Abstract
Thymic stromal lymphopoietin (TSLP) is said to increase expression of chemokines attracting Th2 T cells. We hypothesized that asthma is characterized by elevated bronchial mucosal expression of TSLP and Th2-attracting, but not Th1-attracting, chemokines as compared with controls, with selective accumulation of cells bearing receptors for these chemokines. We used in situ hybridization and immunohistochemistry to examine the expression and cellular provenance of TSLP, Th2-attracting (thymus and activation-regulated chemokine (TARC)/CCL17, macrophage-derived chemokine (MDC)/CCL22, I-309/CCL1) and Th1-attracting (IFN-γ-inducible protein 10 (IP-10)/CXCL10, IFN-inducible T cell α-chemoattractant (I-TAC)/CXCL11) chemokines and expression of their receptors CCR4, CCR8, and CXCR3 in bronchial biopsies from 20 asthmatics and 15 normal controls. The numbers of cells within the bronchial epithelium and submucosa expressing mRNA for TSLP, TARC/CCL17, MDC/CCL22, and IP-10/CXCL10, but not I-TAC/CXCL11 and I-309/CCL1, were significantly increased in asthmatics as compared with controls (p ≤ 0.018). TSLP and TARC/CCL17 expression correlated with airway obstruction. Although the total numbers of cells expressing CCR4, CCR8, and CXCR3 did not significantly differ in the asthmatics and controls, there was evidence of selective infiltration of CD4+/CCR4+ T cells in the asthmatic biopsies which correlated with TARC and MDC expression and airway obstruction. Epithelial cells, endothelial cells, neutrophils, macrophages, and mast cells were significant sources of TSLP and chemokines. Our data implicate TSLP, TARC/CCL17, MDC/CCL22, and IP-10/CXCL10 in asthma pathogenesis. These may act partly through selective development and retention, or recruitment of Th2 cells bearing their receptors.
Asthma is characterized by T cell activation, overproduction of Th2 type cytokines in the bronchial mucosa, and elevated production of inflammatory granulocytes, particularly eosinophils, in the bone marrow (1). Excessive Th2 cytokine production may partly reflect selective infiltration of T cells with a functional Th2 phenotype.
Although cytokines regulate hemopoiesis, tissue cellular infiltration is critically regulated by chemokines, which induce chemotaxis and diapedesis of specific subsets of leukocytes according to their expression of chemokine receptors (2). The chemokines thymus and activation-regulated chemokine (TARC)3/CCL17 and macrophage-derived chemokine (MDC)/CCL22 are ligands for the chemokine receptor CCR4, expressed on Th2 T cells, while eotaxin/CCL5 and I-309/CCL1 are, respectively, ligands for CCR3 and CCR8 expressed on subsets of these cells (2, 3). IFN-γ-inducible protein 10 (IP-10)/CXCL10 and IFN-inducible T cell α-chemoattractant (I-TAC)/CXCL11 are ligands for CXCR3, expressed on Th1 T cells (2, 4). Some studies (5, 6) suggest that expression of chemokine receptors on T cells in the airways of patients with various lung diseases reflects their putative functional (Th1 vs Th2) properties, although others (7) suggest that T cell chemokine receptor expression is associated primarily with tissue distribution.
Little is known about the regulation of the expression of chemokines at mucosal surfaces in vivo, but attention has recently been drawn to the role of “stromal lymphopoietins,” or tissue-derived cytokines, in this process. The IL-7-like cytokine thymic stromal lymphopoietin (TSLP) has recently been shown to induce the production of Th2-attracting chemokines such as TARC/CCL17 and prime Th2 T cell development (8). TSLP is of particular interest because it appears to be produced at the epithelial interface (8), and may represent a mechanism whereby environmental stimuli initiate Th2 responses to allergen, and through chemokine production retain or attract Th2 cells in asthmatic airways. We have now measured the expression and cellular provenance of the Th2-attracting chemokines TARC/CCL17, MDC/CCL22, and I-309/CCL1, the Th1-attracting chemokines IP-10/CXCL10 and I-TAC/CXCL11, and TSLP in asthmatics and controls. We hypothesized that elevated expression of TSLP leads to elevated expression of Th2-, but not Th1-, attracting chemokines in asthmatics, to a degree which correlates with accumulation of inflammatory cells expressing corresponding chemokine receptors, as well as lung function.
