Abstract
Chemokine receptors are essential for triggering chemotaxis to immune cells; however, a number of them can also mediate death when engaged by nonchemokine ligands. When the chemokine receptor CXCR4 is engaged by stromal cell-derived factor (SDF1)α, it triggers cells to chemotax, and in some cell types such as neurons, causes cell death. To elucidate this dual and opposing receptor function, we have investigated whether CXCR4 activation by its chemokine SDF1α could lead to the simultaneous activation of both anti- and proapoptotic signaling pathways; the balance ultimately influencing cell survival. CXCR4 activation in CD4 T cells by SDF1α led to the activation of the prosurvival second messengers, Akt and extracellular signal-regulated protein kinase. Selective inhibition of each signal demonstrated that extracellular signal-regulated protein kinase is essential for mediating SDF1α-triggered chemotaxis but does not confer an antiapoptotic state. In contrast, Akt activation through CXCR4 by SDF1α interactions is necessary to confer resistance to apoptosis. The proapoptotic signaling pathway triggered by SDF1α-CXCR4 interaction involves the Giα protein-independent activation of the proapoptotic MAPK (p38). Furthermore, other chemokines and chemokine receptors also signal chemotaxis and proapoptotic effects via similar pathways. Thus, Giα protein-coupled chemokine receptors can function as death prone receptors and the balance between the above signaling pathways will ultimately mandate the fate of the activated cell.
Chemokines and their receptors play a key role in immune responses, hemopoiesis, and in the pathogenesis of infectious agents such as HIV (1, 2, 3). The chemokine receptors, categorized into CC and CXC subtypes, are seven transmembrane G protein-coupled receptors expressed on a wide variety of cells, including lymphocytes, monocytes, pre-B cells, endothelial cells, and neurons. Stromal cell-derived factor (SDF1)3 is a member of the CXC chemokine family first described to induce proliferation of B cell progenitors and regulate B cell maturation (4). Of the two SDF1 forms, α and β, SDF1α is widely expressed and triggers chemotaxis of monocytes, T cells, and CD34+ human progenitor cells (5, 6). SDF1α is the natural ligand of CXCR4, which also serves as the coreceptor for the X4 HIV envelope (env).
SDF1α can signal two very different outcomes through the same CXCR4 receptor in different cells. Although SDF1α signaling induces chemotaxis in CD4 T cells, it induces cell death in neurons (7, 8, 9, 10, 36). SDF1α-CXCR4 interactions trigger many intracellular signals, including increases in Ca2+ influx (11, 12), extracellular signal-regulated protein kinase (ERK)1/2 phosphorylation (13, 14), activation of phosphatidylinositol 3-kinase (PI3K) and Akt (13, 14, 15), tyrosine phosphorylation of focal adhesion complex components such as Pyk-2 and Crk, and an increase in NF-κB activity (13, 16). Among these signals, ERK1/2 and Akt activation deserve special attention as antiapoptotic signals. Inhibition of either of these signals results in cell death in various cell types (17, 18, 19, 20, 21, 22, 23, 24, 25, 26, 27, 28, 29). It remains unclear why SDF1α stimulation of CXCR4 does not result in cell death in CD4 T cells, yet does cause death in other cell types. We hypothesized that the molecular mechanisms of CXCR4 activation can mediate cell survival or death via the activation (or lack thereof) of specific signaling pathways downstream of G protein-coupled chemokine receptors either with pro- or antiapoptotic features. Using CXCR4 and its ligand SDF1α as a model to study this hypothesis in primary CD4 T cells, we demonstrate that CXCR4 can induce cell death when engaged by SDF1α. However, this is only observed when the SDF1α-CXCR4-dependent activation of the antiapoptotic PI3K-Akt is inhibited, which in turn allows for a Giα protein-independent mitogen-activated protein kinase (MAPK) (p38) dependent signaling pathway to mediate death of primary CD4 T cells. Interestingly, we found this model pertained to G protein-coupled chemokine receptors from both the CXC and CC subtypes. These results demonstrate the proapoptotic function of chemokine receptors and their role in various disease processes.
Materials and Methods
Cell culture
PBMCs were isolated by Ficoll-Hypaque from healthy donors and CD4 T cells were purified by negative depletion using the StemCell magnetic column as described in product instructions (StemCell Technologies, Vancouver, British Columbia, Canada), yielding a population of 98% pure CD4 T cells. The CD4 T cells were maintained in RPMI media containing 10% FBS, 10,000 μg/ml penicillin/streptomycin, and 200 mM glutamine.
