Abstract
Although alveolar epithelial cells (AEC) form an important barrier for host defenses in the lung, there is limited information about ways in which AEC can directly participate in the lung inflammatory response. In the current studies, primary cultures of rat AEC (RAEC) have been shown to specifically bind recombinant rat C5a at high affinity and in a saturable manner. This binding was enhanced in a time-dependent manner by pre-exposure of RAEC to LPS, IL-6, or TNF-α, the increased binding of C5a being associated with increased levels of mRNA for the C5a receptor (C5aR). Exposure of RAEC to C5a also caused increased expression of mRNA for C5aR. As compared with exposure of RAEC to LPS or to C5a alone, exposure to the combination caused enhanced production of TNF-α, macrophage inflammatory protein-2, and cytokine-induced neutrophil chemoattractant-1, as well as increased intracellular levels of IL-1β. These data indicate that RAEC, when activated, have enhanced binding of C5a in association with increased mRNA for C5aR. The functional outcome is enhanced release of proinflammatory mediators. These data underscore the phlogistic potential of RAEC and the ability of C5a to enhance the phlogistic responses of RAEC.
Together with lung macrophages, alveolar epithelial cells (AEC)3 represent a key barrier in the lung. These cells may play a critical role in the local lung inflammatory response, but such a function is not clearly described. Although there is evidence that AEC have the ability to produce cytokines and chemokines, most studies with AEC have used the cell line A549, which originally derived from a human bronchoalveolar carcinoma and may not be representative of the features of primary cultures of AEC. In rat AEC (RAEC), the production of five cytokines has been described: TNF-α, macrophage inflammatory protein-2 (MIP-2), IL-6, monocyte chemoattractant protein-1, and IL-1β (1, 2, 3, 4, 5). In addition, AEC also have the ability to generate several complement components (6). The induction in AEC of cyclooxygenase-2 via TNF-α has been recently described (7).
C5a, a 74-amino acid split product from the N-terminal region of the α-chain of C5, plays an important role in inflammatory responses, especially in the lung (8, 9, 10). Besides the well-known strong chemotactic activity of C5a for leukocytes, other effects such as release of granular enzymes, production of superoxide anion, histamine release from mast cells, vasodilatation, increased vascular permeability, and smooth muscle contraction are well described (11, 12, 13, 14, 15). Responses to C5a are mediated by a pertussis toxin-sensitive G-protein-linked seven-transmembrane spanning C5aR belonging to the superfamily of rhodopsin-type receptors (16, 17). Much work has been done in the past decade to investigate the presence of C5aR in different tissues, the binding patterns, intracellular signal transduction, and the role of C5aR in chemokine production by different cell types.
Originally thought to be exclusively expressed on myeloid cells (18), recent studies have shown the presence of C5aR on other cell types such as epithelial, endothelial, smooth muscle, and other parenchymal cells of solid organs, including liver, kidney, and lung (19, 20, 21, 22). The presence of C5aR on lung epithelial cells has been controversial (20, 23, 24). We investigated the binding of rat recombinant C5a (rrC5a) to RAEC, the presence of C5aR mRNA on freshly isolated RAEC, and the extent to which C5a affects cytokine production in these cells. Furthermore, we investigated whether IL-6 can up-regulate C5aR expression, as has recently been described in hepatocytes (25). The data indicate the ability of C5a to bind to RAEC, expression of mRNA for C5aR, and the ability of C5a to enhance cytokine and chemokine production by RAEC stimulated with traditional agonists.
Materials and Methods
Reagents and rrC5a
Unless otherwise specified, reagents were obtained from Sigma-Aldrich (St. Louis, MO). rrC5a was kindly supplied by Dr. J. T. Curnutte (Genentech, South San Francisco, CA). rrC5a was expressed in insect cells using the baculovirus system. Its preparation has been recently described (26) using a His Glu tag in the N-terminal region of C5a to facilitate purification.
