Abstract
The host immune response plays a critical role in determining disease manifestations of chronic infections. Inadequate immune response may fail to control infection, although in other cases the specific immune response may be the cause of tissue damage and disease. The majority of patients with chronic infections are infected by more than one organism yet the interaction between multiple active infections is not known, nor is the impact on disease outcome clear. Using the BALB/c strain of mice, we show that Toxoplasma gondii infection in a host infected with Helicobacter felis alters the natural outcome of T. gondii infection, allowing uncontrolled tachyzoite replication and severe organ damage. Survival rates decrease from 95% in T. gondii infection alone to 50% in dual-infected mice. In addition, infection with T. gondii alters the specific H. felis immune response, converting a previously resistant host to a susceptible phenotype. Gastric mucosal IFN-γ and IL-12 were significantly elevated and IL-10 substantially reduced in dual-infected mice. These changes were associated with severe gastric mucosal inflammation, parietal cell loss, atrophy, and metaplastic cell changes. These data demonstrate the profound interactions between the immune response to unrelated organisms, and suggest these types of interactions my impact clinical disease.
Chronic infections are the cause of considerable morbidity and mortality. Unlike acute infections, in which the “one microbe-one disease” concept can be applied, disease caused by chronic infectious organisms more likely represent interactions between the infecting organism(s) and a multitude of host and environmental factors including interaction with other infectious agents. Using a mouse model of infection we examined the interaction between Helicobacter felis and Toxoplasma gondii: two ubiquitous organisms that cause a spectrum of clinical disease.
Helicobacter pylori is a Gram-negative spiral bacteria that infects over half of the world population (1) and is the leading cause of gastric adenocarcinoma. The host immune response is not able to eliminate the bacterium, and infection persists for the life of the host, setting up a situation whereby the gastric mucosa, which is normally devoid of inflammatory cells, becomes chronically inflamed (reviewed in Ref. 2). Cytokines present within the gastric mucosa are thought to determine the type and severity of damage. Neither a Th1 nor Th2 response eliminates the bacterium, however the two responses are associated with very different outcomes in terms of gastric mucosal disease. A Th1 cytokine pattern is associated with parietal cell loss, atrophy, metaplasia, dysplasia, and progression to adenocarcinoma whereas a Th2 pattern is associated with a relative lack of architectural alterations and cell loss, and there is no progression of disease (3, 4, 5, 6). Although host genetics certainly play a role in determining the direction and vigor of the immune response, infections with other organisms that augment or suppress the Th1 response may potentially exacerbate or reduce disease severity, respectively. The “African enigma” (high rates of infection and low gastric cancer rates) has been explained in part by modification of the immune response by concurrent helminth infection (7), which effects a “switch” in Th1/Th2 polarity and confers a degree of protection. In contrast to the protective effects of helminth infection, we reasoned that chronic infections that evoke a predominant Th1 response (such as T. gondii) would modulate the immune response to accelerate Helicobacter disease.
Toxoplasmosis is caused by the obligate intracellular protozoan parasite T. gondii. Infection is common in children and young adults and infection rates range from 10% to over 90% dependent upon many factors including climate, dietary habits, and animal exposure. T. gondii induces a strong IFN-γ response that limits the growth of parasites in peripheral tissues, and directs the transformation of parasites from the tachyzoite stage into dormant cysts. Dormant cysts are kept quiescent in chronic latent infection by a continued immune response (8). Impairment of this specific cell-mediated response, as seen in immunocompromised patients, leads to a more aggressive acute infection or in the case of latent infection, reactivation of dormant cysts and reemergence of acute disease (9). In the absence of overt immunosuppression, it is not clear what factors if any influence the outcome of acute or chronic T. gondii infection. Although population based studies are sparse, there appears to be a positive correlation between T. gondii Ab production and gastric cancer (10, 11, 12, 13) suggesting that T. gondii infection may influence the clinical outcome of Helicobacter infection.
This study was initiated to examine the interaction between T. gondii and H. felis infection using the BALB/c mouse, a strain resistant to disease caused by both organisms. Coinfection with H. felis significantly blunted the IFN-γ response to T. gondii, allowing considerable tachyzoite replication, tissue damage, and increased mortality. Additionally, long-term coinfection leads to a prominent H. felis-specific Th1 response, blunting of the H. felis-specific Th2 response and significant gastric mucosal damage. Collectively, these findings point to a dynamic interaction between immune responses to seemingly unrelated organisms with significant impact on disease outcomes.
Materials and Methods
Animals
Approval was obtained from the Institutional Animal Care and Use Committee of the University of Massachusetts Medical School (Worcester, MA) before initiation of the study. Six-week-old male BALB/c mice that were viral Ab-free, parasite-free, and bacterial pathogen-free, inclusive of Helicobacter species, were purchased from The Jackson Laboratory (Bar Harbor, ME) and housed in microisolator cages, fed standard chow, and allowed free access to water.
