Abstract
Defensins comprise a family of cationic antimicrobial peptides that are characterized by the presence of six conserved cysteine residues. We identified two novel human β-defensin (hBD) isoforms by mining the public human genomic sequences. The predicted peptides conserve the six-cysteine motif identical with hBD-4, termed hBD-5 and hBD-6. We also evaluated the characteristics of the mouse homologs of hBD-5, hBD-6, and HE2β1, termed mouse β-defensin (mBD)-12, mBD-11, and mouse EP2e (mEP2e). The mBD-12 synthetic peptide showed salt-dependent antimicrobial activity. We demonstrate the epididymis-specific expression pattern of hBD-5, hBD-6, mBD-11, mBD-12, and mEP2e. In situ hybridization revealed mBD-11, mBD-12, and mEP2e expression in the columnar epithelium of the caput epididymis, contrasting with the predominant expression of mBD-3 in the capsule or septum of the whole epididymis. In addition, the regional specificity of mBD-11, mBD-12, and mEP2e was somewhat overlapping, but not identical, in the caput epididymis, suggesting that specific regulation may work for each member of the β-defensin family. Our findings indicated that multiple β-defensin isoforms specifically and cooperatively contribute to the innate immunity of the urogenital system.
Defensins are cationic antimicrobial peptides that include six specific cysteine residues and can be divided into the α- and β-defensin subfamilies. Three human α-defensins, human neutrophil peptides (HNP)3-1, -2, and -3, were isolated from human neutrophils and showed broad-spectrum microbicidal activity (1). The first mammalian β-defensin was discovered from the bovine respiratory tract, named tracheal antimicrobial peptide (2). Subsequently, lingual antimicrobial peptide was isolated from the bovine tongue (3).
Four human β-defensin (hBD) isoforms have been identified to date: hBD-1, -2, -3, and -4 (4, 5, 6, 7). HE2β1, identified as one major splicing variant of the human EP2 gene, also contains the specific cysteine motif (8, 9, 10, 11). All hBDs show potent antimicrobial activity, especially against Gram-negative bacteria, whereas the function of HE2β1 had not been confirmed (5, 6, 7, 12, 13, 14). In mice, mouse β-defensin (mBD)-1, -2, -3, -4, -5, -6, -7, -8, -9, -11, -13, and -35 have been identified at the National Center for Biotechnology Information (NCBI) gene bank, although the characteristics of mBD-5, mBD-9, mBD-11, mBD-13, and mBD-35 have not been published (15, 16, 17, 18, 19, 20, 21). mBD-1 and mBD-3 are regarded as mouse homologs of hBD-1 and hBD-2, respectively, and also showed antimicrobial activity (16, 18). hBD-1, hBD-2, and hBD-3 showed the widespread distribution in various organs like urogenital tissues, skin, respiratory tracts, intestinal tracts, testis, and placenta (22, 23, 24, 25, 26). Although the tissue distribution of mBD-5, mBD-7, mBD-8, mBD-9, mBD-11, mBD-13, and mBD-35 have not been evaluated in mice, the other known mBD isoforms also show the expression in multiple tissues, such as kidney, esophagus, tongue, trachea, and skeletal muscle (15, 16, 17, 18, 19, 20).
Furthermore, the novel antimicrobial peptide Bin1b was identified in the rat epididymis and its putative amino acid sequence is included the conserved six-cysteine motif (27). Bin1b is partially homologous with HE2β1 and more homologous with the chimpanzee epididymal protein EP2E in its amino acid sequence (28). Interestingly, Bin1b showed no expression in the other major organs, such as the lung or kidney. Subsequently, hBD-4 cDNA was identified and its expression was also almost confined to the testis with much lower expression in the gastric antrum (7). These two isoforms are unique in their confined expression pattern.
Because the defensin genes comprise a large gene cluster in chromosome 8, the genomic sequence is useful to identify novel defensin genes (11, 29, 30). Recent reports indicate the presence of >25 human or mouse genes that could be encoding β-defensin peptide, although the characteristics of these genes have not been evaluated well (31). In this work we report the peculiar characteristics of multiple epididymis-specific β-defensin isoforms in humans and mice, including two novel hBD isoforms, named hBD-5 and hBD-6, and two novel mBD isoforms, named mBD-12 and mouse EP2e (mEP2e), respectively.
Materials and Methods
Cloning of hBD-5 and hBD-6 cDNA
We obtained the nucleotide sequence of the human genome around the β-defensin gene cluster in chromosome 8 from the NCBI public database (NT_019483). This sequence was translated in all six possible reading frames and was searched for the specific cysteine pattern; multiple possible β-defensin genes were obtained. We used the basic local alignment search tool against the expressed sequence tag (EST) database and obtained a sequence identical with the DEFB6 gene (31). Based on this EST sequence (AW103145, AI910580) and the corresponding genomic sequence, we designed a pair of specific intron-spanning primers for RT-PCR (forward primer, 5′-CAGTCATGAGGACTTTCCTC-3′; reverse primer, 5′-AGAAGCTAGGTTATGTATGC-3′). Reverse transcription was performed on total human epididymis/testis RNA (Clontech Laboratories, Palo Alto, CA) using Superscript II. The PCR conditions were 94°C for 40 s, 60°C for 30 s, and 72°C for 1 min conducted for 35 cycles.
