Abstract
The IL-1 family members IL-36α (IL-1F6), IL-36β (IL-1F8), and IL-36γ (IL-1F9) and the receptor antagonist IL-36Ra (IL-1F5) constitute a novel signaling system that is poorly understood. We now show that these cytokines have profound effects on the skin immune system. Treatment of human keratinocytes with IL-36 cytokines significantly increased the expression of CXCL1, CXCL8, CCL3, CCL5, and CCL20, potent chemotactic agents for activated leukocytes, and IL-36α injected intradermally resulted in chemokine expression, leukocyte infiltration, and acanthosis of mouse skin. Blood monocytes, myeloid dendritic cells (mDC), and monocyte-derived DC (MO-DC) expressed IL-36R and responded to IL-36. In contrast, no direct effects of IL-36 on resting or activated human CD4+ or CD8+ T cells, or blood neutrophils, could be demonstrated. Monocytes expressed IL-1A, IL-1B, and IL-6 mRNA and IL-1β and IL-6 protein, and mDC upregulated surface expression of CD83, CD86, and HLA-DR and secretion of IL-1β and IL-6 after treatment with IL-36. Furthermore, IL-36α–treated MO-DC enhanced allogeneic CD4+ T cell proliferation, demonstrating that IL-36 can stimulate the maturation and function of DC and drive T cell proliferation. These data indicate that IL-36 cytokines actively propagate skin inflammation via the activation of keratinocytes, APC, and, indirectly, T cells.
Introduction
Global definition of the human transcriptome has revealed many new members of the IL-1 family, including IL-36α (formerly known as IL-1F6) (1), IL-36β (IL-1F8) (2, 3), IL-36γ (IL-1F9) (2, 4), and IL-36Ra (IL-1F5), which, along with the IL-36R (IL-1Rrp2), constitute an independent IL-1 signaling system analogous to IL-1α, -1β, -1Ra, and IL-1RI. We (5) and others (1, 4) have recently demonstrated that IL-36Ra, IL-36α, IL-36β, and IL-36γ mRNA and protein are elevated in skin plaques of the inflammatory disease psoriasis, and keratinocytes (KC) were identified as the predominant source (4, 5). Emerging evidence from mouse models indicates a critical role for the IL-36 system in skin inflammation (1, 6, 7), and a crucial role for human IL-36Ra was recently highlighted, when missense mutations in IL36RN that affect the function of IL-36Ra were identified and associated with a form of generalized pustular psoriasis (8, 9). Despite these advances, the regulation and function of these new IL-1 family members are poorly understood. Given the overexpression of the IL-36 cytokines in psoriasis, we investigated the effects of IL-36 on KC, T cells, and APC to better understand the role of IL-36 in inflammatory disease. We demonstrate that IL-36 cytokines induce expression of neutrophil, T cell, and myeloid cell chemokines by KC and IL-36α–induced immune cell infiltration in vivo in mice. Although human T cells or neutrophils did not express IL-36R, nor respond to exogenous IL-36 cytokines, monocytes, myeloid dendritic cells (mDC), and monocyte-derived DC (MO-DC) expressed both prerequisite receptors for IL-36, IL-1RAcP, and IL-36R, and responded to IL-36 by becoming activated and producing inflammatory cytokines. When cultured with allogeneic CD4+ T cells, IL-36α–treated MO-DC were also more potent drivers of allogeneic MLRs, demonstrating that IL-36 can stimulate the maturation and function of DC. These data are consistent with the notion that IL-36 contributes to skin inflammation by acting on KC, DC, and indirectly upon T cells to drive tissue infiltration, cell proliferation, and keratinocyte hyperproliferation, all hallmarks of lesional psoriatic skin.
