Abstract
This study describes a novel cancer immunotherapy treatment that exploits the natural anti-Gal Ab to destroy tumor lesions and convert them into an endogenous vaccine targeted to APC via FcγR. Anti-Gal constitutes 1% of immunoglobulins in humans and interacts specifically with α-gal epitopes (Galα1-3Galβ1-4GlcNAc-R). The binding of anti-Gal to α-gal epitopes on pig cells mediates xenograft rejection. The proposed method uses glycolipid micelles with multiple α-gal epitopes (α-gal glycolipids). These glycolipids are extracted from rabbit red cell membranes and are comprised of ceramides with carbohydrate chains containing 5–25 carbohydrates, all capped with α-gal epitopes. Efficacy of this treatment was demonstrated in α1,3-galactosyltransferase knockout mice producing anti-Gal and bearing B16 melanoma or B16/OVA producing OVA as a surrogate tumor Ag. These mice are unique among nonprimate mammals in that, similar to humans, they lack α-gal epitopes and can produce the anti-Gal Ab. Intratumoral injection of α-gal glycolipids results in local inflammation mediated by anti-Gal binding to the multiple α-gal epitopes and activation of complement. These glycolipids spontaneously insert into tumor cell membranes. The binding of anti-Gal to α-gal expressing tumor cells induces the destruction of treated lesions as in anti-Gal-mediated xenograft rejection. Anti-Gal further opsonizes tumor cells within the lesion and, thus, targets them for effective uptake by APC that transport the tumor Ags to draining lymph nodes. APC further cross-present immunogenic tumor Ag peptides and elicit a systemic anti-tumor immune response. Similar intratumoral injection of α-gal glycolipids in humans is likely to induce the destruction of treated lesions and elicit a protective immune response against micrometastases.
Recurring chemotherapy refractory lesions are usually lethal in patients with solid tumors. Treatment for patients with such lesions needs to achieve two objectives: 1) the destruction of visible lesions; and 2) the induction of an immune response capable of destroying micrometastases that are invisible. In the absence of a protective immune response, micrometastases continue to develop into lethal lesions. Because the majority of solid tumors are thought to express tumor-associated Ags (TAA),2 it is believed that the induction of an effective anti-TAA immune response may enable the eradication of micrometastases. Studies in experimental models have indicated that TAA on many tumors are “concealed” from the immune system by two major mechanisms: 1) the tumor microenvironment and local cytokine milieu that often suppress immune function and may actively induce immune cell tolerance, anergy, and death (1, 2, 3, 4); and 2) regulatory T cells (Treg) within the tumor and/or in the circulation that suppress the development of an anti-TAA (i.e., anti-tumor) immune response (5, 6, 7, 8).
The induction of anti-TAA immune response requires the recruitment of APC into tumor lesions followed by effective uptake of TAA. These APC transport internalized TAA to draining lymph nodes where they present TAA peptides for the activation of tumor-specific cytotoxic and helper T cells at levels sufficient to overcome suppressive Treg activity (1, 2, 3, 4, 5, 6, 7, 8, 9, 10, 11). We have developed a novel method for achieving immune-mediated destruction of tumor lesions, recruitment of APC into the lesions, effective intratumoral targeting of TAA to recruited APC, and induction of a protective anti-tumor immune response by exploiting the naturally produced anti-Gal Ab.
Anti-Gal is the most abundant natural Ab in humans, apes, and Old World monkeys constituting ∼1% of immunoglobulins (12, 13). Anti-Gal interacts specifically with α-gal epitopes (Galα1-3Galβ1-4GlcNAc-R) on cell glycoconjugates (14, 15) and is produced as a result of continuous antigenic stimulation by gastrointestinal flora (16). The α-gal epitope is naturally expressed on cells of nonprimate mammals, prosimians, and New World monkeys but is absent in humans, apes, and Old World monkeys (13, 17). Anti-Gal functions as a major immunological barrier in the xenotransplantation of pig organs into humans or monkeys (18). The binding of anti-Gal to α-gal epitopes on xenograft cells induces their destruction and xenograft rejection as a result of complement-dependent cytolysis (CDC) and Ab-dependent cell-mediated cytotoxicity (ADCC) (18, 19, 20, 21).
We hypothesize that a similar anti-Gal-mediated destruction of tumor lesions can be achieved by expressing α-gal epitopes on tumor cells following the intratumoral injection of glycolipid micelles with α-gal epitopes (α-gal glycolipids). Because of the presence of the ceramide tail, α-gal glycolipids are spontaneously inserted into cell membranes, resulting in the expression of α-gal epitopes on the tumor cells with the subsequent binding of anti-Gal (see Fig. 2 A). Anti-Gal/α-gal epitope interaction would induce the local activation of complement, the generation of complement cleavage chemotactic factors C5a and C3a, and the induction of intratumoral inflammation mediated by granulocytes, monocytes/macrophages, and dendritic cells (DCs) migrating into the treated lesion. Additionally, the binding of anti-Gal to α-gal epitopes on the tumor cells would result in the destruction of the cells by CDC and ADCC, as in xenograft rejection. Ultimately, anti-Gal IgG would opsonize tumor cells expressing α-gal epitopes and target them for effective uptake by APC (22) because APC such as DCs and macrophages express FcγR (23). We further hypothesize that the transport of the internalized TAA by APC to the regional lymph nodes would result in the activation of tumor-specific T cells at levels potent enough to overcome the suppressive effect of Treg cells, thereby mounting a protective systemic anti-tumor immune response. This hypothesis is supported by a number of studies indicating that the uptake of IgG-opsonized tumor cells and soluble protein Ag via the FcγR of DCs results in maturation, effective cross-presentation of antigenic peptides, and effective long-term induction of T and B cell response to the DC-targeted Ag (23, 24, 25, 26, 27, 28, 29).
Insertion of α-gal glycolipids into the lipid bilayer of tumor cell membranes and resulting CDC. A, Outcomes of anti-Gal/α-gal glycolipid interaction in tumors. I, Complement activation and chemotactic gradient formation following anti-Gal IgM binding to the multiple α-gal epitopes on α-gal glycolipid micelles. II, The insertion of α-gal glycolipids into cell membranes and the subsequent binding of anti-Gal IgM to α-gal epitopes on tumor cells induce CDC. III, Anti-Gal IgG binding to α-gal epitopes of membrane-inserted α-gal glycolipids induces ADCC. B, Flow cytometry analysis of B16 cells incubated with 0.01, 0.1, or 1.0 mg/ml α-gal glycolipids or no glycolipids (Control) followed by incubation with FITC anti-mouse IgG. C, CDC of B16 cells by serum anti-Gal following incubation with 1 mg/ml α-gal glycolipids. •, Mouse serum containing anti-Gal and rabbit complement; ○, mouse serum without rabbit complement; ▴, human serum; □, control B16 cells incubated with mouse serum and rabbit complement or with human serum (mean ± SD of four experiments). D, Double staining of B16 cells with anti-CD55 and anti-B220 as the B cell marker. E, Double staining of mouse spleen lymphocytes with anti-CD55 and anti-B220.
Insertion of α-gal glycolipids into the lipid bilayer of tumor cell membranes and resulting CDC. A, Outcomes of anti-Gal/α-gal glycolipid interaction in tumors. I, Complement activation and chemotactic gradient formation following anti-Gal IgM binding to the multiple α-gal epitopes on α-gal glycolipid micelles. II, The insertion of α-gal glycolipids into cell membranes and the subsequent binding of anti-Gal IgM to α-gal epitopes on tumor cells induce CDC. III, Anti-Gal IgG binding to α-gal epitopes of membrane-inserted α-gal glycolipids induces ADCC. B, Flow cytometry analysis of B16 cells incubated with 0.01, 0.1, or 1.0 mg/ml α-gal glycolipids or no glycolipids (Control) followed by incubation with FITC anti-mouse IgG. C, CDC of B16 cells by serum anti-Gal following incubation with 1 mg/ml α-gal glycolipids. •, Mouse serum containing anti-Gal and rabbit complement; ○, mouse serum without rabbit complement; ▴, human serum; □, control B16 cells incubated with mouse serum and rabbit complement or with human serum (mean ± SD of four experiments). D, Double staining of B16 cells with anti-CD55 and anti-B220 as the B cell marker. E, Double staining of mouse spleen lymphocytes with anti-CD55 and anti-B220.