H. felis and T. gondii infection
The 76K strain of T. gondii was maintained by continuous oral passage of cysts in female C57L/J mice. After 2 mo of infection, mice were euthanized, brains removed, and cysts counted. To induce T. gondii infection, 100 T. gondii cysts suspended in 250 μl PBS were given by oral gavage. H. felis (strain 49179) was obtained from the American Type Culture Collection (Rockville, MD) and grown as recommended. Bacteria were enumerated, diluted with culture medium, and 5 × 107 CFU in 500 μl total volume was given by oral gavage three times, at 2-day intervals. For the effects of chronic Helicobacter infection, mice were infected with H. felis 20 wk before infection with T. gondii. For acute Helicobacter infection, mice were first infected with T. gondii, and on days 5, 7, and 9 postinfection (to coincide with the maximum IFN-γ levels induced by T. gondii), mice were infected with H. felis. Control mice were infected with T. gondii alone, H. felis alone, or mock-infected with vehicle alone. Mice were euthanized before predetermined time points if they became moribund or showed evidence of severe dehydration or distress.
Serum IFN-γ determination
Blood was collected before euthanasia and immediately spun; aliquots of serum frozen at −80°C. IFN-γ ELISA detection kit (Pierce Endogen, Rockford, IL) was used according to manufacture’s protocol. Samples were run in duplicate, compared with a standard curve generated with known values, and reported as the mean ± SD for each group.
ELISA for IgG1 and IgG2a Abs against H. felis
The 96-well plates were coated overnight at 4°C with 100 μl of a 10 μg/ml H. felis protein in carbonate buffer (pH 9.6) as previously described (7). The blocked washed plates were incubated for 1.5 h at room temperature with diluted serum samples in triplicate. Biotinylated monoclonal secondary Abs produced by clones G1-6.5 and R19-15 (BD Pharmingen, San Diego, CA) for detecting mouse IgG1 and IgG2a, respectively, were used. Incubation with streptavidin peroxidase (Sigma-Aldrich, St. Louis, MO) was followed by ABTS substrate (Kirkegaard & Perry Laboratories, Gaithersburg, MD) for color development. Absorbance at wavelength 405 nm was recorded on an ELISA plate reader (DynatechMR7000; Dynatech Laboratories, Chantilly, VA) and reported at a sample dilution of 1/100.
ELISA for anti-T. gondii IgG-total, and IgG1 and IgG2a isotypes
Sera from mice were tested for T. gondii-specific IgG and IgG subtypes as previously described (14). Briefly, microwell plates were coated with T. gondii tachyzoites (5 × 104 parasites per well), dried overnight then blocked with PBS-BSA 4% at 37°C for 1 h. Serial dilutions of the sera (1/200 to 1/512,000 for total IgG and 1/1000 to 1/1,024,000 for isotype analysis) were incubated for 1 h at 37°C followed by incubation with anti-mouse IgG conjugated to alkaline phosphatase (1/1000 dilution; Sigma-Aldrich) or anti-mouse IgG1 or IgG2a conjugated with HRP (1/8000 dilution; Southern Biotechnology Associates, Birmingham, AL) for 1 h at 37°C and detected by p-nitrophenyl phosphate or tetramethylbenzidine substrate (Sigma-Aldrich), respectively. OD was measured at 450 nm with an ELISA plate reader (Bio-Rad, Hercules, CA). The Ab titer for each sample was calculated as described by Bonenfant et al. (15) and expressed as the reciprocal of the highest dilution for which the absorbance was 2.5 times greater than the absorbance of control sera at the same dilution. Results are given as the means of log2 titer ± SD.
Necropsy and histology
Mice were euthanized, the stomach removed, opened longitudinally along the greater curvature, and gently washed with PBS. Strips of gastric tissue along the lesser curvature from the squamocolumnar junction through the pylorus were taken, fixed in 10% neutral buffered formalin for 4 h, processed by standard methods, embedded in paraffin, cut into 5-μm sections, stained with H&E, and examined for inflammation and architectural distortion. Gastrointestinal lesion scoring criteria used were as follows: Inflammation 0: Normal; 1: Small multifocal leukocyte accumulations in mucosa; 2: Coalescing mucosal inflammation; early submucosal extension; 3: Coalescing mucosal inflammation with prominent multifocal submucosal extension ± follicle formation; 4: Severe diffuse inflammation of mucosa, submucosa, with or without deeper layers. Hyperplasia 0: Normal; 1: one and one-half times normal thickness; 2: two times normal thickness with mitotic figures one-third way up to surface; 3: three times normal thickness with mitotic figures half way up to surface; 4: four times normal thickness or greater with mitotic figures greater than half way up to the surface. Parietal cell loss and mucous cell hypertrophy and metaplasia 0: no substantial alterations; 1: <5% alteration; 2: 25–50% alteration; 3: 50–75% alteration; 4: >75% alteration.
Quantitative analysis of H. felis colonization
A 2 mm × 2 mm piece of gastric mucosa taken at the fundus/antral border was snap frozen at the time of necropsy. All samples were processed together as follows: DNA was extracted using High Pure PCR Template Preparation kit (Roche Molecular Biochemicals, Indianapolis, IN) according to manufacture’s protocol. The 2 μl of extracted DNA was used for RealTime PCR (SmartCycler; Cepheid, Sunnyvale, CA) using QuantiTect SYBR Green PCR kit (Qiagen, Valencia, CA). Standards were made by sequential 10-fold dilutions of purified H. felis DNA producing a range from 500,000 to 5 copies per reaction. This is based on the premise that 2 Fg of H. felis chromosomal DNA is equivalent to 1 copy of the H. felis genome. Each sample was analyzed in triplicate. Primers sequences for a 225 fragment of the flaB gene were as follows: 5′-TTCGATTGGTCCTACAGGCTCAGA-3′ and 5′-TTCTTGTTGATGACATTGACCAACGCA-3′. Annealing temperature was 55°C.