In addition, we designed two specific primers for RT-PCR based on the genomic sequence of the DEFB5 gene (forward primer, 5′-GTCGTGCAAGCTTGGTCGGG-3′; reverse primer, 5′-CCAGGTCTGCTTCTAAGGCC-3′) (31). We performed RT-PCR to evaluate the expression of this gene as described above. Subsequently, we determined the 5′ end of this novel cDNA sequence using a 5′ RACE kit (Life Technologies, Rockville, MD) performed on total RNA from the human epididymis.
Cloning of the mouse homologs of hBD-5, hBD-6, and HE2β1
We screened the homologous sequence of the DEFB5 gene using the basic local alignment search tool at NCBI and obtained the published full-length cDNA sequence from the adult mouse epididymis (AK020311, RIKEN full-length enriched library; clone 9230103N16) (32).
To identify the homolog of HE2β1, we designed a pair of degenerate PCR primers from the amino acid sequences conserved between HE2β1 and Bin1b: forward primer, 5′-GAYRTACCACCKGGAATHAG-3′; reverse primer, 5′-GATACRCARCATCTRTTCCA-3′. RT-PCR was performed on adult mouse epididymis RNA. The PCR conditions were 94°C for 40 s, 60°C for 30 s, and 72°C for 1 min conducted for 35 cycles. The sequencing of the PCR products revealed the homologous fragment with Bin1b cDNA. We screened the EST library using this novel nucleotide sequence and obtained the full-length cDNA sequence (AK020333, RIKEN full-length enriched library; clone 9230111C08) (32).
We also obtained the partial mouse genomic sequence containing the mBD-35 gene from the NCBI database (AL590619). This sequence was translated in all six possible reading frames and detected the homologous genomic sequence with the hBD-6 gene. Based on this genomic sequence, we designed two specific intron-spanning primers to confirm the expression (forward primer, 5′-GCCCTTCAGGTCATGAAGAC-3′; reverse primer, 5′-AGCATCTGCTTCCATCAGGT-3′). RT-PCR was performed as described on the DEFB6 gene. To determine the full-length cDNA sequences of these three mBD isoforms, we used 5′-RACE and 3′-RACE kits on the mouse epididymis RNA (Life Technologies).
Analysis of the genomic organization
As for human genomic sequences and mBD-11 genomic sequences, we used the public sequences at NCBI. As for the mBD-12 and mEP2e genomic sequences, we designed a pair of specific PCR primers from mBD-12 (forward primer, 5′-TGAAGAATCTCCCCTCAAACATGG-3′; reverse primer, 5′-TTCACAAGGCAAAGTTACAG-3′) and mEP2e (forward primer, 5′-ATCAGTCACACCTGCTTTCC-3′; reverse primer, 5′-ATCCTTTCACCGGACCTTTG-3′). PCR was performed on the isolated mouse genomic DNA using the Advantage HF-2 PCR kit (Clontech Laboratories). The PCR products were cloned to pCR4-TOPO vector (Invitrogen, Carlsbad, CA) and the inserts were sequenced to determine the splicing site.
Synthesis of mBD-12 mature peptide
We synthesized chemically the putative mBD-12 mature peptide spanning 34 COOH-terminal amino acids of the precursor at the Peptide Institute (Minoh, Japan). The synthetic peptide was air-oxidated for three disulfide bonds. The material, eluted in a single peak on RP-HPLC and confirmed by mass spectroscopy, was lyophilized and dissolved in 0.01% acetic acid.
Analysis of antimicrobial activity
We followed the colony count assay described by Harwig et al. (33) with some modification. Mid-logarithmic-phase Escherichia coli (ATCC 25922 strain) was suspended in 10 mM sodium phosphate buffer to adjust the density to 5 × 107 CFU/ml, and this suspension was mixed with mBD-12 solution. The final sodium concentration of this mixture was 15 mM, and the mBD-12 concentration was adjusted to 2, 20, or 200 μg/ml. As a control, the mixture without mBD-12 was also incubated. After a 2-h incubation of these mixtures at 37°C, the 10-fold serial dilutions were spread over tripticase soy agar plates and incubated at 37°C for 48 h. After counting the numbers of colonies on the plates, we calculated ratios of survived-to-control colony numbers as survival ratios.
The salt sensitivity of the antimicrobial activity was also evaluated. We adjusted the final sodium concentration of the bacterial mixture to 15, 50, 100, or 150 mM with NaCl and incubated the mixture for 2 h with 20 μg/ml mBD-12. As a control, the mixture without mBD-12 was also incubated at each sodium concentration. After the 2-h incubation, the 10-fold serial dilutions were spread over the plates and incubated for 48 h as described above. The procedures were repeated more than four times at each sodium concentration.