We tested this hypothesis in α1,3-galactosyltransferase (α1,3GT) knockout (KO) mice (30), which are the only nonprimate mammals capable of producing anti-Gal because they lack α-gal epitopes (30, 31, 32). The poorly immunogenic B16 melanoma, also lacking α-gal epitopes (33), was used as a tumor model. Thus, KO mice with B16 melanoma lesions serve as a model that mimics human immune parameters with the production of anti-Gal and the absence of α-gal epitopes in tumors. Our studies show that intratumoral injection of α-gal glycolipids induces extensive intratumoral inflammation, tumor growth inhibition or regression, and systemic immune response against TAA.
Materials and Methods
Mice
α1,3GT KO mice on an H-2bxd background (30) were bred at the animal facility of the University of Massachussetts Medical School (Worcester, MA). The 6-wk-old mice received three weekly intraperitoneal immunizations of 50 mg of pig kidney membrane (PKM) homogenate for inducing anti-Gal production in titers similar to those in humans (31, 34, 35). Anti-Gal production was confirmed by ELISA with synthetic α-gal epitopes linked to BSA as a solid phase Ag (31, 35). Wild-type (WT) C57BL/6 mice undergoing similar PKM immunizations were used as control because they lack the ability to produce anti-Gal (13, 15).
Cells and materials
B16 mouse melanoma cells and B16/OVA cells in which OVA serves as surrogate TAA were used as tumor models (1, 36). B3Z T hybridoma cells with a TCR specific for the OVA peptide 257–264 (SIINFEKL) (37, 38) and B16/OVA cells were a gift from Dr. E. Lord (University of Rochester, Rochester, NY). DCs were produced from bone marrow cells and incubated with GM-CSF and IL4, as previously described (35). Peroxidase- or FITC-coupled goat anti-mouse Abs were purchased from Accurate Chemicals, flow cytometry Abs were from BD Pharmingen, and the FITC-coupled lectin Bandeiraea simplicifolia IB4 (BS lectin) from Vector Laboratories. The monoclonal anti-Gal Ab Gal-13 was produced in our laboratory (39). Rabbit RBC for the extraction of α-gal glycolipids were purchased in a 1-liter volume from PelFreez Biologicals. OVA was purchased from Sigma-Aldrich. The immunodominant OVA peptides OVA257–264 and OVA323–339 were purchased from Biosynth International.
Injection of α-gal glycolipids into tumors
Mice were injected s.c with 106 B16 or B16/OVA tumor cells in 0.1 ml of PBS. Tumors reaching a diameter of ∼5 mm were injected with 1 mg of α-gal glycolipids in 0.1 ml or with 0.1 ml of PBS. Injection was repeated once or twice in 1-wk intervals as indicated. Tumor size was defined as the mean diameter from two measurements taken perpendicular to each other. Mice with tumors reaching a size of 25 mm were euthanized.
Extraction of α-gal glycolipids from rabbit RBC
Batches of 1 liter of packed rabbit RBC were lysed by hypotonic shock in water and washed extensively and the cell membranes (∼200 ml of packed RBC ghosts) were mixed with a solution of 600 ml of chloroform and 800 ml of methanol for 20 h. After filtration through Whatman paper for the removal of the particulate material, 400 ml of pyrogen-free, sterile, distilled water was gradually added. This results in the partition of the extracting solution into a ∼500 ml lower organic phase and an ∼1500 ml upper aqueous phase (40). The aqueous phase contains most of the α-gal glycolipids with at least five carbohydrate units. Methanol and traces of chloroform were removed from the aqueous phase in a rotary evaporator. α-Gal glycolipids were brought to a concentration of 10 mg/ml as micelles in water.
Immunostaining on TLC plates
Identification of cell inserted α-gal glycolipids
B16 cells in RPMI 1640 medium supplemented with 10% FCS were incubated at 37°C for 2 h with α-gal glycolipids. After washes, cells were incubated for 1 h at 4°C with 10 μg/ml mouse anti-Gal (31, 34, 35, 42) in PBS containing 1% BSA followed by incubation at 4°C for 30 min with FITC-coupled anti-mouse IgG. Washed cells were fixed with 1% paraformaldehyde and analyzed by flow cytometry (BD Biosciences). For determining intratumoral insertion, treated tumors were resected, minced, and passed through a fine mesh. Single cells were washed, stained with FITC-BS lectin, then fixed with 1% formaldehyde and analyzed by flow cytometry.
Flow cytometry of cell populations
CD4+ T cells, CD8+ T cells, CD11b+ macrophages, or CD11c+ DCs were stained with the corresponding Abs (BD Biosciences) and subjected to flow cytometry analysis. NK cells were identified with NK-1.1 Abs (eBioscience). Abs to mouse CD55 were obtained from BD Bioscience.
Identification of APC presenting OVA peptide 257–264 by B3Z cells
Analysis of OVA uptake, processing, and cross-presentation of the immunodominant OVA(257–264) peptide (amino acid sequence SIINFEKL) was performed as previously described (1) using the B3Z cells as a readout system. B3Z is an α-β TCR CD8+ hybridoma specific for SIINFEKL presented on the MHC class I molecule Kb (as that of KO mice). B3Z cells contain a reporter construct of the β-galactosidase lacZ gene under the control of IL-2 regulatory elements (37, 38). When the TCR on B3Z cells engages SIINFEKL on APC these T hybridoma cells are activated, resulting in activation of the lacZ gene and production of β-galactosidase.
DCs or lymph node cells were incubated at a 1:2 ratio with B3Z cells for 20 h at 37°C. DCs internalizing OVA and cross-presenting SIINFEKL stimulate B3Z cells during the coincubation period. Stimulation was detected by loading B3Z cells with fluorescein-di-β-d-galactopyranoside (Sigma-Aldrich), under hypotonic shock (37, 38). Fluorescein-di-β-d-galactopyranoside is hydrolyzed by β-galactosidase produced by the activated LacZ gene. The fluorescein-galactoside cleavage product within an activated B3Z cell is detectable by flow cytometry (37, 38). B3Z cells are also stained with PerCP-coupled anti-CD8 Abs (BD Pharmingen) to gate on these cells and identify them by double staining.
Preparation of resealed rabbit RBC ghosts loaded with OVA
Rabbit RBC membranes (ghosts) were incubated overnight with OVA (25 mg/ml) and then resealed by incubation with 150 mM KCl for 2 h at 37°C. The resealed ghosts were washed extensively to remove free OVA and then coincubated with DCs. Uptake by DCs in the presence or absence of opsonizing anti-Gal was determined by the activation of B3Z cells.
ELISPOT analysis of OVA-specific T cells
The identification of OVA-specific primed T cells in mice bearing B16/OVA tumors was performed 1 wk after the third injection of α-gal glycolipids or PBS by ELISPOT assays measuring the secretion of IFN-γ from the activated T cells (1, 35). ELISPOT plates (Millipore) were coated with anti-mouse IFN-γ Ab. Splenocytes were incubated in these ELISPOT wells (2 × 105cells/well) in the presence of 5 μg/ml SIINFEKL (presented on MHC class I), or OVA323–339 (presented on MHC class II) (1). After 24 h of incubation at 37°C, wells were washed and stained as previously described (35).