Real-time PCR of gastric mucosal cytokines
Total RNA was extracted from the fundus of the stomach using RNAeasy kit (Qiagen). A 5 μg of total RNA was DNase treated using RNase-Free DNase set (Qiagen) and reverse transcribed using OmniScript RT kit (Qiagen). A total of 2 μl of cDNA was used for RealTime PCR (SmartCycler; Cepheid) using QuantiTect SYBR Green PCR kit (Qiagen) and results analyzed using Relative Quantification with the 2−ΔΔCt method (16). GAPDH was used as the internal control. Primers were designed using DNASTAR software (Madison, WI).
IFN-γ 5′-CATGGCTGTTTCTGGCTGTTACTG-3′, 5′-GTTGCTGATGGCCTG ATTGTCTTT-3′. Annealing temperature was 54.5°C and product size 226 bp. IL-12; 5′-CTGCCTGCCCCCACAGAAGA-3′, 5′-GCGCAGAGTCTCGCCATTATG A-3′. Annealing temperature was 57°C and product size 208 bp. IL-1β; 5′-CAGGATGAGGACATGAGCACC-3′, 5′-CTCTGCAGACTCAAACTCCAC-3′. Annealing temperature was 60°C, product size 446 bp. IL-4; 5′-ATCGGCATTTTGAACGAGGTCA-3′, 5′-CATCGAAAAGCCCGAAAGAGTCT-3′. Annealing temperature was 56°C and product size 221 bp. IL-10; 5′-CCTAGAGCTGCGGACTGCCTTCA-3′, 5′-CAGCCGCATCCTGAGGGT CTTC-3′. Annealing temperature was 58°C and product size 247 bp. GAPDH; 5′-GACATCAAGAAGGTGGTGAAGC-3′, 5′-GTCCACCACCCTGTTGCT GTAG-3′. Annealing temperature was 57°C and product size 210 bp.
Quantification of splenic T. gondii tachyzoite DNA
One-half of each spleen was snap frozen at the time of necropsy and all samples processed together. A 5 μl of genomic DNA was used for RealTime PCR (SmartCycler; Cepheid) using QuantiTect SYBR Green PCR kit (Qiagen) according to manufacturers directions. Results were analyzed using relative quantification with 2−ΔΔCt method (16) using GAPDH as the internal control. Primers amplifying a 183 bp fragment of the T. gondii B1 gene were as follows: 5′-CATTCTTGTGCTGCCTCCTCTCAT-3′, 5′-AGCGGCAGCGTCTCTTCCTCTTT-3′ with annealing temperature at 57°C. The other half of the spleen was fixed in 10% buffered formalin and processed as previously described. T. gondii tachyzoites were enumerated in spleen sections stained with H&E.
Statistical analysis
Survival after T. gondii/H. felis infection is shown using the Kaplan-Meier curve. Data for serum IFN-γ, T. gondii gene expression, tachyzoite quantitation, and H. felis copy number are reported as the mean ± 1 SD.
Results for T. gondii Ab response are given as the mean of log2 titer ± SD. H. felis IgG1 and IgG2a are reported as a mean ± 1 SE and compared using the Student t test. A value of p < 0.05 was considered statistically significant for differences between groups. Pathology data are compared using the Mann-Whitney analysis of nonparametric data and considered significant at a value of p < 0.05.
Results
BALB/c mice infected with H. felis had higher mortality when challenged with T. gondii
The BALB/c strain of mice is easily infected with both T. gondii and H. felis, but it is considered a resistant host, as it does not develop clinical disease with either organism (17, 18). Control mice and mice infected with H. felis alone did not differ in weight, activity, or general well being at any time point of the experiment and there were no mortalities among mice within these groups. Only one mouse infected with T. gondii alone (n = 20) died on day 11; the remainder did not develop distress or evident disease. In sharp contrast, mice coinfected with H. felis and T. gondii became acutely ill as early as day 3 after T. gondii infection. Mice with established H. felis infection (n = 20) 20 wk before T. gondii infection developed signs of dehydration, bloody stool, huddling, and decreased activity with 50% of the mice dying between day 7 and day 15. Of those that survived, recovery was evident by day 17, after which all remained well and without distress for the duration of the experiment. To assess the effects of acute H. felis infection, mice were infected with T. gondii first, and on days 5, 7, and 9 (the time of peak IFN-γ response to T. gondii) were infected with H. felis. Mortality in this group was less than in the chronically infected group, but substantially higher than T. gondii alone, with 25% mortality occurring between day 7 and day 11 (Fig. 1 A). These mice appeared clinically similar to the T. gondii and chronically infected H. felis mice, although less severely affected, with dehydration, decreased activity, and huddling. There was complete recovery of survivors by day 17.