Materials and Methods
Keratinocyte culture
Normal human keratinocyte (NHK) cultures were established in serum-free medium optimized for high-density keratinocyte growth (medium 154; Invitrogen/Cascade Biologics, Portland, OR) using sun-protected skin of three healthy adults, as previously described (10). NHK were used for experiments in the second or third passage. All cells were plated at 5000 cells/cm2 and maintained to 4 d postconfluence. Cultures were then starved of growth factors in unsupplemented medium M154 for 24 h before use. Experiments were carried out under low calcium (0.1 mM) conditions. Cultures were stimulated with truncated (11) recombinant human 1–2000 ng/ml IL-36α, β, or γ, IL-36Ra, or IL-1β (R&D Systems, Minneapolis, MN). Informed consent was obtained from all subjects, under protocols approved by the Institutional Review Board of the University of Michigan. This study was conducted in compliance with good clinical practice and according to the Declaration of Helsinki Principles.
Mouse experiments
A total of 5 μg murine rIL-36α or BSA was injected intradermally into two separate dorsal regions of skin of 7-wk-old CD1 mice. Animals were treated every other day for 10 d. A circle was drawn around each site after every injection to ensure similar location between days. Prior to the first injection, the animal was anesthetized with isoflourane and shaved. Four hours after the last injection, animals were euthanized and each injection site was harvested. During tissue harvesting, each injection site (∼circular in nature) was dissected from the rest of the dorsal skin and then bisected. Half of each site was put into either 10% neutral buffered formalin and tissue freezing medium for histological and immunostaining analyses, as previously described in detail (12). The other half was placed into tubes and snap frozen, and total RNA was extracted. Quantitative RT-PCR (QRT-PCR) was performed and data were normalized to the housekeeping gene 18S and expressed as fold change over BSA-treated controls (n = 4). H&E staining and immunohistochemistry using Abs specific for CD4, CD8, CD11b, CD11c (BD Biosciences, San Jose, CA), and F4/80 (eBioscience, San Diego, CA) were also completed, as described previously (12).
IL-36R expression
CD4+ and CD8+ T cells and CD14+ monocytes were prepared from PBMC by negative immunomagnetic selection (Miltenyi Biotec). Cells were typically >85% pure cultures, as determined by flow cytometry using Abs against CD3, CD4, CD8, and CD14, as detailed below. Human mDC were magnetically isolated from PBMC using two rounds of positive selection for CD1c+ cells after negatively selecting CD19+ cells using the BDCA-1 microbead kit from Miltenyi Biotec. mDC were assessed to be 95% viable lineage (CD3, CD14, CD16, CD19, CD20, CD56) negative, HLA-DR+CD11c+CD123− phenotype by flow cytometry. Total RNA was isolated from CD4+ T cells, CD8+ T cells, mDC, and monocytes, and QRT-PCR for IL-1R1, IL-1RAcP, and IL-36R was carried out, as described below. Surface expression of IL-1R1, IL-1RAcP, and IL-36R was detected by incubating cells with biotinylated polyclonal goat anti-human IL-1R1 (BAF269), IL-1RAcP (BAF676), and IL-36R (IL-1Rrp2, BAF872) Abs (all 50 μg/ml; R&D Systems) on ice for 30 min. After washing in FACS buffer, 25 μl allophycocyanin-labeled streptavidin (BD Biosciences), anti-CD3 (S4.1; Invitrogen), CD4 (S3.5; Invitrogen), CD8 (SK1; BD Biosciences), and CD14 (M5E2; BioLegend, San Diego, CA) were added for 30 min at 4°C in the dark, and, after two more washes, cells were analyzed with a LSR2 flow cytometer (BD Biosciences).
T lymphocyte stimulation
CD3+ T cells were isolated from PBMC as above and incubated for 24 h with either unstimulated or 1 μg/ml CD3 and CD28 Abs (BD Biosciences), together with 10 ng/ml IL-1β or 100 ng/ml truncated IL-36α, β, or γ. Cultures were subsequently prepared for QRT-PCR or flow cytometry. Cells were washed in FACS buffer (PBS + 0.5% BSA + 0.1% NaN3) and then stained with Abs against CD3 (clone S4.1; Invitrogen), CD4 (OKT-4; eBioscience), CD8 (SK1; BD Biosciences), CLA (HECA-452; BioLegend), CD103 (Ber-ACT8; BioLegend), CD25 (BC96; BioLegend), CD69 (FN50; BioLegend), CD54 (HCD54; BioLegend), and appropriate isotype-matched control Abs for 30 min at 4°C in the dark. After two washes in FACS buffer, cells were analyzed using a BD LSR2 flow cytometer gating on lymphocytes expressing CD3 and CD4 or CD8.
