Abstract
TLR7 senses RNA in endosomal compartments. TLR7 expression and signaling have been demonstrated in plasmacytoid and myeloid dendritic cells, B cells, and T cells. The regulation of TLR7 signaling can play a crucial role in shaping the immune response to RNA viruses with different cellular tropisms, and in developing adjuvants capable of promoting balanced humoral and cell-mediated immunity. We used unique characteristics of two ssRNA viruses, dengue virus and influenza virus, to delineate factors that regulate viral RNA-human TLR7 signaling beyond recognition in endosomal compartments. Our data show that TLR7 recognition of enveloped RNA virus genomes is linked to virus fusion or uncoating from the endosome. The signaling threshold required to activate TLR7-type I IFN production is greater than that required to activate TLR7-NF-κB-IL-8 production. The higher order structure of viral RNA appears to be an important determinant of TLR7-signaling potency. A greater understanding of viral RNA-TLR7 activity relationships will promote rational approaches to interventional and vaccine strategies for important human viral pathogens.
Induction of the type I IFN pathway is a critical aspect of innate immunity to many viral infections. Nearly all cell types can produce some type I IFN in response to viruses, and several mechanisms of viral recognition leading to type I IFN production have been identified (1). The amount, kinetics, and regulation of type I IFN in dendritic cells (DCs)3 play a central role in shaping antiviral innate immune responses. In particular, plasmacytoid DCs (pDCs) are highly specialized cells that produce large amounts of IFN-α in response to a wide range of enveloped viruses and other microbial stimuli (2, 3). They likely play an important role in controlling systemic infections with enveloped viruses such as HIV-1, dengue, and HSV (4, 5, 6). Through IFN-α secretion and other effects, pDCs interact with surrounding myeloid DCs (mDCs) to induce innate antiviral immunity and shape effective adaptive antiviral responses (2, 7).
pDCs and mDCs have several potential mechanisms to recognize viruses and trigger activation (1, 8). For RNA viruses, TLRs 7 and 8 are important mediators of recognition and innate immune activation. TLRs 7 and 8 are members of the TLR9 subfamily that sense pathogen-derived RNA (TLR 7/8) and DNA (TLR9) moieties intracellularly, and signal through the adaptor MyD88 (9). Human pDCs express high levels of TLR7, whereas human mDCs express intermediate levels of both TLR7 and TLR8 (2, 9). TLR7 expression and signaling function have also been demonstrated in naive B cells (10), and naive and effector memory CD4+ T cells (11). This makes TLR7 activation potentially important in shaping the immune responses to RNA viruses with different cellular tropisms. It also raises interest in potent TLR7 agonists as vaccine adjuvants capable of directly targeting all cells involved in generating effective humoral and cell-mediated immunity.
TLR7 recognizes and is activated by RNA, either uridine-containing ssRNA (12, 13) or synthetic guanosine-like compounds, such as resiquimod (R-848) (14, 15). Spatial recognition of RNA within endosomes is a key regulator of TLR7 activation. Acidification of endosomal compartments is required for RNA virus-TLR7 signaling (16). Beyond spatial recognition, little is known about other factors regulating TLR7 signaling and determinants of TLR7 agonist potency. Differences in TLR7-signaling capacity have been reported between ssRNA and monomeric ligands (17), sequences within synthetic RNAs (12, 18), and among different sources of cellular RNA (13). The natural ligands for TLR7 activation, and particularly TLR7-type I IFN signaling, are ssRNA viruses that gain access to TLR7-containing endocytic organelles (4, 16, 17, 19). Unique aspects of ssRNA viruses can be used as tools to elucidate regulation of TLR7 signaling beyond spatial recognition.
We examined viral RNA (vRNA)-TLR7 recognition and signaling using two ssRNA viruses, dengue-2 virus (D2V) and influenza A X31 virus (flu X31). D2V is an enveloped flavivirus containing a single 11 kb, positive-strand, ssRNA genome. The vRNA has a capped 5′-triphosphate end. Virus fusion and uncoating from endocytic vacuoles is pH dependent and occurs in early endosomes through a type II fusion process (20, 21). Influenza A viruses are enveloped orthomyxoviruses containing a segmented, negative-strand, ssRNA genome totaling 13.5 kb. The vRNA segments have uncapped, 5′-triphosphate ends. Virus fusion and uncoating from endocytic vacuoles is pH dependent and occurs in late endosomes through a type I fusion process (21, 22). Flu X31 is a reassortment of A/PR/8/34 (H1N1) (PR8) virus with A/Aichi/68 (H3N2). By using these RNA viruses, synthetic ssRNAs, and R-848 to stimulate pDCs and a TLR7-transfected cell line, we were able to delineate key elements affecting TLR7 activation. TLR7 recognition of enveloped ssRNA virus genomes appeared linked to the virus fusion or uncoating process from endosomal compartments. The signaling threshold required to activate TLR7-type I IFN production was greater than that required to activate TLR7-NF-κB-IL-8 production, but the specialized nature of pDCs allowed them to produce IFN-α in response to low potency TLR7 agonists. Finally, the higher order structure of viral genomic RNAs was an important determinant of TLR7-signaling potency.
