Abstract
Mutated epidermal growth factor receptor (EGF-RvIII, ΔEGF-R, and de2–7 EGF-R) is the result of an 801-bp deletion within the extracellular domain of wild-type EGF-R and is expressed by breast carcinomas, but not by normal breast tissues. EGF-RvIII is expressed both on the surface and in the cytoplasm of tumor cells. Thus, EGF-RvIII is a potential tumor-specific target for both Abs and T cells. However, it is not known whether breast cancer patients can raise immune responses to EGF-RvIII expressed by their tumors. The demonstration of EGF-RvIII-specific immune responses in patients would suggest that immunization of patients with EGF-RvIII vaccines is feasible, because these vaccines may boost a pre-existing immune response. We have evaluated humoral and cellular immune responses to EGF-RvIII in 16 breast cancer patients and three healthy donors. Seven of 16 patients developed EGF-RvIII-specific Abs that bound to isolated EGF-RvIII protein or the protein expressed by EGF-RvIII-transfected mouse fibroblasts. The Abs that bound to EGF-RvIII did not bind to wild-type EGF-R, and anti-EGF-RvIII Abs were not found in the sera of healthy donors. Three patients had EGF-RvIII peptide-specific lymphoproliferative responses, and two of these patients also had humoral immune responses. Humoral and cellular immune responses correlated with EGF-RvIII expression by patients’ tumors in most cases. These studies demonstrate that breast cancer patients specifically recognize EGF-RvIII with an overall immune response rate of 50%, suggesting that patients may benefit from vaccination against EGF-RvIII, boosting pre-existing immune responses.
Tumor-specific proteins that are mutations of normal cellular proteins, e.g., mutated p53 (1), Ras (2), p16 (3), and epidermal growth factor receptor (EGF-R)3 (4), have been identified as potential targets for specific cancer immunotherapy. These mutated proteins are absent on normal tissues. Mutated EGF-R (variously named EGF-RvIII, ΔEGF-R, and de2–7 EGF-R) is the result of an 801-bp in-frame deletion within the extracellular ligand-binding domain of wild-type (wt) EGF-R (4). The deletion removes NH2-terminal amino acid residues 6–273 from the extracellular domain of the mature wtEGF-R (Mr = 170,000), resulting in an EGF-RvIII protein (Mr = 145,000) that has a unique primary sequence represented by an inserted glycine residue at position 6 at the fusion junction (4). EGF-RvIII protein expression has been described in 27–50% of human breast carcinomas, up to 61% of gliomas, 16% of lung carcinomas, and 73% of ovarian carcinomas. EGF-RvIII is not found on a large number of normal tissues tested, such as breast, colon, kidney, testes, lung, brain, liver, skin, peripheral nerve, lymph node, ovary, bone marrow, spleen, endometrium, and placenta (4, 5, 6, 7, 8, 9, 10, 11).
EGF-RvIII is expressed both on the surface and in the cytoplasm of cells (4, 10), whereas the other mutated proteins (mutated p53, p16, and Ras) are only expressed intracellularly (1, 2, 3). Thus, EGF-RvIII targeting by both B and T cells may lead to tumor destruction, whereas therapeutic targeting of the other mutated proteins will rely primarily on T cells. In light of the important roles of both humoral and cellular immunities in the control of tumor growth (12), EGF-RvIII vaccines are preferred over vaccines of other mutated proteins. The vaccine potential of an EGF-RvIII peptide has been demonstrated in mouse models of human EGF-RvIII-transfected mouse NIH-3T3 cells (13) and mouse EGF-RvIII-transfected mouse melanoma cells transplanted intracranially (14). Furthermore, anti-idiotypic Abs mimicking EGF-RvIII have inhibited the growth of mouse EGF-R-transfected mouse melanoma cells in mice (15).
Transfection of human glioma cells or murine 3T3 fibroblasts with EGF-RvIII cDNA confers enhanced tumorigenicity to the cells in a nude mouse model (16, 17) by increasing proliferation and reducing apoptosis of the cells (18). Thus, EGF-RvIII has oncogenic potential. Furthermore, the expression of EGF-RvIII in glioblastoma multiforme was associated with reduced survival of the patients (19). Thus, targeting of EGF-RvIII with vaccines potentially eliminates cells with increased oncogenic potential.
To our knowledge, it is not known whether the mutated EGF-RvIII epitope is immunogenic in cancer patients when expressed by the patients’ tumors. The demonstration of EGF-RvIII-specific immune responses in patients would suggest that immunization of patients with EGF-RvIII vaccines is feasible, because these vaccines may effectively boost a pre-existing immune response. Therefore, in the present study we have investigated whether breast cancer patients raise humoral and/or cellular immune responses to EGF-RvIII expressed by their tumors. Our findings suggest that EGF-RvIII is immunogenic in the patients and that the immune responses are induced by EGF-RvIII expressed by the patients’ tumors.
Materials and Methods
Patients
All patients included in this study had breast carcinoma with or without lymph node involvement and were enrolled at the Memorial Hospital of Burlington (Mt. Holly, NJ). Each patient had given informed consent. This report includes 16 female breast cancer patients (median age, 57 years; range, 36–74 years) and three female healthy donors. Tissue specimens obtained during surgery were frozen in OCT (Miles, Elkhart, IN) or fixed in 10% phosphate-buffered formalin. One normal breast tissue specimen was obtained from a patient adjacent to the tumor. Patients’ heparinized blood was obtained at various time points in relation to surgery (before or up to 44 mo after surgery). Patients’ HLA genotyping was performed using cDNA isolated from tumor tissue or EBV-transformed B cells.
Abs and cell lines
Mouse mAbs to human CD4 and CD8 were obtained by BD Pharmingen (San Diego, CA). mAb L8A4 to the human EGF-RvIII epitope has been described previously (8). mAb 425 (20) and H11 (DakoCytomation, Carpinteria, CA) are directed to different epitopes on wtEGF-R and also react with the deletion mutant EGF-RvIII. mAbs 4F-2 and 5A4 to IL-4 and mAbs B133.1.1 and B133.5 to IFN-γ were obtained from Dr. G. Trinchieri (The Wistar Institute). Murine mAb PARLAM4 and polyclonal rabbit Abs UCBA854/R4H both are directed to carcinoembryonic Ag (CEA; Accurate Chemicals & Scientific, Westbury, NY). NR6M cells are NIH-3T3 fibroblasts transfected with human EGF-RvIII cDNA (17), and 9L cells are rat gliosarcoma cells (21). The cells were cultured in IMDM supplemented with 10% FBS.
Ags and peptides
Recombinant baculovirus expressing human EGF-RvIII was produced using pHβApr-1-neo-EGF-RvIII vector as we have previously described for recombinant colorectal carcinoma GA733 Ag (22). Human EGF-RvIII protein was purified from supernatants of insect cells infected with recombinant baculovirus by immunoaffinity chromatography using mAb 425 (20). The purified protein specifically and significantly reacted with mAbs L8A4, 425, and NCL in ELISA and Western blot analysis (not shown). Human wtEGF-R protein was purchased from Austral Biologicals (San Ramon, CA). CEA was purchased from Accurate Chemicals & Scientific.