RT-PCR
Human epididymis and testis were obtained from the surgical samples of a prostate cancer patient in Mitsui Memorial Hospital (Tokyo, Japan). The institutional review board of Mitsui Memorial Hospital approved this study. We isolated human RNA from these specimens using Isogen (Nippon Gene, Toyama, Japan). We also purchased human RNA of brain, liver, lung, trachea, kidney, heart, and skeletal muscle from Clontech Laboratories. Mouse RNA was isolated from the indicated organs of sexually mature male ICR mice using Isogen (Nippon Gene). A total of 5 μg of each sample was reverse-transcribed by random hexamer primers using Superscript II (Life Technologies).
We designed a pair of specific intron-spanning primers from hBD-5 (forward primer, 5′-TTGGTTCAACTGCCATCAGG-3′; reverse primer, 5′-CCAGGTCTGCTTCTAAGGCC-3′), hBD-4 (forward primer, 5′-CTCCGACTTGCGTCTGCTTC-3′; reverse primer, 5′-CCTGAGCAAAACTTTCGATC-3′), and HE2β1 (forward primer, 5′-TCTGGCTTGCAGTGCTCTTG-3′; reverse primer, 5′-CTTGGGATACTTCAACATCC-3′). As for mouse genes, we also designed a pair of specific intron-spanning primers from mBD-12 (forward primer, 5′-TGAAGAATCTCCCCTCAAACATGG-3′; reverse primer, 5′-GGAGCATAGCACTTTCGTTTG-3′), mEP2e (forward primer, 5′-ATCAGTCACACCTGCTTTCC-3′; reverse primer, 5′-CACATACTCAAAGCCTTTGG-3′), and mBD-3 (forward primer, 5′-GCTTCAGTCATGAGGATCCATTACCTTC-3′; reverse primer, 5′-GCTAGGGAGCACTTGTTTGCATTTAATC-3′). PCR was performed on 0.5 μl of reverse transcriptase reaction for a total volume of 25 μl using Taq polymerase (Takara Shuzo, Otsu, Japan). The PCR conditions were 94°C for 40 s, 60°C for 30 s, and 72°C for 1 min conducted for the indicated cycles. Amplification of G3PDH was also performed in parallel as a control.
In situ hybridization
A 290-bp fragment of mBD-11 cDNA, a 700-bp fragment of mBD-12 cDNA, and a 340-bp fragment of mEP2e cDNA were isolated from the mouse epididymis RNA as described above. We also isolated a 300-bp fragment containing mBD-3 exon 2 from bacterial artificial chromosome D11 (Incyte Genomics, Palo Alto, CA) by PCR amplification. Antisense and sense RNA probes were prepared from these fragments by T3 or T7 RNA polymerase using a DIG RNA labeling kit (Roche, Basel, Switzerland).
The mouse epididymis was fixed in 4% paraformaldehyde at 4°C overnight and was cryosectioned at 20 μm. The sections were treated with 1 μg/ml proteinase K for 5 min at 37°C and 2 mg/ml glycine for 30 s, postfixed in 3.7% formaldehyde in PBS for 20 min, and acetylated with 0.25% acetic anhydride in 0.1 M triethanolamine for 10 min. Hybridization with DIG-labeled probe was conducted overnight at 55°C in 5× SSC, 1% SDS, 50% formamide, and 1 mg/ml yeast tRNA containing 1 mg/ml probe. Then, the sections were washed twice in 2× SSC, 1% SDS, 50% formamide and once in 0.2× SSC, 0.1% SDS, 50% formamide at 60°C for 30 min each. The sections were incubated with anti-DIG alkaline phosphatase-conjugated Abs diluted 1/2000 with 100 mM maleic acid (pH 7.5), 50 mM NaCl, 0.1% Tween 20 overnight at 4°C, followed by an alkaline phosphatase reaction step under the following conditions: 50 mg/ml nitroblue tetrazolium chloride, 50 mg/ml 5-bromo-4-chloro-3-indolyl phosphate, 10% (w/v) polyvinylalcohol, 100 mM Tris-Cl (pH 9.5), 50 mM MgCl2, 100 mM NaCl, 0.1% Tween 20. The sections were developed at 37°C in the dark.
Results
Identification of two novel hBD genes
Based on the public human genomic sequence (NT_019483), we identified multiple sequences that could be encoding β-defensin peptide because of its predicted cysteine pattern. We confirmed the existence of two corresponding transcripts of these putative genes by RT-PCR. The predicted amino acid sequences of these novel transcripts contained the specific six-cysteine motif identical with hBD-4 and we named these novel peptides hBD-5 and hBD-6, although the transcription initiation site of hBD-6 cDNA has not been determined, probably due to a too-low amount of hBD-6 mRNA.
The hBD-5 gene was located ∼74.4 kb from the hBD-2 gene and ∼19 kb from the hBD-4 gene (Fig. 1). The hBD-5 gene encoded its transcript in the antisense direction to the hBD-2, -3, -4, and HE2β1 genes. The hBD-6 gene was located between the hBD-4 and hBD-5 genes. hBD-5 contained three exons separated by the first 343-bp intron and the second 1248-bp intron while hBD-6 contained two exons separated by a 3575-bp intron (Fig. 2). No NF-κB consensus sites were found within the 5-kb promoter of the hBD-5 gene. The hBD-6 gene contains the NF-κB consensus sequence (GGGRNTYC) 5 and 1.3 kbp upstream of the start codon like the hBD-2 gene, which contains multiple NF-κB binding sites (29, 34).
