Abstract
Helicobacter infection is the primary risk factor for gastric cancer, with the cytokine environment within the gastric mucosa the strongest predictor of disease risk. Elevated TNF-α, IL-1β, and low IL-10 are associated with the highest risk. In this study, we used C57BL/6 mice to identify T-bet as a central regulator of the cytokine environment during Helicobacter felis infection. We infected male and female C57BL/6 and C57BL/6-T-bet knockout (KO) liter mates with H. felis and examined the bacterial colonization, immune response, and mucosal damage at varying time points. T-bet KO mice maintained infection for 15 mo at similar levels to wild-type mice. Infection and immune response did not differ between male and female mice. Despite sustained infection, T-bet KO mice respond with a blunted Th1 response associated with preservation of parietal and chief cells and protection from the development of gastric cancer. Unexpectedly, T-bet KO mice develop a gastric environment that would not be expected based on the phenotype of T-bet KO CD4 cells alone. T-bet KO mice respond to H. felis infection with a markedly blunted IL-1β and TNF-α and elevated IL-10 levels. Activity of this one master regulator modulates the expression of the key gastric mucosal cytokines associated with gastric cancer and may be a target for therapy to restore immune balance clinically in patients at risk for gastric cancer.
The link between chronic inflammation and cancer has been long recognized. Paradoxically, not all patients with chronic inflammation will develop cancer. Therefore, identifying immune response differences that predispose to cancer is paramount in identifying at-risk populations, and these differences may serve as therapeutic targets.
Gastric cancer is a leading cause of death worldwide. The principle cause of gastric cancer is infection with Helicobacter pylori, a Gram-negative bacterium that colonizes the stomach of more than half of the world population. Helicobacter infection causes chronic gastritis in all infected patients, although not all patients will develop clinical disease. Many infected patients will progress to gastric atrophy and mucous cell and intestinal metaplasia, while a smaller number of patients will develop dysplasia and <1% will develop gastric cancer. The incidence of gastric cancer ranges widely between countries (1, 2, 3, 4). Research into the mechanism by which H. pylori causes gastric disease has focused on three main areas: bacterial, environmental, and host genetic factors. The main body of research suggests that more virulent strains of bacteria and environmental factors that are associated with gastric cancer function via modulation or augmentation of inflammation within the gastric mucosa. Host genetic factors in turn dictate the intensity and the composition of the inflammatory response such that infected individuals with cytokine polymorphisms favoring a stronger proinflammatory response with elevated levels of TNF-α, IL1-β, and low IL-10 are more likely to develop more severe disease (5, 6).
Studies using mouse models have been instrumental in defining the role of inflammation in Helicobacter disease progression and have clarified significantly the role of the adaptive immune response to mucosal damage. Mouse models allow controlled infection studies in genetically identical mice under restricted, regulated conditions. Different mouse strains have distinct immune responses to the bacterium (7, 8) and are very useful for studying various clinical manifestations of Helicobacter infection.
H. felis infection in a genetically susceptible mouse strain, such as C57BL/6J, results in an acute inflammatory infiltrate into the gastric mucosa, which progresses to a chronic inflammatory response over several weeks (9, 10). During this time, parietal and chief cells are lost at least in part through Fas Ag/Fas L signaling (11). Once parietal cells are lost, the normal gastric gland architecture is replaced by a metaplastic mucous cell lineage followed by atrophy and intestinal metaplasia. By 15 mo of H. felis infection, gastric adenocarcinoma develops in most mice (10). This pattern of mucosal alterations closely resembles the pattern and evolution of human gastric carcinoma (12). H. felis infection in a mouse strain that is resistant to Helicobacter-induced gastric adenocarcinoma, such as the BALB/c, produces a very different mucosal immune response (7, 13). Mice become colonized by bacteria easily and often support higher bacterial loads than the C57BL/6J mice. Inflammation is initially submucosal with sparse intramucosal infiltrates, as is seen with infection in the C57BL/6J mouse; however, as H. felis infection progresses, lymphoid nodules are prominent and few mice may develop MALT lymphoma. Strikingly, parietal and chief cells are largely preserved and atrophy does not develop. While the H. felis-infected BALB/c is a useful model of MALT lymphoma, it does not develop gastric adenocarcinoma.
The major factor linked to the different outcomes of infection between a susceptible and resistant host is the immune response to H. felis. Th1 cytokines are associated with gastric adenocarcinoma, and a Th2 response is associated with relative resistance to gastric adenocarcinoma (7, 8). C57BL/6 mice tend to Th1 responses, while BALB/c mice usually polarize to Th2 responses. However, in addition to opposing immune response polarity, these two mouse strains are genetically different, and it is not clear how other genetic differences contribute to disease manifestations.
Recent data from our laboratory as well as from those of others strongly supports that a vigorous Th1 response is required for disease to occur. IFN-γ infusions via osmotic pump into C57BL/6 mice for up to 4 wk is sufficient to induce inflammation with parietal cell loss and mucous cell and intestinal metaplasia, even in the absence of Helicobacter infection (14). With Helicobacter present, mucosal damage is greatly accelerated (14). Conversely, dampening a Th1 response greatly attenuates disease in the C57BL/6 mouse; however, it does not completely prevent mucosal damage (15). It is tempting to conclude that blocking the Th1 response in the C57BL/6 model is responsible for disease protection. However, the model used employed a helminth infection to switch the immune response to Helicobacter infection, and direct effects of the helminth or the immune response to the helminth above and beyond the Th1/Th2 switch were not addressed.