Three peptides of EGF-RvIII, including residues 8–32, 19–32, and 24–32, were synthesized and incorporated into poly-(d,l-lactide-co-glycolide) (PLG) microspheres as previously described (23). All three peptides include HLA class I binding motifs, and one peptide (residues 8–32) also includes HLA class II binding motifs (Table I). Peptides 8–32 and 24–32 form amphipathic helices, and therefore, they may contain Th epitopes (24).
Peptides of human EGF-RvIII used for PBMC stimulation
| Peptide . | . | Predicted Peptide Patternsa . | . | ||
|---|---|---|---|---|---|
| Residues . | Amino acid sequenceb . | HLA class I binding motif . | HLA class II binding motif . | ||
| 24–32 | ALEEKKGNY | A1, A3 | |||
| 19–32 | CPASRALEEKKGNY | A1, A3, A11 | |||
| 8–32 | GAALLALLAALCPAS RALEEKKGNY | A1, A2.1, A3, A11, B61 (4006) | DR1(B1*0101), DR4 | ||
| Peptide . | . | Predicted Peptide Patternsa . | . | ||
|---|---|---|---|---|---|
| Residues . | Amino acid sequenceb . | HLA class I binding motif . | HLA class II binding motif . | ||
| 24–32 | ALEEKKGNY | A1, A3 | |||
| 19–32 | CPASRALEEKKGNY | A1, A3, A11 | |||
| 8–32 | GAALLALLAALCPAS RALEEKKGNY | A1, A2.1, A3, A11, B61 (4006) | DR1(B1*0101), DR4 | ||
Based on known peptide sequences (http://wehih.wehi.edu.au/mhcpep/).
Mutated glycine is underlined. Peptides include leader sequences of the protein. Control peptides were selected for each human EGF-RvIII peptide by omitting glycine (position 30) from the specific peptide or by replacing glycine by either proline or glutamic acid.
RT-PCR
mRNA was prepared from frozen tissue specimens using a Dynabeads mRNA direct kit (Dynal Laboratories, Lake Success, NY) and was transcribed by RT-PCR using the primers EGF-R2 (5′-GGAAAAGAAAGGAAACTACGTGG-3′) and EGF-R4 (5′-AGTTCCCGTGGGTCTAGAGG-3′) to amplify EGF-RvIII fragment and primers EGF-R3 (5′-GACTGCTGCCACAACCAGT-3′) and EGF-R4 to amplify the wtEGF-R fragment. RT-PCR was performed for 4 min at 94°C, followed by 40 cycles of 45 s at 94°C, 30 s at 55°C, 2 min at 72°C, and one cycle for 10 min at 72°C.
Immunohistochemistry (IHC) analysis of tissues
IHC analysis of 5- to 8-μm frozen (in OCT) and fixed (acetone) or fixed (in phosphate-buffered formaldehyde) and paraffin-embedded tissue sections was performed on serial sections obtained at three different levels from each tissue sample. Sections were washed with PBS, blocked with 0.15% hydrogen peroxide in PBS, and then incubated overnight at 4°C with mAb L8A4 (10 μg/ml), mAb H11 (3 μg/ml), mAb 425 (10 μg/ml), or isotype-matched mouse control Ab in PBS. mAb L8A4 and H11 were used on both fixed and frozen sections, whereas mAb 425 was used on frozen sections only. After washing with PBS for 10 min, the immunohistochemical reaction was accomplished using a commercial avidin-biotin-peroxidase kit (Vectastain Elite; Vector Laboratories, Burlingame, CA) with diaminobenzidine as chromagen. Sections were washed, counterstained with H&E, dehydrated, and mounted according to standard procedures.
Binding of human Abs to EGF-RvIII protein
Binding of human Abs to isolated EGF-RvIII protein was determined in a double-determinant RIA. Wells of microtiter plates were coated with murine mAb 425 (10 μg/ml in 0.2 M bicarbonate buffer), blocked with PBS containing 3% BSA and 0.05% Tween 20, and washed with PBS containing 1% BSA and 0.05% Tween 20 (PBS/BSA). Plates were then incubated with EGF-RvIII protein (10 μg/ml in PBS/BSA) and washed, and the following Ab sources were added (triplicate determinations): positive control mAb L8A4, normal mouse IgG (both at 5–20 μg/ml in PBS/BSA), and patients’ sera or negative control sera from healthy donors (reciprocal serum dilutions of 5, 50, 500, and 5,000 in PBS/BSA). 125I-labeled mAb L8A4 was then added at ∼40% maximal Ag binding capacity (30,000 cpm/well in PBS/BSA). Inhibition of binding of 125I-labeled mAb L8A4 to EGF-RvIII by the various Ab preparations was calculated relative to that in control wells containing buffer instead of Ab. Binding of the various Ab preparations to wtEGF-R protein was determined as described above for EGF-RvIII Ab binding, except that 125I-labeled mAb NCL (20K cpm/well) was used as tracer. Because humans generally do not raise Abs to CEA (25), the CEA system was used as a negative control to determine the nonspecific inhibitory capacity of human serum in the inhibition RIA. The inhibition RIA with CEA was performed as described for the EGF-RvIII antigenic system, except that murine mAb PARLAM4 to CEA was used to coat the plates, CEA was used as the Ag source, and 125I-labeled polyclonal rabbit anti-CEA Abs (PAb) was used as the tracer (20,000 cpm/well).
Binding of human Abs to cell-expressed EGF-RvIII
EGF-RvIII-transfected NR6M cells (5 × 105 cells in 75 μl of PBS supplemented with 10% α-γ-globulinemic horse serum/well of the microtiter plate) were incubated with 50 μl of serum dilutions or mAb L8A4 as a positive control (1–20 μg/ml) for 2 h at room temperature. 125I-labeled mAb L8A4 was then added at ∼40% maximal Ag binding capacity (40,000 cpm/well in PBS/horse serum), and plates were incubated overnight at 4°C. The percent inhibition of binding of 125I-labeled mAb L8A4 to NR6M cells or negative control 9L cells was calculated relative to control wells containing buffer instead of sera.