Schematic view of the hBD gene cluster on chromosome 8. The arrows indicate the direction of transcription of the indicated β-defensin isoforms. The epididymis-specific genes were located in the adjacent regions.
Schematic view of the hBD gene cluster on chromosome 8. The arrows indicate the direction of transcription of the indicated β-defensin isoforms. The epididymis-specific genes were located in the adjacent regions.
Nucleotide and amino acid sequences of hBD-5 (A) and hBD-6 (B). Exon sequences are shown in capital letters. The exon-intron splice site sequences conform to the consensus rule. The dashed underlining indicates a TATA box-like sequence of the hBD-5 promoter. The boxes indicate the specific cysteine residues identical with hBD-4 and the dashed boxes indicate the additional cysteine residues unique to hBD-5, hBD-6, and their mouse homologs.
Nucleotide and amino acid sequences of hBD-5 (A) and hBD-6 (B). Exon sequences are shown in capital letters. The exon-intron splice site sequences conform to the consensus rule. The dashed underlining indicates a TATA box-like sequence of the hBD-5 promoter. The boxes indicate the specific cysteine residues identical with hBD-4 and the dashed boxes indicate the additional cysteine residues unique to hBD-5, hBD-6, and their mouse homologs.
Identification of the mouse homolog of hBD-5, hBD-6, and HE2β1
RIKEN′s full-length cDNA sequence from the adult mouse epididymis (AK020311) exhibited ∼77% identity with the hBD-5 coding region. We also confirmed the transcript using RT-PCR, 5′-RACE, and 3′-RACE on the mouse epididymis RNA. Our sequence analysis contained a 2-nt difference from RIKEN′s sequence in the 3′ noncoding region. Because this mouse homolog corresponded to the Defb12 genomic sequence indicated by Schutte et al. (31), we named this isoform mBD-12. The genomic sequencing revealed that the mBD-12 gene was also separated by one short intron and one relatively long intron like hBD-5. The nucleotide sequence of the mBD-12 exon 3 coding region was 97.4% identical (191 of 196) with the corresponding sequence of mBD-35 cDNA (AJ437650) in the NCBI database, although mBD-12 exon 1 and exon 2 showed no homology with mBD-35. The genomic sequence of the second mBD-12 intron was also quite different from the mBD-35 genomic sequence, indicating that different genes encode these transcripts.
Degenerate PCR amplification of the mouse epididymis cDNA with primers common to HE2β1 and Bin1b revealed a novel β-defensin sequence homologous with Bin1b. The cDNA sequence was identical with RIKEN′s full-length cDNA sequence of the adult mouse epididymis (AK020333) (32). We also confirmed the corresponding transcript using RT-PCR, 5′-RACE, and 3′-RACE on the mouse epididymis RNA. The predicted amino acid sequence of this cDNA is 68.1% (47 of 69) identical with chimpanzee EP2E and 88.4% (61 of 69) identical with Bin1b, and we named this β-defensin isoform mEP2e. The genomic sequence revealed that the mEP2e gene was composed of only two exons separated by an ∼1.2-kb intron, supporting mEP2e correspond to the EP2E splicing variant in the chimpanzee EP2 gene. The HE2β1 gene was composed of three exons separated by the first 583-bp intron and the second 11815-bp intron corresponding to the EP2D isoform (9, 10, 11, 28). The amino acid sequence encoded by the mEP2e exon 2 was also 67.3% (35 of 52) identical with the corresponding sequence of HE2β1. We could not detect the mouse variant corresponding to the EP2D isoform using the 5′-RACE system.
Using the public mouse nucleotide database at the NCBI (AL580619), we detected the genomic sequence homologous with the hBD-6 gene and confirmed the corresponding transcript using RT-PCR, 5′-RACE, and 3′-RACE on the mouse epididymis RNA. This mouse homolog was completely identical with defb11 gene at the NCBI database (AJ437648), named mBD-11. The predicted amino acid sequence of mBD-11 is 70.9% (46 of 65) identical with hBD-6 corresponding sequence. mBD-11 was composed of two exons separated by a 2567-bp intron like hBD-6. No NF-κB consensus sites were found within the 5-kb promoter of the mBD-12 gene.
Comparison of the hBD and mBD isoforms
In Fig. 3, we compared the partial amino acid sequences of hBD-5, hBD-6, mBD-11, mBD-12, and mEP2e with the known β-defensin isoforms whose tissue distribution had been evaluated. All the isoforms contain the specific cysteine motif (whose cysteine residues are referred to as C1, C2, C3, C4, C5, and C6 residues in order here).
Comparison of the predicted amino acid sequences of the hBD and mBD families. Shown are partial amino acid sequences of the hBD and mBD isoforms whose tissue distribution was evaluated. The isoforms below the space were included in the epididymis-specific β-defensin subgroup. The solid boxes indicate the conserved residues among the multiple hBDs and mBDs. The dashed boxes show the conserved cationic residues.
Comparison of the predicted amino acid sequences of the hBD and mBD families. Shown are partial amino acid sequences of the hBD and mBD isoforms whose tissue distribution was evaluated. The isoforms below the space were included in the epididymis-specific β-defensin subgroup. The solid boxes indicate the conserved residues among the multiple hBDs and mBDs. The dashed boxes show the conserved cationic residues.