RAEC
RAEC were obtained from specific pathogen-free male 200-g Long Evans rats (Harlan Breeders, Indianapolis, IN). Cell isolation was performed using a modified version of the elastase method (27). After anesthesia with ketamine (1 g/kg body weight), rats were exsanguinated via the abdominal aorta. An intratracheal catheter was then put into place. Following flushing of the pulmonary artery with 10 ml of Dulbecco’s PBS (DPBS), the lungs were carefully removed together with the heart and both were subjected to bronchoalveolar lavage 8–10 times with 10 ml of DPBS, resulting in the removal of the most alveolar macrophages. Next, the lungs were placed in a water bath (37°C) for 25 min containing 40 ml of DPBS with ∼90 U of elastase (Worthington Biochemical, Freehold, NJ), which was slowly infused into the airways. The heart and any remaining connective tissue were removed, and the lungs were minced for 3 min with scissors after adding 1000 U of DNase I (Sigma-Aldrich). Enzyme activity was blocked by addition of 5 ml of ultra-low IgG FBS (Life Technologies, Rockville, MD). The cell suspension containing RAEC was incubated at room temperature and was gently stirred for 20 min. The suspension was then filtered successively through stainless steel meshes of 500-, 175-, and 105-μm pore diameter (Spectrum Laboratories, Rancho Dominguez, CA) and was then suspended in 30 ml of DMEM (BioWhittaker, Walkersville, MD). The cells were centrifuged at 1500 rpm for 10 min and were then resuspended in 45 ml of DMEM. Next, the cells were plated onto 100-mm petri dishes precoated with rabbit IgG (30 μg/ml) for 1 h at 37°C to remove remaining alveolar macrophages. Cells were then carefully collected by washing of the petri dishes with DMEM three to four times. After centrifugation, the cell pellet was carefully resuspended in 10–20 ml of DMEM containing 1% penicillin, 1% streptomycin, 1% l-glutamine (200 mM), and 1% nonessential amino acids (10 mM), all purchased from Life Technologies (Grand Island, NY), and 10% heat-inactivated FBS was added. Finally, cells were plated into plastic tissue culture wells and cultured for 2 days before stimulation. Nonadherent cells were removed by washing the tissue culture dishes with DMEM at days 1 and 2 after isolation. Residual macrophages were <2% of the total cell content, as indicated by failure of cells to bind the fluorochrome BS-1 (Sigma-Aldrich), a fluorescent-tagged marker specific for phagocytic cells. By flow cytometry, the RAEC stained abundantly for cytokeratin (28).
Quantitation of cytokines
Cytokine detection of TNF-α, MIP-2, and IL-1β was performed using ELISA kits (BioSource International, Camarillo CA). Cytokines were detected in RAEC supernatant fluids (for TNF-α and MIP-2) and cell lysates (for IL-1β) after 6 h of incubation with various stimuli, as indicated. For cell lysates, cells were lysed with lysis buffer containing 1 M Tris (Life Technologies, Rockville, MD), 5 M of NaCl, and 1% Nonidate P-40. ELISAs were performed according to the manufacturer’s instructions.
Cytokine-induced neutrophil chemoattractant-1 (CINC-1) was detected using an Ab sandwich ELISA performed with anti-rCINC-1 (1 μg/ml) and biotinylated (goat) anti-rCINC-1 (0.5 μg/ml) from R&D Systems (Minneapolis, MN). Plates were coated overnight at 4°C with anti-rCINC-1. Blocking of unspecific binding was achieved by incubation with DPBS containing 1% BSA for 30 min. The plates were then incubated with rrCINC-1 (as the reference standard) and the samples for 1 h at 37°C, followed by biotinylated anti-rCINC-1 Ab. Subsequently, plates were incubated with streptavidin HRP for 30 min at 37°C. The color reaction was achieved with o-phenylenediamine dihydrochloride (Sigma-Aldrich). The reaction was stopped after 20 min with 3 M sulfuric acid. OD levels were measured at a wavelength of 490 nm. The CINC-1 concentrations were then determined from the standard curve.
RNA isolation and semiquantitative RT-PCR
Total RNA was isolated with the Trizol method (Life Technologies, Rockville, MD) according to the manufacturer’s directions. Primary cultures of RAEC were used on day 3 after isolation, at which time the cells were confluent. Cells were plated into 100-mm culture dishes and were stimulated with various cytokines for 6 h at 37°C. Digestion of any contaminating DNA was achieved by treatment with RQ1 RNase-free DNase (Promega, Madison, WI).