Immunoblotting
CD4 T cells were left untreated or incubated at 37°C with 200 nM SDF1α (R&D Systems, Minneapolis, MN) for 30 s, unless otherwise specified. Cells were lysed in a whole-cell lysis buffer (1 × PBS, 1% Nonidet P-40, 0.1% SDS, 0.5% deoxycholate with 10 mM sodium othovanadate, 300 μM sodium fluoride, 10 mM p-nitrophenyl phosphate, and protease inhibitors leupeptin, aproptopin, and pepstatin). Some CD4 T cells were preincubated for 1 h at 37°C with 1 μg/ml of pertussis toxin, 100 nM of wortmannin, 10 μM PD9809, 10 μM of SB203580, 20 μM of Z-Val-Ala-Asp-(OMe)-CH2F (Z-VAD), or the caspase 8 inhibitor Z-LEHD (all obtained from Calbiochem, San Diego, CA) before adding SDF1α. A total of 25 μg of cell lysate protein was run on a 10% SDS-PAGE, and the proteins were transferred by electroblotting onto polyvinylidene fluoride membrane (Millipore, Bedford, MA). The blots were probed with Abs specific for ERK1/2 phosphorylation at Thr202 and Tyr204, Akt phosphorylation at Ser473, p38 phosphorylation at Thr180/Tyr182, and c-Jun amino terminal kinase (JNK) phosphorylation at Thr183/Tyr185 (obtained from NEB, Beverley, MA). Membranes were stripped with 6 M guanidine for 5 min at room temperature, washed extensively, and then reblotted with Abs to ERK2, anti-Akt, anti-p38, or anti-JNK, all obtained from Santa Cruz Biotechnology (Santa Cruz, CA). Proteins were visualized using the ECL system (Amersham Pharmacia Biotech, Piscataway, NJ) after incubating membranes with protein A-conjugated HRP (Amersham Pharmacia Biotech).
Cell mixing experiments, cell death analysis, and confocal microscopy
CD4 T cells (2 × 106) were untreated or preincubated with specific inhibitors for 1 h at 37°C, and then mixed with 200 nM of SDF1α, IL-8, or RANTES (R&D Systems) and then incubated again at 37°C for 2 h. Cells were then counted, diluted, and plated in 96-well plates at a concentration of 0.5 × 106/ml in 200 μl, and incubated overnight at 37°C. The following day, cells were counted and percentage of cell death was calculated using trypan blue dye exclusion as follows: 1 − (total number of viable cells on day 2 divided by total number of viable cells on day 1) × 100. Cell death was also confirmed using two flow cytometry-based methods: cells with reduced FSC, and cells with increased hypodiploid DNA content following propidium iodide staining (30). Experiments for every figure were performed in duplicate and repeated twice. All measurements are presented as means with SDs. Statistical comparisons were made between conditions using Student t test paired observations.
Chemotaxis assays
CD4 T cells (1 × 106), untreated or treated with Pertussis toxin 1 μg/ml, wortmannin 100 nM (Calbiochem), or PD98506 30 μM (Calbiochem) for 1 h at 37°C, were plated (1 × 106 cells in 0.1 ml) in the upper well of a 24-well transmigration chamber (5 μM pore size; Transwell; Costar, Cambridge, MA). A total of 100 nM of SDF1α, IL-8, or RANTES in 0.6 ml of media was added to the lower well. Plates were incubated at 37°C for 2 h, and cells that had migrated to the lower chamber were counted using Trypan dye exclusion. Percentage of cell chemotaxis was calculated as: (number of cells that migrated to lower chamber divided by number of cells originally plated in the upper chamber) × 100.