Materials and Methods
Viruses, reagents, and cells
Influenza A virus X31 strain was purchased from Charles River International and titered by limiting dilution plaque assay on Madin-Darby canine kidney cells in the presence of trypsin (0.2 μg/ml). D2V strains 16681 or New Guinea C were used in all experiments, and no experimental differences were observed between the two strains. The D2V strains were propagated in the mosquito cell line C636 and virus stocks were titered by limiting dilution plaque assay on Vero cells. Virus stocks were free of Mycoplasma contamination, as determined by PCR (American Type Culture Collection). There was also no endotoxin contamination, as determined by Limulus amebocyte lysate assay (BioWhittaker) or ability to activate a TLR4-transfected HEK293 cell line. R-848 was a gift from 3M Pharmaceuticals, and CpG 2336 was purchased from Coley Pharmaceuticals. ssRNA40 (12) was purchased from InvivoGen, short-interfering RNA (siRNA) 9.2 (18) from Dharmacon, and polyuridylic acid (poly(U)) from Sigma-Aldrich. IRS 661 and control sequences (23) were synthesized on a phosphorothioate backbone by MWG Biotech. Sequences for influenza vRNA segments 5′ conserved end (16 nt), 3′ conserved end (14 nt), and a 49 nt panhandle structure have been previously published (24). These sequences were synthesized with a 5′-monophosphate by Dharmacon. All fluorophore-conjugated mAbs were purchased from BD Biosciences/BD Pharmingen.
Human pDCs were isolated from the blood of adult, healthy donors under a protocol approved by the University of Massachusetts Medical School Institutional Review Board. PBMC were isolated using Ficoll-Hypaque density centrifugation, and pDCs were positively selected from the PBMC using BDCA-4 magnetic beads according to the manufacturer’s instructions (Miltenyi Biotec). Human pDC purity was ≥85% as assessed by FACS staining (lineage−CD123+HLA-DR+). HEK293 cells stably transfected with human (h) TLR7 and a NF-κB luciferase construct (HEK/hTLR7/NF-κB), and the parent HEK293 cells stably transfected with a NF-κB luciferase construct (HEK/NF-κB) were a gift from the Eisai Research Institute (M. Lamphier, Andover, MA).
Mouse pDCs were isolated from pooled bone marrow cells cultured in a 37°C, 5% CO2 incubator for 7 days in the presence of 10 ng/ml mouse recombinant fms-related tyrosine kinase 3 ligand (Flt3L) (R&D Systems). Flt3L-stimulated bone marrow cells were sorted on a FACSAria (BD Biosciences) to isolate the pDCs (CD11b−CD45Rhigh). Mouse pDC purity was ≥98%. TLR7−/− and TLR9−/− mice were backcrossed to C57/BL6J mice for more than six generations (gift from S. Akira, Osaka University, Osaka, Japan). Age-matched, wild-type, control C57/BL6J mice were purchased from Jackson ImmunoResearch Laboratories. All mice were bred and housed in the Animal Facility at the University of Massachusetts Medical School.
Cell culture
Isolated human pDCs were cultured in RPMI 1640 medium (Invitrogen Life Technologies) supplemented with 10% FCS (HyClone), and 10 ng/ml rIL-3 (R&D Systems). A total of 5 × 104 human pDCs and stimuli at the indicated concentrations were placed in 96-well flat-bottom plates with a final volume of 200 μl/well. After 20 h in a 37°C/5% CO2 incubator, the plates were centrifuged at 300 × g for 5 min, and cell-free supernatants were collected, aliquoted, and stored at −20°C for ELISA. Cell viability was assessed by trypan blue exclusion. In some experiments, human pDCs were preincubated with IRS 661, control oligodeoxyribonucleotide (ODN) sequence, bafilomycin A1 (Calbiochem), or chloroquine (Sigma-Aldrich) at the indicated concentrations for 30 min before addition of the stimuli. In some experiments, influenza virus and D2V were heat inactivated at 56°C for 30 min, or UV inactivated with 2300 μW/cm2 of 254 nm UVA light for 15 min on ice, before addition to the pDCs. Heat and UV inactivation resulted in a >104 PFU/ml decrease in the titers of both viruses, as confirmed by limiting dilution plaque assays. Stably transfected HEK/hTLR7/NF-κB cells and HEK/NF-κB control cells were continuously passaged and maintained in DMEM (Invitrogen Life Technologies) supplemented with 10% FCS.
