Abstract
Dendritic cells (DC) were found to down-regulate Bcl-2 protein upon maturation in vivo. Because Bcl-2 has been shown to exert anti-apoptotic functions, down-regulation of Bcl-2 could be a mechanism by which DC longevity is controlled. To dysregulate this potential control system and to study the role of Bcl-2 in DC, we expressed human Bcl-2 under control of the murine CD11c-promoter as a transgene specifically in DC and show that DC frequencies and numbers increase in transgenic mice. In vivo bromodeoxyuridin, as well as adoptive, DC transfer studies show that the relative turnover/survival of mature Bcl-2 transgenic DC is increased. This had a direct impact on CD4+ T cell, as well as humoral immune, responses, which were elevated in transgenic animals. When Bcl-2 transgenic DC were used as DC vaccines, they induced 2- to 3-fold greater expansion of Ag-specific CTL, and stronger in vivo cytotoxicity. Overall, these data indicate that down-regulation of Bcl-2 controls DC longevity, which in turn directly regulates immune responses and the efficacy of DC when used as vaccines.
Dendritic cells (DC)3 are professional APC capable of initiating specific immune responses against invasive pathogens. Their crucial functions are uptake and processing of Ag, subsequent activation-induced migration to lymphoid organs, and priming of Ag-specific naive T cells (1), activities that seem to be spatially and temporally segregated. Although immature DC in nonlymphoid organs have a high capacity for Ag-processing combined with low immunostimulatory potency, mature DC in lymphoid organs display lowered Ag uptake but are able to prime T cells with maximal efficiency (1). Changes in the function and developmental status of DC are induced by inflammatory stimuli like cytokines and bacterial products or by the cross-linking of DC surface molecules. After reception of such signals, the process of DC maturation is accomplished within 24 h and is irreversible (2). A recent study using bromodeoxyuridin (BrdU) labeling in vivo describes that resident DC of the spleen are replaced within 3–4 days (3), suggesting a short DC lifespan regulated by programmed apoptotic cell death (2). Differential expression studies with microarray technology by Granucci et al. (4, 5) describe a very rapid down-regulation of the anti-apoptotic Bcl-2 (5), as well as modulation of other life cycle and apoptosis regulators (4), upon induction of DC maturation. The loss of Bcl-2 expression in mature DC could represent a mechanism by which the immune system restricts, in an autoregulatory fashion, the presence of immunostimulatory Ag-laden mature DC in the T cell areas of lymphoid organs. Bcl-2 has been described as a critical determinant of the lifespan of hemopoietic cells, antagonizing apoptotic cell death by altering the transmembrane conductance in mitochondria, retarding cell cycle entry and negatively regulating the activation of caspases (6, 7). Studies in transgenic mice overexpressing Bcl-2 in B or T lymphocytes demonstrated that Bcl-2 can antagonize cell death induced by several, but not all, signal transduction routes (Ref. 8 ; for review, see Refs. 9 , 10 , and 11). Cell surface cross-linking of molecules of the TNFR family also modulates the levels of expression of Bcl-2 or Bcl-2-related proteins (12, 13). In vitro engagement of CD40 on bone marrow-derived human DC has been shown to interfere with apoptosis by up-regulating expression of Bcl-2 (12). In contrast, treatment of bone marrow-derived mouse DC with TNF-related activation-induced cytokine (TRANCE) or CD40 ligand (CD40L) prolongs survival by up-regulating Bcl-xL, but not Bcl-2 (14, 15).
To investigate the role of Bcl-2 in DC homeostasis, turnover, and function in vivo, we expressed the human Bcl-2 (hBcl-2) gene under control of the DC-specific murine CD11c promoter in transgenic mice. In this study, we describe the consequences of this expression and demonstrate that Bcl-2 substantially prolongs the lifespan of mature DC in vitro as well as in vivo. As a direct consequence, we find higher numbers of DC in lymphoid organs and elevated T cell and humoral responses in immunized animals. When Bcl-2 transgenic DC are used as Ag-pulsed DC vaccines, they induce CTL activation in vivo more efficiently than normal DC. Our findings indicate that the abundance and longevity of DC is directly regulated by Bcl-2 and that DC homeostasis and natural turnover regulate immune responses in vivo.
Materials and Methods
Generation of transgenic construct and mice
The cDNA encoding for hBcl-2 was excised by restriction digestion with HindIII from pIC19-Bcl-2, a previously published vector obtained from A. Strasser (Walter and Eliza Hall Institute of Medical Research, Melbourne, Australia) (16, 17). After blunt ending with Klenow fragment, the Bcl-2 cDNA was ligated into the blunt-ended EcoRI site of the previously described CD11c-pDOI-5 vector (18). The orientation of the cDNA was controlled by restriction digestion and DNA sequence analysis. The linearized transgenic construct devoid of vector sequences was injected into fertilized oozytes from (BDF1 × BDF1)F1 mice and transgenic offspring were initially identified by Southern blotting. We obtained three founders with similar copy numbers (approximately four copies) and identical transgene expression patterns. We backcrossed founder line 19, referred to in this study as CD11c-Bcl-2 mice, toward C57BL/6 for 10 generations. OT-1 mice (19) and rat insulin promoter (RIP)-OVAlow (20) mice have been described previously.
mAbs and reagents
The mAbs specific for CD4, CD8, Vβ5.1/5.2 TCR, Vβ8.1/8.2 TCR, Va11 TCR, I-E, I-Ab, CD11c, CD19, hBcl-2, isotype control MOPC.-21, and B220 were purchased from BD PharMingen (San Diego, CA). Single cell preparation, staining, and FACS analysis were done following standard procedures. Rabbit anti-prohibitin Ab (21) was a gift of Dr. M. Reth (Max Planck Institute for Immunobiology, Freiburg, Germany).
Generation of DC from bone marrow cultures and enrichment of DC
Total bone marrow was seeded in 90-mm tissue culture-treated Petri dishes at 5 × 105 cells/ml in 10 ml culture medium containing 25 ng/ml GM-CSF. Maximal yield of DC was obtained between days 7 and 9 of culture. For isolation of DC, cell suspensions of cultured DC or total splenocytes were stained with a biotinylated CD11c-specific mAb and magnetically separated with streptavidin-MACS microbeads (Miltenyi Biotec, Bergisch Gladbach, Germany) according to the supplier’s instructions. The purity of DC obtained by this method was controlled by flow cytometry and was usually >90%. For DC vaccination experiments, CD11c-Bcl-2 or wild-type (WT)-cultured DC were pulsed with 20 μg/ml OVA-peptide SIINFEKL (Neosystem, Strasbourg, France) for 2 h and washed extensively before immunization.
