Abstract
Androgen has been implicated as a negative regulator of host immune function and a factor contributing to the gender dimorphism of autoimmunity. Conversely, androgen deprivation has been suggested to potentiate male host immunity. Studies have shown that removal of androgen in postpubertal male mice produces an increase in size and cellularity of primary and peripheral lymphoid organs, and enhances a variety of immune responses. Yet, few details are known about the effect of androgen removal on T cell-mediated immunity. In this study, we demonstrate two pronounced and independent alterations in T cell immunity that occur in response to androgen deprivation, provided by castration, in postpubertal male mice. First, we show that levels of T cells in peripheral lymphoid tissues of mice are increased by androgen deprivation. Second, T cells from these mice transiently proliferate more vigorously to TCR- and CD28-mediated costimulation as well as to Ag-specific activation. In addition, androgen deprivation accelerates normalization of host T and B cell levels following chemotherapy-induced lymphocyte depletion. Such alterations induced by androgen deprivation may have implications for enhancing immune responses to immunotherapy and for accelerating the recovery of the immune system following chemotherapy.
In its simplest form, productive T cell-mediated immunity emanates from the expansion of specific T cells activated in response to Ag. Thus, any manipulation that elevates peripheral levels of Ag-specific T cells and/or facilitates the activation of these cells may enhance the host’s ability to generate a specific T cell response.
Our present study, examining the impact of androgen deprivation (AD)5 on peripheral immune system composition and T cell function, has been prompted by the pervasive use of hormone therapy to treat a variety of clinical disorders, as well as reports implicating androgen as a negative modulator of immunity (1). For example, the increased incidence of autoimmune disease in females (2) has been ascribed partly to lack of host androgen (3, 4). Consistent with this, it has been shown that exogenous androgen administration can reverse the gender-based predilection of female NZB/W or NOD mice to autoimmune disease (5, 6, 7, 8). Androgen administration in female mice can also abrogate immune responses against pathogen, allograft, or traumatized host tissues (1, 9, 10). In contrast, removal of androgen in male mice exacerbates the severity of various autoimmune-like disorders, including experimental autoimmune encephalomyelitis, systemic lupus erythematosus in NZB mice, and insulinitis in NOD mice (5, 8, 11). AD has additionally been shown to stimulate B cell lymphopoiesis in postpubertal male animals (12, 13, 14, 15, 16, 17, 18) and to potentiate a variety of host immune responses in other animal models (10, 19, 20, 21, 22, 23, 24). Thus, it appears that androgen generally blunts immunity when present and enhances immunity when absent. To date, however, the effects of AD on the host immune system have not been completely dissected. Although several studies have shown that AD in postpubertal animals can facilitate B cell responses (12, 13, 14, 15, 16, 17, 18) and induce thymic hyperplasia (3, 12, 14, 17) as well as expansion of peripheral lymphoid organs (12, 13, 14, 17, 18, 25), few details are known about the effects of AD on peripheral T cell levels and function. Thus, the current study was conducted to elucidate the effects of AD on peripheral T cell levels, TCR repertoire, and T cell-mediated Ag-specific responses.
In this study, we describe two novel observations pertaining to the immune system of castrated, postpubertal male mice. First, AD increases absolute levels of T cells residing in peripheral lymphoid tissues of mice. Second, AD transiently enhances T cell proliferation in response to costimulation through TCR and CD28. In addition, T cells from castrated mice are more susceptible to Ag- and tissue-specific activation than T cells from sham-treated controls. We further show that restoration of host T and B cell levels following chemotherapy-induced lymphocyte depletion can be accelerated by AD. Taken together, these observations may have implications for facilitating immune responses to immunotherapy, for improving immune system recovery following chemotherapy, and for establishing a mechanistic basis whereby gonadal steroid hormones modulate autoimmunity.
Materials and Methods
Mice
C57BL/6, B6.129S2-Igh-6tm1Cgn (B cell-deficient μMT) (26), and B6.129S2-Cd28tm1Mak (CD28 knockout) (27) male mice were purchased from Taconic Farms (Germantown, NY) or The Jackson Laboratory (Bar Harbor, ME). C57BL/6 mice thymectomized at 8 wk of age were purchased from Taconic Farms. DO11.10 TCR transgenic male mice (previously described in Refs. 28 and 29) were kindly provided by E. Celis (Mayo Clinic, Rochester, MN). All mice were maintained under specific pathogen-free conditions and used at 8–12 wk of age, unless stated otherwise. Studies were conducted in accordance with the National Institutes of Health guidelines for the proper use of animals in research and with local Institutional Animal Care and Use Committee approval.
Androgen withdrawal or sham surgery
Surgery was performed on mice anesthetized with 2,2,2-tribromoethanol (Sigma-Aldrich, St. Louis, MO). Bilateral orchiectomy was performed through a transverse scrotal incision, following exposure of the testicles and transection of spermatic cords. Sham-androgen withdrawal followed the same procedure, except that pericordal fat was resected in lieu of the testicles.
T cell isolation
CD3+ T cells were purified from spleens or lymph nodes of mice by negative selection (mean purity ≥98%) using a murine T cell enrichment kit (StemCell Technologies, Vancouver, Canada). CD4+ and CD8+ T cells were purified using this same procedure in combination with either anti-murine CD4- or anti-murine CD8-conjugated microbeads (Miltenyi Biotec, Auburn, CA).
Vaccination and measurement of specific T cell responses
In some experiments, mice were immunized s.c. with 100 μl of 50 μg of OVA emulsified in CFA (Difco, Detroit, MI) (ratio 1:1). Control mice received injections of PBS emulsified in CFA. Two weeks following vaccination, 0.5 × 106 CD3+ T cells purified from spleens of mice were incubated with 0.5 × 106 irradiated splenocytes (25 Gy) ± OVA (at concentrations specified) in a 96-well plate. In other experiments, CD4+ cells were isolated from the spleens of unvaccinated 7-day castrated (Cx) or sham-castrated (Sx) DO11.10 TCR-transgenic mice and then stimulated ± OVA323–339 peptide (at concentrations specified) in the presence of 0.5 × 106 irradiated (25 Gy) normal BALB/c splenocytes. In tumor vaccination experiments, Cx and Sx mice were vaccinated with 5 × 106 irradiated (100 Gy) TRAMPC1-GM-CSF (30) and TRAMPC1-B7 (31) cells (ratio 1:1) i.p. six times within 3 wk following surgery. A total of 0.35 × 106 T cells purified from spleens were incubated together with 0.5 × 106 irradiated (25 Gy) adherent splenocytes from nonvaccinated mice in the presence of 1 × 103 irradiated (100 Gy) TRAMP-C1 cells in a 96-well plate. To study MLR, 0.35 × 106 CD3+ T cells purified from spleens of Sx or Cx C57BL/6 mice (H-2Db) were exposed at 37°C for 5 days to 0.5 × 106 irradiated (25 Gy) splenocytes from H-2Dd mice (BALB/c or DBA/2) or H-2Db (C57BL/6) splenocytes for assessment of autoreactivity (32).
All T cell cultures were prepared using serum-free AIM-V medium (Invitrogen Life Technologies, Gaithersburg, MD) supplemented with 50 μM 2-ME (Sigma-Aldrich). To quantify Ag-specific proliferation, T cells were generally pulsed on the fourth day of culture with 1 μCi of [3H]thymidine/well (NEN/PerkinElmer Life Sciences, Boston, MA). Eighteen hours later, T cells were harvested and [3H]thymidine uptake was quantified by scintillation counting.