Neutrophil isolation and stimulation
Neutrophils were isolated from heparinized peripheral blood, as previously outlined (13). IL-1R1, IL-1RAcP, and IL-36R expression was determined by FACS, as described above, gating on small, highly granular cells expressing CD11b. Neutrophil stimulations were performed with 10 ng/ml IL-1β; 100 ng/ml truncated IL-36α, β, or γ; 100 ng/ml LPS (Sigma-Aldrich); or 50 ng/ml PMA (Sigma-Aldrich) for 4 h. Conditioned media were assayed for CXCL-8 and TNF-α by ELISA (Duoset; R&D Systems).
APC isolation and culture
CD14+ monocytes and BDCA-1 mDC were prepared from PBMC as above and stimulated for 12 h in round-bottom 96-well culture plates in complete RPMI 1640 plus 10% FCS supplemented with 100 ng/ml IL-36α, β, or γ. Cells were analyzed by flow cytometry using Abs against CD83 (HB15e; BioLegend), CD86 (FUN-1; BD Biosciences), HLA-DR (LN3; eBioscience), and appropriate isotype controls. Alternatively, total RNA was prepared from cells and assessed for cytokine transcripts using QRT-PCR, as detailed below. Conditioned media were analyzed for IL-1β and IL-6 using ELISA Duosets from R&D Systems.
DC generation and culture
Human MO-DC were generated in vitro, as previously described (14). Briefly, CD14+ monocytes were magnetically isolated from PBMC (Miltenyi Biotec) and cultured in RPMI 1640 containing 10% FCS supplemented with GM-CSF (100 ng/ml) and IL-4 (20 ng/ml) (R&D Systems). Cultures were fed on day 4. On day 8, DC were seeded into poly(2-hydroxyethyl-methacrylate) (Sigma-Aldrich)-coated 12-well culture plates (Corning Costar) at a density of 1 million cells/well and stimulated for 2 d with a mixture containing IL-6 (10 ng/ml), PGE2 (0.1 μM), along with IL-1β (10 ng/ml), IL-36α, IL-36β, or IL-36γ (100 ng/ml) in 500 μl complete RPMI 1640. DC phenotype was analyzed by flow cytometry, as described above, using Abs against CD86 (FUN-1; BD Biosciences), HLA-DR (LN3; eBioscience), CD1a (HI149; eBioscience), CD11c (3.9; eBioscience), CD123 (6H6; BioLegend), and appropriate isotype control Abs.
Allogeneic MLR
MO-DC were matured as above with 10 ng/ml IL-6, 0.1 μM PGE2, 10 ng/ml IL-1β, and 100 ng/ml IL-36α, and, then on day 10, they were incubated with 200,000 allogeneic CD4+ T cells at ratios of 1:20 and 1:100 for 5 d in round-bottom 96-well culture plates (NUNC). In some cases, T cells were prelabeled with CFSE (Invitrogen) before culture, as directed by manufacturer. Cells were stained with anti-CD3 (HIT3a; BioLegend) for 20 min at 4°C and then treated with 200 μl 1 μg/ml DAPI (Invitrogen) in PIPES buffer for 10 min at room temperature. Cells were analyzed by flow cytometry gating on lymphocytes with the DAPI detection channel set for linear detection.