Western blot analysis
DC from GM-CSF cultures or spleens were isolated with magnetic beads as described above and lysed in 500 μl Nonidet P-40 buffer (1% Igepal CA-630 (Nonidet P-40), 137 mM NaCl, 50 mM Tris-HCl, pH 7.8, 2 mM EDTA, pH 8, 1 mM PMSF) per 107 cells for 15 min on ice. The detergent-soluble fraction was obtained by centrifugation for 10 min at 14,000 × g. Aliquots corresponding to 5 × 105 cells were suspended in 25 μl Laemmli-loading buffer, and proteins were separated by SDS-PAGE (12%) according to Laemmli (22). After transfer to nitrocellulose, proteins were visualized with primary and secondary HRP-labeled Abs and a luminescent substrate (ECL; Amersham, Piscataway, NJ).
Labeling and migration of DCs
To analyze the migratory capacities of bone marrow-derived DCs, cultured cells from CD11c-Bcl-2 or WT mice were labeled with 5-chloromethyl-fluorescein diacetate (CMFDA) according to the manufacturer’s instructions (Molecular Probes, Eugene, OR) as published previously (15). Briefly, DCs were incubated for 10 min at 37°C in CMFDA (5 μM in PBS) and then washed twice. The DCs were counted, and injected s.c. in both lower hind legs (3 × 105 per leg). The draining popliteal lymph nodes (LNs) were harvested at various time points after injection and digested with 400 U/ml collagenase (Sigma-Aldrich, St. Louis, MO); total LN cells were counted and then stained with PE-conjugated anti-CD11c mAb. After gating on live cells, migrated DC were detected as CD11c-positive and FL-1 (CMFDA) high and cells.
BrdU labeling and analysis
Mice were injected i.p. at day 0 i.p. with 1 mg BrdU dissolved in H2O and, during the pulse period, received drinking water containing 1 mg/ml BrdU. At the indicated timepoint, splenocytes were harvested and stained for extracellular surface molecules. Following fixation, staining for intranuclear BrdU incorporation was performed with a BrdU staining kit according to manufacturer’s instructions (BD Biosciences, San Diego, CA).
T cell proliferation analysis
Mice were immunized with 100 μg OVA (Sigma-Aldrich) in CFA s.c. at the tail base. Five days later, cell suspensions of draining sacral and inguinal LNs were prepared by passing LNs through a nylon mesh. LN cells (5 × 105/well) were cultured in the presence of varying concentrations of OVA in complete culture medium (IMDM, 10% FCS) for 96 h. [3H]Thymidine (1 μCi/well) was present for the last 8 h. Cells were harvested and their radioactivity content was measured with a betaplate system (1205; Wallac, Turku, Finland).
4-Hydroxy-5-iodo-3-nitrophenyl (NIP)-specific Ig responses
Mice were immunized s.c. at day 0 with 100 μg NIP-OVA (a kind gift from Dr. A. Rolink, University of Basel, Basel, Switzerland) in a 1:1 CFA emulsion and boosted s.c. at day 21 with 100 μg NIP-OVA in IFA; serum was analyzed at the timepoints indicated. ELISA plates were coated with 2.5 mg/ml NIP-BSA (kind gift of Dr. A. Rolink) in 0.02 M NaCl at 4°C for 12 h. Plates were washed extensively with PBS, and dilutions of sera (in PBS, 4% BSA, 0.2% Tween 20) were transferred to the coated plates and incubated for 2 h at room temperature. After five washes with PBS, the alkaline phosphatase-conjugated second-step reagent (goat anti-mouse IgG; Southern Biotechnology Associates, Birmingham, AL) was added and incubated for 2 h at room temperature. After washing, the alkaline phosphatase substrate p-nitrophenyl phosphate was added according to manufacturer’s instructions (N-2765; Sigma-Aldrich), and the coloration was quantified at 405 nm.
Adoptive T cell transfer and DC vaccination
Suspensions of spleen and LNs from OT-1 or LCMV-TCR transgenic mice were prepared, and percentages of transgenic T cells were determined by FACS analysis. A suspension of 2.5 × 106 transgenic T cells was injected i.v. into the lateral tail vein (day 1). Recipient mice were immunized with OVA- or gp33-pulsed DC (3 × 106 DC/mouse on day 0), and subsequent T cell expansion was monitored by flow cytometry of Ficoll-purified blood lymphocytes using TCRα- and β-specific mAb that recognize the transgenic TCR. For determination of diabetes induction, 5 × 105 OT-1 cells were injected i.v. into RIP-OVAlow-recipient mice. T cell expansion was determined as above and the DIABUR test (Roche, Switzerland) was performed to determine the urine glucose content of the vaccinated animals.
Results
Down-regulation of Bcl-2 expression in mature DC
Differential analysis of mRNA from immature and mature DC has demonstrated that Bcl-2 expression is rapidly down-regulated upon induction of DC maturation by an inflammatory stimulus (Ref. 5 and unpublished observations). To investigate whether intracellular Bcl-2 protein levels reflect this decrease in transcription, we performed intracellular stainings for murine Bcl-2 (Fig. 1,a). Spleen cell suspensions from C57BL/6 mice were stained with mAb specific for CD11c and MHC class II (MHC-II; I-A) as an indicator of DC maturation. Mature DC were identified as CD11c+ MHC-II (I-A)++ cells, whereas immature DC were defined as CD11c+ MHC-II (I-A)+ (Fig. 1,a, rectangular gates). A comparison of intracellular staining for mouse Bcl-2 in these two populations revealed that mature CD11c+ MHC-II (I-A)++ DC express significantly lower Bcl-2 levels than immature CD11c+ MHC-II (I-A)+ DC (Fig. 1,b, top and middle panels; isotype control background excluded). Because the specific Bcl-2 stainings in DC were relatively weak, we analyzed CD8+ T cells within the same spleen cell suspensions as a control; CD8+ T cells have been shown to express high levels of Bcl-2 (23), and they demonstrate low background staining with the isotype control mAb (Fig. 1,b, CD8+ T cells). Background (isotype control) staining of DC increased with maturation (Fig. 1,b); to quantify murine Bcl-2 expression levels and accurately compare the different DC populations, the ratio between the mean fluorescence intensities (MFI) of murine Bcl-2 staining and isotype control staining was calculated for each population. These “corrected” Bcl-2 expression levels (Fig. 1 c) clearly demonstrate the relative down-regulation of Bcl-2 protein in mature DC as compared with immature DC.