Measurement of organ lymphocyte levels and FACS analysis
Absolute numbers of marker-positive lymphocytes comprising the lymphoid organs of Cx and Sx mice were determined following complete disaggregation of organs within a known volume of medium. Cell suspensions were rendered erythrocyte free, and final concentrations of cells in suspension were determined using a hemocytometer. Four-color staining with FITC-, PE-, PerCP-, and allophycocyanin-conjugated mAbs was conducted in PBS supplemented with 5% newborn calf serum (Invitrogen Life Technologies), on ice for 30 min. To inhibit nonspecific FcR-mediated binding of mAbs, cells were preincubated with 3 μg of anti-CD16/32 (BD Pharmingen, San Diego, CA) for 10 min on ice. Percentages of marker-positive T and B cells in suspension were determined by direct staining of cells with fluorescent-labeled mAbs specific against murine CD45 (clone 30-F11), CD3 (145-2C11), CD4 (RM4-5), CD8 (53-6.7), CD45R/B220 (RA3-6B2), CD25 (7D4), CD28 (37.51), CD44 (IM7), OX40 (OX86), TCRβ chain (H57-597), and TCRγδ chain (GL3) (all BD Pharmingen). Anti-murine 4-1BB (1AH2) used in our studies was kindly provided by L. Chen (Johns Hopkins University School of Medicine, Baltimore, MD). Anti-murine OX40 was a kind gift from A. Weinberg (Earle Chiles Institute, Portland, OR). To facilitate staining of intracellular IL-2, IL-4, IFN-γ, or CTLA-4 (UC10-4F10-11) (all BD Pharmingen), cells were first stained for surface marker expression and subsequently fixed and permeabilized using the Fix/Perm Kit (BD Pharmingen). Flow cytometry was performed using FACSCalibur (BD Biosciences, Mountain View, CA) instrumentation and CellQuest software (BD Biosciences). Final amounts of marker-positive lymphocytes comprising each lymphoid organ were calculated as follows: (cells in suspension × volume total suspension) × percentage of marker-positive lymphocytes. Immunohistochemical staining of CD3+ cells within fresh frozen murine prostate tissues was performed, as previously described (33). In some experiments, the expression level of marker-positive cells was quantified by measuring the geometrical mean fluorescence intensity for each sample.
In some experiments, mice were treated with 200 μg/g body weight cyclophosphamide (Sigma-Aldrich) i.p. at day 1 following surgery.
Spectratyping
To perform TCR Vβ spectratype analysis, total RNA was extracted from thymus and peripheral lymph nodes of Sx and Cx mice into TRIzol (Invitrogen Life Technologies). RT-PCR was performed using 5 μg of DNase-treated RNA and oligo(dT). Multiplex TCR spectratyping was performed, as described previously (34, 35, 36), using 1 μg of reverse-transcriptase product, 32P-labeled common primer (Amersham Biosciences, Piscataway, NJ), and primers specific for TCR Vβ sets 2, 4, 5.2, 8.1, 8.3, 10, 11, 15, 16, 17, 18, and 20. TCR CDR3 products were separated in a standard 7 M urea-6% acrylamide-sequencing gel and imaged using the Cyclone Storage Phosphor System (Packard Bioscience/PerkinElmer Life Sciences, Boston, MA). CDR3 peak intensities were quantified using Optiquant software (Packard Bioscience/PerkinElmer Life Sciences). Spectratype profiles (clonotype peak intensities) for Sx vs Cx mice were then compared for statistically significant differences using the Mann-Whitney U test.
In vitro T cell costimulation
Costimulatory assays were performed, as originally described by Allison and colleagues (37, 38). Briefly, 96-well round-bottom plates were coated for 1.5 h at 37°C with 100 μl of anti-murine CD3 (clone 145-2C11) (BD Pharmingen) diluted in PBS at concentrations specified. Subsequently, plates were washed three times with PBS, and 0.2 × 106 purified CD3+, CD4+, or CD8+ T cells were added to each well along with soluble anti-murine CD28 (clone 37.51) (BD Pharmingen) at concentrations indicated. In some experiments, 10 μg/ml anti-OX40 (clone OX86), anti-4-1BB (clone 1AH2), or control IgG was also added to T cell cultures. After 48 h, cultures were pulsed with 1 μCi of [3H]thymidine/well, and T cell proliferation was quantified, as described above.
Apoptosis assay
T cell vulnerability to apoptosis was assayed, as previously described (39). In short, T cells were incubated for 0, 2, 4, 8, or 24 h in RPMI 1640 or RPMI 1640 containing 10% charcoal-stripped FCS (Sigma-Aldrich) with or without 0.1 μM dexamethasone (Sigma-Aldrich) (incubation for 0, 2, 4, or 8 h). CD3+ T cells were subsequently stained for expression of FITC-labeled annexin V using the Vybrant Apoptosis kit (Molecular Probes, Eugene, OR), and percentages of apoptotic cells were quantified by flow cytometry.
Statistical analysis
Unless otherwise noted, all experiments were performed independently at least three times. Statistical comparisons were performed using the two-sided, unpaired Student’s t test. Differences in values at p ≤ 0.05 were considered significant.
Results
AD increases levels of peripheral T cells in normal as well as chemotherapy-treated postpubertal mice
Previous studies by our group (14) and others (3, 12, 13, 15, 16, 17, 18, 25) have demonstrated that AD produces an increase in size and cellularity of lymphoid organs in postpubertal male mice. To characterize this response in greater detail than previously reported, we examined the phenotypes and TCR diversity of T cells in lymphoid tissues of Cx compared with Sx postpubertal male C57BL/6 mice. Within the first week following AD, the size and cellularity of thymii, spleens, and lymph nodes remained unchanged in Cx relative to Sx controls (data not shown). In contrast, by 2 wk and for up to at least 8 wk following castration, the size of these lymphoid organs roughly doubled in Cx mice compared with Sx mice. By 4 wk following surgery, mean thymic mass (± SEM) increased from 59.8 ± 4.6 mg in Sx controls to 108 ± 6.1 mg in Cx mice (p < 0.01). This increase in thymic mass was attended by an increase in overall numbers of thymocytes (mean cells/thymus × 106, ± SEM) from 151.8 ± 17.9 to 276.6 ± 24 in Sx vs Cx mice (p < 0.01), respectively. Furthermore, hyperplastic lymph nodes observed in Cx mice contained increased numbers of CD45+ cells. By 4 wk after AD, inguinal and axillary lymph nodes of Cx mice harbored nearly three times as many CD45+ cells as Sx mice (Table I; only data for inguinal nodes shown). Ninety percent of this increase in lymph node CD45+ cells was accounted for by a trebling in both B220+ cells as well as CD3+ cells. The increase in CD3+ T cells, in turn, resulted from a proportional rise in numbers of both CD3+CD4+CD8− as well as CD3+CD4−CD8+ T cells (Table I). AD also produced a similar pattern of lymphocytosis within the spleens of Cx mice; however, the overall magnitude of this increase was not as pronounced as that observed within nodal tissues (data not shown). Thus, our studies confirm that AD produces thymic hyperplasia and increases B cell levels within the peripheral lymphoid organs of postpubertal mice. In addition, we show that hyperplastic peripheral lymphoid tissues in Cx mice harbor increased levels of both CD4+ as well as CD8+ T cells by 2 wk and for up to at least 8 wk following AD.
Effects of AD on lymphocyte levels in peripheral lymph nodes
| Strain . | Treatment . | Number of Cells × 106/Lymph Nodea . | . | . | . | . | ||||
|---|---|---|---|---|---|---|---|---|---|---|
| . | . | CD45+ . | CD45R/B220+ . | CD3+ . | CD4+ . | CD8+ . | ||||
| Wild-type C57BL/6 | Sxb | 3.08 ± 0.56c | 1.06 ± 0.24 | 1.72 ± 0.34 | 1.11 ± 0.25 | 0.88 ± 0.19 | ||||
| Cx | 8.91 ± 1.78∗ | 3.37 ± 0.84∗ | 4.81 ± 0.96∗ | 3.27 ± 0.74∗ | 2.34 ± 0.55∗ | |||||
| μMT | Sx | 1.93 ± 0.62 | 0 | 1.90 ± 0.62 | 1.11 ± 0.37 | 0.80 ± 0.25 | ||||
| Cx | 5.37 ± 0.50∗ | 0 | 5.29 ± 0.49∗ | 3.31 ± 0.32∗ | 2.01 ± 0.18∗ | |||||
| CD28−/− | Sx | 3.14 ± 0.46 | 0.60 ± 0.06 | 1.42 ± 0.06 | 0.92 ± 0.05 | 0.62 ± 0.02 | ||||
| Cx | 6.67 ± 0.90∗ | 2.18 ± 0.11∗ | 5.33 ± 0.32∗ | 3.72 ± 0.22∗ | 2.16 ± 0.12∗ | |||||
| Tx C57BL/6d | Sx | 2.25 ± 0.33 | 1.20 ± 0.20 | 1.06 ± 0.14 | 0.46 ± 0.06 | 0.59 ± 0.08 | ||||
| Cx | 3.53 ± 0.75 | 2.18 ± 0.52∗ | 1.27 ± 0.29 | 0.48 ± 0.08 | 0.78 ± 0.20 | |||||
| Strain . | Treatment . | Number of Cells × 106/Lymph Nodea . | . | . | . | . | ||||
|---|---|---|---|---|---|---|---|---|---|---|
| . | . | CD45+ . | CD45R/B220+ . | CD3+ . | CD4+ . | CD8+ . | ||||
| Wild-type C57BL/6 | Sxb | 3.08 ± 0.56c | 1.06 ± 0.24 | 1.72 ± 0.34 | 1.11 ± 0.25 | 0.88 ± 0.19 | ||||
| Cx | 8.91 ± 1.78∗ | 3.37 ± 0.84∗ | 4.81 ± 0.96∗ | 3.27 ± 0.74∗ | 2.34 ± 0.55∗ | |||||
| μMT | Sx | 1.93 ± 0.62 | 0 | 1.90 ± 0.62 | 1.11 ± 0.37 | 0.80 ± 0.25 | ||||
| Cx | 5.37 ± 0.50∗ | 0 | 5.29 ± 0.49∗ | 3.31 ± 0.32∗ | 2.01 ± 0.18∗ | |||||
| CD28−/− | Sx | 3.14 ± 0.46 | 0.60 ± 0.06 | 1.42 ± 0.06 | 0.92 ± 0.05 | 0.62 ± 0.02 | ||||
| Cx | 6.67 ± 0.90∗ | 2.18 ± 0.11∗ | 5.33 ± 0.32∗ | 3.72 ± 0.22∗ | 2.16 ± 0.12∗ | |||||
| Tx C57BL/6d | Sx | 2.25 ± 0.33 | 1.20 ± 0.20 | 1.06 ± 0.14 | 0.46 ± 0.06 | 0.59 ± 0.08 | ||||
| Cx | 3.53 ± 0.75 | 2.18 ± 0.52∗ | 1.27 ± 0.29 | 0.48 ± 0.08 | 0.78 ± 0.20 | |||||
Absolute numbers of CD45+, B220+, CD3+, CD3+, CD4+, CD8−, CD4+, and CD3+ CD4+, CD8+, (CD8+) cells per single lymph node were determined, as described in Materials and Methods.