Real-time QRT-PCR
Total RNA was isolated (RNeasy mini kit; Qiagen) and reverse transcribed (High Capacity cDNA Transcription kit; Applied Biosystems, Foster City, CA), and transcripts were quantified using a 7900HT Fast Real-Time PCR system (Applied Biosystems) normalizing to the expression of the housekeeping gene ribosomal protein, large, P0 (RPLP0). TaqMan primer sets were purchased from Applied Biosystems. IL1A Hs00174092_m1, IL1B Hs00174097_m, IL-6 Hs00174131_m1, CXCL1 Hs00236937_m1, CXCL9 Hs00171065_m1, CXCL10 Hs00171042_m1, CXCL11 Hs00171138_m1, CCL1 Hs00171072_m1, CCL2 Hs00234140_m1, CCL3 Hs00234142_m1, CCL4 Hs99999148_m1, CCL5 Hs00174575_m1, CCL7 Hs00171147_m1, CCL20 Hs00355476_m1, IL-1R1 Hs00168392_m1, IL1RAP Hs00370506_m1, IL1rL2 (IL36R) Hs00909276_m1, and RPLP0 Hs99999902_m1 were used in this study.
Statistical analysis
Data were tested for normality, and statistical significance was calculated using two-way Student t tests, Mann–Whitney U test, or one-way ANOVA with Dunnet’s posttest, as appropriate, using GraphPad Prism version 5.00 for Windows (GraphPad Software, San Diego, CA).
Results
IL-36 induces chemokine expression by human keratinocytes
We have previously shown that human keratinocytes are an important source of antimicrobial peptides when exposed to IL-36 family cytokines (5). We now demonstrate that IL-36 cytokines induce the robust expression of chemokines that drive immune cell chemotaxis. Treatment of NHK with IL-36α, IL-36β, or IL-36γ led to significant increases in the macrophage (CCL3, CCL4, CCL5, CCL2, CCL17, and CCL22), T cell chemoattractants (CCL20, CCL5, CCL2, CCL17, and CCL22), and the neutrophil chemokines (CXCL8, CCL20, and CXCL1) (Fig. 1A). Moreover, all IL-36R agonists, but not IL-36Ra, dose dependently induced CXCL1, CCL5, CXCL8, and CCL20 mRNA expression and CXCL8 and CCL20 protein secretion by NHK (Fig. 1B–E), demonstrating that, following IL-36 exposure, KC are potent sources of macrophage, T cell, and neutrophil chemokines.
IL-36 cytokines induce chemokine expression by keratinocytes. Four-day postconfluent NHK were stimulated for 24 h with recombinant truncated IL-36R ligands or IL-1β. Total RNA was extracted, mRNA transcripts were quantified by QRT-PCR relative to the housekeeping gene RPL-P0, and conditioned medium was assayed by ELISA. A total of 100 ng/ml IL-36α, IL-36β, and IL-36γ significantly induced T cell chemokine mRNA expression compared with untreated cells, mean ± SD (n = 3) (A). IL-36α, IL-36β, IL-36γ, and IL-1β, but not IL-36Ra, dose dependently induced CXCL1, CCL5, CXCL8, and CCL20 mRNA expression (B–E) and CXCL8 and CCL20 protein secretion (F and G) by keratinocytes. Mean ± SD (n = 3). Statistical significance indicated by *p < 0.05, **p < 0.01, or ***p < 0.001, Student t test.
IL-36 cytokines induce chemokine expression by keratinocytes. Four-day postconfluent NHK were stimulated for 24 h with recombinant truncated IL-36R ligands or IL-1β. Total RNA was extracted, mRNA transcripts were quantified by QRT-PCR relative to the housekeeping gene RPL-P0, and conditioned medium was assayed by ELISA. A total of 100 ng/ml IL-36α, IL-36β, and IL-36γ significantly induced T cell chemokine mRNA expression compared with untreated cells, mean ± SD (n = 3) (A). IL-36α, IL-36β, IL-36γ, and IL-1β, but not IL-36Ra, dose dependently induced CXCL1, CCL5, CXCL8, and CCL20 mRNA expression (B–E) and CXCL8 and CCL20 protein secretion (F and G) by keratinocytes. Mean ± SD (n = 3). Statistical significance indicated by *p < 0.05, **p < 0.01, or ***p < 0.001, Student t test.