Although the amino acid sequences were quite variable among the members of the β-defensin family, except the specific cysteine motif, there are some residues relatively conserved, such as the glycine two positions before the C2 residue (Fig. 3). As described below, mBD-11, mBD-12, and mEP2e in the mBD family and HE2β1, hBD-4, hBD-5, and hBD-6 in the hBD family showed the epididymis-specific expression pattern. These isoforms conserve the glutamic acid residue six positions before the C4 residue and do not conserve the glycine residue three positions before the C2 residue. These features are rather common among the potentially new β-defensin isoforms whose expression had not been established (33). Interestingly, α-defensin also includes the glutamic acid residue six positions before the C4 residue (1, 35).
Antimicrobial activity of synthetic mBD-12 peptide
To confirm the antimicrobial activity of mBD-12, we synthesized a putative mature peptide of mBD-12. The synthetic peptide showed bactericidal activity against E. coli. We compared the potency of mBD-12 with mBD-6 and HNP-1 synthetic peptide, whose data had been previously reported (20). mBD-12 bactericidal activity was significantly more potent than HNP-1 at the concentration of 20 μg/ml (Student’s t test, p < 0.01) (Fig. 4,A). This potency was comparable to other β-defensins because the minimum inhibitory concentration of recombinant mBD-3 was 16 μg/ml against E. coli and the effective concentration of hBDs ranged from 5 to 60 μg/ml (5, 6, 7, 13, 14). The antimicrobial potency of mBD-12 was significantly reduced at high concentrations of NaCl like hBD1, hBD-2, hBD-4, mBD-1, and mBD-6 (Student’s t test, p < 0.01) (Fig. 4 B) (5, 7, 13, 14).
Antimicrobial activity of mBD-12 synthetic peptide. The survival ratio is the ratio of the number of survived colonies to that of control colonies. The means and the SEs of the log10 survival ratio are depicted. We also added the data of mBD-6 and HNP-1, which had been previously reported. A, mBD-12 showed significantly more potent microbicidal activity against E. coli at the concentration of 20 μg/ml than HNP-1 (Student’s t test, p < 0.01). B, mBD-12 antimicrobial activity was significantly reduced at the environmental sodium concentrations of 50, 100, and 150 mM (Student’s t test, p < 0.01).
Antimicrobial activity of mBD-12 synthetic peptide. The survival ratio is the ratio of the number of survived colonies to that of control colonies. The means and the SEs of the log10 survival ratio are depicted. We also added the data of mBD-6 and HNP-1, which had been previously reported. A, mBD-12 showed significantly more potent microbicidal activity against E. coli at the concentration of 20 μg/ml than HNP-1 (Student’s t test, p < 0.01). B, mBD-12 antimicrobial activity was significantly reduced at the environmental sodium concentrations of 50, 100, and 150 mM (Student’s t test, p < 0.01).
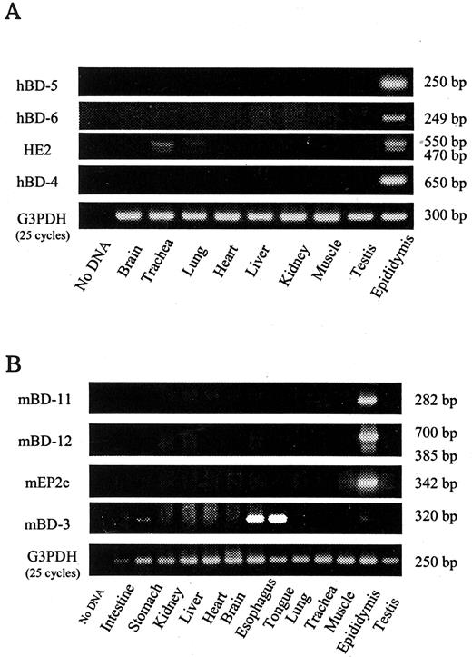
Tissue distribution of hBD-5, hBD-6, mBD-11, mBD-12, and mEP2e
RT-PCR revealed that hBD-5 and hBD-6 were specifically expressed in the human epididymis (Fig. 5 A). No signal was detected in the other main organs: brain, trachea, lung, heart, liver, kidney, skeletal muscle, and testis. This expression pattern was similar to that of hBD-4. Although a previous report has shown the main expression of hBD-4 in the testis, our data more precisely indicate the hBD-4 expression in the human epididymis but not in the testis (7). HE2β1 expression has never been evaluated well. Our RT-PCR amplification of human epididymis RNA revealed a 546-bp fragment consistent with HE2α1 and a 470-bp fragment consistent with HE2β1, confirmed by sequencing. Although weak signals were also detected in the trachea or lung, the specific amplification of HE2 family was not confirmed by sequencing in this tissue, indicating that HE2 expression would be also confined to the epididymis.