Lymphocyte proliferation assay
This assay was performed as we have described previously (26). Briefly, PBMC were isolated by Ficoll/Hypaque density gradient centrifugation of heparinized blood and cryopreserved. Adherent monocytes (5 × 104/well of a 96-well, round-bottom plate; Corning, Corning, NY) were incubated in duplicate cultures for 8 h with the following preparations: purified EGF-RvIII or wtEGF-R protein (both at 10 μg/ml), EGF-RvIII or control peptides (25 μg/ml; both with β2-microglobulin (1 μg/ml)), or the peptides (25 μg/ml) in PLG microspheres (1 μg/ml). All preparations were performed in RPMI 1640 medium supplemented with 10% heat-inactivated human AB serum (Sigma-Aldrich, St. Louis, MO), 4 mM l-glutamine (Invitrogen Life Technologies, Grand Island, NY), 10 mM HEPES, and 5 × 10−2 mM 2-ME (Sigma-Aldrich). EGF-RvIII peptides were selected for each patient based on the patient’s HLA type. Patients’ PBMC were stimulated with a peptide(s) expressing binding motifs for the same patient’s HLA, if available. In the absence of a peptide matched with a patient’s HLA, the longest EGF-RvIII peptide (peptide 8–32) was used (see Table I). Wells were washed once, PBMC (105 cells/well) were added in RPMI 1640 medium, and cells were incubated in a humidified 5% CO2 incubator for 5 days. Duplicate cultures were restimulated with the same stimulants for an additional 5 days. Stimulation with PHA (Sigma-Aldrich; 1 μg/well) was used as a positive control. After incubation, cells were pulsed with [3H]thymidine (1 μCi/well) for ∼18 h. Data are expressed as the mean cpm (triplicate wells) of [3H]thymidine incorporation.
Lymphocyte phenotyping
CD4 and CD8 markers on proliferating lymphocytes were determined by indirect immunofluorescence assay using mouse anti-CD4 and CD8 mAbs and FITC-labeled goat anti-mouse IgG Ab as previously described (26).
Cytokine determinations
IFN-γ (Th1-type cytokine) and IL-4 (Th2-type cytokine) production by the PBMC was measured by RIA (26). Cell-free supernatants obtained from PBMC cultures 2 days after Ag stimulation were placed in Ab-coated wells (mAb 4F2 to IL-4; mAb B133.1.1 to IFN-γ), and binding of the cytokine to the mAb was determined using 125I-labeled mAbs specific for different determinants on the cytokines (mAb 5A4 to IL-4; mAb B133.5 to IFN-γ). The concentrations of IL-4 and IFN-γ in the PBMC supernatants were determined using respective recombinant cytokine standard preparations (Genzyme, Cambridge, MA). The sensitivity of the assays was 0.1–1 U of cytokine/ml.
Phenotyping of PBMC
PBMC were incubated with PE-labeled mAbs to lymphocyte markers (CD4 and CD8) or isotype-matched control mAb in PBS supplemented with 0.5% BSA (Sigma-Aldrich) for 30 min at 4°C. Specific mAb binding to the cells was detected using a cytofluorograph (Coulter, Hialeah, FL).
Statistical analysis
Differences between the means of experimental and control values obtained in the RIA and in the [3H]thymidine incorporation assay were analyzed by two-sided Student’s t test. Experimental and control values in the RIA are derived from the binding of serum to EGF-RvIII and CEA, respectively. Experimental and control values in the [3H]thymidine incorporation assay are derived from the proliferation of lymphocytes after incubation with EGF-RvIII protein or peptide vs control peptide or medium. Associations between various parameters (EGF-RvIII and wtEGF-R tumor expression; Ab to EGF-RvIII) determined in various assays (RT-PCR, IHC, and RIA) were analyzed for significance by two-sided Fisher’s exact test performed with either SPSS 11.0 (SPSS, Chicago, IL) or StatXact 6.0 (Cytel, Cambridge, MA) software.
Results
EGF-RvIII and wtEGF-R expression by breast cancer tissues
Eight of 15 breast cancer tissues tested expressed EGF-RvIII, as determined by RT-PCR (Table II). Eight of the 16 tissues tested showed EGF-RvIII expression by IHC, and seven of the eight tissues were positive by both methods (Table I and Fig. 1). The predicted 297- and 488-bp fragments characteristic for EGF-RvIII and wtEGF-R, respectively, were demonstrated by RT-PCR (results not shown). Results obtained in the two different assays (RT-PCR and IHC) correlated significantly (p = 0.0014, by two-sided Fisher’s exact test; Table III). For patient BR, tissue was positive by RT-PCR, but negative by IHC. This difference may rest in the difference in sensitivity of the two methods, lack of translation of RNA into protein, sampling of specimens for the two assays that is not representative of the tumor as a whole, and/or technical problems encountered with the tissue-staining method (10). One of three patients’ metastatic lesions (to regional lymph nodes) tested positive for EGF-RvIII by RT-PCR, and seven of 12 patients’ primary lesions were positive (Table II). By IHC, one of three metastatic and seven of 13 primary lesions were positive. Thus, there was no correlation between nodal status and EGF-RvIII expression in this small population of patients. Positive IHC staining of primary breast carcinoma tissues from patients KJ and EJ with mAb L8A4 and absence of staining with normal mouse IgG are shown in Fig. 1. Thus, ∼90% of the cells within these lesions specifically expressed the EGF-RvIII epitope defined by mAb L8A4. The lesions of the other eight tissues with EGF-RvIII expression by IHC showed between 10 and 90% of the cells positive (not shown). Nine of 15 tissues tested (60%) expressed wtEGF-R by RT-PCR (Table II). Seven of 16 tissues (44%) expressed wtEGF-R by IHC (Table I). Four samples (BD, RS, DM, and TF) expressed wtEGF-R protein, but not RNA (Table II). This was surprising in light of the high sensitivity of RT-PCR. Both lesions were very small, and the tissue samples used for RT-PCR may not be representative of the lesion as a whole. There was no significant (p = 0.14; Table III) association in wtEGF-R expression determined by RT-PCR and IHC. Coexpression of EGF-RvIII protein and wtEGF-R protein was found in six of 16 specimens (37%). Two patients (MC and PL) showed EGF-RvIII protein expression in the absence of wtEGF-R protein. Overall, there was a significant association between EGF-RvIII protein expression by IHC and wtEGF-R expression by IHC (p = 0.04; Table III).