Similar immune manipulations in the BALB/c mice have shown that overriding the usual Th2 response and forcing a Th1 cytokine pattern can alter disease progression, resulting in mucosal damage reminiscent of (but not identical to) damage in the C57BL/6 model (13). Taken together, these data suggest that manipulations within the C57BL/6 and the BALB/c model greatly alter inherent disease susceptibility, with a Th1 response necessary for disease progression.
T-bet is a member of the T-box family of transcription factors, and it appears to regulate the commitment of Th cells to the Th1 lineage (16). It does so in part by transactivation of IFN-γ. Additionally, IFN-γ production is markedly impaired in NK cells from these mice. Strikingly, however, T-bet is not involved in controlling IFN-γ production in cytotoxic CD8+ T cells. The T-bet knockout (KO)3 mouse offers a model where Th1 responses can be directly assessed with minimal alterations of other immune functions, and without the effects of global cytokine deficiency seen in other transgenic models.
Therefore, to definitively address the role of Th1 immune response in Helicobacter-induced disease, T-bet KO mice in the C57BL/6 background or their wild-type (WT) littermates were infected with H. felis and followed for up to 15 mo for disease progression. Both groups maintained H. felis infection throughout the study. Analysis of mucosal cytokine patterns and H. felis-specific IgG subclass analysis confirmed a blunted Th1 response in the T-bet KO mice. WT mice progressed through tissue alterations of metaplasia, atrophy, and dysplasia to carcinoma, while the T-bet KO mice maintained parietal and chief cell populations and mucosal integrity and failed to develop adenocarcinoma. Our data clearly establish a link between IL1-β and TNF-α in the pathogenesis of Helicobacter-induced gastric adenocarcinoma. Parallel cytokine patterns in susceptible human populations suggest that differences in T-bet regulation may underlie susceptibility to gastric cancer in human populations.
Materials and Methods
All experiments were conducted at the University of Massachusetts Medical School under Institutional Animal Care and Use Committee approval. T-bet KO mice on a C57BL/6 background and WT C57BL/6 mice, which were certified free of H. felis, Helicobacter hepaticus, and Helicobacter bilis, were purchased from The Jackson Laboratory and crossed with C57BL/6 mice and heterozygous mice mated to produce T-bet KO and C57BL/6 WT littermates as controls. Male and female mice were genotyped according to company protocol before initiation of any experiments and again at euthanasia. An equal number of male and female mice were used for each study. Five male and five female mice were used for each group and for each time point unless otherwise stated. Mice were housed in an American Association for the Accreditation of Laboratory Animal Care-approved facility and given free access to water and food. At 6–8 wk of age, mice were infected with 1 × 107 CFU/500 μl of H. felis culture (or sterile culture medium) by oral gavage three times at 2-day intervals according to published protocol (13). After an overnight fast, mice were weighed and then euthanized by exsanguination followed by cervical dislocation at 12 wk, 24 wk, or 15 mo.
Serum was frozen and all samples were processed in triplicate at one time for H. felis-specific IgG2a (Th1) and IgG1 (Th2) response by serum ELISA as previously described (10).
At necropsy, stomachs were removed, opened longitudinally along the greater curvature, and gastric pH was measured by touching a pH detection paper strip to the mucosa until wet and matching the color change to the pH chart. The stomach was gently washed, weight was recorded, and the stomach was bisected into two equal halves through the esophagus extending to the proximal duodenum. Using the right half, a strip of mucosa along the anterior lesser curvature of each mouse from the squamocolumnar junction through the pylorus was fixed in 4% paraformaldehyde for 4 h, processed by standard methods, embedded in paraffin, cut into 5-μm sections, and processed for histology. A 2 × 2-mm portion lateral to the piece reserved for histology was snap frozen for quantitative bacterial PCR determination. This strip extended from the squamocolumnar junction through the pylorus, capturing both antrum and corpus mucosa. The mirror image sections from the left side were placed in TRIzol (Invitrogen) and snap frozen in liquid nitrogen for RT-PCR determination of cytokine expression.
Histology
Tissue sections were stained with H&E and examined for inflammation and architectural distortion. Sections were scored in a blinded fashion according to lesion score criteria previously described (13). For enumeration of parietal cells, five high-power fields in each H&E-stained section were examined, beginning at the junction between the forestomach and fundus, with two well-oriented gastric glands counted per field for a total of 10 glands per mouse (17) and reported as the average number of parietal cells per gland ± 1 SD.
Cytokine analysis
Total RNA was extracted using the TRIzol reagent according to the manufacturer’s instruction and quantified by absorbance at 260 nm. Integrity of RNA was checked by electrophoresis on a 1.2% agarose gel. PBMC cDNA was synthesized and amplified in the ThermoScript RT-PCR System (Invitrogen) under the conditions stated in the manufacturer’s protocol. Real-time PCR for IFN-γ, TNF-α, IL-1β, IL-12, IL-4, IL-5, IL-6, IL-10, IL-13, Fas Ag, and FasL was performed using the primers and conditions outlined in in Table I. To exclude the amplification of genomic DNA contaminating the samples, experiments were also performed using starting point RNA as substrate for PCR assay.
