 14), respectively. Protein-DNA complexes are shown. Results are representative of three separate experiments. B, Whole-cell lysates were extracted from T-24 (lane 1), HeLa (lane 2), MCF7 (lane 3), Jurkat (lane 4), J774 (lane 5), and EL4.NOB-1 (lane 6) cells. Lysates were probed for CD44 immunoreactivity using a monoclonal anti-human CD44 Ab (CD44H) for human cell lines (T-24, HeLa, MCF7, or Jurkat) (lanes 1–4) or an anti-mouse CD44 Ab (KM201) for murine cell lines (EL4.NOB-1 and J774) (lanes 5 and 6) as indicated. Only one band of 85 kDa was detected and corresponded to standard CD44. Results are representative of two separate experiments. C, T-24 cells were preincubated with anti-human CD44 mAb IM7.8.1 (25 μg/ml) (lanes 2, 4, and 6) or left untreated for 1 h before stimulation with HA fragments (100 μg/ml) (lanes 3 and 4) or IL-1α (10 ng/ml) (lanes 5 and 6) for 2 h. Nuclear extracts were prepared and assessed for NF-κB DNA-binding activity. Protein-DNA complexes are shown. Data are representative of three separate experiments, and the photographs shown are a composite from samples generated in the same experiment but analyzed on different gels under identical conditions.
We next investigated directly the role of CD44 in mediating HA activation of NF-κB. T-24 cells were chosen as the model system for further studies on HA activation of NF-κB as we have previously shown them to be an excellent model of NF-κB activation (33) and because they are easily transfected. When T-24 cells were preincubated with an Ab to CD44 (IM7.8.1), which has been shown to block the binding of HA, HA fragment-induced NF-κB activation was significantly reduced (Fig. 1 C, compare lane 4 to lane 3). However, IL-1α-induced NF-κB activation was unaffected by preincubation with the anti-CD44 Ab (compare lane 6 to lane 5). Another anti-CD44 mAb (D2.1) also inhibited the activation of NF-κB by HA fragments (data not shown). These data clearly establish that CD44 plays an important role in mediating the effects of HA on activation of NF-κB.
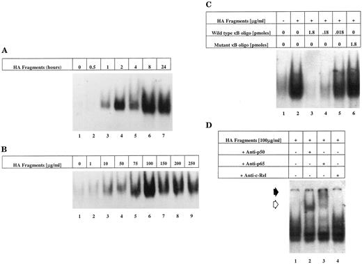
We next went on to fully characterize the effect of HA fragments in T-24 cells. Fig. 2,A shows a time course of NF-κB activation, the effect being evident from 1 h and peaking at 2 to 8 h. NF-κB activity was strong and sustained and was still detectable after 24 h. The effect of HA fragments on NF-κB activation was also dose-dependent over the dose range of 1–250 μg/ml as shown in Fig. 2,B. Fig. 2,C confirms that the protein-DNA complexes activated by HA fragments were specific for NF-κB, because unlabeled NF-κB wild-type consensus sequence dose-dependently competed with binding activity (compare lanes 3 and 4 to lane 2), while mutant NF-κB oligonucleotide containing a single base pair change in the consensus sequence had no effect (compare lane 6 to lane 2). We also characterized the NF-κB subunits present in the activated complexes by carrying out supershift analysis. Fig. 2 D shows how antisera to both p50 and p65/Rel A affected the complex (lanes 2 and 3, respectively), with supershifted bands being detected upon treatment of extracts with Ab before electrophoresis. There was no detectable reaction with c-Rel antiserum (lane 4). Hence, HA fragments activated NF-κB complexes containing p50 and p65.
HA fragments induce NF-κB activation in T-24 cells in a dose- and time-dependent manner. Confluent monolayers of T-24 cells were treated as follows. A, T-24 cells were treated with HA fragments (100 μg/ml) from 0 to 24 h as indicated (lanes 2–7). B, T-24 cells were treated with HA fragments from 1 to 250 μg/ml (lanes 2–9) or left untreated (lane 1) for 2 h as shown. C, Nuclear extracts from T-24 cells stimulated with HA fragments (100 μg/ml) for 2 h were incubated with 1.8, 0.18, or 0.018 pmol of unlabeled wild-type (lanes 3, 4, and 5) or 1.8 pmol mutant NF-κB probe (lane 6) for competition analysis (described in Materials and Methods). D, Nuclear extracts from T-24 cells treated with HA fragments (100 μg/ml) were incubated with antisera to p50, p65/Rel A, or c-Rel (lanes 3, 4, and 5, respectively) as indicated for supershift analysis. The position of supershifted complexes is indicated with an upper closed (p65) and lower open (p50) arrowhead. Nuclear extracts were assessed for NF-κB DNA-binding activity as described in Materials and Methods. Retarded protein-DNA complexes are shown; unbound DNA probe is not shown. Results are representative of three separate experiments in all cases, and the photographs shown are a composite from samples generated in the same experiment but analyzed on different gels under identical conditions.
HA fragments induce NF-κB activation in T-24 cells in a dose- and time-dependent manner. Confluent monolayers of T-24 cells were treated as follows. A, T-24 cells were treated with HA fragments (100 μg/ml) from 0 to 24 h as indicated (lanes 2–7). B, T-24 cells were treated with HA fragments from 1 to 250 μg/ml (lanes 2–9) or left untreated (lane 1) for 2 h as shown. C, Nuclear extracts from T-24 cells stimulated with HA fragments (100 μg/ml) for 2 h were incubated with 1.8, 0.18, or 0.018 pmol of unlabeled wild-type (lanes 3, 4, and 5) or 1.8 pmol mutant NF-κB probe (lane 6) for competition analysis (described in Materials and Methods). D, Nuclear extracts from T-24 cells treated with HA fragments (100 μg/ml) were incubated with antisera to p50, p65/Rel A, or c-Rel (lanes 3, 4, and 5, respectively) as indicated for supershift analysis. The position of supershifted complexes is indicated with an upper closed (p65) and lower open (p50) arrowhead. Nuclear extracts were assessed for NF-κB DNA-binding activity as described in Materials and Methods. Retarded protein-DNA complexes are shown; unbound DNA probe is not shown. Results are representative of three separate experiments in all cases, and the photographs shown are a composite from samples generated in the same experiment but analyzed on different gels under identical conditions.
