Abstract
Macrophage inflammatory protein-1α (MIP-1α/CCL3) is a CC chemokine required for optimal recruitment of leukocytes in response to cryptococcal Ags. MIP-1α is expressed in the lungs by day 6 post Cryptococcus neoformans infection and could play a role in the development of cell-mediated immunity. To address this possibility, wild-type (MIP-1α+/+) mice and MIP-1α knockout (MIP-1α−/−) mice were infected intratracheally with a highly virulent strain of C. neoformans (145A). MIP-1α message was detected in the lungs on days 3, 7, and 14 in MIP-1α+/+ mice, but it was undetectable in MIP-1α−/− mice. On day 16, MIP-1α−/− mice had a 7-fold increase in C. neoformans burden in the lungs, but no decrease in pulmonary leukocyte recruitment. MIP-1α+/+ and MIP-1α−/− mice had similar numbers of recruited lymphocytes and monocytes/macrophages. Notably, MIP-1α−/− mice had a significantly greater number of eosinophils. MIP-1α−/− mice had extremely high levels of serum IgE. This switch of immune response to a T2 phenotype was associated with enhanced IL-4 and IL-13 expression in the lungs of MIP-1α−/− mice compared with MIP-1α +/+ mice. Progression of pulmonary cryptococcosis in the presence of nonprotective T2 immunity resulted in profound lung damage in MIP-1α−/− mice (eosinophilic crystal deposition, destruction of lung parenchyma, and pulmonary hemorrhage). Twelve-week survival was dramatically decreased in MIP-1α−/− mice. These studies, together with our previous studies, demonstrate that MIP-1α plays a role in both the afferent (T1/T2 development) and efferent (T1-mediated leukocyte recruitment) phases of cell-mediated immunity to C. neoformans.
The encapsulated yeast Cryptococcus neoformans is acquired via the respiratory tract, and the development of T cell-mediated immunity (CMI)3 is one of the crucial elements required for clearance of this pathogen (1, 2, 3). Both CD4+ and CD8+ T cells play an important role in this process (4, 5, 6, 7). Either a type 1 (T1) or type 2 (T2) response can develop following C. neoformans infection. A T1 response promotes clearance of C. neoformans, and molecules important in T1 development include IFN-γ, IL-12, and the CCR2 (8, 9, 10, 11, 12). In contrast, a T2 response results in IL-4 and IL-5 production, chronic infection with lung eosinophilia, brain dissemination, and death of mice infected with C. neoformans (10, 12, 13). Thus, T1 CMI in the lungs during C. neoformans infection is protective, whereas T2 CMI is nonprotective.
Macrophage inflammatory protein-1α (MIP-1α) is a CC chemokine (CCL3) (14) that is required for T1 CMI to C. neoformans. MIP-1α is required for optimal recruitment of leukocytes in response to cryptococci or cryptococcal Ags (15, 16). We have shown that, in mice infected intratracheally with C. neoformans, administration of neutralizing anti-MIP-1α Abs on days 7–13 of infection decreases the recruitment of mononuclear phagocytes and neutrophils into the lung and ablates clearance of the pathogen (15). Thus, MIP-1α plays an important role in the efferent (effector) phase CMI to C. neoformans, but its role in the afferent phase (development/polarization) of CMI is unknown.
The early expression of MIP-1α could play a role in the development of T1 immunity to C. neoformans. MIP-1α is induced during the early (innate) phase of the immune response to C. neoformans infection (15, 17). In other systems, MIP-1α was shown to promote chemotaxis of Th1 but not Th2 cell lines in vitro (18). MIP-1α can also drive TCR transgenic Th0 cells to differentiate to Th1 cells in vitro (19) and can decrease IL-4 production from cultured Th2-type lymphocytes stimulated with schistosomal egg Ag (20, 21). Anti-MIP-1α Abs can inhibit the development of T1-mediated experimental autoimmune encephalitis (19, 22), whereas MIP-1α knockout mice are protected from Coxsackie virus-induced myocarditis and influenza virus-induced pneumonitis (23). Thus, MIP-1α has the potential to modulate the development of CMI. It remains to be determined whether MIP-1α can modulate the development of T1 vs T2 CMI in vivo, during infections cleared in a T cell-dependent fashion, such as C. neoformans.
To determine the role of MIP-1α in regulating the afferent phase of T1/T2 immune responses, we performed a series of experiments analyzing pulmonary infection with C. neoformans in MIP-1α knockout mice (MIP-1α−/−). Clinical isolates of C. neoformans fall into three categories in experimental murine infections: low virulent, moderately virulent, and highly virulent (24). We selected one of the most commonly studied highly virulent strains of C. neoformans (145A), because one of our goals was to study the effect of MIP-1α on mouse survival. As previously demonstrated by our laboratory and Kawakami et al., the highly virulent class of C. neoformans isolates does not induce early pro-T1 cytokines, such as TNF-α, IL-12, or IFN-γ, but surprisingly does not induce a T2 type response in infected animals (25, 26, 27, 28). In this report, we demonstrate that production of MIP-1α prevents the switch to a T2 response during infection with a highly virulent strain of C. neoformans. Additionally, we demonstrate that the absence of MIP-1α has a profound effect on survival of infected host.
Materials and Methods
Mice
MIP-1α+/+ mice (B6129F2/J; The Jackson Laboratory, Bar Harbor, ME) and MIP-1α−/− mice, (B6129F2-Scya3tm1Coo; Ref. 23 ; University of Michigan breeding colony) were housed under specific pathogen-free conditions in enclosed filter top cages. Clean food and water were given ad libitum. The mice were handled and maintained using microisolator techniques with daily veterinarian monitoring. The MIP-1α−/− mice lack a promoter region, as well as exon 1 and part of exon 2 of MIP-1α gene (23). Both MIP-1α+/+ and MIP-1α−/− lines of mice were B6129F2 background, and large enough n values were used in the experiments to control for potential variance of responses within this strain of mice. Mice were 8–16 wk of age at the time of infection, and there was no age-related difference in the responses of these mice to C. neoformans infection.