Analysis of CTL
Splenocytes from tumor-bearing mice were obtained 1 wk after the third intratumoral injection of 1 mg of α-gal glycolipids in 0.1 ml or 0.1 ml of PBS. Cells (1 × 106/ml) were coincubated with 1 × 106/ml irradiated splenocytes (3000 rads) from KO mice and used as feeder cells with 1 μg/ml SIINFEKL. IL-2 was added at 20 U/ml after 48 h. Cells were harvested after 13 days, washed and mixed at various ratios with EL4 cells (H-2Kb) that were pulsed with the SIINFEKL (10 μg/ml), and labeled with 51Cr (1, 7). After 4 h of incubation at 37°C, lysis of EL4 cells was determined by a chromium release assay.
Adoptive transfer studies
Splenocytes were obtained from mice 1 wk after the second intratumoral injection of α-gal glycolipids or PBS. KO recipients were inoculated subcutaneously with 3 × 105 B16 cells and after 24 h received 40 × 106 splenocytes from tumor-bearing donors i.v. into the tail vein. Tumor growth was monitored for 30 days.
Results
Extraction of α-gal glycolipids from rabbit RBC membranes
Rabbit RBC membranes (ghosts) served as the source for α-gal glycolipids because they have an abundance of these glycolipids (43, 44, 45, 46, 47, 48). Glycolipids, phospholipids, and cholesterol were extracted from these RBC membranes by overnight incubation in a chloroform-methanol solution (3:4) with constant stirring. The subsequent addition of water resulted in partition into a lower organic phase (mostly chloroform and methanol) and an upper aqueous phase (mostly methanol and water) (40). The lipophilic organic phase contains phospholipids, cholesterol, and the glycolipid ceramide trihexoside (with three sugars (hexoses) as Galα1-4Galβ1-4Glc-Cer, lacking α-gal epitopes (43)) (Fig. 1,A). Glycolipids with ≥5 carbohydrates dissolve preferentially in the aqueous phase because of increased hydrophilicity (Fig. 1,A). Practically all glycolipids with at least five carbohydrates (stained nonspecifically with orcinol) were α-gal glycolipids 5–25 carbohydrates in size that bound the monoclonal anti-Gal Ab Gal-13 (39) on TLC plates (Fig. 1,B). The smallest α-gal glycolipid (ceramide pentahexoside) has five carbohydrates (Fig. 1,C) (43, 44). With the exception of ceramide heptahexoside (seven carbohydrates), the size of α-gal glycolipids increases in increments of five carbohydrates, each with one additional branch (antenna) (Fig. 1,C) (45, 46, 47). The lowest band of α-gal glycolipids with 25 carbohydrates in Fig. 1 B is likely to also include α-gal glycolipids with 30 and 35 carbohydrates, previously reported in rabbit RBC (48). The total amount of α-gal glycolipids isolated from 1-liter packed rabbit RBC was 500–700 mg. The isolated α-gal glycolipids were dissolved in water in the form of micelles and brought to a concentration of 10 mg/ml. Based on binding curves of monoclonal anti-Gal to α-gal glycolipids, the amount of α-gal epitopes is estimated to be 2 × 1016 epitopes/mg. Thus, 1 mg of α-gal glycolipids injected into tumor lesions delivers very large numbers of α-gal epitopes into their microenvironment.
Characterization of rabbit RBC glycolipids by TLC and immunostaining with the monoclonal anti-Gal, Gal-13. A, TLC separation of rabbit RBC glycolipids as demonstrated by nonspecific orcinol staining. After partition, ceramide trihexoside (CTH), which lacks α-gal epitopes, is found in the organic phase. Ceramide pentahexoside (CPH; with five carbohydrates) and larger glycolipids dissolved preferentially in the aqueous phase. B, Comparison of nonspecific orcinol staining and immunostaining by monoclonal anti-Gal indicates that glycolipids with 5–25 carbohydrates all have α-gal epitopes that bind anti-Gal (ceramide heptahexoside (CHH); with seven carbohydrates) C, Structures of the α-gal glycolipids with five, seven, 10, 15, and 20 carbohydrates in B. The α-gal epitope on ceramide pentahexoside (CPH), marked by the broken line rectangle, caps all other glycolipid chains (from Ref. 43 44 45 46 47 ).
Characterization of rabbit RBC glycolipids by TLC and immunostaining with the monoclonal anti-Gal, Gal-13. A, TLC separation of rabbit RBC glycolipids as demonstrated by nonspecific orcinol staining. After partition, ceramide trihexoside (CTH), which lacks α-gal epitopes, is found in the organic phase. Ceramide pentahexoside (CPH; with five carbohydrates) and larger glycolipids dissolved preferentially in the aqueous phase. B, Comparison of nonspecific orcinol staining and immunostaining by monoclonal anti-Gal indicates that glycolipids with 5–25 carbohydrates all have α-gal epitopes that bind anti-Gal (ceramide heptahexoside (CHH); with seven carbohydrates) C, Structures of the α-gal glycolipids with five, seven, 10, 15, and 20 carbohydrates in B. The α-gal epitope on ceramide pentahexoside (CPH), marked by the broken line rectangle, caps all other glycolipid chains (from Ref. 43 44 45 46 47 ).
Insertion of α-gal glycolipids into tumor cells followed by CDC
We hypothesize that the binding of anti-Gal to α-gal epitopes on α-gal glycolipid micelles results in complement activation and the induction of intratumoral inflammation (Fig. 2,A). Importantly, α-gal glycolipids “jump” into adjacent cell membranes where the ceramide tails surrounded by phospholipids are in a more stable energetic state than in micelles surrounded by water molecules (Fig. 2,A). This spontaneous insertion was demonstrated with B16 melanoma cells that were incubated for 2 h at 37°C with α-gal glycolipids and assayed by flow cytometry for the subsequent binding of mouse anti-Gal (Fig. 2,B). B16 tumor cells do not bind anti-Gal because they lack α-gal epitopes (33). However, α-gal glycolipids were readily inserted into the B16 melanoma cell membranes in a dose dependent manner as indicated by the anti-Gal binding histograms of cells incubated with 0.01–1 mg/ml α-gal glycolipids (Fig. 2 B).
The ability of tumor cells with inserted α-gal glycolipids to activate complement and induce CDC when incubated with serum containing anti-Gal is shown in Fig. 2 C. B16 cells incubated with 1 mg/ml α-gal glycolipids were washed and incubated at 37°C for 1 h with mouse serum containing anti-Gal and rabbit complement. B16 cells were readily lysed by anti-Gal at serum dilutions of 1/2 to 1/64, whereas without rabbit complement the cytolysis was much lower. However, anti-Gal in human serum induced CDC in the absence of rabbit complement due to the effective activation of human complement by this Ab. Differences in CDC in four independent assays with mouse sera (without rabbit complement) and human sera at dilutions of 1/4 to 1/32 were at a significance level of p < 0.05 in a t test. Untreated B16 cells lacking α-gal epitopes were not lysed by human serum or by mouse serum supplemented with complement. These findings imply that the binding of serum anti-Gal to α-gal epitopes on the membrane-inserted α-gal glycolipids induced effective CDC of tumor cells. The data further suggest that because complement activity in human serum is much higher than that in mouse serum, the effects of α-gal glycolipids within human tumor lesions are likely to be much stronger than those demonstrated below in melanoma lesions in KO mice.