RT-PCR primers
| Gene . | Primer Sequence . | Product Size . | Annealing Temperature (°C) . | |
|---|---|---|---|---|
| IL-1β | F | CAGGCTCCGAGATGAACAACAAAA | 332 | 56.4 |
| R | TGGGGAACTCTGCAGACTCAAACT | |||
| IL-4 | F | ACCCCCAGCTAGTTGTCATC | 307 | 54.6 |
| R | CGAAAAGCCCGAAAGAGTC | |||
| IL-5 | F | GGCTTCCTGTCCCTACTCATAAAA | 252 | 54.9 |
| R | AGCCTTCCATTGCCCACTCT | |||
| IL-10 | F | CTAGAGCTGCGGACTGCCTTCA | 301 | 57.5 |
| R | CCTGCTCCACTGCCTTGCTCTTAT | |||
| IL-12α | F | TCAGTTTGGCCAGGGTCATTCC | 306 | 57.8 |
| R | CAAGGCACAGGGTCATCATCAAAG | |||
| IL-13 | F | ATGGCGCTCTGGGTGACTGC | 326 | 60.1 |
| R | ATTTTGGTATCGGGGAGGCTGGAG | |||
| TNF | F | TGGCCTCCCTCTCATCAGTTCTAT | 346 | 59.1 |
| R | CTTGGGGCAGGGGCTCTTG | |||
| IFN-γ | F | ATGGCTGTTTCTGGCTGTTACTG | 292 | 54.1 |
| R | CATCCTTTTTCGCCTTGCTGTT | |||
| Fas Ag | F | GCTGCGCCTCGTGTGAA | 330 | 54 |
| R | TCTTGCCCTCCTTGATGTTATTT | |||
| FlaB | F | TTCGATTGGTCCTACAGGCTCAGA | 225 | 55 |
| R | TTCTTGTTGATGACATTGACCAACGCA | |||
| Gene . | Primer Sequence . | Product Size . | Annealing Temperature (°C) . | |
|---|---|---|---|---|
| IL-1β | F | CAGGCTCCGAGATGAACAACAAAA | 332 | 56.4 |
| R | TGGGGAACTCTGCAGACTCAAACT | |||
| IL-4 | F | ACCCCCAGCTAGTTGTCATC | 307 | 54.6 |
| R | CGAAAAGCCCGAAAGAGTC | |||
| IL-5 | F | GGCTTCCTGTCCCTACTCATAAAA | 252 | 54.9 |
| R | AGCCTTCCATTGCCCACTCT | |||
| IL-10 | F | CTAGAGCTGCGGACTGCCTTCA | 301 | 57.5 |
| R | CCTGCTCCACTGCCTTGCTCTTAT | |||
| IL-12α | F | TCAGTTTGGCCAGGGTCATTCC | 306 | 57.8 |
| R | CAAGGCACAGGGTCATCATCAAAG | |||
| IL-13 | F | ATGGCGCTCTGGGTGACTGC | 326 | 60.1 |
| R | ATTTTGGTATCGGGGAGGCTGGAG | |||
| TNF | F | TGGCCTCCCTCTCATCAGTTCTAT | 346 | 59.1 |
| R | CTTGGGGCAGGGGCTCTTG | |||
| IFN-γ | F | ATGGCTGTTTCTGGCTGTTACTG | 292 | 54.1 |
| R | CATCCTTTTTCGCCTTGCTGTT | |||
| Fas Ag | F | GCTGCGCCTCGTGTGAA | 330 | 54 |
| R | TCTTGCCCTCCTTGATGTTATTT | |||
| FlaB | F | TTCGATTGGTCCTACAGGCTCAGA | 225 | 55 |
| R | TTCTTGTTGATGACATTGACCAACGCA | |||
Quantitative analysis of H. felis colonization
A 2 × 2-mm piece of gastric mucosa taken at the fundus/antral border was snap frozen at the time of necropsy. All samples were processed together as follows: DNA was extracted using High Pure PCR Template Preparation kit (Roche Molecular Biochemicals) according to the manufacturer’s protocol. Two microliters of extracted DNA was used for real-time PCR (SmartCycler; Cepheid) using a QuantiTect SYBR Green PCR kit (Qiagen). Relative gene expression of H. felis FlaB was calculated using 2−ΔΔCt method (18) and reported as a ratio of folds increase in gene expression over the control value of WT. Mouse β-actin gene was used as a reference gene. Two micrograms of genomic DNA was used for all experiments, and each experiment was run three times in triplicate. Data reported are an average of three experiments.
Spleen cell assays
Spleen cells were isolated using Lymphocyte Separation Medium-M (Cellgro). For anti-CD3 stimulation, HighProtein binding plates (Corning) were coated with anti-CD3 Ab at 400 ng/ml. Spleen cells were plated at 1 × 106 per well together with anti-CD28 at 100 ng/ml (BD Pharmingen) and incubated for 18 h. Cytokine levels were measured in culture supernatants by ELISA. Statistical analysis was performed using Student’s t test (JMP Software). For FACS analysis, spleen cells were harvested and RBCs were lysed with Tris-ammonium chloride. Cells were incubated with allophycocyanin- or PE-labeled Abs specific for FasL, CD3, CD4, CD8, CD11b, CD19, and CD69 (BD Pharmingen) and analyzed using a FACScan analyzer (BD Biosciences).