Semiquantitative RT-PCR was performed with 1 μg of RNA using the Superscript II RNase H− Reverse Transcriptase (Life Technologies, Grand Island, NY) according to the manufacturer’s protocol. PCR was performed with primers for C5aR: 5′ primer 5′-TAT AGT CCT GCC CTC GCT CAT-3′ and 3′ primer 5′-TCA CCA CTT TGA GCG TCT TGG-3′. The primers were designed for a 409-bp cDNA amplification in the middle region of the rat C5aR cDNA (position 373–781) as used in a recent study (23). The primers for the “housekeeping” gene GAPDH were 5′ primer 5′-GCC TCG TCT CAT AGA CAA GAT G-3′ and 3′ primer 5′-CAG TAG ACT CCA CGA CAT AC-3′. After a “hot-start” for 5 min at 94°C, 30 cycles were used for amplification, with a melting temperature of 94°C, an annealing temperature of 60°C, and an extending temperature of 72°C, each for 1 min, followed by a final extension at 72°C for 8 min. The RT-PCR product was confirmed by electrophoresis of samples in a 1.2% agarose gel. Experiments were conducted in which total RNA from RAEC was amplified with different cycle numbers for GAPDH and C5aR primers to assure that RNA bands after 30 cycles of amplification were detected within the linear part of the amplifying curves. To rule out contaminating DNA as being responsible for results, controls for the samples were performed in which RT-PCR was performed similarly, except for absence of reverse transcriptase. These controls showed no detectable bands for C5aR mRNA (data not shown). Results are presented in a semiquantitative way, referring to equal loading of the relative amount of transcribed mRNA.
Multiprobe RNase protection assay (RPA)
After total RNA was isolated from RAEC as described above, RPA was performed using the multiprobe assay system RiboQuant (BD PharMingen, San Diego, CA) according to the manufacturers instructions. Briefly, the provided rat cytokine template set (rCK-1) contained probes for 11 cytokines (IL-1α, IL-1β, TNFβ, IL-3, IL-4, IL-5, IL-6, IL-10, TNF-α, IL-2, IFN-γ, and two housekeeping genes, GAPDH and L-32). To synthesize anti-sense cRNA, the probes were labeled with [32P]αUTP (800 Ci/mmol, 10 mCi/ml; NEN-DuPont, Boston, MA) using a transcription kit according to the manufacturer’s manual. Ten micrograms of each sample was used for hybridization with the anti-sense RNA probe at 56°C for 12–16 h, followed by digestion of free probe and unprotected ssRNA with RNase solution (RNase A plus RNase T1). The remaining dsRNA was then extracted in chloroform-isoamyl alcohol (50:1) and was precipitated with ethanol and separated on a 7 M urea/6% polyacrylamide gel. A part of the undigested probe was used as marker standard. After fixing (10% acetic acid and 10% methanol) and drying, the gel was exposed to an X-Omat film (Eastman Kodak, Rochester, NY) for 16 h. A standard curve plotted with the undigested probe markers was used to identify the bands of various genes in the experimental samples.
Binding studies
rrC5a was labeled with 125I using the chloramine T-based method as described previously elsewhere (29). This protocol used gentle oxidation and resulted in intact chemotactic activity for the C5a preparation (21). RAEC were plated onto six-well culture dishes (Corning Glass, Elmira, NY) and stimulated with various factors for 6 h at 37°C, unless otherwise indicated. Cell monolayers were then placed on ice and incubated with 2 ml of HBSS containing 0.5% BSA for 0.5 h. After two washes with DPBS, cells were then incubated with 125I-labeled rrC5a (125I-rrC5a) in DPBS with 0.1% BSA for 20 min. Next, cells were washed four times with DPBS. Thereafter, cells were lysed with 1% SDS. In addition, plates were washed with 0.1% Nonidate P 40, and the lysates were counted using a gamma counter (1261 Multiγ; PerkinElmer Wallac, Gaithersburg, MD). Data are presented as absolute values of cpm.
Statistical analysis
In groups with equal variances, data sets were analyzed using one-way ANOVA, and individual group means were then compared with the Student-Newman-Keuls multiple comparison test. For groups containing unequal variances, Kruskal-Wallis ANOVA was performed followed by Dunnett’s method for multiple comparison.
