Abstract
A non-glycosaminoglycan (GAG)-binding variant of the pleiotropic chemokine CCL7 was generated by mutating to alanine the basic (B) amino acids within an identified 44BXBXXB49 GAG-binding motif. Unlike wild-type (wt) CCL7, the mutant sequence had no affinity for heparin. However, the mutant retained a normal affinity for CCR1, CCR2b, and CCR3, and produced a normal calcium flux in mononuclear leukocytes. Both the wt and mutant proteins elicited an equal leukocyte chemotactic response within a solute diffusion gradient but, unlike the wt protein, the mutant failed to stimulate cell migration across a model endothelium. The number of leukocytes recruited to murine air pouches by the mutant sequence was lower than that recruited by wt CCL7. Furthermore, the presence of a mixture of a mutant and wt CCL7 within the air pouch elicited no significant cell accumulation. Cell recruitment also failed using a receptor-sharing mixture of mutant CCL7 and wt CCL5 or a nonreceptor sharing mixture of mutant CCL7 and wt CXCL12. The potential of the mutant sequence to modulate inflammation was confirmed by demonstration of its ability to inhibit the chemotactic response generated in vitro by synovial fluid from patients with active rheumatoid arthritis. A further series of experiments suggested that the non-GAG-binding mutant protein could potentially induce receptor desensitization before, and at a site remote from, any physiological recognition of GAG-bound chemokines. These data demonstrate that GAG binding is required for chemokine-driven inflammation in vivo and also suggest that a non-GAG-binding chemokine receptor agonist can inhibit the normal vectorial leukocyte migration mediated by chemokines.
The cell-mediated immune response is critically dependent on patterns of leukocyte migration and activation within target tissues. The vascular endothelium plays a central role during the recruitment of blood-borne cells to subendothelial tissues during inflammation by facilitating a cascade process involving intravascular arrest and directed extravasation of responsive cells. It is becoming increasingly clear that this process is principally regulated by cytokine molecules termed chemokines (1, 2).
The CC chemokines are the most numerous and diverse subfamily, including at least 25 ligands which bind to 11 signaling receptors in humans. The four MCPs (termed MCP-1/CCL2, MCP-2/CCL8, MCP-3/CCL7, and MCP-4/CCL13) constitute a discrete group within the CC chemokine subfamily (1). There is between 65 and 70% amino acid sequence homology between the four MCP chemokines, compared with only around 40% homology between the non-MCP CC chemokines. Despite this homology, the MCP chemokines differ in specific receptor usage and, hence, in their biological activities.
Many different cell types, including parenchymal cells, leukocytes, and tumor cells, can produce CCL7, with proinflammatory cytokines including IL-1β and TNF-α increasing expression (1, 2). CCL7 is among the most pleiotropic chemokines since it activates all major leukocyte classes (monocytes, eosinophils, basophils, NK cells, T lymphocytes, and neutrophils) by binding to at least three different chemokine receptors (CCR1, CCR2, and CCR3; Ref. 3). The tertiary structure of human CCL7 has been resolved by proton nuclear magnetic resonance spectroscopy. In contrast to most chemokines, CCL7 exists as a monomer at concentrations up to 20 mg/ml (4); however, dimers have been observed in highly concentrated solutions (5).
CCL7 has been implicated in several immunological diseases, including nonatopic and atopic asthma (6), primary biliary cirrhosis, ulcerative colitis, and multiple sclerosis (3). It has also been shown that the expression of CCL7 can activate an antitumor immune response (7). The distribution of chemokine receptors on different CCL7-responsive cells, including monocytes (CCR1 and CCR2), eosinophils (CCR3), Th2 lymphocytes (CCR3, CCR4, and CCR8), basophils (CCR3), and immature dendritic cells (CCR1 and CCR2), highlights the important role played by CCL7 in regulating cell traffic and immune function.
In addition to their interaction with specific receptors, chemokines also interact with cell surface glycosaminoglycans (GAGs).3 GAGs are linear polysaccharides present on all animal cell surfaces and within the extracellular matrix, where they are usually attached covalently to core proteins to form proteoglycans. The predominant GAG associated with endothelial cells is heparan sulfate (HS) (8). Several lines of evidence point to the importance of HS in promoting chemokine activity. First, almost all chemokines studied to date appear to bind HS in vitro, suggesting that this is a fundamental property of these proteins (9). Second, the finding that T lymphocytes secrete CC chemokine as a complex with proteoglycans in vivo, indicates that this form is physiologically relevant (10). Finally, it is known that the association between chemokines and HS allows stable cis- or trans-presentation, which can provide robust vectorial cues for migrating leukocytes (11, 12).
The BBXB and BXBXXB motifs, where B represents a basic amino acid residue, define heparin-binding sites on several proteins (13). The binding sites for CXCL12 (stromal cell-derived factor-1) (14), CCL3 (MIP-1α) (15), CCL4 (MIP-1β) (16), and CCL5 (RANTES) (17, 18) conform to the BBXB motif. By contrast, the principal heparin-binding residues in CXCL8 (IL-8) (19), CCL2 (MCP-1) (20), and XCL1 (lymphotactin) (21) are spatially separated. It has been reported that cell surface GAG expression is not essential for chemokine activation in vitro, but GAGs can play a role in chemokine sequestration (22). Disruption of the GAG-binding site has no effect on either specific receptor binding or cell activation by CXCL8, CXCL12, or CCL4, but does have a profound effect on the binding of both CCL3 (23) and CCL5 (18) to CCR1. Significantly, a series of recent studies has shown that chemokine interaction with GAGs can play an important role during transendothelial leukocyte migration in vitro (24, 25) and during the development of inflammation (12, 26).
