Abstract
Keratinocytes contribute to cutaneous immune responses through the expression of cytokines. We investigated whether human keratinocytes can express IL-23, a newly defined IFN-γ-inducing cytokine composed of a unique p19 subunit and a p40 subunit shared with IL-12. Cultured keratinocytes from normal and lesional psoriatic skin were found to express constitutively mRNA for both subunits of IL-23. Low but significant levels of the heterodimeric IL-23 protein could be detected in cell lysates and supernatants from stimulated keratinocytes by immunoblotting and ELISA. Functional analysis showed that these low levels of keratinocyte-derived IL-23 were sufficient to enhance the IFN-γ production by memory T cells. Immunostaining of skin sections confirmed expression of both subunits of IL-23 by keratinocytes in situ and also revealed expression of this cytokine in the dermal compartment. IL-23 expression was significantly higher in psoriatic lesional skin, compared with normal and psoriatic nonlesional skin. The immunostained preparations of cultured cells and IL-23 levels in culture supernatants did not show any difference between normal and psoriatic keratinocytes indicating no intrinsic aberration of IL-23 expression in keratinocytes from psoriatic skin. Double staining of cytospin preparations demonstrated that IL-23 p19 is also expressed by epidermal Langerhans cells, dermal dendritic cells, and macrophages. Psoriasis is a chronic inflammatory skin disease mediated by IFN-γ-expressing type 1 memory T cells. As IL-23 is important to activate memory T cells to produce IFN-γ, its augmented expression of IL-23 by keratinocytes and cutaneous APC may contribute to the perpetuation of the inflammation process in this disease.
The skin is the main organ connecting the body to the potentially harmful environment. To achieve homeostasis and to defend the body against microbial invaders, it serves not only as a physical barrier, but is also equipped with numerous immunological functions collectively called the skin immune system (1). In addition to the well-known immunocompetent cells, which traffic into and out of the skin (e.g., dendritic cells (DC)2 and T cells), keratinocytes, as the main constituent of the epidermis, also have an important contribution to the development of optimal cutaneous immune responses. Keratinocytes can, constitutively or after stimulation, produce many cytokines as reviewed elsewhere (2). Physical, chemical, and pathogenic triggers induce keratinocytes to secrete proinflammatory cytokines, such as IL-1β and TNF-α, resulting in autoactivation of these cells to produce other inflammatory cytokines and chemokines. The proinflammatory cytokines may also activate other cells in the skin, such as DC, which start to mature and migrate to lymph nodes inducing adaptive immunity (3).
Expression of type 1 cytokines is crucial for defense against intracellular microorganisms and for development of delayed-type hypersensitivity reactions. Type 1 T cells produce IFN-γ, the principle mediator of subsequent type 1-associated immune responses. Expression of IFN-γ is strictly regulated by other cytokines (4): IL-12 was initially identified as an inducer of IFN-γ expression (5); subsequently, several other cytokines were also found to contribute to this regulation, namely IL-15, IL-18, IL-21, IL-23, and IL-27, which act separately or in combination to induce type 1 cytokine responses (4, 6). Within this group of IFN-γ-inducing cytokines, IL-23 and IL-27 exhibit structural and functional similarities to IL-12. However, they differ in the timing of their contribution to the type 1 responses; IL-27 is known to be important in the early expansion of naive T cells and IFN-γ expression by these cells, whereas IL-23 only acts on memory T cells to induce IFN-γ expression, suggesting that IL-23 might be important in the maintenance of immune responses (4). The IL-23 heterodimer is formed by the combination of the p19 and p40 subunits and possesses the most structural similarity to IL-12, compared with other IFN-γ-inducers. The p40 subunit of IL-23 is shared with IL-12, whereas the unique IL-23 p19 molecule resembles to the IL-12-specific p35 subunit. In addition to their structural similarity, IL-12 and IL-23 both act through specific receptors that share a common IL-12β1 chain (7). Human keratinocytes produce both subunits of the IL-12 heterodimer, allowing these cells to promote type 1 T cell responses (8); however, it is as yet not known whether keratinocytes also express the IL-23 p19 subunit.
It has been suggested that the expression of IL-12 might play an important role in certain inflammatory skin diseases (9, 10). Psoriasis vulgaris is a chronic inflammatory type 1 cytokine-related cutaneous disease, which is characterized by infiltrates of activated memory T cells that have a high IFN-γ expression (11). An enhanced expression of IL-12 mRNA and protein was found in psoriatic lesional skin, compared with nonlesional and normal skin, and a causative relationship to the high IFN-γ expression in lesional skin was suggested (12). Considering that IL-23, not IL-12, preferentially activates memory T cells (7) and the fact that activated proliferating memory T cells are abundantly present in psoriasis lesions (13), we proposed that IL-23 rather than IL-12 would play a major role in the sustained inflammatory reaction taking place in psoriasis plaques. This consideration prompted us to investigate the expression of IL-23 p19 in normal and lesional psoriatic skin. Special attention was paid to keratinocytes because mutual interaction and activation of keratinocytes and T cells is thought to be responsible for the perpetuation of the inflammatory process in the psoriatic lesions (14).
In this study, we show that human keratinocytes constitutively express mRNA for the two subunits of IL-23 and demonstrate that these cells are able to secrete the IL-23 heterodimer, which turned out to enhance the IFN-γ expression by memory T cells. Specific staining for IL-23 in cryostat sections confirmed the expression of this cytokine by keratinocytes in situ, and furthermore, IL-23 expression appeared to be significantly stronger in psoriatic skin compared with normal skin. Double-staining experiments indicated that Langerhans cells, dermal DC, and macrophages can also express IL-23.