Results
Inhibition of Giα protein signaling reverses SDF1α-triggered chemotaxis and results in CD4 T cell death
SDF1α leads to a Giα-dependent CD4 T cell chemotaxis upon engagement with CXCR4 (31). To confirm this, primary resting CD4 T cells were pretreated with the Giα inhibitor, pertussis toxin, before addition of SDF1α. Subsequently, the percentage of CD4 T cell chemotaxis was analyzed. As shown in Fig. 1,B, right panel, and as reported for other cell types (15, 32, 33), pertussis toxin inhibited SDF1α-triggered chemotaxis. To determine whether this inhibition of chemotaxis could be secondary to cell death, parallel cultures of primary resting CD4 T lymphocytes were treated under the same conditions and analyzed for cell death 24 h later. As shown in Fig. 1,B, left panel, SDF1α treatment did not cause cell death, except when cells were preincubated with pertussis toxin. Cell death was apoptotic as demonstrated by a reduced forward scatter and an increase in hypodiploid DNA content (Fig. 1 C).
SDF1α induces a prosurvival signal to CD4 T cells that is Giα protein-dependent. A, CD4 T cells were untreated or preincubated with pertussis toxin then treated with SDF1α. Membranes from cell lysates were blotted with anti-phospho-ERK1/2, anti-ERK2, anti-phospho-Akt, or anti-Akt. B, Resting CD4 T cells were untreated or preincubated with pertussis toxin then treated with SDF1α. Left panel, The following day, percentage of cell death was determined by trypan blue dye exclusion. Resting CD4 T cells were untreated or treated with pertussis toxin. The percentage of cells that chemotaxed after 2 h of exposure to SDF1α is graphed in the right panel. C, CD4 T cells were stained with propidium iodide after 24 h of treatment and analyzed for decreases in FSC and hypodiploid nuclei by flow cytometry as indicators of apoptosis.
SDF1α induces a prosurvival signal to CD4 T cells that is Giα protein-dependent. A, CD4 T cells were untreated or preincubated with pertussis toxin then treated with SDF1α. Membranes from cell lysates were blotted with anti-phospho-ERK1/2, anti-ERK2, anti-phospho-Akt, or anti-Akt. B, Resting CD4 T cells were untreated or preincubated with pertussis toxin then treated with SDF1α. Left panel, The following day, percentage of cell death was determined by trypan blue dye exclusion. Resting CD4 T cells were untreated or treated with pertussis toxin. The percentage of cells that chemotaxed after 2 h of exposure to SDF1α is graphed in the right panel. C, CD4 T cells were stained with propidium iodide after 24 h of treatment and analyzed for decreases in FSC and hypodiploid nuclei by flow cytometry as indicators of apoptosis.
This observation prompted us to investigate whether signaling pathways with antiapoptotic properties known to be activated following SDF1α-CXCR4 interactions, such as the MAPK ERK1/2 or PI3K-Akt, were being suppressed by pertussis toxin treatment. To address this question, CD4 T cells were obtained from the same donor and processed in parallel to those used in Fig. 1,B. As shown in Fig. 1 A, SDF1α triggered the phosphorylation of both the MAPK ERK1/2 and of Akt. This phosphorylation was not observed in pertussis toxin-pretreated cells. Moreover, pertussis toxin did not modify the expression level of CXCR4 by flow cytometry in these cells (untreated 20%, pertussis toxin 19%, p = NS).
Altogether, these results indicate that SDF1α provides a potent chemotactic signal to resting primary CD4 T cells. Inhibition of signaling pathways downstream of Giα reverse the SDF1α triggered chemotaxis and, surprisingly, resulted in cell death.
Blocking SDF1α-triggered ERK1/2 phosphorylation does not lead to CD4 T cell death
We next questioned whether the Giα-dependent MAPK or Akt signaling pathways, activated by SDF1α-CXCR4 interactions, are involved in protecting primary CD4 T cells from undergoing CD4 T cell death when stimulated by SDF1α. First, we addressed the role of MAPK in this process by inhibiting MAPK kinase (MEK), the upstream regulator of ERK1/2, with the inhibitor (PD98509) before SDF1α treatment. Two and 24 h later, chemotaxis and cell survival were measured, respectively, as described in Fig. 1. Although SDF1α did not induce CD4 T cell death in cells treated with the MEK inhibitor, it significantly inhibited the SDF1α-triggered chemotaxis (Fig. 2,B). The specificity and efficacy of PD98509 as an inhibitor of both ERK1 and 2 was analyzed by determining ERK1/2 and Akt phosphorylation following SDF1α treatment. As shown in Fig. 2 A, only the SDF1α-triggered phosphorylation of ERK1 and 2, but not of Akt, was abrogated in the presence of the MEK inhibitor. Furthermore, the PD98509 inhibitor did not change CXCR4 cell surface expression when analyzed by flow cytometry (untreated 20%, PD98509 21%, p = NS).