Results
Binding of 125I-rrC5a to RAEC
Two types of experiments to assess binding of 125I-rrC5a to RAEC were conducted, as described in Fig. 1. Using 0.1–1.3 nM of rrC5a, there was progressive binding of C5a in proportion to the concentration of C5a added (Fig. 1,A). Nonspecific binding was assessed by performing saturation experiments in the presence of a 50-fold excess of nonlabeled rrC5a. Noncompetitive binding was then subtracted from the cpm values to assess specific binding and evidence of saturation. The plateau in binding appeared to occur between 1.0 and 1.3 nM of C5a, followed by the expected linear phase of the curve above C5a concentrations of 1.5 nM (data not shown), indicating nonspecific binding at high concentrations. In Fig. 1 B, competitive binding was assessed using 200 pM 125I-rrC5a and progressively increasing concentrations of unlabeled rrC5a. Over a dose range of unlabeled rrC5a between 0.01 and 10 nM, there was progressive loss in the binding of 125I-rrC5a. Half-maximal inhibition of 125I-rrC5a binding was achieved at ∼1 nM nonlabeled rrC5a.
A, Binding of 125I-rrC5a to RAEC monolayers (8 × 105 cells). Nonspecific binding was assessed in the presence of a 50-fold excess of nonlabeled rrC5a, and the values were subtracted from the corresponding values obtained in the absence of nonlabeled C5a excess. B, Binding of C5a to RAEC in the presence of increasing concentrations of nonlabeled rrC5a in competition with 200 pM 125I-rat C5a. Data are representative of a number of three to nine independent experiments for each data point.
A, Binding of 125I-rrC5a to RAEC monolayers (8 × 105 cells). Nonspecific binding was assessed in the presence of a 50-fold excess of nonlabeled rrC5a, and the values were subtracted from the corresponding values obtained in the absence of nonlabeled C5a excess. B, Binding of C5a to RAEC in the presence of increasing concentrations of nonlabeled rrC5a in competition with 200 pM 125I-rat C5a. Data are representative of a number of three to nine independent experiments for each data point.
Enhanced binding of 125I-rrC5a to RAEC stimulated with LPS, IL-6, or TNF-α
RAEC were stimulated for 6 h with LPS, IL-6, or TNF-α. For the binding studies, 125I-rrC5a was used at a concentration of 0.6–0.8 nM, close to the calculated Kd50. The dose-response curves for effects of LPS, IL-6, and TNF-α on binding of 125I-rrC5a to RAEC are shown in Fig. 2. RAEC exposure to any of the three agonists in a dose-dependent manner significantly increased the binding of C5a to RAEC, suggesting up-regulation of C5aR on RAEC. Maximal effects of LPS were observed at a concentration of 10 ng/ml (Fig. 2,A), whereas the peak increase in binding of C5a in IL-6-treated cells occurred with 1.0 nM of IL-6 (Fig. 2,B). At higher concentrations of either LPS or IL-6, C5a binding actually fell. The increase in C5a binding in TNF-α-treated RAEC occurred at 5 pM, with suggestive evidence of additional binding at 250 pM of TNF-α (Fig. 2 C). We also investigated the ability of other cytokines to alter binding of 125I-rrC5a to RAEC. Exposure to MIP-2, monocyte chemoattractant protein-1, RANTES, and MIP-1α (each at 2 nM) failed to cause any significant changes in C5a binding to RAEC (data not shown), whereas IL-1β showed a small but significant increase in two separate experiments (data not shown). Thus, increased binding of 125I-rrC5a to RAEC is dependent on the nature of the agonist.
Enhanced binding of 125I-rrC5a to RAEC after exposure to a dose range of LPS (A), IL-6 (B), and TNF-α (C). Cells were stimulated for 6 h at 37°C before binding measurements. Data are representative of three to six independent experiments. Background radioactivity was estimated with less than 70 cpm for these experiments. An asterisk indicates statistically significant changes in comparison with the nonstimulated controls.
Enhanced binding of 125I-rrC5a to RAEC after exposure to a dose range of LPS (A), IL-6 (B), and TNF-α (C). Cells were stimulated for 6 h at 37°C before binding measurements. Data are representative of three to six independent experiments. Background radioactivity was estimated with less than 70 cpm for these experiments. An asterisk indicates statistically significant changes in comparison with the nonstimulated controls.