Endogenous Bcl-2 expression in immature vs mature DC. a, Spleen cells from C57BL/6 mice were surface-stained for CD11c (PE) and MHC-II I-Ab (biotin plus streptavidin-APC) and then, following fixation and permeabilization, stained internally for Bcl-2 (FITC). Immature DC vs mature DC were discriminated according to their MHC-II (I-A) expression. b, Representative stainings for Bcl-2 (thick lines) and isotype control mAb (filled histogram) in immature DC (I-A+, top panel), mature DC (I-A++, middle panel), and as an internal staining control, in CD8+ T cells (bottom panel) are shown. Statistical analysis (Student’s t test) of MFI values from isotype control and specific Bcl-2 stainings showed significance for Bcl-2 staining in immature DC (I-A+, top panel; p ≤ 0.0005, n = 4), but not in mature DC (I-A++, middle panel; p = 0, 4). c, To accurately compare the Bcl-2 expression levels detected in cell types with different background staining properties, the ratio between Bcl-2 and isotype control MFI values (±SD) was formed for each staining. Data are representative of four different stainings (n = 3–4).
Endogenous Bcl-2 expression in immature vs mature DC. a, Spleen cells from C57BL/6 mice were surface-stained for CD11c (PE) and MHC-II I-Ab (biotin plus streptavidin-APC) and then, following fixation and permeabilization, stained internally for Bcl-2 (FITC). Immature DC vs mature DC were discriminated according to their MHC-II (I-A) expression. b, Representative stainings for Bcl-2 (thick lines) and isotype control mAb (filled histogram) in immature DC (I-A+, top panel), mature DC (I-A++, middle panel), and as an internal staining control, in CD8+ T cells (bottom panel) are shown. Statistical analysis (Student’s t test) of MFI values from isotype control and specific Bcl-2 stainings showed significance for Bcl-2 staining in immature DC (I-A+, top panel; p ≤ 0.0005, n = 4), but not in mature DC (I-A++, middle panel; p = 0, 4). c, To accurately compare the Bcl-2 expression levels detected in cell types with different background staining properties, the ratio between Bcl-2 and isotype control MFI values (±SD) was formed for each staining. Data are representative of four different stainings (n = 3–4).
CD11c-Bcl-2 transgene expression
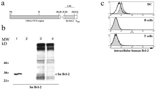
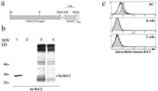
To compensate for the down-regulation of endogenous mouse Bcl-2 in DC, we generated mice that express hBcl-2 as a transgene under the control of the mouse CD11c promoter. This promoter region, which regulates the expression of hBcl-2 cDNA in the context of a mini exon derived from rabbit β-globin (Ref. 24 ; Fig. 2,a), has been used to drive the DC-specific expression of various transgenes in vivo (Refs. 18 and 25). To monitor transgene expression in DC from transgenic mice, we prepared DC from bone marrow progenitors cultured in the presence of GM-CSF (26, 27). After 8 days of culture, when most DC displayed a mature phenotype as determined by high MHC-II and B7.2 expression levels (data not shown), DC were lysed and submitted to Western blot analysis (Fig. 2,b). The presence of the transgenic hBcl-2 protein (26 kDa) was detected in DC derived from transgenic (Fig. 2,b, lane 1), but not from nontransgenic, bone marrow (Fig. 2,b, lane 2). Comparable amounts of protein were present in the two lysates as determined by loading control analysis (data not shown). Transgenic Bcl-2 protein could also be detected in freshly isolated splenic DC from the transgenic mice. CD11c+ DC were enriched from total spleen cell suspensions with magnetic beads, and both the DC-enriched fraction (Fig. 2,b, lane 3) and the DC-depleted fraction (Fig. 2,b, lane 4) were analyzed by Western blot. Although a faint band of the expected size (Fig. 2,b, lane 3) could be detected in the DC-enriched fraction, hBcl-2 was not detectable in the lysate from the DC-depleted cell fraction (Fig. 2 b, lane 4).
Generation of CD11c-Bcl-2 transgenic mice and cell-specific transgene expression pattern. a, Restriction map of the transgenic construct CD11c-Bcl-2. hBcl-2 cDNA (▨) was placed behind a DNA segment containing the mouse CD11c promoter (▦). The rabbit β-globin gene fragment providing the cDNA with an intron and a polyadenylation signal (A(n)) is displayed as □. B, BamHI; Bs, BspHI; E, EcoRI; H, HindIII; N, NotI; S, SstI; X, XhoI; restriction sites in parentheses have been destroyed by blunt-end cloning. b, DC from 8-day bone marrow GM-CSF cultures (lanes 1and 2) or freshly isolated splenic DC (lanes 3 and 4) derived from transgenic (lanes 1 and 3) or nontransgenic mice (lanes 2 and 4) were lysed, and the cell lysates were analyzed by Western blot as described in Materials and Methods. A mAb specific for hBcl-2 was used to detect presence of transgenic Bcl-2 (lanes 1–4); a mAb specific for prohibitin served as a loading control for the bone marrow culture-derived DC (data not shown). c, Intracellular staining for hBcl-2 in total splenocyte suspensions from transgenic (filled histogram) or nontransgenic (open histogram) mice. Only CD11c-positive cells meeting high forward scatter and intermediate side scatter criteria are shown in the top panel (DC). B cells (B220+) and T cells (TCRαβ+) are shown in the middle and bottom panels, respectively. Representative data from one of five independent experiments are shown.