SDF1α-mediated ERK1/2 phosphorylation is essential for chemotaxis, but is not a prosurvival signal to the CD4 T cell. A, Resting CD4 T cells were untreated or incubated with the ERK1/2 inhibitor, PD98509, then treated with SDF1α. Membranes were blotted for anti-phospho-ERK1/2, anti-ERK2, anti-phospho-Akt, or anti-Akt. B, Resting CD4 T cells were untreated or preincubated with PD98509 before some points were treated with SDF1α. Left panel, The percentage of cell death was determined the following day. Cells from the same donor were left untreated or preincubated with PD98509 and then exposed to SDF1α for 2 h in Transwell chemotaxis plates. The percentage of CD4 T cells that chemotaxed is graphed in the right panel.
SDF1α-mediated ERK1/2 phosphorylation is essential for chemotaxis, but is not a prosurvival signal to the CD4 T cell. A, Resting CD4 T cells were untreated or incubated with the ERK1/2 inhibitor, PD98509, then treated with SDF1α. Membranes were blotted for anti-phospho-ERK1/2, anti-ERK2, anti-phospho-Akt, or anti-Akt. B, Resting CD4 T cells were untreated or preincubated with PD98509 before some points were treated with SDF1α. Left panel, The percentage of cell death was determined the following day. Cells from the same donor were left untreated or preincubated with PD98509 and then exposed to SDF1α for 2 h in Transwell chemotaxis plates. The percentage of CD4 T cells that chemotaxed is graphed in the right panel.
These results indicate that in primary resting CD4 T cells, the MAPK pathway (ERK1 and 2) plays a critical role in the SDF1α mediated chemotaxis, but is not involved in protecting cells from SDF1α-CXCR4-triggered death.
Blocking SDF1α-triggered Akt phosphorylation leads to CD4 T cell death
Because Akt phosphorylation in primary CD4 T cells was also found to be Giα-dependent (Fig. 1,A), we next examined the role of Akt and its upstream activator, PI3K, in SDF1α-mediated signaling in primary CD4 T lymphocytes using the PI3K inhibitor wortmannin. Pretreatment of CD4 T cells with wortmannin before SDF1α stimulation led to significant cell death. This was not observed in CD4 T cells treated with either wortmannin or SDF1α alone (Fig. 3,B, left panel). However, pretreating the cells with wortmannin before activation of SDF1α did not block chemotaxis (Fig. 3,B, right panel), and did not change cell surface expression of CXCR4 (untreated 17%, wortmannin 15%, p = NS). Because the vast majority of CD4 T cells chemotax within 2 h, we presume the same cells are among those that apoptose at 24 h, suggesting that the apoptotic and chemotaxis triggering pathways are unrelated. The specificity of the PI3K inhibitor was demonstrated by its ability to inhibit Akt, but not ERK1 and 2, phosphorylation following SDF1α treatment (Fig. 3 A). From this information, we inferred that SDF1α-CXCR4 interactions can lead to the activation of different signaling pathways that result in different functional outcomes: those involved in chemotaxis (MAPK-dependent), and those that neutralize presumed proapoptotic pathway(s), such as in the PI3K-Akt axis.
SDF1α-mediated Akt phosphorylation is the prosurvival signal SDF1α sends a CD4 T cell. A, Resting CD4 T cells were untreated or incubated with the PI3K inhibitor, Wortmannin, then treated with SDF1α. Membranes were blotted for anti-phospho-ERK1/2, anti-ERK2, anti-phospho-Akt, or anti-Akt. B, Resting CD4 T cells were untreated or preincubated with Wortmannin before some points were treated with SDF1α. Left panel, Cell death was determined the following day. Cells from the same donor were untreated or preincubated with PD98509 and then exposed to SDF1α for 2 h in Transwell chemotaxis plates. The percentage of CD4 T cells that chemotaxed is graphed in the right panel. C, Resting CD4 T cells were incubated with SDF1α for increasing amounts of time, and then lysed and blotted for anti-phospho-Akt and anti-Akt.