We also investigated the time dependency for enhanced binding of 125I-rrC5a to RAEC after cell exposure to LPS or IL-6. Both mediators were used at their optimal concentrations (as determined in Fig. 2). Binding was measured at the various time points indicated in Fig. 3. LPS significantly increased binding within the 1st h of exposure (Fig. 3,A), whereas in the case of IL-6, there was a slower increase in the amount of C5a binding, reaching a plateau phase after ∼6 h of cell exposure. At 24 h, the binding of IL-6-treated RAEC was still elevated, (Fig. 3,B), whereas in the case of RAEC exposed to LPS, the increase in binding of C5a to RAEC found between 1 and 12 h was greatly reduced by 24 h (Fig. 3 A). These data indicate that exposure of RAEC to IL-6, LPS, or TNF-α increases the binding of C5a in a dose- and time-dependent manner, suggesting that C5aR may be up-regulated under these conditions.
Binding of 125I-rrC5a to RAEC stimulated with LPS (10 ng/ml; A) or IL-6 (20 ng/ml; B) as a function of time of cell exposure at 37°C. Experiments were performed with three separate cell cultures per condition and time point.
Binding of 125I-rrC5a to RAEC stimulated with LPS (10 ng/ml; A) or IL-6 (20 ng/ml; B) as a function of time of cell exposure at 37°C. Experiments were performed with three separate cell cultures per condition and time point.
Enhanced expression of C5aR mRNA in stimulated RAEC
To extend the findings of C5a binding to activated RAEC (Figs. 2 and 3), primers for rat C5aR were designed (as described above) and RT-PCR was performed after total RNA was isolated from RAEC. mRNA levels were detected within the linear part of the amplifying curves for the primers (30 cycles). Controls were performed to rule out the presence of contaminating DNA in the samples, as described Materials and Methods. Fig. 4,A indicates that RAEC express detectable mRNA for rat C5aR under nonstimulated conditions (Fig. 4,A, lane 1). LPS (10 ng/ml; Fig. 4,A, lane 2), IL-6 (2 nM; Fig. 4,A, lane 3), and TNF-α (10 pM; Fig. 4,A, lane 4; each for 6 h at 37°C) increased the mRNA expression for C5aR in RAEC. IL-6 appeared to be the most potent stimulus in terms of increasing the mRNA expression. LPS and TNF-α had similar effects to one another, inducing increased C5aR mRNA expression (Fig. 4,A). Fig. 4,B shows the unexpected effect of addition of rrC5a (2 nM) alone to RAEC (Fig. 4,B, lane 2) and in combination with LPS (20 ng/ml; Fig. 4,B, lane 4) on the expression of mRNA for C5aR. Exposure of RAEC to rrC5a caused increased mRNA for C5aR (Fig. 4,B, lane 3). Additional costimulation with LPS did not increase this level of expression (Fig. 4,B, lane 4). For both Fig. 4, A and B, equal loading for the different templates was verified using primers to GAPDH. Because rrC5a was produced in insect cells, the results with C5a cannot be ascribed to contamination by LPS.
RT-PCR analysis of C5aR mRNA in RAEC. RNA was isolated from cell-confluent culture dishes (100 mm). A, RAEC were stimulated with LPS (20 ng/ml), IL-6 (20 ng/ml), or TNF-α (100 pg/ml) for 6 h at 37°C. The lower bands demonstrate equal loading as defined by content of GAPDH mRNA. Right hand frames indicate densitometry of C5aR mRNA under various conditions. B, Changes in mRNA for C5aR in RAEC after exposure to C5a (20 ng/ml), LPS (20 ng/ml), and C5a + LPS (20 ng/ml each). Loading conditions are shown in the lower part of B. The data are representative of at least three separate and independent experiments.
RT-PCR analysis of C5aR mRNA in RAEC. RNA was isolated from cell-confluent culture dishes (100 mm). A, RAEC were stimulated with LPS (20 ng/ml), IL-6 (20 ng/ml), or TNF-α (100 pg/ml) for 6 h at 37°C. The lower bands demonstrate equal loading as defined by content of GAPDH mRNA. Right hand frames indicate densitometry of C5aR mRNA under various conditions. B, Changes in mRNA for C5aR in RAEC after exposure to C5a (20 ng/ml), LPS (20 ng/ml), and C5a + LPS (20 ng/ml each). Loading conditions are shown in the lower part of B. The data are representative of at least three separate and independent experiments.
