A hallmark of autoimmunity and other chronic diseases is the overexpression of chemokines resulting in a detrimental local accumulation of proinflammatory immune cells. Chemokines play a pivotal role in cellular recruitment through interactions with both cell surface receptors and glycosaminoglycans (GAGs). Anti-inflammatory strategies aimed at neutralizing the chemokine system have to-date targeted inhibition of the receptor-ligand interaction with receptor antagonists. In this study, we describe a novel strategy to modulate the inflammatory process in vivo through mutation of the essential heparin-binding site of a proinflammatory chemokine, which abrogates the ability of the protein to form higher-order oligomers, but retains receptor activation. Using well-established protocols to induce inflammatory cell recruitment into the peritoneal cavity, bronchoalveolar air spaces, and CNS in mice, this non-GAG binding variant of RANTES/CCL5 designated [44AANA47]-RANTES demonstrated potent inhibitory capacity. Through a combination of techniques in vitro and in vivo, [44AANA47]-RANTES appears to act as a dominant-negative inhibitor for endogenous RANTES, thereby impairing cellular recruitment, not through a mechanism of desensitization. [44AANA47]-RANTES is unable to form higher-order oligomers (necessary for the biological activity of RANTES in vivo) and importantly forms nonfunctional heterodimers with the parent chemokine, RANTES. Therefore, although retaining receptor-binding capacity, altering the GAG-associated interactive site of a proinflammatory chemokine renders it a dominant-negative inhibitor, suggesting a powerful novel approach to generate disease-modifying anti-inflammatory reagents.

Chemokines provide a directional signal for leukocyte transmigration from the lumen of blood vessels into the underlying tissue (1). Their essential role for cell migration in both homeostasis (2) and disease (3) has been extensively documented. Intensive interest has been focused on strategies for therapeutic intervention of the inflammatory members of the chemokine system (4). The most widely used approaches to date are nonsignaling receptor antagonists in the form of small molecule inhibitors identified by high-throughput screening, neutralizing Abs, or modified chemokines that act as receptor antagonists.

In addition to the high-affinity receptor interaction, chemokines have a second essential, low-affinity interaction with glycosaminoglycans (GAGs)5 associated with endothelial cell surfaces and the extracellular matrix (5, 6). It has been postulated that interfering with this interaction may offer an alternative, valid, therapeutic strategy (7). GAGs are long, linear polysaccharide chains, usually associated with a protein core, thereby forming proteoglycans. In vitro studies have shown that chemokines display different affinities for GAGs (8, 9), and that this interaction with the GAG affects both chemokine oligomerization (10) as well as presentation of the chemokine to the receptor (8, 11). Recently, specific chemokine binding sites in heparan sulfate, a commonly occurring GAG, for the chemokines PF4/CXCL4, IL-8/CXCL8, and MIP-1α/CCL3 have been described (12, 13, 14). Conversely, specific GAG binding sites of several chemokines have been delineated by mutagenesis, demonstrating that these sites are either distinct, or partially overlap with receptor binding sites.

For RANTES, the predominant GAG binding site has been shown to be the BBXB motif in the 40s loop (15, 16). Targeted mutagenesis has recently confirmed the relevance of these interactions showing that chemokines with specific mutations in their GAG binding sites retain biological activity in vitro but are unable to recruit cells in vivo (17). The variant [44AANA47]-RANTES, in which the three basic residues in this motif are mutated to alanine, loses 80% of its capacity to bind to the GAG heparin in vitro as compared with wild-type RANTES (15). [44AANA47]-RANTES, although retaining wild-type affinity for CCR5, demonstrates a 100-fold decrease of binding capacity to CCR1 (15, 16). However, whereas the modified chemokine is able to elicit full efficacy in in vitro chemotaxis, it is unable to recruit cells in vivo (17).

Another biochemical characteristic that distinguishes in vitro chemotactic activity from cell recruitment in vivo, is imposed by the quaternary structure of chemokines, which ranges from monomeric to higher-order oligomers (18). For example, RANTES forms high molecular mass oligomers (>600 kDa) in vitro and in vivo (19), but studies using an obligate monomer have shown that this quaternary structure is not essential for cell activation and chemotaxis in vitro (17). However, in vivo, neither the obligate monomer nor dimeric forms of RANTES are active, whereas the tetrameric form attains full cell recruitment activity.

Several animal models of human disease, including experimental autoimmune encephalomyelitis (EAE), have shown improvement of disease symptoms following treatment with heparin (20). The anti-inflammatory effects of heparin have been extended in controlled clinical trials, improving symptoms in inflammatory bowel disease and asthmatic patients (21). Although the precise mechanism of action of heparin in these studies has not been established, it has been proposed that inhibition of the interaction between proinflammatory cytokines and membrane-associated GAGs may provide a mechanism for inducing clinically useful immunosuppression (22). Similarly, it could be postulated that heparin could interfere with the chemokine-GAG interaction.

GAG binding and oligomerization are intimately linked structure-function aspects of chemokines. These two apparently essential structural features may offer alternative therapeutic intervention points in the chemokine system. In this study, we report a novel strategy of inhibition of inflammation through specific targeting and disruption of the chemokine-GAG interaction. [44AANA47]-RANTES is a potent inhibitor of cellular recruitment in several models of inflammation, confirmed by direct visualization of inhibition of cell rolling and adhesion using intravital microscopy. Further biochemical and immunological analyses suggest a mechanism of action based on disruption of GAG binding and oligomerization, that results in specific sequestration of RANTES.

Recombinant human chemokines and the variant [44AANA47]-RANTES were produced as previously described (17). Low-molecular-mass sodium salt heparin, OVA, urethane, and thiobutabarbital sodium were obtained from Sigma-Aldrich (Fluka Holding, Buchs, Switzerland; or Sigma-Aldrich, Poole, U.K.). Thioglycolate was obtained from BD Biosciences (Franklin Lakes, NJ). Rabbit polyclonal anti-human RANTES Abs (purified and biotinylated) were obtained from BD Pharmingen (San Diego, CA). Iodinated RANTES and custom-iodinated [44AANA47]-RANTES were obtained from Amersham (Little Chalfont, U.K). Aluminum hydroxide (2%) gel was obtained from Serva (Heidelberg, Germany). 2-Bromo-2-chloro-1,1,1-trifluoroethane (halothane) was obtained from Baxter (Volketswil, Switzerland). Myelin oligodendrocyte protein (MOG)35–55 was obtained from Neosystem (Strasbourg, France), CFA containing 5 mg/ml Mycobacterium tuberculosis from Difco (Detroit, MI), and pertussis toxin from List Biological Laboratories (Campbell, CA). Heparin beads and chromatographic columns were obtained from Pharmacia (Dubendorf, Switzerland).