Materials and Methods
Study patients
The study was approved by one of the Ethics Committees of the GKT School of Medicine (that of King’s College Hospital). Each subject provided written, informed consent. Endobronchial biopsies were obtained from 20 asthmatics and 15 normal controls (for details see Table I). The patients were recruited in the Department of Asthma, Allergy and Respiratory Science (GKT School of Medicine). Asthmatics had a clear history of relevant symptoms, documented reversible airway obstruction (20% improvement in forced expiratory volume in the first second (FEV1) either spontaneously or after administration of inhaled β2 agonist), and/or histamine provocation concentration causing a 20% fall in FEV1 (<8 mg/ml) measured within 2 wk before biopsy. None had ever smoked and there was no history of other respiratory disease. All subjects were clinically free of respiratory infection and systemic glucocorticoid therapy for at least 1 mo before the study. Atopy was defined as a positive skin prick test (wheal at 15 min >3 mm in diameter in the presence of positive histamine and negative diluent controls) to one or more extracts of common local aeroallergens. Normal control subjects were healthy, lifelong, nonsmoking volunteers who had no history of lung disease.
Clinical data on asthmatics and controlsa
| Subject . | Age∗ . | FEV1∗∗ (% predicted) . | Therapyb . |
|---|---|---|---|
| Asthma | |||
| Mild (n = 6) | 33.5 (28–73) | 88.5 (82–108) | 6 SABA |
| 2 IG 300 (200–400) | |||
| Moderate (n = 7) | 45 (27–57) | 76.0 (74–81) | 7 SABA |
| 4 LABA | |||
| 7 IG 1000 (200–1000) | |||
| Severe (n = 7) | 45 (36–73) | 57.0 (32–69) | 7 SABA |
| 7 LABA | |||
| 7 IG 1000 (500–2000) | |||
| Control (n = 15) | 36 (19–45) | 123.0 (118–134) |
| Subject . | Age∗ . | FEV1∗∗ (% predicted) . | Therapyb . |
|---|---|---|---|
| Asthma | |||
| Mild (n = 6) | 33.5 (28–73) | 88.5 (82–108) | 6 SABA |
| 2 IG 300 (200–400) | |||
| Moderate (n = 7) | 45 (27–57) | 76.0 (74–81) | 7 SABA |
| 4 LABA | |||
| 7 IG 1000 (200–1000) | |||
| Severe (n = 7) | 45 (36–73) | 57.0 (32–69) | 7 SABA |
| 7 LABA | |||
| 7 IG 1000 (500–2000) | |||
| Control (n = 15) | 36 (19–45) | 123.0 (118–134) |
Data are expressed as the median (range). ∗, p = 0.19, ∗∗, p < 0.00001 (Kruskal-Wallis ANOVA between the asthma subgroups).
SABA, short-acting β2 agonist; LABA, long-acting β2 agonist; IG, inhaled glucocorticoid (figures show beclometasone dosage equivalent in micrograms per day). Nine of 11 asthmatics and 6 of 9 controls were female. Nineteen of 20 asthmatics and 4 of 15 controls were atopic.
Fiberoptic bronchoscopy
Fiberoptic bronchoscopy was performed using an Olympus BF model XT30 bronchoscope at 9:00 a.m. All subjects were premedicated with 2.5 mg of nebulized salbutamol ± 0.6 mg of i.v. atropine. Sedation was achieved with i.v. midazolam (1–10 mg) and alfentanil (1–500 μg). Biopsies were taken from right middle and lower lobe bronchi using Olympus alligator forceps (model FB15C). All subjects were given a further 2.5 mg of nebulized salbutamol immediately after the procedure. Bronchoscopy was well-tolerated by all the subjects and safety was prospectively monitored. Bronchial biopsies were processed as previously described (9).
In situ hybridization (ISH)
All reagents used for ISH were from Sigma-Aldrich unless otherwise indicated. The cDNAs of human TARC/CCL17 (full encoding region 1–285; Ref. 10) and MDC/CCL22 (full encoding region 1–282; Ref. 11) and cDNA fragments (generated by PCR) encoding human TSLP (151 bp, encoding region 518–668; Ref. 12), IP-10/CXCL10 (168 bp, encoding region 115–282; Ref. 13), I-TAC/CXCL11 (187 bp, encoding region 64–250; Ref. 14), and I-309/CCL1 (273 bp, encoding region 165–437; Ref. 15) were used in the present study to prepare digoxigenin-labeled riboprobes as previously described (9).
Negative controls used hybridization with sense probes and pretreatment of slides with RNase A (Promega) before hybridization with the antisense probe. Slides were counted in duplicate, blind to the patients’ clinical status, using an eyepiece graticule, as previously described (9). The results were expressed as the numbers of positive cells per millimeter length of basement membrane (epithelium) and per square millimeter of submucosa.