Tissue distribution of novel β-defensin isoforms in humans (A) and mice (B). RT-PCR of the indicated β-defensin isoforms and G3PDH was performed from the total RNA of the indicated tissues in humans or mice. PCR of β-defensin cDNA was conducted for 30 cycles and PCR of G3PDH was conducted for 25 cycles. hBD-4, hBD-5, hBD-6, HE2β1, and their mouse homologs are all predominantly expressed in the epididymis. The amplification of HE2 cDNA revealed a 546-bp fragment, consistent with HE2α1, and a 470-bp fragment, consistent with HE2β1. The amplification of mBD-12 also revealed a weak 385-bp fragment corresponding to the alternative spliced product. mBD-3 expression was detected in the esophagus, tongue, stomach, and epididymis.
Tissue distribution of novel β-defensin isoforms in humans (A) and mice (B). RT-PCR of the indicated β-defensin isoforms and G3PDH was performed from the total RNA of the indicated tissues in humans or mice. PCR of β-defensin cDNA was conducted for 30 cycles and PCR of G3PDH was conducted for 25 cycles. hBD-4, hBD-5, hBD-6, HE2β1, and their mouse homologs are all predominantly expressed in the epididymis. The amplification of HE2 cDNA revealed a 546-bp fragment, consistent with HE2α1, and a 470-bp fragment, consistent with HE2β1. The amplification of mBD-12 also revealed a weak 385-bp fragment corresponding to the alternative spliced product. mBD-3 expression was detected in the esophagus, tongue, stomach, and epididymis.
To evaluate the mBD-11, mBD-12, and mEP2e expression, we isolated total RNA from the intestine, stomach, liver, kidney, heart, brain, esophagus, tongue, lung, trachea, skeletal muscle, epididymis, and testis of a male ICR mouse aged 4 mo. RT-PCR of mBD-11, mBD-12, and mEP2e also revealed the epididymis-specific tissue distribution (Fig. 5,B). The tissue specificity of these isoforms was clearly different from mBD-3. RT-PCR revealed mBD-3 expression in the mouse esophagus and tongue, consistent with previous reports (18, 19, 20). Interestingly, we also detected weak mBD-3 expression in the mouse epididymis, which had not been evaluated well (18). The mBD-3 expression in the epididymis was demonstrated more clearly in Fig. 6 using the 35-cycle PCR. RT-PCR analysis of mBD-1, mBD-2, and mBD-6 also showed their expression in the mouse epididymis, whereas mBD-4 expression was not detected (data not shown).
RT-PCR analysis of the regional specificity of the mBD family in the epididymis. We isolated total RNA from the mouse bladder, seminal vesicle, seminal duct, and the epididymis caput, corpus, and caudal region separately. RT-PCR detected mBD-11 and mBD-12 expression most prominent in the epididymis caput region especially after 25 cycles, and completely absent in the seminal tract, seminal vesicle, and bladder. mEP2e expression was also most prominent in the caput region, but the compatible expression was also detected in the corpus region even after 25 cycles. RT-PCR of mBD-3 showed ubiquitous expression in the caput region, corpus region, and caudal region. mBD-3 expression was detected even in the seminal tract.
RT-PCR analysis of the regional specificity of the mBD family in the epididymis. We isolated total RNA from the mouse bladder, seminal vesicle, seminal duct, and the epididymis caput, corpus, and caudal region separately. RT-PCR detected mBD-11 and mBD-12 expression most prominent in the epididymis caput region especially after 25 cycles, and completely absent in the seminal tract, seminal vesicle, and bladder. mEP2e expression was also most prominent in the caput region, but the compatible expression was also detected in the corpus region even after 25 cycles. RT-PCR of mBD-3 showed ubiquitous expression in the caput region, corpus region, and caudal region. mBD-3 expression was detected even in the seminal tract.
PCR amplification of mBD-12 revealed one larger 700-bp fragment and one shorter 385-bp fragment using the specific primers from the exon 1 and the 3′ noncoding region. Sequencing of the PCR products indicated the larger one corresponding to mBD-12 and the shorter one corresponding to the novel transcripts that contained the identical sequences with the 5′ end of mBD-12 exon 1 and the 3′ noncoding region of mBD-12 exon 3, suggesting that they were alternatively spliced exons encoded by a single gene.
Region specificity of mBD-11, mBD-12, and mEP2e expression in the mouse epididymis
Our evaluation of tissue distribution suggested the importance of the β-defensin family in the male reproductive organ. To further investigate the precise distribution of their expression, we isolated total RNA from the caput, corpus, and caudal region of the adult mouse epididymis separately. We also isolated total RNA from the mouse seminal duct, seminal vesicle, and bladder. RT-PCR revealed that mBD-11 and mBD-12 expression was most prominent in the epididymis caput region and was completely absent in the seminal tract, seminal vesicle, and bladder (Fig. 6). mEP2e expression was also most prominent in the caput region, but the compatible expression was also detected in the corpus region. RT-PCR of mBD-3 showed ubiquitous expression in the caput, corpus, and caudal region and even in the seminal tract. mBD-1, mBD-2, and mBD-6 also showed the ubiquitous expression in the whole epididymis (data not shown).