Materials and Methods
Skin biopsy and isolation of keratinocytes
Skin biopsy specimens (5 mm) were obtained from patients with chronic plaque-type psoriasis (16 lesional and 10 nonlesional biopsy samples) and from residual skin of normal individuals (n = 13) who had an operation for abdominal or breast reduction. The study was approved by the Medical Ethical Committee of the Academic Medical Center (Amsterdam, The Netherlands). These specimens were either snap frozen for in situ stainings or prepared for in vitro experiments under sterile conditions. The frozen biopsy specimens were cut into 5-μm sections and saved at −80°C until use. The biopsy specimens to be used for cell isolation were incubated overnight at 4°C in 0.3% dispase (Boehringer Mannheim) in PBS with 50 μg/ml gentamicin (Duchefa). Next day, the dermis was removed and the epidermis was trypsinized (0.25% trypsin; Invitrogen Life Technologies) for 5 min at 37°C. After stopping the reaction by adding an equal volume of FCS (HyClone Laboratories), the cells were filtered through a cell strainer, washed in keratinocyte serum-free medium (KGM; Invitrogen Life Technologies) with 50 μg/ml gentamicin and plated into petri dishes (100 mm) to generate keratinocyte cultures or used to make cytospin preparations. The dermal cell suspension was prepared by means of collagenase digestion as previously described (15).
Stimulation of cells
For the determination of the IL-23 heterodimer by ELISA, immature monocyte-derived DC (MoDC) generated as described elsewhere (16) were stimulated at 5 × 104 cells/well in a flat-bottom 96-well plate (final volume, 200 μl) with either 10 μg/ml peptidoglycan (Sigma-Aldrich), or 10 μg/ml synthetic dsRNA poly(I:C), or an equal number of CD40L-transfected J558 (J558-CD40L) plasmacytoma cells (a gift of Dr. P. Lane, University of Birmingham, Birmingham, U.K.), or 10 ng/ml IL-1β (PBH), or 103 U/ml IFN-γ (Roche Diagnostics), or different combinations of these stimuli for 24 h. Supernatants and cell lysates of keratinocytes (passage 3) were obtained from subconfluent cultures maintained in petri dishes and stimulated overnight with a mixture of all aforementioned stimuli to achieve a maximal response. Keratinocyte cultures of passage 3 become usually subconfluent in 5–7 days and the purity of these cell cultures was tested by RT-PCR, which showed no expression of HLA-DR (macrophages, DC, B cells), CD3 (T cells), tyrosinase (melanocytes), and parathyroid hormone-rat (fibroblasts) (data not shown).
PCR analysis
Total RNA was purified from cultured unstimulated keratinocytes by using the Nucleospin RNA II kit (Macherey-Nagel) following the manufacturer’s instructions. First strand cDNA was generated with help of a synthesis kit for RT-PCR (MBI Fermentas), using 9 μl of total RNA, 1 μl of oligo(dT)18 and 1 μl of D(N)6 and heating the mix at 94°C for 5 min. The primers used were: IL-23 p19 (forward) 5′-TCG GCA CGA GAA CAA CTG AG-3′, (reverse) 5′-TGG GGA ACA TCA TTT GTA GTC T-3′ defining a 353-bp product; IL-12 p35 (forward) 5′-AAG AGA CCA GAG TCC CGG G-3′, (reverse) GGA GCA TGT TGC TGA CGG C-3′ defining a 311-bp product; IL-12/IL-23 p40 (forward) 5′-ATT GAG GTC ATG GTG GAT GC-3′, (reverse) 5′-AAT GCT GGC ATT TTT GCG GC-3′ defining a 297-bp product; and β2- microglobulin (forward) 5′-AAG ATT CAG GTT TAC TCA CGT C-3′, (reverse) 5′-TGA TGC TGC TTA CAT GTC TCG-3′. The PCR protocol was as follows: start with a 3 min incubation at 94°C, followed by 45 cycles of sequential incubations at 94°C for 30 s, 60°C for 30 s, and 72°C for 1 min. Analysis of the PCR products was done on a 1% agarose gel containing ethidium bromide. A 100-bp DNA ladder standard (MBI Fermentas) was used as a size marker.
Western blot analysis
The supernatant from stimulated keratinocytes was concentrated 20-fold by means of centrifugation (Millipore), whereas adherent keratinocytes (∼2 × 106) were washed once with PBS before the cells were lysed in 150 μl of PBS by freeze/thaw. The 25 μl of the supernatant and cell lysate was loaded onto a 12% polyacrylamide gel (Bio-Rad) and separated by electrophoresis under reducing and nonreducing conditions. Next the separated proteins were transferred onto a nitrocellulose membrane (Schleicher & Schuell). Recombinant human IL-23 (R&D Systems) was used as a positive control and recombinant prestained proteins of known molecular mass (Bio-Rad) were included to enable the estimation of the molecular mass of our specific IL-23 signal. Before incubating the nitrocellulose membrane with polyclonal rabbit anti-human IL-23 p19 (a gift of Dr. J. Pirhonen, National Public Health Institute, Helsinki, Finland) for 18 h at 4°C. The specificity of this Ab was tested in an earlier study (17). The membrane was blocked with PBS containing 0.05% Tween 20 and 5% nonfat dried milk. After incubation with peroxidase-conjugated goat anti-rabbit Ig (DakoCytomation) for 1 h at room temperature, specific protein bands in the filter were visualized by the ECL Plus Western Blotting Detection System (Amersham Biosciences) and detected by a fluorescence imager (Typhoon 9400; Amersham Biosciences).