The current study was designed first to identify the major GAG-binding site of the pleiotropic chemokine CCL7. This site was then disrupted by mutating to alanine the lysine residues at positions 44, 46, and 49 to produce a non-GAG-binding variant. A series of in vitro and in vivo assays was then performed to assess the functional significance of this change. A further group of experiments used an in vivo model to determine whether the non-GAG-binding mutant form of CCL7 could antagonize the function of a range of normal chemokines using an in vivo model of tissue inflammation. A series of experiments was then designed to measure the effect of addition of non-GAG-binding CCL7 to the naturally produced, inflammatory chemotactic factors present in synovial fluid drained from patients with active rheumatoid arthritis. A final series of experiments was performed to examine the potential of the mutant sequence to induce tolerance to subsequent chemokine stimulation.
Materials and Methods
Production of chemokines
Both wt and mutant CCL7 (K44AK46AR49A) were synthesized by the Merrifield solid phase method using a fully automated peptide synthesizer by Albachem. The final purity of both sequences was analyzed by high-pressure liquid chromatography and in both cases was >95%; the m.w. of each sequence was verified by electrospray-ionization mass spectrometry (ABI/Sciex QTrap; University of Newcastle Proteomics Unit). Each of the reagents used for preparation of the proteins was certified as endotoxin-free (<0.02 endotoxin units (EU)/ml).
Generation of non-heparin-binding CCL7 point mutants
Human CCL7 cDNA was cloned into the pBKS II plasmid (Stratagene) and verified by sequencing. The point mutations were introduced by inverse PCR as described previously (27). In brief, the DNA was alkali-denatured and diluted to a concentration of 100 pg per reaction to avoid the incorporation of unmutated DNA into the transformation reaction. The mutagenesis primers used are shown below with the mutated bases shown in bold and underlined: K44A (sense), 5′-GCTGTAATCTTCGCGACCAAACTGGAC-3′; (antisense), 5′-TTCCCGGGGACAGTGGCTACTGGTGGTC-3′; K46A (sense), 5′-ATCTTCAAGACCGCACTGGACAAGGAG; (antisense), 5′-TACAGCTTCCCGGGGACAGTGGCTACT-3′; K49A (sense), 5′-ACCAAACTGGACGCGGAGATCTGTGCTG-3′; (antisense), 5′-CTTGAAGATTACAGSTTCCCGGGGACAG-3′.
Amplification was performed in a DNA thermal cycler (Hybaid) for 35 cycles using Pfu Turbo DNA polymerase. The PCR products were purified and DNA was ligated and transformed into Epicurian coli competent cells. The sequence of the polyhistidine-tagged mutants was verified by DNA sequence analysis using an AB377 DNA sequencer XL (Applied Biosystems). The mutant proteins were purified as described previously (27); the purity and authenticity of the mutants was verified by reverse-phase HPLC and mass spectroscopy.
Heparin sepharose and MonoS (cation exchange) chromatography
Wild-type (wt) CCL7 or each mutant sequence (10 μg) was injected onto either a 1 ml HiTrap Heparin HP column or a MonoS cation exchange column (Amersham Pharmacia Biotech) connected to a fast protein liquid chromatography system and submitted to gradient elution with 0–2 M NaCl in 10 mM sodium phosphate (pH 7) at a flow rate of 0.5 ml/min. Eluted proteins were detected at 280 nM; fractions corresponding to absorbance peaks were verified by Western blotting.
Radioligand-binding assay
HEK-293 cells (ATCC CRL-1573) were stably transfected with human CCR1, CCR2b (28), or CCR3 (29) for use in ligand-binding experiments. Confluent cells were detached with PBS containing 3 mM EDTA, washed and resuspended in binding buffer (HBSS; 10 mM HEPES, 0.1% BSA) at a concentration of 5 × 106 cells/ml. Cold-ligand competition assays were performed in a total volume of 150 μl of binding buffer using 1.5 × 105 cells per sample and 100 pM 125I-labeled CCL5 for CCR1- and CCR3-expressing transfectants, and 125I-labeled CCL2 for CCR2b-expressing cells together with a variable concentration of either wt or mutant CCL7. After incubation of the cells at 37°C for 90 min with shaking the cells were harvested onto 0.8-μm pore cellulose acetate filter strips (Costar) using a vacuum manifold. The cells were further washed twice with HBSS containing 10 mM HEPES and 0.5M NaCl to remove any non-receptor-bound 125I chemokines. The filters were then dried, transferred to test tubes, and the radioactivity was measured in a gamma counter (Clinnigamma; LKB-Wallac). Radioligand-binding parameters were calculated using Prism 3 software (GraphPad).
Ca2+ mobilization
Intracellular concentrations of Ca2+ were measured using Indo-1/AM. PBMC were isolated from fresh anticoagulant-treated blood using Ficoll-Hypaque (Amersham Pharmacia Biotech), washed twice in HBSS, and resuspended in HBSS containing 1 mM Ca2+, 1 mM MgCl2, and 1% FCS (all from Sigma-Aldrich). The cells were loaded with 3 μM Indo-1/AM for 45 min at room temperature. After washing by centrifugation, the cells were resuspended in HBSS at a concentration of 106 cells/ml and the temperature was equilibrated at 37°C for 5 min.
Chemokines were added at concentrations between 10 and 1000 ng/ml and changes in the concentration of intracellular Ca2+ were detected using a four-laser flow cytometer (LSRII; BD Biosciences) to monitor light emission at 440 and 530 nm following excitation at 350 nm. Each experiment was repeated three times on different days with ionomycin (10 μg/ml; Sigma-Aldrich) being used to generate a positive control signal.
In vitro chemotaxis assays
The ability of wt and mutant CCL7 to stimulate chemotaxis of PBMC or THP-1 cells (human myelomonocytic cell line; ATCC TIB-202) was assessed using a 24-well transwell system (Falcon). Chemokines were dissolved at 10 μg/ml in sterile PBS and diluted as required in HEPES-buffered RPMI 1640 (pH 7.2) supplemented with 1% BSA before adding 800 μl to the lower compartment of the assay system. The upper compartment was filled with 300 μl of a cell suspension at a concentration of 0.5 × 106 cells/ml. These cells were allowed to migrate through a 3-μm pore membrane for 90 min. After this time the filter was stripped to remove cells from the upper surface and the cells on the lower surface were fixed with methanol and stained with hemotoxylin. Quantification of the chemotaxis was performed by counting the mean number of migrant cells per high power field. All assays were performed in triplicate.