Summary of patients’ tumor status and immune responsesa
| Patients Initials (age in years) . | HLA Type . | EGF-RvIII . | . | . | . | . | wtEGF-R . | . | . | . | |||||||
|---|---|---|---|---|---|---|---|---|---|---|---|---|---|---|---|---|---|
| . | . | Tumorbexpression . | . | Immune responsesc . | . | . | Tumorbexpression . | . | Immune responsesc . | . | |||||||
| . | . | RT-PCRd . | IHCe . | Humoral . | . | Cellular . | RT-PCRd . | IHCe . | Humoral . | Cellular . | |||||||
| . | . | . | . | Protein . | Cells . | . | . | . | . | . | |||||||
| DI (74) | A*02, B*07, 1401, Cw*07, 1505, DRb1*0101, 11, DQb1 *0301, 0501, DRb3*02 | + | + | + | + | − | + | + | − | − | |||||||
| KJ (51) | A*01, B*57, Cw*06, DRb1 *0701, 11, DQb1*0301, 0303, DRb3 *02, DRb4*01 | + | + | + | + | + | + | + | − | − | |||||||
| MC (71) | A*01, 03, B*15, 57, Cw*03, 06, DRb1*11, 1501, DQb1*0301, 06, DRb3*02, DRb5*01 | + | + | + | + | − | + | − | − | − | |||||||
| BD (48) | A*01, 03, B*07, 08 | +f | +f | + | − | − | − | + | − | − | |||||||
| PL (42) | A*01, 02, B*08, 44, Cw*0701, 1601, DRb1*03, 07, DQb1*02, DRb3*01, DRb4*01 | + | + | − | − | − | − | − | − | − | |||||||
| RS (66) | A*02, 09, B*44, Cw*05, 1601, DRb1*04, DQb1*03, DRb4*01 | + | + | − | − | − | − | + | − | − | |||||||
| BR (61) | A*01, 6601, B*5802, Cw*0602, 1801, DRb1*13, 1602, DQb1*0303, 05, DRb3*02, DRb5*02 | + | − | − | − | − | +/− | − | − | − | |||||||
| DM (66) | A*02, 3402, B*35, 53, Cw*0401, 0602, DRb1*03, 1503, DQb1*02, 0506, DRb3*02, DRb5*01 | + | + | − | − | + | − | + | − | − | |||||||
| TF (62) | A*01, 03, B*07, Cw*07, DRb1*0101, 1501, DQb1*0501, 06, DRb5*01 | − | − | + | + | + | − | + | − | − | |||||||
| CR (45) | A*02, 03, B*07, 44, Cw*0501, 0702, DRb1*14, 1501, DQb1*0503, 06, DRb3*02, DRb5*01 | − | − | − | − | − | + | − | − | − | |||||||
| FM (36) | A*0201, B*27, 40, Cw*0102, 0304, DRB1*0801, 1501, DQB1*04, 06, DRb5*01 | − | − | − | − | − | + | − | − | − | |||||||
| GI (70) | A*01, 24, B*07, 08, Cw*07, 0702, DRb1*03, 04, DQb1*02, 03, DRb3*01, BRb4*01 | −e | −e | − | − | − | − | − | − | − | |||||||
| DP (38) | A*01, B*08, Cw*0701, DRb1*03, 15, DQb1*02, 06, DRb3*01, DRb5*01 | −e | −e | − | − | − | + | − | − | − | |||||||
| GB (52) | A*0201, 02, 32, B*07, 35, Cw*04, 0702, DRb1*08, 11, DQb1*03, 04, DRb3*02 | − | − | − | − | − | + | − | − | − | |||||||
| EJ (59) | A*0202, 02, 03, B*15, 41 | NT | + | + | + | − | NT | + | − | − | |||||||
| KrJ (71) | A*01, 2501, B*18, 44, DRb1*14, 15, DQb1*0503, 06, DRb3*03, DRb5*01 | − | − | + | − | − | + | − | − | − | |||||||
| Patients Initials (age in years) . | HLA Type . | EGF-RvIII . | . | . | . | . | wtEGF-R . | . | . | . | |||||||
|---|---|---|---|---|---|---|---|---|---|---|---|---|---|---|---|---|---|
| . | . | Tumorbexpression . | . | Immune responsesc . | . | . | Tumorbexpression . | . | Immune responsesc . | . | |||||||
| . | . | RT-PCRd . | IHCe . | Humoral . | . | Cellular . | RT-PCRd . | IHCe . | Humoral . | Cellular . | |||||||
| . | . | . | . | Protein . | Cells . | . | . | . | . | . | |||||||
| DI (74) | A*02, B*07, 1401, Cw*07, 1505, DRb1*0101, 11, DQb1 *0301, 0501, DRb3*02 | + | + | + | + | − | + | + | − | − | |||||||
| KJ (51) | A*01, B*57, Cw*06, DRb1 *0701, 11, DQb1*0301, 0303, DRb3 *02, DRb4*01 | + | + | + | + | + | + | + | − | − | |||||||
| MC (71) | A*01, 03, B*15, 57, Cw*03, 06, DRb1*11, 1501, DQb1*0301, 06, DRb3*02, DRb5*01 | + | + | + | + | − | + | − | − | − | |||||||
| BD (48) | A*01, 03, B*07, 08 | +f | +f | + | − | − | − | + | − | − | |||||||
| PL (42) | A*01, 02, B*08, 44, Cw*0701, 1601, DRb1*03, 07, DQb1*02, DRb3*01, DRb4*01 | + | + | − | − | − | − | − | − | − | |||||||
| RS (66) | A*02, 09, B*44, Cw*05, 1601, DRb1*04, DQb1*03, DRb4*01 | + | + | − | − | − | − | + | − | − | |||||||
| BR (61) | A*01, 6601, B*5802, Cw*0602, 1801, DRb1*13, 1602, DQb1*0303, 05, DRb3*02, DRb5*02 | + | − | − | − | − | +/− | − | − | − | |||||||
| DM (66) | A*02, 3402, B*35, 53, Cw*0401, 0602, DRb1*03, 1503, DQb1*02, 0506, DRb3*02, DRb5*01 | + | + | − | − | + | − | + | − | − | |||||||
| TF (62) | A*01, 03, B*07, Cw*07, DRb1*0101, 1501, DQb1*0501, 06, DRb5*01 | − | − | + | + | + | − | + | − | − | |||||||
| CR (45) | A*02, 03, B*07, 44, Cw*0501, 0702, DRb1*14, 1501, DQb1*0503, 06, DRb3*02, DRb5*01 | − | − | − | − | − | + | − | − | − | |||||||
| FM (36) | A*0201, B*27, 40, Cw*0102, 0304, DRB1*0801, 1501, DQB1*04, 06, DRb5*01 | − | − | − | − | − | + | − | − | − | |||||||
| GI (70) | A*01, 24, B*07, 08, Cw*07, 0702, DRb1*03, 04, DQb1*02, 03, DRb3*01, BRb4*01 | −e | −e | − | − | − | − | − | − | − | |||||||
| DP (38) | A*01, B*08, Cw*0701, DRb1*03, 15, DQb1*02, 06, DRb3*01, DRb5*01 | −e | −e | − | − | − | + | − | − | − | |||||||
| GB (52) | A*0201, 02, 32, B*07, 35, Cw*04, 0702, DRb1*08, 11, DQb1*03, 04, DRb3*02 | − | − | − | − | − | + | − | − | − | |||||||
| EJ (59) | A*0202, 02, 03, B*15, 41 | NT | + | + | + | − | NT | + | − | − | |||||||
| KrJ (71) | A*01, 2501, B*18, 44, DRb1*14, 15, DQb1*0503, 06, DRb3*03, DRb5*01 | − | − | + | − | − | + | − | − | − | |||||||
+, Characteristic band (RT-PCR; wtEGF-R: 488 bp; EGF-RvIII: 297 bp) or strong specific staining (10–90% cells positive in nested areas) in lesions; significant (p < 0.05; t test) immune responses in comparison to controls. −, Negative RT-PCR or staining. Absence of significant immune responses. +/−, Weak, but specific, reaction. NT, Not tested because of the unavailability of sufficient amounts of tissue.