RNA isolation and transfection
Viral genomic RNAs from influenza virus and D2V were isolated from virus stocks using the QIAamp Viral RNA kit (Qiagen). Sin Nombre virus (SNV) G2 RNA was obtained by T7 polymerase-driven in vitro transcription of a pcDNA 3.1/SNV G2 plasmid (a gift from C. Schmaljohn, U.S. Army Medical Research Institute for Infectious Diseases, Fort Detrick, MD) using the Riboprobe In Vitro Transcription kit (Promega) followed by RNA extraction and isolation using phenol/chloroform and isopropanol. Isolated vRNAs were treated with RNase-free DNase I for 30 min at 37°C. DNase was removed by phenol/chloroform extraction and isopropanol precipitation of the RNA. In some experiments, influenza vRNA was then treated with proteinase K (Promega) or Triton X-100 (Sigma-Aldrich), and the vRNA was re-extracted as noted above. Or, the 5′-β and -γ phosphates were removed from influenza vRNA using tobacco acid pyrophosphatase (Epicentre Biotechnologies) according to the manufacturer’s instructions. 5′-Monophosphorylated SNV G2 RNA, obtained after sequential shrimp alkaline phosphatase (Epicentre Biotechnologies) and T4 polynucleotide kinase (New England Biolabs) treatments, was used as a negative control substrate for tobacco acid pyrophosphatase treatment. The vRNA nucleotide concentrations were measured by absorbance at 260 λ (A260), and the amount of vRNA segments in a preparation was calculated as follows: vRNA segments (pM) = (amount of vRNA nucleotides (g)/virion m.w.) × number of RNA segments/virion × 1 × 10−12. In some experiments, influenza and dengue-2 vRNAs were UV-cross-linked before transfection, using the same procedure as described previously. The electrophoretic mobility of untreated and UV-irradiated vRNA was examined on 0.6% agarose gels containing 1 M urea. Purified vRNA was loaded with urea sample buffer (6 M final concentration) and heated at 70°C × 10 min. RNA bands were detected by SYBR Green II RNA gel stain (Invitrogen Life Technologies).
HEK/hTLR7/NF-κB cells, HEK/NF-κB control cells, and human pDCs were transfected with the DNA-free vRNA preparations and synthetic RNAs using Lipofectamine 2000 (Invitrogen Life Technologies). Cells were seeded in flat-bottom 96-well plates at a density of 5 × 104 cells/well. Cells were washed, and the medium was replaced with serum-free OptiMEM (Invitrogen Life Technologies). RNA preparations at the indicated concentrations were complexed with 0.5 μl of Lipofectamine/well for 20–30 min at room temperature. The RNA-Lipofectamine complexes were then added to the cells at a final volume of 250 μl/well, and incubated at 37°C, 5% CO2 for 40 h. Cell culture supernatants were collected, aliquoted, and stored at −20°C for ELISA. For HEK/hTLR7/NF-κB and HEK/NF-κB cells, luciferase activity was measured from cell lysates using the Dual-Glo Luciferase Assay System (Promega).
ELISA
Cytokine levels in cell culture supernatants were measured using commercially available ELISA kits following the manufacturer’s instructions: hIFN-α (Bender MedSystems module set), hIFN-β (BioSource International), hIL-8 (R&D Systems Duoset). Samples were assayed in duplicate, and at dilutions that fell within the range of the standard curves.
Electron microscopy
D2V was adsorbed to isolated human pDCs at 4°C for 1 h while rocking (multiplicity of infection (MOI) = 10) to allow synchronous virus binding without entry. The cells were then incubated at 37°C × 5 min, fixed with fresh 2.5% glutaraldehyde × 20 min, washed two times, and placed again in 2.5% glutaraldehyde overnight at 4°C. The cells were postfixed in 1% osmium tetroxide, and processed using standard techniques (25). The cell block was ultrathin sectioned (70-nm thick) on a Reichert-Jung Ultra-cut E with a diamond knife. Sections were collected on copper support grids, exposed to lead citrate and uranyl acetate contrast, and examined with a Philips CM 10 transmission electron microscope at 80 kV.
Measurement of intraendosomal pH
Intraendosomal pH in human pDCs exposed to chloroquine or bafilomycin A1 was determined using a modification of previously described methods (26). Briefly, pDCs were seeded in a flat-bottom 96-well plate and incubated for 3 h with 10 kDa dextran-Oregon Green 488 (1 mg/ml) (Molecular Probes/Invitrogen Life Technologies). After washing, trypan blue was added for 3 min to quench the fluorescence of any remaining extracellular or surface bound dextran-Oregon Green 488. Cells were washed, and the ratio of fluorescence emissions at 520 nm from excitation at 490 and 450 nm (Ex490/Ex450) was determined on a Gemini EM microplate spectrofluorometer (Molecular Devices). The average intraendosomal pH was calculated using a pH standard curve generated in nigericin permeabilized pDCs with high-potassium calibration buffers between pH 4.0 and 6.5.