Concurrent Helicobacter infection blunts the immune response to T. gondii and increases T. gondii related mortality. A, Kaplan-Meier survival curves after T. gondii challenge in mice infected with H. felis or sham infected. Twenty mice in each group were followed for 20 wk after T. gondii infection. The experiment was repeated a second time (with 10 mice each) with similar results. Control (▴), H. felis (▪), T. gondii (•), T. gondii + acute H. felis (▾) infection, T. gondii + chronic H. felis (♦) infection. B, In a second cohort of mice, serum IFN-γ levels were determined by ELISA at 3, 11, and 15 days post T. gondii infection (n = 5 for each group). Data from control mice and H. felis-infected mice were below the level of detection and data from these groups combined. After day 15, serum IFN-γ was below the level of detection in all groups. Results are reported as the mean ± 1 SD. The experiment was repeated a second time with similar results.
Concurrent Helicobacter infection blunts the immune response to T. gondii and increases T. gondii related mortality. A, Kaplan-Meier survival curves after T. gondii challenge in mice infected with H. felis or sham infected. Twenty mice in each group were followed for 20 wk after T. gondii infection. The experiment was repeated a second time (with 10 mice each) with similar results. Control (▴), H. felis (▪), T. gondii (•), T. gondii + acute H. felis (▾) infection, T. gondii + chronic H. felis (♦) infection. B, In a second cohort of mice, serum IFN-γ levels were determined by ELISA at 3, 11, and 15 days post T. gondii infection (n = 5 for each group). Data from control mice and H. felis-infected mice were below the level of detection and data from these groups combined. After day 15, serum IFN-γ was below the level of detection in all groups. Results are reported as the mean ± 1 SD. The experiment was repeated a second time with similar results.
Concomitant H. felis infection causes a blunted IFN-γ response to T. gondii and higher parasite loads
Host susceptibility to T. gondii infection is determined by the vigor of the immune response. Too strong an IFN-γ response induces a septic shock-like picture whereas an inadequate response allows tachyzoite replication and widespread tissue damage. BALB/c mice normally respond with modest IFN-γ induction; adequate to control tachyzoite replication yet low enough to avoid systemic complications. Control mice and those infected with H. felis alone did not have detectable peripheral IFN-γ levels (Fig. 1 B). With T. gondii infection alone, peripheral blood IFN-γ levels peaked between days 3 and 11 and steadily declined thereafter to below the level of detection by 4 wk. Mice that were coinfected with H. felis and T. gondii had significantly lower IFN-γ levels when compared with mice infected with T. gondii alone and IFN-γ was most pronounced in mice that had a chronic H. felis infection at the time of T. gondii challenge. In the surviving mice, IFN-γ levels steadily declined becoming undetectable after 4 wk and remained undetectable for the duration of the study in all groups.
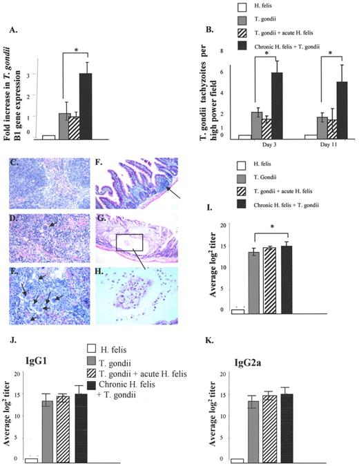
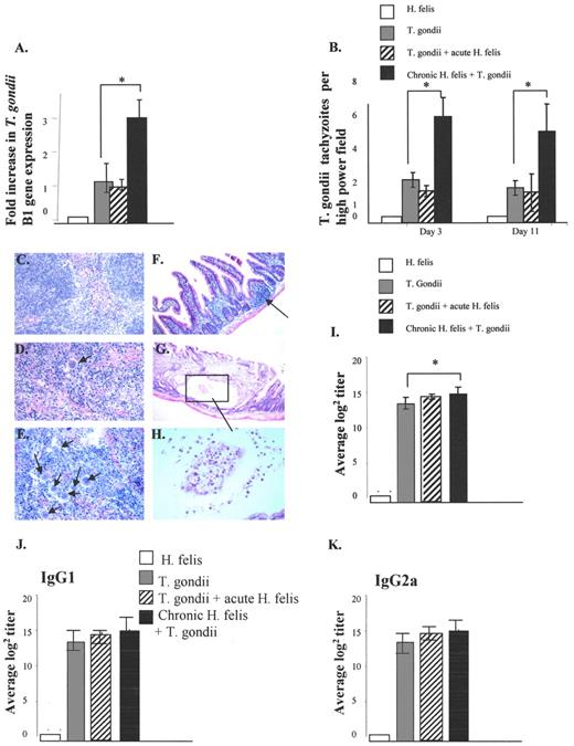
We next evaluated whether lower IFN-γ levels were associated with higher parasite replication, by examining the spleen parasite load in mice days 3 or 11 after infection. Control mice and mice infected with H. felis alone had undetectable T. gondii B1 gene expression, and no visible tachyzoites on H&E stained sections (Fig. 2,A–C). Mice infected with T. gondii alone had moderate B1 gene expression in the spleen and occasional tachyzoites visible on histological section (Fig. 2, A, B, and D). In sharp contrast, mice that were chronically infected with H. felis before T. gondii challenge had a 3-fold increase in T. gondii B1 gene expression (Fig. 2,A) and grossly visible tachyzoites in splenic tissue (Fig. 2,E) accompanied by areas of infarction and necrosis. The small bowel of control mice and of mice infected with H. felis alone was unremarkable. Examination of the distal small bowel of T. gondii infected mice was grossly similar to control mice, with the exception of occasional prominent elevations on the serosal surface consistent with enlarged lymphoid aggregates. Gross examination of the luminal surface was within normal limits. Microscopically there was mild to moderate collections of acute inflammatory cells within the lamina propria of the ileum, preservation of architecture, and no visible tachyzoites (Fig. 2,F). In sharp contrast, the small bowel of dual-infected mice had areas of gross necrosis, hemorrhage, and edema. Necropsy on those that were moribund or had died showed evidence of bowel perforation with peritonitis evidenced by free fluid in the peritoneal cavity, adherence of bowel loops to each other, and free fecal matter in the peritoneal cavity. Microscopically, there was marked inflammation of the lamina propria, villus blunting, and architectural distortion. Visible tachyzoites were seen proliferating within cystic lesions (Fig. 2, G and H). At 20 wk of T. gondii infection, the total T. gondii-specific serum IgG Ab response was significantly higher in those mice that had an established H. felis immune response before T. gondii challenge compared with those mice infected with T. gondii alone (Fig. 2,I), however there were no differences in the ratio of IgG1 to IgG2a when subgroup analysis was performed (Fig. 2, J and K)