Immunohistochemistry (IHC)
Single IHC was performed using the alkaline phosphatase anti-alkaline phosphatase (APAAP) technique (9) and mAbs against human epithelial cells (cytokeratin, clone no: MNF 116), endothelial cells (CD31, clone no: JC/70A), macrophages (CD68, clone no: EBM11), mast cell tryptase (clone no: AA1), neutrophil elastase (clone no: NP57, DAKO), T cells (CD3, CD4; BD Biosciences), eosinophil basic protein (major basic protein (MBP), a kind gift from A. B. Kay, National Heart and Lung Institute, Imperial College, London, U.K.) (16), and human CXCR3 (R&D Systems). Polyclonal Abs were used to detect CCR4 (Santa Cruz Biotechnology) and CCR8 (Alexis) (3, 4, 5). To identify CCR4+/CD4+ T cells, double IHC was performed (9). Briefly, sections were incubated with goat anti-human CCR4 and mouse monoclonal human CD4 overnight at room temperature. After washing, biotin-labeled rabbit anti-goat (Vector Laboratories) and rabbit anti-mouse IgG (DAKO) were used to detect the primary Abs. The CD4+ T cells were detected using APAAP with Fast Red (Sigma-Aldrich) as above. The avidin-biotin complex (ABC; Vector Laboratories) technique was used to identify CCR4 immunoreactivity as described previously (9). The signals were developed with Fast DAB (3,′ 3-diaminobenzidine; Sigma-Aldrich). CD4+/CCR4+ cells were red/brown. To phenotype the cellular sources of TSLP, TARC/CCL17, and IP-10/CXCL10 mRNA, sequential IHC/ISH was used as previously described (9). Sections from six asthmatics and six normal controls with high expression of TSLP, TARC/CCL17, and IP-10/CXCL10 mRNA were chosen. After developing with Fast Red to identify cell phenotypes, ISH was performed using digoxigenin-labeled riboprobes (9) specific for these moieties. The numbers of positive cells expressing phenotypic markers, cytokine or chemokine mRNA, or both were counted in the epithelial area and submucosa in whole sections.
Statistical analysis
Data were analyzed with the aid of a commercially available statistical package (Minitab for Windows, Minitab Release 9.2). The Mann-Whitney U test (with Bonferroni’s correction) and Kruskal-Wallis ANOVA were used for between and within-group comparisons, respectively. Correlation coefficients were obtained by Spearman’s rank-order method with correction for tied values. For all tests, p < 0.05 was considered significant.
Results
Clinical data
The median FEV1 (percent predicted) of the asthmatics (median: 75.4%, range: 32–108.0%) was significantly lower than that of the normal controls (median: 123.0%, 118.1–134.0%) (p < 0.0001). The clinical details are summarized in Table I.
Expression of TSLP mRNA
Typical examples of single ISH and sequential IHC/ISH staining are shown in Fig. 1. Using ISH, TSLP mRNA-expressing cells were identifiable in the bronchial epithelium and submucosa in both asthmatics and controls. At both sites, the numbers of TSLP mRNA+ cells were significantly elevated in the asthmatics as compared with the controls (p = 0.0008, p = 0.006, respectively, Fig. 2). In the asthmatics, the numbers of both epithelial and submucosal cells expressing TSLP mRNA correlated inversely with FEV1 (epithelium: r = −0.675, p = 0.001, see Fig. 2; submucosa: r = −0.549, p = 0.012, data not shown).
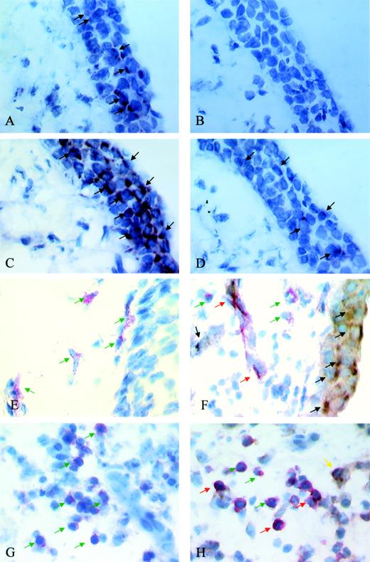
Typical examples of single ISH, single IHC, sequential ISH/IHC, and double IHC in bronchial biopsies from asthmatics (original magnification, ×1000). A, Single ISH with digoxigenin-labeled TSLP antisense riboprobe; B, control staining with TSLP sense riboprobe; C, TARC/CCL17 antisense riboprobe; D, IP-10/CXCL10 antisense riboprobe; positive cells stain brown/black (highlighted by black arrows). E, Single IHC showing CD31+ endothelial cells. Positive cells stain red (green arrows). F, Sequential IHC/ISH showing single CD31+ endothelial cells (red) (green arrows), single TSLP mRNA+ cells (brown/black) (black arrows), and double TSLP+/CD31+ endothelial cells (red/black) (red arrows). G, Single IHC showing CD4+ cells (red) (green arrows). H, Sequential IHC showing CD4+/CCR4+ cells (red/brown) (red arrows), and single-positive CD4+ cells (red) (green arrows) and CCR4+ cells (brown/black) (yellow arrow).