Generation of CD11c-Bcl-2 transgenic mice and cell-specific transgene expression pattern. a, Restriction map of the transgenic construct CD11c-Bcl-2. hBcl-2 cDNA (▨) was placed behind a DNA segment containing the mouse CD11c promoter (▦). The rabbit β-globin gene fragment providing the cDNA with an intron and a polyadenylation signal (A(n)) is displayed as □. B, BamHI; Bs, BspHI; E, EcoRI; H, HindIII; N, NotI; S, SstI; X, XhoI; restriction sites in parentheses have been destroyed by blunt-end cloning. b, DC from 8-day bone marrow GM-CSF cultures (lanes 1and 2) or freshly isolated splenic DC (lanes 3 and 4) derived from transgenic (lanes 1 and 3) or nontransgenic mice (lanes 2 and 4) were lysed, and the cell lysates were analyzed by Western blot as described in Materials and Methods. A mAb specific for hBcl-2 was used to detect presence of transgenic Bcl-2 (lanes 1–4); a mAb specific for prohibitin served as a loading control for the bone marrow culture-derived DC (data not shown). c, Intracellular staining for hBcl-2 in total splenocyte suspensions from transgenic (filled histogram) or nontransgenic (open histogram) mice. Only CD11c-positive cells meeting high forward scatter and intermediate side scatter criteria are shown in the top panel (DC). B cells (B220+) and T cells (TCRαβ+) are shown in the middle and bottom panels, respectively. Representative data from one of five independent experiments are shown.
To further characterize transgene expression in CD11c-Bcl-2 mice, total splenocytes were stained intracellularly for hBcl-2 and various cell populations were analyzed by flow cytometry (Fig. 2,c). In contrast to CD11c+ cells from nontransgenic littermates, DC from CD11c-Bcl-2 transgenic mice demonstrated intracellular expression of hBcl-2 protein (Fig. 2,c, DC). Within the same cellular preparation, neither lymphocytes (Fig. 2 b, B cells, T cells) nor macrophages (data not shown) showed detectable expression of the transgenic hBcl-2 protein. Taken together, the biochemical and flow cytometry analysis confirm that CD11c-Bcl-2 transgenic mice express hBcl-2 specifically in DC.
Influence of the CD11c-Bcl-2 transgene on survival of DC in vitro and in vivo
In the past, transgenic overexpression of Bcl-2 has been shown to prolong the survival of various cell types (28, 29, 30, 31). To investigate the effect of transgenic Bcl-2 expression in DC, we cultured bone marrow from CD11c-bcl-2 transgenic or nontransgenic control mice in the presence of GM-CSF. After 7–9 days of culture, the growth factor was removed and DC survival was monitored by flow cytometry. As shown in Fig. 3, the transgenic DC showed significantly increased survival kinetics in the absence of growth factor as compared with DC from nontransgenic mice, while the latter had only 10–20% viability after 2 days of culture without GM-CSF; DC from Bcl-2 transgenic mice were viable at elevated levels for at least 4 days (Fig. 3,a). Thus, cell death by growth factor withdrawal was significantly inhibited by overexpression of hBcl-2 in DC. Given the capacity of Bcl-2 to enhance DC survival in vitro (Fig. 3,a), we tested whether the longevity of DC in vivo was also enhanced. Cultured DCs were labeled with the fluorescent vital dye CMFDA and were then injected s.c. into recipient mice. Draining LNs were collected 1–4 days later and analyzed by flow cytometry for presence of CD11c+ CMFDA+ DC as shown in Fig. 3,b. Most fluorescent cells were found to express CD11c, the DC-specific marker. As shown previously by others (32), only a small fraction of the transferred fluorescent DC could be detected in the draining LN, indicating that most s.c. injected DCs are either unable to find the LN or die on route. Nevertheless, 24 h posttransfer, the percentages of migrating DCs detected in the draining LNs of mice that had received hBcl-2+ DCs were ∼3-fold higher than the percentages in mice injected with control DCs (Fig. 3 b). This difference was maintained at later timepoints, but decreased dramatically in magnitude between days 1 and 4 posttransfer. The kinetics of DC survival in this assay suggest that the survival advantage mediated by Bcl-2 is rather short-lived when cultured DC are adoptively transferred.
Survival advantage of cultured Bcl-2-expressing DC in vitro and after adoptive transfer in vivo. a, Bcl-2 transgenic (▪) or nontransgenic (□) DC from GM-CSF bone marrow cultures were removed from GM-CSF containing medium at day 8 of culture and washed extensively. The DC were further cultured in the absence of growth factor, and the percentage of surviving cells (CD11c-positive, MHC-II (IAb)-positive and propidium iodide-negative) was determined by flow cytometry at the indicated time points (data not shown). The percentage of viable DC per timepoint is shown as the mean (n = 4) ± SD from one of three experiments with similar outcomes. b, CMFDA-labeled DC from GM-CSF culture were injected s.c. into the lower hind leg of C57BL/6 recipients (day 0), and draining popliteal LNs were harvested daily. The LN cells were stained with PE-conjugated with CD11c before analysis. Representative dot plots from day 1 (upper panels) and day 4 (lower panels) postinfection are shown; migrating DC are located in the upper right quadrant (CFMDA+, CD11c+). CMFDA+ non-DC (CMFDA+CD11c−, lower right quadrant) have not been considered for the kinetic analysis. The kinetics of CFMDA-labeled DC migration into the draining LN are shown in the graph as the percentage of total LN cells. Both popliteal LNs were collected and pooled for two to three mice per day; SD are indicated.
Survival advantage of cultured Bcl-2-expressing DC in vitro and after adoptive transfer in vivo. a, Bcl-2 transgenic (▪) or nontransgenic (□) DC from GM-CSF bone marrow cultures were removed from GM-CSF containing medium at day 8 of culture and washed extensively. The DC were further cultured in the absence of growth factor, and the percentage of surviving cells (CD11c-positive, MHC-II (IAb)-positive and propidium iodide-negative) was determined by flow cytometry at the indicated time points (data not shown). The percentage of viable DC per timepoint is shown as the mean (n = 4) ± SD from one of three experiments with similar outcomes. b, CMFDA-labeled DC from GM-CSF culture were injected s.c. into the lower hind leg of C57BL/6 recipients (day 0), and draining popliteal LNs were harvested daily. The LN cells were stained with PE-conjugated with CD11c before analysis. Representative dot plots from day 1 (upper panels) and day 4 (lower panels) postinfection are shown; migrating DC are located in the upper right quadrant (CFMDA+, CD11c+). CMFDA+ non-DC (CMFDA+CD11c−, lower right quadrant) have not been considered for the kinetic analysis. The kinetics of CFMDA-labeled DC migration into the draining LN are shown in the graph as the percentage of total LN cells. Both popliteal LNs were collected and pooled for two to three mice per day; SD are indicated.
