Abstract
Cytokine secretion by T lymphocytes plays a central role in mounting adaptive immune responses. However, little is known about how newly synthesized cytokines, once produced, are routed within T cells and about the mechanisms involved in regulating their secretions. In this study, we investigated the role of cytoskeleton remodeling at the immunological synapse (IS) in cytokine secretion. We show that a key regulator of cytoskeleton remodeling, the Rho GTPase Cdc42, controls IFN-γ secretion by primary human CD4+ T lymphocytes. Surprisingly, microtubule organizing center polarity at the IS, which does not depend on Cdc42, is not required for cytokine secretion by T lymphocytes, whereas microtubule polymerization is required. In contrast, actin remodeling at the IS, which depends on Cdc42, controls the formation of the polymerized actin ring at the IS, the dynamic concentration of IFN-γ–containing vesicles inside this ring, and the secretion of these vesicles. These results reveal a previously unidentified role of Cdc42-dependent actin remodeling in cytokine exocytosis at the IS.
Introduction
Many neosynthesized cytokines are secreted by T lymphocytes. Their regulated production is key in mounting efficient immune responses, and their expressions are regulated by multiple events, that is, signaling by TCR and costimulatory molecules, regulated transcription, control of the mRNA stability, and epigenetic modifications. Once produced, the correct specificity, timing, and directionality of cytokine exocytosis by T cells must also be ensured to maintain the Ag specificity of the response or to elicit a broader response of the environment. However, the mechanisms regulating the very last steps of the production of cytokines, that is, their transport and exocytosis, are mostly unknown. Studies by A. Kupfer et al. (1) showed >10 y ago that cytokines were polarized toward the APC. More recently, neosynthesized cytokines secreted by activated CD4+ T cells were shown to use at least two directionally distinct pathways: one targeted toward the APC, with the other being multidirectional (2). Nevertheless, the role played by the formation of the immunological synapse (IS) in cytokine secretion is uncharacterized. In contrast, much more is known about the secretion by CD8+ T cells of cytotoxic granules. In this case, remodeling of the cytoskeleton at the IS has been shown to play a major role in both their transport and secretion. Early on, inhibitors of microtubule polymerization were shown to block cytotoxic granule polarization and secretion at the IS, indicating a critical role for the microtubule network in transport and secretion of the lytic granules at the synapse (3). More recently, docking of the centrosome at the plasma membrane has been proposed to direct secretion of cytolytic granules in the synaptic zone (4, 5). The role of actin assembly at the IS in the secretion of cytolytic granules has also been demonstrated. Indeed, several regulators of actin dynamics, such as the Wiskott–Aldrich syndrome protein (WASp), Arp2/3, and hDia1, were shown to control target cell lysis by cytotoxic granules (6–8). Moreover, two recent studies have shown that remodeling of cortical actin at the synapse controls cytolytic granules release by NK cells (9, 10).
In this study, we investigated whether cytoskeleton remodeling at the IS also plays a role in cytokine secretion by CD4+ T lymphocytes. To do so, we used a short hairpin RNA (shRNA) lentiviral approach to inhibit the expression of Cdc42, a well-known regulator of cytoskeleton rearrangement, and studied the effect this might have on cytokine secretion. Our results demonstrate that Cdc42 silencing inhibits the secretion of several cytokines, including IFN-γ, by primary T cells. This is not owing to inhibition of microtubule organizing center (MTOC) polarity, which is not required for cytokine secretion. In contrast, Cdc42 silencing inhibits the depletion of polymerized actin in the central zone of the IS and precludes the dynamic concentration and secretion of IFN-γ–containing vesicles in this zone.
Our results show that dynamic actin remodeling at the IS controls the release of cytokines by T lymphocytes, thus revealing a new step in control of cytokine secretion by T cells.
Materials and Methods
Reagents and Abs
The medium included RPMI 1640/GlutaMax, 50 μM 2-ME, 10 mM HEPES, 100 U/ml penicillin, 100 μg/ml streptomycin (Invitrogen), and 10% FCS (Biowest). Recombinant human IL-4 and GM-CSF were from BruCells. Recombinant bacterial superantigens were from Toxin Technology. Mouse mAbs against human CD1a, CD4, and IFN-γ and isotypic controls coupled to fluorochromes were from BD Biosciences and Beckman Coulter, respectively. Dynabeads human T-activator CD3/CD28 were from Dynal/Invitrogen. Colchicine and brefeldin A were from Sigma-Aldrich. The myristoylated protein kinase C-ζ pseudosubstrate was from Invitrogen. Latrunculin B was from Calbiochem. Rat Ab against human α-tubulin was from AbCys (clone YL1/2). Biotin mouse anti–IFN-γ was from SouthernBiotech (clone B27). Alexa Fluor 546 or 647 phalloidin and appropriate fluorochrome-conjugated anti-species Ig or labeled streptavidin were from Molecular Probes. Mouse mAb against human CD3 was from eBioscience (clone OKT3), and mouse mAb against human CD28 was from BioLegend (clone CD28.2).
Cells
Dendritic cells (DCs) were generated from human monocytes of healthy donors as previously described (11). CD4+ T cells were negatively selected from PBMCs, after depletion of CD14+ cells, using the T cell isolation kit II from Miltenyi Biotec. Sorted CD4+ T cells were 97–99% CD4+/CD3+. Jurkat J77 cl20 (12) and the Raji lymphoblastoid B cell line were cultured in complete medium. Jurkat J77 cl20 T cells stably transfected with a human centrin 1-GFP construct (13) were given by M. Bornens (Institut Curie, Paris, France).
This study was conducted according to the Helsinki Declaration, with informed consent obtained from the blood donors, as requested by our Institutional Review Board.
Drug treatment of T cells
Purified CD4+ T cells were treated with 50 μg/ml colchicine for 5 min at 37°C, extensively washed, and cultured for 1 h in complete medium to get rid of the excess of colchicine. T cells were then washed again and used in cocultures.
For T cell/DC cocultures the CD4+ T cells were pretreated with 12.5 μM atypical protein kinase C (PKC) inhibitor for 1 h at 37°C before 24 h cocultures in the presence of the inhibitor. For T cells/anti-CD3 plus CD28 beads activation, the inhibitor (12.5 μM) was added in the coculture for 8 h. Transduced CD4+ T cells were activated with anti-CD3 plus CD28 beads during 6 h; latrunculin B (50 nM) was added for the last 3 h.
Preparation of vectors encoding human IFN-γ-GFP
Human IFN-γ cDNA was PCR amplified using the following oligonucleotides: sense, 5′-AAAAAGCAGGCTTCACCATGAAATATACAAGTTATATC-3′, antisense, 5′-AGAAAGCTGGGTGTTACTGGGATGCTCTTCGACC-3′. It was introduced in a pEGFPN1 plasmid (Clontech Laboratories) and then PCR amplified from the plasmid with the following oligonucleotides: sense, 5′-AAAAAGCAGGCTTCACCATGAAATATACAAGTTATATC-3′ (IFN-γ), antisense, 5′-AGAAAGCTGGGTGTTACTTGTACAGCTCGTCCAT-3′ (GFP). The resulting PCR product was then cloned into the lentiviral plasmid pWXLD using the Gateway technology (Invitrogen).