Mice with concurrent H. felis infection have higher parasite loads and tissue damage with T. gondii infection. A, T. gondii B1 gene expression in the spleen, normalized to GAPDH levels, was determined 3 days after T. gondii infection (n = 5 in each group). Error bars represent 1 SD; ∗, p < 0.02. B, Average number of spleen tachyzoites per ×400 field at day 3 and day 11. Columns represent the average number of tachyzoites counted in 20 fields from two consecutive sections of spleen in each of five mice per group. Error bars represent 1 SD; ∗, p < 0.02. H&E stained spleen sections. C, normal architecture in H. felis-infected mice. D, T. gondii-infected mice have occasional tachyzoites visible (arrows). E, Dual-infected mice have multiple clusters of tachyzoites visible (arrows) with distortion of the splenic architecture. F, Ileal section from a mouse infected with T. gondii alone. Architecture is preserved and villi are intact. There is a mild inflammatory infiltrate with small intramucosal lymphocytic aggregates (arrow). G, Dual-infected mice had marked architectural distortion of the ileum with edema, massive lymphocyte infiltration, and visible tachyzoite replication within cystic areas of the mucosa (box). Boxed inset is shown at higher power in H. Specific anti-T. gondii IgG (I), IgG1 (J), IgG2a (K). Ab measured at week 20. Error bars represent 1 SEM.
Mice with concurrent H. felis infection have higher parasite loads and tissue damage with T. gondii infection. A, T. gondii B1 gene expression in the spleen, normalized to GAPDH levels, was determined 3 days after T. gondii infection (n = 5 in each group). Error bars represent 1 SD; ∗, p < 0.02. B, Average number of spleen tachyzoites per ×400 field at day 3 and day 11. Columns represent the average number of tachyzoites counted in 20 fields from two consecutive sections of spleen in each of five mice per group. Error bars represent 1 SD; ∗, p < 0.02. H&E stained spleen sections. C, normal architecture in H. felis-infected mice. D, T. gondii-infected mice have occasional tachyzoites visible (arrows). E, Dual-infected mice have multiple clusters of tachyzoites visible (arrows) with distortion of the splenic architecture. F, Ileal section from a mouse infected with T. gondii alone. Architecture is preserved and villi are intact. There is a mild inflammatory infiltrate with small intramucosal lymphocytic aggregates (arrow). G, Dual-infected mice had marked architectural distortion of the ileum with edema, massive lymphocyte infiltration, and visible tachyzoite replication within cystic areas of the mucosa (box). Boxed inset is shown at higher power in H. Specific anti-T. gondii IgG (I), IgG1 (J), IgG2a (K). Ab measured at week 20. Error bars represent 1 SEM.
T. gondii infection induces a H.felis–specific IgG2a/IgG1 isotype switch
H. felis infection altered the acute response to T. gondii by blunting the IFN-γ response and allowing uncontrolled parasite replication. We next addressed the impact of T. gondii infection on the H. felis-specific response, with the prediction that high levels of IFN-γ generated by T. gondii infection would induce a prominent and sustained bias toward a local gastric H felis-induced Th1 cytokine profile. We measured H. felis-specific IgG2a and IgG1 Abs at an early time point of infection (7 wk) and times representing chronic infection (after 20 wk coinfection) in mice that were infected with H. felis and T. gondii at the same time and in mice who had established H. felis infection at the time of T. gondii exposure. There was a significant increase in H. felis-specific IgG2a levels (p = 0.0012), and a concomitant decrease in IgG1 Ab when T. gondii infection was present compared with the findings in H. felis infection alone. Ab was not detected in control mice, nor in mice infected with T. gondii alone (Fig. 3,A). This response was maintained for the duration of the experiment, with significant increases in anti-H. felis IgG2a levels maintained in the concurrently infected group (p = 0.031). Significantly, mice that had an established H. felis infection before T. gondii challenge, substantially increased production of IgG2a Ab (p = 0.04), while maintaining the trend toward decreased IgG1 Ab production (Fig. 3 B).