SDF1α-mediated Akt phosphorylation is the prosurvival signal SDF1α sends a CD4 T cell. A, Resting CD4 T cells were untreated or incubated with the PI3K inhibitor, Wortmannin, then treated with SDF1α. Membranes were blotted for anti-phospho-ERK1/2, anti-ERK2, anti-phospho-Akt, or anti-Akt. B, Resting CD4 T cells were untreated or preincubated with Wortmannin before some points were treated with SDF1α. Left panel, Cell death was determined the following day. Cells from the same donor were untreated or preincubated with PD98509 and then exposed to SDF1α for 2 h in Transwell chemotaxis plates. The percentage of CD4 T cells that chemotaxed is graphed in the right panel. C, Resting CD4 T cells were incubated with SDF1α for increasing amounts of time, and then lysed and blotted for anti-phospho-Akt and anti-Akt.
CD4 T cells were then incubated with SDF1α for progressively longer duration to determine the kinetics of SDF1α activation of Akt through the CXCR4 receptor. As shown in Fig. 3 C, Akt phosphorylation occurred very early and was transient. It peaked 30 s after SDF1α stimulation and vanished after 10 min, suggesting it maybe a trigger to other proliferative downstream signals. Therefore, Akt activation is not only an essential prosurvival signal, but also appears to be involved in an early cascade of signaling that protects cells from death up to 24 h later. However, this may be a result of the sensitivity of the methods used to detect very early cell death.
SDF1α-mediated CD4 T cell death is a caspase-independent process
Previous work from our laboratory and others has demonstrated that CXCR4 activation can lead directly to CD4 T cell death when engaged by X4 HIV env, highlighting the ability of this chemokine receptor to mediate CD4 T cell death (8, 9, 10). Because X4 env-CXCR4-triggered CD4 T cell death is not mediated by the caspase pathway (10), we questioned whether the SDF1α-triggered CD4 T cell death, via CXCR4 activation, in Akt-inhibited cells is also caspase-independent. For this, we studied resting CD4 T cells in which Akt or Giα were inhibited and were then treated with SDF1α in the presence of the pan-caspase inhibitor, Z-VAD. As shown in Fig. 4, the SDF1α-triggered death of CD4 T cells, in which Giα (pertussis toxin) or Akt (wortmannin) were inhibited, was not reduced in the presence of Z-VAD. The functional ability of Z-VAD was verified by demonstrating that this peptide blocked the death of CD4 T cells from the same donor following CD4 cross-linking alone or in conjunction with anti-Fas cross-linking Abs (Fig. 4 B) (34). The caspase-independent nature of SDF1α-induced CD4 T cell death was further verified by using a peptide inhibitor of caspase 8, the caspase most proximal to death domain containing receptors such as Fas. Caspase 8 inhibition also did not block the SDF1α-mediated death (data not shown). Taken together, these data show that the death signal that is triggered by SDF1α in resting CD4 T cells in which the prosurvival PI3k-Akt pathway is blocked was not reversed by a number of caspase inhibitors, analogous to the case of X4 HIV env-CXCR4-mediated CD4 T cell death (8, 9, 10).
The SDF1α-mediated death of CD4 T cells as a result of blocking prosurvival signals is a caspase-independent process. A, Resting CD4 T cells were untreated, preincubated with pertussis toxin or Wortmannin. Some points were then treated with SDF1α or SDF1α plus the general caspase inhibitor Z-VAD. B, CD4 T cells were cross-linked with anti-IgG or anti-CD4 and then assessed for susceptibility to Fas-mediated apoptosis. Some points were also incubated with Z-VAD.
The SDF1α-mediated death of CD4 T cells as a result of blocking prosurvival signals is a caspase-independent process. A, Resting CD4 T cells were untreated, preincubated with pertussis toxin or Wortmannin. Some points were then treated with SDF1α or SDF1α plus the general caspase inhibitor Z-VAD. B, CD4 T cells were cross-linked with anti-IgG or anti-CD4 and then assessed for susceptibility to Fas-mediated apoptosis. Some points were also incubated with Z-VAD.