Enhanced production of TNF-α MIP-2 and CINC-1 by RAEC exposed to rrC5a and LPS
To determine how the presence of rrC5a affects cytokine production by RAEC, TNF-α, MIP-2, and CINC-1 levels were evaluated in supernatant fluids from RAEC stimulated (for 6 h at 37°C) by LPS in the absence or presence of C5a. It has been reported that RAEC stimulated with LPS generate TNF-α and MIP-2 (2, 4). Responses of RAEC resulting in CINC-1 production are not reported. Fig. 5,A shows the TNF-α production by RAEC stimulated with C5a or LPS alone or under conditions of costimulation. Unstimulated RAEC showed no detectable TNF-α production (<30 pg/ml). Either rrC5a or LPS alone caused detectable levels of TNF-α in supernatant fluids. The combination of both agonists evoked a strong, synergistic response. In Fig. 5,B, we evaluated the dose response to C5a for TNF-α production by RAEC in the presence of 20 ng/ml LPS. C5a alone (a dose range of 0–100 ng/ml did not cause a dose-dependent increase in generation of TNF-α (<30 pg/ml); data not shown). However, when C5a (10–100 ng/ml) was used as a costimulus to LPS, RAEC produced increasing amounts of TNF-α proportional to increasing amounts of C5a (2–100 ng/ml). Effects on MIP-2 production were also evaluated (Fig. 5 C). C5a or LPS alone caused very little increase in MIP-2 production, whereas the combination resulted in nearly a 3-fold increase in MIP-2 levels. There was no dose dependency for rrC5a above concentrations of 20 ng/ml on MIP-2 production when rrC5a was added together with LPS (data not shown).
Rat TNF-α and MIP-2 content in RAEC supernatant fluids measured via ELISA after RAEC stimulation (6 h at 37°C) with C5a, LPS, or the combination (each at 20 ng/ml). A and B, TNF-α levels. C, MIP-2 levels. Significant changes compared with the control group are indicated by an asterisk. Significant changes compared with all other groups are indicated by a double asterisk. The ELISA data are representative of three separate and independent experiments performed in triplicates.
Rat TNF-α and MIP-2 content in RAEC supernatant fluids measured via ELISA after RAEC stimulation (6 h at 37°C) with C5a, LPS, or the combination (each at 20 ng/ml). A and B, TNF-α levels. C, MIP-2 levels. Significant changes compared with the control group are indicated by an asterisk. Significant changes compared with all other groups are indicated by a double asterisk. The ELISA data are representative of three separate and independent experiments performed in triplicates.
Fig. 6 shows the results for rat CINC-1 production by RAEC under similar conditions. LPS caused a dose-dependent increase in the generation of CINC-1 by RAEC with a graded plateau at 50 ng/ml (data not shown). When LPS was used at a concentration of 20 ng/ml, CINC-1 generation in RAEC was increased. C5a at the same concentration only slightly but significantly increased CINC-1 production. The combination of LPS and C5a (20 ng/ml each) caused a measurable, additive increase in production of CINC-1. Finally, when RAEC were stimulated with LPS (20 ng/ml), the copresence of increasing amounts of C5a (2–100 ng/ml) resulted in moderately increased generation of CINC-1, although it was not possible to establish a dose response related to the concentration of C5a (data not shown).
Rat CINC-1 ELISAs in supernatant fluids from RAEC after stimulation (6 h at 37°C) with LPS, C5a, or LPS + C5a, according to details in the figure. An asterisk indicates significant changes compared with the control group, whereas a double asterisk indicates significant changes compared with any other group. The data are representative of three separate and independent experiments performed in triplicates.
Rat CINC-1 ELISAs in supernatant fluids from RAEC after stimulation (6 h at 37°C) with LPS, C5a, or LPS + C5a, according to details in the figure. An asterisk indicates significant changes compared with the control group, whereas a double asterisk indicates significant changes compared with any other group. The data are representative of three separate and independent experiments performed in triplicates.