T. gondii infection alters the H. felis-specific Ab response. Serum levels of H. felis-specific IgG1 and IgG2a were measured by ELISA at 7 wk (A), 20 or 40 wk (B) post-H. felis infection (n = 10 for each group). Error bars represent 1 SEM, ∗, p = 0.0012, ∗∗, p = 0.031, ∗∗∗, p = 0.04.
T. gondii infection alters the H. felis-specific Ab response. Serum levels of H. felis-specific IgG1 and IgG2a were measured by ELISA at 7 wk (A), 20 or 40 wk (B) post-H. felis infection (n = 10 for each group). Error bars represent 1 SEM, ∗, p = 0.0012, ∗∗, p = 0.031, ∗∗∗, p = 0.04.
T. gondii infection increases H.felis gastritis and mucosal damage
Mice infected with H. felis for 20 wk had mild corpus gastritis confined to the lesser curvature at the squamocolumnar junction, but were otherwise normal. The inflammation was characterized by a chronic inflammatory cell infiltrate composed mostly of lymphocytes appearing singly, or occasionally in small aggregates at the base of glands in the submucosa. There were no architectural alterations in the gastric mucosa, with preservation of gland structure, normal mucosal thickness and normal parietal cell mass (Fig. 4,A). Mice infected with T. gondii alone for 20 wk had no alterations in the gastric mucosa. Specifically, there was little inflammation, preservation of mucosal thickness and no change in parietal or chief cell number (Fig. 4,B). In contrast, mice infected with H. felis and T. gondii together had severe gastritis extending throughout the mucosa most severe in the corpus, but present in the antrum as well. Inflammation was characterized by a chronic inflammatory cell infiltrate composed mostly of lymphocytes extending throughout the thickness of the mucosa and forming discrete nodules in both the mucosal and submucosal areas. Some lymphoid aggregates were massive, distorting the overlying mucosa (Fig. 4,C) and were grossly visible at the time of necropsy. Infection with both H. felis and T. gondii was associated with considerable diffuse glandular epithelial atrophy, with extensive replacement of parietal cells and moderate antralization of the glands within the corpus (Fig. 4,D). Lesion scores are presented in Fig. 4 E.
T. gondii infection alters the gastric mucosal response to Helicobacter infection. All sections are representative of findings at 20 wk. A, H. felis infection in the BALB/c (group 2) mouse does not cause mucosal damage. Architecture is preserved, with occasional lymphocytes noted in the deep mucosa. B, T. gondii infection alone does not cause gastric mucosal damage. The gastric mucosa of T. gondii-infected mice did not differ from control mice. C, T. gondii infection concurrent with H. felis infection results in massive lymphocytic infiltrates in both the submucosa (arrow) and within the mucosa. Architectural distortion is prominent with loss of parietal and chief cells, antralization of glands and mucous cell metaplasia. Antralization and parietal cell loss is shown at higher power in (D). E, Lesions were scored as outlined in Materials and Methods for 10 mice in each group. Number of symbols equals the number of mice achieving that score. Scores were compared using a two-tailed Mann-Whitney analysis of nonparametric data and p values are shown at top of each column. Magnification, ×200 (A and B), ×100 (C), and ×400 (D).
T. gondii infection alters the gastric mucosal response to Helicobacter infection. All sections are representative of findings at 20 wk. A, H. felis infection in the BALB/c (group 2) mouse does not cause mucosal damage. Architecture is preserved, with occasional lymphocytes noted in the deep mucosa. B, T. gondii infection alone does not cause gastric mucosal damage. The gastric mucosa of T. gondii-infected mice did not differ from control mice. C, T. gondii infection concurrent with H. felis infection results in massive lymphocytic infiltrates in both the submucosa (arrow) and within the mucosa. Architectural distortion is prominent with loss of parietal and chief cells, antralization of glands and mucous cell metaplasia. Antralization and parietal cell loss is shown at higher power in (D). E, Lesions were scored as outlined in Materials and Methods for 10 mice in each group. Number of symbols equals the number of mice achieving that score. Scores were compared using a two-tailed Mann-Whitney analysis of nonparametric data and p values are shown at top of each column. Magnification, ×200 (A and B), ×100 (C), and ×400 (D).
Dual infection alters level of H. felis colonization
H. felis infection was confirmed by serum Ab determination, histological detection of organism, and by DNA quantification in all mice experimentally infected. Organisms were not detected in those mice not specifically infected. H. felis colonization was highest in those mice infected with H. felis alone, compared with those mice coinfected with T. gondii (Fig. 5 A). These findings are consistent with published reports of higher bacterial loads associated with Th2 responses and lower bacterial loads associated with a Th1 immune response (4).