For some experiments, THP-1 monocytes were incubated with no chemokine or with either wt or mutant CCL7 at 100 ng/ml in free solution for 30 min and then washed by centrifugation. These cells were then used in chemotaxis assays with either 100 ng/ml wt CCL7, mutant CCL7, or CXCL12 (PeproTech) in the lower compartment. Flow cytometric studies were also performed to assess the potential of both wt and mutant CCL7 to modulate the cell surface expression of CCR1 and CXCR4 using mAb reagents (clone 53504 and 44716; R&D Systems) together with appropriate fluorochrome-conjugated secondary Abs and isotype-matched control reagents.
Transendothelial chemotaxis
In a modified chemotaxis assay, human microvascular endothelial cells (HMEC-1) (30) were grown on the upper surface of 3-μm pore transwell filters to establish a confluent monolayer. These cells were then stimulated for 24 h with TNF-α (100 IU/ml) and IFN-γ (100 IU/ml) to up-regulate expression of the major adhesion molecules found on inflamed venules (31) and to optimize chemokine presentation. Chemokine-induced migration of the mononuclear cells was investigated as above except each assay was incubated for 2 h.
Cell recruitment to murine air pouches
Eight-week-old female BALB/c mice (Charles River) were used for generation of air pouches as described previously (32) in full compliance with U.K. Home Office regulations for animal experimentation. Briefly, air pouches were induced by injecting 3 ml of sterile air s.c. into the back of each animal followed by 1 ml of air on three further occasions (days 2, 4, and 5 respectively); this produced stable fluid-filled pouches. On day 6, each pouch was injected with 1 ml of PBS containing either 10 μg of wt CCL7, a similar quantity of the non-GAG-binding variant of CCL7 or a combination of 10 μg of both chemokine sequences. Identical age-matched control mice were injected with PBS alone. Six and 24 h later, recruited cells were recovered by gently lavaging the pouch with 1 ml of PBS containing 1 mM EDTA. The exudates were centrifuged at 1000 × g for 5 min and the supernatants removed. The cell pellets were resuspended in 1 ml of PBS for counting and assessment of viability. Two hundred microliters of each cell suspension was then smeared by cytocentrifugation (Shandon) and the cells were stained with Diff Quick (Dade; Baxter Healthcare) for differential cell counting. Further cytocentrifuge smears were labeled with Abs specific for CD3 (Serotec) and F4/80 (Serotec) to allow enumeration of T cells and mononuclear phagocytes, respectively.
An additional series of air pouch experiments was performed to examine the cell migration produced in response to 5 μg of mutant CCL7, wt CCL5 (PeproTech), or wt CXCL12 in the presence or absence of 5 μg of mutant CCL7. In all cases a group size of between three and five animals was used to allow experimental outcomes to be assessed reliably.
Immunohistochemistry
Ten-micrometer cryostat sections of dissected air pouch tissue were immunostained to detect T cells and monocytes/macrophages. Briefly, sections were fixed in acetone, treated to minimize endogenous peroxidase activity and nonspecific Ab binding before overnight incubation with primary anti-CD3 or F4/80 Abs. The secondary Ab was biotinylated sheep anti-rat IgG (Sigma-Aldrich) diluted 1/200 in normal lamb serum (NLS) containing 5% normal mouse serum. The immune complex was visualized with streptavidin-biotin-peroxidase complex (DAKO) and nickel-enhanced diaminobenzidine. Control sections were incubated with irrelevant, isotype-matched Abs in place of the primary Ab before normal development and showed negative labeling.
Synovial fluid samples
Following informed consent, synovial fluid was collected into sterile tubes from the knee joint of patients with active rheumatoid arthritis undergoing therapeutic aspiration. The samples were centrifuged and the cell-free supernatant was stored at −20°C. The fluid was diluted 1/10 into PBS for use in the lower chamber of transendothelial chemotaxis assays, as described above.
Statistical tests
All results are expressed as mean ± SEM of replicate samples and the significance of changes was assessed by the application of Student’s t test. All data were analyzed using Prism 3 software.
Results
Identification of the heparin-binding site in CCL7
Alignment of the amino acid sequences of a series of CC-chemokines allowed location of a series of conserved basic amino acid residues conforming to the BXBXXB motif (residues 44, 46, and 49) within the CCL7 sequence. Modeling the three-dimensional structure (9) of CCL7 also implicated residues K46 and K49 as contributing to a putative GAG-binding domain. To determine the relative contribution to GAG binding of the consensus basic amino acids K44, 46, or 49, each was separately mutated to alanine by inverse PCR (27). The mass of each polyhistidine-tagged protein was verified by mass spectrometry (wt CCL7: 12,018 Da; K44A: 11,962 Da; K46A: 11,961 Da; K49A: 11,961 Da). The potential of each sequence to bind HS was measured using HiTrap Heparin HP columns. It was found that polyhistidine tagged wt CCL7 eluted at a salt concentration of 0.81 ± 0.01 M. Elution of the polyhistidine-tagged K44A mutant from the column was not significantly different to the wt protein (0.82 ± 0.01 M; p > 0.9). However, both the K46A and K49A CCL7 mutants were eluted from the column at a significantly lower salt concentration than the wt CCL7 (0.76 ± 0.01 M, p < 0.014 and 0.76 ± 0.00 M, p < 0.024, respectively).
Generation of a non-heparin-binding variant of CCL7
Molecular modeling studies (〈www.expasy.org/swissmod/SWISS-MODEL.html〉) suggested that combined mutation to alanine of all three conserved basic residues should produce a marked and localized reduction in the positive charge of the chemokine. To investigate the functional significance of this both wt CCL7 and the K44A/K46A/K49A (44ATALDA49) mutant protein were chemically synthesized. The final protein sequences were both >95% pure as defined by reverse-phase HPLC; Table I shows a close concordance between the predicted and experimentally defined mass for each of the synthesized proteins.