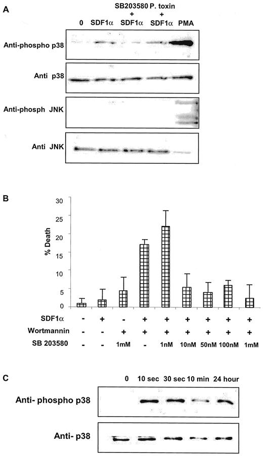
SDF1α-triggered CD4 T cell death is a p38-mediated process and independent of Giα chemokine receptor signaling
We next sought to identify the signaling pathway whereby SDF1α-CXCR4 interactions lead to CD4 T cell death in the presence of a blocked PI3K-Akt axis. A number of studies point to the potential involvement of kinases of the stress-activated pathway such as JNK and p38 in mediating apoptosis in a caspase-independent manner in a variety of cells. These kinases are stimulated by cellular stresses such as heat shock, UV irradiation, or inflammatory cytokines, including TNF-α and IL-1 (20). In addition, both JNK and p38 are reported to be activated by X4 HIV env in neurons and by SDF1α in other cells (35), respectively. Therefore, we investigated whether JNK and/or p38 are activated and may participate in the SDF1α-triggered CD4 T cell death. As shown in Fig. 5,A, p38 but not JNK 1 or 2 was phosphorylated following SDF1α activation. In addition, p38 phosphorylation was decreased in the presence of the specific p38 inhibitor SB203580. CXCR4 surface expression was not changed by flow cytometry analysis after SB203580 treatment (untreated 19%, SB203580 16%, p = NS). Furthermore, SDF1α-induced p38 activation was not blocked by the Giα inhibitor, pertussis toxin (Fig. 5,A). We next investigated whether p38 was involved in mediating CD4 T cell death following SDF1α treatment of cells in which Akt was inhibited. As shown in Fig. 5,B, blocking the PI3K Akt axis with wortmannin enabled SDF1α to cause CD4 T cell death. However, this cell death was not observed when wortmannin and SDF1α-treated cells were incubated in the presence of the p38 inhibitor SB203580 (Fig. 5,B). The SDF1α-mediated CD4 T cell death as a result of PI3K inhibition was mediated by p38, as shown in a dose-dependent manner with the p38 inhibitor SB203580 (Fig. 5 B). Therefore, p38 appears to mediate the pro-death signal triggered by SDF1α and is independent of the Giα signaling of the chemokine receptor.
The SDF1α-mediated CD4 T cell death is p38 phosphorylation-dependent and independent of Giα signaling. A, Resting CD4 T cells were untreated or preincubated with the p38 inhibitor SB203580, or the Giα inhibitor, pertussis toxin, then treated with SDF1α. Membranes from the cell lysates were blotted with anti-phospho p38, anti-p38, anti-phospho JNK, and anti-JNK. Some cells were treated with PMA as a positive control. B, CD4 T cells from the same donor were untreated, preincubated with Wortmannin or Wortmannin and increasing concentrations of SB203580 before treatment with SDF1α. The following day, percentage of CD4 T cell death was determined. C, Resting CD4 T cells were incubated with SDF1α for increasing amounts of time, and then lysed and blotted with anti-phospho-p38 and anti-p38.
The SDF1α-mediated CD4 T cell death is p38 phosphorylation-dependent and independent of Giα signaling. A, Resting CD4 T cells were untreated or preincubated with the p38 inhibitor SB203580, or the Giα inhibitor, pertussis toxin, then treated with SDF1α. Membranes from the cell lysates were blotted with anti-phospho p38, anti-p38, anti-phospho JNK, and anti-JNK. Some cells were treated with PMA as a positive control. B, CD4 T cells from the same donor were untreated, preincubated with Wortmannin or Wortmannin and increasing concentrations of SB203580 before treatment with SDF1α. The following day, percentage of CD4 T cell death was determined. C, Resting CD4 T cells were incubated with SDF1α for increasing amounts of time, and then lysed and blotted with anti-phospho-p38 and anti-p38.
In addition, the time course experiment shown in Fig. 5 C demonstrated that SDF1α activated p38 in a rapid and sustained manner. Peak activation was seen by 10 s after SDF1α ligation and continued for 24 h. Although the p38 pro-death signal was present immediately, cell death was not detectable until 24 h after stimulation. Which again may be a result of the sensitivity of the methods used to determine cell death, or indicate that p38 begins a series of signals that requires hours before the cell eventually dies.