Production of lentiviral stocks
Replication-defective lentivirus particles pseudotyped with the envelope G protein of vesicular stomatitis virus G were produced in HEK 293T cells cotransfected with a mix of three plasmids: psPAX2, pMD2.G (supplied by D. Trono; now Addgene plasmids 12260 and 12259, respectively) and either the plasmid pWXLD IFN-γ-GFP or pLKO.1-puro containing the Cdc42 shRNA (MISSION shRNA TRCN0000047628 [shCdc42-1], TRCN0000047630 [shCdc42-3]; Sigma-Aldrich) or non-target short hairpin control vector (MISSION shRNA SHC002 [shCtl]; Sigma-Aldrich).
Supernatants were collected 48 h later and concentrated by ultracentrifugation (120,000 × g for 90 min).
Infection of Jurkat and primary T cells
Jurkat cells were infected with virus encoding shRNA and puromycin resistance. Puromycin (2 μg/ml) was added 24 h later and infected cells were used 72 h later.
Primary CD4+ T cells were activated in 96-well plates previously coated with anti-CD3 (2.5 μg/ml), with soluble anti-CD28 (2.5 μg/ml) and recombinant IL-2 (20 U/ml). Twenty-four hours later the cells were infected with virus encoding shRNA and puromycin resistance in the presence of polybrene (10 μg/ml). Twenty-four hours later the cells were washed and resuspended in fresh medium with IL-2 (20 U/ml) and puromycin (2.5 μg/ml). The cells were used 72 h later.
Measurement of gene downregulation
Cdc42 was detected by immunoblotting of the lysates of infected cells (105 cells/experimental condition) using an anti-Cdc42 Ab (BD Transduction Laboratories) and an anti–α-tubulin Ab (Calbiochem) as control of loading. Secondary Abs coupled to HRP were from Jackson ImmunoResearch Laboratories. The Ab/Ag complexes were visualized by an ECL assay (Amersham Pharmacia Biotech) according to the manufacturer’s instructions. Intensity of the signal for each band was quantified using QuantityOne software and divided by the intensity in the loading control.
Quantitative RT-PCR
Total RNA from 6 h cocultures was isolated using RNeasy Mini kits (Qiagen) and transcribed into cDNA (Invitrogen Life Technologies). Expression of IFN-γ was analyzed using quantitative PCR with a TaqMan gene expression assay (Applied Biosystems; details of PCR protocol at http://www.appliedbiosystems.com; catalog numbers HS-99999909 for HPRT1 and HS-00989291-M1 for IFNG) and ABsolute QPCR ROX MIX from Abgene. The expression level of a gene in a given sample was represented as fold increase (2−ΔΔCt method).
Cytokine detection
Cytokine production was measured in the supernatants of cocultures by ELISA using matched paired Abs specific for IFN-γ (DuoSet; R&D Systems, Minneapolis, MN) or cytometric bead array (Becton Dickinson).
Flow cytometric analysis of cytokine expression
Cocultures were performed in the presence of brefeldin A (4 μg/ml) and cells were stained with anti-CD4 and anti-CD1a mAbs (DC/CD4+ T cell cocultures) or anti-CD4 alone (CD4+ T cells and anti-CD3 plus CD28 beads cocultures) for FACS analysis. Cells were then fixed with 3% paraformaldehyde and permeabilized with the Perm/Wash buffer from Becton Dickinson before labeling with anti–IFN-γ mAb. Stained cells were acquired on a FACSCalibur (BD Biosciences) and IFN-γ expression was measured on CD4+ cells when cells were cultured with beads or CD4+/CD1a−cells when T cells were cultured with DCs. Data were analyzed with FlowJo software (Tree Star, Ashland, OR).
Microscopy
Primary T cells were cocultured with anti-CD3 plus CD28 beads or with primary DCs pulsed with a mixture of three superantigens (staphylococcal enterotoxin E [SEE], staphylococcal enterotoxin B, and toxic shock syndrome toxin 1; 100 ng/ml) for 6 h on coverslips coated with poly-l-lysine 0.02% (Sigma-Aldrich). Cells were fixed with 3% paraformaldehyde (Carlo Erba Reagents) and incubated in PBS glycine (10 mM) to quench free aldehyde groups. Cells were then permeabilized with 0.05% saponin, stained with biotin mouse anti–IFN-γ (clone B27; SouthernBiotech), rat anti–α-tubulin (clone YL1/2; AbCys), Alexa Fluor 546 or 647 phalloidin (Molecular Probes), and then appropriate fluorochrome-conjugated anti-species Ig or labeled streptavidin (Jackson ImmunoResearch Laboratories and Molecular Probes). Coverslips were mounted onto glass slides using Fluoromount-G (SouthernBiotech). Raji B cells were loaded with the mixture of superantigens, stained with CellTracker Blue (50 μM; Invitrogen), and incubated with primary T cells or Jurkat cells for 6 h. Coverslips were processed as described before. Images were acquired with a wide-field Eclipse 90i upright microscope (Nikon) equipped for image deconvolution. Acquisition was performed using a ×100 Plan Apo VC 1.4 oil objective and a highly sensitive cooled interlined CCD camera (Roper CoolSnap HQ2). z-Dimension positioning was accomplished by a piezoelectric motor (LVDT; Physik Instrumente), and a z-dimension series of images was taken every 0.2 μm. All deconvolution processes were performed automatically using an iterative and measured point spread function-based algorithm method (Gold–Meinel) on batches of image stacks, as a service proposed by the Bioimaging Cell and Tissue Core Facility of the Institut Curie, as described in Sibarita (14). Images were analyzed with the ImageJ software. Position of the centrioles was calculated by generating a fluorescence intensity line scan profile from the synapse toward the extremity of the T cell. Quantification of IFN-γ spots at the synapse were done on thresholded 8-bit images by counting the number of spots >4 pixels using the ImageJ software “Analysis particles” function. The same threshold was applied for the shCtl and shCdc42 within one experiment. For Fig. 5F, these same thresholded images were used to determine the x and z positions of the center of mass of each IFN-γ spot normalized to the size of the synapse in x and z. We generated an average graph of all the images (71 for shCtl and 64 for shCdc42-3) showing the relative position and the size of the vesicles at the IS calculated on all images analyzed for shCtl and shCdc42-3. The size of each spot presented in Fig. 5F corresponds to the area of each vesicle.