Statistical analysis
The SPSS software package (version 12.0) was used for statistical analyses. For normally distributed variables, comparisons between two groups were analyzed using the paired or unpaired Student t test, as appropriate. For nonnormally distributed variables, comparisons between two paired groups were analyzed using the nonparametric Wilcoxon ranked-sign test. A p value <0.05 was considered significant.
Results
D2V is taken up by human pDCs and stimulates IFN-α production in a TLR7-dependent manner
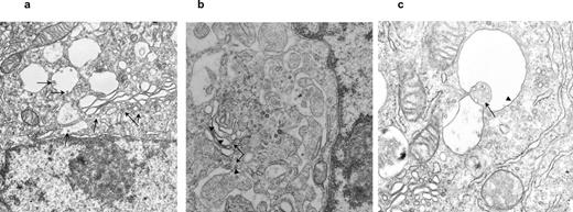
D2V was able to induce IFN-α secretion from human pDCs. IFN-α production was abolished by heat inactivation at 56°C (Ref. 5 and data not shown). These results showed that D2V envelope protein binding to the cell surface is necessary for pDC IFN-α secretion (27), and excluded endotoxin or DNA contamination as contributing to the IFN-α secretion. By electron microscopy, we observed intracellular enveloped D2V particles in the cytoplasm and large endocytic vacuoles of human pDCs 5 min after virus entry (Fig. 1,a). The enveloped D2V particles were closely associated with the Golgi apparatus and smooth endoplasmic reticulum (ER) (Fig. 1,b). Virus particles appeared to traffic from the cytoplasmic space or small enveloped vesicles to larger endocytic vacuoles that had membrane characteristics of Golgi or smooth ER (Fig. 1 c). D2V entered endocytic compartments in human pDCs, the presumed location of TLR7-vRNA interactions (16, 17).
D2V enters endocytic vacuoles in human pDCs. D2V (MOI = 10) was adsorbed to purified human pDCs × 1 h at 4°C, warmed to 37°C × 5 min, and then fixed with glutaraldehyde. a, Enveloped D2V particles (arrows) in cytoplasm or small endocytic vesicles, and in larger endocytic vacuoles. b, D2V particles (arrows) in close association with Golgi apparatus and smooth ER (arrowheads). c, D2V particles (arrow) entering a large endocytic vacuole with Golgi/smooth ER membrane characteristics (arrowhead). Original magnification, ×21,000 (a and b) and ×52,000 (c).
D2V enters endocytic vacuoles in human pDCs. D2V (MOI = 10) was adsorbed to purified human pDCs × 1 h at 4°C, warmed to 37°C × 5 min, and then fixed with glutaraldehyde. a, Enveloped D2V particles (arrows) in cytoplasm or small endocytic vesicles, and in larger endocytic vacuoles. b, D2V particles (arrows) in close association with Golgi apparatus and smooth ER (arrowheads). c, D2V particles (arrow) entering a large endocytic vacuole with Golgi/smooth ER membrane characteristics (arrowhead). Original magnification, ×21,000 (a and b) and ×52,000 (c).
Next, we stimulated human pDCs with D2V, influenza virus, R-848 (TLR7 agonist), and CpG 2336 (TLR9 agonist) in the presence and absence of a TLR7 antagonist, IRS 661. The TLR7 antagonistic properties of IRS 661 and a control ODN as reported by Barrat et al. (23) were confirmed in our laboratory using purified mouse TLR7−/− and TLR9−/− pDCs. In human pDCs, D2V, influenza virus, and R-848-induced IFN-α production was significantly lower in the presence of IRS 661 compared with no inhibitor or the control ODN (Fig. 2). Like influenza virus (23), dengue virus activated human pDCs by a TLR7-dependent mechanism.
D2V activates human pDCs in a TLR7-dependent manner. Purified human pDCs were stimulated with live D2V (MOI = 2.5), live influenza virus (Flu X31, MOI = 0.25), R-848 (1 μM), and CpG 2336 (0.6 μM) alone (▪), in the presence of a control ODN (2.8 μM) (□), or in the presence of the TLR7 inhibitor, IRS 661 (2.8 μM) (▧). Cell culture supernatants were collected after 20 h and IFN-α levels were measured by ELISA. Values are the percentage of IFN-α production compared with the stimulus alone (mean ± SEM, n = 4 independent experiments). The mean absolute levels of IFN-α by the stimuli alone were 948 pg/ml (D2V), 29,490 pg/ml (Flu X31), 18,381 pg/ml (R-848), and 53,864 (CpG 2336). ∗, p ≤ 0.02, stimulus in the presence of IRS 661 compared with IRS control ODN.