Results
Loss of T-bet does not alter the gastric mucosa in uninfected adult mice
We examined both male and female mice, five of each gender for each time point. Stomachs of uninfected (sham infected) mice were examined at 4 or 15 mo after initiating the experiment (∼6–17 mo of age). Stomachs of uninfected WT and T-bet KO mice were grossly indistinguishable and were of similar weight. Gastric mucosal pH ranged from 1.0 to 2.0 and did not differ between the groups. Microscopic analysis did not reveal any differences in architecture between the two strains (Fig. 1 A–D) or any differences between gender. The mucosa was of similar thickness with a paucity of intramucosal and submucosal inflammatory cells. Numbers of parietal cells and their distribution within the fundus were similar between groups (WT, 16 ± 1; T-bet, 15 ± 2 parietal cells/gland).
Histology of uninfected WT and T-bet mice are similar. H&E staining of WT C57BL/6 mouse (A, ×4; B, ×40) and T-bet KO mouse (C, ×4; D, ×40). Parietal cells (arrows) are large cells with pale pink cytoplasm and centrally located nuclei. Chief cells stain deeper purple and are seen at the gland base. Architecture is unchanged between the WT and T-bet KO mouse. Bar, 600 μm. Fas Ag immunohistochemistry in (E) WT mouse and (F) T-bet KO mouse. Arrow, positive staining inflammatory cells in connective tissue.
Histology of uninfected WT and T-bet mice are similar. H&E staining of WT C57BL/6 mouse (A, ×4; B, ×40) and T-bet KO mouse (C, ×4; D, ×40). Parietal cells (arrows) are large cells with pale pink cytoplasm and centrally located nuclei. Chief cells stain deeper purple and are seen at the gland base. Architecture is unchanged between the WT and T-bet KO mouse. Bar, 600 μm. Fas Ag immunohistochemistry in (E) WT mouse and (F) T-bet KO mouse. Arrow, positive staining inflammatory cells in connective tissue.
A substantial portion of epithelial cell loss and parietal cell apoptosis that occurs during Helicobacter infection has been attributed to Fas Ag/FasL signaling (19, 20). Fas Ag is normally expressed at very low levels in gastric mucosal cells, and expression is preferentially up-regulated in the parietal and chief cells in the presence of proinflammatory cytokines IL1-β and TNF-α (11). Invading inflammatory cells express both FasL and Fas Ag when activated, and FasL is necessary for Fas-mediated apoptosis of gastric mucosal cells (11). Therefore, to begin our characterization of the T-bet KO mice, we characterized the baseline Fas Ag and FasL expression pattern within the gastric mucosa and inflammatory cell population. At baseline, in the absence of infection, Fas Ag is not detectable in gastric mucosal cells of either the WT or the T-bet KO mice (Fig. 1, E and F). FasL was not detectable within the mucosa or submucosa of either strain (data not shown). Rare inflammatory cells were occasionally positive for Fas Ag (Fig. 1 E, arrow).
T-bet deficiency protects C57BL/6 mice from parietal cell loss by suppressing Th1 immune response
At 4 mo of infection WT mice (n = 10; 5 male, 5 female) have substantial submucosal (Fig. 2,A, arrow) and intramucosal inflammatory infiltrates with near complete loss of parietal cells (Fig. 2,B, arrow shows one remaining parietal cell in this field) and widespread mucous cell hyperplasia (Fig. 2,C). The gastric mucosal pH ranged from 3 to 7 in the infected WT mice. Like the WT, T-bet KO mice (n = 10; 5 male, 5 female) developed widespread inflammatory infiltrates in both the mucosa and submucosa; however, unlike the WT, many T-bet KO mice had large lymphoid aggregates (Fig. 2,D, arrows). The mucosal height did not differ between WT-infected and T-bet KO-infected mice (Fig. 2, A and D, bars). Remarkably, despite substantial inflammation, both male and female T-bet mice maintained their parietal cell population (Fig. 2, E and F, arrows) even in areas directly infiltrated with inflammatory cells (Fig. 2 F), and they maintained a gastric mucosal pH of 1–2.
Altered immune response and mucosal sparing in T-bet KO infected mice. H&E staining of the fundic mucosa. WT mouse infected for 4 mo: (A) ×4, arrow head depicts submucosal inflammation; (B) ×40, arrow shows one rare remaining parietal amid markedly distorted gland architecture; (C) ×40, submucosal and mucosal inflammation, mucous metaplasia, and antralization of the glands. T-bet KO infected mouse for 4 mo: (D) ×4, large intramucosal and submucosal inflammatory infiltrates and lymphoid aggregates (arrow head); (E) preservation of architecture with numerous parietal cells (arrows) in areas with intramucosal inflammation; and (F) submucosal inflammation. Fas Ag immunohistochemisty of the fundic mucosa at 8 wk of infection in (G) WT mouse and (H) T-bet KO mouse. Bar, 600 μm. I, Bacterial load in WT (•) and T-bet KO (▴) mice reported as the relative gene expression of H. felis FlaB, calculated using the 2−ΔΔCt method (18 ) and reported as a ratio of fold increase in gene expression over the control value mouse β-actin gene, with uninfected mice set as a value of 1. Serum anti-H. felis Ab. J, IgG2C/IgG1 ratio in infected T-bet (▵) and WT (○) mice. K, IgG subclass analysis.