Determination of the IL-23 heterodimer by ELISA
The amount of IL-23 protein in the supernatants from keratinocytes and MoDC and in keratinocyte cultures was determined by a solid-phase sandwich ELISA, using polyclonal goat anti-human IL-23 p19 (R&D Systems) as the coating Ab and biotin-conjugated monoclonal mouse anti-human IL-12/IL-23 p40 (BD Pharmingen) as the detecting Ab. Hence, this ELISA detects only the heterodimer form of IL-23, but not the separate subunits. Specificity of the ELISA was tested by using recombinant human IL-23 heterodimer (R&D Systems), IL-12 heterodimer (Strathmann Biotec), and IL-12/IL-23 p40 subunit (BioSource International). Only the rIL-23 heterodimer, but neither the IL-12 heterodimer nor the common p40 subunit, was detectable by this ELISA (data not shown) with a detection limit of 300 pg/ml.
Assessment of the biological activity of keratinocyte-derived IL-23
T cells from peripheral blood of healthy donors were obtained by negative selection by means of a CD4 T cell isolation kit and an AutoMACS instrument from Miltenyi Biotec according to the manufacturer’s protocol. Cells suspended in IMDM with 10% FCS were plated at a density of 105 per well in a 96-well plate (final volume, 200 μl/well) and were stimulated with plate-bound anti-CD3 plus anti-CD28. After 10 days, the memory T cells were harvested and subjected to a second round of similar stimulation, this time seeded in triplicate in the absence or presence of 10 ng/ml rIL-23 or 5% of concentrated supernatant from stimulated keratinocytes, using the monoclonal mouse anti-human IL-23 (10 μg/ml, clone 253810; R&D Systems) to block the IL-23 activity. The IFN-γ production was assessed after 65 h by a sandwich ELISA as previously described (18).
Immunohistochemical staining
Immunohistochemical staining was performed to determine the expressions of the p19 subunit of IL-23, the common IL-12/IL-23 p40 subunit, and the IL-12 p70 heterodimer in 5-μm skin sections, keratinocytes cultured on object glass, and cytospin preparations from epidermal and dermal cell suspensions. Primary Abs were polyclonal rabbit anti-human IL-23 p19, biotin-conjugated monoclonal mouse anti-human IL-12/IL-23 p40 and monoclonal mouse anti-human IL-12 p70 (R&D Systems). After fixation with acetone at 4°C for 10 min, sections were incubated sequentially with 10% normal goat serum (DakoCytomation) at room temperature for 15 min, primary Ab at room temperature for 1 h or overnight at 4°C, biotin-conjugated goat anti-mouse (DakoCytomation) at room temperature for 30 min, and avidin-peroxidase (DakoCytomation) at room temperature for 30 min (DakoCytomation). In case of p19 staining, biotin-conjugated goat anti-rabbit (DakoCytomation) was used as the second step. After each incubation step, except for the incubation with normal goat serum, the sections were washed three times with Tris-buffered saline. Peroxidase activity was detected as red color using the chromogen 3-amino-9-ethylcarbazole (Sigma-Aldrich). Hematoxylin was used to perform nuclear staining. Mouse anti-human IgG1 (Dako Cytomaation) was used as isotype control for both p40 and p70 Abs and polyclonal rabbit anti-human Factor XIIIa Ab detecting (dermal DC; BioGenex Laboratories) was used as a control for the p19 staining.
In situ expression of the IL-23 p19 subunit was blindly assessed in three sections per biopsy, scoring separately suprabasal epidermis, basal epidermis, papillary dermis, and superficial dermis using the following arbitrary units: 0, no staining; 1, very weak staining and/or occasional single or few cells (1–5 cells/section); 2, weak staining and/or scattered cells and small groups of cells (5–30 cells/section); 3, moderate staining and/or relatively big groups of cells (30–100 cells/section); 4, strong staining and/or many cells in big groups (100–400 cells/section); or 5, very strong staining and/or very large groups of cells (>400 cells/section). Epidermal expression was defined as the sum of basal and suprabasal scores, whereas dermal expression was the sum of papillary and superficial dermal scores.
To identify the cells expressing IL-23 p19, dermal and epidermal cell cytospin preparations were double-stained with p19 and one of the following cell markers: CD1a (Langerhans cells; BD Pharmingen), HMB45 (melanocytes; DakoCytomation), CD1c (DC; BD Pharmingen), CD3 (T cells; BD Pharmingen), CD83 (mature DC; BD Pharmingen), CD36 (macrophages; Beckman Coulter), HLA-DR (APC; BD Pharmingen), and CD15 (polymorphonuclear leukocytes; DakoCytomation). After performing the IL-23 p19 staining as described, the sections were sequentially incubated with the second primary Ab, goat anti-mouse (DakoCytomation) and alkaline phosphatase-anti-alkaline phosphatase complex (DakoCytomation). The color development was achieved by using naphthol-AS-MX-phosphate (Sigma-Aldrich) for blue and 3-amino-9-ethylcarbazole for red.
Statistical analysis
The scoring of the in situ expression of IL-23 p19 was expressed as values for the mean ± SD. Data were analyzed for the statistical significance either with independent sample t test to compare the expression in normal skin with lesional and nonlesional psoriatic skin or with paired sample t test to compare the expression in nonlesional with lesional psoriatic skin. A value for p < 0.05 was considered as the level of significance.