HA fragments induce phosphorylation and degradation of IκBα and stimulate κB-linked gene expression in T-24 cells
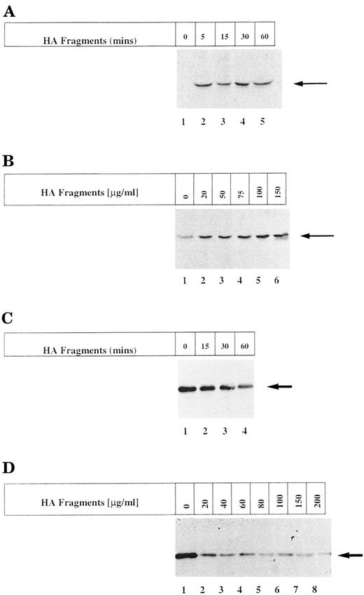
T-24 cells treated with HA fragments were examined for the phosphorylation of IκBα and its subsequent degradation, a critical event in the activation of this transcription factor. Treatment of cells with HA fragments induced the phosphorylation of IκBα on serine 32, as detected using a polyclonal anti-human IκBα Ab that recognizes IκBα only when phosphorylated on this amino acid (Fig. 3,A). The effect of HA fragments occurred from 5 min (lane 2) and was evident up to the last time point examined (60 min; lane 5). The effect was also dose-dependent, occurring over the concentration range of 20–150 μg/ml (Fig. 3,B). Control levels of phospho IκBα were either undetectable (Fig. 3,A, lane 1) or marginal (Fig. 3,B, lane 1), depending on whether the cells were grown in complete medium (Fig. 3,B) or in medium supplemented with 0.5% FBS (Fig. 3,A). A marked degradation of IκBα protein was also observed (Fig. 3, C and D). The effect was time-dependent with degradation being evident at 30 and 60 min (lane 3 and 4) and dose-dependent from 20 to 200 μg/ml (Fig. 3 D).
HA fragments induce phosphorylation and degradation of IκBα in T-24 cells. A, Confluent monolayers of T-24 cells were cultured in 0.5% FBS medium and treated with HA fragments (150 μg/ml) from 5 to 60 min (lanes 2–5) or left untreated (lane 1). B, T-24 cells (in complete medium) were treated with vehicle control (medium), left untreated (lane 1), or treated with increasing concentrations of HA fragments from 20 to 150 μg/ml (lanes 2–6) for 30 min. Cell lysates were probed for phosphorylation of IκBα using an Ab that detects IκBα only when activated by phosphorylation on Ser32. A phospho-specific IκBα band of 37.5 kDa was detected. No other protein complexes except that shown were observed. Basal phospho IκBα was detectable if cells were cultured in complete medium, while serum starvation (0.5% FBS) minimized basal activity. C, T-24 cells were treated with HA fragments (150 μg/ml) from 15 to 60 min (lanes 2–4) or left untreated (lane 1). D, T-24 cells were treated with increasing concentrations of HA fragments (20 to 200 μg/ml) for 2 h (lanes 2–8) or left untreated (lane 1). Cell lysates were extracted as described in Materials and Methods, and equivalent amounts (4–6 μg protein) were probed for total IκBα using a mAb that detects IκBα. An IκBα-specific band of 37.5 kDa was detected. No other protein complexes except those shown were observed.
HA fragments induce phosphorylation and degradation of IκBα in T-24 cells. A, Confluent monolayers of T-24 cells were cultured in 0.5% FBS medium and treated with HA fragments (150 μg/ml) from 5 to 60 min (lanes 2–5) or left untreated (lane 1). B, T-24 cells (in complete medium) were treated with vehicle control (medium), left untreated (lane 1), or treated with increasing concentrations of HA fragments from 20 to 150 μg/ml (lanes 2–6) for 30 min. Cell lysates were probed for phosphorylation of IκBα using an Ab that detects IκBα only when activated by phosphorylation on Ser32. A phospho-specific IκBα band of 37.5 kDa was detected. No other protein complexes except that shown were observed. Basal phospho IκBα was detectable if cells were cultured in complete medium, while serum starvation (0.5% FBS) minimized basal activity. C, T-24 cells were treated with HA fragments (150 μg/ml) from 15 to 60 min (lanes 2–4) or left untreated (lane 1). D, T-24 cells were treated with increasing concentrations of HA fragments (20 to 200 μg/ml) for 2 h (lanes 2–8) or left untreated (lane 1). Cell lysates were extracted as described in Materials and Methods, and equivalent amounts (4–6 μg protein) were probed for total IκBα using a mAb that detects IκBα. An IκBα-specific band of 37.5 kDa was detected. No other protein complexes except those shown were observed.
To assess the transcriptional capabilities of activated NF-κB, cells were transiently transfected with a κB-linked reporter gene, and reporter gene activity was measured after stimulation with HA fragments. HA fragments caused a dose-dependent activation of luciferase reporter gene expression from 10 to 200 μg/ml, demonstrating that the complexes activated by HA fragments were transcriptionally active (Fig. 4,A). When transfected cells were preincubated with anti-CD44 mAb, IM7.8.1, HA fragment-induced κB-linked reporter gene activity was inhibited, confirming the importance of CD44 in mediating the effects of HA fragments (Fig. 4 B). Therefore, the Ab to CD44 blocked both nuclear translocation and transcriptional activity induced by HA fragments.