Altered immune response and mucosal sparing in T-bet KO infected mice. H&E staining of the fundic mucosa. WT mouse infected for 4 mo: (A) ×4, arrow head depicts submucosal inflammation; (B) ×40, arrow shows one rare remaining parietal amid markedly distorted gland architecture; (C) ×40, submucosal and mucosal inflammation, mucous metaplasia, and antralization of the glands. T-bet KO infected mouse for 4 mo: (D) ×4, large intramucosal and submucosal inflammatory infiltrates and lymphoid aggregates (arrow head); (E) preservation of architecture with numerous parietal cells (arrows) in areas with intramucosal inflammation; and (F) submucosal inflammation. Fas Ag immunohistochemisty of the fundic mucosa at 8 wk of infection in (G) WT mouse and (H) T-bet KO mouse. Bar, 600 μm. I, Bacterial load in WT (•) and T-bet KO (▴) mice reported as the relative gene expression of H. felis FlaB, calculated using the 2−ΔΔCt method (18 ) and reported as a ratio of fold increase in gene expression over the control value mouse β-actin gene, with uninfected mice set as a value of 1. Serum anti-H. felis Ab. J, IgG2C/IgG1 ratio in infected T-bet (▵) and WT (○) mice. K, IgG subclass analysis.
Studies from our laboratory and others reveal that Fas Ag-mediated apoptosis is responsible for the parietal cell drop-out seen with Helicobacter infection (19, 20). Therefore, we next determined the regulation Fas Ag expression in the mucosa with infection. Examination of a 2-mo time point of infection, when parietal cells are present, revealed intense staining for Fas Ag throughout the parietal and chief cell population of the WT mice (Fig. 2,G), but not in the T-bet KO mice (Fig. 2 H). Few remaining parietal cells could be identified in the WT infected mouse at 4 mo. Those present expressed surface Fas Ag by immunohistochemistry (data not shown), consistent with our previous reports of Fas Ag/FasL signaling playing a role in parietal cell loss during infection. FasL expression in inflammatory cells within the gastric mucosa did not differ between the WT and T-bet KO mice (data not shown).
WT and T-bet KO mice maintain similar levels of H. felis bacterial colonization but have markedly different immunological responses to bacteria
We next examined H. felis bacterial colonization to determine whether differences in infection could account for the disparate mucosal damage seen. Uninfected mice did not have evidence of infection verifying their status as Helicobacter-free controls. Infected WT and T-bet mice had similar levels of bacteria detected by PCR, which were not statistically different (Fig. 2,I; p > 0.05). Despite similar bacterial loads, the immune response differed substantially with infected T-bet KO mice producing virtually no Helicobacter-specific IgG2c, resulting in a markedly blunted IgG2C/IgG1 ratio compared with WT mice, which had developed anti-Helicobacter IgG2c Ab (Fig. 2, J and K). We did not detect any differences in isotypic responses between male and female mice in either group, and therefore we combined the data for analysis.
The gastric mucosa is normally devoid of inflammatory cells. Any inflammatory cells within the gastric mucosa must come from circulating sources. We therefore analyzed Fas Ag and FasL expression on splenocytes from WT and T-bet KO mice. With activation, T-bet mice had a slight increase in Fas Ag expression (Fig. 3,A) and similar FasL expression relative to WT mice (Fig. 3,B). As predicted, T-bet mice compared with WT mice had a marked blunting of IFN-γ, with both a decrease in the number of cells positive for IFN-γ and the amount of IFN-γ secreted despite similar levels of activation (measured by CD69 expression) (Fig. 3, C–E) and similar ratios of CD4 T cells (Fig. 3 F).
Characteristics of splenocytes from WT and T-bet KO mice. CD4+ cells were activated with anti-CD3 and anti-CD28 as indicated and assayed for (A) Fas Ag, (B) FasL, (C) IFN-γ expression, and (D) the activation marker CD69. E, IFN-γ production was measured at 5 and 24 h of activation with anti-CD3 and anti-CD28 in culture. F, The percentage of CD4+ cells did not differ between the WT and T-bet KO mice.
Characteristics of splenocytes from WT and T-bet KO mice. CD4+ cells were activated with anti-CD3 and anti-CD28 as indicated and assayed for (A) Fas Ag, (B) FasL, (C) IFN-γ expression, and (D) the activation marker CD69. E, IFN-γ production was measured at 5 and 24 h of activation with anti-CD3 and anti-CD28 in culture. F, The percentage of CD4+ cells did not differ between the WT and T-bet KO mice.