Concurrent T. gondii infection shifts the local gastric mucosal cytokine response to H. felis from a Th2 profile to a Th1 profile. A, Quantitative PCR for H. felis infection reported as number of bacteria (as a function of gene copy number) per microgram of total gastric tissue. Error bars represent 1 SD (n = 10 for each group). B, Quantitative PCR of IFN-γ, IL-12, IL-1β, IL-4, and IL-10 in the gastric fundic mucosa of H. felis-infected (7 and 20 wk infection time points combined) and H. felis/T. gondii-infected (7 and 20 wk of H. felis infection combined) mice. Results in the dual-infected mice (Helicobacter/T. gondii each 7 wk, Helicobacter/T. gondii each 20 wk, and Helicobacter 20 wk/T. gondii 7 wk; long-term studies in this last group were not performed and were therefore not available for interpretation) were indistinguishable from each other, therefore data from acute and chronic Helicobacter infection were combined. Each sample was run in triplicate, values differed by <1%, and an average for each mouse was used in calculation. Results are mean values + 1 SD (n = 10). Experiment was performed two times with similar results.
Concurrent T. gondii infection shifts the local gastric mucosal cytokine response to H. felis from a Th2 profile to a Th1 profile. A, Quantitative PCR for H. felis infection reported as number of bacteria (as a function of gene copy number) per microgram of total gastric tissue. Error bars represent 1 SD (n = 10 for each group). B, Quantitative PCR of IFN-γ, IL-12, IL-1β, IL-4, and IL-10 in the gastric fundic mucosa of H. felis-infected (7 and 20 wk infection time points combined) and H. felis/T. gondii-infected (7 and 20 wk of H. felis infection combined) mice. Results in the dual-infected mice (Helicobacter/T. gondii each 7 wk, Helicobacter/T. gondii each 20 wk, and Helicobacter 20 wk/T. gondii 7 wk; long-term studies in this last group were not performed and were therefore not available for interpretation) were indistinguishable from each other, therefore data from acute and chronic Helicobacter infection were combined. Each sample was run in triplicate, values differed by <1%, and an average for each mouse was used in calculation. Results are mean values + 1 SD (n = 10). Experiment was performed two times with similar results.
Gastric mucosal cytokine levels are altered in mice coinfected with T gondii compared with those infected with H. felis alone
In both human and mouse infection studies, the local cytokine environment predicts disease outcomes (reviewed in Ref. 2), with high IL-1β and low IL-10 predictive of severe disease in humans, and the combination of high IFN-γ levels and low IL-10 permissive for severe mucosal damage (6, 19, 20) in various mouse models. We therefore evaluated the gastric mucosal cytokine production using real-time PCR for IFN-γ, IL-12, IL-1β, IL-4, and IL-10. Proinflammatory cytokine expression in the gastric mucosa of BALB/c mice infected with H. felis alone did not differ from levels found in control mice (20 wk time point, n = 10 for all groups). In sharp contrast, BALB/c mice infected with H. felis alone had markedly elevated IL-10 and IL-4 levels (Fig. 5,B). These findings are consistent with the BALB/c phenotype as a Helicobacter-resistant host. In sharp contrast, mice coinfected with T. gondii and H. felis had significant elevations in IFN-γ (5-fold), IL-12 (4-fold), and IL-1β (2-fold) compared with H. felis alone regardless of whether the mouse was infected with H. felis before, or after the time of T. gondii infection. IL-4 expression (3-fold decrease) and IL-10 expression (5-fold decrease) were blunted relative to the robust response seen in the H. felis-infected mice (Fig. 5 B).
Discussion
Disease manifestations of chronic infections depend on a multitude of interacting factors specific to the host, the infecting organism and the environment. In most cases, a level of balance is reached whereby a continued immune response, while not able to fully eliminate an organism, keeps infection in check. The organism may then go undetected until reactivation of infection with suppression of this specific immune response (as occurs with Toxoplasmosis) or in some cases a chronic smoldering infection persists (such as is seen with H. pylori), which may show periodic flares of activity, or continually progress to debilitating disease. In the case of Helicobacter infection, clinical outcomes differ widely, with some patients infected but without obvious disease manifestations, whereas others develop severe manifestations such as gastroduodenal ulceration and gastric adenocarcinoma. The range in disease manifestations has not been fully explained by differences in bacterial factors or host genetics, but may be explained by interactions with other infectious agents modulating the organism-specific immune response. We infected mice with both T. gondii and H. felis and show the interplay between immune responses was not unilateral, but rather the immune response and clinical outcome to both organisms was affected. This immune modulation was durable resulting in both short-term morbidity and mortality due to T. gondii as well as severe chronic mucosal disease secondary to H. felis.
The CD4 T cells within the adaptive immune response can be divided into two functional groups, Th1 and Th2 cells, based on the types of cytokines they produce and the immune responses they coordinate. Th1 cells produce IFN-γ, IL-2, and IL-12 and coordinate the cell-mediated immune response. Th2 cells predominantly produce IL-4, IL-5, and IL-10, and induce B cell activation. The direction of maturation of a naive T cell depends upon both the stimulus and the environment in which it is stimulated. High levels of IFN-γ at the time of T cell activation will promote a Th1 phenotype, and high levels of IL-4 will favor a Th2 phenotype. Although individual T cells can be thought of as Th1 or Th2 cells, assigning such a designation to the composite immune response is more complicated, and it should be viewed more correctly as falling on a continuum between the two responses, with the degree of polarization dependent on a variety of factors including properties of the infecting organism, host genetics, and environmental conditions. As such, there is the potential for manipulation by factors that nudge the response toward one or the other pole, with the possible effect of altering the disease outcome.