C. neoformans
Highly virulent C. neoformans strain 145A was obtained from the American Type Culture Collection (62070; Manassas, VA) (28). For infection, yeasts were grown to stationary phase (at least 72 h) at 36°C in Sabouraud dextrose broth (1% neopeptone, 2% dextrose; Difco, Detroit, MI) on a shaker. The cultures were then washed in nonpyrogenic saline (Travenol, Deerfield, IL), counted on a hemocytometer, and diluted to 3.3 × 105 yeast cells/ml in sterile nonpyrogenic saline.
Intratracheal inoculation of C. neoformans
Mice were anesthetized by i.p. injection of pentobarbital (0.074 mg/g body weight; Butler, Columbus, OH) and restrained on a small board. A small incision was made through the skin over the trachea, and the underlying tissue was separated. A bent 30-gauge needle (Becton Dickinson, Rutherford, NJ) was attached to a tuberculin syringe (Becton Dickinson) filled with the diluted C. neoformans culture. The needle was inserted into the trachea, and 30 μl of inoculum was dispensed into the lungs (104 yeast cells). The skin was closed with cyanoacrylate adhesive. The mice recovered with minimal visible trauma. Aliquots of the inoculum were collected periodically to monitor the number of CFU being delivered.
Preparation of lung leukocytes
The lungs from each mouse were excised, washed in PBS, minced with scissors, and digested enzymatically for 30 min in 15 ml/lung of digestion buffer (RPMI 1640, 5% FCS, antibiotics, 1 mg/ml collagenase (Boehringer Mannheim Biochemical, Chicago, IL), and 30 μg/ml DNase (Sigma, St. Louis, MO)). The cell suspension and tissue fragments were further dispersed by drawing up and down through the bore of a 10-ml syringe, and centrifuged. Erythrocytes in the pellets were lysed by addition of 3 ml of NH4Cl buffer (0.829% NH4Cl, 0.1% KHCO3, 0.0372% Na2EDTA, pH 7.4) for 3 min, followed by a 10-fold excess of RPMI 1640. Cells were resuspended again, and a second cycle of syringe dispersion and filtration through a sterile nylon screen (Nitex, Kansas City, MO) were performed. The filtrate was centrifuged for 25 min at 3000 rpm in presence of 20% Percoll (Sigma) to separate leukocytes from cell debris and epithelial cells. Leukocyte pellets were resuspended in 10 ml of complete media and enumerated in a hemocytometer, upon dilution in trypan blue. The leukocyte recruitment was calculated using the following formula: recruited leukocytes in infected mouse = [(total number of leukocyte in infected mouse) − (mean number of leukocytes in uninfected mice)]. Leukocyte recovery from uninfected MIP-1α+/+ and MIP-1α−/− mice was 26.1 ± 3.1 × 106 leukocytes (n = 10) and 26.4 ± 2.6 × 106 leukocytes (n = 10), respectively.
Assessment of leukocyte population
For the differential count of lung cell suspensions, samples were cytospun (Shandon Cytospin, Pittsburgh, PA) onto glass slides and stained by a modification of the Diff-Quik whole blood stain (Diff-Quik; Baxter Scientific, Miami, FL). Samples were fixed/prestained 2 min in a one-step methanol based Wright-Giemsa stain (Harleco, EM Diagnostics, Gibbstown, NJ), rinsed in water, and stained using steps 2 and 3 of the Diff-Quik stain. This modification of the Diff-Quik stain procedure improves the resolution of eosinophils from neutrophils in the mouse. A total of 200–400 cells were counted from randomly chosen, high-power microscope fields for each sample. The absolute number of a leukocyte subset was calculated by multiplying the percentage of each subset in an individual sample by the total number of lung leukocytes in that mouse. Recruitment was calculated as described in previous paragraph for total leukocytes. Leukocyte recovery from uninfected MIP-1α+/+ (n = 10) was 0.4 ± 0.1 × 106 neutrophils, 0.2 ± 0.2 × 106 eosinophils, 15.1 ± 1.7 × 106 monocytes/macrophages, and 10.4 ± 1. 8 × 106 lymphocytes; whereas from uninfected MIP-1α −/− (n = 10), 0.7 ± 0.3 × 106 neutrophils, 0.1 ± 0.1 × 106 eosinophils, 14.7 ± 1.1 × 106 monocytes/macrophages, and 11.0 ± 1.9 × 106 lymphocytes.
Flow cytometric analysis of lymphocyte subsets
Leukocytes (5 × 105) were incubated for 30 min on ice with staining buffer (FA buffer, (Difco), 0.1% NaN3, 1% FCS). Each sample was incubated with the following: 0.12 μg of Cy-Chrome-labeled anti-CD45 (30-F11; PharMingen, San Diego, CA) and either 0.25 μg each of FITC-labeled anti-CD4 (RM4–5) and PE-labeled anti-CD8 (53-6.7) or 0.25 μg of FITC-labeled anti-B220 (RA3–6B2). The samples were washed in staining buffer and fixed in 2.5% neutral buffered formalin. Stained samples were stored in the dark at 4°C until analyzed by flow cytometry (Coulter Elite ESP). Samples were gated for CD45-positive cells and then analyzed for staining by the specific FITC- and PE-labeled Abs. The absolute number of a lymphocyte subsets (from percentages) and their recruitment were calculated in each individual sample using formulas described in previous paragraphs. Lymphocyte recovery from uninfected MIP-1α+/+ (n = 8) was 2.8 ± 0.3 × 106 CD4+, 1.3 ± 0.3 × 106 CD8+, and 4.3 ± 0.3 B220+ cells/lung; whereas from uninfected MIP-1α−/− (n = 6), 2.4 ± 0.4 × 106 CD4+, 1.7 ± 0.4 × 106 CD8+, and 4.9 ± 1.0 B220+ cells/lung.