BALB/c mice were used to examine the levels of human RANTES or [44AANA47]-RANTES in serum at time points following i.v. or i.p. injection. An ELISA was developed using rabbit polyclonal anti-human RANTES Abs allowing the detection of human RANTES or [44AANA47]-RANTES, but not endogenous murine RANTES in serum. To investigate whether the [44AANA47]-RANTES has a different pattern of distribution in vivo compared with wild-type RANTES, both proteins were labeled with iodine-125. The radiolabeled proteins were mixed with a 100-fold excess of unlabeled protein and administered at 0.5 mg/kg i.p. (six mice per group). After 30 min or 4 h, the mice were sacrificed, and the blood was collected by cardiac puncture and transferred to heparinized tubes. After perfusion with sterile NaCl, mesenteric tissue was removed and weighed. Levels of radioactivity were determined with a Packard Cobra gamma counter (PerkinElmer, Regensdorf, Switzerland). Radioactivity counts were calculated per unit of tissue (i.e., per milliliter for fluid, per gram for solid mass). Samples of RANTES and [44AANA47]-RANTES were counted to verify that the amount of radioactivity injected was equal.

The assay was conducted as previously described (17). Briefly, 8- to 12-wk-old, female BALB/c mice (Janvier, Le Geneset St. Isle, France) were injected i.p. with 200 μl of NaCl (0.9%, LPS free) or 0.5 mg/kg chemokine in 200 μl of NaCl. To test inhibition, doses ranging from 0.5 to 0.005 mg/kg [44AANA47]-RANTES in 200 μl NaCl were administered i.p 30 min before RANTES administration (0.5 mg/kg i.p.). The inhibitory effects of heparin were tested by administration of the indicated doses i.p. 30 min before RANTES (0.5 mg/kg, i.p.). At 18-h postinjection, mice were sacrificed, and the peritoneal cavity was washed. Total cells collected were counted with a Neubauer hemocytometer (Hausser Scientific, Horsham, PA). Thioglycolate-induced cellular recruitment was mediated by the administration of 200 μl of 3% thioglycolate i.p. [44AANA47]-RANTES at doses ranging from 0.5 to 0.005 mg/kg in 200 μl of NaCl or RANTES at 0.5 mg/kg in 200 μl of NaCl was administered i.p or i.v. 30 min before the thioglycolate stimulus, and was subsequently administered daily. Mice were sacrificed 96 h post-thioglycolate injection, and cells recruited into the peritoneal cavity were counted as described above. In experiments to test the effect of RANTES compared with [44AANA47]-RANTES, RANTES or [44AANA47]-RANTES was administered at a dose of 0.5 mg/kg in 200 μl of NaCl either i.p. or i.v. 30 min before an i.p. injection of RANTES at a dose of 0.5 mg/kg in 200 μl of NaCl. The ability of [44AANA47]-RANTES to inhibit cell recruitment mediated by other chemokines was tested as described above for RANTES, apart from IL-8-mediated recruitment that was measured at 4 h post-chemokine injection.

To induce airway responses to OVA, mice were sensitized by an i.p. injection of 10 μg of OVA precipitated in 2 mg of aluminum hydroxide (2%) (alum) in a total volume of 200 μl. Fifteen days after sensitization, mice were injected i.p. with NaCl or [44AANA47]-RANTES, 30 min before each challenge. Challenge was conducted on mice anesthetized with aerosolized halothane in a small Plexiglas box, followed by intranasal administration of 15 μg of OVA in 50 μl of saline. For baseline measurements, one group of mice were challenged with NaCl. This challenge process was repeated daily for 5 consecutive days. At 72 h postchallenge, mice were killed by a lethal i.p. injection of 300 μl of 14% urethane (v/v) in 0.9% NaCl. Lungs were filled in situ with 0.4 ml of sterile PBS-EDTA via a tracheal cannula. Fluid was withdrawn from the lungs after gentle massage to remove cells and collected in a plastic tube on ice. This procedure was repeated four times, and the cell suspensions recovered from each animal were combined on ice to give a final volume of ∼1.4 ml. Cell counting was performed using a Neubauer hemacytometer.

EAE was induced in C57BL/6 mice (≥10 mice per group) with a s.c. injection in the flank of 200 μg of MOG35–55 in CFA containing 5 mg/ml Mycobacterium tuberculosis at days 0 and 7. An i.p. injection of Pertussis toxin (500 ng in 400 μl) was performed at days 0 and 2. Clinical score was monitored daily, and mice were scored as follows: 0, no sign of disease; 0.5, partial tail paralysis; 1, tail paralysis; 2, partial hindlimb paralysis; 3, complete hindlimb paralysis; 4, hindlimb and forelimb paralysis; 5, moribund or dead. Treatment by daily i.p. injection with 200 μl of [44AANA47]-RANTES at 0.05 mg/kg or 0.5 mg/kg or vehicle was performed from days 7 to 27. Data represent mean EAE score ± SEM. One-way ANOVA followed by Tukey test was performed to assess significance and was assigned as follows: ∗, p < 0.05; ∗∗, p < 0.01; ∗∗∗, p < 0.001. Histological evaluation of paraffin-embedded spinal cord collected at the end of the treatment was performed following H&E (Sigma-Aldrich, St. Louis, MO) staining.

To examine the recruitment of cells from the microvasculature of the mesentery, RANTES or [44AANA47]-RANTES at 0.5 mg/kg in 1 ml of 0.9% NaCl or 1 ml of 0.9% NaCl was administered i.p. into male Sprague-Dawley (150–160 g) rats (Harlan, Bicester, U.K.). In experiments to assess inhibition, [44AANA47]-RANTES at 0.5 mg/kg in 0.5 ml was administered i.p. 30 min before the i.p. RANTES challenge at 0.5 mg/kg in 0.5 ml. Four hours after injection, animals were prepared for intravital microscopy. After induction of anesthesia with 200 μl of thiobutabarbital sodium by i.p. injection, animals were maintained at 37°C on a custom-built Perspex microscope stage. The intestine was exteriorized through a midline incision, and single loops of the small intestine were gently drawn out to expose vessels in the mesenteric tissue. The tissue was kept warm and moist throughout each experiment by superfusion of warmed bicarbonate buffered salt solution. Leukocyte-endothelial cell interactions were observed microscopically (Axioskop 2 FS; Carl Zeiss, Welwyn Garden City, U.K.) through a ×40 water immersion objective. Recordings were made with a Sony XC-003P Color Vision digital camera connected to a Zeiss AxioWorkstation computer using AxioVision acquisition software (Imaging Associates, Bicester, U.K.). The numbers of leukocytes rolling and firmly adherent in three postcapillary venules of 20- to 40-μm diameter were quantified for each rat. Leukocyte rolling flux was quantified as the number of rolling cells moving past a fixed point on the venular wall per minute. Firmly adherent leukocytes were considered as those remaining stationary for at least 30 s within a designated 100-μm segment of the vessel.

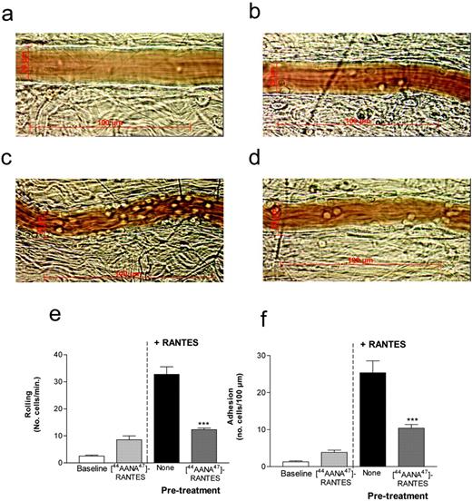
Each video shows the mesenteric microcirculation of a rat following i.p. treatment with 1) NaCl, 2) [44AANA47]-RANTES, 3) RANTES, and 4) RANTES following pretreatment with [44AANA47]-RANTES, as described in the experimental procedures section, Peritoneal cell recruitment (above). Video 1 corresponds with Fig. 3 a, video 2 with b, video 3 with c, and video 4 with d.