Mass spectrometric analysis of the CCL7 and its mutant
| Sequence . | Predicted mass (Da) . | Experimental mass (Da) . |
|---|---|---|
| wt human CCL7 | 8956.44 | 8954.7 |
| K44AK46AK49A | 8781.22 | 8780.0 |
| Sequence . | Predicted mass (Da) . | Experimental mass (Da) . |
|---|---|---|
| wt human CCL7 | 8956.44 | 8954.7 |
| K44AK46AK49A | 8781.22 | 8780.0 |
To assess the impact of this mutation on the potential for specific GAG binding both the wt and mutant sequences were assessed using heparin affinity columns. The results in Table II show that while the wt protein readily bound to heparin affinity columns and required 0.59 M NaCl for elution, the 44ATALDA49 mutant showed no significant affinity for heparin with the majority (95%) remaining unbound. To assess the specificity of the interaction with heparin, both wt CCL7 and the 44ATALDA49 sequence were also eluted from a cation exchange resin. Removal of the basic amino acid residues resulted in a decrease in the NaCl concentration required to elute the mutant sequence from the Mono S column (Table II). The difference in NaCl concentration required for elution from the Mono S column and that required for elution from the heparin column for the 44ATALDA49 sequence was 0.45 M. This positive value indicates that the residues selected for mutation play a role in the specific interaction of CCL7 with heparin. The 44ATALDA49 sequence was defined as mutant CCL7′ in all subsequent assays.
Heparin sepharose data for wt and mutant CCL7a
| Chemokine . | Heparin . | MonoS . | ΔNaClHepS . | ΔNaClMonoS . | ΔΔNaCl . |
|---|---|---|---|---|---|
| wt human CCL7 | 0.59 M | 0.56 M | |||
| K44AK46AK49A | Majority (95%) unbound; 5% eluted at 0.28 M | 0.42 M | 0.59 M | 0.14 M | 0.45 M |
| Chemokine . | Heparin . | MonoS . | ΔNaClHepS . | ΔNaClMonoS . | ΔΔNaCl . |
|---|---|---|---|---|---|
| wt human CCL7 | 0.59 M | 0.56 M | |||
| K44AK46AK49A | Majority (95%) unbound; 5% eluted at 0.28 M | 0.42 M | 0.59 M | 0.14 M | 0.45 M |
Molarity of NaCl required for elution from heparin and Mono S (cation exchange) columns. ΔNaClHepS is the difference in the NaCl concentration required to elute wt compared to the mutant CCL7. ΔΔNaCl is the effect of the mutation on binding to heparin sepharose after subtraction of nonspecific electrostatic effects, as determined from ΔNaClMonoS; ΔΔNaCl = ΔNaClHepS − ΔNaClMonoS.
Receptor ligation of a non-heparin-binding variant of CCL7
A series of radioligand binding experiments was performed to determine the impact of mutation of the three basic amino acid residues on the affinity of CCL7 for its specific receptors CCR1, CCR2b, and CCR3. A representative heterologous competition assay for CCR3 is shown in Fig. 1, and indicates IC50 values of 1.6 nM for wt CCL7 and 0.9 nM for the mutant sequence. The summary results in Table III are derived from three separate assays for each receptor and ligand permutation and indicate a marginally higher affinity of the mutant than the wt sequence for CCR1 (3.5-fold) and CCR3 (2-fold), while the wt protein had a 3.7-fold higher affinity than the mutant for CCR2b; in no case did these differences reach statistical significance (all p > 0.05).
Radioligand-binding assays. Results from a representative heterologous cold competition-binding assay conducted using HEK-293 cells transfected to stably express CCR3, 125I-labeled CCL5 as the radiolabeled ligand, and a variable concentration of either unlabeled wt CCL7 (▴) or mutant CCL7 (▪) as competitors.
Radioligand-binding assays. Results from a representative heterologous cold competition-binding assay conducted using HEK-293 cells transfected to stably express CCR3, 125I-labeled CCL5 as the radiolabeled ligand, and a variable concentration of either unlabeled wt CCL7 (▴) or mutant CCL7 (▪) as competitors.
Heterologous competition radioligand binding assays to compare receptor affinity for wt and mutant CCL7
| Receptor . | Ligand IC50 (nM) . | . | |
|---|---|---|---|
| . | wt CCL7 . | Mutant CCL7 . | |
| CCR1 | 11.4 ± 3.9 | 3.3 ± 2.2 | |
| CCR2b | 10.8 ± 6.9 | 40.4 ± 19.6 | |
| CCR3 | 1.6 ± 2.3 | 0.8 ± 1.2 | |
| Receptor . | Ligand IC50 (nM) . | . | |
|---|---|---|---|
| . | wt CCL7 . | Mutant CCL7 . | |
| CCR1 | 11.4 ± 3.9 | 3.3 ± 2.2 | |
| CCR2b | 10.8 ± 6.9 | 40.4 ± 19.6 | |
| CCR3 | 1.6 ± 2.3 | 0.8 ± 1.2 | |
In vitro analysis of the cellular response to the non-heparin-binding CCL7 mutant
Ca2+ flux.
To investigate a possible linkage between GAG-binding capacity and cell activation, both wt and mutant CCL7 were tested in free solution for their ability to stimulate a dose-dependent increase in intracellular-free calcium in human mononuclear leukocytes. Indo-1-loaded cells were incubated with varying concentrations of either chemokine sequence and time-dependent changes in the concentration of intracellular-free calcium from baseline levels were monitored; the maximal value was recorded. A representative fluorescence profile generated in response to the addition of wt CCL7 at 1000 ng/ml to labeled PBMC is shown in Fig. 2,a. No difference was apparent between the maximal response to wt CCL7 and the non-GAG-binding mutant (Fig. 2 b), with the wt sequence generating a marginally smaller response than the mutant at 100 ng/ml and a slightly larger response at 1000 ng/ml. An additional experiment was performed to measure the intracellular Ca2+ flux generated by a 1:1 mixture of wt and mutant CCL7 (1000 ng/ml of each); importantly, it was found that the flux was similar to that produced by either chemokine in isolation.