HA fragments stimulate κB-linked gene expression in T-24 cells. A, T-24 cells were transiently transfected by electroporation with a κB-luciferase reporter gene (5 μg). Forty-eight hours following transfection, cells were incubated with HA fragments for 6 h (10–200 μg/ml). Cell lysates were prepared and analyzed for luciferase reporter gene activity and normalized for protein concentration. Results are mean ± SD for a single experiment (triplicate samples), which is representative of five separate experiments. B, T-24 cells were transiently transfected by electroporation with a κB-luciferase reporter gene (5 μg). Forty-eight hours following transfection, cells were preincubated with anti-human CD44 mAb IM7.8.1 (25 μg/ml) or left untreated for 1 h before stimulation with HA fragments (100 μg/ml) for 6 h. Cell lysates were prepared and analyzed for luciferase reporter gene activity and normalized for protein concentration. Results are mean ± S.D. for a single experiment (triplicate samples). An identical result was obtained in a further experiment. C, T-24 cells were transiently transfected by electroporation with 5 μg pGL 1.3 luc or pGL 1.3κBmut luc, (plasmids containing the ICAM-1 upstream region (−1353 to −9 relative to the start of transcription) without or with a mutation at the proximal NF-κB site). Forty-eight hours following transfection, cells were incubated with HA fragments (100 μg/ml) for 6 h. Cell lysates were prepared and analyzed for luciferase reporter gene activity and normalized for protein concentration. Results represent fold stimulation over control for a single experiment (triplicate samples), which is representative of three separate experiments. D, T-24 cells were transiently transfected by electroporation with 5 μg pGL 1.3 luc. Forty-eight hours following transfection, cells were incubated with HA fragments from 10 to 500 μg/ml for 6 h. Cell lysates were prepared and analyzed for luciferase reporter gene activity and normalized for protein concentration. Results are mean ± SD for a single experiment (triplicate samples). An identical result was obtained in a further experiment.
HA fragments stimulate κB-linked gene expression in T-24 cells. A, T-24 cells were transiently transfected by electroporation with a κB-luciferase reporter gene (5 μg). Forty-eight hours following transfection, cells were incubated with HA fragments for 6 h (10–200 μg/ml). Cell lysates were prepared and analyzed for luciferase reporter gene activity and normalized for protein concentration. Results are mean ± SD for a single experiment (triplicate samples), which is representative of five separate experiments. B, T-24 cells were transiently transfected by electroporation with a κB-luciferase reporter gene (5 μg). Forty-eight hours following transfection, cells were preincubated with anti-human CD44 mAb IM7.8.1 (25 μg/ml) or left untreated for 1 h before stimulation with HA fragments (100 μg/ml) for 6 h. Cell lysates were prepared and analyzed for luciferase reporter gene activity and normalized for protein concentration. Results are mean ± S.D. for a single experiment (triplicate samples). An identical result was obtained in a further experiment. C, T-24 cells were transiently transfected by electroporation with 5 μg pGL 1.3 luc or pGL 1.3κBmut luc, (plasmids containing the ICAM-1 upstream region (−1353 to −9 relative to the start of transcription) without or with a mutation at the proximal NF-κB site). Forty-eight hours following transfection, cells were incubated with HA fragments (100 μg/ml) for 6 h. Cell lysates were prepared and analyzed for luciferase reporter gene activity and normalized for protein concentration. Results represent fold stimulation over control for a single experiment (triplicate samples), which is representative of three separate experiments. D, T-24 cells were transiently transfected by electroporation with 5 μg pGL 1.3 luc. Forty-eight hours following transfection, cells were incubated with HA fragments from 10 to 500 μg/ml for 6 h. Cell lysates were prepared and analyzed for luciferase reporter gene activity and normalized for protein concentration. Results are mean ± SD for a single experiment (triplicate samples). An identical result was obtained in a further experiment.
We next tested cells transiently transfected with plasmids containing the ICAM-1 upstream region (−1353 to −9 relative to the start of transcription) without or with a mutation at the proximal NF-κB site to demonstrate the involvement of NF-κB in HA-induced gene expression. ICAM-1 reporter gene activity was induced only when the proximal NF-κB consensus site was intact, mutation of the κB site abolishing responsiveness (Fig. 4,C). HA fragments induced reporter gene expression from the ICAM-1 promoter over the dose range of 10–500 μg/ml (Fig. 4 D).
The role of HA size in the activation of NF-κB
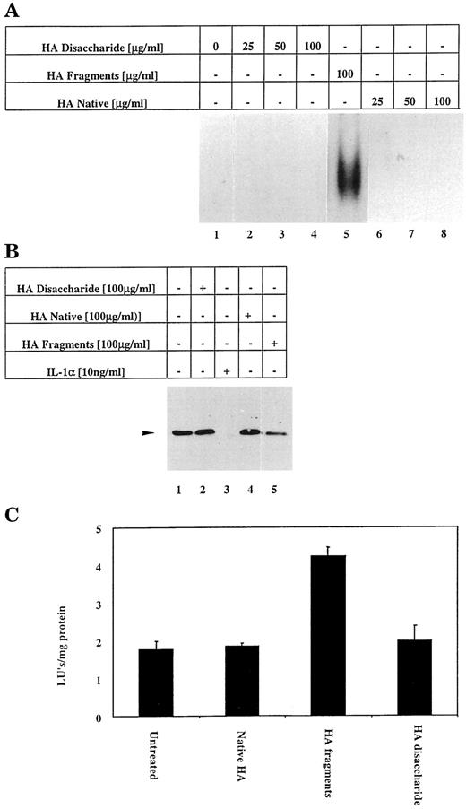
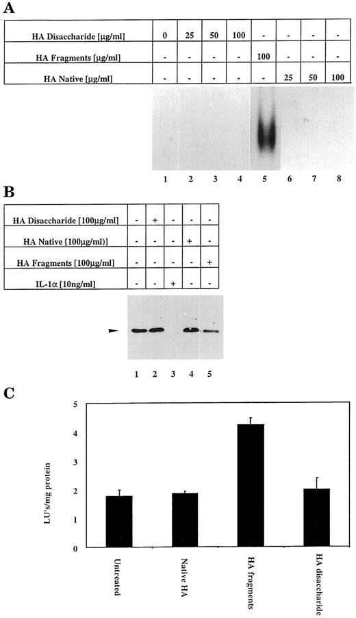
To address the role of HA size in activation of NF-κB, we investigated the ability of different-sized HA molecules to activate NF-κB, because only low molecular weight HA has been shown to be active in inducing inflammatory gene expression. As shown in Fig. 5,A, treatment of cells with HA disaccharide (the core subunit of the HA polymer) was incapable of activating this transcription factor over the dose range of 25–100 μg/ml (lanes 2–4). Similarly, native high molecular weight HA over the same dose range had no effect on NF-κB activation (lanes 6–8). HA fragments (100 μg/ml) were again active (lane 5). Similarly, when IκBα degradation was analyzed, neither native HA (100 μg/ml) (lane 4) nor HA disaccharide (100 μg/ml) (lane 2) were capable of inducing IκBα degradation, while HA fragments (lane 5) and IL-1α (lane 3) induced degradation. A lack of effect of native or disaccharide HA on κB-linked reporter gene expression was also observed (Fig. 5 C). This data clearly demonstrates how the size of the HA molecule is an important indicator of bioactivity.