Primary tumor.
Humoral immune responses to EGF-RvIII protein or EGF-RvIII+ cells was tested in inhibition RIA (see Figs. 2–5). Cellular immune responses were determined in [3H]thymidine incorporation assay using EGF-RvIII protein or peptides as stimulants (see Fig. 6).
RT-PCR was performed on mRNA using primers amplifying wtEGF-R or EGF-RvIII.
Immunohistochemistry with mAb L8A4 to EGF-RvIII, mAb 425 or H11 to wtEGF-R or isotype-matched control Abs was performed on fixed sections (PL, RS, BR, DM, DP, GB, EJ, KrJ) or frozen sections (D1, KJ, MC, BD, TF, CR, FM, GI), using the ABC kit (Vectastain). mAb L8A4 and H11 were used on fixed and frozen sections, mAb 425 on frozen sections only.
Metastatic lesion.
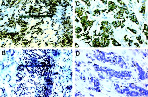
Expression of EGF-RvIII by primary breast carcinoma tissues. Sections of frozen breast carcinoma tissue derived from patient KJ (A and B) and fixed tissue derived from patient EJ (C and D) were incubated with murine mAb L8A4 (A and C) or control normal mouse IgG (B and D), followed by incubation with biotinylated goat anti-mouse IgG, avidin-peroxidase complex and substrate. Sections were counterstained with hematoxylin. Magnification: A and B, ×100; C and D, ×200.
Expression of EGF-RvIII by primary breast carcinoma tissues. Sections of frozen breast carcinoma tissue derived from patient KJ (A and B) and fixed tissue derived from patient EJ (C and D) were incubated with murine mAb L8A4 (A and C) or control normal mouse IgG (B and D), followed by incubation with biotinylated goat anti-mouse IgG, avidin-peroxidase complex and substrate. Sections were counterstained with hematoxylin. Magnification: A and B, ×100; C and D, ×200.
Statistical significances of the data presented in Table II a
| . | EGF-RvIII/RT-PCR . | EGF-RvIII/IHC . | Ab to EGF-RvIII Protein . | Ab to EGF-RvIII+ Cells . | wtEGF-R/RT-PCR . | wtEGF-R/IHC . |
|---|---|---|---|---|---|---|
| EGF-RvIII/RT-PCR | 0.0014 | 0.61 | 0.57 | 0.61 | 0.12 | |
| EGF-RvIII/IHC | 0.32 | 0.28 | 0.32 | 0.04 | ||
| Ab to EGF RvIII protein | 0.0048 | 1.00 | 0.13 | |||
| Ab to EGF-RvIII+ cells | 0.60 | 0.11 | ||||
| wtEGF-R/RT-PCR | 0.14 | |||||
| wtEGF-R/IHC |
| . | EGF-RvIII/RT-PCR . | EGF-RvIII/IHC . | Ab to EGF-RvIII Protein . | Ab to EGF-RvIII+ Cells . | wtEGF-R/RT-PCR . | wtEGF-R/IHC . |
|---|---|---|---|---|---|---|
| EGF-RvIII/RT-PCR | 0.0014 | 0.61 | 0.57 | 0.61 | 0.12 | |
| EGF-RvIII/IHC | 0.32 | 0.28 | 0.32 | 0.04 | ||
| Ab to EGF RvIII protein | 0.0048 | 1.00 | 0.13 | |||
| Ab to EGF-RvIII+ cells | 0.60 | 0.11 | ||||
| wtEGF-R/RT-PCR | 0.14 | |||||
| wtEGF-R/IHC |
Data were analyzed by two-sided Fisher’s exact test. Significances of correlations between two parameters were determined at p < 0.05 level. Values in bold show significant associations between two parameters.
One normal breast tissue expressed wtEGF-R by RT-PCR and IHC, but not EGF-RvIII (results not shown).
Patients’ humoral immune responses
Abs binding to recombinant EGF-RvIII protein.
Breast cancer patients’ sera were evaluated for the presence of Abs binding specifically to EGF-RvIII in double-determinant inhibition RIA that measures the inhibition of binding of mAb L8A4 to EGF-RvIII protein by the sera. As controls, binding of the sera to wtEGF-R and CEA was determined. Fig. 2 (A–G) shows EGF-RvIII-specific Ab responses detected in the sera of seven of 16 breast cancer patients. The Abs that bound to EGF-RvIII did not bind to wtEGF-R or CEA (Fig. 2, A–G). In positive control experiments, Abs to wtEGF-R or CEA bound to their respective Ag (Fig. 2,H). The sera of nine breast carcinoma patients did not bind to EGF-RvIII (Fig. 3 and Table II), nor did the sera of three healthy donors (Fig. 4). Patients TF and KJ had humoral immune responses despite EGF-RvIII-negative tumors (by both RT-PCR and IHC). The small pieces of tissues obtained from the lesions of these patients may not be representative of the tumor as a whole. There was no significant association between Ab responses to EGF-RvIII protein and EGF-RvIII tumor expression determined by IHC or RT-PCR (Table III).
Abs to recombinant EGF-RvIII proteins in sera of breast cancer patients. Sera from breast cancer patients (A–G) were tested for binding to EGF-RvIII by measuring the capacity of the sera to inhibit binding of 125I-labeled anti-EGF-RvIII mAb L8A4 to EGF-RvIII in RIA. Wells coated with 10 μg/ml anti-wtEGF-R mAb 425 were incubated first with 10 μg/ml purified EGF-RvIII protein and then with serum dilutions (A–G; or 1–20 μg/ml positive control mAb L8A4 (H)). 125I-labeled mAb L8A4 (30K cpm/well) was added, and the percent inhibition of binding of 125I-labeledmAb L8A4 to EGF-RvIII by sera or mAb L8A4 (positive control) was calculated relative to the buffer control. To measure binding of the sera to wtEGF-R, wells coated with mAb 425 were incubated with 10 μg/ml purified wtEGF-R protein, followed by the addition of serum dilutions (A–G) or 1–20 μg/ml positive control mAb NCL directed to wtEGF-R (H; positive control) and 20,000 cpm/well 125I-labeled mAb NCL. To measure binding of the sera to CEA, wells were coated with 10 μg/ml of the anti-CEA mAb PARLAM4, followed by sequential incubation with 10 μg/ml CEA, serum dilutions (A–G) or 1–20 μg/ml polyclonal Ab (PAb) to CEA (H; positive control), and 20,000 cpm/well 125I-labeled anti-CEA PAb. ∗, Values obtained in the EGF-RvIII system are significantly (p < 0.05, by two-sided Student’s t test) different from the control values obtained in the wtEGF-R or CEA systems.