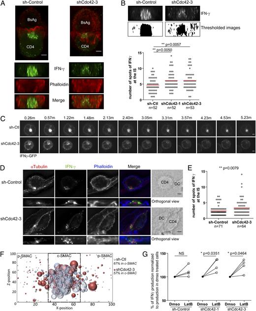
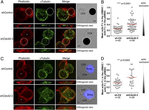
Recruitment and secretion of IFN-γ–containing vesicles at the IS requires Cdc42-dependent actin remodeling. (A–C) Jurkat cells were transduced with a control shRNA or with Cdc42-specific shRNA together with an IFN-γ-GFP–encoding vector. Raji B cells pulsed with SEE (100 ng/ml) were set on coverlips for 30 min and transduced Jurkat cells were added. Conjugates were allowed to establish for 30 min, fixed, permeabilized, and stained for polymerized actin (phalloidin, red). (A) Upper panels, Representative images of the three-dimensional projection xy plane with the transduced Jurkat cell at the bottom and Raji cell at the top. Bottom panels, Orthogonal views of the synaptic zones for the IFN-γ, phalloidin, and merge labeling. (B) Orthogonal views of IFN-γ staining at the interface of the conjugates were treated by ImageJ software. To quantify dispersion of IFN-γ labeling at the synapse, the same threshold was applied on 8-bit images of control and silenced T cells, and quantification of the number of spots >4 pixels was done using the “Analyze particles” function of ImageJ software. Dot plots of the number of spots in control and Cdc42-silenced Jurkat cells in conjugates with SEE-pulsed Raji B cells are shown. Statistical analysis was performed with an unpaired t test. (C) Dynamic imaging of IFN-γ recruitment in spread Jurkat cells. Cells were set on an anti-CD3–coated glass plates and placed at 37°C onto the chamber of a spinning disk microscope. Individual frames of the movies are shown; they present the z-plane closest to the coverslip. Movies corresponding to these images are shown in Supplemental Movies 1 and 2, respectively. Scale bars, 2 μm. (D–F) Primary CD4+ T cells expressing a control shRNA or a Cdc42-specific shRNA. (D) Cells were set on coverslips with autologous DCs pulsed with a mixture of superantigens for 6 h, fixed, permeabilized, and labeled with Abs against IFN-γ, α-tubulin, and phalloidin. Scale bars, 2 μm. Representative immunofluorescence of z-projections and orthogonal views of the synaptic zones are shown. (E) Quantification of the dispersion of IFN-γ labeling at the IS between control or Cdc42-silenced primary T cells and superantigen-pulsed DCs. Statistical analysis was performed by an unpaired t test. (F) Average graph of the thresholded images of the orthogonal views used for quantification in (E) showing IFN-γ labeling in 71 IS formed by shCtl (blue)- and 64 IS formed by shCdc42-3 (red)- expressing cells. Percentage of spots in the central zone (cSMAC) is shown. (G) Cells were activated with anti-CD3 plus CD28-coated beads for 6 h. Vehicle (DMSO) or latrunculin B (50 nM) was added for the last 3 h cocultures. IFN-γ concentrations were measured in the supernatants (ELISA) and expressed as a percentage of IFN-γ production in vehicle-treated T cells in each condition. Each dot represents one donor. Statistical analysis was performed by a paired t test.
Recruitment and secretion of IFN-γ–containing vesicles at the IS requires Cdc42-dependent actin remodeling. (A–C) Jurkat cells were transduced with a control shRNA or with Cdc42-specific shRNA together with an IFN-γ-GFP–encoding vector. Raji B cells pulsed with SEE (100 ng/ml) were set on coverlips for 30 min and transduced Jurkat cells were added. Conjugates were allowed to establish for 30 min, fixed, permeabilized, and stained for polymerized actin (phalloidin, red). (A) Upper panels, Representative images of the three-dimensional projection xy plane with the transduced Jurkat cell at the bottom and Raji cell at the top. Bottom panels, Orthogonal views of the synaptic zones for the IFN-γ, phalloidin, and merge labeling. (B) Orthogonal views of IFN-γ staining at the interface of the conjugates were treated by ImageJ software. To quantify dispersion of IFN-γ labeling at the synapse, the same threshold was applied on 8-bit images of control and silenced T cells, and quantification of the number of spots >4 pixels was done using the “Analyze particles” function of ImageJ software. Dot plots of the number of spots in control and Cdc42-silenced Jurkat cells in conjugates with SEE-pulsed Raji B cells are shown. Statistical analysis was performed with an unpaired t test. (C) Dynamic imaging of IFN-γ recruitment in spread Jurkat cells. Cells were set on an anti-CD3–coated glass plates and placed at 37°C onto the chamber of a spinning disk microscope. Individual frames of the movies are shown; they present the z-plane closest to the coverslip. Movies corresponding to these images are shown in Supplemental Movies 1 and 2, respectively. Scale bars, 2 μm. (D–F) Primary CD4+ T cells expressing a control shRNA or a Cdc42-specific shRNA. (D) Cells were set on coverslips with autologous DCs pulsed with a mixture of superantigens for 6 h, fixed, permeabilized, and labeled with Abs against IFN-γ, α-tubulin, and phalloidin. Scale bars, 2 μm. Representative immunofluorescence of z-projections and orthogonal views of the synaptic zones are shown. (E) Quantification of the dispersion of IFN-γ labeling at the IS between control or Cdc42-silenced primary T cells and superantigen-pulsed DCs. Statistical analysis was performed by an unpaired t test. (F) Average graph of the thresholded images of the orthogonal views used for quantification in (E) showing IFN-γ labeling in 71 IS formed by shCtl (blue)- and 64 IS formed by shCdc42-3 (red)- expressing cells. Percentage of spots in the central zone (cSMAC) is shown. (G) Cells were activated with anti-CD3 plus CD28-coated beads for 6 h. Vehicle (DMSO) or latrunculin B (50 nM) was added for the last 3 h cocultures. IFN-γ concentrations were measured in the supernatants (ELISA) and expressed as a percentage of IFN-γ production in vehicle-treated T cells in each condition. Each dot represents one donor. Statistical analysis was performed by a paired t test.
Time-lapse analysis
Spinning disk confocal fluorescent images were acquired on a TI-E Nikon (with a CSU22 Yokogawa spinning disk head) equipped with an oil immersion objective ×60 1.40NA, an MCL piezo stage (Prior Scientific NanoScan), and an HQ2 CCD camera (Roper Scientific). Jurkat cells expressing IFN-γ-GFP were added on anti-CD3–coated 35-mm dishes (FluoroDish) placed into a chamber on the videomicroscope at 37°C in a 5% CO2 atmosphere. Acquisition was done with Metamorph software, and every 5 s a stack of z-planes (step, 0.3 μm) was collected with the green filter set. Movies show the plan of cells in contact with the coverslip.
Statistical analysis
We used a paired two-tailed Student t test embedded in the Prism software package for the analysis of cytokine production in untreated and drug-treated T cells, or in shCtl- and shCdc42-infected T cells. We used an unpaired two-tailed Student t test for the analysis of actin exclusion and number of spots of IFN-γ quantifications.