The activation of Akt and p38 by other G protein-coupled chemokine receptors will also dictate the fate of a CD4 T cell
We next questioned whether the other CXC and CC G protein-coupled chemokine receptors have the ability to mediate death or survival similar to CXCR4 via the Akt-p38 balance. To investigate this, primary resting CD4 T cells were treated with media, IL-8, another CXC chemokine known to signal through CXC receptors, or RANTES, a CC chemokine known to signal through CCR receptors. Chemotaxis was measured 2 h later. Both CXC and CC chemokines induced chemotaxis in resting CD4 T cells (Fig. 6,A). However, when CD4 T cells were pretreated with the Akt inhibitor wortmannin, CD4 T cell death was observed, following the addition of IL8 or RANTES (Fig. 6 B). Such death was abrogated by the p38 inhibitor SB203580. Therefore, the p38 mechanism of cell death in Akt-inhibited CD4 T cells appears to be mediated by all G protein-coupled chemokine receptors.
Other G protein-coupled chemokine receptors signal the Akt prosurvival and p38 proapoptotic message to a CD4 T cell. A, Resting CD4 T cells were exposed to IL-8 or RANTES for 2 h in Transwell chemotaxis plates, and the percentage of cells that chemotaxed is graphed. B, CD4 T cells from the same donor were untreated, preincubated with wortmannin or wortmannin and SB203580 before treatment with IL-8 or RANTES. Two days later, the percentage of CD4 T cell death was determined.
Other G protein-coupled chemokine receptors signal the Akt prosurvival and p38 proapoptotic message to a CD4 T cell. A, Resting CD4 T cells were exposed to IL-8 or RANTES for 2 h in Transwell chemotaxis plates, and the percentage of cells that chemotaxed is graphed. B, CD4 T cells from the same donor were untreated, preincubated with wortmannin or wortmannin and SB203580 before treatment with IL-8 or RANTES. Two days later, the percentage of CD4 T cell death was determined.
Discussion
Using primary nontransformed human CD4 T cells, we have demonstrated the potential of chemokine receptors to mediate cell death when stimulated by their natural ligands. This implies that SDF1α, and other CXC and CC chemokines, should be considered apoptotic inducing ligands in cells in which antiapoptotic second messengers are not functional or unable to overcome the activation of pro-death signals by SDF1α-CXCR4 interactions. Lastly, we have highlighted the fine balance that exists between p38 and Akt activation within these cells, controlling cell survival.
The role that different signal transduction molecules play in determining cell survival is an area of active investigation. Overall, there are two important pathways that are associated with cell survival, the ERK1/2 kinases and Akt, the downstream effector protein of PI3K. Inhibiting ERK has been shown to cause cell death in lymphocytes (20, 37) and neuronal cell lines (17). In another series of experiments by Yujiri et al. (18), disrupting the MEK kinase 1 gene in cells caused diminished ERK activation and resulted in apoptosis. The pivotal role of Akt in cell survival has been demonstrated in many cell systems as well (22, 23, 24, 25, 26, 27, 28, 29). Pharmacological inhibitors of Akt activation result in cell death (29). When Akt activation is inhibited with plasmids expressing a dominant negative mutant of Akt, cell death results. Conversely, when a plasmid overexpressing activated Akt is replaced into the cell, the cell survives (22, 24). Other ways of activating Akt, such as treating cells with growth factor, lithium, or insulin, also protects cells from apoptosis (23, 25, 27, 28). In particular, insulin has been shown to induce Akt activation and phosphorylation in neurons and protect the neurons from cell death as a result of different noxious stimuli (24, 28).
Blocking a prosurvival signal in isolation does not cause cell death without a concomitant pro-death signal. The stress-activated kinase cascades, including JNK and p38, are pivotal in many forms of apoptosis. Simply activating JNK and p38 by overexpressing MAP kinase kinases 3/6 causes a decrease in ERK phosphorylation and results in cell death in PC-12 cell. Moreover, overexpressing the p38 dominant negative mutant is enough to protect the cells from the programmed cell death (17). The interaction between prosurvival signals such as ERK phosphorylation and pro-death signals JNK or p38 has been shown to determine the fate of T cell lines as well (19, 20). Hence, a balance seems to exist in a number of systems between a prosurvival and pro-death signal that determines the fate of the cell in response to different stimuli.