Abs to recombinant EGF-RvIII proteins in sera of breast cancer patients. Sera from breast cancer patients (A–G) were tested for binding to EGF-RvIII by measuring the capacity of the sera to inhibit binding of 125I-labeled anti-EGF-RvIII mAb L8A4 to EGF-RvIII in RIA. Wells coated with 10 μg/ml anti-wtEGF-R mAb 425 were incubated first with 10 μg/ml purified EGF-RvIII protein and then with serum dilutions (A–G; or 1–20 μg/ml positive control mAb L8A4 (H)). 125I-labeled mAb L8A4 (30K cpm/well) was added, and the percent inhibition of binding of 125I-labeledmAb L8A4 to EGF-RvIII by sera or mAb L8A4 (positive control) was calculated relative to the buffer control. To measure binding of the sera to wtEGF-R, wells coated with mAb 425 were incubated with 10 μg/ml purified wtEGF-R protein, followed by the addition of serum dilutions (A–G) or 1–20 μg/ml positive control mAb NCL directed to wtEGF-R (H; positive control) and 20,000 cpm/well 125I-labeled mAb NCL. To measure binding of the sera to CEA, wells were coated with 10 μg/ml of the anti-CEA mAb PARLAM4, followed by sequential incubation with 10 μg/ml CEA, serum dilutions (A–G) or 1–20 μg/ml polyclonal Ab (PAb) to CEA (H; positive control), and 20,000 cpm/well 125I-labeled anti-CEA PAb. ∗, Values obtained in the EGF-RvIII system are significantly (p < 0.05, by two-sided Student’s t test) different from the control values obtained in the wtEGF-R or CEA systems.
Absence of binding of breast cancer patients’ sera to recombinant EGF-RvIII protein. Sera from breast cancer patients (A–I) were tested for binding to EGF-RvIII, wtEGF-R, or CEA as described in Fig. 2. As positive control inhibitors, mAb L8A4 (anti-EGF-RvIII), mAb NCL (anti-wtEGF-R), and polyclonal Ab (PAb; anti-CEA) were used as described in Fig. 2 (J). ∗, Values obtained with mAbs and PAb are significantly (p < 0.05, by two-sided Student’s t test) different from the buffer control values.
Absence of binding of breast cancer patients’ sera to recombinant EGF-RvIII protein. Sera from breast cancer patients (A–I) were tested for binding to EGF-RvIII, wtEGF-R, or CEA as described in Fig. 2. As positive control inhibitors, mAb L8A4 (anti-EGF-RvIII), mAb NCL (anti-wtEGF-R), and polyclonal Ab (PAb; anti-CEA) were used as described in Fig. 2 (J). ∗, Values obtained with mAbs and PAb are significantly (p < 0.05, by two-sided Student’s t test) different from the buffer control values.
Absence of healthy donors’ sera binding to recombinant EGF-RvIII protein. Sera from healthy donors (A–C; donors 07620, 07629, and 07630) were tested for binding to EGF-RvIII, wtEGF-R, or CEA as described in Fig. 2. As a positive control, inhibitors of mAb L8A4 (anti-EGF-RvIII), mAb NCL (anti-wtEGF-R), and PAb (anti-CEA) were used as described in Fig. 2 (D). ∗, Values obtained with mAbs and PAb are significantly (p < 0.05, by two-sided Student’s t test) different from the buffer control values.
Absence of healthy donors’ sera binding to recombinant EGF-RvIII protein. Sera from healthy donors (A–C; donors 07620, 07629, and 07630) were tested for binding to EGF-RvIII, wtEGF-R, or CEA as described in Fig. 2. As a positive control, inhibitors of mAb L8A4 (anti-EGF-RvIII), mAb NCL (anti-wtEGF-R), and PAb (anti-CEA) were used as described in Fig. 2 (D). ∗, Values obtained with mAbs and PAb are significantly (p < 0.05, by two-sided Student’s t test) different from the buffer control values.
Abs binding to cell-expressed EGF-RvIII.
We also tested whether patients’ sera specifically bound to EGF-RvIII-transfected NR6M cells in inhibition RIA. The Abs that bound to recombinant EGF-RvIII protein in seven patients (Fig. 2 and Table II) also bound to native, cell-expressed EGF-RvIII in five patients (Fig. 5,A and Table II). The higher sensitivity of the solid phase inhibition RIA compared with the cell inhibition RIA for two patients may rest in the increased number of target EGF-RvIII molecules per well in inhibition RIA. None of the patients without Abs to recombinant EGF-RvIII protein had Abs to native cell-bound EGF-RvIII (Fig. 5,B and Table II). Overall, there was a significant association between Ab response to EGF-RvIII protein and Ab response to EGF-RvIII-positive cells (p = 0.0048; Table III). However, there was no significant association between Ab responses to cell-expressed EGF-RvIII and EGF-RvIII expression by the patients’ tumors, determined by IHC or RT-PCR (Table III).
Binding of breast cancer patients’ sera to EGF-RvIII expressed by NR6M transfectants. EGF-RvIII-positive NR6M cells were incubated with serum dilutions or various concentrations of mAb L8A4 (positive control), followed by the addition of 125I-labeled mAb L8A4. The percent inhibition of binding of 125I-labeled mAb L8A4 by human or murine Abs was determined relative to buffer controls. A, Five patients with Abs to EGF-RvIII. B, Eleven patients without Abs to EGF-RvIII. ∗, Experimental values are significantly (p < 0.05, by two-sided Student’s t test) different from the buffer control values.
Binding of breast cancer patients’ sera to EGF-RvIII expressed by NR6M transfectants. EGF-RvIII-positive NR6M cells were incubated with serum dilutions or various concentrations of mAb L8A4 (positive control), followed by the addition of 125I-labeled mAb L8A4. The percent inhibition of binding of 125I-labeled mAb L8A4 by human or murine Abs was determined relative to buffer controls. A, Five patients with Abs to EGF-RvIII. B, Eleven patients without Abs to EGF-RvIII. ∗, Experimental values are significantly (p < 0.05, by two-sided Student’s t test) different from the buffer control values.
Patients’ lymphoproliferative responses
Lymphoproliferative responses of the 16 breast cancer patients to stimulation with EGF-RvIII protein, wtEGF-R protein, EGF-RvIII peptides (with β2-microglobulin or in PLG microspheres), or control peptides were determined in a [3H]thymidine incorporation assay (Fig. 6). The EGF-RvIII peptides were selected for PBMC stimulation based on the patient’s HLA type (Tables I and II; see also Materials and Methods). If a peptide matched with the patient’s HLA type was not available, the longest peptide (peptide 8–32) was used, because this peptide may contain additional HLA class II-restricted Th epitopes (in addition to DR1- and DR4-restricted epitopes; see Table I).