Assessment of lung C. neoformans burden
A 100-μl sample from each lung cell suspension was collected from lung digests before erythrocyte lysis. Ten-fold serial dilutions were plated on Sabouraud dextrose agar plates in duplicates. After incubation at room temperature for at least 48 h, CFU were counted and expressed as total CFU per lung.
In vivo treatment with anti-CD4 and anti-CD8 and its evaluation
Mice were injected with 300 μg of GK1.5 mAb (anti-CD4) and 300 μg of YTS 169.4 mAb (anti-CD8) rat IgG on day 0 and 100 μg of each mAb on day 9. Dramatic reduction in T cell numbers was confirmed at day 16 by staining for CD4 and CD8 markers and subsequent flow cytometry of lung leukocytes and splenocytes.
Histology
Lungs were fixed by inflation with 1 ml of 10% neutral buffered formalin. After paraffin embedding, 5-μm sections were cut and stained with hematoxylin and eosin, and viewed by light microscopy.
Detection of cytokine mRNA by RT-PCR
Whole lungs were removed, homogenized in TRIzol Reagent (Life Technologies, Gaithersburg, MD), extracted as outlined in the TRIzol protocol, and precipitated with isopropanol. The RNA was washed with 70% ethanol, dissolved in nuclease-free H2O, and quantified by UV spectrophotometry using absorbance at 260 nm. One step RT-PCR (Promega Access RT-PCR Kits, Madison, WI) was performed on equal aliquots of RNA following the manufacturer’s protocol. Three 5-fold dilutions of the RNA product (1, 0.2, and 0.04 μg) were used for the RT-PCR to control for possible over-amplification of the cDNA in the samples. The oligonucleotide primers for PCR were as follows: β-actin, 5′-GTG-GGC-CGC-TCT-AGG-CAC-CA-3′ (sense); 5′-CTC-AGC-TGT-GGT-GGT-GAA-GC-3′ (antisense); Cyclophilin, 5′-CAT-CTG-CAC-TGC-CAA-GAC-TG-3′ (sense); 5′-CTG-CAA-TCC-AGC-TAG-GCA-TG-3′ (antisense); IL-4, 5′-GGA-GCC-ATA-TCC-ACG-GAT-GCG-AC-3′ (sense); 5′-GAA-TCC-AGG-CAT-CGA-AAA-GCC-CG-3′ (antisense); IL-13, 5′-GCC-AGC-CCA-CAG-TTC-TAC-AGC-3′ (sense); 5′-CGG-TTA-CAG-AGG-CCA-TGC-AAT-ATC-C-3′ (antisense); IL-12p40, 5′-CAG-AAG-CTA-ACC-ATC-TCC-TGG-TTT-G-3′ (sense); 5′-TCC-GGA-GTA-ATT-TGG-TGC-TTC-ACA-C-3′ (antisense); IFN-γ, 5′-GGC-TGT-TTC-TGG-CTG-TTA-CTG-CCA-CG-3′ (sense); 5′-GAC-AAT-CTC-TTC-CCC-ACC-CCG-AAT-CAG-3′ (antisense); MIP-1α, 5′-AAG-GTC-TCC-ACC-ACT-GCC-CTT-G-3′ (sense); 5′-CTC-AGG-CAT-TCA-GTT-CCA-GGT-C-3′ (antisense).
The PCR parameters for β-actin and MIP-1α, IFN-γ, and IL-13 were 35 cycles, and the remaining cytokines underwent 40 cycles. Annealing temperature was as follows: 55°C for β-actin and MIP-1α, 58°C for IL-4 and IL-12p40, and 63°C for IFN-γ and IL-13. RT-PCR products were electrophoresed, visualized by ethidium bromide staining, and the sizes of the RT-PCR products confirmed by comparison with a 100-bp ladder run in parallel on the same gel. RT-PCR products were transferred from the gels onto Zeta-Probe Blotting Membrane (Bio-Rad, Hercules, CA) for ∼2 h on a Vacuum Blotter (Model 735; Bio-Rad). DNA was cross-linked to the membranes in an UV Stratalinker (Model1800; Stratagene, La Jolla, CA). Specific DNA products were detected via hybridization with internal probes for DNA products of interest: β-actin, 5′-GGG-ACG-ACA-TGG-AGA- AGA-TCT-GG-3′; IL-4, 5′-TGG-TGT-TCT-TCG-TTG-CTG-3′; IL-12p40, 5′-ATG-TTG-TAG-AGG-TGG-ACT-GG-3′; IL-13, 5′-CCT-GGT-CCA-CAC-AGG-GCA-AC-3′; IFN-γ, 5′-CAG-CGA-CTC-CTT-TTC-CGC-TT-3′; MIP-1α, 5′-GTC-AAC-GAT-GAA-TTG-GCG-TGG-AAT-C-3′.
The probes were labeled with digoxinin (DIG Oligonucleotide 3′-end Labeling Kit; Boehringer Mannheim). Subsequently, DIG Luminescent Detection Kit for Nucleic Acids (Boehringer Mannheim) was used according to manufacturer’s protocol. Presence of specific cDNA (chemiluminescence) on the blots was determined via exposure on x-ray film.
Serum IgE detection (ELISA)
To obtain serum, peripheral venous blood was collected from MIP-1α−/− and MIP-1α+/+ mice at week 5 of infection. Serum was separated via centrifugation, transferred into microtubes, and frozen until tested. Murine IgE ELISA kit (PharMingen) was used to quantify IgE in serum samples diluted 1:100. Reactions were performed on 96-well ELISA plates (Costar, Cambridge, MA) containing both serum samples, and the murine IgE standard in duplicates. The ODs were read on a microplate reader (Ultra Micro EL 808; Biotek Instruments, Luton, U.K.) at λ = 510 nm. The IgE content in each well was estimated by interpolation of sample OD values with the murine IgE standard by a four-parameter curve-fitting program. Sensitivity limit for IgE detection was 10 ng/ml.