FIGURE 3.

Intravital microscopic examination of cellular recruitment by RANTES and [44AANA47]-RANTES. Photographic stills of mesenteric microvessels correspond to on-line supplemental videos 1–4 as follows: a/1, NaCl injection; b/2, [44AANA47]-RANTES injection; c/3, RANTES injection; and d/4, [44AANA47]-RANTES treatment followed by RANTES challenge. Quantitative data from analysis of intravital microscopy of cell rolling (e) and cell adhesion (f).

FIGURE 3.

Intravital microscopic examination of cellular recruitment by RANTES and [44AANA47]-RANTES. Photographic stills of mesenteric microvessels correspond to on-line supplemental videos 1–4 as follows: a/1, NaCl injection; b/2, [44AANA47]-RANTES injection; c/3, RANTES injection; and d/4, [44AANA47]-RANTES treatment followed by RANTES challenge. Quantitative data from analysis of intravital microscopy of cell rolling (e) and cell adhesion (f).

Close modal

The removal of CCR5 induced by RANTES and [44AANA47]-RANTES from the surface of lymphocytes and monocytes was performed as previously described (23). Briefly, the cells were incubated with varying concentrations of chemokine at 37°C for 30 min, and the surface CCR5 expression was determined using the MC-1 anti-human CCR5 mAb by FACScan.

The ability of RANTES and [44AANA47]-RANTES to oligomerize on immobilized heparin was assessed as described (10). Briefly, 0.1 nM 125I-labeled chemokine was incubated with heparin beads in the presence of increasing concentrations of unlabeled chemokine in PBS. After 4-h incubation under agitation at room temperature, the supernatant was removed by vacuum filtration and washed three times with 200 μl of PBS adjusted to 0.5 M NaCl. Radioactivity was counted using a Wallac beta counter (PerkinElmer, Boston, MA).

RANTES and [44AANA47]-RANTES were dissolved at 1 mg/ml in PBS or were mixed in equimolar amounts in PBS at 0.5 mg/ml to achieve a final total protein concentration of 1 mg/ml. The protein mixture in PBS was applied immediately to a Superdex 200 column 10/300 GL (30 × 1 cm diameter) previously equilibrated in PBS, or allowed to stand at room temperature for 4 h before loading onto the column. The column was calibrated with thyroglobulin, ferritin, BSA, OVA, chymotrypsinogen, and cytochrome c. Elution was performed at 0.5 ml/min, 1-ml fractions were collected, and the protein content was analyzed by SDS-PAGE.

Unless otherwise indicated, statistical significance was tested by one-way ANOVA, with a Bonferroni posttest, using GraphPad Prism 3 (San Diego, CA). All data represent mean ± SEM (n ≥ 3 mice per group). Levels of significance were assigned as follows: NS, p > 0.05; ∗, p < 0.05; ∗∗, p < 0.01; ∗∗∗, p < 0.001.

To further elucidate the biological role of GAG binding of chemokines, the kinetics of the anatomical distribution of the wild-type protein and the [44AANA47]-RANTES variant were investigated using an ELISA developed to detect both proteins in serum, with no cross reactivity with the murine (endogenous) protein. Levels of injected protein were measured in serum samples by ELISA (Fig. 1,a). Following i.v. administration, both proteins were detected up to 4 h postinjection with similar kinetics (data not shown). However, following i.p. administration, whereas [44AANA47]-RANTES was detectable at high levels, with a peak occurring 30 min after injection, the wild-type protein was detected only at very low levels throughout the 6-h time course. To eliminate the possibility that RANTES may be degraded in the peritoneal cavity, while [44AANA47]-RANTES is protected from proteolysis due to the mutation of the three basic residues, we followed the distribution of both proteins labeled with 125I. As shown in Fig. 1 b, the distribution of the iodinated proteins reflects that measured by ELISA, where significantly higher amounts of the iodinated variant are detected in whole blood compared with RANTES (right panel). However, it appears that RANTES is retained in the peritoneal cavity, as reflected by the detection of iodinated RANTES associated with the mesenteric tissue at 30 min and 4 h (left panel).

FIGURE 1.

The effect of disruption of RANTES-GAG binding in vivo. a, Quantification of levels of RANTES (•) or [44AANA47]-RANTES (▴) in the serum by ELISA following i.p. injection. b, 125I-labeled RANTES (▪) or 125I-labeled [44AANA47]-RANTES (▦) measured in the peritoneal (left panel) or blood (right panel) compartments at 30 min or 4 h after i.p. injection. c, Heparin administered i.p. 30 min before RANTES (0.5 mg/kg) administration interferes with cellular recruitment. d, [44AANA47]-RANTES can dose-dependently inhibit RANTES (0.5 mg/kg)-induced peritoneal cell recruitment.

FIGURE 1.

The effect of disruption of RANTES-GAG binding in vivo. a, Quantification of levels of RANTES (•) or [44AANA47]-RANTES (▴) in the serum by ELISA following i.p. injection. b, 125I-labeled RANTES (▪) or 125I-labeled [44AANA47]-RANTES (▦) measured in the peritoneal (left panel) or blood (right panel) compartments at 30 min or 4 h after i.p. injection. c, Heparin administered i.p. 30 min before RANTES (0.5 mg/kg) administration interferes with cellular recruitment. d, [44AANA47]-RANTES can dose-dependently inhibit RANTES (0.5 mg/kg)-induced peritoneal cell recruitment.

Close modal

Although binding of chemokines to GAGs expressed on the endothelial surface is essential for their activity in vivo (17), soluble heparin is also able to modulate chemokine activity (8). Soluble heparin was administered before RANTES to examine whether a similar phenomenon occurs in vivo. Soluble heparin dose-dependently inhibited RANTES activity (Fig. 1,c), confirming previous reports that heparin can act as an anti-inflammatory, and can interfere with cell migration. Following these two observations, the biological effect of the variant on RANTES-mediated peritoneal cell recruitment was examined. A heterogeneous population of leukocytes consisting of macrophages, neutrophils, lymphocytes, eosinophils, and mast cells, are recruited 18 h following RANTES injection (data not shown). The recruitment of cells induced by RANTES was inhibited by 95% (mean percent inhibition over three experiments) by 0.5 mg/kg of [44AANA47]-RANTES following i.p. administration 30 min before the wild-type chemokine (0.5 mg/kg, i.p.), and this inhibition was dose related (Fig. 1 c). The inhibition seen by [44AANA47]-RANTES was not specific for one cell population, but rather a reduction in total cell numbers was seen, reflecting the heterogeneous cell types recruited by RANTES.