HA fragment induced NF-κB activation is size dependent. A, Confluent monolayers of T-24 cells were treated with medium alone (lane 1), HA disaccharide from 25 to 100 μg/ml (lanes 2–4), HA fragments (100 μg/ml) (lane 5), or native high molecular mass HA from 25 to 100 μg/ml (lanes 6–8) for 2 h. Nuclear extracts were prepared and assessed for NF-κB DNA-binding activity. Protein-DNA complexes are shown. Results shown are representative of three separate experiments, and the photographs shown are a composite from samples generated in the same experiment but analyzed on different gels under identical conditions. B, T-24 cells were left untreated (−) (lane 1) or treated with HA disaccharide (100 μg/ml) (lane 2), IL-1α (10 ng/ml) (lane 3), native high molecular mass HA (100 μg/ml) (lane 4), or HA fragments (100 μg/ml) (lane 5) for 2 h. Cell lysates were extracted and probed for total IκBα using a mAb that detects IκBα. A specific IκBα band of 37.5 kDa was detected. No other protein complexes except those shown were observed, and the photograph shown is a composite from samples generated in the same experiment but analyzed on different gels under identical conditions. C, T-24 cells were transiently transfected by electroporation with a κB-luciferase reporter gene (5 μg). Forty-eight hours following transfection, cells were incubated with native HA (100 μg/ml), HA fragments (100 μg/ml), HA disaccharide (100 μg/ml), or left untreated for 6 h. Cell lysates were prepared and analyzed for luciferase reporter gene activity and normalized for protein concentration. Results are mean ± SD for a single experiment (triplicate samples), which is representative of three separate experiments.
HA fragment induced NF-κB activation is size dependent. A, Confluent monolayers of T-24 cells were treated with medium alone (lane 1), HA disaccharide from 25 to 100 μg/ml (lanes 2–4), HA fragments (100 μg/ml) (lane 5), or native high molecular mass HA from 25 to 100 μg/ml (lanes 6–8) for 2 h. Nuclear extracts were prepared and assessed for NF-κB DNA-binding activity. Protein-DNA complexes are shown. Results shown are representative of three separate experiments, and the photographs shown are a composite from samples generated in the same experiment but analyzed on different gels under identical conditions. B, T-24 cells were left untreated (−) (lane 1) or treated with HA disaccharide (100 μg/ml) (lane 2), IL-1α (10 ng/ml) (lane 3), native high molecular mass HA (100 μg/ml) (lane 4), or HA fragments (100 μg/ml) (lane 5) for 2 h. Cell lysates were extracted and probed for total IκBα using a mAb that detects IκBα. A specific IκBα band of 37.5 kDa was detected. No other protein complexes except those shown were observed, and the photograph shown is a composite from samples generated in the same experiment but analyzed on different gels under identical conditions. C, T-24 cells were transiently transfected by electroporation with a κB-luciferase reporter gene (5 μg). Forty-eight hours following transfection, cells were incubated with native HA (100 μg/ml), HA fragments (100 μg/ml), HA disaccharide (100 μg/ml), or left untreated for 6 h. Cell lysates were prepared and analyzed for luciferase reporter gene activity and normalized for protein concentration. Results are mean ± SD for a single experiment (triplicate samples), which is representative of three separate experiments.
IKK-1 and -2 play an essential role in mediating the activation of NFκB by HA fragments
We next examined the signal transduction mechanisms involved. We first investigated the role of IKK-1 and -2. As shown in Fig. 6, A and B, when T-24 cells were transiently transfected with a κB-linked reporter gene and cotransfected with dominant negative expression vectors encoding either IKK-1 (Fig. 6,A) or -2 (Fig. 6,B), activation of κB-linked reporter gene activity by HA fragments was abolished. Dominant negative IKK-1 and -2 also potently inhibited reporter gene expression when using IL-1α as a stimulus, a well-characterized activator of the IKK complex (26). We next established that HA fragments could activate IKK activity. The IKK complex was immunoprecipitated with Abs to NEMO (27). Fig. 6,C demonstrates that immunoprecipitated complexes showed a time-dependent increase in phosphorylation of IκBα-GST (residues 1–72), the substrate for IKK (Fig. 6 C, open arrowhead). A second band of ∼48 kDa was also phosphorylated in HA fragment-treated cells (closed arrowhead), which may be NEMO. These data established that HA fragments were capable of driving IKK activity in T-24 cells and that such IKK activity was involved in κB-linked gene expression.
HA fragment-induced κB-dependent reporter gene expression is mediated through the IKK complex. T-24 cells were transiently transfected by electroporation with a κB-luciferase reporter gene (5 μg) and cotransfected with 10 μg expression vectors encoding dominant negative IKK-1 (IKK-1KA) (A) or IKK-2 (IKK-2KA) (B) or empty vector control (pRK5) as described in Materials and Methods. Forty-eight hours following transfection, cells were left untreated or incubated with HA fragments (100 μg/ml) or IL-1α for 6 h. Cell lysates were prepared and analyzed for luciferase reporter gene activity and normalized for protein concentration, as described in Materials and Methods. For IKK-2KA, results represent mean fold-stimulation over empty vector control ± S.E.M. for five experiments with triplicate determinations. For IKK-1KA, results represent mean light units/mg protein ± SD for a single experiment (performed in triplicate) and is representative of three separate experiments. C, Confluent monolayers of T-24 cells (10-ml petri dish) were treated with HA fragments (150 μg/ml) for 15, 30, or 60 min before preparation of whole-cell lysates. Whole-cell lysates were subjected to immunoprecipitation with anti-NEMO Ab. Kinase activity of NEMO immunoprecipitates was assessed by means of the immune complex kinase assay as detailed in Materials and Methods. Phosphorylation of GST-IκBα is indicated by an open arrowhead (30 kDa). The identification of the protein indicated by a closed arrowhead is unknown, but could be NEMO, which becomes phosphorylated during activation (∼48 kDa).