Results
Constitutive expression of IL-23 p19 mRNA by human keratinocytes
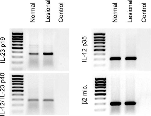
To investigate whether human keratinocytes are able to express the IL-23 heterodimer, we extracted total RNA from cultured keratinocytes and assessed the presence of mRNA for the two subunits of this cytokine by RT-PCR. As shown in Fig. 1, nonstimulated keratinocytes from both normal and psoriatic lesional skin displayed mRNA for IL-23 p19 and IL-12/IL-23 p40, indicating that these cells constitutively express the two subunits of IL-23. In addition, we also demonstrated the constitutive presence of IL-12 p35 mRNA, confirming earlier studies (12, 19, 20).
Keratinocytes express mRNA for the p19 and p40 subunits of the IL-23 heterodimer. Total RNA was isolated and reverse transcribed, and after 45 cycles of amplification, the products were analyzed. The mRNA integrity was controlled by amplification of β2-microglobulin. Both normal and lesional psoriatic keratinocytes were found to express mRNA for the IL-23-specific p19 subunit, in addition to the known expression of the IL-12 p35 and IL-12/IL-23 p40 subunits. This result is representative of keratinocytes from four normal individuals and four lesional psoriasis patients.
Keratinocytes express mRNA for the p19 and p40 subunits of the IL-23 heterodimer. Total RNA was isolated and reverse transcribed, and after 45 cycles of amplification, the products were analyzed. The mRNA integrity was controlled by amplification of β2-microglobulin. Both normal and lesional psoriatic keratinocytes were found to express mRNA for the IL-23-specific p19 subunit, in addition to the known expression of the IL-12 p35 and IL-12/IL-23 p40 subunits. This result is representative of keratinocytes from four normal individuals and four lesional psoriasis patients.
Normal human keratinocytes express the IL-23 heterodimer
The RT-PCR analysis clearly revealed that keratinocytes can synthesize the mRNA for both subunits of IL-23. As a next step we wanted to determine whether these cells were able to produce these subunits at the protein level and to combine them to form the heterodimeric IL-23. The cell lysate and supernatant of stimulated normal keratinocytes were subjected to Western blot analysis, using a polyclonal rabbit Ab that is specific for IL-23 p19. In nonreduced samples, we detected a protein with a molecular mass of ∼60 kDa (Fig. 2, top), which probably represents a complex composed of the p19 and p40 subunits of IL-23 and is in line with an earlier study using the same Ab (21). In the reduced samples, p19 was detectable both in the recombinant and the keratinocyte samples (Fig. 2, bottom).
IL-23 heterodimer is expressed by human keratinocytes at protein level. Normal human keratinocytes were stimulated overnight with poly(I:C) and IFN-γ. The supernatants and the cell lysates were subjected to SDS-PAGE and Western blot analysis under nonreducing (top) and reducing (bottom) conditions. Recombinant human IL-23 heterodimer (100 ng) (lane 1), cell lysate (lane 2), and 20-fold concentrated supernatant of stimulated keratinocytes (lane 3) are shown, and data are representative results of independent experiments.
IL-23 heterodimer is expressed by human keratinocytes at protein level. Normal human keratinocytes were stimulated overnight with poly(I:C) and IFN-γ. The supernatants and the cell lysates were subjected to SDS-PAGE and Western blot analysis under nonreducing (top) and reducing (bottom) conditions. Recombinant human IL-23 heterodimer (100 ng) (lane 1), cell lysate (lane 2), and 20-fold concentrated supernatant of stimulated keratinocytes (lane 3) are shown, and data are representative results of independent experiments.
Immature MoDC, a potentially rich source of IL-23, were stimulated with several different stimuli, either alone or in combination, to determine which stimulus is most powerful to provoke IL-23 production. For this purpose, we designed a specific ELISA that only detects IL-23 heterodimers. As shown in Fig. 3,a, no IL-23 could be detected in supernatants of unstimulated cells. Triggering via the CD40 molecule present on the cell surface induced IL-23, whereas peptidoglycan and poly(I:C) did not. Costimulation with IL-1β resulted in an enhanced IL-23 secretion by immature MoDC. The highest expression was achieved by a combination of J558-CD40L cells, peptidoglycan, poly(I:C), IFN-γ, and IL-1β (Fig. 3,a). Because this mixture of stimuli gave the strongest expression of IL-23 in MoDC, we used it to stimulate keratinocytes. In contrast to the high production of IL-23 by MoDC, we found a low but significant amount of the IL-23 heterodimer in the supernatants of stimulated keratinocytes when the supernatant was concentrated 40- to 70-fold (Fig. 3 b). On the cell basis, this expression was ∼1000-fold lower than in MoDC used to set up the detection system. The level of IL-23 production by keratinocytes from normal human skin or from lesional psoriatic skin appeared to be comparable.
Analysis of the expression of the IL-23 heterodimer in MoDC and keratinocytes. a, Immature MoDC from normal individuals were stimulated 24 h with different stimuli as indicated. The highest induction of IL-23 heterodimer was found in the case in which J558-CD40L cells were used as stimulus. MoDC were derived from three different donors. b, The mix of all stimuli, causing the highest production of IL-23 in the MoDC supernatants, was used to stimulate normal keratinocytes. The cell lysate of stimulated keratinocyte contained a higher expression of IL-23 as compared with unstimulated cells. Representative data of keratinocytes from two different donors are presented.