Calcium flux results. a, Representative changes in the intracellular Ca2+ concentration immediately after stimulation of PBMC with CCL7 (1000 ng/ml). b, Dose response analysis showing changes in the maximal change in intracellular Ca2+ concentration measured in PBMC following stimulation with either wt or mutant CCL7. The mean values are plotted as a ratio of the fluorescence emission at 440/530 nm; the data are from one of three separate experiments.
Calcium flux results. a, Representative changes in the intracellular Ca2+ concentration immediately after stimulation of PBMC with CCL7 (1000 ng/ml). b, Dose response analysis showing changes in the maximal change in intracellular Ca2+ concentration measured in PBMC following stimulation with either wt or mutant CCL7. The mean values are plotted as a ratio of the fluorescence emission at 440/530 nm; the data are from one of three separate experiments.
Trans-filter chemotaxis.
A series of experiments was performed to determine how mutation of the GAG binding site altered the ability of CCL7 to stimulate chemotaxis of THP-1 monocytes. The assay involved establishment of a chemokine concentration gradient by solute diffusion across a porous filter; 10 or 100 ng/ml of either chemokine sequence was added below the filter and leukocytes were introduced on the other side. It was found that the number of leukocytes stimulated to migrate by wt CCL7 was not different from that stimulated by the mutant sequence (p > 0.05; Fig. 3 a); similar results were observed for migration assays set up with PBMC.
In vitro chemotaxis experiments. a, Measurement of mononuclear cell migration across cytokine-activated endothelial cell monolayers grown on filters (transendothelial) or across filters (trans-filter). Human THP-1 monocytes were stimulated with varying concentrations of chemokines at 37°C for 90 min in the case of trans-filter assays or for 2 h in the case of transendothelial assays. Similar results were observed using human PBMC. b, Examination of monocyte migration across resting endothelial cells in response to wt CCL7, mutant CCL7, and a mixture of both sequences. All assays were performed in triplicate and the number of migrant cells per high power field (×400) was counted for each membrane; data is presented as mean ± SEM.
In vitro chemotaxis experiments. a, Measurement of mononuclear cell migration across cytokine-activated endothelial cell monolayers grown on filters (transendothelial) or across filters (trans-filter). Human THP-1 monocytes were stimulated with varying concentrations of chemokines at 37°C for 90 min in the case of trans-filter assays or for 2 h in the case of transendothelial assays. Similar results were observed using human PBMC. b, Examination of monocyte migration across resting endothelial cells in response to wt CCL7, mutant CCL7, and a mixture of both sequences. All assays were performed in triplicate and the number of migrant cells per high power field (×400) was counted for each membrane; data is presented as mean ± SEM.
Transendothelial chemotaxis.
A further series of experiments was performed to compare the potential of wt and mutant CCL7 to stimulate the migration of monocytes across endothelium. In these assays, proinflammatory cytokine-activated HMEC-1 were cultured to confluency on upper surface of each porous filter. Either the wt or mutant chemokine sequence was then added to the basal compartment and mononuclear cells were introduced above the apical surface of the model endothelium. In contrast to the results for trans-filter migration, it was found that the non-GAG-binding mutant stimulated no increased transendothelial cell migration when used at 10, 100, or 1000 ng/ml (p > 0.05; Fig. 3,a). However, wt CCL7 stimulated significantly increased leukocyte migration at each of the tested concentrations (all p < 0.001; Fig. 3 a). Similar results were observed in assays performed using PBMC.
A further series of transendothelial migration assays was performed using non-cytokine-stimulated HMEC-1 cells. Although the background number of cells migrating across the resting endothelium was lower than that for stimulated cells, the overall results were similar to those observed for cytokine-activated endothelial cells with wt CCL7 stimulating significant chemotaxis (p < 0.05) and the mutant chemokine inducing no migration above background (p > 0.05; Fig. 3,b). Importantly, it was also found that a 1:1 mixture of wt and mutant CCL7 (either 50 or 100 ng/ml of each protein) induced no more migration than 100 ng/ml of the mutant protein alone (p > 0.05; Fig. 3 b).
Investigation of the role of GAG binding in chemokine-mediated inflammation
Air pouches were formed by s.c. injection of air into the back of mice; these develop a lining which resembles the synovial membrane (32). Injection of 10 μg of wt CCL7 induced significant recruitment of leukocytes within 6 h (not shown), with maximal recruitment observed after 24 h (p < 0.05; Fig. 4,a); at this time wt CCL7 attracted almost three times more leukocytes to the air pouches than was recruited following the injection of PBS (Table IV). The recruitment of cells in response to the mutant CCL7 sequence was not significantly greater than that by injection of PBS (p > 0.05; Fig. 4,a); the failure of the mutant sequence to recruit leukocytes in vivo was apparent for all the major cell subpopulations enumerated by differential counting (Table IV). Importantly, injection of a 1:1 mixture of wt and mutant CCL7 elicited no more leukocyte infiltration than was observed with PBS alone (Fig. 4,a; p > 0.05); again this effect extended to all leukocyte subpopulations (Table IV).
Comparison of the potential of wt and mutant CCL7 to recruit cells using a murine air pouch model. a, Air pouches were injected with wt CCL7, mutant CCL7, or a 1:1 mixture of wt and mutant CCL7 (10 μg each), or PBS; in each case n = 5. The recruitment of cells was evaluated 24 h after administration of the chemokines. Representative data is shown from one of three separate experiments; the bars show mean values ± SEM. b, Air pouches were injected with mutant CCL7, wt CXCL12, wt CCL5 (5 μg each), or 1:1 mixtures of wt CXCL12 and mutant CCL7 or wt CCL5 and mutant CCL7 (5 μg each); in each case n = 3. The recruitment of cells was evaluated 24 h after administration of the chemokines. Representative data is shown from one of three separate experiments; the bars show mean values ± SEM.