To confirm the region-specific expression of mBD-11, mBD-12, and mEP2e in the mouse epididymis, we analyzed the distribution of mBD-11, mBD-12, mEP2e, and mBD-3 mRNA at the cellular level using in situ hybridization. The hybridization signals of the mBD-11, mBD-12, or mEP2e antisense probe were confined to the epithelial cells of the mid/distal segment of the caput region, indicating the region specificity of their expression (Figs. 7 and 8). Higher magnification also revealed more complex regulation of mBD-12 or mEP2e expression; i.e., some epithelial cells exhibited strong signals whereas the adjacent epithelial cells exhibited none in the same segment, indicating the cell specificity of their expression (Fig. 7 D). The sense probes gave no hybridization signals (data not shown).
In situ hybridization of the epididymis with mBD-12 and mBD-3 antisense probe. The cryosectioned epididymis slides were hybridized with the indicated antisense probe. A, Low magnification. The hybridization signals of the mBD-12 antisense probe were confined to the epithelial cells of the epididymis caput mid/distal segment indicated by the arrows. No signals were detected in the corpus or caudal region. B, Low magnification. The hybridization signals of the mBD-3 antisense probe were present in the capsule and septum of the whole epididymis. C, The higher magnification of the caput region revealed more clearly the confined distribution of mBD-12 mRNA. D, The higher magnification of the box in Fig. 8 B indicated the mBD-12 regulation at the cellular level. Some epithelial cells exhibited strong signals, whereas adjacent epithelial cells exhibited none, indicating the cell specificity of its expression. E and F, The higher magnification of the caput region (E) and caudal region (F) also revealed more clearly mBD-3 expression in the mesenchymal cells surrounding and compartmentalizing the epididymis. The lower signals were also present in the connective tissues around the epithelial cells. Scale bars = 100 (A and B), 50 (C), 25 (D), and 10 (E and F) μm.
In situ hybridization of the epididymis with mBD-12 and mBD-3 antisense probe. The cryosectioned epididymis slides were hybridized with the indicated antisense probe. A, Low magnification. The hybridization signals of the mBD-12 antisense probe were confined to the epithelial cells of the epididymis caput mid/distal segment indicated by the arrows. No signals were detected in the corpus or caudal region. B, Low magnification. The hybridization signals of the mBD-3 antisense probe were present in the capsule and septum of the whole epididymis. C, The higher magnification of the caput region revealed more clearly the confined distribution of mBD-12 mRNA. D, The higher magnification of the box in Fig. 8 B indicated the mBD-12 regulation at the cellular level. Some epithelial cells exhibited strong signals, whereas adjacent epithelial cells exhibited none, indicating the cell specificity of its expression. E and F, The higher magnification of the caput region (E) and caudal region (F) also revealed more clearly mBD-3 expression in the mesenchymal cells surrounding and compartmentalizing the epididymis. The lower signals were also present in the connective tissues around the epithelial cells. Scale bars = 100 (A and B), 50 (C), 25 (D), and 10 (E and F) μm.
In situ hybridization of mBD-11, mBD-12, and mEP2e mRNA in the epididymis. The parallel section was hybridized with mBD-11 (A), mBD-12 (B), or mEP2e (C) antisense probe. Because B and C are adjacent sections, the region specificity of mBD-12 and mEP2e expression can be precisely evaluated. A, mBD-11 signals were confined to the mid/distal segment of the caput region. B, mBD-12 signals were also confined to the mid/distal segment of the caput region. The distal region shown by the arrowheads exhibited no mBD-12 signals, although mEP2e signals were intense in this region, shown in C. The higher magnification of the box was shown in Fig. 7 D. C, mEP2e signals were also confined to the mid/distal segment of the caput region. However, the narrow region shown by the arrowheads exhibited no mEP2e signals, although mBD-12 signals were intense in this region, shown in B. Scale bars = 100 μm.
In situ hybridization of mBD-11, mBD-12, and mEP2e mRNA in the epididymis. The parallel section was hybridized with mBD-11 (A), mBD-12 (B), or mEP2e (C) antisense probe. Because B and C are adjacent sections, the region specificity of mBD-12 and mEP2e expression can be precisely evaluated. A, mBD-11 signals were confined to the mid/distal segment of the caput region. B, mBD-12 signals were also confined to the mid/distal segment of the caput region. The distal region shown by the arrowheads exhibited no mBD-12 signals, although mEP2e signals were intense in this region, shown in C. The higher magnification of the box was shown in Fig. 7 D. C, mEP2e signals were also confined to the mid/distal segment of the caput region. However, the narrow region shown by the arrowheads exhibited no mEP2e signals, although mBD-12 signals were intense in this region, shown in B. Scale bars = 100 μm.
Parallel sections were hybridized to mBD-3 probes that gave distinct expression patterns. The most strong mBD-3 hybridization signals were present in the mesenchymal cells surrounding and compartmentalizing the epididymis, while lower signals were present in the connective tissues around the epithelial cells. This expression pattern was conserved in the caput, corpus, and caudal region, consistent with our data of RT-PCR (Fig. 7).
We compared the region specificity among mBD-11, mBD-12, and mEP2e by hybridization of adjacent sections with each probe. Their signals were almost colocalized in the mid/distal segment of the caput region (Fig. 8). However, a narrow portion adjacent to the initial segment exhibited mBD-12 hybridization signals more intensely and a relatively wide distal portion exhibited mEP2e hybridization signals more intensely, consistent with the RT-PCR analysis.