Looking at mouse models of infection, the C57BL/6 mouse responds to H. felis with a Th1 immune response associated with considerable mucosal inflammation, atrophy of the fundic mucosa with loss of parietal and chief cells (7, 19, 21, 22, 23, 24), and the appearance of metaplastic changes progressing to dysplasia. The immune response and premalignant changes closely parallel the events preceding development of gastric adenocarcinoma in humans, making the mouse a powerful model in which to study helicobacter infection. In contrast to this susceptible mouse model, the BALB/c strain of mice develops a Th2 immune response to H. felis infection, minimal gastritis, and virtually no histological alterations despite dense colonization with bacteria (4). These two mouse strains represent the extreme poles of immune response to infection, providing models within which to determine the impact of modifiers on the immune response to Helicobacter and their subsequent effects on disease initiation and progression. To support the notion of coinfectious agents altering the outcome of disease, it has been shown that concurrent helminth infection skews the Helicobacter-specific immune response of the C57BL/6 mouse toward a Th2 profile and protects against short-term disease (7). It is therefore conceivable that infectious or environmental influences may augment a Th1 response in a similar fashion, thereby promoting disease in an otherwise resistant host. The vast majority of individuals do not develop clinical disease with Helicobacter infection, suggesting a situation in which a few may be “pushed” toward disease rather than the majority protected from disease. Therefore, perhaps more compelling than protection, are situations that may increase disease severity.
T. gondii infection is very common, with evidence of Ab production in every population studied, albeit at varying levels. Infection with T. gondii universally induces a strong Th1 response. We reasoned that if high levels of IFN-γ were present at the time the host was mounting an immune response to H. felis, the H. felis-specific response would shift toward a Th1 cytokine profile. We further reasoned that a Th1 cytokine profile in an otherwise “resistant” host would be associated with mucosal damage. Indeed, T. gondii infection at the time of Helicobacter infection effectively converts a resistant host to a susceptible host. Cytokines within the gastric mucosa show a dramatically altered pattern, with gastric IFN-γ levels comparable to those seen in the infected C57BL/6 mouse (J. Houghton, unpublished observation) and a marked diminution in IL-10 levels. Both IFN-γ (6, 20) and IL-10 (19, 25) are pivotal in the gastric mucosal disease process secondary to Helicobacter and are felt to be essential factors in disease susceptibility in the mouse model as well as in human disease. Mice that were infected with both T. gondii and H. felis had a substantial increase in mucosal inflammation with mucosal hyperplasia, parietal and chief cell loss and mucous cell metaplasia, very similar to what is seen in the susceptible C57BL/6 mouse and in humans. It is interesting to note that although the mucosal changes were similar to those found in the infected C57BL/6, they were not identical and took longer to develop, suggesting differences between strains in addition to the immune response. For example, the marked antralization seen in the BALB/c (Fig. 4 D) is not typically seen in the C57BL/6 model, but it is seen in human H. pylori infection (26). In humans, antralization is associated with increased proliferation, reduction in Bax expression and Bcl-2 overexpression implying that antralization may be an important histological marker for cancer risk (27, 28). This shift from a Th2- to a Th1-specific H. felis response is not confined to the gastric mucosal compartment, but is systemic. IgG subclass analysis is consistent with a sustained shift toward a Th1 response in all dual-infected groups. Perhaps most important is that mice with an established polarized H. felis response were equally susceptible to immune modulation by T. gondii, and the switch in Th1/Th2 polarization was at least as great, if not greater than that seen with acute H. felis infection, suggesting there is an enormous window whereby factors may influence the outcome of chronic infections.
T. gondii is a chronic infection and likely exerts continual pressure toward the H. felis Th1 response, which allows the response to be sustained. This raises the question of how other organisms may interact with the immune response to Helicobacter. The natural history of symptomatic Helicobacter infection in humans is one of active ulcers interspersed with various periods of remission. The trigger for this waxing and waning of disease is not known. Although we have not evaluated the effects of short-term infectious agents on Helicobacter immune response, it is tempting to speculate that acute infectious agents may exasperate H. pylori disease by nonsustained shifts in the immune response leading to disease “flares” that would theoretically abate as the acute infectious agent causing them was cleared. Alternatively, more sustained shifts in immune response may lead to more sustained changes such as metaplasia, dysplasia, and cancer.
Without eradication therapy, Helicobacter infection exists for the life of the host, allowing the Helicobacter-specific chronic inflammatory response to influence other infectious disease processes. Helicobacter infection significantly blunted the IFN-γ response to T. gondii and increased morbidity and mortality from T. gondii acutely. Although the effects of Helicobacter infection on the immune response to other organisms was not tested in this study, our findings suggest that the chronic immune response to Helicobacter may impact the host response to other infectious agents, implying an impact on both acute and chronic disease processes during the lifetime of the infected host.
Acknowledgements
We thank Jane Carlson for expert animal care.
Footnotes
The costs of publication of this article were defrayed in part by the payment of page charges. This article must therefore be hereby marked advertisement in accordance with 18 U.S.C. Section 1734 solely to indicate this fact.
This work was supported by National Institutes of Health Grants K22 CA90518 (to J.H.), K08 AI01697 (to F.S.L.), AI 33325 (to I.A.K.), and R01 AI37750 and R01 CA03405 (to J.G.F.).