Comparison of the potential of wt and mutant CCL7 to recruit cells using a murine air pouch model. a, Air pouches were injected with wt CCL7, mutant CCL7, or a 1:1 mixture of wt and mutant CCL7 (10 μg each), or PBS; in each case n = 5. The recruitment of cells was evaluated 24 h after administration of the chemokines. Representative data is shown from one of three separate experiments; the bars show mean values ± SEM. b, Air pouches were injected with mutant CCL7, wt CXCL12, wt CCL5 (5 μg each), or 1:1 mixtures of wt CXCL12 and mutant CCL7 or wt CCL5 and mutant CCL7 (5 μg each); in each case n = 3. The recruitment of cells was evaluated 24 h after administration of the chemokines. Representative data is shown from one of three separate experiments; the bars show mean values ± SEM.
Leukocyte infiltration of murine air pouches after the injection of wt and mutant CCL7a
| Injection . | Number of Leukocytes Present Per Pouch (×10−4; ± SEM) . | . | . | ||
|---|---|---|---|---|---|
| . | Monocyte/macrophage . | Eosinophil/basophil . | T cell . | ||
| PBS | 8.1 ± 3.2 | 30 ± 12 | 2.5 ± 0.9 | ||
| wt CCL7 | 33.1 ± 10.5 | 49.0 ± 15.5 | 31.9 ± 10.1 | ||
| Mutant CCL7 | 9.4 ± 3.1 | 23 ± 8 | 1.4 ± 0.5 | ||
| wt CCL7 + mutant CCL7 (1:1) | 6.6 ± 1.8 | 23 ± 6 | 2.1 ± 5.9 | ||
| Injection . | Number of Leukocytes Present Per Pouch (×10−4; ± SEM) . | . | . | ||
|---|---|---|---|---|---|
| . | Monocyte/macrophage . | Eosinophil/basophil . | T cell . | ||
| PBS | 8.1 ± 3.2 | 30 ± 12 | 2.5 ± 0.9 | ||
| wt CCL7 | 33.1 ± 10.5 | 49.0 ± 15.5 | 31.9 ± 10.1 | ||
| Mutant CCL7 | 9.4 ± 3.1 | 23 ± 8 | 1.4 ± 0.5 | ||
| wt CCL7 + mutant CCL7 (1:1) | 6.6 ± 1.8 | 23 ± 6 | 2.1 ± 5.9 | ||
The air pouch on each mouse was injected with 1 ml of PBS containing wt CCL7 (10 μg), mutant CCL7 (10 μg), or wt CCL7 + mutant CCL7 (1:1; 10 μg of each). All leukocytes were lavaged from each pouch after 24 h. Results show mean values from three mice in each group.
To investigate further the potential of the non-GAG-binding mutant CCL7 to antagonize the inflammatory activity of wt chemokines, a further series of air pouch experiments was established in which the mutant sequence was mixed with wt CCL5 (which shares specific receptors with CCL7) or with wt CXCL12 (which shares no receptors with CCL7). Both wt chemokines were found to induce significant leukocyte infiltration of treated air pouches within 24 h (Fig. 4,b). However, mixture of either wt chemokine species with an equal quantity of mutant CCL7 reduced leukocyte recruitment in both cases to background levels (Fig. 4 b).
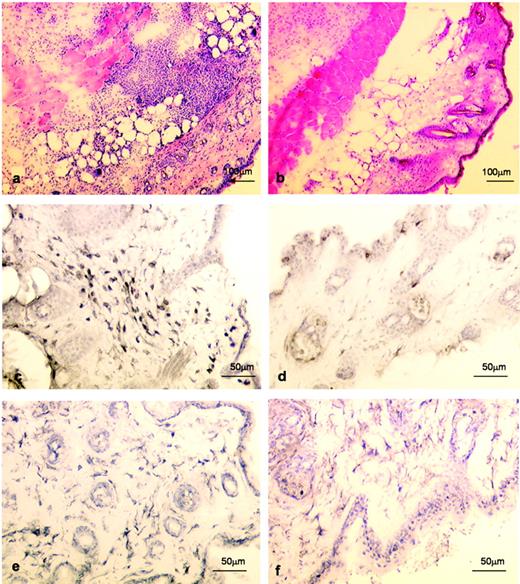
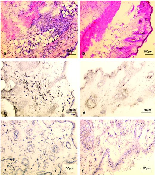
Fig. 5 shows representative sections from tissue surrounding air pouches 24 h after the injection of wt CCL7 (Fig. 5, a, c, and e) or mutant CCL7 (Fig. 5, b, d, and f). H&E (Fig. 5, a and b) staining showed a dramatic difference in the extent of infiltration of the tissues, with the mutant sequence (Fig. 5,b) producing minimal inflammation. The infiltrate shown in section (Fig. 5,a) is mainly restricted to the dermis and the disrupted layer of fatty tissue lying above the muscle. Immunoperoxidase labeling of CD3+ T cells (black) is shown in sections (Fig. 5,c) and (Fig. 5,d); a dense T cell infiltrate was observed in the dermis in tissue exposed to wt CCL7 but T cells were largely absent from the dermis of pouches injected with the mutant CCL7 sequence. Immunoperoxidase detection of the F4/80 Ag revealed macrophages within the dermis of sections (Fig. 5,e) and (Fig. 5,f); in contrast with the pouch contents (Table IV), little difference was observed in the number of resident macrophages between the tissue from pouches exposed to wt CCL7 and mutant CCL7.
Histological evaluation of murine air pouches. Ten-micrometer cryostat sections of dissected air pouches were prepared 24 h after chemokine administration. a, c, and e, Sections taken from mice injected with wt CCL7; b, d, and f, sections from mice injected with non-GAG-binding mutant CCL7. Sections were stained with H&E (a and b), or labeled with Ab to identify CD3+ T cells (c and d) or Ab to identify F4/80+ mononuclear phagocytes (e and f).
Histological evaluation of murine air pouches. Ten-micrometer cryostat sections of dissected air pouches were prepared 24 h after chemokine administration. a, c, and e, Sections taken from mice injected with wt CCL7; b, d, and f, sections from mice injected with non-GAG-binding mutant CCL7. Sections were stained with H&E (a and b), or labeled with Ab to identify CD3+ T cells (c and d) or Ab to identify F4/80+ mononuclear phagocytes (e and f).