Discussion
In this work we describe the identification of the epididymis-specific β-defensin isoforms including two novel hBD, termed hBD-5 and hBD-6, and the mouse homologs of hBD-5, hBD-6, and HE2β1, termed mBD-12, mBD-11, and mEP2e, respectively.
The organization of gene cluster is a peculiar feature of the defensin family and prompted us to use the human genomic sequence to search novel defensin genes. Because multiple isoforms of the β-defensin family had been identified in human and mouse organs and may compensate each other for their common functions in part, the overall identification of β-defensin isoforms is very important to study their physiological roles.
hBD-5, hBD-6, hBD-4, and HE2β1 were specifically expressed in the human epididymis. Because the epididymis is anatomically continuous to the urethra, it is always at the risk of ascending microbial invasion. Acute epididymitis is a common sexually transmitted disease, caused by bacterial infection of the epididymis. Therefore, host defense against a bacterial pathogen would be very important in the epididymis for the protection of spermatozoa.
Our identification of the novel mBD, mBD-12, and mEP2e would also be noteworthy because animal models are very useful to understand the physiological and pathological significance of these peptides. The comparison of the genomic organization of HE2β1 and mEP2e revealed that HE2β1 and mEP2e would be included in different message variants. Although the genomic sequence of the HE2 gene indicated the possible existence of another promoter within the second intron of the HE2β1 gene, no transcripts corresponding to the EP2e isoform have been identified in humans. Considering that no splicing variants corresponding to the HE2β1 isoform were detected in mice, the major transcript would be different between humans and mice, at least at a basal state.
Our identification of the epididymis-specific β-defensin isoforms clarified the existence of two groups in the β-defensin family: epididymis-specific isoforms and the other isoforms. The former includes HE2β1, hBD-4, hBD-5, and hBD-6 and the latter includes hBD-1, hBD-2, and hBD-3 in humans. Interestingly, the epididymis-specific β-defensin genes were located within a region encompassing ∼40 kb in the human defensin gene cluster on chromosome 8. In mice, this report first indicated that mBD-11, mBD-12, and mEP2e are expressed, and that their expression is epididymis specific. Between the two groups, some different features are present in their amino acid sequences. First, the amino acid sequences of the epididymis-specific β-defensin isoforms were well conserved between humans and mice in comparison with the other β-defensin isoforms. Although mBD-3 had been regarded as a hBD-2 homolog, the amino acid sequence identity was only 40%. In contrast, mBD-11, mBD-12, and mEP2e were >65% identical with their human homologs. Second, some amino acid residues are different between the two groups. The glutamic acid residue is conserved in six positions before the C4 residue in the epididymis-specific β-defensin isoforms, and this feature is conserved even in the α-defensin family. Although few conserved residues have been indicated, except the cysteine motif, between the α-defensin and β-defensin families and it had been questioned whether the two families have really descended from a single ancestral gene, this common feature would support the evolutionary continuity between the α-defensin and β-defensin families (36). In addition, these features would reflect the existence of some specific microenvironmental condition of host defense in the epididymis.
Our evaluation of the mBD-11, mBD-12, mEP2e, and mBD-3 expression pattern in the epididymis revealed mBD-11, mBD-12, and mEP2e expression in the epithelial cells of the mid/distal segment of the caput region and mBD-3 expression in the capsule and septum of the whole epididymis. These findings also clarify the different features between the epididymis-specific isoforms and the other β-defensin isoforms.
More interestingly, mBD-11, mBD-12, and mEP2e were expressed in different regions, although major portions of the middle segment expressed both genes. In general, the epididymis displays a highly region-specific and cell-specific pattern of gene expression (37, 38). This spatial regulation would make different luminal environments, and in these specific environments the specific functions of the epididymis would be conducted, such as regulation of sperm maturation, storage of mature spermatozoa, and protection from pathogens or reactive oxygen. Our results indicate that some different regional regulation would be also working among the members of the epididymis-specific β-defensin family, suggestive of their roles in the specific functions of the epididymis, although this issue remains to be investigated more clearly.
Acknowledgements
We thank Drs. H. Hojo (Tokai University, Hiratsuka, Japan), T. Takeuchi (University of Tokyo), K. Yamaguchi, and A. Kato (Mitsui Memorial Hospital) for valuable suggestions and helpful assistance.
Footnotes
This work was supported by the Japan Society for the Promotion of Science Research for the Future Program; a Research Grant for Cardiovascular Diseases (11C-1) from the Ministry of Health and Welfare; the Program for Promotion of Fundamental Studies in Health Sciences of the Organization for Pharmaceutical Safety and Research (to H.K.); Grants-in-Aid for Scientific Research from the Ministry of Education, Science and Culture, Japan (to H.K., T.N., and Y.Y.), the Yamanouchi Foundation for Research on Metabolic Disorders, and the Novartis Foundation for Gerontological Research (to T.N.).
Abbreviations used in this paper: HNP, human neutrophil peptide; hBD, human β-defensin; mBD, mouse β-defensin; mEP2e, mouse EP2e; EST, expressed sequence tag.