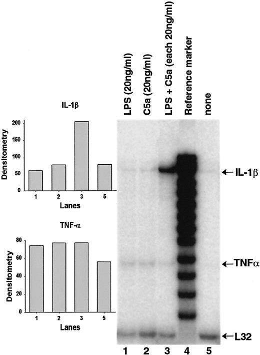
RPA in RAEC
To assess the effects of LPS and rrC5a on the production of mRNAs for several cytokines, an RPA was performed. The rat cytokine-1 template set allowed evaluation of mRNA expression for the following mediators: IL-1α, IL-1β, TNFβ, IL-3, IL-4, IL-6, IL-10, TNF-α, IL-2, and IFN-γ. L32 and GAPDH (two housekeeping genes) were also evaluated in the same assay to assess loading conditions. Besides a control group (unstimulated cells), three additional groups of cells were investigated after exposure to LPS, to rrC5a, and to a combination of the two. Fig. 7 shows the results of the RPA. The group exposed to LPS and rrC5a showed a strongly increased expression of mRNA for IL-1β (Fig. 7, lane 3) when compared with stimulation with LPS alone (Fig. 7, lane 1) or rrC5a alone (Fig. 7, lane 2). The control group (no agonist added) showed the lowest expression of IL-1β mRNA (Fig. 7, lane 5). When compared with the control group, LPS, rrC5a, and LPS plus rrC5a groups showed low but detectable expression of mRNA for TNF-α, suggesting that the synergistic effect of LPS and rrC5a on TNF-α production by RAEC may be due to a post-transcriptional mechanism. These data suggest a synergistic effect of LPS and rrC5a in the expression of IL-1β mRNA in RAEC.
RPA using total RNA isolated from RAEC stimulated with C5a, LPS, or C5a + LPS (each 20 ng/ml) for 6 h at 37°C. L32 content was used to demonstrate equal loading conditions. Densitometry analysis demonstrates the synergistic effects of C5a and LPS on IL-1β mRNA production in RAEC. The assay is representative for two separate and independent experiments.
RPA using total RNA isolated from RAEC stimulated with C5a, LPS, or C5a + LPS (each 20 ng/ml) for 6 h at 37°C. L32 content was used to demonstrate equal loading conditions. Densitometry analysis demonstrates the synergistic effects of C5a and LPS on IL-1β mRNA production in RAEC. The assay is representative for two separate and independent experiments.
Enhanced intracellular production of Il-1β by RAEC exposed to rrC5a and LPS
Unexpectedly, under the conditions described in Fig. 7, no increases in IL-1β protein (as assayed by ELISA) could be detected in supernatant fluids from any of the three experimental conditions (Fig. 7, lanes 1–3) as compared with the control (Fig. 7, lane 5). Therefore, we investigated whether IL-1β protein was synthesized in stimulated RAEC but not secreted because the increase in mRNA production seen in the RPA was quite clear cut. Fig. 8 shows the results of an ELISA performed with cell lysate samples from RAEC stimulated under conditions similar to the experiments performed for Fig. 7. Stimulation with C5a or LPS alone resulted in increased intracellular IL-1β concentrations. Costimulation of RAEC with C5a and LPS resulted in a significant increase of intracellular IL-1β concentrations, supporting the findings in the RPA performed as described above.
Rat IL-1β ELISA for lysates of RAEC after stimulation with LPS, C5a, and the combination of LPS and C5a for 6 h at 37°C. Significant additive effects on intracellular IL-1β contents compared with the control group are demonstrated for the combined stimulation of RAEC with rrC5a and LPS (∗). The data are representative of experiments performed with three different RAEC preparations for each condition.
Rat IL-1β ELISA for lysates of RAEC after stimulation with LPS, C5a, and the combination of LPS and C5a for 6 h at 37°C. Significant additive effects on intracellular IL-1β contents compared with the control group are demonstrated for the combined stimulation of RAEC with rrC5a and LPS (∗). The data are representative of experiments performed with three different RAEC preparations for each condition.
Discussion
The data in this paper indicate that RAEC specifically bind rrC5a in a dose-dependent and agonist-specific manner, that this binding is of high affinity, and that the binding of C5a can be enhanced by prior exposure of RAEC to LPS, IL-6, and TNF-α. It cannot be excluded that stimulation of RAEC with such mediators may cause additional changes in the cell membrane, which might enhance the binding of C5a to other cell surface proteins. Further studies will be necessary to learn more about the effects of stimulatory mediators on cell surface changes and the resulting effects on specific binding of agonists to their receptors. The increased binding of C5a appears to correlate with increased levels of mRNA for C5aR. Increased mRNA for C5aR after exposure of hepatocytes to IL-6 has been recently described (25). In human bronchial epithelial cells, up-regulation of C5aR occurs following exposure to cigarette smoke linked with enhanced production of IL-8 in response to C5a (30). Recently, it has been reported that induction of intracerebral C5aR in mice following closed head injury is due, at least in part, to TNF-α production (31), which seems to support our results in RAEC.