HA fragment-induced κB-dependent reporter gene expression is mediated through the IKK complex. T-24 cells were transiently transfected by electroporation with a κB-luciferase reporter gene (5 μg) and cotransfected with 10 μg expression vectors encoding dominant negative IKK-1 (IKK-1KA) (A) or IKK-2 (IKK-2KA) (B) or empty vector control (pRK5) as described in Materials and Methods. Forty-eight hours following transfection, cells were left untreated or incubated with HA fragments (100 μg/ml) or IL-1α for 6 h. Cell lysates were prepared and analyzed for luciferase reporter gene activity and normalized for protein concentration, as described in Materials and Methods. For IKK-2KA, results represent mean fold-stimulation over empty vector control ± S.E.M. for five experiments with triplicate determinations. For IKK-1KA, results represent mean light units/mg protein ± SD for a single experiment (performed in triplicate) and is representative of three separate experiments. C, Confluent monolayers of T-24 cells (10-ml petri dish) were treated with HA fragments (150 μg/ml) for 15, 30, or 60 min before preparation of whole-cell lysates. Whole-cell lysates were subjected to immunoprecipitation with anti-NEMO Ab. Kinase activity of NEMO immunoprecipitates was assessed by means of the immune complex kinase assay as detailed in Materials and Methods. Phosphorylation of GST-IκBα is indicated by an open arrowhead (30 kDa). The identification of the protein indicated by a closed arrowhead is unknown, but could be NEMO, which becomes phosphorylated during activation (∼48 kDa).
Ras and PKCζ mediate the activation of NF-κB by HA fragments
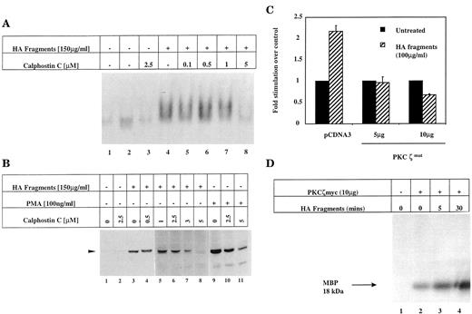
To elucidate the more proximal events in the pathway to NF-κB activation following ligation of HA fragments with the receptor CD44, we first focussed our attention on the role that PKC activation plays, because HA has been shown to activate PKC in cells (39) and a direct role for PKC in IKK activation has been demonstrated. T-24 cells were pretreated with the PKC inhibitor calphostin C, and the effect of HA fragments on NF-κB activation was determined. Preincubation of cells with calphostin C dose-dependently inhibited NF-κB activation (Fig. 7,A), with 5 μM abolishing the effect (compare lane 8 to lane 4). In addition, calphostin C inhibited HA fragment-induced phosphorylation of IκBα (Fig. 7,B). This implied that activation of PKC in response to HA was an important step in this signal transduction cascade. Calphostin C at 5 μM also blocked PMA-induced phosphorylation of IκBα, with 5 μM again abolishing the effect (Fig. 7 B, compare lane 11 to lane 9), demonstrating its efficacy against PKC.
PKCζ mediates the activation of NF-κB by HA fragments. Confluent monolayers of T-24 cells were preincubated with calphostin C alone (lane 3) or from 0.1 to 5 μM (lanes 5–8) before stimulation with HA fragments (150 μg/ml) for 2 h (lanes 4–8) or an equivalent volume of vehicle control (DMSO) (lane 2) as indicated. Nuclear extracts were prepared and assessed for NF-κB DNA-binding activity as described in Materials and Methods. Protein-DNA complexes are shown. B, T-24 cells were preincubated with calphostin C alone 2.5 μM (lane 2) or increasing concentrations (lanes 4–8, 10, and 11) for 1 h or vehicle control (DMSO) (lane 3) before stimulation with HA fragments (150 μg/ml) (lanes 3–8) or PMA (100ng/ml) (lanes 9–11). Cell lysates were extracted and probed for phosphorylation of IκBα using an Ab that detects IκBα only when activated by phosphorylation on Ser32. A phospho-specific IκBα band of 37.5 kDa was detected. No other protein complexes except those shown were observed. (Lanes 1–4 and 5–11 are taken from separate gels, but duplicate samples were run on each gel to normalize exposure intensities such that lanes could be directly compared.) C, T-24 cells were transiently transfected by electroporation with a κB-luciferase reporter gene (5 μg) and cotransfected with 5 or 10 μg expression vector encoding dominant negative PKCζ (ζPKCmut) as described in Materials and Methods. Forty-eight hours following transfection, cells were left untreated (▪) or incubated with HA fragments 150 μg/ml (▨) for 6 h. Cell lysates were prepared and analyzed for luciferase reporter gene activity and normalized for protein concentration. Results represent fold-stimulation over control ± SD for a single experiment (performed in triplicate) and is representative of three experiments. D, T-24 cells were transiently transfected by electroporation with Myc-tagged PKCζ. Twenty-four hours following transfection, cells were left untreated (lane 2) or incubated with HA fragments (100 μg/ml) for 5 or 30 min (lanes 3 and 4). Lane 1 represents background MBP phosphorylation in the absence of cellular lysate. PKCζ was then immunoprecipitated from total cell lysates and subjected to an immune complex kinase assay as described in Materials and Methods. Phosphorylation of MBP (18 kDa) is indicated.