Cohorts of five 8- to 12-wk-old mice were Sx or Cx 4 wk prior to study.
Values represent mean numbers of marker-positive cells per lymph node, ± SEM generated from experiments repeated three times. ∗, Denotes a significant difference (p ≤ 0.05) in values for Sx vs Cx mice.
Mice were thymectomized (Tx) at 8 wk of age. Sham castration or castration was performed at 10 wk of age.
To test whether AD might selectively influence T cell diversity in the castrated host, we analyzed TCR Vβ expression by CD3+ cells recovered from the thymii and lymph nodes of Sx compared with Cx mice. To perform these studies, CDR3-size spectratyping was used to screen for AD-induced changes in expression levels of TCR Vβ 2, 4, 5.2, 8.1, 8.3, 10, 11, 15, 16, 17, 18, and 20, encompassing approximately one-quarter of the entire Vβ repertoire in mouse. Fig. 1 shows that the representation of Vβ TCR within the thymii and peripheral lymph nodes of 4-wk Cx mice remains remarkably stable relative to Sx controls, despite the induction by AD of lymphoid tissue hyperplasia. Thus, it appears that AD does not favor the expansion of particular TCR clones and, ultimately, does not alter host TCR diversity.
Thymic and peripheral lymph node TCR diversity remains stable following castration. Cohorts of 10 8- to 10-wk-old C57BL/6 male mice underwent castration (Cx) or sham castration (Sx). Four weeks following surgery, freshly isolated lymphocytes from thymus and peripheral lymph nodes were evaluated by multiplex TCR spectratype analysis, as described in Materials and Methods. Histograms show similar representation of Vβ 2.0, 8.1, 8.3, and 10 as well as Vβ 4, 5.2, 11, 15, 16, 17, 18, and 20 (data not shown) within both thymus and peripheral lymph nodes of Cx and Sx mice. Vertical axes represent mean percentages of TCR Vβ frequency, ± SEM. Horizontal axes represent relative molecular size of CDR3 products within each Vβ family. Figures are representative of two independent experiments.
Thymic and peripheral lymph node TCR diversity remains stable following castration. Cohorts of 10 8- to 10-wk-old C57BL/6 male mice underwent castration (Cx) or sham castration (Sx). Four weeks following surgery, freshly isolated lymphocytes from thymus and peripheral lymph nodes were evaluated by multiplex TCR spectratype analysis, as described in Materials and Methods. Histograms show similar representation of Vβ 2.0, 8.1, 8.3, and 10 as well as Vβ 4, 5.2, 11, 15, 16, 17, 18, and 20 (data not shown) within both thymus and peripheral lymph nodes of Cx and Sx mice. Vertical axes represent mean percentages of TCR Vβ frequency, ± SEM. Horizontal axes represent relative molecular size of CDR3 products within each Vβ family. Figures are representative of two independent experiments.
Whether AD-induced thymic hyperplasia results in increased thymic output to augment T cell levels in peripheral tissues has not previously been established. Thus, we initially measured levels of CD44 expression (naive CD44low and memory CD44high phenotypes, as previously described (40, 41)) on peripheral CD4+ and CD8+ T cells in Sx compared with Cx mice. Fig. 2, A–C, demonstrates that lymph nodes recovered from 9-mo-old Cx mice, castrated for a total of 7 wk, harbor significantly higher proportions of CD44lowCD4+ and CD8+ T cells relative to age-matched Sx controls. Absolute numbers of CD44lowCD4+ as well as CD44lowCD8+ T cells were also commensurately higher within the lymph nodes of Cx mice relative to age-matched Sx controls (Fig. 2,D). To more directly link thymic output to expansion of the peripheral T cell pool, we compared numbers of T cells within the lymph nodes of thymectomized 4-wk Cx mice against Sx controls (all mice thymectomized for 2 wk before castration or sham surgery). As shown in Table I, thymectomy before AD prevented peripheral T cell levels from rising in 4-wk Cx mice, establishing parity between castrated and sham-treated groups. Taken together, these data indicate that AD most likely augments thymic output to increase T cell levels within the peripheral lymphoid organs of Cx mice.
AD increases percentages and absolute numbers of naive CD44lowCD4+ and naive CD44lowCD8+ T lymphocytes in peripheral lymphoid tissue. Cohorts of five 9-mo-old C57BL/6 male mice underwent castration (Cx) or sham castration (Sx). Seven weeks following surgery, lymphocytes were recovered from inguinal lymph nodes, triple labeled with anti-CD4 PE, anti-CD8 PerCP, and anti-CD44 FITC mAbs, and analyzed by flow cytometry. Percentages and absolute numbers of Ag-positive cells per single lymph node were calculated, as described in Materials and Methods. A and B, Representative histograms of CD44 expression on cells from Sx (solid, pale line) and Cx (solid, dark line) mice gated on CD4+ (A) or CD8+ (B) cells (dotted line represents isotype control). C, Mean percentage of CD44low cells among CD4+ and CD8+ T cells, ± SEM. D, Mean absolute number of CD44lowCD4+ and CD44lowCD8+ cells per single inguinal lymph node, ± SEM. ∗, Denotes a statistically significant difference of p < 0.05 for Sx vs Cx mice. Histograms and figures are representative of three independent experiments.
AD increases percentages and absolute numbers of naive CD44lowCD4+ and naive CD44lowCD8+ T lymphocytes in peripheral lymphoid tissue. Cohorts of five 9-mo-old C57BL/6 male mice underwent castration (Cx) or sham castration (Sx). Seven weeks following surgery, lymphocytes were recovered from inguinal lymph nodes, triple labeled with anti-CD4 PE, anti-CD8 PerCP, and anti-CD44 FITC mAbs, and analyzed by flow cytometry. Percentages and absolute numbers of Ag-positive cells per single lymph node were calculated, as described in Materials and Methods. A and B, Representative histograms of CD44 expression on cells from Sx (solid, pale line) and Cx (solid, dark line) mice gated on CD4+ (A) or CD8+ (B) cells (dotted line represents isotype control). C, Mean percentage of CD44low cells among CD4+ and CD8+ T cells, ± SEM. D, Mean absolute number of CD44lowCD4+ and CD44lowCD8+ cells per single inguinal lymph node, ± SEM. ∗, Denotes a statistically significant difference of p < 0.05 for Sx vs Cx mice. Histograms and figures are representative of three independent experiments.
Because AD produces a simultaneous increase in both peripheral T as well as B cell levels, we next set out to determine whether levels of these cells are independently regulated in response to AD. As shown in Table I, 4-wk Cx mice thymectomized for two weeks before AD produce increased levels of peripheral B cells in the absence of rising peripheral T cell levels. Conversely, 4-wk Cx μMT mice, deficient in mature/functional B cells (26), produce increased levels of peripheral T cells, relative to Sx control μMT mice, ultimately achieving T cell level parity with wild-type Cx mice (Table I). Thus, it appears that peripheral T and B cell levels are independently regulated in response to AD.