The rapid increase of binding of C5a to RAEC after LPS stimulation occurring in the first hour could be due to an additional posttranscriptional mechanism, allowing a faster up-regulation of C5aR after LPS stimulation. Another factor in the LPS response could be the soluble form of the leukocyte membrane Ag, CD14, which is reported to mediate binding of LPS to cells and the subsequent release of IL-6 and IL-8 from human bronchial epithelial cells (32). The A549 cell line from human bronchoalveolar carcinoma cells generates in response to IL-1β, IL-6, or TNF-α LPS binding protein, which can enhance the biological activity of LPS (33). The extent to which the addition of LPS binding protein to the cell culture described above would enhance the synergy between LPS and C5a in RAEC remains to be determined.
We have also demonstrated, quite unexpectedly, up-regulation of mRNA for C5aR when RAEC were stimulated with C5a itself. To our knowledge, this finding has not been previously described, suggesting an autostimulatory ability of C5a to induce increased expression of its own receptor. This aspect is specifically interesting in the development of sepsis, where high C5a serum levels are seen in the early onset of the septic syndrome, which could result in an up-regulation of C5aR in various organs, and, therefore, increased sensitivity to C5a.
Type II AEC appear able to produce the complement component, C5 (6). We have recently shown that alveolar macrophages can cleave C5, generating C5a, whereas RAEC lack this ability (3). C5 production by type II AEC could, in the presence of activated alveolar macrophages, result in generation of C5a. This may represent an important cell-cell interaction that triggers an acute inflammatory response by some of the mechanisms described in the current report. Depletion of alveolar macrophages leads to clearly reduced lung injury and cytokine production (34), underscoring the primacy of lung macrophages in pulmonary inflammatory responses. On the basis of our current data, C5a intensifies cytokine production by RAEC stimulated with several different agonists.
The synergistic effects of C5a on LPS-induced generation of TNF-α and MIP-2 and an additive effect on CINC-1 generation in RAEC seems clear. CINC-2 is reported to play an important role in pulmonary bacterial infection (35). Our data suggest that even though LPS has the ability to stimulate production of cytokines by RAEC, the copresence of C5a evokes increased mediator production. RPA revealed a strong increase of IL-1β mRNA expression, especially only after addition of both LPS and C5a, along with expression of TNF-α. We also found that IL-1β concentrations in cell lysates were significantly increased when RAEC were costimulated with LPS and C5a, but not in the cell supernatants. This indicates intracellular production of IL-1β, but not its secretion. It has been shown in the human cancer cell line A549 that addition of IL-1β and other chemokines significantly decreases C5 production by these cells (36). If this were applicable to primary cell cultures of RAEC, this would suggest a negative regulatory mechanism.
The evidence provided in this report support the concept that C5aR is present on RAEC and can be up-regulated by cell contact with LPS, TNF-α, or IL-6. The evidence that mRNA for C5aR can itself be up-regulated by cell contact with C5a was unexpected and suggests a positive autocrine feedback mechanism. It is quite clear that C5a enhances RAEC production of TNF-α, MIP-2, and CINC-1 after cell stimulation with LPS. These data suggest that the presence of bacterial surface products (LPS) can stimulate RAEC to produce mediators and increase C5aR on the cell surface. Under such conditions, these cells may become more sensitive to costimulation by C5a, resulting in increased production of mediators. Under these conditions, RAEC may play an important role in the local inflammatory response, together with macrophages, and may well be target for anti-inflammatory drugs like C5aR antagonists when it is desirable to contain the process of acute inflammation in the lung.
Footnotes
This work was supported by National Institutes of Health Grants HL-31963 and GM-29507).
Abbreviations used in this paper: AEC, alveolar epithelial cells; RAEC, rat AEC; MIP-2, macrophage inflammatory protein-2; DPBS, Dulbecco’s PBS; CINC-1, cytokine-induced neutrophil chemoattractant-1; RPA, RNase protection assay; rrC5a, rat recombinant C5a; 125I-rrC5a, 125I-labeled rrC5a.