Results
Cytokine secretion is impaired in Cdc42-silenced human primary T cells
Several studies have shown that cytokines are polarized at the IS in activated T cells. This localization might control delivery of high concentrations of cytokines in the synaptic cleft and avoid nonspecific activation of surrounding cells. In this study, we investigated the potential role of cytoskeleton rearrangement at the IS in cytokine secretion. To address this question, we reduced the expression of the small GTPase Cdc42, which has been reported to control both actin remodeling and MTOC polarity at the IS. Human primary CD4+ T cells were activated and infected with lentivirus encoding a control shRNA (shCtl) or two shRNAs (shCdc42-1 and shCdc42-3) specific for Cdc42 together with a puromycin-resistance gene. Twenty-four hours after infection, T cells were submitted to puromycin selection to select T cells expressing the shRNAs. Cells were then amplified for 3 more days. Cdc42 expression by primary T cells was reduced on average by 56 (shCdc42-1) and 76% (shCdc42-3), respectively, of the expression in the T cells expressing the control shRNA (Fig. 1A, 1B). IFN-γ concentrations measured in the supernatants of CD4+ T cells activated by anti-CD3 plus CD28-coated beads or autologous DCs pulsed with superantigens were significantly decreased (Fig. 1C). These decreased IFN-γ concentrations correlated with the level of Cdc42 silencing obtained with the two Cdc42-specific shRNAs. This was neither owing to reduced transcription of IFN-γ, as mRNA production was not reduced in T cells expressing Cdc42-specific shRNA (Fig. 1D), nor to reduced production of the IFN-γ protein production, as intracellular production of IFN-γ (percentage of IFN-γ+ T cells and mean fluorescence intensity) was not significantly decreased (Fig. 1E, Supplemental Fig. 1A, 1B). We confirmed these results in another model, that is, the Jurkat cell line that we infected with a lentivirus encoding IFN-γ-GFP under a strong promoter and with the Cdc42-specific shRNA lentivirus described above. In Jurkat cells, expression of the shCdc42-1 and shCdc42-3 shRNAs reduces Cdc42 expression to 60 and 80%, respectively (Supplemental Fig. 1A, 1B). In this model, as in primary T cells, reduced expression of Cdc42 inhibited IFN-γ secretion by Jurkat T cells activated by Raji B cells pulsed with SEE in a dose-dependent manner (Supplemental Fig. 1C). Again, the expression of the transduced IFN-γ-GFP was not affected by Cdc42-specific shRNA (Supplemental Fig. 1D). These results show that Cdc42 controls the secretion of IFN-γ by T cells but not its production.
Cytokine secretion by human primary T cells is inhibited by Cdc42 silencing. Primary CD4+ T cells were activated with anti-CD3 plus anti-CD28 and IL-2, transduced with lentiviral vectors encoding Control (shCtl)l or Cdc42-specific shRNAs (shCdc42-1 and shCdc42-3), and selected with puromycin. Cells were used 4 d after infection. (A and B) Expression of Cdc42 was checked by Western blot analysis (A) (representative experiment) and quantified as a percentage of Cdc42 expression in T cells expressing shCtl (B) (n = 10 experiments). (C–G) Transduced CD4+ T cells were activated for 6 h in the presence of anti-CD3 plus CD28-coated beads (ratio 1:1) or autologous monocyte-derived dendritic cells pulsed with three superantigens (SEE plus staphylococcal enterotoxin B plus toxic shock syndrome toxin 1) at 1 ng/ml (DCsAg). IFN-γ productions were measured in the supernatants by ELISA (C), quantitative PCR (D), or intracellular FACS analysis (E) (one representative experiment of four). MIP-1α (F) and TNF-α (G) concentrations in the supernatants were measured by cytometric bead assay. Each dot represents one donor. Statistical analysis was performed by a paired t test.
Cytokine secretion by human primary T cells is inhibited by Cdc42 silencing. Primary CD4+ T cells were activated with anti-CD3 plus anti-CD28 and IL-2, transduced with lentiviral vectors encoding Control (shCtl)l or Cdc42-specific shRNAs (shCdc42-1 and shCdc42-3), and selected with puromycin. Cells were used 4 d after infection. (A and B) Expression of Cdc42 was checked by Western blot analysis (A) (representative experiment) and quantified as a percentage of Cdc42 expression in T cells expressing shCtl (B) (n = 10 experiments). (C–G) Transduced CD4+ T cells were activated for 6 h in the presence of anti-CD3 plus CD28-coated beads (ratio 1:1) or autologous monocyte-derived dendritic cells pulsed with three superantigens (SEE plus staphylococcal enterotoxin B plus toxic shock syndrome toxin 1) at 1 ng/ml (DCsAg). IFN-γ productions were measured in the supernatants by ELISA (C), quantitative PCR (D), or intracellular FACS analysis (E) (one representative experiment of four). MIP-1α (F) and TNF-α (G) concentrations in the supernatants were measured by cytometric bead assay. Each dot represents one donor. Statistical analysis was performed by a paired t test.
Cytokines such as MIP1-α and TNF-α were shown to follow secretory pathways that were different from the secretory pathway used by IFN-γ (2). We thus studied whether secretion of these cytokines was also affected by Cdc42 silencing. MIP1-α and TNF-α secretion by primary T cells activated by anti-CD3 plus CD28-coated beads or autologous DCs pulsed with superantigens were also inhibited by Cdc42-specific shRNA (Fig. 1F, 1G). These results demonstrate that Cdc42 is required for secretion of cytokines by CD4+ T cells.
Cdc42 shRNA interference does not affect MTOC polarity in T cells
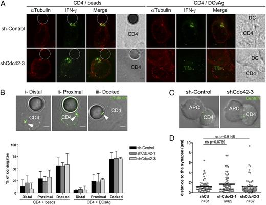
In T cells, Cdc42 has been shown to control polarization at the IS of both the actin cytoskeleton (15, 16) and the MTOC (17). We hypothesized that Cdc42 might control IFN-γ secretion by regulating MTOC polarization and IFN-γ transport at the IS. We thus imaged, in primary CD4+ T cells expressing a control- or Cdc42-specific shRNA, MTOC polarity by staining α-tubulin, which enriches at the MTOC, and IFN-γ. Reduced Cdc42 expression in primary CD4+ T cells did not grossly affect MTOC and IFN-γ recruitment at the IS (Fig. 2A). We then more carefully checked MTOC polarity by classifying the position of the MTOC, according to whether the maximal α-tubulin signal, which defined the MTOC, was distal or proximal relative to the synapse or docked at the plasma membrane of the IS (Fig. 2B). No significant difference in the positioning of the α-tubulin–defined MTOC relative to the IS was observed in T cells expressing the Cdc42-specific shRNA (Fig. 2B). We then measured the distance of the centrosome to the IS in Jurkat T cells expressing a human centrin 1-GFP forming conjugates with Raji B cells pulsed with SEE. In this model, silencing of Cdc42 with the shCdc42-3 shRNA, which reduces Cdc42 expression by 80% in Jurkat cells (Supplemental Fig. 1A, 1B), did not significantly modify the distance of the centrosome to the IS (Fig. 2C, 2D), confirming that Cdc42 is not involved in MTOC polarity in CD4+ T cells.