PKCζ mediates the activation of NF-κB by HA fragments. Confluent monolayers of T-24 cells were preincubated with calphostin C alone (lane 3) or from 0.1 to 5 μM (lanes 5–8) before stimulation with HA fragments (150 μg/ml) for 2 h (lanes 4–8) or an equivalent volume of vehicle control (DMSO) (lane 2) as indicated. Nuclear extracts were prepared and assessed for NF-κB DNA-binding activity as described in Materials and Methods. Protein-DNA complexes are shown. B, T-24 cells were preincubated with calphostin C alone 2.5 μM (lane 2) or increasing concentrations (lanes 4–8, 10, and 11) for 1 h or vehicle control (DMSO) (lane 3) before stimulation with HA fragments (150 μg/ml) (lanes 3–8) or PMA (100ng/ml) (lanes 9–11). Cell lysates were extracted and probed for phosphorylation of IκBα using an Ab that detects IκBα only when activated by phosphorylation on Ser32. A phospho-specific IκBα band of 37.5 kDa was detected. No other protein complexes except those shown were observed. (Lanes 1–4 and 5–11 are taken from separate gels, but duplicate samples were run on each gel to normalize exposure intensities such that lanes could be directly compared.) C, T-24 cells were transiently transfected by electroporation with a κB-luciferase reporter gene (5 μg) and cotransfected with 5 or 10 μg expression vector encoding dominant negative PKCζ (ζPKCmut) as described in Materials and Methods. Forty-eight hours following transfection, cells were left untreated (▪) or incubated with HA fragments 150 μg/ml (▨) for 6 h. Cell lysates were prepared and analyzed for luciferase reporter gene activity and normalized for protein concentration. Results represent fold-stimulation over control ± SD for a single experiment (performed in triplicate) and is representative of three experiments. D, T-24 cells were transiently transfected by electroporation with Myc-tagged PKCζ. Twenty-four hours following transfection, cells were left untreated (lane 2) or incubated with HA fragments (100 μg/ml) for 5 or 30 min (lanes 3 and 4). Lane 1 represents background MBP phosphorylation in the absence of cellular lysate. PKCζ was then immunoprecipitated from total cell lysates and subjected to an immune complex kinase assay as described in Materials and Methods. Phosphorylation of MBP (18 kDa) is indicated.
The atypical PKC isoform PKCζ has been particularly implicated in IKK-2 activation (30) and has been shown to be inhibited by calphostin C (40). Therefore, we focussed our attention on PKCζ as the candidate PKC isoform mediating these effects. To do this, we employed the use of an expression vector encoding a dominant negative mutant of PKCζ. The ability of HA fragments to drive reporter gene expression was inhibited by 5 and 10 μg of plasmid encoding dominant negative PKCζ mutant (Fig. 7,C). We next examined the effect of HA fragments on PKCζ activity. Due to a lack of reliable Abs selective for PKCζ, we transfected T-24 cells with a Myc-tagged version of PKCζ and examined in vitro kinase activity recovered from immunoprecipitated PKCζ before and after stimulation with HA fragments. Fig. 7 D demonstrates how treatment of myc PKCζ-transfected cells with HA fragments from 5–30 min increased kinase activity as determined using MBP as substrate (compare lanes 3 and 4 to lane 2). A higher band that migrated at ∼83 kDa was also observed after prolonged exposures (data not shown), which may represent autophosphorylated PKCζ. Immunoblot analysis of transfected cells using anti-Myc Ab confirmed expression of myc tagged constructs in transfected cells (data not shown). These experiments strongly suggest that PKCζ plays a critical role in mediating the effects of HA fragments on activation of NF-κB.
We next wished to establish the events involved further upstream of PKCζ, in particular examining the role that the low molecular weight G-protein Ras, a known upstream regulator of PKCζ, may play (41). First, we used known inhibitors of Ras function to test whether Ras was involved in the activation of NF-κB by HA fragments. Treatment of T-24 cells with the Ras function inhibitor damnacanthal (42) dose-dependently inhibited HA fragment activation of NF-κB (Fig. 8,A). Damnacanthal from 8 μg/ml abolished the effect (compare lane 7 and 8 to lane 2) and also blocked HA-induced phoshorylation of IκBα (Fig. 8,B). Another well-characterized Ras function inhibitor manumycin A (43), which selectively inhibits protein farnesyltransferase activity, has also been used to inhibit Ras. Similarly to damnacanthal, treatment of T-24 cells with manumycin A showed a dose-dependent inhibition of NF-κB activation, with maximal inhibition occurring from 5 μM (Fig. 8,C, lanes 8 and 9). Finally, when T-24 cells were transiently transfected with a κB-linked reporter gene and a vector encoding dominant negative Ras N17, HA fragment-induced reporter gene activity was inhibited in cells expressing Ras N17 at 5, 10, and 20 μg of Ras N17-encoding plasmid (Fig. 8,D). Fig. 8,E illustrates the effect of HA fragments on activation of Ras activity as determined using the Ras-fishing assay, which relies on the ability of activated Ras to bind to c-Raf-1 (37). Treatment of T-24 cells with HA fragments increased Ras activity from 5 to 60 min (Fig. 8 E, lanes 2–6). Taken together, these four mechanistically distinct approaches establish the importance of Ras in HA signaling to NF-κB.