Examination of the potential of mutant CCL7 to inhibit the chemotactic potential of synovial fluid from rheumatoid arthritis
Synovial fluid from patients with active rheumatoid arthritis is known to contain a range of chemoattractant factors, including several chemokines (33). Each of three synovial fluid samples was shown to induce significant transendothelial migration of PBMC (Fig. 6,a) or THP-1 monocytes (Figs. 6, b and c) when used at a 1/10 dilution (all p < 0.01). Addition of 1000 ng/ml wt CCL7 did not enhance the migratory response (p > 0.05; Fig. 6,a) suggesting a maximal response was generated by the synovial fluid alone; addition of wt CCL7 also had no effect on monocyte migration toward synovial fluid sample b (p > 0.05; not shown) but marginally increased migration toward sample c (p < 0.05; not shown). Importantly, the addition of mutant CCL7 significantly inhibited almost all this chemotactic activity (Fig. 6) when present at final concentrations of 1000 ng/ml (mean 94.3 ± 1.9% inhibition), 100 ng/ml (92.9 ± 2.4% inhibition), and 10 ng/ml (74.3 ± 9.3% inhibition).
Inhibition of the chemotactic response of mononuclear cells toward synovial fluid from three patients with active rheumatoid arthritis. The transendothelial migration of PBMC (a) or THP-1 monocytes (b and c) toward synovial fluid (1/10 dilution) was measured in the presence 10, 100, and 1000 ng/ml non-GAG-binding mutant CCL7. Each graph shows data using synovial fluid from a separate patient (a–c). Data in a demonstrate that addition of wt CCL7 did not alter migration toward the synovial fluid. All bars show the mean number of migrant cells per field ± SEM.
Inhibition of the chemotactic response of mononuclear cells toward synovial fluid from three patients with active rheumatoid arthritis. The transendothelial migration of PBMC (a) or THP-1 monocytes (b and c) toward synovial fluid (1/10 dilution) was measured in the presence 10, 100, and 1000 ng/ml non-GAG-binding mutant CCL7. Each graph shows data using synovial fluid from a separate patient (a–c). Data in a demonstrate that addition of wt CCL7 did not alter migration toward the synovial fluid. All bars show the mean number of migrant cells per field ± SEM.
Examination of the antagonistic activity of mutant CCL7
Receptor modulation.
It was found that the expression of cell surface CCR1 was reduced by between 10 and 20% following incubation of mononuclear cells at 37°C for 120 min with either 100 ng/ml wt or mutant CCL7; this reduced labeling was not observed when the cells were stimulated with chemokine at 4°C. Neither CCL7 sequence caused any reduction in the expression of CXCR4 (data not shown).
Homologous and heterologous desensitization of the chemotactic response.
Fig. 7 shows the results of trans-filter chemotaxis assays using monocytes which had first been incubated for 30 min in suspension with either 100 ng/ml wt or mutant CCL7 before removal of the chemokine by washing. As expected, it was found that untreated cells migrated efficiently when stimulated using 100 ng/ml of either wt or mutant CCL7 or CXCL12 in the lower compartment. However, cells which had been pretreated with either wt or mutant CCL7 showed no significant migration above background levels when stimulated with either the CCL7 sequence or CXCL12, suggesting induction of tolerance to stimulation of “homologous” CCL7 receptors and the “heterologous” receptor, CXCR4.
Demonstration of homologous and heterologous desensitization of the chemotactic response. Results from trans-filter chemotaxis assays performed using resting or chemokine pretreated monocytes which are subsequently stimulated with either medium (□), 100 ng/ml wt CCL7 (▪), 100 ng/ml mutant CCL7 (▦) or 100 ng/ml CXCL12 (▨). The bars show mean values which, for comparison, are normalized to baseline control levels ± SEM; the data are representative of three similar assays.
Demonstration of homologous and heterologous desensitization of the chemotactic response. Results from trans-filter chemotaxis assays performed using resting or chemokine pretreated monocytes which are subsequently stimulated with either medium (□), 100 ng/ml wt CCL7 (▪), 100 ng/ml mutant CCL7 (▦) or 100 ng/ml CXCL12 (▨). The bars show mean values which, for comparison, are normalized to baseline control levels ± SEM; the data are representative of three similar assays.
Discussion
Chemokines are involved in the selective activation and recruitment of cells during inflammation and routine immunosurveillance (34, 35). To direct the migration of cells it has been suggested that an interaction between chemokines and GAG components of proteoglycans allows formation of the stable concentration gradients required for chemotaxis (36). The potential of GAGs to bind chemokines is increased at the site of inflammation (37), providing a further mechanism to enhance chemotactic recruitment. The results presented in this report define the basic amino acid residues required for interaction between the chemokine CCL7 and GAGs and show how the biological properties of this chemokine are influenced by its binding to GAGs.
The BBXB and BXBXXB motifs, where B represents a basic residue, are heparin-binding motifs shared by a wide range of proteins (38). The interaction between chemokines and different GAGs has been examined in several studies (39), with measurement of the binding of chemokines to heparin sepharose being a widely accepted technique. The three single residue CCL7 mutants created in this study were all able to bind heparin sepharose, with only the K46A and K49A mutants showing a small reduction in binding compared with the wt protein. However, triple mutation of the 40s cluster of basic amino acid residues effectively removed the potential of CCL7 to bind specifically to heparin. A potential limitation of this assay is the use of heparin rather than the more physiologically relevant cell surface or extracellular matrix GAG, HS. However, heparin is believed to be sufficiently similar, both structurally and chemically, to HS to provide a good substitute. Furthermore, chemokine binding to extracellular matrix and other structures has been shown to correlate strongly with measurement of the binding to heparin in vitro (40).