D2V activates human pDCs in a TLR7-dependent manner. Purified human pDCs were stimulated with live D2V (MOI = 2.5), live influenza virus (Flu X31, MOI = 0.25), R-848 (1 μM), and CpG 2336 (0.6 μM) alone (▪), in the presence of a control ODN (2.8 μM) (□), or in the presence of the TLR7 inhibitor, IRS 661 (2.8 μM) (▧). Cell culture supernatants were collected after 20 h and IFN-α levels were measured by ELISA. Values are the percentage of IFN-α production compared with the stimulus alone (mean ± SEM, n = 4 independent experiments). The mean absolute levels of IFN-α by the stimuli alone were 948 pg/ml (D2V), 29,490 pg/ml (Flu X31), 18,381 pg/ml (R-848), and 53,864 (CpG 2336). ∗, p ≤ 0.02, stimulus in the presence of IRS 661 compared with IRS control ODN.
TLR7-vRNA signaling is linked to viral fusion and uncoating from endosomes
TLR7 signaling and influenza and flavivirus membrane fusion are dependent on endosomal acidification (16, 21, 28, 29). Influenza virus fusion and uncoating occurs in late endosomes at a lower pH than flavivirus fusion and uncoating in early endosomes (29, 30, 31). Therefore, we examined the differential effects of bafilomycin A1, a vacuolar H+-ATPase inhibitor, and chloroquine, a weak base, on influenza virus, D2V, and R-848 stimulated human pDC IFN-α production. At a concentration of 20 nM, bafilomycin A1 raised the average intraendosomal pH in pDCs from ∼4.5 to 5.8, and decreased IFN-α production by 56°C-inactivated influenza virus (a TLR7 agonist (17)), live influenza virus, D2V, and R-848 (Fig. 3,a). A total of 20 nM bafilomycin A1 resulted in pDC viability of 80–90% by trypan blue exclusion. At a concentration of 3.2 μM, chloroquine raised the average intraendosomal pH in pDCs from ∼4.5 to 5.2, and decreased TLR7-dependent IFN-α secretion by live and 56°C-inactivated influenza virus. However, 3.2 μM chloroquine did not inhibit TLR7-dependent IFN-α secretion by D2V and R-848 (Fig. 3 b). Higher concentrations of chloroquine adversely affected pDC viability. The data suggest that TLR7 activation can occur at different acidic pHs, and TLR7 activation by enveloped RNA viruses appears linked to fusion or uncoating from endosomal compartments.
Differential effects of bafilomycin A1 and chloroquine on influenza and dengue virus-induced pDC IFN-α production. Purified human pDCs were stimulated with 56°C-inactivated influenza virus (56°C-inactivated flu X31, MOI = 0.2), live influenza virus (flu X31, MOI = 0.2), live D2V (MOI = 10), and R-848 (10 μM) in the presence or absence of lysosomotropic agents. Cell culture supernatants were collected after 20 h and IFN-α levels were measured by ELISA. Values are the percentage of IFN-α production compared with the stimulus alone (mean ± SEM). a, Bafilomycin A1 (Baf); b, chloroquine (CQ). ∗, p = 0.03, ∗∗, p < 0.001, compared with stimulus alone. u.d., Undetectable. The mean absolute levels of IFN-α by the stimuli alone were 64,407 pg/ml (56°C-inactivated flu X31), 43,013 pg/ml (flu X31), 27,751 pg/ml (D2V), and 13,694 pg/ml (R-848).
Differential effects of bafilomycin A1 and chloroquine on influenza and dengue virus-induced pDC IFN-α production. Purified human pDCs were stimulated with 56°C-inactivated influenza virus (56°C-inactivated flu X31, MOI = 0.2), live influenza virus (flu X31, MOI = 0.2), live D2V (MOI = 10), and R-848 (10 μM) in the presence or absence of lysosomotropic agents. Cell culture supernatants were collected after 20 h and IFN-α levels were measured by ELISA. Values are the percentage of IFN-α production compared with the stimulus alone (mean ± SEM). a, Bafilomycin A1 (Baf); b, chloroquine (CQ). ∗, p = 0.03, ∗∗, p < 0.001, compared with stimulus alone. u.d., Undetectable. The mean absolute levels of IFN-α by the stimuli alone were 64,407 pg/ml (56°C-inactivated flu X31), 43,013 pg/ml (flu X31), 27,751 pg/ml (D2V), and 13,694 pg/ml (R-848).
A higher threshold of TLR7 activation is required for type I IFN production compared with NF-κB and IL-8
We next examined the potency and differential abilities of vRNA segments, synthetic ssRNA, and R-848 to stimulate TLR7-type I IFN signaling in human pDCs and in a human embryonic kidney (HEK) cell line stably transfected with hTLR7 and a NF-κB luciferase construct (HEK/hTLR7/NF-κB). When transfected into human pDCs using a cationic lipid, influenza, and dengue vRNA segments and siRNA9.2 (18) stimulated IFN-α production in a dose-dependent fashion (Fig. 4). The transfected vRNAs were 50- to 100-fold more potent than transfected siRNA 9.2. They were also 100- to 1000-fold more potent than transfected ssRNA40, a synthetic phosphorothioate-linked RNA oligonucleotide from HIV-1 that was first reported to activate murine TLR7 and hTLR8 (12).