Proliferation of breast cancer patients’ PBMC to stimulation with EGF-RvIII protein. PBMC were stimulated for 10 days (TF) or 5 days (KJ and DM) with 10 μg/ml EGF-RvIII or wtEGF-R protein, 25 μg/ml EGF-RvIII peptide (patient DM, peptide 8–32; patients KJ and TF, peptide 24–32; see Table I for peptides) in the presence of 1 μg/ml β2-microglobulin, the EGF-RvIII peptides in PLG microspheres, or the control (co) peptide GEXXLAEKLN. PHA was used as a positive control stimulant. PBMC were then pulsed with [3H]thymidine, and [3H]thymidine incorporation was measured. Values with identical letters differ significantly (p < 0.05) from each other in two-sided Student’s t test.
Proliferation of breast cancer patients’ PBMC to stimulation with EGF-RvIII protein. PBMC were stimulated for 10 days (TF) or 5 days (KJ and DM) with 10 μg/ml EGF-RvIII or wtEGF-R protein, 25 μg/ml EGF-RvIII peptide (patient DM, peptide 8–32; patients KJ and TF, peptide 24–32; see Table I for peptides) in the presence of 1 μg/ml β2-microglobulin, the EGF-RvIII peptides in PLG microspheres, or the control (co) peptide GEXXLAEKLN. PHA was used as a positive control stimulant. PBMC were then pulsed with [3H]thymidine, and [3H]thymidine incorporation was measured. Values with identical letters differ significantly (p < 0.05) from each other in two-sided Student’s t test.
The PBMC from three of 16 patients, two (KJ and DM) with EGF-RvIII-positive lesions and one (TF) with an EGF-RvIII-negative lesion, demonstrated significant (p ≤ 0.05 compared with medium controls, by two-sided t test) and specific lymphoproliferative responses to stimulation with EGF-RvIII protein (all three patients) and, in addition, EGF-RvIII peptide in PLG microspheres (patients TF and DM), but not to stimulation with the control preparations (p > 0.05; Fig. 6). The lymphoproliferative responses observed in the three patients were not accompanied by significant changes in CD4+/CD8+ T cell ratios (results not shown). Proliferating lymphocytes from patient TF did not produce measurable amounts of IL-4 or IFN-γ. Both proliferating and nonproliferating lymphocytes from patient KJ produced low amounts (5–11 U/ml) of IFN-γ, which were unrelated to the proliferative activities of the lymphocytes (results not shown). Thus, two of the 16 patients (KJ and TF) had both humoral and cellular immune responses.
Patient TF had an EGF-RvIII-specific proliferative lymphocyte response (and also an Ab response; see Fig. 2) despite the fact that the patient’s tumor did not express the mutated epitope, as determined by RT-PCR and IHC. Our failure to detect the EGF-RvIII epitope in this patient’s tissue may be based on the use of a nonrepresentative small piece of tissue.
Thirteen other breast cancer patients did not show EGF-RvIII-specific lymphoproliferative responses, although their PBMC significantly (p ≤ 0.05) proliferated in response to PHA stimulation, emphasizing the patients’ general immunological responsiveness (not shown).
None of the three healthy donors demonstrated proliferative lymphocyte responses to stimulation with EGF-RvIII peptide or protein (results not shown).
Combining humoral and cellular immune responses to EGF-RvIII protein, there was an overall immune response rate of 50% in the patients.
Discussion
Mutated cellular proteins are preferentially expressed by tumor cells and not by normal cells. These tumor-specific mutated proteins have great potential for cancer therapy. Therapeutic approaches include immunologic targeting by vaccinations or drug targeting of mutated proteins. In the present study, the immunogenicity of EGF-RvIII has been evaluated in breast cancer patients with the goal being to provide the basis for active immunization of the patients against EGF-RvIII. The study was based on the premise that the demonstration of pre-existing immune responses to EGF-RvIII in breast cancer patients would suggest that these responses could be readily boosted by EGF-RvIII vaccines, rendering them more effective.
Immune responses to normal cellular proteins also expressed by tumor cells have been demonstrated in cancer patients (27, 28, 29, 30, 31, 32). This is a surprising phenomenon given the usual immunological tolerance to normal tissue Ags. To our knowledge, only three mutated proteins, i.e., mutated Bcr-Abl, p21ras, and p53 have been shown to induce Abs in cancer patients (33, 34, 35). Our study provides the fourth example of Abs developed against mutated proteins by cancer patients. Recently, T cells (helper and CTLs) against mutated cancer-associated proteins have been demonstrated (36, 37, 38, 39). However, these mutated epitopes are usually individual-specific; therefore, they do not provide immunotherapeutic targets for a larger population of patients. In contrast, EGF-RvIII is expressed by 53% (Table II) or 72% (11) of breast carcinoma tissues, as determined by RT-PCR, and by 27% (5), 50% (Table II), or 58% (11) of the tissues, as determined by IHC. There was a statistically significant correlation between EGF-RvIII expression determined by RT-PCR vs IHC in 16 patients’ tumor tissues (Table III). Up to 90% of the cells within a lesion express the mutated epitope using IHC method.
There was a significant association between EGF-RvIII and wtEGF-R protein expression in patients’ tumors (Table III). These results are in agreement with another study (11) that found wtEGF-R and EGF-RvIII protein coexpression in seven of 15 (47%) breast carcinoma lesions. In that study 20% (in our study 12%) of the lesions expressed EGF-RvIII protein, but not wtEGF-R protein. This finding may reflect the lower sensitivity of the IHC assay for detection of wtEGF-R compared with EGF-RvIII. Alternatively, it is possible that both genomic copies of EGF-R are mutated, which may explain why some lesions express the EGF-RvIII protein, but not the wtEGF-R protein.
In this study, a novel inhibition RIA that specifically measures humoral immune responses to EGF-RvIII, but not to wtEGF-R, was developed. This assay measures the binding of serum Abs to the mutated epitope on the recombinant protein or NIH-3T3 cells transfected with EGF-RvIII cDNA. The transfected cells were used because tumor cells lose EGF-RvIII expression upon in vitro culture (10). EGF-RvIII protein-specific Abs were detected in the sera of 7 of 16 (44%) breast cancer patients. These Abs did not bind to wtEGF-R or CEA, and sera from healthy individuals did not bind to EGF-RvIII. To our knowledge, this is the first demonstration of EGF-RvIII-specific Ab responses in cancer patients.