For some time it was thought that the receptor-binding region of chemokines is located in the flexible N-terminal segment and the 20s loop, whereas GAG binding is located in the C-terminal region. However, as GAG-binding motifs for more chemokines are mapped, it appears that this separation of the two functional domains is not always maintained. For this reason it is significant that functional studies of the non-GAG-binding CCL7 mutant showed only minor perturbations of its affinity for the specific receptors CCR1, CCR2b, and CCR3. This is consistent with a recent study which demonstrated that the N-terminal loop of CCL7 plays a critical role in binding to and activating these three specific receptors (41).
In this study it has been demonstrated that the non-GAG-binding variant of CCL7 can interact with specific chemokine receptors on mononuclear cells to generate both a normal intracellular Ca2+ flux and normal directional leukocyte migration in a chemokine concentration gradient produced by free solute diffusion. Treatment of leukocytes with a mixture of the mutant and wild-type forms of CCL7 did not antagonize the generation of the Ca2+ flux, demonstrating the retention of a potential for receptor activation in this mixed ligand system. However, it was found that unlike wt CCL7, the non-GAG-binding mutant was not capable of inducing transendothelial leukocyte migration in vitro. A similar failure of cell migration has been reported previously for leukocyte transmigration assays performed using confluent monolayers of non-GAG-expressing cells in the presence of wt chemokine (24). Together these results suggest that the interaction between chemokines and GAGs is of crucial importance for inflammatory migration of leukocytes through monolayers of endothelial cells, with GAGs potentially playing a role in sequestration of GAG-binding chemokines on the apical surface of endothelial cells for subsequent presentation to leukocytes (12).
As expected, the series of in vivo experiments showed that injection of wt CCL7 resulted in effective recruitment of a mixed inflammatory leukocyte population to murine air pouches; inflammation was also produced by injection of either wt CCL5 or wt CXCL12. However, it was also observed that injection of the non-GAG-binding form of CCL7 produced no significant influx of inflammatory leukocytes. This result is consistent with that from the transendothelial chemotaxis assays performed in vitro, and suggests that the presentation of GAG-bound chemokine is also required to promote the physiological leukocyte migration which leads to inflammation.
Importantly, it was also found that introduction to the air pouch of a mixture of the non-GAG-binding mutant and wt forms of CCL7 produced a powerful homologous antagonism of the normal inflammatory response produced by wt CCL7. This is analogous to the failure of transendothelial migration observed in vitro in response to stimulation by a mixture of wt and mutant CCL7. Intriguingly, a similar antagonism of the inflammatory response in vivo was observed using a semihomologous mixture of mutant CCL7 and wt CCL5 (a combination of chemokines which share the specific receptors CCR1 and 3, but not CCR2), and the completely heterologous mixture of mutant CCL7 and CXCL12 (which share no common receptors). These data suggest not only that GAG binding is required for chemokine-driven inflammation, but also show that the presence of non-GAG-binding chemokine receptor agonists can block the normal vectorial migration of leukocytes required for the generation of an inflammatory infiltrate. This observation is consistent with a model in which inappropriate leukocyte receptor stimulation by nonsequestered chemokines can overcome the response to directional cues provided normally by GAG-bound chemokines.
To investigate the potential of non-GAG-binding mutant CCL7 to antagonize the inflammatory activity of a pathophysiological mixture of chemokines, a series of transendothelial migration experiments was performed using synovial fluid recovered from patients with active rheumatoid arthritis. It is known that this fluid contains a wide range of chemokines (33) which actively promote chemotaxis in vitro (42). Significantly, the addition of as little as 10 ng/ml of the mutant chemokine was sufficient to inhibit the powerful transendothelial migration of either PBMC or a monocyte cell line which was produced by unmodified synovial fluid samples. This inhibitory effect was not caused by saturation of the chemotactic response as addition of up to 1000 ng/ml of wt CCL7 either had either no effect on, or increased the leukocyte chemotaxis induced by the synovial fluid.
Results in this study suggest that chemokine receptor ligation by non-GAG-bound agonists can tolerize receptor-bearing cells to vectorial stimuli provided subsequently by normal chemokines presented, for example, on the apical surface of endothelial cells in vitro (12). One candidate mechanism for this is modulation of receptor expression (43) following receptor ligation by non-GAG-bound chemokines. In this study it was found that both wt and mutant CCL7 were equally effective at reducing the expression of CCR1. However, neither agonist caused significant heterologous modulation of the CXCR4, precluding this as an explanation for the blockade of the response to CXCL12 observed both in vitro and in vivo.
An alternative mechanism is suggested by the observation that pretreatment of mononuclear cells with either wt or mutant CCL7 in solution desensitizes these cells to subsequent chemotactic stimulation by either homologous ligands or by the heterologous ligand CXCL12. This potential for cross-desensitization of multiple chemokine receptors by single agonists has been reported previously (44, 45), and is most likely attributable to inhibitory receptor phosphorylation by activated G-protein-coupled receptor kinases or protein kinase C (46, 47).
We believe that non-GAG-binding chemokine receptor agonists might provide a novel route to the development of anti-inflammatory drugs. It is possible that the application of appropriate agents of this class will produce a more general effect than can be achieved by the use of highly specific small molecule chemokine receptor antagonists.
Acknowledgments
We thank Dr. Claudio Vita (CEA, Saclay, France) for his helpful comments on this work. The skillful technical assistance of Rob Stewart in animal handling and Xin Xu for immunohistochemical staining of sections is genuinely appreciated. We thank Maureen Kirkley, Elizabeth Shiells, and Kerstin Lehner for excellent technical support.
Disclosures
The authors have no financial conflict of interest.
Footnotes
The costs of publication of this article were defrayed in part by the payment of page charges. This article must therefore be hereby marked advertisement in accordance with 18 U.S.C. Section 1734 solely to indicate this fact.
These studies were supported by grants from Roche Organ Transplantation Research Foundation (Grant Number 189234840) and the British Heart Foundation.
Abbreviations used in this paper: GAG, glycosaminoglycan; HS, heparan sulfate; wt, wild type; HMEC, human microvascular endothelial cell.