Because [44AANA47]-RANTES is able to interfere with RANTES-induced recruitment, we examined the effect of [44AANA47]-RANTES on cell recruitment in several murine models of inflammatory cell infiltration. Thioglycolate-induced cell recruitment is widely used as an in vivo method of recruiting peritoneal macrophages (yield, ≥90% macrophages), although to date its precise mechanism of action has not been elucidated. [44AANA47]-RANTES was shown to block the cell recruitment induced by this mediator in a dose-dependent manner (Fig. 2,a). To investigate the ability of [44AANA47]-RANTES to block cell infiltration to other compartments, the extensively characterized murine OVA-induced allergic lung inflammation model was used. In this model, administration of [44AANA47]-RANTES before each OVA challenge resulted in a significant decrease in the numbers of inflammatory cells recovered from the airways (Fig. 2,b). Finally, to examine the inhibition of cell infiltration into the CNS by [44AANA47]-RANTES, and the subsequent effect on clinical score progression associated with cell infiltration, a murine model of multiple sclerosis (MS), EAE, was used. Analysis of historical data from our laboratory revealed that visible signs of disease symptoms commence on day 9 in PBS-treated groups. Therefore, based on the prior in vivo experiments suggesting that one mechanism of action for [44AANA47]-RANTES should be to alter leukocyte migration out of the bloodstream and into the tissue, in this case the CNS, mice received daily i.p. injections of the variant or the vehicle control (PBS) from day 7 postimmunization. Histological evaluation of the spinal cord revealed minimal evidence of infiltrating leukocytes in the [44AANA47]-RANTES-treated group (0.5 mg/kg dose shown) compared with considerable infiltration in the PBS-treated control group (Fig. 2,c). Concurrently, [44AANA47]-RANTES produced significant changes in the disease score during both the induction (days 9–21) and chronic (days 22–27) stages of disease (Fig. 2 d).

FIGURE 2.

Inhibition by [44AANA47]-RANTES in three models of inflammatory cell recruitment. a, [44AANA47]-RANTES dose-dependently inhibits thioglycolate (3%)-induced cellular recruitment to the peritoneal cavity. b, [44AANA47]-RANTES dose-dependently inhibits OVA-induced cellular recruitment to the airway; figures above bars represent percent inhibition. c, Histological evaluation of paraffin-embedded spinal cords from mice in the MOG-induced EAE CNS inflammation model following H&E staining reveals decreased levels of inflammatory infiltrates (blue) in the 0.5 mg/kg [44AANA47]-RANTES-treated (lower panel) compared with vehicle-treated mice (upper panel) mice. Arrows indicate areas of cell infiltration. d, The clinical score in MOG-induced EAE progression following treatment with 0.5 mg/kg [44AANA47]-RANTES (▪), 0.05 mg/kg [44AANA47]-RANTES (•), or vehicle (○) was monitored. One representative experiment of four is shown.

FIGURE 2.

Inhibition by [44AANA47]-RANTES in three models of inflammatory cell recruitment. a, [44AANA47]-RANTES dose-dependently inhibits thioglycolate (3%)-induced cellular recruitment to the peritoneal cavity. b, [44AANA47]-RANTES dose-dependently inhibits OVA-induced cellular recruitment to the airway; figures above bars represent percent inhibition. c, Histological evaluation of paraffin-embedded spinal cords from mice in the MOG-induced EAE CNS inflammation model following H&E staining reveals decreased levels of inflammatory infiltrates (blue) in the 0.5 mg/kg [44AANA47]-RANTES-treated (lower panel) compared with vehicle-treated mice (upper panel) mice. Arrows indicate areas of cell infiltration. d, The clinical score in MOG-induced EAE progression following treatment with 0.5 mg/kg [44AANA47]-RANTES (▪), 0.05 mg/kg [44AANA47]-RANTES (•), or vehicle (○) was monitored. One representative experiment of four is shown.

Close modal

The initial stages of cellular recruitment involve the tethering, rolling, and adhesion of leukocytes to vessel walls before extravasation through the basement membrane and entry into the target tissue. In an attempt to visualize the point at which the variant interferes with wild-type activity, intravital microscopy was used (Fig. 3 and supplemental video data). Similar to saline-injected animals (Fig. 3,a and video 1), [44AANA47]-RANTES-treated animals (b and video 2) showed no significant signs of leukocyte rolling or arrest within the mesenteric microvasculature following i.p. administration, whereas RANTES (c and video 3) produced a pronounced accumulation of cells. The effect of RANTES on cell flux was inhibited by 70%, and cell adhesion by 62% when animals were pretreated with [44AANA47]-RANTES (Fig. 3, d–f, and video 4).

To determine the specificity of the interference of leukocyte migration by [44AANA47]-RANTES, the effect of the variant on several chemokines sharing RANTES receptors was tested. As shown in Fig. 4, the inhibitory activity of [44AANA47]-RANTES was restricted to RANTES with a lesser (insignificant) effect on the CCR5 ligand, MIP-1β/CCL4. The inhibition of MIP-1β was less robust and reproducible than inhibition of RANTES over a series of individual experiments, and only reached statistical significance (p < 0.05) in three of five experiments, with a mean inhibition of 62% compared with mean inhibition of RANTES of >95%. Other CC chemokines that share receptor usage with RANTES, i.e., MIP-1α (CCR1 and CCR5) and Eotaxin/CCL11 (CCR3) were not significantly affected. Lastly, the variant was unable to inhibit chemokines with different receptor usage than RANTES. No effect was seen on the recruitment of cells induced by MCP-1/CCL2, another CC chemokine, nor IL-8/CXCL8, a CXC chemokine (Fig. 4 b).

FIGURE 4.

Elucidation of the mechanism of action of [44AANA47]-RANTES to determine whether inhibition is due to receptor occupancy. The effect of [44AANA47]-RANTES on peritoneal recruitment induced by chemokines other than RANTES. a, Chemokines sharing RANTES receptor usage. b, Chemokines not sharing RANTES receptor usage. ▪, The recruitment induced by the chemokine indicated is shown. ▦, The recruitment induced by the chemokine administered 30 min after administration of [44AANA47]-RANTES is shown. The chemokines and [44AANA47]-RANTES were all administered i.p. at a dose of 0.5 mg/kg.

FIGURE 4.

Elucidation of the mechanism of action of [44AANA47]-RANTES to determine whether inhibition is due to receptor occupancy. The effect of [44AANA47]-RANTES on peritoneal recruitment induced by chemokines other than RANTES. a, Chemokines sharing RANTES receptor usage. b, Chemokines not sharing RANTES receptor usage. ▪, The recruitment induced by the chemokine indicated is shown. ▦, The recruitment induced by the chemokine administered 30 min after administration of [44AANA47]-RANTES is shown. The chemokines and [44AANA47]-RANTES were all administered i.p. at a dose of 0.5 mg/kg.

Close modal

We have shown by ELISA that [44AANA47]-RANTES is rapidly detectable in serum following i.p. injection. To confirm that [44AANA47]-RANTES does not desensitize leukocytes in vitro, we examined its potency to down-regulate CCR5 from primary cells. Despite its high affinity for CCR5 as measured in equilibrium competition binding assays (15), it was considerably less efficacious at inducing the down-regulation of CCR5 from the surface of both lymphocytes and monocytes (Fig. 5,a). To address the possibility that [44AANA47]-RANTES is acting simply by desensitizing the system in vivo through its availability in the peripheral circulation, the effect of RANTES was compared with the variant in the peritoneal cell recruitment model (Fig. 5,b). When either protein was administered i.v. 30 min before the RANTES i.p. challenge, the variant retained a highly significant (p < 0.001) inhibitory effect on RANTES-mediated cell recruitment, whereas RANTES inhibited the cell recruitment by only 58%, suggesting that the variant is working through an additional mechanism to merely desensitization. Additionally, in the thioglycolate-induced cell recruitment model, RANTES administered daily either i.p. or i.v. had no determinable effect on the total cell number recovered from the peritoneal cavity, whereas [44AANA47]-RANTES was effective following both i.p. and i.v. administration (Fig. 5 b).