Taking into account its profound ability to augment T and B cell levels in lymphoid tissues, we reasoned that AD might accelerate host lymphocyte recovery in mice rendered lymphopenic by chemotherapeutic treatment. To test this, mice were treated with a single dose of cyclophosphamide (200 μg/g body weight) 1 day following either castration or sham surgery. Cohorts of Cx and Sx mice were then sacrificed on days 0, 3, 7, 14, and 21 following cyclophosphamide administration, and levels of B and T cells were measured in lymphoid tissues. Fig. 3 demonstrates that administration of cyclophosphamide causes lymph node B (Fig. 3,A) and T (Fig. 3,B) cell levels to nadir ∼3 days following treatment, and that levels of these lymphocyte populations in Sx mice remain at subnormal levels (relative to untreated animals) even by day 21 following treatment. In contrast, by day 21 following treatment, Cx mice were able to attain near-normal levels of lymph node B and T cells (Fig. 3, A and B), including levels of CD3+CD4+CD8− (Fig. 3,C) and CD3+CD4−CD8+ T cells (Fig. 3 D). Likewise, we observed that AD accelerates normalization of lymphocyte levels within the spleens of cyclophosphamide-treated mice (percentage of normal lymphocyte number in untreated mice ± SEM for Sx vs Cx mice 21 days after cyclophosphamide treatment: total splenocytes, 67 ± 2 vs 113 ± 2; splenic CD3+ cells, 57 ± 2 vs 86 ± 1; and splenic B220+ cells, 67 ± 3 vs 155 ± 4; all p < 0.05). AD demonstrated an even greater ability to accelerate the recovery of thymocyte levels in cyclophosphamide-treated mice (percentage of normal thymocyte number in untreated mice ± SEM for Sx vs Cx mice 14 days after cyclophosphamide treatment: 98 ± 30 vs 400 ± 60; p = 0.01). Collectively, these data support the ability of AD to promote T and B lymphocyte recovery in mice initially rendered lymphopenic by cyclophosphamide treatment.
Castration accelerates host peripheral lymphocyte recovery after induction of lymphopenia by cyclophosphamide. Cohorts of seven 8- to 10-wk-old C57BL/6 male mice were treated with a single i.p. injection of cyclophosphamide (200 μg/g body weight) at day 1 after either castration (Cx) or sham castration (Sx). On days 0, 3, 7, 14, and 21, lymphocytes were recovered from inguinal lymph nodes; stained with fluorescence-labeled Abs specific against murine B220, CD3, CD4, and CD8; and analyzed by flow cytometry. Absolute numbers of lymphocytes positive for B220 (A), CD3 (B), CD4 (C), or CD8 (D) per single lymph node of Cx vs Sx mice were calculated, as described in Materials and Methods. Vertical axes depict mean total numbers, ± SEM. ∗, Denotes a statistically significant difference of p < 0.05 for Sx vs Cx mice. Figures are representative of four independent experiments.
Castration accelerates host peripheral lymphocyte recovery after induction of lymphopenia by cyclophosphamide. Cohorts of seven 8- to 10-wk-old C57BL/6 male mice were treated with a single i.p. injection of cyclophosphamide (200 μg/g body weight) at day 1 after either castration (Cx) or sham castration (Sx). On days 0, 3, 7, 14, and 21, lymphocytes were recovered from inguinal lymph nodes; stained with fluorescence-labeled Abs specific against murine B220, CD3, CD4, and CD8; and analyzed by flow cytometry. Absolute numbers of lymphocytes positive for B220 (A), CD3 (B), CD4 (C), or CD8 (D) per single lymph node of Cx vs Sx mice were calculated, as described in Materials and Methods. Vertical axes depict mean total numbers, ± SEM. ∗, Denotes a statistically significant difference of p < 0.05 for Sx vs Cx mice. Figures are representative of four independent experiments.
AD facilitates the induction of Ag/tissue-specific T cell responses
Previous studies suggest that AD can potentiate a variety of immune and cytokine responses in pathogen-challenged or traumatized murine models (1, 5, 6, 7, 8, 12, 24). Therefore, we set out to test whether AD might facilitate the induction of Ag/tissue-specific T cell-mediated immunity in postpubertal mice. Hence, for our initial studies, cohorts of mice were vaccinated with 50 μg of OVA in CFA 2 wk following either castration or sham surgery. Two weeks after vaccination, OVA-specific T cell responses in these mice were assessed. To preclude contamination of T cells by exogenous gonadal steroid hormones, T cells assayed in vitro during this series of experiments were routinely maintained in defined serum-free AIM-V medium. Fig. 4,A demonstrates that T cells purified from OVA-vaccinated Cx mice exhibited higher rates of proliferation in response to in vitro stimulation with OVA (assessed by [3H]thymidine incorporation) relative to T cells recovered from vaccinated Sx controls. Likewise, T cells recovered from Cx mice vaccinated with six rounds of 5 × 106 irradiated TRAMPC1-GM-CSF (30) and TRAMPC1-B7 (31) murine prostate tumor cells (administered i.p. at ratio 1:1 within 3 wk following castration or sham surgery) displayed increased proliferation upon in vitro stimulation with irradiated parental TRAMP-C1 relative to T cells from Sx controls (Fig. 4,B). In additional experiments, we observed enhanced proliferative responses by naive CD4+ cells purified from 7-day Cx DO11.10 (OVA-TCR transgenic) mice upon first time in vitro exposure to OVA323–339 peptide compared with CD4+ cells from Sx D011.10 control mice (Fig. 4,C). Finally, T cells from 7-day Cx H-2Db (C57BL/6) mice displayed greater MLR responses to irradiated allogeneic H-2Dd splenocytes (from DBA/2 or BALB/c mice) compared with T cells from H-2Db Sx control mice (Fig. 4 D).
Castration potentiates the induction of Ag-specific T cell activation. Cohorts of five 8- to 10-wk-old C57BL/6 male mice underwent castration (Cx) or sham castration (Sx) before T cell recovery, as described in Materials and Methods. T cell proliferation was assessed based on [3H]thymidine uptake. A, OVA-specific proliferation of T cells from Cx vs Sx mice. The 2-wk Cx and Sx mice were vaccinated with 50 μg of OVA emulsified in CFA. Two weeks after vaccination, freshly isolated splenic CD3+ cells were cultured in the presence of irradiated normal splenocytes (from C57BL/6 mice) ± OVA for 4 days. B, Tumor cell vaccine-specific proliferation of T cells from Cx vs Sx mice. Cx and Sx mice were vaccinated with six rounds of 5 × 106 irradiated TRAMPC1-GM-CSF and TRAMPC1-B7 tumor cells (ratio 1:1) within 3 wk following surgery. Freshly isolated splenic CD3+ cells were cultured in the presence of irradiated normal splenocytes (from C57BL/6 mice) and irradiated TRAMP-C1 cells for 4 days (two independent experiments). C, OVA323–339 peptide-specific proliferation of CD4+ T cells from Cx vs Sx mice. Freshly isolated splenic CD4+ cells from 7-day Cx and Sx OVA-TCR transgenic DO11.10 mice were cultured in the presence of irradiated normal splenocytes (from BALB/c mice) ± OVA323–339 peptide for 4 days. D, Proliferation of T cells from Cx vs Sx mice in allogeneic and syngeneic MLR. Freshly isolated splenic CD3+ cells from 7-day Cx and Sx H-2Db (C57BL/6) mice were cultured in the presence of irradiated, allogeneic (A) splenocytes from H-2Dd (DBA/2) mice or irradiated, syngeneic (S) splenocytes from H-2Db mice for 5 days. All data are mean values ± SEM. ∗, Denotes a statistically significant difference of p < 0.05 for Sx vs Cx mice. Figures are representative of more than or equal to three independent experiments, unless stated otherwise.