Typical examples of single ISH, single IHC, sequential ISH/IHC, and double IHC in bronchial biopsies from asthmatics (original magnification, ×1000). A, Single ISH with digoxigenin-labeled TSLP antisense riboprobe; B, control staining with TSLP sense riboprobe; C, TARC/CCL17 antisense riboprobe; D, IP-10/CXCL10 antisense riboprobe; positive cells stain brown/black (highlighted by black arrows). E, Single IHC showing CD31+ endothelial cells. Positive cells stain red (green arrows). F, Sequential IHC/ISH showing single CD31+ endothelial cells (red) (green arrows), single TSLP mRNA+ cells (brown/black) (black arrows), and double TSLP+/CD31+ endothelial cells (red/black) (red arrows). G, Single IHC showing CD4+ cells (red) (green arrows). H, Sequential IHC showing CD4+/CCR4+ cells (red/brown) (red arrows), and single-positive CD4+ cells (red) (green arrows) and CCR4+ cells (brown/black) (yellow arrow).
Numbers of cells expressing TSLP mRNA in the epithelium (positive cells/mm length of basement membrane; top left) and submucosa (positive cells/mm2 of submucosa; top right) of bronchial biopsies from asthma and normal controls, and correlations between FEV1 and epithelial expression of TSLP (bottom left) and TARC/CCL17 (bottom right) mRNA+ cells in asthmatics.
Numbers of cells expressing TSLP mRNA in the epithelium (positive cells/mm length of basement membrane; top left) and submucosa (positive cells/mm2 of submucosa; top right) of bronchial biopsies from asthma and normal controls, and correlations between FEV1 and epithelial expression of TSLP (bottom left) and TARC/CCL17 (bottom right) mRNA+ cells in asthmatics.
Expression of Th2-attracting chemokine (TARC/CCL17, MDC/CCL22, and I-309/CCL1) mRNA
The numbers of TARC/CCL17 and MDC/CCL22 mRNA+ cells were significantly elevated in both the epithelium (p = 0.003, p = 0.0007, respectively) and the submucosa (p = 0.018, p = 0.0041) of the bronchial biopsies of the asthmatics compared with the controls (Fig. 3). In contrast, the numbers of I-309/CCL1 mRNA+ cells did not significantly differ at either site (Fig. 3). Epithelial and submucosal expression of TARC/CCL17, but not MDC/CCL22 mRNA correlated inversely with FEV1 (r = −0.754, p = 0.0001, see Fig. 2; r = −0.601, p = 0.005, respectively). Furthermore, both epithelial (r = 0.791, p = 0.0001, not shown) and submucosal (r = 0.515, p = 0.02, not shown) expression of TSLP correlated with that of TARC/CCL17, although the total numbers of cells expressing TSLP mRNA were considerably lower than those expressing TARC/CCL17. Additionally, epithelial TSLP expression correlated weakly with that of MDC (r = 0.445, p = 0.049, not shown).
Numbers of cells expressing mRNA encoding the Th2-type chemokines TARC/CCL17 (top row), MDC/CCL22 (middle row), and I-309/CCL1 (bottom row) in the epithelium (positive cells/mm length of basement membrane, left) and submucosa (positive cells/mm2 of submucosa, right) of bronchial biopsies from asthma and normal controls.
Numbers of cells expressing mRNA encoding the Th2-type chemokines TARC/CCL17 (top row), MDC/CCL22 (middle row), and I-309/CCL1 (bottom row) in the epithelium (positive cells/mm length of basement membrane, left) and submucosa (positive cells/mm2 of submucosa, right) of bronchial biopsies from asthma and normal controls.