The low molecular mass G-protein Ras mediates the activation of NF-κB by HA fragments. Confluent monolayers of T-24 cells were preincubated with damnacanthal from 2 to 15 μg/ml (lanes 3–8) or vehicle control (DMSO) (lane 2) before stimulation with HA fragments (100 μg/ml) for 2 h (lanes 2 and 6–8) as indicated. Nuclear extracts were prepared and assessed for NF-κB DNA-binding activity as described in Materials and Methods. Protein-DNA complexes are shown. Results are representative of three separate experiments. B, T-24 cells were preincubated with damnacanthal (lanes 3 and 4 and 6–9) for 1 h or vehicle control (DMSO) (lane 2) before stimulation with HA fragments (100 μg/ml) (lanes 6–9). Cell lysates were extracted and probed for phosphorylation of IκBα using an Ab that detects IκBα only when activated by phosphorylation on Ser32. A IκBα band of 37.5 kDa was detected. No other protein complexes except those shown were observed. C, T-24 cells were preincubated with manumycin A from 1 to 10 μM (lanes 3–5 and 7–9) or vehicle control (DMSO) (lane 2) before stimulation with HA fragments (100 μg/ml) for 2 h (lanes 6–9) as indicated above the lanes. Nuclear extracts were prepared and assessed for NF-κB DNA-binding activity as described in Materials and Methods. Protein-DNA complexes are shown. D, T-24 cells were transiently transfected by electroporation with a κB-luciferase reporter gene (5 μg) and cotransfected with expression vector for dominant negative Ras (RasN17) (concentrations indicated) or empty vector control (RSV) as described in Materials and Methods. Forty-eight hours following transfection, cells were left untreated (▪) or incubated with HA fragments (150 μg/ml) (▨) for 6 h. Cell lysates were prepared and analyzed for luciferase reporter gene activity and normalized for protein concentration as described in Materials and Methods. Results represent fold-stimulation over control ± SD or a single experiment (performed in triplicate) and is representative of three separate experiments. E, T-24 cells were treated with HA fragments (100 μg/ml) from 1 to 60 min (lanes 2–6). Cell lysates were extracted and equal protein per sample incubated with GST-RBD (precoupled to glutathione agarose beads) as described in Materials and Methods. Activated Ras was collected by centrifugation and subjected to 15% SDS-PAGE followed by immunoblotting with anti-Ras mAb. A Ras-specific band of 21 kDa was detected. No other protein complexes except those shown were observed. An identical result was obtained in a further experiment.
The low molecular mass G-protein Ras mediates the activation of NF-κB by HA fragments. Confluent monolayers of T-24 cells were preincubated with damnacanthal from 2 to 15 μg/ml (lanes 3–8) or vehicle control (DMSO) (lane 2) before stimulation with HA fragments (100 μg/ml) for 2 h (lanes 2 and 6–8) as indicated. Nuclear extracts were prepared and assessed for NF-κB DNA-binding activity as described in Materials and Methods. Protein-DNA complexes are shown. Results are representative of three separate experiments. B, T-24 cells were preincubated with damnacanthal (lanes 3 and 4 and 6–9) for 1 h or vehicle control (DMSO) (lane 2) before stimulation with HA fragments (100 μg/ml) (lanes 6–9). Cell lysates were extracted and probed for phosphorylation of IκBα using an Ab that detects IκBα only when activated by phosphorylation on Ser32. A IκBα band of 37.5 kDa was detected. No other protein complexes except those shown were observed. C, T-24 cells were preincubated with manumycin A from 1 to 10 μM (lanes 3–5 and 7–9) or vehicle control (DMSO) (lane 2) before stimulation with HA fragments (100 μg/ml) for 2 h (lanes 6–9) as indicated above the lanes. Nuclear extracts were prepared and assessed for NF-κB DNA-binding activity as described in Materials and Methods. Protein-DNA complexes are shown. D, T-24 cells were transiently transfected by electroporation with a κB-luciferase reporter gene (5 μg) and cotransfected with expression vector for dominant negative Ras (RasN17) (concentrations indicated) or empty vector control (RSV) as described in Materials and Methods. Forty-eight hours following transfection, cells were left untreated (▪) or incubated with HA fragments (150 μg/ml) (▨) for 6 h. Cell lysates were prepared and analyzed for luciferase reporter gene activity and normalized for protein concentration as described in Materials and Methods. Results represent fold-stimulation over control ± SD or a single experiment (performed in triplicate) and is representative of three separate experiments. E, T-24 cells were treated with HA fragments (100 μg/ml) from 1 to 60 min (lanes 2–6). Cell lysates were extracted and equal protein per sample incubated with GST-RBD (precoupled to glutathione agarose beads) as described in Materials and Methods. Activated Ras was collected by centrifugation and subjected to 15% SDS-PAGE followed by immunoblotting with anti-Ras mAb. A Ras-specific band of 21 kDa was detected. No other protein complexes except those shown were observed. An identical result was obtained in a further experiment.
Discussion
The unifying mechanism underlying the induction of a number of proinflammatory genes by HA fragments, including a range of chemokines, cytokines, cell adhesion molecules, and inducible NO synthase (9, 11, 12, 31) is that their 5′ flanking region contains NF-κB sites, with NF-κB playing a critical role in their regulation. In this study, analysis of CD44 immunoreactivity in a panel of cell lines establish that NF-κB activation by HA fragments directly correlated with CD44 expression. Further studies in T-24 bladder carcinoma cells demonstrated that the effect on NF-κB, both in terms of DNA binding and κB-linked repoter gene expression, was inhibited by preincubation with an Ab to CD44 (IM7.8.1). Therefore, a role for CD44 in HA-induced NF-κB activation is clearly indicated. It remains to be determined whether this phenomenon will also occur in primary cells, but given the diversity of cell types examined in this study, it seems likely that these effects will also occur in primary cells.
The activation of NF-κB in response to HA fragments was further characterized in T-24 carcinoma cells. Importantly, HA fragment activation of NF-κB in T-24 cells also occurred in the presence of the LPS inhibitor, polymyxin B1 (10 μg/ml) (data not shown). HA fragments induced phosphorylation of IκBα, an early event in this pathway as shown by the early time course of activation, followed by its degradation. Activated complexes, when assessed for subunit composition, established the presence of both p50 and p65 NF-κB subunits. The presence of p65 in the activated complex suggested that the complex was transcriptionally active.
We also demonstrated that the effects of HA fragments were critically HA size dependent. High molecular weight HA was inactive, but lower molecular weight fragments of the size range found at sites of inflammation were active. In addition, the core subunit of the HA polymer, HA disaccharide, was inactive. This data is in agreement with that observed for induction of proinflammatory gene expression by HA fragments. The basis for the difference between HA fragments and native HA is unclear. It has been shown that the lack of biological effect with high molecular weight HA on chemokine expression was not due to its inability to bind to the cells as it has been shown to bind to macrophages (31), being displaced by lower molecular weight forms. This suggests that both higher and lower molecular weight HA use the same receptor. One possible explanation for the failure of high molecular weight HA to activate NF-κB or induce gene expression is that the high molecular weight forms may bind to cells in such a way as to prevent receptor cross-linking. We hypothesize that, in the context of a noninflammatory milieu, inert native high molecular weight HA binds “nonproductively” to keep CD44 molecules that are often highly abundant on cell surfaces in an inactive inert conformation. Then, lower molecular weight fragments generated under inflammatory conditions displace higher molecular weight HA and thereby facilitate CD44 cross-linking, creating a conformation of the receptor that is biologically active. It is also possible that structural differences between the different forms of HA, including differences in secondary or tertiary structure and alterations in the reducing ends of HA, may contribute to differences in biological activity. However, until more is known about the physical chemistry of HA fragments generated at sites of inflammation, it will be difficult to decipher what factors in addition to fragment molecular weight are important in conferring biological activity.