The cytokine milieu of the infected gastric mucosa is an amalgamation of cytokines from innate, adaptive, and mucosal responses. To assess the total cytokine environment, gastric mucosal strips from the squamocolumnar junction through the antrum at the lesser curvature were assayed by RT-PCR for select cytokines. The most dramatic differences between WT and T-bet KO mice were see in TNF-α, IL-1β, IL-12, and IL-13 expression, where the T-bet KO had markedly reduced levels, and in IL-10, where the T-bet KO mice had significantly increased levels relative to the WT mice. While IFN-γ was significantly decreased in the infected T-bet KO mice relative to the WT mice, substantial amounts of IFN-γ were still present (Fig. 4). IL-4 and IL-5 levels were low in both the WT and T-bet KO mice and were not altered with infection.
Gastric mucosal cytokine milieu in WT and T-bet KO mice. At 4 mo after H. felis infection, gastric mucosa was assayed for cytokine expression as indicated and reported as fold increase over the lowest reported value in control mice. *, p < 0.001; **, p < 0.02.
Gastric mucosal cytokine milieu in WT and T-bet KO mice. At 4 mo after H. felis infection, gastric mucosa was assayed for cytokine expression as indicated and reported as fold increase over the lowest reported value in control mice. *, p < 0.001; **, p < 0.02.
T-bet KO is protective against gastric cancer
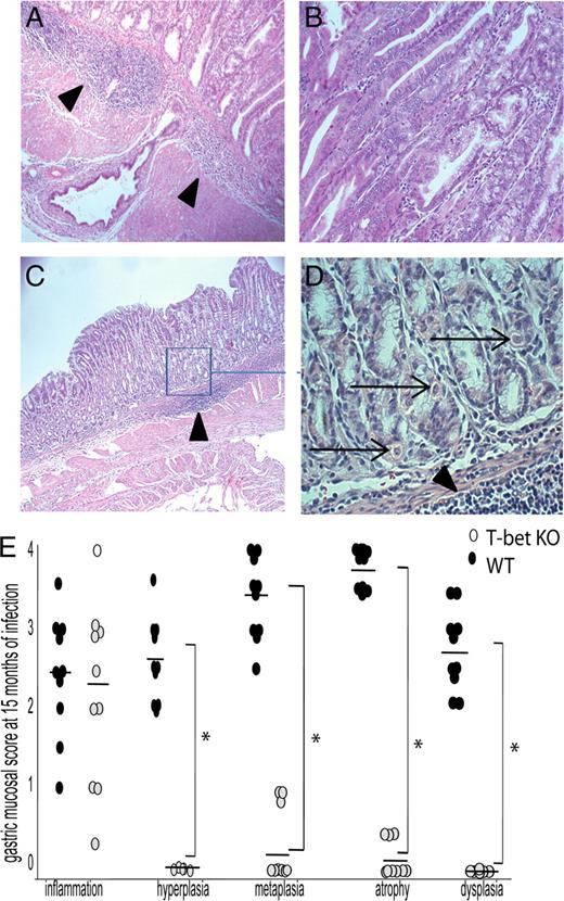
We next evaluated the long-term effects of infection in the WT and T-bet KO mice. H. felis bacteria were detected by PCR in all mice, confirming that long-term infection was maintained in both genotypes. Inflammatory infiltrates were present in both groups, but they differed markedly, with WT mice maintaining intramucosal and submucosal diffuse infiltrates, and T-bet KO mice persisting with prominent lymphoid aggregates in the mucosa and submucosa. No mice developed MALT lymphoma. WT mice progressed through stages of metaplasia, dysplasia, and carcinoma in situ as previously documented (10) over a course of 15 mo (Fig. 5, A and B). The gastric pH of the infected WT mice ranged from 4 to 7. T-bet KO mice maintained parietal cell populations and gastric pH of 2 or lower in all mice evaluated. They maintained architectural integrity, with only occasional metaplastic glands noted. Infected T-bet KO mice did not develop dysplasia or carcinoma in situ up to 15 mo of observed infection (Fig. 5, C and D; and summarized in Fig. 5 E).
Infected WT mice develop gastrointestinal intraepithelial neoplasia (GIN) at 15 mo. T-bet KO mice are protected. WT and T-bet KO mice were infected with H. felis for 15 mo. A, WT mice have persistent inflammation, glandular distortion with marked corpus metaplasia, parietal cell and chief cell loss, and GIN (×4). Gastric glands are seen herniating into the underlying tissue (arrow heads). B, Severe gland distortion with branching, piling up of cells, marked cellular and nuclear atypia with nuclear stratification, and altered nuclear-to-cytoplasmic ratio (×40). C, T-bet KO mice have persistent inflammation (arrowheads) with sparing of parietal (arrows) and chief cell populations (×4); better seen in D (×60) of the boxed area in C. E, Gastric injury scores are shown below the histology images. *, p < 0.02.
Infected WT mice develop gastrointestinal intraepithelial neoplasia (GIN) at 15 mo. T-bet KO mice are protected. WT and T-bet KO mice were infected with H. felis for 15 mo. A, WT mice have persistent inflammation, glandular distortion with marked corpus metaplasia, parietal cell and chief cell loss, and GIN (×4). Gastric glands are seen herniating into the underlying tissue (arrow heads). B, Severe gland distortion with branching, piling up of cells, marked cellular and nuclear atypia with nuclear stratification, and altered nuclear-to-cytoplasmic ratio (×40). C, T-bet KO mice have persistent inflammation (arrowheads) with sparing of parietal (arrows) and chief cell populations (×4); better seen in D (×60) of the boxed area in C. E, Gastric injury scores are shown below the histology images. *, p < 0.02.