Expression of Th1-attracting chemokine (IP-10/CXCL10 and I-TAC/CXCL11) mRNA
In both the epithelium and the submucosa, the numbers of IP-10/CXCL10 mRNA+ cells were significantly elevated in the asthmatics as compared with the normal controls (p = 0.008, p = 0.0002, respectively, Fig. 4). In contrast, there were no significant differences in the numbers of I-TAC/CXCL11 mRNA+ cells, either in the epithelium or in the submucosa, between the two subject groups (Fig. 4).
Numbers of cells expressing mRNA encoding the Th1-type chemokines IP-10/CXCL10 (top row) and I-TAC/CXCL11 (bottom row) in the epithelium and submucosa of bronchial biopsies from asthma and normal controls.
Numbers of cells expressing mRNA encoding the Th1-type chemokines IP-10/CXCL10 (top row) and I-TAC/CXCL11 (bottom row) in the epithelium and submucosa of bronchial biopsies from asthma and normal controls.
Inflammatory cellular infiltration and chemokine receptor expression
Single IHC showed that the numbers of CD3+ and CD4+ T cells, tryptase+ mast cells, MBP+ eosinophils, CD68+ macrophages, and elastase+ neutrophils were statistically similar in the bronchial epithelium in asthmatics and normal controls (Table II). With the exception of epithelial macrophages and mast cells, there was no significant variation in the numbers of these cells at both sites between the asthmatic subgroups (Table II). The numbers of MBP+ eosinophils and elastase+ neutrophils were significantly elevated in the submucosa of asthmatics as compared with normal controls (p = 0.0001, p = 0.003 respectively) (Table II). There were no significant differences in the numbers of cells expressing immunoreactivity for CCR4, CCR8, or CXCR3, either in the epithelium or in the submucosa, in asthmatics and normal controls (Table III).
The numbers of inflammatory cells in the epithelium and submucosaa
| . | CD3 . | CD4 . | CD68 . | Tryptase . | MBP . | Elastase . |
|---|---|---|---|---|---|---|
| Epithelium | ||||||
| Asthma (n = 20) | 3.1 (0.0–7.4) | 1.7 (0.0–4.3) | 5.4 (0.0–9.2) | 4.1 (0.0–7.8) | 1.3 (0.0–4.1) | 4.6 (0.7–13.3) |
| Control (n = 15) | 1.2 (0.0–5.4) | 1.0 (0.0–5.0) | 4.7 (2.1–7.9) | 4.4 (1.1–7.7) | 0.0 (0.0–1.2) | 4.4 (0.0–7.8) |
| Submucosa | ||||||
| Asthma (n = 20) | 17.0 (4.9–243.9) | 11.6 (2.3–258.4) | 30.1 (15.6–58.7) | 23.2 (4.9–45.0) | 7.9∗∗ (2.2–24.1) | 15.0∗ (5.9–33.2) |
| Control (n = 15) | 12.6 (4.3–159.8) | 11.0 (4.3–141.0) | 19.9 (4.6–44.0) | 15.9 (4.6–43.0) | 1.1 (0.0–4.7) | 6.0 (1.7–27.1) |
| . | CD3 . | CD4 . | CD68 . | Tryptase . | MBP . | Elastase . |
|---|---|---|---|---|---|---|
| Epithelium | ||||||
| Asthma (n = 20) | 3.1 (0.0–7.4) | 1.7 (0.0–4.3) | 5.4 (0.0–9.2) | 4.1 (0.0–7.8) | 1.3 (0.0–4.1) | 4.6 (0.7–13.3) |
| Control (n = 15) | 1.2 (0.0–5.4) | 1.0 (0.0–5.0) | 4.7 (2.1–7.9) | 4.4 (1.1–7.7) | 0.0 (0.0–1.2) | 4.4 (0.0–7.8) |
| Submucosa | ||||||
| Asthma (n = 20) | 17.0 (4.9–243.9) | 11.6 (2.3–258.4) | 30.1 (15.6–58.7) | 23.2 (4.9–45.0) | 7.9∗∗ (2.2–24.1) | 15.0∗ (5.9–33.2) |
| Control (n = 15) | 12.6 (4.3–159.8) | 11.0 (4.3–141.0) | 19.9 (4.6–44.0) | 15.9 (4.6–43.0) | 1.1 (0.0–4.7) | 6.0 (1.7–27.1) |
The numbers of inflammatory positive cells in the epithelium (positive cells/mm length of basement membrane) and submucosa (positive cells/mm2 of submucosa) of bronchial biopsies from asthmatics and normal controls. The data are expressed as the median (range). ∗, p = 0.003 (vs control); ∗∗, p = 0.0001 (vs control). The Mann-Whitney U test was used for all analyses.