It should be stressed that previous studies demonstrated the inhibition of CDC in human tumor cells by the elevated expression of complement inhibitory factors such as CD55 on the tumor cell membranes (49, 50). Thus, it was of interest to determine whether B16 melanoma cells express this factor. The staining of B16 cells with anti-mouse CD55 Abs was found to be negative (Fig. 2,D), whereas an anti-CD55 Ab readily bound to spleen B cells, which express CD55 (Fig. 2,E). Similar studies such as that depicted in Fig. 2 C with a variety of human tumor cell lines will help to determine whether complement inhibitory proteins interfere significantly with anti-Gal-mediated CDC of cells with inserted α-gal glycolipids.
Intratumoral insertion of α-gal glycolipids into tumor cells
We further determined whether the insertion of α-gal glycolipids into tumor cells can be demonstrated also in vivo. This was studied in KO mice lacking anti-Gal (i.e., mice that were not immunized with PKM) to prevent in situ masking of α-gal epitopes by the endogenous Ab. B16 lesions injected with 1 mg of α-gal glycolipids were removed 24 h after injection and the frozen sections were washed with acetone to remove free glycolipids and stained with FITC-BS lectin specific for α-gal epitopes (13, 14, 15). The lectin bound to cells that border an area devoid of cells (Fig. 3 A). The area without cells may represent the disruption of the malignant tissue by the injected α-gal glycolipid solution. PBS-injected tumors displayed no fluorescence (not shown).
In vivo insertion of α-gal glycolipids into B16 lesions as determined by binding of FITC-BS lectin. A, Tumor lesion injected with 1.0 mg of α-gal glycolipids, resected after 24 h, sectioned, washed with acetone, and stained with BS lectin. Cells expressing α-gal epitopes are found near a region devoid of cells. This absence of cells may result from the disruption of the tissue by injected α-gal glycolipids solution (blue 4′,6′-diamidino-2-phenylindole (DAPI)-stained nuclei) (original magnification, ∼400). B–D, Tumor cells were obtained 48 h after injection, stained with BS lectin, and subjected to flow cytometry. B, PBS-injected tumor. C and D, Tumors injected with α-gal glycolipids.
In vivo insertion of α-gal glycolipids into B16 lesions as determined by binding of FITC-BS lectin. A, Tumor lesion injected with 1.0 mg of α-gal glycolipids, resected after 24 h, sectioned, washed with acetone, and stained with BS lectin. Cells expressing α-gal epitopes are found near a region devoid of cells. This absence of cells may result from the disruption of the tissue by injected α-gal glycolipids solution (blue 4′,6′-diamidino-2-phenylindole (DAPI)-stained nuclei) (original magnification, ∼400). B–D, Tumor cells were obtained 48 h after injection, stained with BS lectin, and subjected to flow cytometry. B, PBS-injected tumor. C and D, Tumors injected with α-gal glycolipids.
The insertion of α-gal glycolipids was further determined 48 h after injection by studying BS lectin binding to α-gal epitopes on tumor cells obtained from resected lesions. The marginal binding of the lectin to PBS-treated tumors yielded a mean fluorescence channel (MFC) reading of 24 (Fig. 3,B). This reading represents nonspecific fluorescence because B16 cells are completely devoid of α-gal epitopes (Fig. 2,B and Ref. 33). In contrast, tumors injected with α-gal glycolipids displayed staining with MFC readings of 140 (Fig. 3,C) and 145 (Fig. 3,D). A third tumor tested displayed staining with a wide histogram pattern similar to those in Fig. 3, C and D, with a MFC reading of 93 (not shown). These findings in Fig. 3 indicate that the spontaneous insertion of α-gal glycolipids into tumor cell membranes, demonstrated in vitro in Fig. 2 B, can be demonstrated also in vivo in lesions injected with these glycolipids.
Effect of intratumoral injection of α-gal glycolipids on tumor growth
To demonstrate tumor destruction by α-gal glycolipids, anti-Gal-producing KO mice were injected s.c. with 1 × 106 B16 melanoma cells into two sites of a shaven abdominal flank. When tumors reached a diameter of ∼5 mm (day 7), one lesion was injected with 1.0 mg of α-gal glycolipids in a volume of 0.1 ml and the second lesion was injected with 0.1 ml of PBS as the control. The lesions injected with α-gal glycolipids regressed or displayed slower growth, whereas PBS injected tumors continued to grow fast. A representative mouse of 10 treated mice is shown after 10 days in Fig. 4,A. The sizes of the tumors in individual mice (mean diameter from two measurements taken perpendicular to each other) measured 10 days after injection are shown in Fig. 4,B. In each mouse the size of the lesion injected with α-gal glycolipids was much smaller than that injected with PBS. This differential effect was reproducible whether front or back tumors were injected with α-gal glycolipids. Tumor regression is dependent on anti-Gal, because no differential growth was observed in five WT mice undergoing similar treatment (Fig. 4 B). WT mice lack anti-Gal because they are immunotolerant to the α-gal epitope, which is a self-Ag.
Treatment of cutaneous B16 melanoma by intratumoral injection of α-gal glycolipids. A, Tumor size 10 days after intratumoral injection of α-gal glycolipids (front tumor) or PBS (back tumor). Treated tumors had an initial diameter of ∼5 mm. Shown is one representative mouse of 10 mice. B, Comparison of tumor size 10 days following injection of 1 mg of α-gal glycolipids (▪) or PBS (□) of tumors growing in the same mouse (n = 10). Tumors injected with α-gal glycolipids in KO mice are much smaller than the PBS-treated tumors in each mouse. No significant differences are observed between the two treatments in WT mice (n = 5). C–F, B16 tumor growth in mice after injections of α-gal glycolipids or PBS. C, KO mice injected twice with PBS (n = 15). D, KO mice injected twice with 1.0 mg of α-gal glycolipids (n = 15). E, WT mice injected twice with PBS (n = 8). F, WT mice injected twice with 1.0 mg of α-gal glycolipids (n = 8). G, B16/OVA tumor growth in KO mice after two injections of PBS (n = 22). H, Growth of B16/OVA in KO mice after two injections of 1.0 mg of α-gal glycolipids (n = 22).
Treatment of cutaneous B16 melanoma by intratumoral injection of α-gal glycolipids. A, Tumor size 10 days after intratumoral injection of α-gal glycolipids (front tumor) or PBS (back tumor). Treated tumors had an initial diameter of ∼5 mm. Shown is one representative mouse of 10 mice. B, Comparison of tumor size 10 days following injection of 1 mg of α-gal glycolipids (▪) or PBS (□) of tumors growing in the same mouse (n = 10). Tumors injected with α-gal glycolipids in KO mice are much smaller than the PBS-treated tumors in each mouse. No significant differences are observed between the two treatments in WT mice (n = 5). C–F, B16 tumor growth in mice after injections of α-gal glycolipids or PBS. C, KO mice injected twice with PBS (n = 15). D, KO mice injected twice with 1.0 mg of α-gal glycolipids (n = 15). E, WT mice injected twice with PBS (n = 8). F, WT mice injected twice with 1.0 mg of α-gal glycolipids (n = 8). G, B16/OVA tumor growth in KO mice after two injections of PBS (n = 22). H, Growth of B16/OVA in KO mice after two injections of 1.0 mg of α-gal glycolipids (n = 22).
Tumor growth for periods longer than 10 days was monitored in mice having only one tumor injected with either α-gal glycolipids or PBS. Tumors injected with PBS doubled their size every 4–8 days and reached the maximum size of ∼25 mm within 14–22 days (Fig. 4,C). Among the tumors injected with 1 mg of α-gal glycolipids, ∼50% displayed a decrease or no change in size and some of these tumors underwent complete regression (Fig. 4,D). Most of the remaining 50% of the tumors continued to grow in KO mice but displayed a much slower growth rate than most PBS-injected tumors (Fig. 4, D and C, respectively). In only two of 15 tumors was the growth rate similar to that of the PBS-injected tumors. In WT mice no differences were found in the growth rate of B16 lesions injected with PBS or with α-gal glycolipids (Fig. 4, E and F, respectively). This implies that the effect of α-gal glycolipids in Fig. 4 D is dependent on the presence of anti-Gal and that these glycolipids are not cytotoxic by themselves.