FIGURE 5.

Inhibition is not by desensitization. a, CCR5 internalization by monocytes (•, ) or lymphocytes (▪, ▦) following exposure to RANTES (•, ▪) or [44AANA47]-RANTES (, ▦). b, The effect of wild-type RANTES (dark gray bars) compared with [44AANA47]-RANTES (light gray bars) on peritoneal cell recruitment induced by RANTES (black bars). b, The effect of wild-type RANTES i.p. or i.v. (dark gray bars) compared with the [44AANA47]-RANTES variant i.p. or i.v. (light gray bars) on thioglycolate-mediated peritoneal cell recruitment (black bars).

FIGURE 5.

Inhibition is not by desensitization. a, CCR5 internalization by monocytes (•, ) or lymphocytes (▪, ▦) following exposure to RANTES (•, ▪) or [44AANA47]-RANTES (, ▦). b, The effect of wild-type RANTES (dark gray bars) compared with [44AANA47]-RANTES (light gray bars) on peritoneal cell recruitment induced by RANTES (black bars). b, The effect of wild-type RANTES i.p. or i.v. (dark gray bars) compared with the [44AANA47]-RANTES variant i.p. or i.v. (light gray bars) on thioglycolate-mediated peritoneal cell recruitment (black bars).

Close modal

RANTES is known to form large, higher-order oligomers both in solution and on immobilized heparin (10, 19). The variant protein, although still able to bind to heparin, albeit with a reduced capacity (Fig. 6,a, inset), can no longer oligomerize on immobilized heparin, a property well described for the wild-type protein and other chemokines (a and Ref. 10). This is supported by size exclusion chromatography where at 1 mg/ml, the wild-type protein is not detected by size exclusion chromatography on Superdex 200 when run in PBS (Fig. 6,b, upper panel), and only elutes as a discrete peak if the buffer is eluted to 0.5 M NaCl (data not shown). However, the variant protein elutes as a discrete peak on Superdex 200 chromatography at 1 mg/ml at a volume corresponding to 17 kDa, which indicates a dimer (Fig. 6,b, lower panel). We then tested for its ability to form a heterodimer with the wild-type protein, by incubating the two proteins in urea to prevent aggregation of RANTES, to allow a heterodimer to form. When dialyzed into PBS, the protein eluted at a volume again corresponding to ∼20 kDa, which was comprised of a mixture of both RANTES and the variant as shown by SDS-PAGE analysis (results not shown). If the two proteins are mixed together in PBS, and immediately analyzed by size exclusion chromatography, only a peak containing [44AANA47]-RANTES is eluted (Fig. 6,c, left panel), but after 4 h at room temperature, the proteins elute as a heterodimer (right panel). This indicates that [44AANA47]-RANTES is able to dissociate preformed RANTES oligomers under physiological conditions and form the heterodimer. We then tested the ability of this heterodimeric mixture to recruit cells into the peritoneal cavity, and as is shown in Fig. 6 d, no recruitment was observed.

FIGURE 6.

Analysis of the ability of [44AANA47]-RANTES to form higher-order quaternary structures. a, The ability of RANTES (○) and [44AANA47]-RANTES (•, and see inset) to oligomerize on immobilized heparin was assessed. b, Size exclusion chromatography on Superdex 200 equilibrated in PBS of RANTES (1 mg/ml) (upper panel) or [44AANA47]-RANTES (1 mg/ml) (lower panel). c, A 1:1 mixture of RANTES and the [44AANA47]-RANTES variant at a final protein concentration of 1 mg/ml at time 0 (left panel) or 4 h after mixing (right panel). SDS-PAGE analysis of the eluted peaks: lanes 1, RANTES; 2, [44AANA47]-RANTES; 3, molecular mass markers; 4–6, fractions indicated with arrows. d, The ability of RANTES (black bars), [44AANA47]-RANTES (light gray bars), and the heterodimer (dark gray bars) to induce recruitment into the peritoneal cavity in vivo. The proteins were administered at 0.5 mg/kg i.p.

FIGURE 6.

Analysis of the ability of [44AANA47]-RANTES to form higher-order quaternary structures. a, The ability of RANTES (○) and [44AANA47]-RANTES (•, and see inset) to oligomerize on immobilized heparin was assessed. b, Size exclusion chromatography on Superdex 200 equilibrated in PBS of RANTES (1 mg/ml) (upper panel) or [44AANA47]-RANTES (1 mg/ml) (lower panel). c, A 1:1 mixture of RANTES and the [44AANA47]-RANTES variant at a final protein concentration of 1 mg/ml at time 0 (left panel) or 4 h after mixing (right panel). SDS-PAGE analysis of the eluted peaks: lanes 1, RANTES; 2, [44AANA47]-RANTES; 3, molecular mass markers; 4–6, fractions indicated with arrows. d, The ability of RANTES (black bars), [44AANA47]-RANTES (light gray bars), and the heterodimer (dark gray bars) to induce recruitment into the peritoneal cavity in vivo. The proteins were administered at 0.5 mg/kg i.p.

Close modal

The relevance of GAG binding and oligomerization in chemokine function in vivo has been recently demonstrated using variants of chemokines that have reduced GAG binding properties or are unable to oligomerize (17). We hypothesized that the mutant [44AANA47]-RANTES would have a different profile of anatomical distribution compared with wild-type chemokine following exogenous administration. Indeed, GAG binding appears to facilitate the retention of the chemokine at the local site of injection, reflected by the lack of wild-type RANTES and the comparatively high amounts of [44AANA47]-RANTES in serum following i.p. injection, as measured by ELISA. In contrast to the wild-type chemokine that is retained on cell surface GAGs in the peritoneal cavity, the variant, which has a reduced capacity to bind to GAGs, moves rapidly out of the original tissue compartment and into the circulation. Thus, proteins with intact GAG binding such as RANTES, access the circulation with slower kinetics than a protein in which GAG binding is reduced, supporting the proposed hypothesis that the GAG interaction results in a fixed directional signal at the site of chemokine injection, or by extrapolation the site of production. It has been previously shown that chemokines immobilized on solid-phase heparin in vitro can be competed off by soluble heparin, and that soluble heparin can inhibit chemokine activity (8). We show in this study that this phenomenon also appears to occur in vivo, supporting our proposal that interfering with chemokine-GAG binding is an effective strategy for targeting inflammation. Indeed, this may provide an insight into the poorly understood mechanism of action of low-molecular-mass heparin that has been reported to be therapeutically useful in a range of inflammatory and autoimmune diseases (21).

Following on from the observation that [44AANA47]-RANTES is rapidly available for detection in the serum, we hypothesized that the variant may interfere with normal chemokine function, thereby inhibiting RANTES-induced cell infiltration in vivo. Surprisingly, the variant was able to inhibit cell recruitment by RANTES into the peritoneal cavity, suggesting that the abrogation of GAG binding resulted in a potential novel anti-inflammatory protein.