Castration potentiates the induction of Ag-specific T cell activation. Cohorts of five 8- to 10-wk-old C57BL/6 male mice underwent castration (Cx) or sham castration (Sx) before T cell recovery, as described in Materials and Methods. T cell proliferation was assessed based on [3H]thymidine uptake. A, OVA-specific proliferation of T cells from Cx vs Sx mice. The 2-wk Cx and Sx mice were vaccinated with 50 μg of OVA emulsified in CFA. Two weeks after vaccination, freshly isolated splenic CD3+ cells were cultured in the presence of irradiated normal splenocytes (from C57BL/6 mice) ± OVA for 4 days. B, Tumor cell vaccine-specific proliferation of T cells from Cx vs Sx mice. Cx and Sx mice were vaccinated with six rounds of 5 × 106 irradiated TRAMPC1-GM-CSF and TRAMPC1-B7 tumor cells (ratio 1:1) within 3 wk following surgery. Freshly isolated splenic CD3+ cells were cultured in the presence of irradiated normal splenocytes (from C57BL/6 mice) and irradiated TRAMP-C1 cells for 4 days (two independent experiments). C, OVA323–339 peptide-specific proliferation of CD4+ T cells from Cx vs Sx mice. Freshly isolated splenic CD4+ cells from 7-day Cx and Sx OVA-TCR transgenic DO11.10 mice were cultured in the presence of irradiated normal splenocytes (from BALB/c mice) ± OVA323–339 peptide for 4 days. D, Proliferation of T cells from Cx vs Sx mice in allogeneic and syngeneic MLR. Freshly isolated splenic CD3+ cells from 7-day Cx and Sx H-2Db (C57BL/6) mice were cultured in the presence of irradiated, allogeneic (A) splenocytes from H-2Dd (DBA/2) mice or irradiated, syngeneic (S) splenocytes from H-2Db mice for 5 days. All data are mean values ± SEM. ∗, Denotes a statistically significant difference of p < 0.05 for Sx vs Cx mice. Figures are representative of more than or equal to three independent experiments, unless stated otherwise.
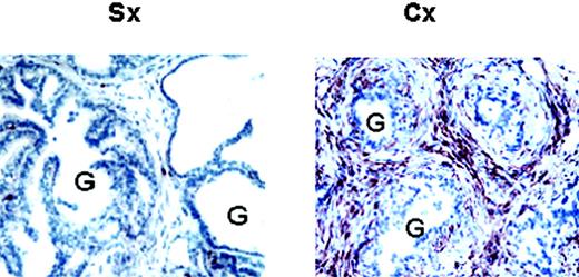
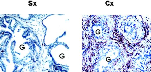
In contrast, T cells from both 7-day Cx as well as Sx H-2Db mice failed to proliferate in response to syngeneic stimulation with splenocytes from H-2Db mice, suggesting that AD does not induce a measurable level of T cell autoreactivity in this assay (Fig. 4,D). In further support of this, histological examination revealed no increased T cell infiltration within the kidneys, liver, or lungs of Cx mice 4 wk after AD (data not shown). Higher levels of CD3+ cells, however, were observed within prostate tissues of Cx compared with Sx mice (Fig. 5; 4-wk Sx vs Cx prostate tissue CD3+ cells/high power field ± SD; 2 ± 2 vs 17 ± 8, respectively; p < 0.05). Thus, these studies collectively indicate that AD facilitates Ag/tissue-specific T cell responses in the Cx host. Moreover, although short intervals of AD may facilitate T cell responses within androgen-sensitive organs such as the prostate, it does not appear to induce more generalized or widespread forms of autoimmunity.
Castration induces prostate infiltration by T cells. Photomicrographs of prostates (magnification ×400) from Sx and Cx mice stained with anti-CD3 Ab. Prostates from 4-wk Sx and Cx mice were harvested and processed, as described in Materials and Methods. Note the castration-induced increased infiltration of the prostate by CD3+ cells adjacent to atrophic glands (right), compared with a few scattered CD3+ cells within the prostates of Sx mice (left). G, Denotes gland. Figures are representative of three independent experiments, each including cohorts of five 8- to 10-wk-old C57BL/6 mice.
Castration induces prostate infiltration by T cells. Photomicrographs of prostates (magnification ×400) from Sx and Cx mice stained with anti-CD3 Ab. Prostates from 4-wk Sx and Cx mice were harvested and processed, as described in Materials and Methods. Note the castration-induced increased infiltration of the prostate by CD3+ cells adjacent to atrophic glands (right), compared with a few scattered CD3+ cells within the prostates of Sx mice (left). G, Denotes gland. Figures are representative of three independent experiments, each including cohorts of five 8- to 10-wk-old C57BL/6 mice.
AD enhances T cell proliferation following costimulation through TCR and CD28
Because simply increasing host levels of T cells alone would not be predicted to facilitate Ag/tissue-specific T cell responses in Cx mice, we next investigated potential mechanisms whereby AD might affect T cell-mediated immunity. For these studies, T cell responses during in vitro costimulation with anti-TCR and anti-CD28 were examined (37, 38, 42, 43). Unless otherwise stated, T cells purified from spleens of Cx and Sx mice were cultured in serum-free AIM-V medium and stimulated with increasing concentrations of immobilized anti-CD3 (0–0.5 μg/ml) in the presence of a fixed concentration (1 μg/ml) of soluble anti-CD28. Fig. 6,A demonstrates that T cells recovered from 7-day Cx mice proliferated more vigorously than Sx controls in response to all concentrations of anti-CD3 studied, except for at 0 μg/ml anti-CD3, at which no proliferation was observed. Likewise, T cells purified from 7-day Cx mice proliferated more vigorously than Sx controls in response to increasing concentrations of anti-CD28 (0.05–1 μg/ml) at a fixed anti-CD3 concentration of 0.25 μg/ml (Fig. 6,B). Also, bulk CD3+ T cells as well as purified CD4+ or CD8+ cells from mice castrated for 3, 14, or 28 days as well as 6 wk exhibited increased responses to costimulation relative to corresponding T cell subsets from Sx controls (data not shown). In contrast, T cells purified from Cx mice at either 1 day (data not shown) or 7 wk after AD (Fig. 6 C) exhibited no increased response to costimulation, indicating that AD-mediated enhancement of T cell proliferation occurs only transiently.
Castration transiently increases susceptibility of host T cells to costimulatory activation through TCR and CD28. Cohorts of five 8- to 10-wk-old C57BL/6 male mice underwent either castration (Cx) or sham castration (Sx) 1 day to 7 wk before T cell recovery, as described in Materials and Methods. In all experiments, freshly isolated T cells were costimulated with increasing concentrations of plate-bound anti-CD3 at a fixed 1 μg/ml concentration of soluble anti-CD28 (unless otherwise specified) for 48 h. T cell proliferation was assessed based on [3H]thymidine uptake. A, Proliferation of CD3+ cells from 7-day Cx vs Sx mice. B, Proliferation of CD3+ cells from 7-day Cx vs Sx mice in response to increasing concentrations of anti-CD28 and a fixed concentration of 0.25 μg/ml anti-CD3. C, Proliferation of CD3+ cells from 7-wk Cx vs Sx mice. D, Proliferation of CD3+ cells from 7-day Cx vs Sx mice in response to anti-CD3/CD28-mediated costimulation (0.5 and 1 μg/ml, respectively) ± 10 μg/ml anti-OX40, anti-4-1BB, or control IgG. E, Proliferation of CD3+ cells from 4-wk Cx vs Sx mice thymectomized 2 wk before castration or sham castration. F, Percentage of annexin V-positive cells among CD3+ cells from 2-wk Cx vs Sx mice after 0-, 2-, 4-, 6-, or 8-h culture in RPMI 1640 containing 10% charcoal-stripped serum, supplemented with 0.1 μM dexamethasone (Dexa) or control substance (contr). The x-axis denotes time of culture. G, Proliferation of CD3+ cells from untreated animals in response to 0.5 μg/ml anti-CD3 and 1 μg/ml anti-CD28 ± dihydrotestosterone, or vehicle control, at concentrations specified. All data are mean values, ± SEM. ∗, Denotes statistically significant differences of p ≤ 0.05 for Sx vs Cx mice. All figures are representative of more than or equal to three independent experiments.