The effect of α-gal glycolipids could be further demonstrated in B16/OVA lesions that have a higher immunogenicity than B16 due to OVA that functions as a surrogate TAA (1, 36). When injected with PBS, B16/OVA lesions reach the limiting size of 25 mm within 22–30 days (Fig. 4,G). Approximately 30% of B16/OVA tumors injected with 1 mg of α-gal glycolipids underwent regression, ∼40% progressed at a rate that was much slower than that of PBS-injected tumors, and the remaining 30% progressed at a rate that did not differ significantly from that of the mice injected with PBS (Fig. 4 H). These findings suggest that the injection of α-gal glycolipids can also inhibit tumor growth in tumors with high immunogenicity.
Induction of intratumoral inflammation by α-gal glycolipids
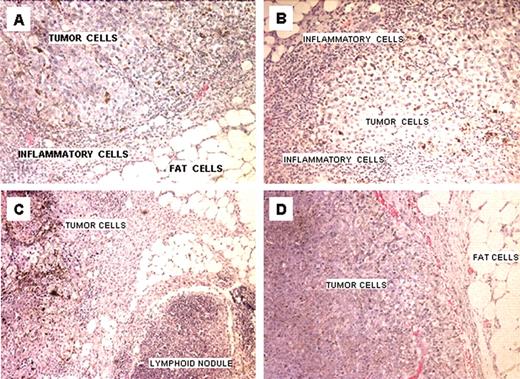
Inflammation induced by the intratumoral interaction between anti-Gal and injected α-gal glycolipids was examined microscopically in B16 lesions (≤10 mm) resected at various time points after injection. Inflammatory cells were already observed in perivascular regions of the tumors within 4 days after α-gal glycolipids injection (Fig. 5,A). The inflammatory process was much more extensive by day 14 (Fig. 5,B). Some of the tumors showed extensive migration of lymphocytes into the treated tumor, ultimately resulting in the formation of organized lymphoid nodules as in Fig. 5 C. Such lymphoid nodules are characteristic of the inflammatory sites of autoimmune lesions as in the synovial membrane in rheumatoid arthritis patients (51).
Histology of treated B16 melanoma lesions. A–C, Tumors were resected and sectioned on day 4 (A), day 14 (B), and day 16 (C) after the injection of α-gal glycolipids. D, A tumor injected with PBS and resected on day 10. The inflammatory response was already observed in α-gal glycolipid-treated tumors on day 4 and is much more extensive on day 14. A tumor resected on day 16 displayed a lymphoid nodule near the tumor cells. Representative sections of five tumors with similar results (H & E staining; original magnification, ×100) are shown.
Histology of treated B16 melanoma lesions. A–C, Tumors were resected and sectioned on day 4 (A), day 14 (B), and day 16 (C) after the injection of α-gal glycolipids. D, A tumor injected with PBS and resected on day 10. The inflammatory response was already observed in α-gal glycolipid-treated tumors on day 4 and is much more extensive on day 14. A tumor resected on day 16 displayed a lymphoid nodule near the tumor cells. Representative sections of five tumors with similar results (H & E staining; original magnification, ×100) are shown.
Characterization of the infiltrating cells could not be performed by immunostaining with peroxidase-coupled Abs because the many melanin granules within the melanoma cells impart false positive staining to the section. Thus, characterization of the inflammatory cells was performed by flow cytometry as described below.
No inflammatory cells were observed in tumors injected with PBS (Fig. 5,D), further confirming the notion that tumors are usually “ignored” by the immune system and thus no inflammatory reaction is induced (1, 2, 9, 11). Lesions in WT mice injected with α-gal glycolipids were devoid of inflammatory cells as in Fig. 5,D (not shown), implying that the inflammation in Fig. 5, A–C is associated with the anti-Gal/α-gal epitope interaction.
Characterization of lymphocytes infiltrating into treated tumors
Tumors injected with α-gal glycolipids were resected on day 14 and dispersed by mincing and passing through a mesh. The three assayed tumors had sizes of 8, 10, and 10 mm. The infiltrating cells were stained and analyzed for subpopulations by flow cytometry with the corresponding Abs. The data, summarized in Table I, are presented as the number of various infiltrating cells per 1 × 106 tumor cells. As shown in Table I, the tumors contained CD8+ T cells, CD4+ T cells, NK cells, macrophages, and DCs. In accord with Fig. 5 D and with previous reports (1), tumors injected with PBS contained no measurable amounts of infiltrating cells.
Characterization of infiltrating cells within α-gal glycolipid-injected B16 melanoma tumors
| Cell Populationa . | No. of Infiltrating Cells/106 Tumor Cells . |
|---|---|
| CD8+ T cells | 13697 ± 5560b |
| CD4+ T cells | 6166 ± 2804 |
| Macrophages (CD11b+ cells) | 2100 ± 1609 |
| NK cells (NK1.1+ cells) | 7200 ± 3251 |
| DCs (CD11c+ cells) | 10233 ± 3655 |
| Cell Populationa . | No. of Infiltrating Cells/106 Tumor Cells . |
|---|---|
| CD8+ T cells | 13697 ± 5560b |
| CD4+ T cells | 6166 ± 2804 |
| Macrophages (CD11b+ cells) | 2100 ± 1609 |
| NK cells (NK1.1+ cells) | 7200 ± 3251 |
| DCs (CD11c+ cells) | 10233 ± 3655 |
Studies performed with three different tumors with sizes of 8, 10, and 10 mm.
Mean ± SD.
Ag presentation by DCs within a treated tumor
α-Gal glycolipid-treated tumors contained DCs as indicated by staining with anti-CD11c Abs as in Fig. 6,A. The function of these tumor-infiltrating DCs could be studied directly in treated B16/OVA tumors. DCs were isolated from the tumor cell suspensions by the use of magnetic beads coated with anti-CD11c Ab and a magnetic column (Fig. 6,A). The isolated DCs were studied for functionality as mature DCs by the activation of B3Z T hybridoma cells. B3Z cells express TCR that specifically bind the immunodominant OVA257–264 peptide (SIINFEKL) when cross-presented on MHC class I molecules of APC (1, 37, 38). Overnight B3Z coincubation with DCs isolated from the B16/OVA tumors resulted in activation of 12 ± 3.9% of B3Z cells (n = 3; representative example in Fig. 6,B). These findings imply that DCs within the α-gal glycolipid-injected tumors are mature and functional as they cross-present TAA peptides for the activation of tumor-specific T cells. Control DCs could not be obtained from PBS-injected tumors because, as shown in Fig. 5,D, these lesions are devoid of infiltrating cells. Thus, we used APC within a cell suspension of inguinal lymph nodes draining PBS-treated tumors as one type of control. B3Z incubated with these lymph node cells displayed no significant activation (0.2 + 0.1%) (Fig. 6,C). A second control used was B3Z cells coincubated with a pure DC population generated from bone marrow cells. Also in this culture the basal activation of B3Z cells was only 0.5 ± 0.2% (Fig. 6 D) (similar to the background activation of B3Z cells incubated without any other cell type (data not shown)), implying that in the absence of presented SIINFEKL, DCs do not nonspecifically activate B3Z cells.