IFN-γ and centrosome polarity at the IS are not affected by Cdc42 silencing. (A) CD4+ human T cells expressing a control shRNA or two Cdc42-specific shRNAs were set on coverslips with anti-CD3 plus CD28-coated beads or DCs pulsed with superantigens for 6 h, fixed, permeabilized, and labeled with anti–α-tubulin and anti–IFN-γ Abs to visualize the MTOC (maximal α-tubulin signal) and localization of IFN-γ–containing vesicles. (B) Quantification of MTOC polarization observed for control and Cdc42-silenced T cells (shCtl, black; shCdc42-1, dark gray; shCdc42-3, light gray) from data analyzed blindly on three-dimensional projections of z-stacks of α-tubulin staining showing the percentage of conjugates with a distal, proximal, or docked MTOC (CD4 plus beads: n = 47 for shCtl, 28 for sh1, 45 for sh3; CD4 with SEE plus staphylococcal enterotoxin B plus toxic shock syndrome toxin 1 [DCsAg]: n = 88 for shCtl, 31 for sh1, 88 for sh3). (C and D) Raji B cells pulsed with SEE (100 ng/ml) were set on coverslips for 30 min and centrin 1-GFP Jurkat cells transduced with shCtl or shCdc42-3 were added. Conjugates were allowed to establish for 30 min and fixed. Distance of the centrin labeling to the synapse was measured and plotted in (D). Scale bars, 2 μm. Statistical analysis was performed by an unpaired t test.
IFN-γ and centrosome polarity at the IS are not affected by Cdc42 silencing. (A) CD4+ human T cells expressing a control shRNA or two Cdc42-specific shRNAs were set on coverslips with anti-CD3 plus CD28-coated beads or DCs pulsed with superantigens for 6 h, fixed, permeabilized, and labeled with anti–α-tubulin and anti–IFN-γ Abs to visualize the MTOC (maximal α-tubulin signal) and localization of IFN-γ–containing vesicles. (B) Quantification of MTOC polarization observed for control and Cdc42-silenced T cells (shCtl, black; shCdc42-1, dark gray; shCdc42-3, light gray) from data analyzed blindly on three-dimensional projections of z-stacks of α-tubulin staining showing the percentage of conjugates with a distal, proximal, or docked MTOC (CD4 plus beads: n = 47 for shCtl, 28 for sh1, 45 for sh3; CD4 with SEE plus staphylococcal enterotoxin B plus toxic shock syndrome toxin 1 [DCsAg]: n = 88 for shCtl, 31 for sh1, 88 for sh3). (C and D) Raji B cells pulsed with SEE (100 ng/ml) were set on coverslips for 30 min and centrin 1-GFP Jurkat cells transduced with shCtl or shCdc42-3 were added. Conjugates were allowed to establish for 30 min and fixed. Distance of the centrin labeling to the synapse was measured and plotted in (D). Scale bars, 2 μm. Statistical analysis was performed by an unpaired t test.
Collectively, these results show that Cdc42 does not grossly affect IFN-γ and MTOC polarity at the IS.
MTOC polarization at the immunological synapse is not required for cytokine secretion by T cells, but microtubule integrity is required
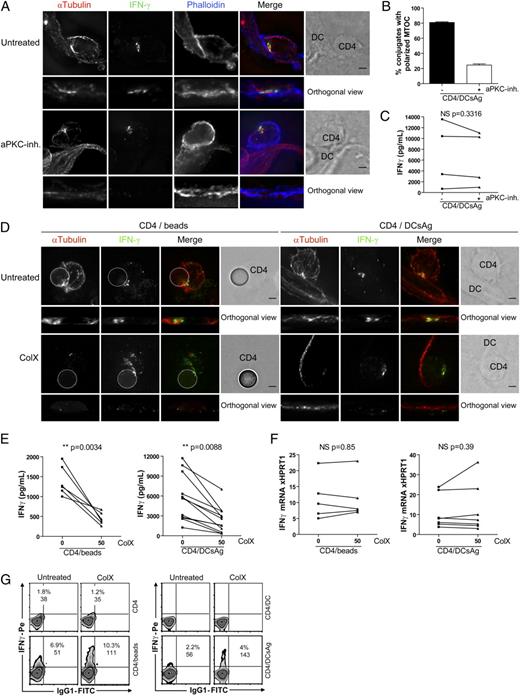
MTOC polarity at the T cell plasma membrane of the IS has been shown by others and us to control targeted transport and delivery of several stored proteins such as cytolytic granules (4), recycling membrane receptors, including TCR (18), and CD40L (19, 20). We asked whether MTOC polarity was also involved in secretion of neosynthesized cytokines. We thus inhibited the atypical PKCζ, an effector of both Rac and Cdc42 (21), which has been shown to control the polarity of cells (22), including T cells (19, 20, 23, 24), and tested the effect of this inhibition on cytokine production by T cells activated by DCs pulsed with superantigens. A cell-permeable myristoylated pseudosubstrate of atypical PKC was added to the cocultures. As shown by us previously, this inhibitor used at 12.5 μM did not affect T cell viability, T cell activation, or conjugate formation (20). In contrast, polarization of the T cell MTOC toward superantigen-pulsed DCs was inhibited (Fig. 3A, 3B). This absence of T cell MTOC polarity did not affect IFN-γ secretion by T lymphocytes activated by DCs (Fig. 3C) and even increased IFN-γ concentration in supernatants of T cells activated with anti-CD3 plus CD28-coated beads (Supplemental Fig. 2).
MTOC polarity at the synapse is not required for IFN-γ secretion by T cells, but microtubule polymerization is required. (A–C) MTOC polarity is not required for IFN-γ secretion. CD4+ human T cells were left untreated (filled squares) or pretreated for 5 min with 12.5 μM PKCζ inhibitor and cocultured in the presence of the inhibitor with autologous DCs pulsed with a mixture of SEE plus staphylococcal enterotoxin B plus toxic shock syndrome toxin 1 (DCsAg), at 100 ng/ml, for 6 h on coverslips (A, B) or for 20 h in 96-well plates (C). (A) Cells were labeled with Abs against α-tubulin, IFN-γ, and phalloidin to stain the polymerized actin. Single and merged immunofluorescences are shown. Representative three-dimensional projections of z-stacks and orthogonal views of the synaptic zones are shown. Scale bars, 2 μm. (B) Quantification of MTOC polarity in conjugates formed with untreated (filled bar) or treated T cells (open bar). (C) IFN-γ concentrations in the supernatants (ELISA). Each dot represents one donor. Statistical analysis was performed by a paired t test. (D–G) Microtubule polymerization controls IFN-γ secretion. CD4+ human T cells were left untreated (▪) or pretreated for 5 min with 50 μg/ml colchicine (ColX; ▴) and activated with anti-CD3 plus CD28-coated beads or autologous DCs pulsed with a mixture of superantigens at 100 ng/ml (CD4/DCsAg). (D) Cells were fixed after 8 h and labeled with Abs against α-tubulin and IFN-γ. Representative three-dimensional projections of z-stacks and orthogonal views of the synaptic zones are shown. Scale bar, 2 μm. (E) IFN-γ productions were measured in the supernatants by ELISA or (F) quantitative PCR or (G) intracellular FACS analysis (one representative experiment of six). Statistical analysis was performed by a paired t test.