Castration transiently increases susceptibility of host T cells to costimulatory activation through TCR and CD28. Cohorts of five 8- to 10-wk-old C57BL/6 male mice underwent either castration (Cx) or sham castration (Sx) 1 day to 7 wk before T cell recovery, as described in Materials and Methods. In all experiments, freshly isolated T cells were costimulated with increasing concentrations of plate-bound anti-CD3 at a fixed 1 μg/ml concentration of soluble anti-CD28 (unless otherwise specified) for 48 h. T cell proliferation was assessed based on [3H]thymidine uptake. A, Proliferation of CD3+ cells from 7-day Cx vs Sx mice. B, Proliferation of CD3+ cells from 7-day Cx vs Sx mice in response to increasing concentrations of anti-CD28 and a fixed concentration of 0.25 μg/ml anti-CD3. C, Proliferation of CD3+ cells from 7-wk Cx vs Sx mice. D, Proliferation of CD3+ cells from 7-day Cx vs Sx mice in response to anti-CD3/CD28-mediated costimulation (0.5 and 1 μg/ml, respectively) ± 10 μg/ml anti-OX40, anti-4-1BB, or control IgG. E, Proliferation of CD3+ cells from 4-wk Cx vs Sx mice thymectomized 2 wk before castration or sham castration. F, Percentage of annexin V-positive cells among CD3+ cells from 2-wk Cx vs Sx mice after 0-, 2-, 4-, 6-, or 8-h culture in RPMI 1640 containing 10% charcoal-stripped serum, supplemented with 0.1 μM dexamethasone (Dexa) or control substance (contr). The x-axis denotes time of culture. G, Proliferation of CD3+ cells from untreated animals in response to 0.5 μg/ml anti-CD3 and 1 μg/ml anti-CD28 ± dihydrotestosterone, or vehicle control, at concentrations specified. All data are mean values, ± SEM. ∗, Denotes statistically significant differences of p ≤ 0.05 for Sx vs Cx mice. All figures are representative of more than or equal to three independent experiments.
To further test whether AD might render T cells more responsive to accessory costimulation, T cells from Cx and Sx mice were stimulated with anti-CD3 (0.5 μg/ml) and anti-CD28 (1 μg/ml) in the added presence of anti-OX40 (10 μg/ml) or anti-4-1BB (10 μg/ml). Fig. 6 D shows that ligation of accessory OX40 or 4-1BB receptors produced an additive effect in promoting the proliferation of T cells from 7-day Cx mice relative to Sx controls during TCR/CD28 costimulation. Thus, AD appears to facilitate T cell proliferation in response to accessory costimulation as well.
In separate experiments using CD28-deficient mice (27), we tested whether AD-induced facilitation of costimulatory signaling contributes to the development of lymphoid hyperplasia in Cx mice. As shown in Table I, 4-wk Cx CD28-deficient mice developed a similar pattern of peripheral lymphoid hyperplasia as observed in wild-type Cx mice (Table I). Thus, it appears that facilitation of CD28 signaling by AD does not play a central role in increasing peripheral T cell levels in Cx mice. Conversely, to test whether augmentation of thymic T cell output by AD results in the emergence of newly emigrated T cells that exhibit enhanced reactivity to costimulation, studies were performed using mice thymectomized 2 wk before castration or sham surgery. These experiments revealed that peripheral T cells purified from spleens of thymectomized 4-wk Cx mice proliferated more readily upon costimulation than T cells derived from thymectomized Sx controls (Fig. 6 E). Thus, AD apparently renders existing peripheral T cell populations more susceptible to costimulation rather than increasing thymic output of a hyperreactive T cell population. These data are also consistent with our observation that only 3 days of AD renders T cells more responsive to costimulation, at a point far before development of lymphoid tissue hyperplasia in Cx mice.
To test whether AD alters T cell cytokine and receptor expression to facilitate an increased proliferative response to TCR/CD28-mediated costimulation, we examined the expression of various cytokines and receptors by peripheral T cells in Cx compared with Sx mice. Our flow cytometric analyses revealed no differences in percentages or expression levels of TCRβ, TCRγδ, CD28, CD25, OX40, CD40L, CTLA-4, and 4-1BB receptors, or intracellular cytokines IL-2, IFN-γ, and IL-4, by T cells in Cx compared with Sx mice (Table II). In addition, percentages of putative Tregulatory (CD4+CD25+) inhibitory cells (44) within the peripheral lymphoid tissues of Cx mice remained comparable to Sx mice (percentage of CD4+CD25+ cells in splenic CD3+ cells, ± SEM, for 7-day Sx vs Cx mice: 5.5 ± 0.2 vs 6.1 ± 0.3; n = 2). In additional experiments, we observed that T cells recovered from the spleens of 14-day Cx and Sx mice underwent similar rates of apoptosis upon exposure to dexamethasone (Fig. 6,F) or serum deprivation (data not shown), as demonstrated using annexin V staining. Finally, given that several groups (19, 45, 46) have reported androgen receptor expression by peripheral T cells in mice, we tested whether direct androgen exposure might alter T cell proliferation during in vitro costimulation. Fig. 6 G shows that direct exposure of T cells to increasing concentrations of dihydrotestosterone had essentially no effect on T cell proliferation in response to costimulation.
Effects of AD on splenic T cell expression of various receptors and cytokines involved in T cell activation and costimulatory signalinga
| Treatment . | Percent Marker-Positive CD3+ Cellsb . | . | Expression Intensity of Marker-Positive CD3+ Cells (Geometrical Mean Fluorescence Intensity)c . | . | ||
|---|---|---|---|---|---|---|
| . | Sxd . | Cx . | Sx . | Cx . | ||
| TCRβ+ | 97.5 ± 0.1 | 97.0 ± 0.1 | 111.6 ± 1.7 | 109.6 ± 0.8 | ||
| TCRγ/δ+ | 7.4 ± 0.4 | 7.9 ± 0.6 | 52.3 ± 1.4 | 55.0 ± 1.2 | ||
| CD28+ | 76.6 ± 2.7 | 71.7 ± 4.6 | 37.4 ± 3.5 | 36.5 ± 2.3 | ||
| CD25+ | 10.9 ± 0.6 | 11.5 ± 0.5 | 43.4 ± 0.2 | 42.4 ± 0.5 | ||
| OX40+ | 5.9 ± 0.3 | 6.9 ± 0.3 | 16.3 ± 1.8 | 16.4 ± 1.7 | ||
| CD40L+ | 3.2 ± 0.6 | 3.9 ± 0.8 | 46.1 ± 4.4 | 46.7 ± 3.8 | ||
| CTLA-4+ | 14.7 ± 0.1 | 16.6 ± 0.1 | 55.8 ± 0.6 | 54.2 ± 0.7 | ||
| 4-1BB+ | 4.9 ± 0.2 | 4.8 ± 0.3 | 56.5 ± 1.3 | 57.6 ± 3.3 | ||
| IL-2+ | 4.1 ± 0.7 | 4.6 ± 0.8 | 47.2 ± 5.3 | 48.4 ± 5.3 | ||
| IFNγ+ | 4.2 ± 0.6 | 4.6 ± 0.7 | 68.6 ± 5.1 | 63.3 ± 4.0 | ||
| IL-4+ | 0 | 0 | 0 | 0 | ||
| Treatment . | Percent Marker-Positive CD3+ Cellsb . | . | Expression Intensity of Marker-Positive CD3+ Cells (Geometrical Mean Fluorescence Intensity)c . | . | ||
|---|---|---|---|---|---|---|
| . | Sxd . | Cx . | Sx . | Cx . | ||
| TCRβ+ | 97.5 ± 0.1 | 97.0 ± 0.1 | 111.6 ± 1.7 | 109.6 ± 0.8 | ||
| TCRγ/δ+ | 7.4 ± 0.4 | 7.9 ± 0.6 | 52.3 ± 1.4 | 55.0 ± 1.2 | ||
| CD28+ | 76.6 ± 2.7 | 71.7 ± 4.6 | 37.4 ± 3.5 | 36.5 ± 2.3 | ||
| CD25+ | 10.9 ± 0.6 | 11.5 ± 0.5 | 43.4 ± 0.2 | 42.4 ± 0.5 | ||
| OX40+ | 5.9 ± 0.3 | 6.9 ± 0.3 | 16.3 ± 1.8 | 16.4 ± 1.7 | ||
| CD40L+ | 3.2 ± 0.6 | 3.9 ± 0.8 | 46.1 ± 4.4 | 46.7 ± 3.8 | ||
| CTLA-4+ | 14.7 ± 0.1 | 16.6 ± 0.1 | 55.8 ± 0.6 | 54.2 ± 0.7 | ||
| 4-1BB+ | 4.9 ± 0.2 | 4.8 ± 0.3 | 56.5 ± 1.3 | 57.6 ± 3.3 | ||
| IL-2+ | 4.1 ± 0.7 | 4.6 ± 0.8 | 47.2 ± 5.3 | 48.4 ± 5.3 | ||
| IFNγ+ | 4.2 ± 0.6 | 4.6 ± 0.7 | 68.6 ± 5.1 | 63.3 ± 4.0 | ||
| IL-4+ | 0 | 0 | 0 | 0 | ||
Samples of splenocytes were analyzed by flow cytometry, gated on CD3+ lymphocytes.
Values represent mean percentage or
mean expression intensity (geometrical mean fluorescence intensity) of Ag receptor or cytokine-positive cells among CD3+ lymphocytes, ± SEM. Data were generated from two independent experiments.