Analysis of DC function within tumors injected with α-gal glycolipids. A, Demonstration of DCs within the tumor. CD11c+ cells were isolated from the tumor by magnetic microbeads coated with anti-CD11c Abs. The cells retained in the magnetic column were isolated and stained with anti-CD11c Abs (open histogram) or an isotype control (filled histogram). B, B3Z activation by DCs isolated from B16/OVA tumors. The B3Z cells were identified by the expression of the CD8+ marker. The activation of B3Z cells by the OVA peptide SIINFEKL, presented on MHC class I, was determined by induced β-galactosidase activity that generates fluorescein-galactoside. C, B3Z activation following incubation with cells from draining lymph nodes of B16/OVA tumors injected with PBS. D, B3Z T hybridoma cell activation by DCs grown from bone marrow cells. The percentage of activated B3Z cells is indicated. Representative data from three experiments, each with a different tumor or tumor-bearing mouse, are shown.
Analysis of DC function within tumors injected with α-gal glycolipids. A, Demonstration of DCs within the tumor. CD11c+ cells were isolated from the tumor by magnetic microbeads coated with anti-CD11c Abs. The cells retained in the magnetic column were isolated and stained with anti-CD11c Abs (open histogram) or an isotype control (filled histogram). B, B3Z activation by DCs isolated from B16/OVA tumors. The B3Z cells were identified by the expression of the CD8+ marker. The activation of B3Z cells by the OVA peptide SIINFEKL, presented on MHC class I, was determined by induced β-galactosidase activity that generates fluorescein-galactoside. C, B3Z activation following incubation with cells from draining lymph nodes of B16/OVA tumors injected with PBS. D, B3Z T hybridoma cell activation by DCs grown from bone marrow cells. The percentage of activated B3Z cells is indicated. Representative data from three experiments, each with a different tumor or tumor-bearing mouse, are shown.
Anti-Gal mediated targeting of cells to DCs
The effective presentation of SIINFEKL by intratumoral DCs (Fig. 6,B) raised the question of whether anti-Gal binding to tumor cells expressing α-gal epitopes increases the uptake of TAA and the subsequent cross-presentation of the TAA peptides by DCs. Moreover, in view of recent studies on the possible interaction of opsonizing Abs with either inhibitory or activating FcγRs of DCs (23, 52, 53), it was important to determine the outcome of anti-Gal mediated binding and Ag targeting to FcγRs on DCs. Anti-Gal-mediated targeting was studied in vitro with bone marrow-derived DCs (1 × 106/ml) coincubated with 10 × 107/ml resealed rabbit RBC ghosts loaded with OVA and with 5 × 106/ml B3Z cells. The α-gal epitopes binding anti-Gal on the rabbit RBC ghosts are the same epitopes as those in α-gal glycolipids. As shown in one experiment (Fig. 7,A), the background activation of B3Z cells was at a level of 0.4%. DCs incubated with nonopsonized rabbit RBC ghosts containing OVA increased activation by 4-fold and activated 1.6% of B3Z cells (Fig. 7,B). Opsonization by mouse anti-Gal binding to α-gal epitopes on the rabbit RBC-resealed ghosts resulted in 46-fold higher activation of B3Z cells (i.e., 18.5%) (Fig. 7 C). This study could not be performed with DCs isolated from tumors, because many of their FcγRs are likely to be occupied by immune complexes of anti-Gal bound to α-gal epitopes on tumor cell membranes. This study, repeated in four independent experiments, indicated that the basal B3Z presentation was 0.5 + 0.2%, B3Z activation after incubation with DCs and RRBC ghosts was 2.1 ± 0.7%, and B3Z activation by DCs and anti-Gal opsonized RRBC ghosts was 26.7 ± 7.6%. These data (p < 0.05 in t test) strongly suggest that the Fc portion of the α-gal complexed anti-Gal binds primarily to activating FcγRs on DCs, inducing the uptake of OVA within the RRBC ghosts. The internalized OVA is processed and its peptides are cross-presented in a way that they effectively stimulate specific CD8+ T cells expressing the corresponding TCRs (B3Z cells in the present study). A similar anti-Gal mediated targeting of tumor cells expressing α-gal epitopes to APCs is likely to occur within lesions injected with α-gal glycolipids.
Activation of B3Z cells incubated with resealed rabbit RBC ghosts containing OVA. A, Background activation of B3Z cells coincubated with DCs in the absence of resealed rabbit RBC ghosts. B, B3Z cells coincubated with DCs and resealed rabbit RBC (RRBC) ghosts containing OVA. C, B3Z cells coincubated with DCs and resealed rabbit RBC (RRBC) ghosts containing OVA that were opsonized by mouse anti-Gal. Analysis is gated on CD8+ B3Z cells. A representative study of four with similar results is shown.
Activation of B3Z cells incubated with resealed rabbit RBC ghosts containing OVA. A, Background activation of B3Z cells coincubated with DCs in the absence of resealed rabbit RBC ghosts. B, B3Z cells coincubated with DCs and resealed rabbit RBC (RRBC) ghosts containing OVA. C, B3Z cells coincubated with DCs and resealed rabbit RBC (RRBC) ghosts containing OVA that were opsonized by mouse anti-Gal. Analysis is gated on CD8+ B3Z cells. A representative study of four with similar results is shown.
Transport of TAA by APCs to draining lymph nodes
The transport of TAA from treated lesions to draining lymph nodes was studied in mice with B16/OVA lesions on the right thigh. Lesions were injected twice in 1-wk intervals with 1 mg of α-gal glycolipids or with PBS as the control. On day 14, inguinal lymph nodes (i.e., draining lymph nodes) in the right thigh and those in the left thigh were evaluated for the presence of APCs presenting SIINFEKL as a surrogate TAA peptide by the activation of B3Z cells. Lymph nodes from mice with tumors treated with PBS displayed very low numbers of SIINFEKL-presenting APCs (0.3–0.5% activated B3Z cells in Fig. 8). In contrast, lymph node cells from mice with B16/OVA tumors injected with α-gal glycolipids displayed 3–10-fold higher activation of B3Z cells (1.3–3.6%). Cells from the lymph nodes within the tumor-free (left) thigh did not activate B3Z cells above the background level. The data from eight mice in each group demonstrated the activation of B3Z cells (mean ± SD) by APC in draining lymph nodes from thighs bearing α-gal glycolipid-treated tumors at the level of 2.9 ± 1.1% and in the opposite thigh at 0.3 ± 0.27%. In mice with PBS-treated tumors, the APCs of the draining lymph nodes activated 0.36 ± 0.29% and those from the opposite thigh activated 0.33 ± 0.25% of B3Z cells. The differences between the APCs in the draining lymph nodes in the two groups are significant at a level of p < 0.05. These findings indicated that injection of the tumor lesions with α-gal glycolipids results in the increased transport of TAA from treated tumors to draining lymph nodes.
B3Z T hybridoma cell activation by APCs expressing the OVA peptide SIINFEKL within tumor draining lymph nodes. B3Z cells were incubated with inguinal lymph node cells from thighs bearing the B16/OVA tumor or from the opposite thigh lacking a tumor. Activation of B3Z cells by APCs presenting the SIINFEKL peptides was detected by flow cytometry. The B3Z cells were also stained for CD8 expression by PerCP-coupled anti-CD8. The proportion of activated B3Z cells is indicated in each plot. Data for three representative mice from each group of eight mice with similar results are shown.
B3Z T hybridoma cell activation by APCs expressing the OVA peptide SIINFEKL within tumor draining lymph nodes. B3Z cells were incubated with inguinal lymph node cells from thighs bearing the B16/OVA tumor or from the opposite thigh lacking a tumor. Activation of B3Z cells by APCs presenting the SIINFEKL peptides was detected by flow cytometry. The B3Z cells were also stained for CD8 expression by PerCP-coupled anti-CD8. The proportion of activated B3Z cells is indicated in each plot. Data for three representative mice from each group of eight mice with similar results are shown.