Influenza vRNA is the most potent inducer of pDC IFN-α production. Increasing amounts of influenza X31 vRNA, dengue-2 vRNA, siRNA 9.2, and ssRNA40 were transfected into purified human pDCs using Lipofectamine. Concentrations are expressed as moles of RNA segments (nM). R-848 (20 μM) was used as a positive control without Lipofectamine. Cell culture supernatants were collected after 20 h and IFN-α levels were measured by ELISA. Values are expressed as fold increase in IFN-α production over Lipofectamine alone (mean ± SEM, n = 6 independent experiments).
Influenza vRNA is the most potent inducer of pDC IFN-α production. Increasing amounts of influenza X31 vRNA, dengue-2 vRNA, siRNA 9.2, and ssRNA40 were transfected into purified human pDCs using Lipofectamine. Concentrations are expressed as moles of RNA segments (nM). R-848 (20 μM) was used as a positive control without Lipofectamine. Cell culture supernatants were collected after 20 h and IFN-α levels were measured by ELISA. Values are expressed as fold increase in IFN-α production over Lipofectamine alone (mean ± SEM, n = 6 independent experiments).
In the HEK/hTLR7/NF-κB cell line, cationic lipid-transfected vRNA segments from influenza and D2V at 0.02–2 nM induced TLR7-dependent NF-κB, IL-8, and type I IFN production (Fig. 5). A 1.5 kb in vitro-transcribed hantavirus RNA segment (Sin Nombre virus (SNV) G2 RNA) was also able to induce TLR7-dependent IL-8 and IFN-α production after transfection, but was at least 10-fold less potent than the influenza and dengue-2 vRNAs (data not shown). Influenza vRNA consistently induced 1.5–3-fold higher peak IFN-α levels compared with dengue-2 vRNA. R-848 (5–30 μM) and transfected poly(U) (10 μg/ml) induced NF-κB and IL-8 production in a TLR7-dependent manner, but did not induce any type I IFN production (poly(U); data not shown). siRNA 9.2 and ssRNA40 were unable to induce NF-κB, IL-8, or type I IFN production over a dose range of 0.02–2000 nM (Fig. 5).
A higher threshold of TLR7 activation is required for type I IFN production compared with NF-κB and IL-8. Increasing amounts of influenza X31 vRNA, dengue-2 vRNA, siRNA 9.2, and ssRNA40 were transfected into HEK/NF-κB and HEK/hTLR7/NF-κB cell lines using Lipofectamine. Concentrations are expressed as moles of RNA segments (nM). R-848 (5 μM) was used as a positive control without Lipofectamine. Cell lysates and cell-free culture supernatants were collected after 40 h. NF-κB luciferase reporter activity was measured in the cell lysates, and IL-8, IFN-α, and IFN-β levels were measured in the supernatants by ELISA. One representative experiment of four is shown. a, NF-κB luciferase reporter activity, fold change compared with Lipofectamine alone; b, IL-8 pg/ml; c, IFN-α pg/ml; d, IFN-β IU/ml.
A higher threshold of TLR7 activation is required for type I IFN production compared with NF-κB and IL-8. Increasing amounts of influenza X31 vRNA, dengue-2 vRNA, siRNA 9.2, and ssRNA40 were transfected into HEK/NF-κB and HEK/hTLR7/NF-κB cell lines using Lipofectamine. Concentrations are expressed as moles of RNA segments (nM). R-848 (5 μM) was used as a positive control without Lipofectamine. Cell lysates and cell-free culture supernatants were collected after 40 h. NF-κB luciferase reporter activity was measured in the cell lysates, and IL-8, IFN-α, and IFN-β levels were measured in the supernatants by ELISA. One representative experiment of four is shown. a, NF-κB luciferase reporter activity, fold change compared with Lipofectamine alone; b, IL-8 pg/ml; c, IFN-α pg/ml; d, IFN-β IU/ml.
The shape of vRNAs is a key determinant of their TLR7-signaling potency
RNA moieties ≥800 nt (vRNAs) were the most potent TLR7 agonists in pDCs and HEK/hTLR7 cells. However, their TLR7-signaling capacity was not strictly length dependent. Influenza vRNA segments (0.8–2 kb) were always slightly more potent than dengue-2 vRNA (11 kb), and 10-fold more potent than in vitro-transcribed SNV G2 RNA (1.5 kb). Therefore, we examined how alteration of vRNA higher order structures could affect TLR7 signaling. UV cross-linking of purified influenza and dengue-2 vRNAs differentially affected their TLR7-signaling capacity. In HEK/hTLR7 cells, UV cross-linking of influenza vRNA before transfection slightly decreased vRNA-TLR7-dependent IFN-α production to 92% of untreated vRNA levels. In contrast, UV cross-linking of dengue-2 vRNA markedly decreased vRNA-TLR7 dependent IFN-α production to 23% of untreated vRNA levels (Fig. 6,a). The decreased potency of UV cross-linked dengue-2 vRNA was associated with a change in the vRNA tertiary structure, as suggested by an electrophoretic mobility shift under urea-reducing conditions (Fig. 6 b). The same differential effects of UV cross-linking on influenza and dengue-2 vRNAs were also seen when the vRNAs were transfected into pDCs (IFN-α production by UV-irradiated influenza vRNA = 76 ± 2% of control; UV-irradiated dengue-2 vRNA = 40 ± 15% of control; mean ± SEM, n = 2). These differential effects on transfected vRNA paralleled the effects of UV irradiation on influenza virus and D2V-stimulated pDC IFN-α production. UV inactivation of influenza virus decreased pDC IFN-α production to only 65.2 ± 10.5% of IFN-α production by live influenza virus (mean ± SEM, n = 2). UV inactivation of D2V decreased pDC IFN-α production to 2.6 ± 0.9% of IFN-α production by live D2V (mean ± SEM, n = 3).