Five of eight patients with EGF-RvIII-positive tumors determined by IHC demonstrated significant Ab responses specific for the mutation in the protein, whereas only two of the eight patients in the IHC-negative group demonstrated specific Ab responses. Four of eight patients with EGF-RvIII protein expression by tumors demonstrated significant Ab responses to cell-bound EGF-RvIII, whereas only one of the eight patients without EGF-R protein expression by tumors developed Ab to cell-bound EGF-RvIII. However, statistical analyses of the data did not reveal a significant correlation between EGF-RvIII expression by the patients’ tumors (RT-PCR or IHC) and patients’ Ab responses to EGF-RvIII protein or EGF-RvIII-positive cells (Table III) in the 16 patients, presumably because of the small number of patients included in the study, because tumor samples are not representative for the tumor as a whole, and/or because of low immunogenicity of EGF-RvIII expressed by the tumors in vivo (presumably due to low tumor expression of the Ag). Nevertheless, our data clearly show that breast cancer patients mount specific Ab responses to EGF-RvIII. The validity of the Ab responses to EGF-RvIII is emphasized by the significant correlation between Ab response to EGF-RvIII protein vs EGF-RvIII-positive cells (Table III).
Three of 16 patients had EGF-RvIII-specific lymphoproliferative responses after stimulation of the lymphocytes with EGF-RvIII protein (three patients) or protein and peptide/PLG (two patients). It is unclear which T cell phenotype (CD4+ or CD8+) or cytokine was involved in lymphocyte proliferation. Two of the three patients also had specific humoral immune responses to EGF-RvIII recombinant protein and EGF-RvIII-positive cells. Thus, five patients had developed Abs to EGF-RvIII in the absence of measurable lymphoproliferative responses. It is possible that these humoral immune responses are T cell-independent and of the IgM isotype. The inhibition RIA does not allow Ig isotype determination, and RIA or ELISA with EGF-RvIII as the target showed high nonspecific serum binding (not shown).
Notably, EGF-RvIII-specific immune responses (humoral and cellular) were detectable in patients up to 44 mo after surgical removal of the primary lesion (not shown). This suggests that the proliferating lymphocytes are memory T cells. Tumor Ag cross-presentation by APC may have induced memory T cells in the patients in vivo (40), whereas optimal induction of cytolytic effector T cells may require direct Ag presentation by the tumor cells (41). However, cytolytic effector T lymphocyte responses against EGF-RvIII-positive breast cancer cells could not be tested in the patients with lymphoproliferative responses, because autologous tumor cell lines were not available; furthermore, tumors generally lose EGF-RvIII expression upon in vitro culture (10).
Our study suggests that the immune responses developed to EGF-RvIII by breast cancer patients were elicited by EGF-RvIII expressed by the patients’ tumors (because normal tissues do not express EGF-RvIII), and that these responses may be readily boosted by EGF-RvIII vaccines, thereby increasing the effectiveness of these responses. Thus, patients with pre-existing immunity to EGF-RvIII are preferred candidates for receiving EGF-RvIII vaccines, such as peptides or anti-idiotypic Abs mimicking the mutated epitope. An EGF-RvIII peptide spanning the mutated epitope has been shown to induce protective immunity against EGF-RvIII-transfected fibroblasts (13) or melanoma cells (14) in mice. Furthermore, anti-idiotypic Abs mimicking EGF-RvIII have demonstrated vaccine effects against EGF-RvIII-positive melanoma cells in mice (15). Because the vaccines were effective in mice when given before tumor challenge in the absence of EGF-RvIII-specific immunity, it might be possible to vaccinate patients against EGF-RvIII who did not respond immunologically to EGF-RvIII expressed by their tumors.
There is a clear need for the development of breast carcinoma-specific vaccines that induce specific humoral and cellular immunity. Breast carcinoma patients have been vaccinated with carbohydrate Ags, whole tumor cell extract, HER-2/neu (Erb B2), and Muc-1 peptides (42, 43, 44, 45). However, carbohydrates induce humoral, but not cellular, immunity. Because both arms of the immune system play an important role in the control of tumor growth (12), tumor vaccines ideally should induce both humoral and cellular immunities. HER-2/neu peptides induced peptide-specific CTL in breast cancer patients, but the CTL failed to lyse HER-2/neu-positive tumor cells (44), and a formulation of Muc-1 vaccine capable of inducing Th cell responses is probably needed to induce and maintain adequate levels of CTL and IgG immunity (43).
The current study suggests the potential usefulness of EGF-RvIII vaccines for inducing highly specific immunity in breast cancer patients. Furthermore, a randomized prospective study with a larger number of breast cancer patients and adequate observation periods, taking into consideration tumor stage, is needed to determine whether patients’ immune responses to EGF-RvIII have prognostic value and can predict clinical outcome.
Acknowledgements
We thank Jiri Kalabis and John Lininger (The Wistar Institute) for initial evaluation of immunohistochemical staining of breast cancer tissues.
Footnotes
The costs of publication of this article were defrayed in part by the payment of page charges. This article must therefore be hereby marked advertisement in accordance with 18 U.S.C. Section 1734 solely to indicate this fact.
This work was supported by U.S. Department of Defense Grant DAMD17-96-1-6237, Grants CA10815 and CA90748 from the National Institutes of Health, and the Commonwealth Universal Research Enhancement Program, Pennsylvania Department of Health.
Abbreviations used in this paper: EGF-R, epidermal growth factor receptor; CEA, carcinoembryonic Ag; IHC, immunohistochemistry; PLG, poly-(d,l-lactide-co-glycolide); wt, wild type.





![FIGURE 6. Proliferation of breast cancer patients’ PBMC to stimulation with EGF-RvIII protein. PBMC were stimulated for 10 days (TF) or 5 days (KJ and DM) with 10 μg/ml EGF-RvIII or wtEGF-R protein, 25 μg/ml EGF-RvIII peptide (patient DM, peptide 8–32; patients KJ and TF, peptide 24–32; see Table I for peptides) in the presence of 1 μg/ml β2-microglobulin, the EGF-RvIII peptides in PLG microspheres, or the control (co) peptide GEXXLAEKLN. PHA was used as a positive control stimulant. PBMC were then pulsed with [3H]thymidine, and [3H]thymidine incorporation was measured. Values with identical letters differ significantly (p < 0.05) from each other in two-sided Student’s t test.](https://aai.silverchair-cdn.com/aai/content_public/journal/jimmunol/173/10/10.4049_jimmunol.173.10.6472/5/m_zim0220483920006.jpeg?Expires=1708472954&Signature=3bmv59d7cJj6kYkE8v1zfA6LDA6WXSMTCW2ryE0CCDGIpzImuQ1ghr~Cjt6We5J8HdzZ-1x5vnHan~gRGNlILB6kpDzsg8XMMz3jlWH77ML~14Y02podNcUO3ljdMdJI7g6ZRsuXvw9UZoUZn707qQWMEf6liMD~5GWISRt-51G~8kbwmhCgS5xmMn1MJhu133NTweBb8Q-zhGd35MisH6fbJGlg4Z7y3NS2d5xhHDSZWY9UL3DzMtQGW7~ruWBwgeGObv6mvrvehf8hGjyEVu58oFEBIAz~pb~JYboMOYLeO-G-hEG5K-bXYPAJVFaWESJgEYFwbjJ9k5THhl-ZjQ__&Key-Pair-Id=APKAIE5G5CRDK6RD3PGA)