Cohorts of five 8- to 12-wk-old mice were Sx or Cx 7 days prior to study.
In summary, these data indicate that AD generally renders pre-existent peripheral T cell populations more reactive to costimulation. The precise molecular mechanism underlying this response, however, remains unknown at present.
Discussion
It has long been appreciated that gonadal sex steroids might modulate systemic host immunity (1, 9, 10, 12, 24). For instance, autoimmunity has been shown to be more prevalent in women than in men (2, 3, 4). Studies have also indicated enhanced immune responses in females compared with males (1, 10, 47, 48). Additionally, it has been shown that removal of androgen not only produces lymphoid hyperplasia (3, 12, 13, 14, 15, 16, 17, 18, 25), but also can enhance a variety of immune responses in postpubertal male mice (5, 8, 10, 11, 19, 20, 21, 22, 23, 24). Based on these collective observations, androgen has been implicated as negative modulator of host immunity. Nevertheless, the precise mechanism(s) responsible for the bolstering effect of AD on host immunity remains poorly understood. And, although numerous studies have focused on the effects of AD on B lymphocyte levels and function, comparatively less attention has been given to the effects of AD on host T cells. Thus, this study was conducted to elucidate what changes in peripheral T cell levels, repertoire, and function are induced by AD.
Previous studies have shown that AD produces an enlargement of thymic and splenic cellularity and mass in postpubertal mice (3, 12, 13, 14, 15, 16, 17, 18, 25). In the current study, we confirm these findings by demonstrating that hyperplasia of the thymus, spleen, and lymph nodes appears ∼2 wk after AD in postpubertal male mice. We extend these observations further by showing that AD-induced peripheral lymph node hyperplasia occurs primarily due to a trebling of both B220+ and CD3+ cell levels (at 4 wk after AD) within nodal tissues. This AD-induced increase in peripheral CD3+ T cell levels, in turn, is caused by a proportional rise in CD4+ and CD8+ T cell levels in Cx mice. Also, in studies using B cell-deficient μMT as well as thymectomized mice, we observe that peripheral B and T cell levels in Cx mice rise independent of one another in response to AD.
The observation that AD not only produces thymic hyperplasia in postpubertal male mice (current study and Refs. 3 , 12 , 14 and 17), but also increases peripheral T cell levels, prompted us to investigate whether AD stimulates thymic T cell output. In support of this, we show that hyperplastic peripheral lymphoid tissues in Cx mice harbor increased percentages and absolute numbers of phenotypically naive (CD44low) CD4+ and CD8+ T cells relative to Sx controls. In addition, thymectomy performed 2 wk before AD prevents peripheral T cell levels from rising in Cx mice. Taken together, these studies indicate that AD stimulates both thymic expansion as well as output, culminating in increased levels of newly emigrated T cells appearing within hyperplastic peripheral lymphoid tissues of Cx mice. Yet, despite its ability to augment T cell levels in the thymus and periphery, AD does not appear to alter host TCR diversity, as is suggested by our TCR Vβ screening studies. Admittedly, however, more extensive studies encompassing the entire murine Vβ and Vα TCR repertoire will be needed to firmly establish whether host TCR diversity remains stable in response to AD.
The ability of AD to stimulate the thymus and to produce increased numbers of peripheral B and T cells in Cx mice prompted us to additionally investigate whether androgen withdrawal might prove effective in accelerating immune cell repopulation in mice rendered lymphopenic by chemotherapy. For these studies, mice were treated with the alkylating agent, cyclophosphamide, which injures rapidly dividing cells including marrow and thymic lymphocyte progenitors, thereby inducing severe lymphopenia in both humans and mice (49, 50, 51). Consistent with our prediction, AD was observed to accelerate restoration of lymphocyte levels within the thymus and periphery of cyclophosphamide-treated Cx mice. In contrast, Sx mice remained relatively lymphopenic even by 21 days following cyclophosphamide administration. Thus, AD appears to demonstrate potential in promoting lymphocyte recovery following chemotherapeutic treatment. However, further studies will be needed to assess the functionality of lymphocytes that rapidly appear in response to AD to ascertain whether AD promotes restoration of normal immune function in the chemotherapy-treated lymphopenic host.
As alluded to above, AD has been reported to augment a variety of immune responses in the postpubertal male host. For instance, AD has been shown to shorten skin allograft rejection time in male mice (9). Splenocytes derived from Cx compared with Sx mice have also been shown to produce higher levels of IL-2 and IFN-γ in response to Con A, and increased autoreactive Ab in response to mitogen (12). Additionally, studies have shown that AD may reduce host immunosuppression induced by hemorrhage (1) or burn injury (24). Thus, prompted by these observations, we set out to investigate the impact of AD on Ag/tissue-specific T cell responses in postpubertal Cx compared with Sx mice. In the present study, we show that peripheral T cells harvested from Cx mice, vaccinated with either nominal Ag (OVA) or murine prostate tumor cells (TRAMP-C1), proliferate more vigorously than Sx controls upon in vitro restimulation with OVA or TRAMP-C1 target cells (respectively). We further demonstrate enhanced responses by naive CD4+ cells from Cx-DO11.10 TCR transgenic mice (compared with CD4+ cells from Sx-DO11.10 control mice) upon first time in vitro exposure to OVA323–339 peptide. Similarly, T cells from Cx H-2Db (C57BL/6) mice exhibit greater MLR responses to irradiated allogeneic H-2Dd splenocytes than T cells from H-2Db Sx controls. In contrast, AD was not observed to induce peripheral T cell autoreactivity (measured by syngeneic MLR) or multiorgan T cell inflammation in Cx mice. Moderate levels of T cell infiltration, however, were observed within the prostate tissues of Cx mice, paralleling our previous observation that clinical AD raises restricted T cell responses in the prostate tissues of patients being treated for prostatic adenocarcinoma (33). From these observations, we conclude that AD generally facilitates host Ag/tissue-specific T cell responses. The facilitation of T cell responses by AD, however, is insufficient to produce generalized autoimmunity, but may contribute to the development of T cell-mediated inflammatory responses within androgen-dependent organs such as the prostate.
Recognizing that the induction by AD of lymphoid tissue hyperplasia alone might not be predicted to promote Ag-specific T cell responses, we investigated additional mechanisms whereby AD might facilitate host T cell-mediated immunity in Cx mice. Specifically, we tested whether T cells from Cx compared with Sx mice exhibit exaggerated responses to in vitro engagement of TCR and receptors comprising the T cell costimulatory pathway. In these studies, we observed that peripheral T cells from Cx mice (including purified CD4+ as well as CD8+ cells) exhibit greater proliferative responses to a wide range of anti-CD3 and anti-CD28 concentrations than T cells from Sx mice. This effect was apparent at >1 day, but not after 7 wk of AD. Moreover, ligation of accessory OX40 or 4-1BB receptors produced an additive effect in promoting responses by T cells from Cx mice relative to Sx controls, over and above the response observed with TCR/CD28 costimulation alone. Based on these observations, we suggest that AD transiently lowers the costimulatory threshold of peripheral T cells, thereby facilitating Ag-specific T cell responses in Cx mice.
Our observation that T cells from Cx and Sx mice exhibit equal vulnerability to apoptosis (induced by serum withdrawal or corticosteroid exposure) suggests that AD promotes T cell proliferative expansion in response to costimulation, as opposed to extending T cell survival. In addition, that increased responses were also displayed by T cells harvested from 3-day Cx mice as well as T cells from thymectomized 4-wk Cx mice (both groups devoid of increased T cell levels in peripheral tissues) further suggests that AD may facilitate costimulatory T responses via mechanism(s) independent of homeostatic proliferation or lymphoid hyperplasia. Thus, we explored several relatively basic mechanisms whereby AD might render pre-existing peripheral T cell populations more susceptible to costimulation. These studies reveal that AD does not alter host peripheral T cell expression of various receptors (TCRβ, TCRγδ, CD28, OX40, CD40L, 4-1BB, and CTLA-4) and/or cytokines (IL-2, IFN-α, and IL-4) that could conceivably influence costimulatory signaling. Likewise, percentages of CD4+CD25+ putative Tregulatory inhibitory cells (44) were observed to remain similar within the peripheral lymphoid tissues of Cx and Sx mice. Finally, we show that direct androgen exposure had no effect on T cell responses to costimulation despite reports indicating that peripheral T cells express androgen receptor (19, 44, 45). However, some evidence does exist suggesting that other sex hormones may also participate in modulating host immunity. For instance, in rodents, it has been demonstrated that hypothalamic gonadotropin-releasing hormone (GnRH) can stimulate B and T lymphocyte proliferation and IgG production (52, 53, 54, 55). Additionally, prolactin has been shown to promote both T cell expansion as well as survival (56, 57). Related to this, androgens suppress both GnRH production and responsiveness within the hypothalamus and pituitary (58). In contrast, AD therapy in men has been shown to increase levels of circulating prolactin, luteinizing hormone, and estradiol (59). Taken together, these findings suggest the possibility that the effect of AD to enhance T cell levels and costimulatory responses may, at least in part, be mediated by other hormones, including GnRH, prolactin, or estrogen, that rise in response to removal of androgen. Thus, at present, the precise mechanism whereby AD facilitates T cell proliferation in response to costimulation remains elusive.