a, UV irradiation has differential effects on the TLR7-signaling potency of influenza and dengue-2 vRNAs. Untreated (−UV) and UV irradiated (+UV) influenza X31 and dengue-2 vRNA were transfected into HEK/hTLR7/NF-κB cells using Lipofectamine. Cell culture supernatants were collected after 20 h and IFN-α levels were measured by ELISA. Values are the percentage of IFN-α production compared with the untreated vRNA (mean ± SEM, n = 2). b, UV irradiation of vRNA produces covalent cross-links that affect tertiary structure. Agarose gel electrophoresis of untreated (−UV) and UV irradiated (+UV) dengue-2 vRNA under urea denaturing conditions.
a, UV irradiation has differential effects on the TLR7-signaling potency of influenza and dengue-2 vRNAs. Untreated (−UV) and UV irradiated (+UV) influenza X31 and dengue-2 vRNA were transfected into HEK/hTLR7/NF-κB cells using Lipofectamine. Cell culture supernatants were collected after 20 h and IFN-α levels were measured by ELISA. Values are the percentage of IFN-α production compared with the untreated vRNA (mean ± SEM, n = 2). b, UV irradiation of vRNA produces covalent cross-links that affect tertiary structure. Agarose gel electrophoresis of untreated (−UV) and UV irradiated (+UV) dengue-2 vRNA under urea denaturing conditions.
Other structural characteristics of vRNAs did not contribute to TLR7-signaling capacity. Synthetic ssRNAs of influenza vRNA segments 5′ conserved end (16 nt), 3′ conserved end (14 nt), and the terminal panhandle structure (49 nt) did not stimulate any TLR7 signaling (NF-κB, IL-8, or type I IFN) when transfected into HEK/hTLR7 cells at 0.02–2 nM. TLR7-mediated IFN-α production by purified influenza vRNA was unaffected by detergent or proteinase K treatment. Removal of the 5′-β and -γ phosphates from influenza vRNA by tobacco acid pyrophosphatase also had no effect on TLR7-dependent IFN-α secretion in HEK/hTLR7 cells (data not shown). The data suggest that the higher order structure of vRNAs is a primary determinant of TLR7-signaling potency.
Discussion
A key element of TLR7 signaling is the spatial recognition of RNA within endosomal compartments. Beyond spatial recognition, our data demonstrate that 1) TLR7 recognition of enveloped ssRNA virus genomes appears linked to virus fusion or uncoating from endosomal compartments; 2) the signaling threshold required to activate TLR7-type I IFN production is greater than that required to activate TLR7-NF-κB-IL-8 production, but the specialized nature of pDCs allows them to produce IFN-α in response to low potency TLR7 agonists; and, 3) alterations in the higher order structure of a vRNA was associated with decreased TLR7-signaling potency.
Models of pH dependent viral fusion by type I (influenza) or type II (dengue) envelope proteins do not readily explain how vRNAs might enter the intraendosomal space to interact with TLR7 (21). Degradation of unfused virus particles in late endosomes or lysosomes, and “leaking” of vRNA across the viral membrane during the fusion and uncoating processes, have been proposed as potential mechanisms (17, 32). When bafilomycin A1 was used to increase intraendosomal pH from ∼4.5 to 5.8, TLR7 signaling by D2V and influenza virus was inhibited. When chloroquine was used to increase intraendosomal pH only to ∼5.2, there was no effect on TLR7-dengue-2 vRNA signaling while TLR7-influenza vRNA signaling continued to be inhibited. Chloroquine has several potential nonlysosomotropic effects (33, 34), but its effects on influenza virus are solely due to inhibition of endosomal acidification (35). The data suggest that influenza virus activated TLR7 at a lower pH than dengue virus, and activation is associated with the virus fusion or uncoating process. Leakage of vRNA across the viral membrane during fusion and uncoating is likely an oversimplification. For instance, it has been reported that viral fusion and nucleocapsid release may occur sequentially for vesicular stomatitis virus (36), another enveloped virus that activates TLR7 signaling (16).