In vivo treatment of MIP-1α+/+ mice with anti-MIP-1α antiserum and evaluation of its effects
Rabbit antiserum against MIP-1α (kindly provided by N. Lukacs and S. Kunkel, University of Michigan) was used to neutralize MIP-1α in MIP-1α+/+ mice. On days 0, 3, and 6 of C. neoformans infection, MIP-1α+/+ mice (n = 5) received this antiserum i.p. Control group of MIP-1α+/+ mice (n = 5), infected at the same time, received nonimmune rabbit serum i.p. Following the protocol described above of lung leukocytes isolation, leukocytes were resuspended in complete medium (5 × 106/ml) and cultured in 24-well plates at 37°C and 5% CO2 without any additional stimulus. Supernatants were collected after 24 h and assayed for IL-4 using the IL-4 ELISA kit (OptEIA; PharMingen) and following manufacturer’s instructions.
Calculations and statistics
Data (mean ± SE) for each experimental group were derived from three experiments and analyzed via two-way ANOVA. For individual comparisons of multiple groups, post hoc test for simple main effects was used to calculate p values. Means with p < 0.05 were considered statistically significant.
Results
Early induction of MIP-1α in the lungs in response to pulmonary C. neoformans infection
To determine whether MIP-1α is induced during the afferent phase of the immune response to pulmonary infection with a highly virulent strain of C. neoformans, we analyzed the time course of MIP-1α expression in the lungs of intratracheally infected MIP-1α+/+ and MIP-1α−/− mice. Induction of MIP-1α mRNA could be detected by RT-PCR as early as day 3 in MIP-1α+/+ mice. Levels of MIP-1α mRNA expression further increased along with the progress of infection on days 7 and 14 (data not shown). MIP-1α−/− mice did not express this chemokine at any of these time points, consistent with the deletion of the MIP-1α gene (data not shown). Thus, pulmonary infection with C. neoformans induces MIP-1α in the lung by day 3, and MIP-1α expression increases through the first 14 days of infection.
Effect of MIP-1α deletion on pulmonary growth of C. neoformans postinfection
To determine the role of MIP-1α in the control of pulmonary C. neoformans growth, we determined the number of C. neoformans in the lung of MIP-1α+/+ and MIP-1α−/− mice at days 7 and 16. There was no difference in lung CFU on day 7 (Fig. 1). However, at day 16, there was a 7-fold higher C. neoformans lung burden in MIP-1α−/− mice in comparison with MIP-1α+/+ mice (Fig. 1). Thus, MIP-1α does not play a role in controlling growth of C. neoformans during the first week of infection. However, MIP-1α is required to control the growth of C. neoformans in the lungs during the later time points.
Effect of MIP-1α deletion on pulmonary growth of C. neoformans in infected mice (day 7 and 16). Mice were infected intratracheally (C. neoformans 145, 104 CFU) and analyzed: day 7, n = 9 and n = 10 for MIP-1α+/+ and MIP-1α−/−mice, respectively; day 16, n = 9 and n = 11 for MIP-1α+/+ and MIP-1α−/− mice, respectively. Data, pooled from three separate matched experiments, are expressed as the mean CFU per lung ± SE. ∗, p < 0.05 in comparison with MIP-1α+/+. Note CFU burden on day 7 was identical in both groups of animals.
Effect of MIP-1α deletion on pulmonary growth of C. neoformans in infected mice (day 7 and 16). Mice were infected intratracheally (C. neoformans 145, 104 CFU) and analyzed: day 7, n = 9 and n = 10 for MIP-1α+/+ and MIP-1α−/−mice, respectively; day 16, n = 9 and n = 11 for MIP-1α+/+ and MIP-1α−/− mice, respectively. Data, pooled from three separate matched experiments, are expressed as the mean CFU per lung ± SE. ∗, p < 0.05 in comparison with MIP-1α+/+. Note CFU burden on day 7 was identical in both groups of animals.
Effect of MIP-1α deletion on pulmonary leukocyte recruitment following C. neoformans infection
To determine whether the increase in lung CFU in MIP-1α−/− mice was due to lack of leukocyte recruitment upon infection, we compared leukocyte recruitment into the lungs of C. neoformans-infected MIP-1α−/− and MIP-1α+/+ mice. Leukocytes were isolated from whole lungs by enzymatic dispersion as described in Materials and Methods. On day 16 postinfection, there was significant leukocyte recruitment in both MIP-1α+/+ and MIP-1α−/− mice (Fig. 2). Thus, the increased burden of C. neoformans in MIP-1α−/− mice is not due to deficient leukocyte recruitment into the site of infection (lungs).
Effect of MIP-1α deletion on pulmonary recruitment of leukocytes in mice infected with C. neoformans (day 16). Cells were isolated from infected lungs of MIP-1α+/+ (n = 9) and MIP-1α−/− mice (n = 11) following enzymatic dispersion of whole lungs (see Materials and Methods). Recruited leukocytes in infected mouse = ((total number of leukocytes in infected mouse) − (mean number of leukocytes in uninfected mice)). Uninfected mice per group (n = 10). Bars represent x̄ ± SE; ∗, p < 0.05 in comparison with MIP-1α+/+.
Effect of MIP-1α deletion on pulmonary recruitment of leukocytes in mice infected with C. neoformans (day 16). Cells were isolated from infected lungs of MIP-1α+/+ (n = 9) and MIP-1α−/− mice (n = 11) following enzymatic dispersion of whole lungs (see Materials and Methods). Recruited leukocytes in infected mouse = ((total number of leukocytes in infected mouse) − (mean number of leukocytes in uninfected mice)). Uninfected mice per group (n = 10). Bars represent x̄ ± SE; ∗, p < 0.05 in comparison with MIP-1α+/+.