Numbers of CCR4, CCR8, and CXCR3 immunoreactive cellsa
| Epithelium . | CCR4 . | CCR8 . | CXCR3 . |
|---|---|---|---|
| Epithelium | |||
| Asthma (n = 20) | 19.9 (2.7–34.0) | 4.9 (0.6–12.1) | 14.0 (2.1–56.3) |
| Control (n = 15) | 21.5 (2.0–58.3) | 3.0 (0.0–29.1) | 23.6 (0.03.3–51.7) |
| Submucosa | |||
| Asthma (n = 20) | 20.6 (6.5–183.6) | 6.5 (1.0–67.5) | 20.5 (4.9–118.6) |
| Control (n = 15) | 16.3 (3.8–67.9) | 8.6 (0.6–44.1) | 30.3 (2.8–116.2) |
| Epithelium . | CCR4 . | CCR8 . | CXCR3 . |
|---|---|---|---|
| Epithelium | |||
| Asthma (n = 20) | 19.9 (2.7–34.0) | 4.9 (0.6–12.1) | 14.0 (2.1–56.3) |
| Control (n = 15) | 21.5 (2.0–58.3) | 3.0 (0.0–29.1) | 23.6 (0.03.3–51.7) |
| Submucosa | |||
| Asthma (n = 20) | 20.6 (6.5–183.6) | 6.5 (1.0–67.5) | 20.5 (4.9–118.6) |
| Control (n = 15) | 16.3 (3.8–67.9) | 8.6 (0.6–44.1) | 30.3 (2.8–116.2) |
The numbers of CCR4, CCR8, and CXCR3 immunoreactive cells in the epithelium (cells/mm basement membrane) and in submucosa (cells/mm2) of bronchial biopsies from asthmatics and normal controls. The data are expressed as the median (range).
Despite the fact that the total numbers of CCR4+ cells were not elevated in the asthmatic biopsies, double IHC showed that significantly elevated percentages of CD4+ T cells expressed CCR4 in the submucosa of the asthmatic, as compared with the control biopsies (median (range) 49.5 (16.7–100.0) vs 36.4 (14.9–61.4)%, p = 0.014). Furthermore, in the asthmatics, the percentages of submucosal CD4+ T cells expressing CCR4 correlated inversely with FEV1 (r = −0.48, p = 0.033) and positively with the numbers of TARC/CCL17 and MDC/CCL22 mRNA+ cells (r = 0.497, p = 0.026, and r = 0.501, p = 0.024, respectively).
Cellular sources of TSLP, TARC/CCL17, and IP-10/CXCL10
The cellular provenance of TSLP, TARC/CCL17, and IP-10/CXCL10 was investigated in subsets of six biopsies from the asthmatics and six from the normal controls. Sequential IHC/ISH showed that in the epithelium, epithelial cells themselves were the major source of these molecules. The numbers of cytokeratin+ epithelial cells expressing mRNA for TSLP, TARC/CCL17 and IP-10/CXCL10 were significantly elevated in the asthmatics compared with the controls (p = 0.005, p = 0.033, p = 0.033, respectively) (Fig. 5). Small but significant increases in the numbers of epithelial CD68+ macrophages expressing TSLP, and elastase+ neutrophils expressing TARC and IP-10 were also observed in the asthmatics compared with the controls (Fig. 5). In the submucosa, CD31+ endothelial cells, elastase+ neutrophils, tryptase+ mast cells and CD68+ macrophages were significant cellular sources of these mediators (Fig. 5). The numbers of endothelial cells, macrophages, and neutrophils expressing TSLP and macrophages and neutrophils expressing TARC and IP-10 were significantly elevated in the asthmatics (Fig. 5). CD3+ T cells and MBP+ eosinophils contributed little to TSLP and chemokine mRNA expression (Fig. 5). The percentages of epithelial cells expressing TSLP, TARC, and IP-10 were significantly greater in the biopsies from asthmatics as compared with normal controls (p = 0.02, p = 0.008, and p = 0.025, respectively) (Fig. 6). In addition, slightly, but significantly, higher percentages of submucosal tryptase+ mast cells expressed TARC/CCL17 mRNA+ (p = 0.045) in the asthmatics as compared with the normal controls (Fig. 6).