Herein, we have focused on the survival and death signals chemokines send cells through Giα protein-coupled chemokine receptors, and propose a model of SDF1α-induced intracellular signaling depicted in Fig. 7. Our experiments demonstrate that treating a CD4 T cell with chemokines causes the cell to chemotax, but not die. If Akt, but not ERK1/2, phosphorylation is inhibited before the cell is treated with the chemokine, the cell dies. In contrast, chemotaxis is ERK1/2, but not Akt, phosphorylation-dependent. Therefore, Akt activation is the crucial prosurvival signal triggered by interactions of the chemokine with its receptor. This newly described “chemokine-mediated” death results from the blockade of a prosurvival signal in primary lymphocytes and is a caspase-independent process. This process is similar to the death signal previously described in which X4 HIV env signals CD4 T cells to apoptose through CXCR4 (8, 10, 38). In addition, we demonstrated that the simultaneous pro-death signal SDF1α sends through CXCR4 (which is also the coreceptor for X4 HIV env) to the CD4 T cell is p38 phosphorylation-dependent, yet is independent of Giα protein signaling. Because SDF1α signaling did not activate JNK in our model, we assume that JNK is not involved in this system. Consequently, these studies indicate that chemokines such as SDF1α can signal CD4 T cell death if the delicate balance between Akt and p38 activation is tipped in favor of the Giα protein-independent, phosphorylation mediated p38 pro-death signal.
Proposed model for chemokine signaling through G protein-coupled chemokine receptors.
Proposed model for chemokine signaling through G protein-coupled chemokine receptors.
There are several areas that require future study. It is not clear why in some cells such as primary CD4 T cells, the interaction of chemokines and their G protein-coupled receptors simultaneously activates prosurvival and pro-death signals with a net result of cell survival, whereas in neurons treated with SDF1α as described by Kaul et al. (35), the pro-death signal dominates. We infer that either the p38 MAPK activation overcomes a feeble Akt activation, or the latter is not activated at all in neurons following CXCR4 ligation by SDF1α.
Another area of interest is the dichotomy of cell fate upon CXCR4 ligation by SDF1α vs HIV X4 env. When SDF1α ligates CXCR4, CD4 T cells chemotax, whereas when HIV X4 env ligates CXCR4, CD4 T cells die. We speculate that X4 env-CXCR4 interaction may not lead to Akt activation, as compared with SDF1α-CXCR4 interactions. Studies are underway to determine this. Alternatively, it is possible that SDF1α, and not X4 env, leads to the association of CXCR4 with other receptors that could per se lead to Akt activation. There are reports that CXCR4 and the TCR colocalize after SDF1α treatment (39). Furthermore, CD4 and CXCR4 are preferentially located on cell surface microvilli in T cells (40). Thus, SDF1α engagement of CXCR4 could lead to TCR or CD4 activation, and thereby PI3K (41, 42), causing an effect distinct from that induced by binding to CXCR4 alone as occurs in neurons. It is interesting that the Akt prosurvival, but not the p38 pro-death signal, is dependent on Giα protein signaling. Because we observed that pertussis toxin inhibited Akt phosphorylation, Giα protein activity could be required for the colocalization of CXCR4 to other receptors.
Precedent exists for cross talk between anti- and proapoptotic signaling pathways as shown in the present study. Cross talk between the prosurvival signal ERK and pro-death signal JNK has been described in other cell systems (19, 20, 37). In these systems, blocking the prosurvival signal ERK1/2 phosphorylation resulted in an increase in the pro-death signal JNK/p38 phosphorylation. Whether Akt inhibits p38 activation will require further in depth investigation.
Therefore, our results demonstrate that the prosurvival and pro-death signals chemokines send through their G protein-coupled receptors will determine the fate of the cell. If the chemokine predominantly induces Akt activation, the cell will survive. However, if the chemokine predominantly activates p38, the cell will die. Presumably, a better understanding of the mechanism by which p38 induces death and Akt prevents death will lead to therapies that are able to promote cell survival.
Acknowledgements
We thank members of the Paya laboratory (Rochester, MN) for helpful discussions and Teresa Hoff for manuscript preparation.
Footnotes
This work was supported by National Institutes of Health Grant no. R01 AI40384.
Abbreviations used in this paper: SDF1, stromal cell-derived factor; env, envelope; ERK, extracellular signal-regulated protein kinase; PI3K, phosphatidylinositol 3-kinase; MAPK, mitogen-activated protein kinase; JNK, c-Jun amino terminal kinase; MEK, MAPK kinase; Z-VAD, Z-Val-Ala-Asp-(OMe)-CH2F.