TLR7 signaling occurs through MyD88, and can activate a type I IFN pathway as well as an NF-κB-IL-8 pathway. The two pathways have unique and overlapping signal mediators (37). In the HEK/hTLR7/NF-κB cell line, there was a stepwise progression in TLR7-signaling capacity from short synthetic RNAs (no NF-κB/IL-8 or type I IFN) to R-848 and poly(U) (NF-κB/IL-8 but no type I IFN) to the vRNAs (NF-κB/IL-8 and type I IFN). In this cell line, the threshold required for triggering the TLR7-MyD88-type I IFN pathway was higher than for the TLR7-MyD88-NF-κB/IL-8 pathway. In pDCs, the same concentrations of siRNA 9.2 and R-848 were able to induce type I IFN. This highlights the specialized nature of pDC to produce type I IFN in response to a spectrum of TLR7 agonists.
Our data are consistent with a model of TLR7-type I IFN signaling comprised of receptor multimerization and a series of simple receptor-ligand interactions: type I IFN production α [(limiting molecule(s) for the TLR7 pathway) · (TLR7 agonist)] = [(limiting molecule(s) for the TLR7 pathway) · (TLR7 agonist)]/Kd, where Kd is the equilibrium dissociation constant for the TLR7 agonist.
By this model, low potency agonists (high Kd), such as short synthetic RNAs and R-848, were able to induce type I IFN in pDCs because these cells have a higher concentration of TLR7-type I IFN pathway mediators than HEK/hTLR7 cells (e.g., IRF-7 (38) and quantitative RT-PCR data not shown). In HEK/hTLR7 cells, high potency agonists (low Kd) were required to stimulate type I IFN production, as the concentrations of TLR7-type I IFN pathway mediators are lower. We also found that influenza vRNA was always the most potent activator of TLR7 signaling and type I IFN production. In the HEK/hTLR7 cell line, transfection of influenza vRNAs stimulated type I IFN secretion with an inverted U dose response. Under the same conditions, transfected influenza vRNAs stimulated IFN-α production from pDCs in a log-linear fashion. The most likely explanation is that TLR7 multimerization is involved in the signaling mechanism, as has been proposed for other nucleic acid recognizing TLRs, e.g., TLR9 (39) and TLR3 (40). Our simple model does not account for multimeric cooperative or antagonistic receptor-ligand interactions. Direct measurements of TLR7-agonist binding in vitro and in vivo are needed.
Our data suggest that the shape and higher order structure of RNA may be a more important factor than length in determining TLR7-signaling capability. UV cross-linking and alteration of dengue-2 vRNA tertiary structure was associated with its decreased ability to activate TLR7 signaling. The tertiary structure of vRNA is subtended by its secondary structure. The secondary and tertiary structural motifs which shape dengue-2 and influenza vRNAs dictate the differential effects of UV irradiation on their respective TLR7-signaling capabilities. In this regard, influenza vRNA had the most stable and potent structure for TLR7 activation. Emulation of influenza vRNA segment structure could lead to the rational design of potent TLR7 agonists.
Our data are consistent with a model where RNA higher order structures and receptor multimerization play a crucial role in TLR7 signaling. Reports which have emphasized that specific nucleotide sequences (12, 18) or the degree of nucleoside modifications (13) in RNA can affect TLR7 signaling are also consistent with such a model. Different short synthetic RNA size and sequence determinants of TLR7 signaling may alter the RNA secondary structure, or the ability to form larger aggregates with tertiary structures capable of TLR7 multimerization (41). The inability of mammalian RNAs with a high frequency of nucleoside modifications (e.g., methylation, pseudouridine) to activate TLR7/8 signaling may in fact be due to the effects of those modifications on RNA higher order structural motifs (42). Future studies that directly examine vRNA-TLR7 activity relationships in vitro and in vivo will enhance our understanding of the elements that regulate TLR7 signaling.
Acknowledgments
We thank Marcia Woda for FACS staining and sorting and Gregory Hendricks for electron microscopy.
Disclosures
The authors have no financial conflict of interest.
Footnotes
The costs of publication of this article were defrayed in part by the payment of page charges. This article must therefore be hereby marked advertisement in accordance with 18 U.S.C. Section 1734 solely to indicate this fact.
This work was supported by the National Institutes of Health (NIH U19 AI57319, R21 AI060791, and K08AI053542). The contents of this publication are solely the responsibility of the authors and do not necessarily represent the official views of the National Institutes of Health.
Abbreviations used in this paper: DC, dendritic cell; pDC, plasmacytoid DC; mDC, myeloid DC; vRNA, viral RNA; D2V, dengue-2 virus; siRNA, short-interfering RNA; ODN, oligodeoxyribonucleotide; MOI, multiplicity of infection; ER, endoplasmic reticulum; SNV, Sin Nombre virus.