Absolute numbers of cells of stated phenotypes (Cyto, cytokeratin+ epithelial cell; CD31, endothelial cell; CD68, macrophage; CD3, T cell; Tryp, tryptase+ mast cell; MBP, MBP+ eosinophil; Elas, elastase+ neutrophil) expressing mRNA for TSLP, TARC/CCL17, and IP-10/CXCL10 in the epithelium (positive cells/mm length of basement membrane; top row) and submucosa (positive cells/mm2 of submucosa; bottom row) of bronchial biopsies from atopic asthmatics and normal controls (in each group, n = 6). ∗∗, p < 0.01; ∗, p < 0.05 (vs normal controls).
Absolute numbers of cells of stated phenotypes (Cyto, cytokeratin+ epithelial cell; CD31, endothelial cell; CD68, macrophage; CD3, T cell; Tryp, tryptase+ mast cell; MBP, MBP+ eosinophil; Elas, elastase+ neutrophil) expressing mRNA for TSLP, TARC/CCL17, and IP-10/CXCL10 in the epithelium (positive cells/mm length of basement membrane; top row) and submucosa (positive cells/mm2 of submucosa; bottom row) of bronchial biopsies from atopic asthmatics and normal controls (in each group, n = 6). ∗∗, p < 0.01; ∗, p < 0.05 (vs normal controls).
Percentages of cells of stated phenotypes expressing mRNA for TSLP, TARC/CCL17, and IP-10/CXCL10 in the epithelium and submucosa of bronchial biopsies from atopic asthmatics and normal controls (in each group, n = 6). ∗, p < 0.05 (vs normal controls).
Percentages of cells of stated phenotypes expressing mRNA for TSLP, TARC/CCL17, and IP-10/CXCL10 in the epithelium and submucosa of bronchial biopsies from atopic asthmatics and normal controls (in each group, n = 6). ∗, p < 0.05 (vs normal controls).
Discussion
This is the first comparative study of the expression of TSLP and Th1- and Th2-attracting chemokines in the asthmatic bronchial mucosa. Our data implicate TSLP, CCR4 ligands, and certain CXCR3 ligands in asthma pathogenesis, complementing our previous studies likewise implicating CCR3 ligands such as eotaxin/CCL11 (9).
Our in vivo data support and extend the putative role for TSLP in allergic disease, arising from study of its in vitro properties and expression in atopic dermatitis (8). Elevated expression of TSLP was accompanied by, and correlated with, elevated expression of the CCR4 ligands TARC/CCL17 and MDC/CCL22 at the mRNA level, although expression of the CCR8 ligand I-309/CCL1 was not elevated. Of the CXCR3 ligands expressed preferentially on Th1-type T cells, IP-10/CXCL10 expression was elevated whereas that of I-TAC/CXCL11 was not. Interestingly, concentrations of TARC/CCL17, MDC/CCL22, and IP-10/CXCL10, but not I-309/CCL1, were reported to be elevated in bronchoalveolar lavage fluid of atopic asthmatics following segmental allergen challenge (17). CCR8 ligands such as I-309/CCL1 may be less important for chemotaxis/diapedesis of Th2 T cells, since allergen bronchial challenge of atopic asthmatics (5), which was associated with elevated expression of TARC/CCL17 and MDC/CCL22 in bronchial epithelium, resulted in recruitment of T cells all of which expressed CCR4, while only a small subset expressed CCR8. Elevated concentrations of TARC/CCL17 in serum and induced sputum (18), MDC/CCL22 in bronchoalveolar lavage fluid (19), and elevated numbers of cells expressing IP-10/CXCL10 mRNA and protein in bronchoalveolar lavage fluid and the bronchial mucosa (20) have previously been detected in asthmatics.
Roles for TARC/CCL17, MDC/CCL22, and IP-10/CXCL10 in asthma are also suggested by experiments in animal “models” of disease, where neutralization of TARC/CCL17 (21) or MDC/CCL22 (22) attenuated Ag-driven lung eosinophil infiltration, Th2 cytokine expression, and associated increases in bronchial responsiveness. Similarly, overexpression of IP-10/CXCL10 resulted in elevated eosinophil infiltration, IL-4 expression, and change in bronchial responsiveness, whereas IP-10/CXCL10 deficiency resulted in opposite effects (23).