The development of pulmonary eosinophilia in MIP-1α−/− mice
The next objective was to determine whether MIP-1α deletion caused a change in the types of recruited pulmonary leukocytes. The numbers of lymphocytes and monocytes/macrophages recruited into the lungs were identical in both MIP-1α+/+ and MIP-1α−/− mice (Fig. 3,A). Additional analysis demonstrated that there were also no differences in the numbers of recruited CD4+, CD8+, and B220+ cells in both strains of mice (Fig. 3,B). Neutrophil recruitment was also not defective in MIP-1α−/− mice (Fig. 3,A). However, there was a striking increase in eosinophil recruitment in MIP-1 α−/− mice (24 × 106 eosinophils in MIP-1 α−/− compared with 7.5 × 106 eosinophils in MIP-1α+/+ (Fig. 3,A)). Administration of anti-CD4 and anti-CD8 mAbs to both strains of mice before infection resulted in severe reduction of CD4+ (90.6 ± 0.7% in MIP-1α−/− and 98.7 ± 0.5% in MIP-1α+/+ mice) and CD8+ cells (94.6 ± 1.9% in MIP-1α−/− and 91.2 ± 2.4% in MIP-1α+/+ mice). This treatment virtually entirely eliminated eosinophil recruitment in both MIP-1α+/+ and MIP-1α−/− mice (Fig. 3 C). Thus, MIP-1α deletion resulted in a T cell-mediated, pulmonary eosinophilia, suggesting a switch to a T2-type immune response to C. neoformans in the absence of MIP-1α.
Effect of MIP-1α deletion on recruitment of leukocyte subsets into the lungs of C. neoformans-infected mice (day 16). Leukocytes were isolated from infected lungs following enzymatic dispersion of whole lungs (see Materials and Methods). The absolute number of a leukocyte subset was calculated by multiplying the percentage of each subset in an individual sample by the total number of lung leukocytes in that mouse. Recruitment represents the difference in absolute numbers of a leukocyte subset in infected compared with uninfected mice within the group. A, Myeloid cells, MIP-1α+/+ mice (n = 9), and MIP-1α−/− mice (n = 11). B, Lymphocytes MIP-1α+/+ mice (n = 7) and MIP-1α−/− mice (n = 8). C, Eosinophils in C. neoformans-infected mice and the effect of treatment with anti-CD4 and anti-CD8 Abs. MIP-1α+/+ mice (n = 7) and MIP-1α−/− mice (n = 8) treated with Abs MIP-1α+/+ mice (n = 5) and MIP-1α−/− mice (n = 8). Bars represent x̄ ± SE; ∗, p < 0.05, in comparison with MIP-1α+/+; †, p < 0.05, in comparison with matching control-treated group (MIP-1α+/+ or MIP-1α−/−)
Effect of MIP-1α deletion on recruitment of leukocyte subsets into the lungs of C. neoformans-infected mice (day 16). Leukocytes were isolated from infected lungs following enzymatic dispersion of whole lungs (see Materials and Methods). The absolute number of a leukocyte subset was calculated by multiplying the percentage of each subset in an individual sample by the total number of lung leukocytes in that mouse. Recruitment represents the difference in absolute numbers of a leukocyte subset in infected compared with uninfected mice within the group. A, Myeloid cells, MIP-1α+/+ mice (n = 9), and MIP-1α−/− mice (n = 11). B, Lymphocytes MIP-1α+/+ mice (n = 7) and MIP-1α−/− mice (n = 8). C, Eosinophils in C. neoformans-infected mice and the effect of treatment with anti-CD4 and anti-CD8 Abs. MIP-1α+/+ mice (n = 7) and MIP-1α−/− mice (n = 8) treated with Abs MIP-1α+/+ mice (n = 5) and MIP-1α−/− mice (n = 8). Bars represent x̄ ± SE; ∗, p < 0.05, in comparison with MIP-1α+/+; †, p < 0.05, in comparison with matching control-treated group (MIP-1α+/+ or MIP-1α−/−)
Histological features of the pulmonary immune response in MIP-1α+/+ and MIP-1α−/− mice
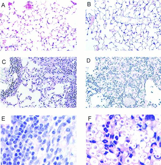
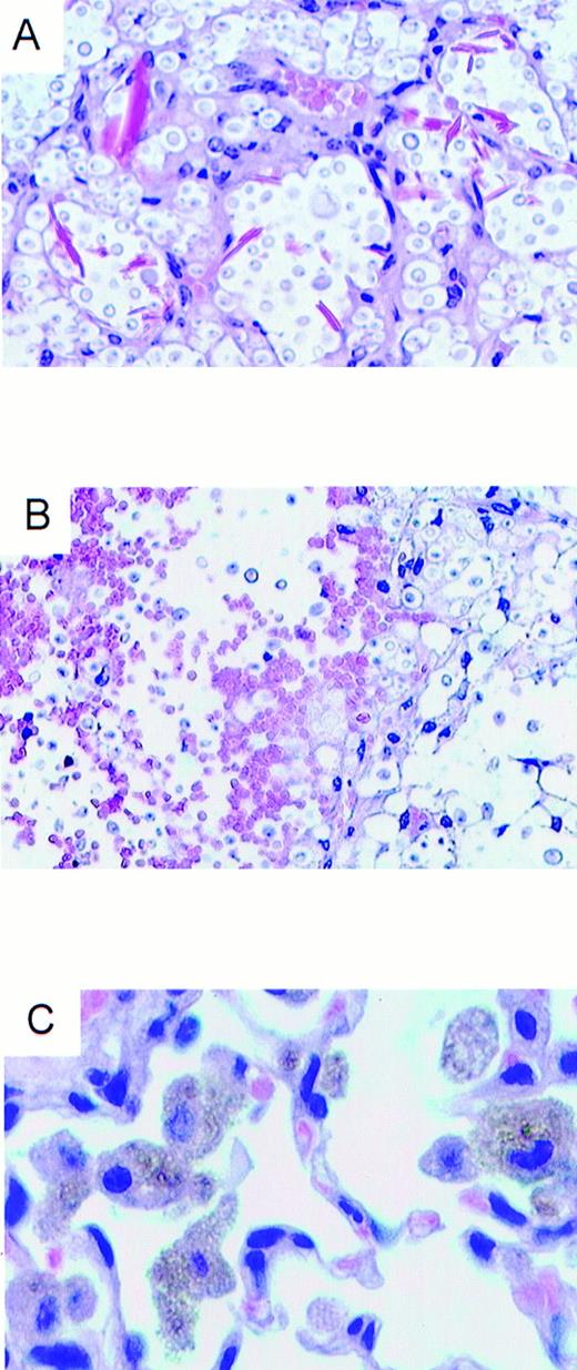