Analysis of the expression of the IL-23 heterodimer in MoDC and keratinocytes. a, Immature MoDC from normal individuals were stimulated 24 h with different stimuli as indicated. The highest induction of IL-23 heterodimer was found in the case in which J558-CD40L cells were used as stimulus. MoDC were derived from three different donors. b, The mix of all stimuli, causing the highest production of IL-23 in the MoDC supernatants, was used to stimulate normal keratinocytes. The cell lysate of stimulated keratinocyte contained a higher expression of IL-23 as compared with unstimulated cells. Representative data of keratinocytes from two different donors are presented.
Keratinocyte-derived IL-23 stimulates IFN-γ production in memory T cells
In the next series of experiments we questioned whether the low amount of IL-23 produced by keratinocytes was sufficient to affect the IFN-γ production by memory T cells. To this end, we set up a T cell stimulation assay in which the IFN-γ production could be enhanced by addition of rIL-23, and neutralization of this effect could be achieved with anti-IL-23 (Fig. 4). Addition of concentrated supernatant from activated keratinocytes to the CD3/CD28-stimulated memory T cells provoked an enormous boost in the IFN-γ production (n = 2). This amplification could only partially be blocked with anti-IL-23 (Fig. 4). The isotype control mouse IgG2b did not significantly affect the IFN-γ production (Fig. 4), nor did the concentrated keratinocyte culture medium or the mixture used to stimulate the keratinocytes (data not shown). These results indicate that the keratinocyte-derived IL-23 is biologically active, and in addition, that other IFN-γ promoting cytokines are secreted by keratinocytes.
Keratinocyte-derived IL-23 amplify the IFN-γ production by memory T cells. After a first round of stimulation with plate-bound CD3/CD28, triplicate cultures of CD4-positive memory T cells were stimulated for a second time in the same fashion, but this time in the absence or presence of rIL-23 or concentrated supernatant of stimulated keratinocytes. Blocking anti-IL-23 Ab was added to neutralize the bioactivity of IL-23, using mouse IgG2b as isotype control. After 3 days the supernatant of the stimulated T cells was harvested and the IFN-γ levels were measured by ELISA. The average of triplicate samples ± SD is shown and is representative of two independent experiments. Significant increase (∗) compared with the sample without additions; significant inhibition (∗∗) of the blocking Ab.
Keratinocyte-derived IL-23 amplify the IFN-γ production by memory T cells. After a first round of stimulation with plate-bound CD3/CD28, triplicate cultures of CD4-positive memory T cells were stimulated for a second time in the same fashion, but this time in the absence or presence of rIL-23 or concentrated supernatant of stimulated keratinocytes. Blocking anti-IL-23 Ab was added to neutralize the bioactivity of IL-23, using mouse IgG2b as isotype control. After 3 days the supernatant of the stimulated T cells was harvested and the IFN-γ levels were measured by ELISA. The average of triplicate samples ± SD is shown and is representative of two independent experiments. Significant increase (∗) compared with the sample without additions; significant inhibition (∗∗) of the blocking Ab.
Expression of p19 and p40 subunits of IL-23 at protein level in keratinocytes
To further substantiate the evidence that human keratinocytes are able to express IL-23, we cultured keratinocytes from normal (n = 3), lesional psoriatic skin (n = 3), and nonlesional psoriatic skin (n = 3) on object glasses and subsequently stained them with Abs recognizing the unique p19 subunit or the common p40 subunit of IL-23. For reasons of comparison, we stained the cells for the presence of the p70 heterodimer of IL-12 as well. The IL-23 p19 subunit was expressed in normal, lesional, and nonlesional psoriatic keratinocytes at comparable levels (Fig. 5, a–c). The staining was stronger in small and round cells than in big cells with abundant cytoplasm, suggesting that the p19 expression was more prominent in the undifferentiated keratinocytes. Staining with the p40 Ab revealed a similar picture as the staining with the IL-23 p19 Ab (Fig. 5, d–f). However, IL-12 p70 expression, which represents the biologically active form of IL-12, was seen only in a few cells in normal and in lesional or nonlesional psoriatic keratinocytes (Fig. 5, g–i). Polyclonal rabbit Factor XIIIa Ab, which is used as a control for the polyclonal rabbit p19 Ab, did not show any staining in the keratinocytes (data not shown).
Cultured keratinocytes from normal, nonlesional, and lesional skin express IL-23 protein. Keratinocytes cultured on an object glass were stained by Abs specific for IL-23 p19, IL-12/IL-23 p40, or the IL-12 p70 heterodimer. IL-23 p19 expression in normal (a), nonlesional (b), and lesional (c) keratinocytes is presented. IL-12/IL-23 p40 expression in normal (d), nonlesional (e), and lesional (f) keratinocytes is shown. IL-12 p70 expression in normal (g), nonlesional (h), and lesional (i) keratinocytes is also presented. A clear expression of IL-23 p19 and IL-12/IL-23 p40 was present in all keratinocytes, whereas IL-12 p70 was expressed by a few cells. Data are representative of three different normal controls and three psoriasis patients (original magnification, ×200).