Next, to further validate the potential of [44AANA47]-RANTES as an inhibitor of cell recruitment, we used three different models of inflammatory cell infiltration in vivo. The ability of thioglycolate to recruit cells into the peritoneum is well documented, so we used this model to extend the inhibition studies beyond the effect seen on RANTES itself. Again, dose-related inhibition was observed. The precise mechanism of action of thioglycolate is thus far unclear, and to date, the only chemokine and receptor reported to be involved is the MCP-1/CCR2 pair (24, 25, 26). However, because [44AANA47]-RANTES does not inhibit cell recruitment mediated by MCP-1, this result demonstrates that other chemokines, including RANTES, may be involved in mediating the activity of thioglycolate in vivo, and it is therefore plausible that a cascade of chemokines are involved that are temporally and spatially distinct. Such a cascade has been previously demonstrated in murine models of lung inflammation and EAE (27, 28, 29). We then examined whether [44AANA47]-RANTES could inhibit cell infiltration to other physiological compartments, the lung and the CNS, using well-characterized models of inflammation. In correlation with the positive effect of [44AANA47]-RANTES in the thioglycolate-induced cell recruitment model, inhibition of cell infiltration was observed in both OVA-induced lung inflammation and MOG peptide-induced CNS inflammation.

In an attempt to elucidate the anatomical site of interference by [44AANA47]-RANTES with cell rolling and adhesion in vivo mediated by wild-type RANTES, intravital microscopy in rats was used. The RANTES-induced rolling and adhesion were significantly inhibited by [44AANA47]-RANTES when injected before challenge with RANTES, providing visual evidence of the prevention of a chemokine-mediated directional signal for rolling and arrest of leukocytes on the endothelial cell layer. These steps are necessary for the subsequent recruitment of cells from the circulation into the tissue (30).

A logical mechanistic explanation of the antagonism would be receptor occupancy and/or competition for receptor binding. As shown by ELISA, the variant rapidly accesses the circulation following i.p. administration and could therefore bind to RANTES receptors, i.e., CCR1, CCR3, CCR5, on circulating leukocytes. In an attempt to elucidate the precise mechanism of action, we tested the ability of [44AANA47]-RANTES to inhibit other chemokines that share RANTES receptor usage. We observed that the variant is able to inhibit RANTES-induced cell recruitment by ≥95%. It is able to partially inhibit MIP-1β-induced cell recruitment, but the inhibition is not as complete with only 62% of the MIP-1β response abrogated. The fact that no effect is seen on MIP-1α or on Eotaxin may reflect the reduced affinity for CCR1 and CCR3 (15, 16). However, the high affinity for CCR5 is apparently not sufficient to totally compete for MIP-1β binding, indicating that the inhibitory mechanism is not fully explained by receptor occupancy.

An alternative mechanism could involve down-regulation/desensitization of the system, by flooding the peripheral blood circulation with a RANTES-related molecule. The variant is less efficient than wild type at CCR5 down-regulation in vitro, the event that is considered to be the main mechanism that terminates receptor-mediated responses (31, 32). However, this does not exclude the possibility that GRK activity is induced, and could even be resulting in heterologous cross-desensitization as has been described (33), although the observation that only RANTES-induced recruitment, and not that induced by other ligands is inhibited, suggests that this is unlikely to be the mechanism.

As seen by ELISA, in contrast to i.p. administration, i.v. administration of RANTES yields a similar level of detectable protein in the serum compared with the variant (results not shown). Therefore, to test whether the inhibitory effect of the variant involves desensitization and/or down-regulation and/or saturation of the peripheral circulation, the effect of i.v. administered RANTES or [44AANA47]-RANTES 30 min before i.p. RANTES challenge was examined. Although RANTES i.v. inhibits to some extent RANTES-mediated peritoneal recruitment, the effect is only half that compared with the effect of the variant, and so we rule out the possibility that the inhibition is mediated by a desensitization or saturation effect. Furthermore, RANTES has no inhibitory effect on thioglycolate-mediated cell recruitment, confirming that [44AANA47]-RANTES is acting by an alternative mechanism than desensitization.

The most likely mechanism of action of inhibition by [44AANA47]-RANTES is based upon its ability to interrupt RANTES oligomerization. [44AANA47]-RANTES is unable to oligomerize on immobilized heparin in vitro. The interdependence of GAG binding and oligomerization is thus crucial for both biological activity and tissue distribution of RANTES, which is similar to results for another chemokine IL-8 (34). As the molecule does not aggregate but is still able to form dimers at concentrations ∼100 μM, we investigated whether it could form heterodimers with the wild-type protein. The fact that it is able to do so, and that the heterodimer is inactive in vivo, indicates that it could be acting by sequestering the endogenously produced RANTES and preventing it from forming oligomers on the endothelial cell surface. This could be compared with the dominant-negative effect of nonsignaling TNF molecules, which have been shown to be capable of sequestering the wild-type protein into heterotrimers, thereby abolishing the activity of endogenous TNF and resulting in an anti-inflammatory effect (35).

Numerous chemokines, including RANTES, have been demonstrated to be present in CNS lesions of tissue obtained from patients with MS (36), RANTES mRNA is expressed by cells in the perivascular infiltrate of MS lesions, and RANTES is selectively elevated in the cerebrospinal fluid of MS patients during attacks (37). Moreover, RANTES polymorphisms (38, 39) are strongly associated with MS (J. Oksenberg and R. Ransohoff, unpublished observations). In addition, animal models of this disease, including EAE induced in mice or rats, have documented the role of chemokines using neutralizing Abs (40), gene-targeted mice (41, 42), and most recently via a small molecular mass inhibitor of CCR1 (43). The role of RANTES in EAE has remained uncertain, because neutralization of RANTES by administration of an Ab was ineffective in blocking or treating adoptive-transfer EAE (44), but Met-RANTES was shown to ameliorate neurological disability in a chronic-relapsing EAE model, whereas it had no effect on acute monophasic EAE (45). However, the results presented in this study confirm the role of RANTES in the development and progression of EAE, concurrent with recent reports of RANTES up-regulation in murine EAE (46, 47). The increased potency of [44AANA47]-RANTES over Met-RANTES could be attributed to its proposed mode of action in that it inhibits oligomerization, a property of RANTES, and Met-RANTES, that has been shown to induce certain activation events (E. Fish, unpublished observations). Additionally, a recent study has implicated a key role for RANTES in viral-induced demyelination (48). The significant reduction in clinical score and delayed onset of disease symptoms in mice treated with [44AANA47]-RANTES validate an approach involving disruption of chemokine-GAG interactions as a therapeutic anti-inflammatory strategy.

In summary, our observations demonstrate a novel mechanism of inhibition of the chemokine system that is not receptor antagonism. Instead, it is based on the disruption of the creation of the directional signal provided by the chemokine, and appears to have two components. The first and lesser effect may be competition for CCR5, because the variant has some effect on MIP-1β-induced cell recruitment. The second component is a novel mechanism, because it appears to act on the ligand itself, rather than on the receptor. There appears to be a potent, direct, and specific effect on RANTES, because it completely abrogates RANTES activity, despite having a reduced affinity for CCR1, confirmed by its inability to inhibit MIP-1α. Because the variant accesses the circulation readily after i.p. administration, due to its reduced GAG binding, it could sequester endogenous RANTES to form a nonfunctional heterodimer, preventing RANTES oligomerization, which is obligatory for the formation of the directional signal (17).