The lungs of C. neoformans-infected MIP-1α−/− and MIP-1α+/+ mice were also examined histologically at weeks 3, 4, and 10. Both strains of mice developed a vigorous inflammatory response to pulmonary C. neoformans infection with accompanying formation of cryptococcomas (Fig. 4). However, the cellular composition of the C. neoformans-containing foci was different between MIP-1α−/− and MIP-1α+/+ mice. MIP-1α+/+ mice had predominantly a mononuclear cell infiltrate (Fig. 4, C and E). In contrast, MIP-1α−/− mice had predominantly an eosinophilic infiltrate (Fig. 4, D and F). Depositions of eosinophilic crystals were also observed within alveolar macrophages in MIP-1α−/− mice by day 28 of infection (data not shown) and in the extracellular space at later time points (Fig. 5,A). Areas of crystal deposition were colocalized with the areas of uncontrolled growth of cryptococci. These areas contained groups of rapidly dividing cryptococci with extended capsules (visible as light halos around the yeast cells) that compressed the surrounding pulmonary tissue and disrupted the alveolar architecture (Fig. 5, A and B). Pulmonary hemorrhage was observed as evidenced by extravascular RBC within the pulmonary airspace in MIP-1α−/− mice (Fig. 5,B). To confirm that the blood extravasation was not a postmortem artifact, macrophages that had phagocytized and degraded RBC (hemosiderophages) were sought. These cells were identified based on extended cytoplasm-containing phagocytized RBC ghosts and a characteristic olive-brown coloration of hemosiderin (Fig. 5 C). The presence of hemosiderophages provides direct evidence of intravital bleeding into the airspace of MIP-1α−/− mice. Thus, the lungs of C. neoformans-infected MIP-1α−/− mice show morphological features of a T2 immune response, including pulmonary eosinophilia and tissue damage.
Lung pathology in MIP-1α+/+ and MIP-1α−/− mice infected with C. neoformans weeks 3 and 4 postinfection (hematoxylin and eosin). A, Uninfected MIP-1α+/+ mice lung (magnification, ×66). B, Uninfected MIP-1α−/− mice lung (magnification, ×66). C, Lungs of C. neoformans-infected MIP-1α+/+ mice at week 3 (magnification, ×132). Note the massive leukocyte infiltrate with predominantly mononuclear cells and only a few cryptococci on the histological section. D, Lungs of C. neoformans-infected MIP-1α−/− mice at week 3 (magnification, ×132). Note massive eosinophil infiltrates surrounding numerous highly encapsulated cryptococci. E, Lungs of C. neoformans-infected MIP-1α+/+ mice at week 4 (magnification, ×330). Note the massive mononuclear cell infiltrate and few cryptococci. F, Eosinophils infiltrating area of the lung of MIP-1α−/− mice infected with cryptococci at week 4 (magnification, ×330). Note the numerous cryptococci and their large capsules.
Lung pathology in MIP-1α+/+ and MIP-1α−/− mice infected with C. neoformans weeks 3 and 4 postinfection (hematoxylin and eosin). A, Uninfected MIP-1α+/+ mice lung (magnification, ×66). B, Uninfected MIP-1α−/− mice lung (magnification, ×66). C, Lungs of C. neoformans-infected MIP-1α+/+ mice at week 3 (magnification, ×132). Note the massive leukocyte infiltrate with predominantly mononuclear cells and only a few cryptococci on the histological section. D, Lungs of C. neoformans-infected MIP-1α−/− mice at week 3 (magnification, ×132). Note massive eosinophil infiltrates surrounding numerous highly encapsulated cryptococci. E, Lungs of C. neoformans-infected MIP-1α+/+ mice at week 4 (magnification, ×330). Note the massive mononuclear cell infiltrate and few cryptococci. F, Eosinophils infiltrating area of the lung of MIP-1α−/− mice infected with cryptococci at week 4 (magnification, ×330). Note the numerous cryptococci and their large capsules.
Lung pathology in MIP-1α−/− mice infected with C. neoformans at week 10 postinfection (magnification, ×330; hematoxylin and eosin). A, Eosinophilic crystals and cryptococci in MIP-1α−/− mice. Note the alveolar destruction in the areas of crystal deposition and uncontrolled growth of cryptococci. B, Pulmonary hemorrhage in a lung of MIP-1α−/− mice. Note the extravascular RBC in the alveolar spaces. C, Hemosiderophages in the alveolar spaces of MIP-1α−/− mice. Note the macrophages that had phagocytized and degraded RBC (hemosiderophages with extended cytoplasm containing phagocytized RBC ghosts and characteristic olive-brown coloration of hemosiderin). The presence of hemosiderophages provides evidence of intravital pulmonary bleeding in MIP-1α−/− mice.