Systemic T cell response to OVA in treated mice
The priming of T cells against TAA in mice with B16/OVA tumors was determined by ELISPOT, measuring IFN-γ secretion following the in vitro activation of T cells by SIINFEKL presented on MHC class I and by the OVA323–339 peptide presented on MHC class II (1). Significant activation was considered to be at least 50 spots per 106 splenocytes. Nine of the 10 mice with tumors injected with α-gal glycolipids displayed T cells activation of >50 spots per 106 splenocytes by SIINFEKL or by OVA323–339, whereas only two of the eight mice with PBS-treated tumors displayed such activation (Fig. 9 A).
Specific T cell response to OVA as a surrogate TAA as measured by ELISPOT and CTL assays. A, ELISPOT data for eight mice with B16/OVA tumors injected with PBS (mice nos. 1–8), or in 10 mice with tumors injected with α-gal glycolipids (mice nos. 9–18). Data for spleen lymphocytes stimulated with the SIINFEKL peptide (presented on MHC class I; □) or with the OVA323–339 peptide (presented on MHC class II; ▪). Data presented as IFN-γ spots per 106 splenocytes (i.e., T cells secreting IFN-γ per 106 cells). B, CTL activity with spleen lymphocytes from mice bearing tumors injected with α-gal glycolipids (•) or PBS (○) as determined in a chromium release assay (n = 7 per group).
Specific T cell response to OVA as a surrogate TAA as measured by ELISPOT and CTL assays. A, ELISPOT data for eight mice with B16/OVA tumors injected with PBS (mice nos. 1–8), or in 10 mice with tumors injected with α-gal glycolipids (mice nos. 9–18). Data for spleen lymphocytes stimulated with the SIINFEKL peptide (presented on MHC class I; □) or with the OVA323–339 peptide (presented on MHC class II; ▪). Data presented as IFN-γ spots per 106 splenocytes (i.e., T cells secreting IFN-γ per 106 cells). B, CTL activity with spleen lymphocytes from mice bearing tumors injected with α-gal glycolipids (•) or PBS (○) as determined in a chromium release assay (n = 7 per group).
T cell activation among splenocytes was further determined by measuring in vitro CTL activity against EL4 cells pulsed with SIINFEKL on their MHC class I (1, 7). Four of the seven mice with B16/OVA tumors injected with α-gal glycolipids displayed significant CTL activity, whereas only one of the seven mice with PBS-injected tumors displayed marginal CTL activity (Fig. 9 B). The remaining control mice lacked CTLs. These ELISPOT and CTL data suggest that the systemic activation of T cells against TAA occurs in a large proportion of mice with tumors injected with α-gal glycolipids.
Systemic protection by lymphocytes as demonstrated by adoptive transfer
Previous studies have indicated that tumors with low immunogenicity are capable of eliciting a protective immune response; however, this immune response is suppressed due to intratumoral (8) or systemic activity of Treg cells (7). We hypothesized that the intratumoral injection of α-gal glycolipids would convert the treated lesion into an autologous tumor vaccine that elicits a protective systemic anti-tumor immune response potent enough to overcome the suppressive activity of Treg cells. We evaluated such a protective immune response by adoptive transfer studies. KO mice were inoculated subcutaneously with 3 × 105 B16 cells. After 24 h these mice (14 per group) received into the tail vein 40 × 106 splenocytes from mice with tumors that had been injected twice with α-gal glycolipids (Fig. 10,A) or PBS (Fig. 10,B). The adoptive transfer was performed 24 h after inoculation of the tumor cells to simulate a scenario in which the tumor is established before the appearance of primed tumor-specific lymphocytes in the circulation. Tumor growth was monitored for 30 days. In the group receiving lymphocytes from donors with α-gal glycolipid-injected tumors, eight mice displayed no tumor growth, three mice had tumors that reached the size of only 10–17 mm within 30 days, and three additional mice had tumors that reached the maximum size of 25 mm during that period (Fig. 10,A). In the control group, 11 of the mice had tumors reaching 25 mm within 18–30 days after adoptive transfer (Fig. 10,B). No tumors developed in the remaining three mice. The reason for lack of tumor growth in these three mice is not clear. It could be because of the induction of a protective systemic immune response also in a small number of mice with PBS-treated tumors or because of an accidental inability of tumor cells to develop in the injected recipient. The individual differences between the two groups are further demonstrated in Fig. 10,C, where tumor size is presented on day 18 (the first time point at which the tumors in some of the mice reached the maximum size of 25 mm). The findings in Fig. 10 strongly suggest that the intratumoral injection of α-gal glycolipids elicits a protective anti-tumor immune response potent enough to overcome the immunosuppressive activity of the transferred Treg cells and prevent the development of an established tumor into a lethal lesion. No protection was observed in WT recipients of lymphocytes from WT donors with a tumor injected with α-gal glycolipids (Fig. 10 D), further indicating that the protective immune response is associated with anti-Gal activity in the donors.
Protection against B16 tumor growth by the adoptive transfer of spleen lymphocytes from mice with treated tumors. A and B, Recipient mice were inoculated subcutaneously with 3 × 105 B16 cells and 24 h later received 40 × 106 lymphocytes from donors with B16 lesions injected twice with 1 mg of α-gal glycolipids (A) (n = 14) or PBS (B) (n = 14). Adoptive transfer was performed 1 wk after the second injection. C, Tumor size in the individual recipients on day 18 after adoptive transfer. Mean + SD is presented in the last column on the right in each group. D, Adoptive transfer performed in recipient WT mice receiving lymphocytes from WT donors with B16 tumors injected twice with 1 mg of α-gal glycolipids. The donors received three PKM immunizations before inoculation of the tumor as in KO mice (n = 14).
Protection against B16 tumor growth by the adoptive transfer of spleen lymphocytes from mice with treated tumors. A and B, Recipient mice were inoculated subcutaneously with 3 × 105 B16 cells and 24 h later received 40 × 106 lymphocytes from donors with B16 lesions injected twice with 1 mg of α-gal glycolipids (A) (n = 14) or PBS (B) (n = 14). Adoptive transfer was performed 1 wk after the second injection. C, Tumor size in the individual recipients on day 18 after adoptive transfer. Mean + SD is presented in the last column on the right in each group. D, Adoptive transfer performed in recipient WT mice receiving lymphocytes from WT donors with B16 tumors injected twice with 1 mg of α-gal glycolipids. The donors received three PKM immunizations before inoculation of the tumor as in KO mice (n = 14).
Discussion
The present study demonstrates a novel immunotherapy method aimed at destroying tumor lesions and converting them into endogenous vaccines by exploiting the anti-Gal Ab naturally present in large amounts in all humans. The interaction of anti-Gal with α-gal epitopes on injected α-gal glycolipids results in complement activation and generation of chemotactic factors that induce local inflammation. Anti-Gal further mediates the destruction of tumor cells with inserted α-gal glycolipids by mechanisms similar to those mediating xenograft rejection. This is suggested by the anti-Gal-mediated CDC of tumor cells with inserted α-gal glycolipids and by the presence of ADCC effector cells such as macrophages and NK cells within the treated lesions. Moreover, many APCs recruited by the inflammatory process into the tumor are activated within the lesion, as implied from the effective cross-presentation of OVA peptides by DCs isolated from treated B16/OVA lesions. The number and activation state of intratumoral DCs are two factors shown to be critical in the host response to tumors (4).