Elevated expression of CCR4 and CXCR3 chemokine receptor ligands in the asthmatic bronchial mucosa was not accompanied by corresponding increases in cells expressing these receptors. Our data therefore support a scenario in which leukocytes are attracted to this site according to a particular pattern of chemokine receptor expression, rather than one in which selective expression of chemokines results in selective influx of cells bearing their particular ligands. This has been noted previously (7). A caveat is that some cells expressing CCR4 and CXCR3 may be structural, rather than infiltrating, cells. To investigate this, we sought and observed elevated influx of CD4+ T cells expressing CCR4 in the asthmatics, to a degree which correlated with local TARC and MDC mRNA expression as well as airway obstruction, providing some evidence for pathogenetically relevant, selective recruitment of T cells according to their functional phenotype. Notwithstanding this, it is possible that recruitment of cells according to their functional phenotype is not the primary pathogenetic role of chemokines in asthma. The recent observation (24) that effective ablation of eosinophilopoiesis with an anti-IL-5 Ab does not ameliorate asthma, at least in the short term, has raised the specter that cellular infiltration may not be the sole, or even the primary, cause of the clinical features of the disease. As with cytokines, the effects of chemokines on smooth muscle proliferation, angiogenesis, mucus metaplasia, and structural protein synthesis (2, 8, 25) may also be significant in this regard.
Correlations between TSLP expression and TARC/CCL17 and MDC/CCL22 expression, and expression of all three molecules and airways obstruction, were tightest in the epithelium. We speculate that expression of Th2-attracting chemokines is more closely under the control of TSLP at the epithelial/luminal surface, where the airways interact with the environment. Altered responses to this interaction in asthmatics may reflect inherent abnormalities of the epithelium itself, such as altered responses to viral infection (26), and/or the effects of elevated local production of cytokines such as IL-4 and TNF-α (8, 27). Our finding that CD31+ endothelial cells and to a lesser extent neutrophils were significant contributors to TSLP expression is in contrast to a previous study suggesting that these cells express little TSLP in vitro (8).
In this study incorporating severe asthmatics, we inevitably had to include some patients taking inhaled corticosteroids, which have been shown to inhibit the expression of some chemokines at least in vitro (27). Notwithstanding this, Th2-attracting chemokines and TSLP expression still correlated closely with lung function in the asthmatics. We have further studies in progress to investigate whether inhaled corticosteroids alter TSLP expression in asthmatics.
Soumelis et al. (8) showed that TSLP strongly activates CD11c+ dendritic cells freshly purified from the peripheral blood to produce Th2-attracting chemokines. Recent studies suggest that dendritic cells may play an important role in the pathogenesis of allergic diseases and airway hypersensitivity (28). It is known that these dendritic cells are fully mature and express high levels of MHC class II molecules, CD80, CD86, and the dendritic marker CD83 (8). In the present study, we could not rule out a possible contribution of dendritic cells to the total expression of Th2-attracting chemokines in the asthmatic bronchial mucosa, although judging by our present data they could not account for more than a few percent of the total cells expressing chemokines. A further study examining the expression of these chemokines by dendritic cells in asthma is ongoing.
In summary, our data implicate TSLP and both Th1- and Th2-attracting chemokines in asthma pathogenesis. The bronchial epithelium is highlighted as a key site for the regulation of TSLP and chemokine expression in both health and disease. Manipulation of stromal lymphopoietin expression offers possible new approaches to asthma therapy, the outcomes of which are unlikely to be measurable simply in terms of altered cellular infiltration.
Acknowledgments
We are grateful to T. Vos, K. Jones, C. Ledbetter, C. Oliver, S. Greenaway, and H. Kimber in the Department of Asthma, Allergy and Respiratory Science for their help recruiting patients, collecting endobronchial biopsies, and documenting clinical information.
Disclosures
The authors have no financial conflict of interest.
Footnotes
The costs of publication of this article were defrayed in part by the payment of page charges. This article must therefore be hereby marked advertisement in accordance with 18 U.S.C. Section 1734 solely to indicate this fact.
This study was supported in part by the Central Research Fund of University of London, U.K., Asthma U.K., and the Department of Asthma, Allergy and Respiratory Science, Guy’s, King’s and St. Thomas’ School of Medicine, London, U.K. D.R. is supported by a Wellcome Trust Research Leave Award for Clinical Academics.
Abbreviations used in this paper: TARC/CCL17, thymus and activation-regulated chemokine; MDC/CCL22, macrophage-derived chemokine; IP-10/CXCL10, IFN-γ-inducible protein 10; I-TAC/CXCL11, IFN-inducible T cell α-chemoattractant; TSLP, thymic stromal lymphopoietin; ISH, in situ hybridization; IHC, immunohistochemistry; FEV1, forced expiratory volume in the first second; APAAP, alkaline phosphatase anti-alkaline phosphatase; MBP, major basic protein.