Cultured keratinocytes from normal, nonlesional, and lesional skin express IL-23 protein. Keratinocytes cultured on an object glass were stained by Abs specific for IL-23 p19, IL-12/IL-23 p40, or the IL-12 p70 heterodimer. IL-23 p19 expression in normal (a), nonlesional (b), and lesional (c) keratinocytes is presented. IL-12/IL-23 p40 expression in normal (d), nonlesional (e), and lesional (f) keratinocytes is shown. IL-12 p70 expression in normal (g), nonlesional (h), and lesional (i) keratinocytes is also presented. A clear expression of IL-23 p19 and IL-12/IL-23 p40 was present in all keratinocytes, whereas IL-12 p70 was expressed by a few cells. Data are representative of three different normal controls and three psoriasis patients (original magnification, ×200).
In situ expression of the IL-23 p19 subunit in skin
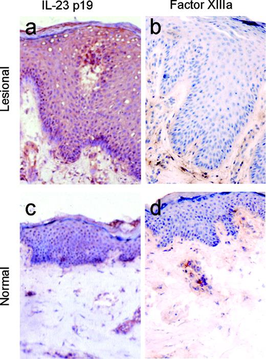
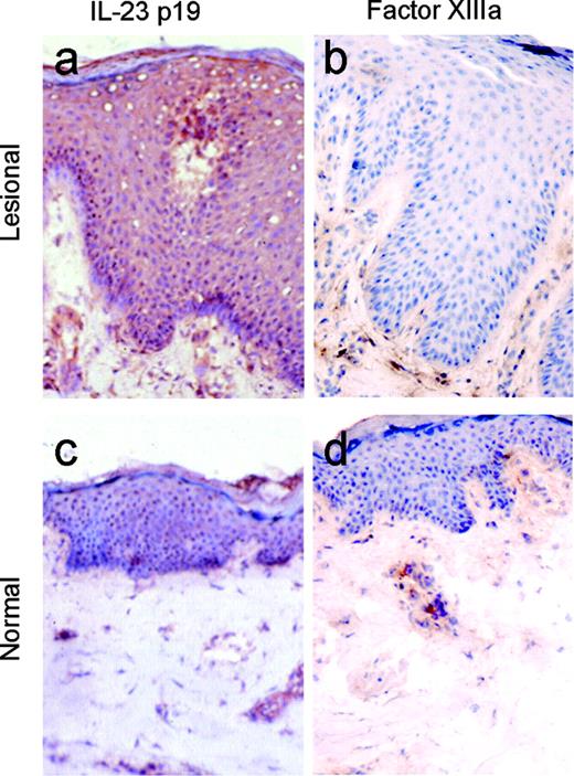
To confirm the expression and localization of IL-23 in situ, we stained normal (n = 7), nonlesional (n = 5), and lesional (n = 10) psoriatic skin sections with the IL-23 p19-specific rabbit polyclonal Ab. The expression of the p19 subunit in the epidermis of psoriatic lesional skin was diffuse and very strong, whereas in the dermis, perivascular cells abundantly expressed this molecule (Fig. 6,a). In contrast, in normal human skin the IL-23 p19 expression in the epidermis was much weaker and in the dermis this expression was present in only a limited number of cells, mainly around the capillaries (Fig. 6,c). The control stainings with Factor XIIIa, known to be specifically expressed by dermal DC, revealed a completely different staining pattern, showing positive cells in the papillary and superficial dermis and no positive cells in the epidermis (Fig. 6, b and d). In addition, the staining with IL-23 p19-specific polyclonal goat Ab showed the same distribution pattern and intensity of p19 as obtained with the rabbit polyclonal Ab (data not shown). The expression of IL-23 p19 in normal, nonlesional, and lesional psoriatic skin was scored in arbitrary units and was summarized in Fig. 7. Statistical analysis of these values indicates that lesional psoriatic skin had a significantly higher expression of IL-23 than normal skin and nonlesional psoriatic skin. The expression of IL-23 p19 in normal vs nonlesional psoriatic skin did not differ significantly. These results are different from the staining pattern seen in the preparations of cultured keratinocytes that showed a similar level of p19 expression in lesional, nonlesional, and normal skin. This discrepancy might be caused by the induction of IL-23 p19 expression during in vitro processing and culturing of keratinocytes.
Expression of IL-23 p19 in normal and lesional psoriatic skin in situ. Immunohistochemical staining of skin sections with polyclonal rabbit anti-IL-23 p19 showed a diffuse positive staining pattern in the epidermis. The epidermis in lesional psoriatic skin (a) stained markedly stronger than the epidermis in normal skin (c) and the number of the positive dermal cells were higher in psoriatic than in normal dermal skin. Staining of psoriatic (b) and normal (d) skin sections with polyclonal rabbit anti-human Factor XIIIa Ab (detecting dermal DC) was performed as a control for the p19 staining (original magnification, ×200).
Expression of IL-23 p19 in normal and lesional psoriatic skin in situ. Immunohistochemical staining of skin sections with polyclonal rabbit anti-IL-23 p19 showed a diffuse positive staining pattern in the epidermis. The epidermis in lesional psoriatic skin (a) stained markedly stronger than the epidermis in normal skin (c) and the number of the positive dermal cells were higher in psoriatic than in normal dermal skin. Staining of psoriatic (b) and normal (d) skin sections with polyclonal rabbit anti-human Factor XIIIa Ab (detecting dermal DC) was performed as a control for the p19 staining (original magnification, ×200).
Significantly stronger expression of IL-23 in psoriasis lesional skin. Normal human (n = 7) and lesional psoriatic (n = 10) and nonlesional skin (n = 5) sections were stained for IL-23 p19 and the specific staining was scored in epidermis (a) and dermis (b). Significant difference (∗, p < 0.05; ∗∗, p = 0.001) shown.