MTOC polarity at the synapse is not required for IFN-γ secretion by T cells, but microtubule polymerization is required. (A–C) MTOC polarity is not required for IFN-γ secretion. CD4+ human T cells were left untreated (filled squares) or pretreated for 5 min with 12.5 μM PKCζ inhibitor and cocultured in the presence of the inhibitor with autologous DCs pulsed with a mixture of SEE plus staphylococcal enterotoxin B plus toxic shock syndrome toxin 1 (DCsAg), at 100 ng/ml, for 6 h on coverslips (A, B) or for 20 h in 96-well plates (C). (A) Cells were labeled with Abs against α-tubulin, IFN-γ, and phalloidin to stain the polymerized actin. Single and merged immunofluorescences are shown. Representative three-dimensional projections of z-stacks and orthogonal views of the synaptic zones are shown. Scale bars, 2 μm. (B) Quantification of MTOC polarity in conjugates formed with untreated (filled bar) or treated T cells (open bar). (C) IFN-γ concentrations in the supernatants (ELISA). Each dot represents one donor. Statistical analysis was performed by a paired t test. (D–G) Microtubule polymerization controls IFN-γ secretion. CD4+ human T cells were left untreated (▪) or pretreated for 5 min with 50 μg/ml colchicine (ColX; ▴) and activated with anti-CD3 plus CD28-coated beads or autologous DCs pulsed with a mixture of superantigens at 100 ng/ml (CD4/DCsAg). (D) Cells were fixed after 8 h and labeled with Abs against α-tubulin and IFN-γ. Representative three-dimensional projections of z-stacks and orthogonal views of the synaptic zones are shown. Scale bar, 2 μm. (E) IFN-γ productions were measured in the supernatants by ELISA or (F) quantitative PCR or (G) intracellular FACS analysis (one representative experiment of six). Statistical analysis was performed by a paired t test.
We then asked whether the microtubules were required for cytokine secretion by T lymphocytes. To address this question, human primary CD4+ T lymphocytes were left untreated or pretreated with colchicine, a tubulin-targeting drug, and cocultured with autologous monocyte-derived DCs pulsed with superantigens. As previously described (20), a 5-min pretreatment of T cells with 50 μg/ml colchicine inhibited microtubule polymerization and polarization of the T cell MTOC toward the APCs (Fig. 3D). Moreover, it did not affect T cell viability or conjugate formation with superantigen-pulsed DCs, nor did it affect T cell activation by DCs or beads (20). However, IFN-γ concentrations measured in the supernatants of CD4+ T cells activated by anti-CD3 plus CD28-coated beads or DCs pulsed with superantigens were significantly decreased in colchicine-pretreated T lymphocytes (Fig. 3E). This was not due to a decreased transcription of IFN-γ, as colchicine pretreatment did not affect the level of IFN-γ mRNA expressed by CD4+-activated T cells (Fig. 3F). The intracellular productions of IFN-γ, tested by intracellular FACS analysis, were increased in colchicine-treated T lymphocytes, probably reflecting the accumulation of IFN-γ, which is not secreted. Three-dimensional microscopy showed that IFN-γ was polarized toward the activating beads or superantigen-pulsed DCs in untreated T cells, whereas it was scattered inside colchicine-pretreated T cells (Fig. 3D). These results reveal that microtubule polymerization controls IFN-γ secretion and intracellular distribution in T cells but does not control its production.
Collectively, these results show that MTOC polarity is not mandatory for cytokine secretion but that microtubule integrity is required, suggesting that cytokine-containing vesicles traffic on microtubules.
Actin remodeling at the immunological synapse is impaired in Cdc42-silenced T cells
Formation of the IS by T and NK cells is accompanied by dynamic actin remodeling in the synaptic zone that has been involved in the control of cytolytic granule secretion by CTLs and NK cells (5, 8–10). We thus examined actin remodeling at the IS in Cdc42-silenced CD4+ T cells. Conjugates formed between primary CD4+ T cells expressing a control shRNA or the shRNA specific of Cdc42 and anti-CD3 plus CD28-coated beads or Raji B cells pulsed with superantigens were fixed, permeabilized, and labeled with phalloidin to measure actin polymerization. Cdc42 silencing did not grossly affect actin polymerization induced by anti-CD3 plus CD28-coated beads or B cells pulsed with superantigens as revealed by FACS analysis of phalloidin labeling (data not shown). In contrast, when examined by three-dimensional microscopy, actin remodeling at the IS of Cdc42 silenced CD4+ T cells forming conjugates with anti-CD3 plus CD28-coated beads or with B cells was affected (Fig. 4A, 4C). Whereas in control cells actin formed a ring at the periphery of the IS with a partial clearance of polymerized actin in the central zone, in Cdc42-silenced cells the center of the IS showed less depletion of polymerized actin. To quantify the depletion of polymerized actin in the central zone of the synapse, we performed orthogonal three-dimensional views of the synaptic zones and line-scan analyses of the phalloidin fluorescence intensities in the orthogonal projections. Then, the ratio between the mean fluorescence intensity between the two distal phalloidin peaks at the periphery of the cell and the maximal phalloidin intensity in the distal were calculated (method described in Supplemental Fig. 3A–C). This quantification confirmed that Cdc42-silenced primary CD4+ T cells forming conjugates with anti-CD3 plus CD28-coated beads (Fig. 4B) or superantigen-pulsed B cells (Fig. 4D) showed less depletion of polymerized actin in the center of the IS than did T cells expressing the control shRNA. The same defect was observed in Jurkat T cells (Supplemental Fig. 3D) forming conjugates with B cells pulsed with SEE.
Cdc42 controls actin depletion at the IS. CD4+ human T cells expressing a control shRNA or a Cdc42-specific shRNA were set on coverslips with anti-CD3 plus CD28-coated beads (A, B) or Raji B cells (blue) pulsed with a mixture of superantigens (BsAg) (C, D) for 6 h, fixed, permeabilized, and labeled with anti–α-tubulin Abs and phalloidin. (A and C) Representative merge immunofluorescence projections and orthogonal views of the synaptic zones are shown. Quantification of the phalloidin labeling, that is, polymerized actin inside the synapse versus in the peripheral zone, was performed on orthogonal projections of the synaptic zones as described in Supplemental Fig. 3. Dot plots of the ratios are shown in (B) and (D). Scale bars, 2 μm. Statistical analysis was performed by an unpaired t test.
Cdc42 controls actin depletion at the IS. CD4+ human T cells expressing a control shRNA or a Cdc42-specific shRNA were set on coverslips with anti-CD3 plus CD28-coated beads (A, B) or Raji B cells (blue) pulsed with a mixture of superantigens (BsAg) (C, D) for 6 h, fixed, permeabilized, and labeled with anti–α-tubulin Abs and phalloidin. (A and C) Representative merge immunofluorescence projections and orthogonal views of the synaptic zones are shown. Quantification of the phalloidin labeling, that is, polymerized actin inside the synapse versus in the peripheral zone, was performed on orthogonal projections of the synaptic zones as described in Supplemental Fig. 3. Dot plots of the ratios are shown in (B) and (D). Scale bars, 2 μm. Statistical analysis was performed by an unpaired t test.