Discussion
Our WT and T-bet KO mouse models of Helicobacter infection recapitulate the cytokine environment seen in patients who are susceptible to the carcinogenic effects of Helicobacter infection (WT) and are apparently resistant to the carcinogenic effects of Helicobacter infection (T-bet KO). The striking aspect of this model is the composite mucosal cytokine milieu, contributed to by gastric mucosal cells, macrophages, CD8+ T lymphocytes, and other resident cells. Together, these cells produce a cytokine environment that is difficult to predict based on the functions of T-bet alone. IFN-γ, while lower in the T-bet KO model, was still present at substantial levels within the mucosa, which was a surprising result. IFN-γ has been associated with parietal cell loss and mucous cell metaplasia in vivo (14, 21), but it is not significantly associated with Fas Ag regulation in vitro (11). Since Fas Ag-mediated loss of parietal cells precedes metaplasia in the C57BL/6 model, this implies that IFN-γ may not be acting directly in vivo, and reinterpretation of these models may be needed. We suggest that TNF-α and IL-1β, which do directly regulate Fas Ag, are responsible for Fas Ag up-regulation and parietal cell loss in WT but not T-bet KO mice.
IL-4 and IL-5 production are inhibited by T-bet through both an INF-γ-dependent and -independent mechanism (16, 22, 23), and one might expect increased levels of these two cytokines without T-bet; however, the composite mucosal environment does not reflect this, as neither cytokine was present at significant levels. Additionally, IL-13, which can be down-regulated by T-bet, independent of its effect on Th1/Th2 switch (24) would be expected to increase in the T-bet KO mouse; however, a significant paradoxical decrease in IL-13 was seen. Perhaps the most striking aspect of the gastric mucosal cytokine environment is the dramatic reduction of TNF-α and IL-1β levels in the face of architectural preservation. These two cytokines to date have shown the strongest and most consistent correlation with human H. pylori-induced gastric cancer risk, as well as risk for developing premalignant architectural changes (5, 6). Our working hypothesis is that the T- bet-mediated immune response to Helicobacter results in elevated gastric mucosal levels of IL-1β and TNF-α. IL-1β and TNF-α in turn mediate regulation and expression of cell surface Fas Ag and subsequent apoptosis of chief and parietal cells (11, 19, 20). Parietal cell loss is associated with decreased gastric acid secretion, which in turn may result in bacterial overgrowth of bowel flora in the stomach (25), although not all studies have confirmed this bacterial overgrowth (26). If present, bacterial overgrowth can further contribute to the antigenic stimulation within the stomach.
Fas Ag-mediated signaling plays a central role in the development of gastric cancer through several mechanisms. Architectural changes result in cell-cell signaling defects (12, 14, 21), which are linked to altered differentiation and dysregulated proliferation of gastric cells (21). Additionally, the chronic inflammatory environment favors the emergence of apoptotic resistant cell lineages (27, 28, 29, 30, 31, 32). Fas Ag signaling in apoptotic resistant metaplastic and dysplastic gastric cells is diverted toward proliferative signaling via activation of Erk1/2-dependent pathways (28), thus allowing Fas Ag to act as a tumor promoter. T-bet orchestrates this complex immune environment. Knockout of this one critical immune regulator dramatically impacts all the pertinent signaling pathways associated with gastric cancer, suggesting that functional differences in T-bet activity may underlie human susceptibility to gastric cancer.
In previously reported studies (33), T-bet KO mice infected with H. pylori did not develop gastric inflammation during the 24 wk of study, and they failed to develop any mucosal alterations, while transfer of CD4+ T-bet KO splenocytes into infected SCID recipients produced significant mucosal damage, similar to transfer of CD4+ WT splenocytes (33). H. pylori induces a less robust infection in mice than does H. felis, and it may account for the minimal inflammation noted in the WT mice and the lack of inflammation in the infected T-bet KO mice. SCID mice lack functional B and T cells. Transfer of T-bet KO CD4+ cells would replete only a subset of immune cells in the SCID model, which likely accounts for the differences in overall immune response and mucosal damage between these studies and our results reported herein.
Many of the severe outcomes of infectious diseases are a direct result of excessive or polarized immune activation. In the case of some pathogens, such as H. pylori, it is the immune reaction rather than the pathogen itself that is responsible for the majority of the disease process. In other situations such as inflammatory bowel disease, the inciting pathogen is not known but is postulated to be a normal commensal bacteria that is eliciting an abnormal immune response. It is the immune response that leads to ulceration, fibrosis, and predisposition to cancer.