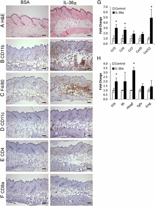
IL-36 induces myeloid cell infiltration of skin concomitant with chemokine and growth factor induction
Given that IL-36 induced chemokine expression by human KC in vitro, we sought to test whether this drove cell chemotaxis in vivo by injecting 5 μg murine rIL-36α or BSA intradermally into CD1 mice every other day for 10 d. By day 10, the mouse skin did not appear erythemic or thickened, but, histologically, a mild acanthosis and an increase in eosinophilic dermal collagen were evident along with a very pronounced leukocytic infiltrate (Fig. 2A). The infiltrate was striking in its largely granulocytic character (Fig. 2B–D) with few T cells (Fig. 2E, 2F). QRT-PCR revealed that IL-36 treatment induced significant fold changes in a number of leukocyte chemokines, including CCL3, CCL4, and CXCL12 (Fig. 2G), as well as IL-1β and HB-EGF (Fig. 2H; all p < 0.05, fold change versus BSA control, n = 4), further supporting a role for IL-36 in facilitating immunocyte recruitment to inflamed skin.
IL-36 induces myeloid cell infiltration of skin concomitant with chemokine and growth factor induction. A total of 5 μg murine rIL-36α or BSA was injected intradermally into CD1 mice every other day for 10 d. Back skin was harvested, snap frozen, and processed for RNA and histochemistry. IL-36α treatment led to acanthosis and an increase in eosinophilic dermal collagen (A) and striking infiltration of granulocytes (CD11b) (B), macrophages (F4/80) (C), DC (CD11c) (D), CD4+ cells (E), but not CD8+ cells (F). These changes were accompanied by increases in chemokines (G) and cytokines/growth factors (H). Mean ± SEM (n = 4 mice). Statistical significance indicated by *p < 0.05 (two-tailed t test). Scale bar, 100 μm.
IL-36 induces myeloid cell infiltration of skin concomitant with chemokine and growth factor induction. A total of 5 μg murine rIL-36α or BSA was injected intradermally into CD1 mice every other day for 10 d. Back skin was harvested, snap frozen, and processed for RNA and histochemistry. IL-36α treatment led to acanthosis and an increase in eosinophilic dermal collagen (A) and striking infiltration of granulocytes (CD11b) (B), macrophages (F4/80) (C), DC (CD11c) (D), CD4+ cells (E), but not CD8+ cells (F). These changes were accompanied by increases in chemokines (G) and cytokines/growth factors (H). Mean ± SEM (n = 4 mice). Statistical significance indicated by *p < 0.05 (two-tailed t test). Scale bar, 100 μm.
APC, but not T cells, express IL-36R
Given that KC expressed chemokines in response to IL-36 treatment and IL-36 injected intradermally led to leukocyte infiltration, we questioned whether T cells, neutrophils, and APC would also respond to IL-36 cytokines. First, we examined whether isolated blood CD4+ T cells, CD8+ T cells, monocytes, or mDC expressed IL-36R. After magnetic separation, giving >85% pure CD4+ T cells, CD8+ T cells, monocytes, and >95% mDC from PBMC, we isolated RNA and performed QRT-PCR. Along with monocytes, mDC, and primary keratinocytes (NHK), both subsets of T cells expressed the IL-1R1 (Fig. 3A) and IL-1RAcP (Fig. 3B) receptors. IL-36R transcripts were not detectable from CD4+ or CD8+ T cells (Fig. 3C); however, monocytes, mDC, and NHK expressed IL-36R mRNA (Fig. 3C). To demonstrate cell surface IL-36R expression, we stained T cells, monocytes, and mDC with Abs against IL-36R and used flow cytometry to show that IL-36R was most strongly expressed on the surface of mDC (Fig. 3D), which was ∼10-fold more than on monocytes (Fig. 3E) and absent from the surface of T cells (Fig. 3F). In contrast to myeloid cells, blood neutrophils showed no expression of IL-36R and failed to respond to IL-36 treatment (Supplemental Fig. 1). Likewise, neither resting nor CD3/CD28-activated CD4+ nor CD8+ T cells responded to IL-36 treatment (Supplemental Fig. 2).