These results demonstrate that in CD4+ T cells Cdc42 is involved in depletion of polymerized actin in the central zone of the IS.
Recruitment and secretion of IFN-γ–containing vesicles at the immunological synapse requires Cdc42-dependent actin remodeling
Our results show that Cdc42 controls cytokine secretion by T cells and depletion of polymerized actin from the central zone of the IS. To get some insight into how this defect might affect IFN-γ secretion, we imaged by three-dimensional microscopy both actin polymerization and IFN-γ distribution in Cdc42-silenced T cells. This was first performed in the Jurkat T cells expressing the IFN-γ-GFP chimeric molecule described in Supplemental Fig. 1. In Jurkat T cells expressing the control shRNA, IFN-γ-GFP–containing vesicles were concentrated at the center of the IS wherein polymerized actin was less dense (Fig. 5A). In contrast, in Cdc42-silenced Jurkat T cells, as previously shown, polymerized actin was denser in the synaptic zone (Supplemental Fig. 3D) and IFN-γ–containing vesicles were dispersed in the contact zone (Fig. 5A). To quantify this dispersion, we first counted the number of IFN-γ+ spots on thresholded images. Cdc42-specific shRNAs expression by Jurkat T cells induced a significant increase in the number of these spots at the IS (Fig. 5B), reflecting a more dispersed distribution of the IFN-γ–containing vesicles. We then dynamically followed the traffic of IFN-γ at the IS. Jurkat cells expressing IFN-γ-GFP and control or Cdc42-specific shRNA were put on anti-CD3–coated glass slides to mimic synapse formation as described in Bunnell et al. (25). In control T cells, most of the IFN-γ–containing vesicles gathered in the center of the cell as soon as the cell touched the slide. Peripheral IFN-γ–containing compartments then seemed to progressively move toward the central zone, where the fluorescence diminished, suggesting IFN-γ secretion (Fig. 5C, Supplemental Video 1). In contrast, in Cdc42-silenced T cells, IFN-γ–containing vesicles did not concentrate in the center of the cell, with some vesicles rolling around the periphery of the T cells (Fig. 5C, Supplemental Video 2). These results suggest that actin remodeling at the IS controls the transport of IFN-γ–containing vesicles in the center of the IS, wherein polymerized actin is less dense. We then imaged polymerized actin and IFN-γ in control and Cdc42-silenced primary T cells forming conjugates with superantigen-pulsed DCs. In control T cells, IFN-γ–containing vesicles were present in the zone of the synapse that was low in polymerized actin and gathered around the MTOC. As shown previously (Fig. 4), actin was not depleted from the center of the IS, although the MTOC was polarized (Fig. 5D). This absence of depletion was accompanied by a more dispersed labeling of IFN-γ at the IS (quantified in Fig. 5E). To quantify this dispersion, we first counted the number of IFN-γ+ spots on thresholded images as in Fig. 5B. As for Jurkat cells, Cdc42-specific shRNA expression by primary T cells induced a significant increased in the number of IFN-γ+ spots at the IS (Fig. 5E). To better analyze the dispersion of IFN-γ vesicles in the IS, we generated an average graph of all of the images (71 for shCtl and 65 for shCdc42-3) showing the relative position and the size of the vesicles at the IS, and we calculated the percentages of vesicles in the central and peripheral zones of the synapse in shCtl (blue)- and shCdc42-3 (red)-expressing T cells (Fig. 5F). Reduced expression of Cdc42 correlated with a reduced percentage of IFN-γ vesicles in the central zone of the IS (shCtl, 67%; shCdc42-3, 57%). The total area covered by IFN-γ spots in shCtl (1940 μm2, i.e., 27 μm2/cell) and shCdc42-3 (1898 μm2, i.e., 29 μm2/cell) expressing T cells was not significantly different, confirming that IFN-γ production was equivalent in both conditions. Dispersion of the IFN-γ labeling was also observed in Cdc42-silenced T cells forming conjugates with anti-CD3 plus CD28-coated beads (Supplemental Fig. 4).
The results obtained so far suggested that Cdc42 controls actin depolymerization at the IS and that actin depolymerization is required for cytokine release. We thus reasoned that a mild depolymerization of actin in Cdc42-silenced T cells might restore cytokine secretion. Low concentrations of latrunculin B, which inhibits actin polymerization, were added for the last 3 h of 6 h cocultures of silenced primary CD4+ T cells and anti-CD3 plus CD28 beads. Addition of latrunculin B did not significantly affect IFN-γ secretion by CD4+ T cells expressing the control shRNA, but it enhanced IFN-γ secretion in Cdc42-silenced T cells (Fig. 5G).
Collectively, these results show that Cdc42-dependent dynamic actin remodeling is required for the recruitment of IFN-γ–containing vesicles at the center of the IS and for their secretion.
Discussion
Remodeling of the microtubule and actin cytoskeletons has been shown in many cell types to control exocytosis events. It has particularly been involved in cytotoxic T lymphocytes in controlling the transport and release of cytotoxic granules. In this study, we bring evidence that Cdc42-dependent actin rearrangement at the synapse controls cytokine release by human primary T cells.
Cdc42 has long been involved in actin remodeling (26) and specifically shown to control actin rearrangement at the IS (16, 27). It has also been involved in centrosome reorientation in many cell types (22), including cells from the immune system (17, 28, 29). In our model, silencing of Cdc42 inhibited correct actin depletion at the IS but did not grossly affect polarity or translocation of the MTOC at the synapse (Fig. 2). These results are in agreement with the study from Gomez et al. (30), which shows that silencing of Cdc42 in Jurkat cells does not affect MTOC polarity at the synapse. The differences observed in the different cell types might reflect the fact that Rac plays a more important role in MTOC polarity in T lymphocytes (30). Actin clearance at the IS has been shown by Griffiths and colleagues (5) to control MTOC polarity in CTLs. In this study, although actin remodeling at the IS is perturbed by Cdc42 silencing, MTOC polarity is not affected. The remaining dynamic actin remodeling at the synapse might thus be sufficient to drive MTOC translocation. Alternatively, MTOC polarity might be differentially regulated in CD4+ and CD8+ T cells.
We then tested the role of MTOC polarity in cytokine secretion by T lymphocytes. MTOC polarity in T cells is strictly controlled by TCR triggering (5, 12, 31, 32). We (Ref. 20 and this study) and others (19) have shown that the ancestral polarity regulator PKCζ is a key regulator of this polarity. We thus inhibited PKCζ to directly assess the role of MTOC polarity in cytokine secretion. Our results demonstrate that in contrast to cytolytic granule secretion, MTOC polarity is not required for cytokine secretion by T lymphocytes (Fig. 2). They also suggest that when CD4+ T cells interact with several APCs simultaneously, cytokines will be delivered to all of the cells as long as actin remodeling is correct in the contact zone. This does not mean that all APCs in contact will receive the same signal. Indeed, we and others recently showed that T cell polarity at the IS is required for CD154-dependent IL-12 secretion by DCs (19, 20). Moreover, the high concentration of cytokines achieved in the synapse, toward which the T cell is polarized, will contribute to a stronger stimulus in the “targeted” APCs.