Lung pathology in MIP-1α−/− mice infected with C. neoformans at week 10 postinfection (magnification, ×330; hematoxylin and eosin). A, Eosinophilic crystals and cryptococci in MIP-1α−/− mice. Note the alveolar destruction in the areas of crystal deposition and uncontrolled growth of cryptococci. B, Pulmonary hemorrhage in a lung of MIP-1α−/− mice. Note the extravascular RBC in the alveolar spaces. C, Hemosiderophages in the alveolar spaces of MIP-1α−/− mice. Note the macrophages that had phagocytized and degraded RBC (hemosiderophages with extended cytoplasm containing phagocytized RBC ghosts and characteristic olive-brown coloration of hemosiderin). The presence of hemosiderophages provides evidence of intravital pulmonary bleeding in MIP-1α−/− mice.
Effect of MIP-1α deletion on pulmonary IFN-γ, IL-12p40, IL-4, and IL-13 expression following C. neoformans infection
To further determine whether the immune reaction to Cryptococcus infection shifted to a T2 response in MIP-1α−/− mice, we analyzed pulmonary expression of T1 and T2 cytokines. IL-4 expression was much stronger in MIP-1α−/− mice than in MIP-1α+/+ mice at day 14 of infection (Fig. 6). Expression of IL-13 was also elevated in MIP-1α−/− mice. There was minimal or no induction of IL-12p40 and IFN-γ expression on day 14 of infection in both groups of mice (Fig. 6). The expression pattern of IL-4 and IL-13 but no IFN-γ or IL-12 indicates the development of a T2 response in the absence of MIP-1α.
Effect of MIP-1α gene deletion on pulmonary IFN-γ, IL-12p40, IL-4, and IL-13 expression in mice infected with C. neoformans (day 14). Total lung RNA was isolated from the uninfected MIP-1α+/+ mice and MIP-1α−/− mice. Expression of cytokine mRNA and the housekeeping genes, cyclophilin and β-actin, was analyzed via RT-PCR. The cytokine PCR products were confirmed by Southern blot with specific DNA probes of each cytokine. RNA isolated from Concavalin A-stimulated splenocytes (24-h culture) was a positive control for IL-4, IL-13, and IFN-γ.
Effect of MIP-1α gene deletion on pulmonary IFN-γ, IL-12p40, IL-4, and IL-13 expression in mice infected with C. neoformans (day 14). Total lung RNA was isolated from the uninfected MIP-1α+/+ mice and MIP-1α−/− mice. Expression of cytokine mRNA and the housekeeping genes, cyclophilin and β-actin, was analyzed via RT-PCR. The cytokine PCR products were confirmed by Southern blot with specific DNA probes of each cytokine. RNA isolated from Concavalin A-stimulated splenocytes (24-h culture) was a positive control for IL-4, IL-13, and IFN-γ.
Effect of MIP-1α deletion on serum IgE level
To confirm that the enhanced IL-4/IL-13 expression in MIP-1α−/− mice was indicative of a polarized T2 response, we looked at the levels of serum IgE. Infected MIP-1α+/+ mice had extremely low levels of serum IgE, which were not significantly different from the levels in uninfected mice. In contrast, MIP-1α−/− mice developed extremely high levels of IgE following C. neoformans infection (Fig. 7). This high level of serum IgE in C. neoformans-infected MIP-1α−/− mice is consistent with a switch to a polarized T2 response in these mice.
Effect of MIP-1α gene deletion on serum IgE level (day 35). The IgE was detected by ELISA in serum samples from infected and uninfected MIP-1α+/+ and MIP-1α−/− mice. Bars represent x̄ ± SE, n = 8 per group (infected) and 4 per group (uninfected). ∗, p < 0.05 in comparison with MIP-1α+/+ mice.
Effect of MIP-1α gene deletion on serum IgE level (day 35). The IgE was detected by ELISA in serum samples from infected and uninfected MIP-1α+/+ and MIP-1α−/− mice. Bars represent x̄ ± SE, n = 8 per group (infected) and 4 per group (uninfected). ∗, p < 0.05 in comparison with MIP-1α+/+ mice.
Effect of MIP-1α neutralization on the phenotype of immune response to C. neoformans
To exclude the possibility that small genetic differences between both strains of mice (outside of MIP-1α locus) could account for changes in phenotype of immune response in our model, we examined the effects of MIP-1α neutralization in MIP-1α+/+ mice. Injections of anti-MIP-1α Abs at days 0, 3, and 6 resulted in increased eosinophil influx into the lung on day 16 of infection (21.9 ± 5.9% vs 11.2 ± 2.8%, n = 5 animals per group). The Ab-treated group also had elevated IL-4 in comparison with nonimmune serum-treated controls (43.1 ± 22.8 pg/ml vs 13.2 ± 3.6 pg/ml, n = 5 animals per group, measured in supernatant of lung leukocytes cultures). Thus, the phenotype of the immune response to C. neoformans in MIP-1α+/+ mice treated with anti-MIP-1α during the first week of infection resembles that of MIP-1α−/− mice.
Effect of MIP-1α deletion on the survival of C. neoformans-infected mice
Following pulmonary infection with C. neoformans, MIP-1α−/− mice began to die by week 6 postinfection (Fig. 8). Cumulative mortality in MIP-1α−/− mice at 12 wk postinfection was nearly 80%, compared with only 10% in MIP-1α+/+ mice. Thus, deletion of the MIP-1α gene had a dramatic effect on the host response resulting in significantly decreased survival following pulmonary infection with C. neoformans.
Effect of MIP-1α deletion on the survival of mice with pulmonary C. neoformans infection. MIP-1α−/− and MIP-1α+/+ mice were infected intratracheally with 104 CFU of C. neoformans (strain 145). In a pool of two experiments, n = 29 for MIP-1α−/− mice and n = 18 for MIP-1α+/+ mice.
Effect of MIP-1α deletion on the survival of mice with pulmonary C. neoformans infection. MIP-1α−/− and MIP-1α+/+ mice were infected intratracheally with 104 CFU of C. neoformans (strain 145). In a pool of two experiments, n = 29 for MIP-1α−/− mice and n = 18 for MIP-1α+/+ mice.