Human APC, but not T cells, express the IL-36R. KC, monocytes, and mDC express IL-1R1, IL-1RAcP, and IL-36R mRNA transcripts; however, CD4+ and CD8+ T cells were found not to express IL-36R as determined by QRT-PCR (A–C) (n = 4 donors). Flow cytometric analysis reveals that, in contrast to mDC (D and G) and monocytes (E, F, and H), T cells (E, F, and I) did not express surface IL-36R. Filled histogram: anti–IL-36R; dotted histogram: isotype control Ab. Flow cytometry gating shown in (D)–(F). Flow cytometry data are representative of six donors.
Human APC, but not T cells, express the IL-36R. KC, monocytes, and mDC express IL-1R1, IL-1RAcP, and IL-36R mRNA transcripts; however, CD4+ and CD8+ T cells were found not to express IL-36R as determined by QRT-PCR (A–C) (n = 4 donors). Flow cytometric analysis reveals that, in contrast to mDC (D and G) and monocytes (E, F, and H), T cells (E, F, and I) did not express surface IL-36R. Filled histogram: anti–IL-36R; dotted histogram: isotype control Ab. Flow cytometry gating shown in (D)–(F). Flow cytometry data are representative of six donors.
IL-36 activates and induces APC to secrete IL-1 and IL-6
Given that monocytes and mDC expressed the prerequisite receptors for IL-36, we stimulated monocyte and mDC cultures with 100 ng/ml IL-36α, β, or γ, and, in contrast to T cells (Supplemental Fig. 2), monocytes were activated and significantly upregulated expression of IL-1A, IL-1B, and IL-6 mRNA (Fig. 4A–C) after 12 h of IL-36 treatment, which is supported by significantly increased IL-1β and IL-6 protein secretion into the conditioned medium (Fig. 4D, 4E). Likewise, mDC treated with IL-36 cytokines for 12 h significantly increased the proportion of cells with strong CD83, CD86, and HLA-DR expression, as determined flow cytometrically (Fig. 5A–C). Moreover, when conditioned media were assayed by ELISA, both IL-1β and IL-6 were significantly elevated in IL-36α– and β–treated mDC cultures (Fig. 5D, 5E). Of note is that the responses of mDC to IL-36 were not mediated by the secreted IL-1β or IL-6 (Supplemental Fig. 3).
IL-36 cytokines induce monocyte expression of inflammatory cytokines. Monocytes treated with 100 ng/ml IL-36 cytokines for 12 h upregulate IL-1A, IL-1B, and IL-6, cytokine transcripts (n = 9 donors) (A–C). Significantly elevated levels of IL-1β and IL-6 were detected in the conditioned culture media after 12 h (n = 6 donors) (D and E). Bars, mean ± SEM. Statistical significance indicated by *p < 0.05, **p < 0.01, ***p < 0.001 (two-tailed t test).
IL-36 cytokines induce monocyte expression of inflammatory cytokines. Monocytes treated with 100 ng/ml IL-36 cytokines for 12 h upregulate IL-1A, IL-1B, and IL-6, cytokine transcripts (n = 9 donors) (A–C). Significantly elevated levels of IL-1β and IL-6 were detected in the conditioned culture media after 12 h (n = 6 donors) (D and E). Bars, mean ± SEM. Statistical significance indicated by *p < 0.05, **p < 0.01, ***p < 0.001 (two-tailed t test).
IL-36 cytokines facilitate mDC activation and cytokine secretion. Ex vivo blood mDC treated with 100 ng/ml IL-36 cytokines for 12 h upregulate CD83 (A), CD86 (B), and HLA-DR (C) expression (FACS, n = 6 donors) and secretion of IL-1B (D) and IL-6 (E) (ELISA, n = 9). Bars, mean ± SD. Statistical significance indicated by *p < 0.05, ***p < 0.001 (two-tailed t test).