In summary, we demonstrate that AD produces an increase in thymic and peripheral T lymphocyte levels and enhances Ag-specific T cell-mediated immune responses in postpubertal male mice. T cells from Cx mice also transiently exhibit exaggerated responses to costimulation, suggesting that AD may lower the costimulatory threshold of peripheral T cells. We believe that the enhanced susceptibility of peripheral T cells to costimulatory activation might facilitate Ag/tissue-specific T cell responses in the AD host. These studies may have implications for enhancing immune responses to immunotherapy, for improving immune system recovery following chemotherapy, and for establishing a mechanistic basis whereby gonadal steroid hormones modulate autoimmunity.
Acknowledgements
We thank Dr. L. Chen (Johns Hopkins University School of Medicine) for generously providing anti-murine 4-1BB mAb, and Dr. A. Weinberg (Earl Chiles Institute, Portland, OR) for kindly providing anti-murine OX40 mAb.
Footnotes
The costs of publication of this article were defrayed in part by the payment of page charges. This article must therefore be hereby marked advertisement in accordance with 18 U.S.C. Section 1734 solely to indicate this fact.
This work was supported by National Institutes of Health/National Cancer Institute Grant R01 CA82185 (to E.D.K.), Department of Defense Grant PC 991568 (to E.D.K.), CaPCURE, and the Mayo Foundation (Rochester, MN).
Abbreviations used in this paper: AD, androgen deprivation; Cx, castrated; GnRH, gonadotropin-releasing hormone; Sx, sham castrated.



![FIGURE 4. Castration potentiates the induction of Ag-specific T cell activation. Cohorts of five 8- to 10-wk-old C57BL/6 male mice underwent castration (Cx) or sham castration (Sx) before T cell recovery, as described in Materials and Methods. T cell proliferation was assessed based on [3H]thymidine uptake. A, OVA-specific proliferation of T cells from Cx vs Sx mice. The 2-wk Cx and Sx mice were vaccinated with 50 μg of OVA emulsified in CFA. Two weeks after vaccination, freshly isolated splenic CD3+ cells were cultured in the presence of irradiated normal splenocytes (from C57BL/6 mice) ± OVA for 4 days. B, Tumor cell vaccine-specific proliferation of T cells from Cx vs Sx mice. Cx and Sx mice were vaccinated with six rounds of 5 × 106 irradiated TRAMPC1-GM-CSF and TRAMPC1-B7 tumor cells (ratio 1:1) within 3 wk following surgery. Freshly isolated splenic CD3+ cells were cultured in the presence of irradiated normal splenocytes (from C57BL/6 mice) and irradiated TRAMP-C1 cells for 4 days (two independent experiments). C, OVA323–339 peptide-specific proliferation of CD4+ T cells from Cx vs Sx mice. Freshly isolated splenic CD4+ cells from 7-day Cx and Sx OVA-TCR transgenic DO11.10 mice were cultured in the presence of irradiated normal splenocytes (from BALB/c mice) ± OVA323–339 peptide for 4 days. D, Proliferation of T cells from Cx vs Sx mice in allogeneic and syngeneic MLR. Freshly isolated splenic CD3+ cells from 7-day Cx and Sx H-2Db (C57BL/6) mice were cultured in the presence of irradiated, allogeneic (A) splenocytes from H-2Dd (DBA/2) mice or irradiated, syngeneic (S) splenocytes from H-2Db mice for 5 days. All data are mean values ± SEM. ∗, Denotes a statistically significant difference of p < 0.05 for Sx vs Cx mice. Figures are representative of more than or equal to three independent experiments, unless stated otherwise.](https://aai.silverchair-cdn.com/aai/content_public/journal/jimmunol/173/10/10.4049_jimmunol.173.10.6098/5/m_zim0220483810004.jpeg?Expires=1708443686&Signature=1tj8hm~5usLVf1LCge7DPKaq99JrO-mq1UXBHlNkrBZrjqo45Vsi8joOGwoWXJU7EPfAYUkhW-GstGPwAoY5Hv50Jn8jBkm9PkXCe4~EWmcx1V-PCJ2a5Awgi0NEJKt2Jur8WRFNR0PAN43Rg8bTxOonrbHaNQUjbmVATtYsr0uReZgvUcUMEykCoo2UFPwt4obsvLeFTUwpRZnt6IyAU0toM4zta7u4NC1LJ3NaZAhx0AqVFhD~W1K4XLV9dKr1zWwID3T09ZMYeXDKmnuqeYZN4aA6VmzvbVod9te4YkGYGhgWRSaQ8jzBR4Y05bxbYYsgiAh~kuwpF6NKL0Nkqw__&Key-Pair-Id=APKAIE5G5CRDK6RD3PGA)

![FIGURE 6. Castration transiently increases susceptibility of host T cells to costimulatory activation through TCR and CD28. Cohorts of five 8- to 10-wk-old C57BL/6 male mice underwent either castration (Cx) or sham castration (Sx) 1 day to 7 wk before T cell recovery, as described in Materials and Methods. In all experiments, freshly isolated T cells were costimulated with increasing concentrations of plate-bound anti-CD3 at a fixed 1 μg/ml concentration of soluble anti-CD28 (unless otherwise specified) for 48 h. T cell proliferation was assessed based on [3H]thymidine uptake. A, Proliferation of CD3+ cells from 7-day Cx vs Sx mice. B, Proliferation of CD3+ cells from 7-day Cx vs Sx mice in response to increasing concentrations of anti-CD28 and a fixed concentration of 0.25 μg/ml anti-CD3. C, Proliferation of CD3+ cells from 7-wk Cx vs Sx mice. D, Proliferation of CD3+ cells from 7-day Cx vs Sx mice in response to anti-CD3/CD28-mediated costimulation (0.5 and 1 μg/ml, respectively) ± 10 μg/ml anti-OX40, anti-4-1BB, or control IgG. E, Proliferation of CD3+ cells from 4-wk Cx vs Sx mice thymectomized 2 wk before castration or sham castration. F, Percentage of annexin V-positive cells among CD3+ cells from 2-wk Cx vs Sx mice after 0-, 2-, 4-, 6-, or 8-h culture in RPMI 1640 containing 10% charcoal-stripped serum, supplemented with 0.1 μM dexamethasone (Dexa) or control substance (contr). The x-axis denotes time of culture. G, Proliferation of CD3+ cells from untreated animals in response to 0.5 μg/ml anti-CD3 and 1 μg/ml anti-CD28 ± dihydrotestosterone, or vehicle control, at concentrations specified. All data are mean values, ± SEM. ∗, Denotes statistically significant differences of p ≤ 0.05 for Sx vs Cx mice. All figures are representative of more than or equal to three independent experiments.](https://aai.silverchair-cdn.com/aai/content_public/journal/jimmunol/173/10/10.4049_jimmunol.173.10.6098/5/m_zim0220483810006.jpeg?Expires=1708443686&Signature=Y-wa5jpI2QHNFvGcgKV1FM5xCQg3FTWkWJxTgPiTI8eIj82H99zw66Badq8s1tfz3v4YSZ-i63gHpZlD70te327jEblXxk7kNhyk1ySPLWlCiTq-6KJTc3ilEleXufrxmADDMqTMGYIyNaWk97rdlreMwm9taxxemWc2s3qdDtma7VAp7940mOypIO-2zsYY2CUcDwlCjpIkAm0TNWwTk2ArnxGtb5~4VwLhfJ9d~McYX~tPkWtLU8DIusWsTxMOj9k~vdP3Bt5uptJaxOs96vICUOFPG2TCtzhpXpmPTJ~RaMtZ64329~rVURrh8FG5WNJ8EXGwVFTGhTyXWwAu~w__&Key-Pair-Id=APKAIE5G5CRDK6RD3PGA)