Significantly stronger expression of IL-23 in psoriasis lesional skin. Normal human (n = 7) and lesional psoriatic (n = 10) and nonlesional skin (n = 5) sections were stained for IL-23 p19 and the specific staining was scored in epidermis (a) and dermis (b). Significant difference (∗, p < 0.05; ∗∗, p = 0.001) shown.
Identification of IL-23 p19 expressing epidermal and dermal cells
In the following experiments, we wanted to determine which cell types were responsible for the in situ expression of IL-23 p19 in the epidermis and dermis. Cytospin preparations of freshly isolated epidermal and dermal cells from normal skin were double-stained with IL-23 p19 and different cell markers. Concerning the epidermal compartment, double staining with p19 and CD1a revealed that Langerhans cells expressed IL-23 p19. However, most of the cells expressing IL-23 p19 were negative for CD1a showing that Langerhans cells were not the major population expressing the IL-23 p19 subunit in the epidermal compartment (Fig. 8,a). Double staining with p19 and HMB45 indicated that melanocytes were not able to produce IL-23 (Fig. 8,b). In dermal cell suspensions, IL-23 p19 expression colocalized with cells that displayed CD1c (Fig. 8,c), CD36 (Fig. 8,d), and HLA-DR (Fig. 8,e). Few CD3+ T cells also expressed this cytokine (Fig. 8,f). CD83+ cells were quite low in number, but stained for IL-23 p19 (Fig. 8 g). There were no CD15+ polymorphonuclear cells present in the dermal cell suspension (data not shown).
Identification of the IL-23 p19-expressing cells. Cytospin preparations of fresh epidermal and dermal cell suspensions were stained for IL-23 p19 (red) and several different cell markers (blue). The staining of the epidermal cells revealed that beside keratinocytes, the major group of epidermal cells expressing IL-23 p19, CD1a+ Langerhans cells expressed this subunit as well (a). HMB45+ melanocytes did not show costaining with the IL-23 p19 subunit (b). Most IL-23 p19 subunit expression in the dermis was present in DC and macrophages as identified by the expression of surface markers CD1c (c), CD36 (d) and HLA-DR (e). Approximately one-fifth of CD3+ T cells (f) expressed IL-23 p19 as well. The few CD83+ DC (g) in cytospin preparations of dermal cells were mostly IL-23 p19 positive. Thick arrows indicate double-positive cells and thin arrows single-positive cells (original magnification, ×400). Double-positive cells (inset) are shown.
Identification of the IL-23 p19-expressing cells. Cytospin preparations of fresh epidermal and dermal cell suspensions were stained for IL-23 p19 (red) and several different cell markers (blue). The staining of the epidermal cells revealed that beside keratinocytes, the major group of epidermal cells expressing IL-23 p19, CD1a+ Langerhans cells expressed this subunit as well (a). HMB45+ melanocytes did not show costaining with the IL-23 p19 subunit (b). Most IL-23 p19 subunit expression in the dermis was present in DC and macrophages as identified by the expression of surface markers CD1c (c), CD36 (d) and HLA-DR (e). Approximately one-fifth of CD3+ T cells (f) expressed IL-23 p19 as well. The few CD83+ DC (g) in cytospin preparations of dermal cells were mostly IL-23 p19 positive. Thick arrows indicate double-positive cells and thin arrows single-positive cells (original magnification, ×400). Double-positive cells (inset) are shown.
Discussion
In this study, we demonstrated that human keratinocytes constitutively express mRNA for the p19 and p40 subunits of IL-23 and synthesize the heterodimer protein of ∼60 kDa, which is the biologically active form of this cytokine. By means of ELISA we showed that human keratinocytes can secrete low but significant levels of IL-23, and functional analysis proved that these low levels of keratinocyte-derived IL-23 are biologically active and sufficient to amplify the IFN-γ production by memory T cells. These results not only support the view that keratinocytes contribute to cutaneous inflammation but also indicate that they can enhance type 1 immune responses through the expression of IL-23.
We found that a powerful stimulation for IL-23 production by MoDC was provided via CD40 triggering, and this effect was enhanced by IFN-γ and in particular IL-1β. This kind of stimulation may also be biologically relevant for keratinocytes, because, like DC, they also express CD40, enabling them to interact with CD40L-expressing T cells (22, 23). IL-1β and IFN-γ are known to induce CD40 expression on DC (24, 25), whereas IFN-γ, but not IL-1β, increases the expression of CD40 by keratinocytes (26). Further, IFN-γ also stimulates expression of IL-1β by keratinocytes (27). Although it is clear that triggering by CD40L, IFN-γ, and IL-1β are appropriate stimuli for immature MoDC to produce IL-23, it cannot be excluded that other kind of costimuli are needed to boost IL-23 production by keratinocytes. In contrast, one can imagine that keratinocytes only produce low levels of IL-23 because robust secretion by the epidermal layer would be harmful, as will be discussed below.
Keratinocytes in lesional psoriatic skin expressed markedly higher levels of IL-23 compared with keratinocytes in normal skin. In a separate study we found that after successful narrow-band UV B irradiation therapy, a common treatment for moderate to severe psoriasis, the elevated levels of IL-23 were reduced to levels found in normal skin or in nonlesional skin (17). The increased expression of this cytokine in the epidermis of psoriatic lesions does not seem to be an intrinsic aberration of the keratinocytes because cultured keratinocytes from normal skin and from nonlesional and lesional psoriatic skin display similar IL-23 staining by immunohistochemistry and secrete comparable levels of IL-23. The enhanced expression of IL-23 in psoriatic lesional keratinocytes in situ is likely to be induced by cells in their neighborhood, perhaps the activated memory T cells within the infiltrate. A key role of cutaneous T cells in the induction of psoriatic lesions is underlined in a recent study in which symptomless skin of patients with psoriasis was grafted onto immunodeficient mice lacking T cells, B cells, and NK cells (28). It appeared that due to the local proliferation of donor T cells in the transplanted skin the graft transformed into a psoriatic lesion.