The blockade of chemokine action represents a powerful intervention strategy for many inflammatory-based, including autoimmune diseases. To date, most therapeutic strategies have focused on disrupting the chemokine/receptor interaction. However, the results presented in this study validate a potent novel approach to modulate the progression of chemokine-mediated inflammatory disorders via disrupting the immobilization and associated oligomerization of chemokines on GAGs associated with endothelial cell surfaces and the extracellular matrix.

The costs of publication of this article were defrayed in part by the payment of page charges. This article must therefore be hereby marked advertisement in accordance with 18 U.S.C. Section 1734 solely to indicate this fact.

5

Abbreviations used in this paper: GAG, glycosaminoglycan; EAE, experimental autoimmune encephalomyelitis; MOG, myelin oligodendrocyte protein; MS, multiple sclerosis.

6

The on-line version of this article contains supplemental material.

1
Rollins, B. J..
1997
. Chemokines.
Blood
90
:
909
.
2
Campbell, D. J., C. H. Kim, E. C. Butcher.
2003
. Chemokines in the systemic organization of immunity.
Immunol. Rev.
195
:
58
.
3
Gerard, C., B. J. Rollins.
2001
. Chemokines and disease.
Nat. Immunol.
2
:
108
.
4
Proudfoot, A. E., C. A. Power, C. Rommel, T. N. Wells.
2003
. Strategies for chemokine antagonists as therapeutics.
Semin. Immunol.
15
:
57
.
5
Rot, A..
1993
. Neutrophil attractant/activation protein-1 (interleukin-8) induces in vitro neutrophil migration by haptotactic mechanism.
Eur. J. Immunol.
23
:
303
.
6
Middleton, J., S. Neil, J. Wintle, L. I. Clark, H. Moore, C. Lam, M. Auer, E. Hub, A. Rot.
1997
. Transcytosis and surface presentation of IL-8 by venular endothelial cells.
Cell
91
:
385
.
7
McFadden, G., D. Kelvin.
1997
. New strategies for chemokine inhibition and modulation: you take the high road and I’ll take the low road.
Biochem. Pharmacol.
54
:
1271
.
8
Kuschert, G. S., F. Coulin, C. A. Power, A. E. Proudfoot, R. E. Hubbard, A. J. Hoogewerf, T. N. Wells.
1999
. Glycosaminoglycans interact selectively with chemokines and modulate receptor binding and cellular responses.
Biochemistry (Mosc.)
38
:
12959
.
9
Witt, D. P., A. D. Lander.
1994
. Differential binding of chemokines to glycosaminoglycan subpopulations.
Curr. Biol.
4
:
394
.
10
Hoogewerf, A. J., G. S. Kuschert, A. E. Proudfoot, F. Borlat, I. Clark-Lewis, C. A. Power, T. N. Wells.
1997
. Glycosaminoglycans mediate cell surface oligomerization of chemokines.
Biochemistry (Mosc.)
36
:
13570
.
11
Ali, S., A. C. Palmer, B. Banerjee, S. J. Fritchley, J. A. Kirby.
2000
. Examination of the function of RANTES, MIP-1α, and MIP-1β following interaction with heparin-like glycosaminoglycans.
J. Biol. Chem.
275
:
11721
.
12
Stringer, S. E., J. T. Gallagher.
1997
. Specific binding of the chemokine platelet factor 4 to heparan sulfate.
J. Biol. Chem.
272
:
20508
.
13
Spillmann, D., D. Witt, U. Lindahl.
1998
. Defining the interleukin-8-binding domain of heparan sulfate.
J. Biol. Chem.
273
:
15487
.
14
Stringer, S. E., M. J. Forster, B. Mulloy, C. R. Bishop, G. J. Graham, J. T. Gallagher.
2002
. Characterization of the binding site on heparan sulfate for macrophage inflammatory protein 1α.
Blood
100
:
1543
.
15
Proudfoot, A. E., S. Fritchley, F. Borlat, J. P. Shaw, F. Vilbois, C. Zwahlen, A. Trkola, D. Marchant, P. R. Clapham, T. N. Wells.
2001
. The BBXB motif of RANTES is the principal site for heparin binding and controls receptor selectivity.
J. Biol. Chem.
276
:
10620
.
16
Martin, L., C. Blanpain, P. Garnier, V. Wittamer, M. Parmentier, C. Vita.
2001
. Structural and functional analysis of the RANTES-glycosaminoglycans interactions.
Biochemistry (Mosc.)
40
:
6303
.
17
Proudfoot, A. E., T. M. Handel, Z. Johnson, E. K. Lau, P. LiWang, I. Clark-Lewis, F. Borlat, T. N. Wells, M. H. Kosco-Vilbois.
2003
. Glycosaminoglycan binding and oligomerization are essential for the in vivo activity of certain chemokines.
Proc. Natl. Acad. Sci. USA
100
:
1885
.
18
Fernandez, E. J., E. Lolis.
2002
. Structure, function, and inhibition of chemokines.
Annu. Rev. Pharmacol. Toxicol.
42
:
469
.
19
Czaplewski, L. G., J. McKeating, C. J. Craven, L. D. Higgins, V. Appay, A. Brown, T. Dudgeon, L. A. Howard, T. Meyers, J. Owen, et al
1999
. Identification of amino acid residues critical for aggregation of human CC chemokines macrophage inflammatory protein (MIP)-1α, MIP-1β, and RANTES: characterization of active disaggregated chemokine variants.
J. Biol. Chem.
274
:
16077
.
20
Lider, O., E. Baharav, Y. A. Mekori, T. Miller, Y. Naparstek, I. Vlodavsky, I. R. Cohen.
1989
. Suppression of experimental autoimmune diseases and prolongation of allograft survival by treatment of animals with low doses of heparins.
J. Clin. Invest.
83
:
752
.
21
Lever, R., C. P. Page.
2002
. Novel drug development opportunities for heparin.
Nat. Rev. Drug Discov.
1
:
140
.
22
Douglas, M. S., D. A. Rix, J. H. Dark, D. Talbot, J. A. Kirby.
1997
. Examination of the mechanism by which heparin antagonizes activation of a model endothelium by interferon-γ (IFN-γ).
Clin. Exp. Immunol.
107
:
578
.
23
Mack, M., B. Luckow, P. J. Nelson, J. Cihak, G. Simmons, P. R. Clapham, N. Signoret, M. Marsh, M. Stangassinger, F. Borlat, et al
1998
. Aminooxypentane-RANTES induces CCR5 internalization but inhibits recycling: a novel inhibitory mechanism of HIV infectivity.
J. Exp. Med.
187
:
1215
.
24
Kuziel, W. A., S. J. Morgan, T. C. Dawson, S. Griffin, O. Smithies, K. Ley, N. Maeda.
1997
. Severe reduction in leukocyte adhesion and monocyte extravasation in mice deficient in CC chemokine receptor 2.