To determine in vivo turnover rates of immature and mature DC-expressing Bcl-2, CD11c-Bcl-2 mice were given BrdU for up to 6 days. DCs were analyzed for BrdU incorporation during both continuous BrdU feeding (pulse period), and after withdrawal of BrdU from the drinking water (chase period). Intranuclear BrdU stainings (Fig. 4,a, right panels) have been performed after gating on immature (MHC-II+) and mature DC (MHC-II++) (Fig. 4,a, left panel). As shown in Fig. 4,b, mature (MHC-II++) DC from bcl-2-transgenic mice exhibited a reduced incorporation of BrdU as compared with DC from nontransgenic mice. After 3 days of BrdU exposure, ∼44% of mature WT DCs were BrdU positive, compared with only 26% in CD11c-Bcl-2 transgenic mice (Fig. 4 b); this difference corresponds to a 40% reduced rate of BrdU incorporation by transgenic DCs. At day 6, nearly 80% of all mature nontransgenic DC had incorporated BrdU as compared with ∼60% in transgenic mice, reflecting a 25% reduction. From these percentages, one can extrapolate to a theoretical 100% BrdU positivity of a defined DC population, resulting in an approximate average lifespan. For mature DC in the spleen this corresponds to 7–8 days in normal mice as compared with 10–12 days in CD11c-Bcl-2 transgenic animals. These data correspond with previously published estimates of in vivo DC survival (3) and indicate an in vivo survival advantage for mature (MHC-II++) DCs in CD11c-Bcl-2 transgenic mice.
Prolonged lifespan of hBcl-2 expressing DCs in vivo. a, To determine the in vivo longevity of DC, CD11c-Bcl-2 transgenic mice and nontransgenic littermates were injected i.p. with BrdU and then given BrdU in the drinking water. At the indicated timepoints, DCs from spleen were analyzed by FACS after surface-staining for CD11c and MHC-II (IAb) and intranuclear staining for BrdU. Mature and immature DC were discriminated according to their MHC-II expression levels as indicated by the gates in the dot plot and then were further analyzed for intranuclear BrdU incorporation. Similar analysis performed using the maturation marker CD86 gave identical results (data not shown). b, The percentage of BrdU-positive DC at each timepoint within either the mature (MHC-II++, left panel) or immature (MHC-II+, right panel) DC pool is displayed. The period of continuous BrdU feeding was 6 days (pulse), followed by a 4-day absence of BrdU from the drinking water (chase). Data shown represent mean values ± SD from n = 3–5 mice per timepoint from one experiment (of two, with similar results).
Prolonged lifespan of hBcl-2 expressing DCs in vivo. a, To determine the in vivo longevity of DC, CD11c-Bcl-2 transgenic mice and nontransgenic littermates were injected i.p. with BrdU and then given BrdU in the drinking water. At the indicated timepoints, DCs from spleen were analyzed by FACS after surface-staining for CD11c and MHC-II (IAb) and intranuclear staining for BrdU. Mature and immature DC were discriminated according to their MHC-II expression levels as indicated by the gates in the dot plot and then were further analyzed for intranuclear BrdU incorporation. Similar analysis performed using the maturation marker CD86 gave identical results (data not shown). b, The percentage of BrdU-positive DC at each timepoint within either the mature (MHC-II++, left panel) or immature (MHC-II+, right panel) DC pool is displayed. The period of continuous BrdU feeding was 6 days (pulse), followed by a 4-day absence of BrdU from the drinking water (chase). Data shown represent mean values ± SD from n = 3–5 mice per timepoint from one experiment (of two, with similar results).
The increased survival of DCs in CD11c-Bcl-2 transgenic mice is also evident during a BrdU-free chase period (Fig. 4,b). After 4 days in the absence of BrdU (day 10), higher percentages of BrdU+ DCs are detected in transgenic mice (94 vs 84% in mature DCs, 92 vs 78% in immature DCs). By day 14 (8 days without BrdU feeding), only 17–25% of BrdU-positive DC are detectable, with no significantly higher numbers in transgenic DC (data not shown). In contrast to these data, differences between CD11c-Bcl-2 transgenic DC and WT DC were less pronounced in the immature population (MHC-II+) than in the mature subset (MHC-II++); early during the pulse period, BrdU incorporation rates by immature DCs were ∼59 (nontransgenic) vs 54% (Bcl-2 transgenic) on day 3 and 84 vs 71% on day 6 (Fig. 4). In LNs, we could not detect any survival advantage for LN DC from Bcl-2 transgenic mice by BrdU incorporation within the same experiments (data not shown).
The interpretation of this BrdU labeling study is complicated by the fact that upon maturation, immature DC transit into the BrdU-positive CD11c+ MHC-II++ DC pool. Because BrdU can only be incorporated into cycling cells and mature DCs are thought to be noncycling (3), we expected to first see the BrdU take-up in the immature DC fraction (probably via their cycling precursors) and then, after a lag, the appearance of BrdU-positive cells in the mature DC pool. This scenario is supported by the data shown in Fig. 4; after 3 days, the percentage of BrdU+ cells was higher in the immature than in the mature pool for transgene positive and WT mice. These data suggest that presence of transgenic bcl-2 has an influence on longevity of mature DC from spleen but does not interfere with the maturation process itself, because BrdU metabolism was not greatly altered in the immature DC compartment.