More work has been done examining immune regulation within the small intestine and colon than has been done with the stomach, and therefore drawing from this knowledge may prove useful to advance our understanding of events in the stomach. Within the colon, T-bet has been identified as a master regulator of mucosal inflammation, and indeed our understanding of the role for T-bet in the colon has provided some understanding of perplexing inflammatory conditions. Inflammation within the intestine is normally tightly regulated; however, in a collection of diseases termed inflammatory bowel disease, this regulation is faulty and a chronic inflammatory state is perpetuated. While we think that inflammation is in response to luminal trigger, possibly bacterial, viral, or auto-Ags, the exact trigger has not been determined and is likely not the same in all patients. Animal models of disease have been instrumental in deciphering the alterations in mucosal immunity and have demonstrated that T-bet activity is pivotal in regulating Th1 predominant Crohn’s disease and Th2 predominant ulcerative colitis, where it acts to determine the balance of mucosal cytokines (34). These mouse models are very interesting because the mechanism of dysregulation of T-bet (up-regulation or down-regulation of activity) leads to vastly different cytokine environments and mucosal damage patterns. Despite the substantial cytokine differences and mucosal outcomes in the mouse model, the point of alteration is identical in both models of inflammatory bowel disease offering a potential clinically relevant target for correction of disease.
Inflammatory diseases of the stomach share similarities with inflammatory diseases of the small intestine and colon. Infection with H. pylori is associated with a mild asymptomatic gastritis in most patients. Approximately 20% of those infected will develop gastroduodenal ulcer disease while significantly fewer (0.01–3%) will develop gastric adenocarcinoma (3, 4), and even fewer will develop MALT lymphoma. Similar to inflammatory bowel disease caused by opposite immune response, gastric cancer secondary to H. pylori infection is associated with opposite immune responses; adenocarcinoma is linked to Th1 cytokines, and MALT lymphoma is linked to Th2 cytokines. The widely varying prevalence of gastric adenocarcinoma between patient populations has been attributed to differences in bacterial strains (reviewed in Ref. 35), dietary and environmental cofactors (reviewed in Ref. 36), and genetic differences dictating the intensity of the Th1 cytokine response (5, 6). To date, these genetic differences in cytokine response have been investigated at the level of individual cytokine regulation. Work in mouse models using a variety of techniques including infection in Th1 predominant (C57BL/6) and Th2 predominant (BALB/c) strains, manipulation of immune responses through concurrent infections, and use of various cytokine knockout and transgenic models fully support a dependence on a Th1 immune response for adenocarcinoma; however, the dominant cytokine responsible is not clear. Manipulation of individual cytokines such as IFN-γ (14, 21) and IL-1β (37) creates artificial immune environments that result in mucosal damage and share several features of clinical disease, but lack others, suggesting that there are pieces of the puzzle that we still need to fit in place.
In a Chinese population study, Schistosoma japonicum infection concurrent with H. pylori infection is associated with alterations in IgG responses to H. pylori along with less gastric atrophy, suggesting that coinfection alters the immune response of the host to a more favorable outcome (38). Additionally, several African populations have paradoxically low gastric cancer rates despite high infection rates with virulent strains of H. pylori. Because of these findings, animal studies have been designed in an attempt to recapitulate the coinfection status of human populations. For example, when the C57BL/6 susceptible strain of mice were infected with both a helminth and Helicobacter, the specific Helicobacter immune response was skewed toward a Th2 response, and mice were seemingly protected from mucosal damage (15). This effect was not sustained, suggesting that continual ongoing infection with Th2 skewing organisms or an inherent propensity to respond to Helicobacter infection with a blunted Th1 response would be needed for long-term effects. Also, attempts to coerce the BALB/c mouse toward a Th1 response with concurrent Toxoplasma gondii infection resulted in a similar, but not identical, pattern of mucosal injury when compared with the C57BL/6 mouse (13). These studies have raised the question of whether other genetic factors are at play, or if results are related to an incomplete recreation of the cytokine pattern using these artificial experimental models.
The search in humans for a genetic basis of disease has led to some startling and profound findings, which served as the impetus for this study. Population-based studies assessed genetic polymorphisms in cytokine genes in populations at risk for gastric cancer. Polymorphisms resulting in higher levels of the proinflammatory cytokines IL-1β or TNF-α and lower levels of the antiinflammatory IL-10 were strongly associated with a dramatic increase in H. pylori-related noncardia gastric cancer (5, 6). There was an additive effect seen with multiple polymorphisms, conveying the highest risk to patients with the most proinflammatory profile. The original landmark studies by El-Omar and colleagues (5, 6) analyzed Caucasian populations. Attempts to reproduce these findings in other populations have met with mixed results (reviewed in Ref. 39). Alhough disappointing, this is not at all surprising given the genetic diversity of patients and the varied genetic mechanisms available to modulate the host immune response. The conflicting results in non-Caucasian populations should be viewed as a challenge to broaden our search for additional regulators of the immune response important for gastric inflammatory disease outcome. Our findings strongly support a central role for T-bet regulation of the immune response associated with gastric cancer risk, and differences in T-bet regulation among patients may account for a portion of this risk.
Disclosures
The authors have no financial conflicts of interest.
Footnotes
The costs of publication of this article were defrayed in part by the payment of page charges. This article must therefore be hereby marked advertisement in accordance with 18 U.S.C. Section 1734 solely to indicate this fact.
This work was supported by National Institutes of Health Grant RO1 CA113564 (to J.H.).
Abbreviations used in this paper: KO, knockout; WT, wild type.