Proc. Natl. Acad. Sci. USA
94
:
12053
.
25
Boring, L., J. Gosling, S. W. Chensue, S. L. Kunkel, R. V. Farese, H. E. Broxmeyer, I. F. Charo.
1997
. Impaired monocyte migration and reduced type 1 (Th1) cytokine responses in C-C chemokine receptor 2 knockout mice.
J. Clin. Invest.
100
:
2552
.
26
Lu, B., B. J. Rutledge, L. Gu, J. Fiorillo, N. W. Lukacs, S. L. Kunkel, R. North, C. Gerard, B. J. Rollins.
1998
. Abnormalities in monocyte recruitment and cytokine expression in monocyte chemoattractant protein 1-deficient mice.
J. Exp. Med.
187
:
601
.
27
Gonzalo, J. A., C. M. Lloyd, J. P. Albar, D. Wen, T. N. C. Wells, A. E. I. Proudfoot, C. Martinez-A, T. Bjerke, A. J. Coyle, J. C. Gutierrez-Ramos.
1998
. The coordinated action of CC chemokines in the lung orchestrates allergic inflammation and airway hyperresponsiveness.
J. Exp. Med.
188
:
157
.
28
Campbell, E. M., S. L. Kunkel, R. M. Strieter, N. W. Lukacs.
1998
. Temporal role of chemokines in a murine model of cockroach allergen-induced airway hyperreactivity and eosinophilia.
J. Immunol.
161
:
7047
.
29
Karpus, W. J., R. M. Ransohoff.
1998
. Chemokine regulation of experimental autoimmune encephalomyelitis: temporal and spatial expression patterns govern disease pathogenesis.
J. Immunol.
161
:
2667
.
30
Butcher, E. C..
1991
. Leukocyte-endothelial cell recognition: three (or more) steps to specificity and diversity.
Cell
67
:
1033
.
31
Haribabu, B., R. M. Richardson, I. Fisher, S. Sozzani, S. C. Peiper, R. Horuk, H. Ali, R. Snyderman.
1997
. Regulation of human chemokine receptors CXCR4. Role of phosphorylation in desensitization and internalization.
J. Biol. Chem.
272
:
28726
.
32
Aragay, A. M., M. Mellado, J. M. Frade, A. M. Martin, M. C. Jimenez-Sainz, A. Martinez, F. Mayor, Jr.
1998
. Monocyte chemoattractant protein-1-induced CCR2B receptor desensitization mediated by the G protein-coupled receptor kinase 2.
Proc. Natl. Acad. Sci. USA
95
:
2985
.
33
Richardson, R. M., B. C. Pridgen, B. Haribabu, R. Snyderman.
2000
. Regulation of the human chemokine receptor CCR1: cross-regulation by CXCR1 and CXCR2.
J. Biol. Chem.
275
:
9201
.
34
Frevert, C. W., M. G. Kinsella, C. Vathanaprida, R. B. Goodman, D. G. Baskin, A. Proudfoot, T. N. Wells, T. N. Wight, T. R. Martin.
2003
. Binding of interleukin-8 to heparan sulfate and chondroitin sulfate in lung tissue.
Am. J. Respir. Cell Mol. Biol.
28
:
464
.
35
Steed, P. M., M. G. Tansey, J. Zalevsky, E. A. Zhukovsky, J. R. Desjarlais, D. E. Szymkowski, C. Abbott, D. Carmichael, C. Chan, L. Cherry, et al
2003
. Inactivation of TNF signaling by rationally designed dominant-negative TNF variants.
Science
301
:
1895
.
36
Ransohoff, R. M..
2002
. The chemokine system in neuroinflammation: an update.
J Infect. Dis.
186
:(Suppl. 2):
S152
.
37
Sorensen, T. L., M. Tani, J. Jensen, V. Pierce, C. Lucchinetti, V. A. Q. Folcik, J. Rottman, F. Sellebjerg, R. M. Strieter, J. L. R. Frederiksen.
1999
. Expression of specific chemokines and chemokine receptors in the central nervous system of multiple sclerosis patients.
J. Clin. Invest.
103
:
807
.
38
Hajeer, A. H., F. al Sharif, W. E. Ollier.
1999
. A polymorphism at position −403 in the human RANTES promoter.
Eur. J. Immunogenet.
26
:
375
.
39
al Sharif, F., W. E. Ollier, A. H. Hajeer.
1999
. A rare polymorphism at position −28 in the human RANTES promoter.
Eur. J. Immunogenet.
26
:
373
.
40
Karpus, W. J., K. J. Kennedy.
1997
. MIP-1α and MCP-1 differentially regulate acute and relapsing autoimmune encephalomyelitis as well as Th1/Th2 lymphocyte differentiation.
J. Leukocyte Biol.
62
:
681
.
41
Izikson, L., R. S. Klein, I. F. Charo, H. L. Weiner, A. D. Luster.
2000
. Resistance to experimental autoimmune encephalomyelitis in mice lacking the CC chemokine receptor (CCR)2.
J. Exp. Med.
192
:
1075
.
42
Huang, D., J. Wang, P. Kivisakk, B. J. Rollins, R. M. Ransohoff.
2001
. Absence of monocyte chemoattractant protein 1 in mice leads to decreased local macrophage recruitment and antigen-specific T helper cell type 1 immune response in experimental autoimmune encephalomyelitis.
J. Exp. Med.
193
:
713
.
43
Liang, M., C. Mallari, M. Rosser, H. P. Ng, K. May, S. Monahan, J. G. Bauman, I. Islam, A. Ghannam, B. Buckman, et al
2000
. Identification and characterization of a potent, selective, and orally active antagonist of the CC chemokine receptor-1.
J. Biol. Chem.
275
:
19000
.
44
Kennedy, K. J., R. M. Strieter, S. L. Kunkel, N. W. Lukacs, W. J. Karpus.
1998
. Acute and relapsing experimental autoimmune encephalomyelitis are regulated by differential expression of the CC chemokines macrophage inflammatory protein-1α and monocyte chemotactic protein-1.
J. Neuroimmunol.
92
:
98
.
45
Matsui, M., J. Weaver, A. E. Proudfoot, J. R. Wujek, T. Wei, E. Richer, B. D. Trapp, A. Rao, R. M. Ransohoff.
2002
. Treatment of experimental autoimmune encephalomyelitis with the chemokine receptor antagonist Met-RANTES.
J. Neuroimmunol.
128
:
16
.
46
Glabinski, A. R., B. Bielecki, R. M. Ransohoff.
2003
. Chemokine upregulation follows cytokine expression in chronic relapsing experimental autoimmune encephalomyelitis.
Scand. J. Immunol.
58
:
81
.
47
Bagaeva, L. V., L. P. Williams, B. M. Segal.
2003
. IL-12 dependent/IFN-γ independent expression of CCR5 by myelin-reactive T cells correlates with encephalitogenicity.
J. Neuroimmunol.
137
:
109
.
48
Glass, W. G., M. J. Hickey, J. L. Hardison, M. T. Liu, J. E. Manning, T. E. Lane.
2004
. Antibody targeting of the CC chemokine ligand 5 results in diminished leukocyte infiltration into the central nervous system and reduced neurologic disease in a viral model of multiple sclerosis.
J. Immunol.
172
:
4018
.