Our results show that actin remodeling controls cytokine exocytosis. What could be the mechanisms underlying this control?
A recent study by Föger et al. (33) showed in mast cells that coronin 1a and coronin 1b, two actin regulatory molecules, control cytokine secretion without affecting their production. In that study, the authors suggest that the actin regulatory function of coronin controls vesicular trafficking in mast cells. Indeed, actin-dependent processes have been involved in the transport of vesicles from the Golgi to the plasma membrane (34), a cellular transport route, which is used for exocytosis of newly synthesized cytokines. Inhibition of the F-actin dynamic in T cells may thus preclude normal trafficking of cytokines to the plasma membrane. Alternatively, in the absence of correct IS formation, F-actin could form a network layer beneath the plasma membrane constituting a physical barrier that excludes the access of vesicles containing cytokines to release sites. This has been shown for release of secretory granules in chromaffin cells (35). Clearance of the F-actin from the central zone of the IS, which as shown in this study requires Cdc42, would thus facilitates access of cytokine-containing vesicles in the central zone of the IS. These results are supported by the fact that low concentrations of latrunculin B partially reverse the inhibitory effects of Cdc42 shRNA interference on cytokine secretion (Fig. 5). However, total clearance of F-actin is probably not required for cytokine secretion. Instead, dynamic formation of new actin filaments in the center of the synapse could be important for the cytokine-containing vesicles to approach the plasma membrane and/or dock to be released. Such mechanisms have been involved recently in secretion of lytic granule by NK cells (9, 10). This dynamic remodeling of actin in the center of the IS would depend on Cdc42 in CD4+ T cells thus controlling cytokine release. This could be specific to CD4+ T cells or cytokine release, as Wülfing and colleagues (36) have shown that a dominant negative mutant of Cdc42 does not inhibit granule secretion by CD8+ cytotoxic T cells.
What are the downstream regulators of Cdc42-dependent actin remodeling at the IS?
WASp, which binds to Cdc42 (37) and links TCR signaling to actin cytoskeleton remodeling (27, 38), is a good candidate. It has been shown to control secretion downstream of Cdc42 in neuroendocrine cells through generation of new actin filament (39). Moreover, WASp knockout mouse T cells show the same defect as the Cdc42-interfered T cells we report in this study: they produce normal amounts of IFN-γ but do not secrete it (40). The Cdc42/Rac effector IQGAP1 (41) is another candidate. It is involved in the control of secretion by β pancreatic and breast carcinoma cells (42, 43), as well as in cytolytic granule exocytosis by NK cells (44). It is also a key regulator of actin/cytoskeleton dynamics (45) and, similar to polymerized actin, is excluded from the central zone of the IS formed between cytotoxic T cells and APCs (4) or CD4+ T cells and APCs (A. Bohineust, K. Chemin, and C. Hivroz, unpublished observations). Moreover, IQGAP1 by binding both actin-regulating proteins (46, 47) and proteins binding the plus end of microtubules (41) might connect the two cytoskeletons. This connection has been shown by Alcover and colleagues (48) to control TCR microcluster dynamics at the IS. It might also control concentration of IFN-γ in the synaptic zone and cytokine secretion, which are shown here to require both microtubule and actin dynamic remodeling. Focusing on downstream effectors of Cdc42 molecules that regulate actin remodeling at the IS shall provide insights on how cytokine secretion by T cells is regulated.
In summary, our data show that actin remodeling at the central role of the synapse is involved in cytokine release by CD4+ T cells, revealing a new checkpoint in cytokine secretion.
Acknowledgements
We thank A.-M. Lennon and S. Amigorena for discussions and P. Benaroch for reagents and discussions. We thank V. Fraisier from the Imagerie Cellulaire et Tissulaire (Pict-IBiSA, Institut Curie, Paris, France) and L. Sengmanivong and the Nikon Imaging Center at the Institut Curie–Centre National de la Recherche Scientifique for technical assistance with microscopy, M. Bornens for reagent, Gael Sugano for help with analyzing microscopy data, and F.-X. Gobert for lentiviral preparations. We thank Julien Papadacci for helping with quantification of images.
Footnotes
This work was supported by INSERM, the Fondation pour la Recherche Médicale, and the Association pour la Recherche contre le Cancer. K.C. was supported by the Fondation pour la Recherche Médicale. A.B. and M.T. were supported by the Ligue contre le Cancer.
The online version of this article contains supplemental material.
References
Disclosures
The authors have no financial conflicts of interest.


![FIGURE 2. IFN-γ and centrosome polarity at the IS are not affected by Cdc42 silencing. (A) CD4+ human T cells expressing a control shRNA or two Cdc42-specific shRNAs were set on coverslips with anti-CD3 plus CD28-coated beads or DCs pulsed with superantigens for 6 h, fixed, permeabilized, and labeled with anti–α-tubulin and anti–IFN-γ Abs to visualize the MTOC (maximal α-tubulin signal) and localization of IFN-γ–containing vesicles. (B) Quantification of MTOC polarization observed for control and Cdc42-silenced T cells (shCtl, black; shCdc42-1, dark gray; shCdc42-3, light gray) from data analyzed blindly on three-dimensional projections of z-stacks of α-tubulin staining showing the percentage of conjugates with a distal, proximal, or docked MTOC (CD4 plus beads: n = 47 for shCtl, 28 for sh1, 45 for sh3; CD4 with SEE plus staphylococcal enterotoxin B plus toxic shock syndrome toxin 1 [DCsAg]: n = 88 for shCtl, 31 for sh1, 88 for sh3). (C and D) Raji B cells pulsed with SEE (100 ng/ml) were set on coverslips for 30 min and centrin 1-GFP Jurkat cells transduced with shCtl or shCdc42-3 were added. Conjugates were allowed to establish for 30 min and fixed. Distance of the centrin labeling to the synapse was measured and plotted in (D). Scale bars, 2 μm. Statistical analysis was performed by an unpaired t test.](https://aai.silverchair-cdn.com/aai/content_public/journal/jimmunol/189/5/10.4049_jimmunol.1200156/4/m_1200156fig02.jpeg?Expires=1708468264&Signature=YUjJ2Vt261l7aRFu89f700NMOJ3tkMO9Hve64DgK9aO6gdZe2P84J3hgHyO2AUQV9DgnkmN8Aq9MX-mYtbRlZeUcuT4EueQFmqiSwYjWSuPsnXeJd4LXue5WTy-J7j3CCD2~SsAfUynaYseKENbkyjzGawvaXdpQoQ5dZAkaWYnmZ74PYg-WY9obboViW3i5w2t8bdJk0u89Y4B8IBdUNzTw2akJxQDHpZ4~oxg2~9sJeFyAAd1Z9Wh5mYDws4dkBd8JlHUqUFSiIhevYNQbhXXC2VhEoEq07seFafXgl1rKB8grYKdFKcXymWyCkYR0NBfPz225fbqfzcF5ayKqcw__&Key-Pair-Id=APKAIE5G5CRDK6RD3PGA)