The importance of IL-23 in immune responses in vivo has been clearly demonstrated in mice; IL-23-deficient mice display severely compromised T cell-dependent humoral immunity and strongly impaired delayed-type hypersensitivity responses (29). The lack of IL-23 could apparently not be compensated by endogenous IL-12, indicating that IL-23 is critical for memory T cell responses in vivo. In contrast, T cell priming is not impaired in these animals and normal levels of memory T cells are present. Interestingly, IL-23-deficient mice show a clear reduction in IL-17 production (29), which matches with the finding that IL-23, but not IL-12, is a potent inducer of the proinflammatory cytokine IL-17 in both CD4+ and CD8+ T cells (30, 31). In addition, the IL-23-deficient animals phenotypically resemble IL-17-deficient mice (29, 32). In contrast to IL-23 deficiency, engineered systemic overexpression of IL-23, as present in transgenic p19 mice, causes multiorgan inflammation and premature death (33). In a more sophisticated tissue-specific model, using the keratinocyte-specific keratin 14 promoter, transgenic mice were generated that constitutively express the IL-12/IL-23 p40 subunit in the basal layer of the epidermis (34, 35). These mice have an enhanced and constitutive production of IL-23, but not IL-12, and spontaneously develop an inflammatory skin disease, characterized by elevated numbers of Langerhans cells with marked up-regulated expression of costimulatory molecules and a dermal infiltrate with increased numbers of T cells, macrophages, eosinophils, neutrophils, and mast cells. Repeated injections with rIL-23 in wild-type littermate mice cause a similar inflammatory skin response. Altogether, these experiments in mice illustrate that IL-23 is indispensable for memory immunity, excessive production of this cytokine results in an overreaction of the immune system.
In humans, however, a possible role of IL-23 in cutaneous inflammation has not thoroughly investigated. Psoriasis vulgaris is a good model for such studies because it is considered to be a type 1 cytokine-mediated disease in which memory T cells play a dominant role (14, 36). Considering the findings in mice that a local excess of IL-23 in the skin causes cutaneous inflammation and our observation that IL-23 is present at enhanced levels in the epidermis of psoriatic lesions, we speculate that keratinocyte-derived IL-23 may participate in the perpetuation of psoriasis through the stimulation of T cells in their close proximity. In response, these cells are stimulated to express proinflammatory cytokines like IFN-γ and IL-17, which in turn enhance the proinflammatory cytokine production by keratinocytes (37). Incubation of memory T cells in the presence of supernatants of keratinocytes would be useful to investigate the possible effect of IL-23 production from keratinocytes, however, because of the unavailability of a blocking Ab to IL-23 p19, we could not perform such experiments. Without using a blocking Ab, we could not determine whether any effect of these supernatants is caused by IL-23 or other IFN-γ-inducing cytokines known to be produced by keratinocytes. Studies in mice indicate that IL-23 can also act on myeloid DC by inducing IL-12 production and, interestingly, promoting in vivo T cell responses to an otherwise tolerogenic peptide (38). In connection with this finding, we (17) and others (12) have observed a markedly enhanced expression of IL-12 p70 in dermal DC and macrophages in psoriatic lesions. Comparative in situ analysis of psoriatic lesional skin vs nonlesional skin and normal human skin (Figs. 6 and 7) revealed that apart from keratinocytes, the IL-23 expression in dermal APC in the psoriatic lesions was increased as well. This observation is supported by a recent publication, in which an increased expression of mRNA for p19 and p40 was found in dermal DC and macrophages from psoriatic lesional skin (39).
All the findings mentioned in the discussion emphasize that a complex relation exists between DC, keratinocytes and T cells in the psoriatic lesional inflammation. Although DC and keratinocytes stimulate T cells to express IFN-γ by their expression of the IL-23 heterodimer, IFN-γ production by CD40L+ T cells might enhance the expression of CD40, IL-1β, and IL-23 locally by keratinocytes and DC. This process may be further reinforced by CD40-CD40L interaction. In the absence of sufficient suppressive potential, this mutual activation of the activated cells may develop into a self-amplifying loop that ends in a chronic inflammation as present in psoriatic lesions. Because the increased expression of IL-23 in the psoriatic lesional skin contributes to the maintenance of the chronic inflammatory process, it may be an interesting target for pharmacological intervention. This notion is supported by a recently performed phase I study in which clinical improvement was observed in psoriasis patients after therapy with a human Ab against the IL-12/IL-23 p40 subunit (40).
Acknowledgments
We thank R. Westland for performing the PCR analysis, A. Versnick for help during the inclusion of psoriasis patients, and Dr. Clare Bennett for the critical reading of the manuscript.
Disclosures
The authors have no financial conflict of interest.
Footnotes
The costs of publication of this article were defrayed in part by the payment of page charges. This article must therefore be hereby marked advertisement in accordance with 18 U.S.C. Section 1734 solely to indicate this fact.
Abbreviations used in this paper: DC, dendritic cell; MoDC, monocyte-derived DC.