Influence of the CD11c-Bcl-2 transgene on lymphocyte numbers in vivo
After finding that functional Bcl-2 transgene expression in DC affects their turnover/survival in vivo, we wanted to determine whether this effect has an impact on overall frequencies of DCs as well as other immune cell subsets. Therefore, we analyzed spleen, LNs, and thymus of transgenic and nontransgenic animals and determined the percentages and total numbers of DCs, T cells, and B cells present in these tissues (Fig. 5). In nontransgenic mice, DC were detected in spleen and thymus with the expected frequency of 0.5 to 1 and 0.02%, respectively (Fig. 5,a). Approximately 2- to 3-fold higher frequencies of splenic and thymic DCs were found in CD11c-bcl-2 transgenic mice as compared with nontransgenic littermates (Fig. 5,a). These higher frequencies corresponded to higher total DC numbers detected in spleen (Fig. 5,a) and thymus (data not shown) and were true for all subsets of DC, as determined by CD11c/CD11b stainings for myeloid DC and CD11c/CD8α stainings for lymphoid DC (data not shown). Accordingly, the ratio of myeloid to lymphoid DC was not altered in the spleens of CD11c-Bcl-2 transgenic mice (Fig. 5,a). Concurrent analysis of the same cells demonstrated that the presence of the Bcl-2 transgene did not alter surface expression levels of MHC-II, CD86, or CD11c (data not shown). Surprisingly, neither frequencies (Fig. 5 a) nor total numbers (data not shown) of DCs were altered in LNs of CD11c-Bcl-2 transgenic mice.
Bcl-2 transgenic mice have higher frequencies and numbers of DC in spleen and thymus. Spleens, thymi, and LNs from CD11c-Bcl-2 transgenic mice (▪) or nontransgenic littermates (□) were analyzed by flow cytometry and cell counting to determine frequencies and numbers of lymphocytes. a, DCs were identified as CD11c/MHC-II double-positive cells in the large forward scatter and intermediate side scatter gate. To determine the ratio of myeloid to lymphoid DC, spleen cell suspensions were further analyzed with CD11c and CD8α or CD11b-specific mAb. Myeloid DCs were identified as CD11c+CD11b+ cells and lymphoid DC as CD11c+CD8α+ (data not shown). The ratio was calculated from the percentages of each population. Data are represented as mean values ± SD of n = 5–8 mice and are representative of five experiments with similar results. b, T cells (CD8+ and CD4+) and B cells were identified with mAbs specific for CD8, CD4, or B220, respectively. Each point represents an individual mouse (•, transgenic; ○, nontransgenic), and mean values are shown as a thin horizontal line. (∗, p ≤ 0.015; Student’s t test)
Bcl-2 transgenic mice have higher frequencies and numbers of DC in spleen and thymus. Spleens, thymi, and LNs from CD11c-Bcl-2 transgenic mice (▪) or nontransgenic littermates (□) were analyzed by flow cytometry and cell counting to determine frequencies and numbers of lymphocytes. a, DCs were identified as CD11c/MHC-II double-positive cells in the large forward scatter and intermediate side scatter gate. To determine the ratio of myeloid to lymphoid DC, spleen cell suspensions were further analyzed with CD11c and CD8α or CD11b-specific mAb. Myeloid DCs were identified as CD11c+CD11b+ cells and lymphoid DC as CD11c+CD8α+ (data not shown). The ratio was calculated from the percentages of each population. Data are represented as mean values ± SD of n = 5–8 mice and are representative of five experiments with similar results. b, T cells (CD8+ and CD4+) and B cells were identified with mAbs specific for CD8, CD4, or B220, respectively. Each point represents an individual mouse (•, transgenic; ○, nontransgenic), and mean values are shown as a thin horizontal line. (∗, p ≤ 0.015; Student’s t test)
Analysis of non-DC lymphocyte populations in spleen and LNs revealed that percentages (Fig. 5,b) as well as total numbers (data not shown) of CD8+ and CD4+ T cells, but not B cells, were slightly but significantly elevated in spleens, but not in LNs. No alterations in frequencies of monocytes or macrophages were detected (data not shown). Because transgene expression was not detected in cell populations other than DC (see Fig. 2), the increase of T cell numbers in CD11c-Bcl-2 mice must be an indirect effect. Higher DC numbers in the spleen could result in enhanced T cell survival through increased exposure to MHC molecules, as previously shown (33). Accordingly, this effect on T cells is missing in LNs, where we do not see higher numbers of DC. Furthermore isolated CD4+ and CD8+ T cells from CD11c-Bcl-2 mice do not display increased in vitro survival as compared with T cells from nontransgenic littermates (data not shown). Taken together, these data indicate that the expression of a bcl-2 transgene in DC leads to increased numbers of DCs in the spleen. This has an indirect effect on CD4+ and CD8+ T cells, which either accumulate or survive preferentially in the presence of more DC.
Elevated humoral and cellular immune responses in CD11c-Bcl-2 mice
Because DC are important mediators of immunity, we next asked whether mice with elevated DC numbers are able to mount stronger immune responses as compared with normal mice. Indeed, even after taking increased background proliferation (no OVA) into account, CD11c-Bcl-2 mice exhibited ∼2-fold greater proliferation than nontransgenic controls following immunization with OVA/CFA and subsequent restimulation of LN cells with OVA (Fig. 6,a). Similarly, when the humoral response against haptenated (NIP) OVA was monitored, CD11c-bcl-2 transgenic mice had higher total IgG titers of NIP-specific Abs (Fig. 6,b), while IgM levels were not significantly altered (data not shown). As shown above, the bcl-2-transgenic mice not only harbor higher DC numbers, but also have more T cells. Therefore, we cannot be certain of the reason for more vigorous cellular and humoral immune responses in CD11c-Bcl-2 mice (Fig. 6); a direct effect of higher DC numbers, which can initiate a more efficient priming, might be augmented by the presence of more CD4+ T cells, which specifically proliferate (Fig. 6,a) or provide more T cell help for Ab-producing B cells (Fig. 6 b).
CD11c-Bcl-2 transgenic mice mount stronger cellular and humoral immune responses following immunization. a, Transgenic (▪) and nontransgenic mice (□) were immunized s.c. with 100 mg NIP-OVA/CFA (1:1 mixture), and draining LNs were collected 7 days later. b, Total LN cells (5 × 105) were cultured in the presence of graded amounts of OVA, and proliferation was measured as described in Materials and Methods. Alternatively, mice were immunized with NIP-OVA, and sera were taken at the indicated time points. ELISA for NIP-specific Abs was performed with 1/1600 dilutions of sera on NIP-BSA-coated plates and followed by detection with a goat anti-mouse IgG mAb. Mean values (±SD) are shown (n = 4–5).