Effective recruitment of DCs into treated lesions was demonstrated following the intratumoral injection of CpG-rich oligonucleotides (4) or cytokines such as GM-CSF (54) and IL12 (55) or irradiation of the lesion (1). The α-gal glycolipid treatment provides one additional important step that is absent in other types of cancer immunotherapy: active intratumoral targeting of tumor cells and cell membranes to APCs. This targeting is mediated by anti-Gal opsonizing cells with inserted α-gal glycolipids and inducing uptake via FcγR on APCs, followed by effective presentation of TAA peptides on MHC class I and class II molecules. In previous studies we demonstrated similar human anti-Gal-mediated uptake of lymphoma cells expressing α-gal epitopes by DCs and by macrophages (56). In humans, this uptake is facilitated primarily by FcγRI on human APCs (56). The studies with treated B16/OVA lesions indicated that the effective uptake by APCs enables the subsequent transport of TAA to the draining lymph nodes. Processed and presented TAA peptides within the lymph nodes activate tumor-specific T cells and thus elicit a protective, systemic, anti-tumor immune response as measured in vitro by ELISPOT and CTL activity against OVA peptides acting as surrogate TAA peptides. Adoptive transfer studies with lymphocytes from KO mice with treated B16 lesions further indicated that lymphocytes transferred from mice with tumors injected with α-gal glycolipids protected the recipients from the development of tumors. The protection occurred without the need to remove Treg cells from the transferred lymphocyte population. This suggests that the immune response elicited by the intratumoral injection of α-gal glycolipids is potent enough to overcome the suppressive effect of Treg cells in the treated mice. The observed conversion of the treated tumor lesion into an endogenous tumor vaccine that elicits a protective anti-tumor immune response is in accord with studies demonstrating the induction of an effective cellular immune response against tumor cells opsonized by various anti-tumor Abs due to FcγR-mediated internalization and cross-presentation of the TAA peptides (24, 26, 28, 52, 57). The unique advantage of our method is that the opsonizing Ab (i.e., anti-Gal) is abundantly produced in all humans (22).
The ability of B16 cells expressing α-gal epitopes to function as endogenous vaccines is also in accord with our previous studies (34, 42) and those of other investigators (58, 59). These studies on the immunogenicity of B16 cells expressing α-gal epitopes indicated that the immunization of KO mice with irradiated B16 cells engineered to express α-gal epitopes by transfection or transduction with the α1,3GT gene results in the induction of a protective antitumor immune response. The method presented here differs from those of previous studies (34, 42, 58, 59) in that it enables the expression of α-gal epitopes in situ within the tumor lesions rather than using tumor cells processed in vitro to express α-gal epitopes. The present method achieves both the destruction of the treated lesion and its conversion into vaccine and, thus, may be beneficial to patients with multiple lesions that are refractory to standard treatments. Moreover, because α-gal glycolipids do not activate T cells and are digested within the APC (31) and because there are no peptides that compete with autologous TAA peptides for the presentation by MHC molecules, the T cell response is specific to autologous TAA peptides and is not skewed toward other immunogenic peptides.
The increased immunogenicity mediated by anti-Gal targeting to the FcγR of APC has also been demonstrated with soluble Ags that carry α-gal epitopes. We have recently demonstrated in KO mice a >100-fold increase in the immune response to the immunizing gp120 of HIV after the carbohydrate chains of gp120 were enzymatically modified to replace sialic acid residues with α-gal epitopes that form immune complexes with anti-Gal (35). Similarly, BSA with coupled synthetic α-gal epitopes was shown to be much more immunogenic than BSA with carbohydrate epitopes that do not bind anti-Gal (60).
We have observed no toxic effects following the injection of α-gal glycolipids in KO mice. Detailed monitoring of anti-Gal-producing KO mice receiving five weekly intradermal or i.v. injections of 1.0 mg of α-gal glycolipids indicated that this treatment results in no morbidity or mortality, does not affect behavior and growth of the mice, and does not induce vitiligo. Moreover, histological inspection of the kidneys, liver, heart, and skin in these mice 2 mo after the fifth injection of α-gal glycolipids revealed no infiltrating inflammatory cells. This strongly suggests that, although α-gal glycolipids also insert into normal cell membrane, this treatment does not cause a breakdown of tolerance to normal Ags and does not induce autoimmune responses (our unpublished observations).
The proposed treatment was found to prevent growth and induce tumor regression in ∼50% of the mice and to slow progression in most of the remaining tumors. It is likely that intratumoral injection of α-gal glycolipids will be much more effective in humans than in mice. Although human and KO mouse anti-Gal display similar characteristics (35), complement activity in humans is much higher than in mice (61). Accordingly, CDC with anti-Gal in mouse serum required the addition of rabbit complement, whereas the complement in human serum was sufficiently potent to induce CDC of B16 cells with inserted α-gal glycolipids. Moreover, human tumors grow much slower than B16 melanoma (doubling time of >4 wk vs 4–8 days, respectively). Thus, inflammation induced by α-gal glycolipids and the ensuing anti-tumor immune response will probably destroy a much larger proportion of tumor cells in treated human lesions than in B16 melanoma lesions where a proportion of fast proliferating tumor cells may succeed in escaping total destruction. Furthermore, the much slower development of human solid tumors allows for repeated multiple intratumoral injections of α-gal glycolipids. Such multiple injections are likely to result in several cycles of inflammation and the effective conversion of tumor lesions into vaccine targeted to APC, thereby increasing both tumor destruction and anti-tumor immune response.
A number of studies have demonstrated the elevated expression of membrane-bound complement inhibitory factors (complement regulatory proteins) such as CD46, CD55, or CD59 on a variety of human tumor cells (49, 50). It is not clear whether the CDC induced by anti-Gal on tumor cells with inserted α-gal glycolipids will be potent enough to kill such human tumor cells. Future studies on the in vitro CDC of human tumor cells by assays similar to those performed on B16 melanoma cells and clinical trials with cancer patients treated with α-gal glycolipids will enable us to determine whether complement inhibitory factors have a significant antagonistic effect on the immunotherapy induced by α-gal glycolipids.
In addition to its potential therapeutic use in advanced cancer, intratumoral injection of α-gal glycolipids into primary tumors may be beneficial as part of the neoadjuvant therapy before the resection of the tumor. The rapid inflammatory response induced within the treated tumor may result in decreasing lesion size and in its conversion into an autologous tumor vaccine that induces immune protection against micrometastases during the period before resection of the primary tumor. Without the induction of such an immune response, the immune system is “oblivious” to metastatic tumor cells released from the primary tumor to the extent that such cells can reside within the draining lymph nodes (i.e., lymph nodes involvement) without being attacked by the immune system. Thus, intratumoral injection of α-gal glycolipids 3–5 wk before surgery for the removal of the primary tumor may improve the prognosis of the treated patient by immune prevention of micrometastases from developing into lethal lesions.
Overall, intratumoral injection of α-gal glycolipids provides a novel type of treatment for the recurrent solid tumors refractory to other therapies, as well as for patients with primary tumors. The injected α-gal glycolipids direct the immune system to destroy the “stealthy” tumor lesion and to react against the autologous TAA. This is achieved by local anti-Gal-mediated induction of an inflammatory response within the tumor and by intratumoral anti-Gal-mediated targeting of TAA to APCs.
Acknowledgments
We thank Drs. Aaron Thall and John B. Lowe for the KO mice, Dr. Edith Lord for the B16/OVA and B3Z cells, and Dr. Nibal Shastri for the permission to use the B3Z cells.
Disclosures
The authors have no financial conflict of interest.
Footnotes
The costs of publication of this article were defrayed in part by the payment of page charges. This article must therefore be hereby marked advertisement in accordance with 18 U.S.C. Section 1734 solely to indicate this fact.
Abbreviations used in this paper: TAA, tumor-associated Ag; ADCC, Ab-dependent cell-mediated cytotoxicity; α1,3GT, α1,3-galactosyltransferase; α-gal epitope, Galα1-3Galβ1-4GlcNAc-R epitope; BS lectin, Bandeiraea simplicifolia IB4; CDC, complement-dependent cytolysis; DC, dendritic cell; KO, knockout mice for the α1,3GT gene; MFC, mean fluorescence channel; PKM, pig kidney membranes; Treg, regulatory T cell; WT, wild type.