Discussion
In this study, we report that the deletion of the MIP-1α gene causes a switch to a T2 type of immune response in a pulmonary infection with a highly virulent strain of C. neoformans. MIP-1α−/− mice developed: 1) eosinophil influx into the lung and subsequent formation of eosinophilic crystals; 2) increased IL-4 and IL-13 expression; and 3) highly elevated IgE levels. This T2 response produced severe destructive lung pathology (including pulmonary hemorrhage) without controlling the pulmonary infection. This nonprotective response resulted in mortality of MIP-1α−/− mice. Thus, expression of MIP-1α prevents the development of a T2 type immune response to C. neoformans, thereby enhancing survival.
The most striking feature of the response in MIP-1α−/− mice was the massive recruitment of eosinophils into the lungs of infected animals and subsequent destructive pathology (Fig. 3,A and 4, D and F). Lung eosinophilia could be induced also in MIP-1α+/+ mice by MIP-1α neutralization during the first week of infection, indicating in two independent ways that absence of MIP-1α in this infection model resulted in increased eosinophil influx into the lung. Eosinophil recruitment was T cell-dependent because depletion of CD4+ and CD8+ lymphocytes abolished eosinophil influx into the lung (Fig. 3,C). Eosinophils were present in the lungs over an extended time and were accompanied by eosinophilic crystal deposition in the lungs of MIP-1α−/− mice (Fig. 4, D and F, and 5A). Deposition of eosinophilic crystals and subsequent lung pathology is a T2-driven process in C. neoforman-infected mice (12, 13). In pulmonary cryptococcosis and other pathologies accompanied by eosinophilic crystal formation, crystal deposition is associated with epithelial damage and considered as a source of lung injury (13, 29, 30). Uncontrolled growth of C. neoformans can also result in destruction of pulmonary architecture (25). Thus, the combination of uncontrolled cryptococcal growth, pulmonary eosinophilia, and eosinophilic crystal deposition likely produced the pulmonary hemorrhage and other lung damage observed in MIP-1α−/− mice (Fig. 5, A and B). These studies demonstrated that deletion of MIP-1α during C. neoformans infection switched the immune response to a nonprotective T2 type, resulting in destructive lung pathology.
Deletion of MIP-1α caused a change in pulmonary cytokine levels (increased IL-4 and IL-13) that were consistent with the change in cellular/humoral responses during pulmonary C. neoformans infection. There was strong induction of IL-4/IL-13 and very little IL-12/IFN-γ expression in MIP-1 α−/− mice on day 16 of infection (Fig. 6). In contrast, there was minimal expression of IL-4/IL-13 in MIP-1α+/+ mice. IL-4 and IL-13 are T2-driving cytokines, and IL-13 is critically important in T2-type effector responses (31, 32, 33). MIP-1α has been reported to decrease IL-4 production in vitro (21). Thus, the enhanced expression of IL-4/IL-13 compared with IL-12/IFN-γ in the absence of MIP-1α explains the switch to a T2-type immunity in MIP-1 α−/− mice. These in vivo results demonstrate a novel role for MIP-1α in the regulation of T cell-mediated immunity to an infectious disease.
The high level of serum IgE in MIP-1α−/− but not MIP-1α+/+ mice further confirms that an effective switch to a T2 immune response took place in these mice. IgE is a hallmark of T2 type responses, and IL-4 drives B cell isotype switching to IgE production (34). Thus, the high level of serum IgE in infected MIP-1α−/− mice is consistent with the high expression of IL-4 in these mice.
Our studies demonstrate that the immunoregulatory effect of MIP-1α takes place during the first week of infection. As demonstrated in previous studies, treatment with anti-MIP-1α-neutralizing Abs during days 7–14 of infection does not result in this switch (15). MIP-1α expression was detected by day 3 postinfection. Possible afferent cellular sources of MIP-1α include alveolar macrophages, CD8+ T cells, γδ T cells, NK cells, and lung epithelium (35, 36, 37, 38, 39, 40, 41). The target cell(s) of afferent phase MIP-1α remain to be determined. MIP-1α could directly affect expansion of T1 over T2 cells by increasing IFN-γ or decreasing IL-4/IL-13 production (20, 21). MIP-1α is more chemotactic for T1 than T2 cells in vitro (18). However, T cell recruitment was not diminished in the absence of MIP-1α during C. neoformans infection, arguing against the theory of differential recruitment. The in vivo studies presented in this report demonstrate that afferent phase MIP-1α production can be a key signal in the development of T1- vs T2-type CMI responses in vivo.
In summary, our study has established a novel function for MIP-1α in the immune system during microbial infection. MIP-1α can function as a chemotaxin during the efferent phase of immune responses (15, 16, 23, 42, 43, 44). Our studies demonstrate that MIP-1α can also provide an early signal that down-regulates expression of IL-4/IL-13 during infection, thereby preventing the development of a deleterious T2-type immune response.
Acknowledgements
We thank Lisa McNeil for her invaluable assistance in the preliminary phases of this project and Dr. Nick. Lukacs and Dr. Steve. Kunkel (University of Michigan) for rabbit antiserum against MIP-1α.
Footnotes
This work was supported in part by the Department of Veterans Affairs Merit Grant (to G.B.T.); Research Enhancement Award Program Grant (to M.A.O.); National Heart, Lung, and Blood Institute R01-HL63670 (to G.B.H.), R01-HL51082 (to G.B.T.), and T32-HL07749 (to M.A.O.); National Institute of Allergy and Infectious Diseases R29-AI38190 (to G.B.H.); and Burroughs-Wellcome Fund (to G.B.H.).
Abbreviations used in this paper: CMI, cell-mediated immunity; MIP, macrophage inflammatory protein; T1, type 1; T2, type 2.