CD11c-Bcl-2 transgenic mice mount stronger cellular and humoral immune responses following immunization. a, Transgenic (▪) and nontransgenic mice (□) were immunized s.c. with 100 mg NIP-OVA/CFA (1:1 mixture), and draining LNs were collected 7 days later. b, Total LN cells (5 × 105) were cultured in the presence of graded amounts of OVA, and proliferation was measured as described in Materials and Methods. Alternatively, mice were immunized with NIP-OVA, and sera were taken at the indicated time points. ELISA for NIP-specific Abs was performed with 1/1600 dilutions of sera on NIP-BSA-coated plates and followed by detection with a goat anti-mouse IgG mAb. Mean values (±SD) are shown (n = 4–5).
To test the priming capacity of Bcl-2 transgenic DC in a different setting, we used adoptive transfer. CD11c-Bcl-2 transgenic and nontransgenic DC generated in GM-CSF bone marrow cultures were loaded with specific peptide derived from OVA or lymphocytic choriomeningitis virus (LCMV) gp33 (data not shown). The DC vaccines were injected i.v. into syngeneic hosts that had received either naive OVA(SIINFEKL)-specific CTL from OT-1 TCR transgenic mice (Fig. 7) or naive CTL from transgenic mice expressing a TCR specific for the LCMV glycoprotein peptide 33–41 (Ref. 34 ; data not shown). Following vaccination of C57BL/6-mice, specific expansion of OT-1 CTL was detectable in the peripheral blood of all recipients. However, T cell expansion in mice that had received the Bcl-2 transgenic DC vaccine was 2- to 3-fold greater than in mice injected with WT DC, indicating that DC expressing transgenic Bcl-2 are more potent inducers of CTL expansion (Fig. 7).
Bcl-2 transgenic DCs are better vaccines. GM-CSF bone marrow-cultured DC (3 × 106) from CD11c-Bcl-2 transgenic (▪) or nontransgenic (□) littermates were loaded with OVA and injected i.v. into C57BL/6 (a) or RIP-OVAlow (b) recipients that had received 2.5 × 106 or 0.5 × 105 OT-1 T cells, respectively, 1 day later. a, OT-1 cells were identified by flow cytometry as CD8+Vα2+Vβ5+ cells in peripheral blood by FACS analysis (data not shown). Data are representative of six independent experiments (n = 4–7) with similar outcomes. SDs (n = 5) are indicated. b, The glucose content in the urine of RIP-OVAlow recipients was monitored with a DIABUR test at the indicated timepoints. This experiment is representative of two (n = 5) with similar outcomes.
Bcl-2 transgenic DCs are better vaccines. GM-CSF bone marrow-cultured DC (3 × 106) from CD11c-Bcl-2 transgenic (▪) or nontransgenic (□) littermates were loaded with OVA and injected i.v. into C57BL/6 (a) or RIP-OVAlow (b) recipients that had received 2.5 × 106 or 0.5 × 105 OT-1 T cells, respectively, 1 day later. a, OT-1 cells were identified by flow cytometry as CD8+Vα2+Vβ5+ cells in peripheral blood by FACS analysis (data not shown). Data are representative of six independent experiments (n = 4–7) with similar outcomes. SDs (n = 5) are indicated. b, The glucose content in the urine of RIP-OVAlow recipients was monitored with a DIABUR test at the indicated timepoints. This experiment is representative of two (n = 5) with similar outcomes.
To investigate whether this stronger CTL expansion correlated with their augmented cytolytic effector functions in vivo, we repeated these experiments in an experimental in vivo cytotoxicity test system. Transgenic RIP-OVAlow mice (20), which express OVA as a model autoantigen in the pancreas under the control of the rat insulin promoter, were used as the hosts for adoptive T cell transfer. Naive adoptively transferred “autoreactive” OVA-specific CD8+ CTL from transgenic OT-1 mice do not destroy the OVA-expressing pancreas unless they become activated (Ref. 19 ; data not shown). Optimal T cell activation in this system should result in T cell proliferation and induction of cytolytic effector functions, T cell migration to the pancreas and, finally, autodestruction of this tissue as measured by high urine glucose levels (19). We first determined by titration that adoptive transfer of 1 × 106 OT-1 T cells is sufficient to induce diabetes in ∼50% of RIP-OVAlow mice, when they are immunized with 3 × 106 LPS-matured cultured DC i.v. (data not shown). For the experiment shown in Fig. 7,b, we used a suboptimal number of OT-1 T cells (5 × 105 per mouse). All mice vaccinated with the Bcl-2 transgenic DC vaccine developed diabetes within 4–8 days postvaccination and did not recover from disease (Fig. 7,b). In contrast, only one of five mice vaccinated with normal DC developed disease and this animal recovered completely by day 11 postvaccination. In a second experiment (data not shown), all mice immunized with Bcl-2 DC vaccines developed diabetes, and no animal that received a conventional DC vaccine showed elevated blood glucose levels. We also monitored T cell expansion in the peripheral blood of RIP-OVAlow mice, with a similar outcome as described in Fig. 7 a (data not shown). These data indicate that DC with enhanced longevity induce not only more efficient Ag-specific T cell expansion, but also a more efficient cytolytic effector response as compared with conventional DC.
Discussion
Previous studies have provided indirect evidence that, after having reached the lymphoid organ, DC might be prone to cell death; DC were found to home to lymphoid tissues via afferent lymphatics, but could not be detected in the efferent lymph (35, 36). A strictly regulated survival period for mature DC might be crucial for the regulation of ongoing immune responses, as mature DC are powerful APC in vitro and in vivo (1). As discussed previously, a relatively fast clearance of Ag-laden DC may also be important to guarantee the liberation of “space” in draining LNs for incoming DC loaded with different Ags (15). We have demonstrated that DC-specific transgenic expression of hBcl-2 increases the longevity of DC, as assessed by in vitro and in vivo experiments. A nearly 2-fold slower DC turnover, as assessed by BrdU incorporation, correlates with an accumulation of DC in the spleens of CD11c-bcl-2 transgenic animals. In contrast, only insignificant or no increases of DC numbers have been observed in LNs (Fig. 5 b). Henri et al. (37) have shown that LNs harbor more DC subtypes than the spleen. Eventually those are less sensitive to Bcl-2 as compared with spleen DC. Another possibility would be a faster migratory turnover of DC in LNs, which does not allow similar DC accumulations as in the spleen, where bloodborne DC most likely terminate their life. Altogether it remains unclear why LNs do not contain elevated DC numbers, as the spleen does, and this is currently under investigation in our laboratory.