Multiple mechanisms have been proposed for the increase in HA turnover and degradation during inflammatory or malignant disease, leading to the accumulation of lower molecular weight fragments. Reactive oxygen species, hyaluronidase activity, and de novo biosynthesis of lower molecular weight fragments have all been postulated as a mechanism for the generation of biologically active forms of HA (1, 4, 5). This latter mechanism is of particular interest. Three distinct human HA synthase enzymes have been identified, namely, HA synthase 1, 2, and 3 (HAS 1, 2, and 3). HAS 1 and 2 are believed to be responsible for the synthesis of native high molecular weight HA, whereas it has been suggested that HAS 3 has a preponderance toward the biosynthesis of lower molecular weight fragments (44, 45, 46). Several studies have shown that cytokines and growth factors can increase HA synthesis in fibroblasts and smooth muscle cells, and molecular weight analysis shows that the newly synthesized HA is in the size range that has been found to be biologically active (5, 47). Indeed, recently it has been demonstrated that TNF, a key proinflammatory mediator, stimulates the synthesis of hyaluronan in an NF-κB-dependent manner (48), suggesting that a possible autocrine mechanism exists.
We next examined in detail the signal transduction pathway activated by HA fragments leading to IκBα phosphorylation and degradation using T-24 cells as a model system. Immune complex kinase analysis demonstrated that IKK complex activity was increased in cells treated with HA fragments. It is has recently been suggested that the IKKs, although united in the same heterodimeric complex, activate NF-κB separately and under different conditions (49, 50, 51, 52). Biochemical and gene knockout studies have suggested that IKK-1 is essential for NF-κB activation in morphogenetic events, including limb and skeletal pattern formation and proliferation and differentiation of epidermal keratinocytes (49, 50). However, IKK-2 may be responsible for NF-κB activation by TNF (51). In our study, transient transfection of expression vectors encoding either dominant negative IKK-1 or IKK-2 inhibited both HA- and IL-1-induced reporter gene expression. These effects could be explained by the fact that overexpression of dominant negative IKK-1 may disrupt the complex and interfere with IKK-2 activity. Alternatively, the inhibitory effects of dominant negative IKK-1 on HA fragments may highlight a more interesting phenomenon. The signal(s) that control IKK-1 activity early in development are unknown, but are most likely not to be cytokines like IL-1 or TNF. HA and CD44 have long been known to play a role in development, with expression of CD44 and its variants restricted to certain stages of early limb bud development (53, 54). The precise role that HA fragments play in these developmental pathways remains to be determined. Given that IKK-1 appears to play a role in HA-activated NF-κB, it may be that HA fragment-mediated activation of IKK-1 is important in early developmental pathways.
Our study also demonstrates a critical role for PKCζ in the NF-κB pathway, most probably through regulation at the level of IKK activity (30). Immune complex kinase analysis also demonstrated that PKCζ activity was increased in cells treated with HA fragments. Furthermore, using inhibitors of Ras function and dominant negative RasN17 we demonstrated a role for the this low molecular weight G-protein and establish the ability of HA fragments to activate Ras. Ras is an important upstream regulator of PKCζ either by a direct interaction (41) or indirectly through phosphatidylinositol 3-kinase (55, 56). However, how Ras is recruited into the signaling pathway following HA binding to CD44 is unclear. It has been demonstrated that tyrosine kinase activation is a key early postreceptor signaling event in CD44-mediated signaling pathways and the role of Ras proteins as downstream effectors of tyrosine kinase activation pathways is well established (57). CD44 has been shown to interact with receptor tyrosine kinases such as ErbB-2, c-Met, and members of the Src nonreceptor tyrosine kinase family (58, 59). We examined the role of one of these potential candidates in this process, namely ErbB-2 (185 kDa), which becomes activated by HA fragments in carcinoma cells (60). No role for ErbB-2 could be found in the process of NF-κB activation by HA fragments in our studies (data not shown). Therefore, it remains to be determined what role, if any, tyrosine phosphorylation may play in HA fragment-induced NF-κB activation and how, following ligand engagement, CD44 can activate Ras.
In conclusion, we propose a model whereby through CD44, HA fragments lead to activation of Ras and PKCζ, followed by activation of the IKK complex. Therefore, this study provides novel and important insights into the mechanisms through which HA fragments lead to induction of proinflammatory genes. The generation of HA fragments at sites of noninfectious inflammation may prove to be an important mechanism for the up-regulation of NF-κB and thus contribute to the pathological development of chronic inflammation.
Acknowledgements
We thank Drs. S. Yamaoka and A. Israel (Institute Pasteur, Paris, France) for donating anti-NEMO antiserum, Drs. M. Diaz-Meco and J. Moscat (Centro de Biologia Molecular, Madrid, Spain) for dominant negative and myc-tagged PKCζ expression vectors, and Dr. K. Catron (Boehringer Ingelheim Pharmaceuticals, Ridgefield, CT) for the ICAM-1 promoter constructs.
Footnotes
This work was conducted as part of the Health Research Board of Ireland Cell Adhesion Molecule Unit.
Abbreviations used in this paper: HA, hyaluronic acid; IκBα, inhibitor protein of NF-κB; IKK, IκB kinase; NEMO, NF-κB essential modulator; IKAP, IKK-associated protein; NIK, NF-κB-inducing kinase; PKCζ, protein kinase Cζ; HAS, HA synthase; RBD, Ras binding domain; MBP, myelin basic protein.