The increased DC longevity has an effect on the strength of the immune response in vivo; both humoral and cellular immune responses are increased in mice expressing Bcl-2 in DC. The capacity of DC to induce T cell responses is clearly affected by their longevity. Josien et al. (15) demonstrated previously that treatment of DC with TRANCE, which induces the up-regulation of Bcl-xL, results in longer survival of DC vaccines in recipients and stronger induction of T cell responses. Expression of Bcl-2 has a similar effect on DC; as compared with conventional DC vaccines, Bcl-2 transgenic DC induce stronger CD8 T cell responses. The increased efficacy of CD8 T cell priming by Bcl-2 transgenic DC vaccines was apparent from both a stronger T cell expansion in the peripheral blood of vaccinated animals (Fig. 7,a) and a more efficient induction of cytotoxicity, as judged by induction of diabetes in RIP-OVAlow mice (Fig. 7 b). In contrast, the effect of elevated T cell as well as humoral responses in CD11c-Bcl-2 transgenic mice is not entirely attributable to the increase in DC numbers; CD4 and CD8 T cell numbers are also slightly, but significantly, increased in CD11c-bcl-2 transgenic animals. Because T cells were not found to express the transgenic Bcl-2 and do not show increased in vitro survival (data not shown), we speculate that the presence of higher DC numbers in lymphoid organs is responsible for this accumulation of T cells. In previous work, we demonstrated that DC provide sufficient signals for the survival of CD4 T cells in the periphery (33). The presence of higher DC numbers in lymphoid organs may provide better survival conditions for T cells. Interestingly, although B cell numbers were not affected in CD11c-bcl-2 transgenic mice, stronger humoral immune responses were detected. This effect is most likely the result of augmented T cell help due to the higher CD4 T cell frequency in lymphoid organs.
In addition to intrinsic, programmed regulation of DC survival, several studies have described Ag-specific killing of DC by CTLs in vivo (32, 38), findings which were discussed as a “purposeful death” of DC (39) for the sake of immunoregulation. It has been postulated that DC resistance to perforin-mediated killing (39) may be responsible for familial hemophagocytic lymphohistiocytosis in humans (40). Similarly, insensitivity of DC to TRAIL-induced cell death, which leads to the dysregulation of T cell immune responses, is a proposed cause of human autoimmune lymphoproliferative syndrome (39, 41). The role for an active DC removal process has not yet been elucidated; the endogenously programmed short survival phase of mature DC could make additional “active” DC killing by CTL superfluous. No signs of chronic inflammation or autoimmunity could be detected in CD11c-Bcl-2 transgenic mice (data not shown). It is possible that the Bcl-2-induced increase in DC survival in these transgenic mice is not dramatic enough to induce an autoimmune status. Alternatively, the hypothesis that DC longevity plays a central role in immunoregulation may be incorrect.
DC survival is controlled by more than one mechanism. Up-regulation of the Bcl-xL, for example, is induced by inflammatory signals such as TNF-α and LPS, which have been reported to protect DC from apoptosis via the Fas-mediated pathway (42), as well as anti-CD40 and TRANCE. Treatment of DC with TRANCE has an even greater effect on survival than the induced expression of Bcl-2; while increased survival of CD11c-bcl-2 transgenic DC vaccines could be detected in the draining LNs until, but not later than, 24 h postimmunization (Fig. 3 b), TRANCE-treated DC vaccines were reported to survive much longer posttransfer (15). Stimulation of human DC by CD154, IL-12, or IL-15 has also been reported to result in increased Bcl-xL levels and resistance of the DC to apoptosis (43). In contrast, neither Bcl-xL nor Bcl-2 seem to be involved in CpG-DNA mediated DC survival, where signaling via Toll-like receptor 9 on murine DCs leads to the activation of phosphaditylinositide-3′-OH kinase and, most likely, the inhibition of caspase-3 activation (44). Long-term DC cultures from TNFR1-deficient mice also demonstrate protection from apoptosis that is independent from Bcl-2 (45). Therefore, signaling via Bcl-2 is only one mechanism among several dedicated to DC survival. Our results show that enhanced transgenic expression of Bcl-2 in mature DC in vivo regulates their survival and longevity. Therefore, we conclude that Bcl-2 down-regulation is a means to restrict DC longevity in the steady state, i.e., in the absence of inflammatory stimuli.
Acknowledgements
We thank A. Strasser for the hBcl-2 cDNA, U. Müller (Basel Institute for Immunology) for making of the transgenic mice, M. Riedinger (Basel Institute for Immunology, Basel, Switzerland) for cloning of the transgenic construct, H. Pircher (Freiburg, Germany) for performing the T cell transfer experiments with LCMV-specific T cells, and A. Rolink (Basel, Switzerland) for the kind gift of NIP-OVA and NIP-BSA. We also thank A. Kamath (Compton, U.K.) and K. Shortman (Melbourne, Australia) for advice with the BrdU staining of DC and C. Kurts (Aachen) for providing us with RIP-OVAlow mice. We thank K. Kerksiek for critically reading the manuscript and helpful suggestions and G. Riethmüller for general support.
Footnotes
This work was supported by Deutsche Forschungsgemeinschaft Grants Br 1889-1 and Br 1889-3 (to T.B.).
Abbreviations used in this paper: DC, dendritic cell; BrdU, bromodeoxyuridin; TRANCE, TNF-related activation-induced cytokine; WT, wild type; CMFDA, 5-chloromethyl-fluorescein diacetate; LN, lymph node; NIP, 4-hydroxy-5-iodo-3-nitrophenyl; RIP, rat insulin promoter; MHC-II, MHC class II; MFI, mean fluorescence intensity; hBcl-2, human Bcl-2; LCMV, lymphocytic choriomeningitis virus.