IL-36 cytokines facilitate mDC activation and cytokine secretion. Ex vivo blood mDC treated with 100 ng/ml IL-36 cytokines for 12 h upregulate CD83 (A), CD86 (B), and HLA-DR (C) expression (FACS, n = 6 donors) and secretion of IL-1B (D) and IL-6 (E) (ELISA, n = 9). Bars, mean ± SD. Statistical significance indicated by *p < 0.05, ***p < 0.001 (two-tailed t test).
DC matured in the presence of IL-36 have increased activity
Given that primary blood mDC typically compose only 2% of the PBMC population isolated from blood, we sought to use in vitro MO-DC as a surrogate APC. We cultured MO-DC and found IL-36R was expressed 6-fold more abundantly by CD1a+CD14−MO-DC than precursor CD1a−CD14+ monocytes (Fig. 6A). We next examined whether IL-36 could alter MO-DC phenotype during maturation. After 6 d in culture, immature MO-DC were stimulated for 48 h with a cytokine mixture that promoted DC maturation in an IL-1–dependent manner. A combination of IL-6 and PGE2 with IL-1β, IL-36α, IL-36β, or IL-36γ significantly activated DC, as illustrated by 3-fold increases in CD86 with IL-36α (p = 0.014; Fig. 6B), and significantly increased proportions of DC strongly expressing HLA-DR compared with IL-6 and PGE2 alone (p = 0.03; Fig. 6C).
MO-DC have enhanced IL-36R expression, and IL-36 cytokines facilitate DC maturation, driving T cell proliferation. MO-DC expressed 6-fold more IL-36R mRNA than their monocyte precursors (QRT-PCR, n = 6) (A). When cultured with 10 ng/ml IL-6 + 0.1 μM PGE2 and either 10 ng/ml IL-1β or 100 ng/ml IL-36α, MO-DC significantly increased their surface expression of CD86 (B) and HLA-DR (C), indicative of DC maturation (48 h, bars, mean ± SEM, n = 8 donors). MO-DC matured with 10 ng/ml IL-6 + 0.1 μM PGE2 and 10 ng/ml TNF-α, 10 ng/ml IL-1β, or 100 ng/ml IL-36α drove allogeneic T cell proliferation, as determined by CFSE dye dilution (D and E) or DAPI labeling of DNA (F). No DC (T cells only), 1:100 DC:T cell ratio, 1:20 DC:T cell ratio showing mean ± SEM (n = 4 donors). Statistical significance indicated by *p < 0.05, **p < 0.01, ***p < 0.001 compared with IL-6 + PGE2 (two-tailed t test).
MO-DC have enhanced IL-36R expression, and IL-36 cytokines facilitate DC maturation, driving T cell proliferation. MO-DC expressed 6-fold more IL-36R mRNA than their monocyte precursors (QRT-PCR, n = 6) (A). When cultured with 10 ng/ml IL-6 + 0.1 μM PGE2 and either 10 ng/ml IL-1β or 100 ng/ml IL-36α, MO-DC significantly increased their surface expression of CD86 (B) and HLA-DR (C), indicative of DC maturation (48 h, bars, mean ± SEM, n = 8 donors). MO-DC matured with 10 ng/ml IL-6 + 0.1 μM PGE2 and 10 ng/ml TNF-α, 10 ng/ml IL-1β, or 100 ng/ml IL-36α drove allogeneic T cell proliferation, as determined by CFSE dye dilution (D and E) or DAPI labeling of DNA (F). No DC (T cells only), 1:100 DC:T cell ratio, 1:20 DC:T cell ratio showing mean ± SEM (n = 4 donors). Statistical significance indicated by *p < 0.05, **p < 0.01, ***p < 0.001 compared with IL-6 + PGE2 (two-tailed t test).
Having established that IL-36 could alter DC phenotype, we began to assess whether this translated into altered DC function. Thus, we cocultured IL-36–matured DC with allogeneic T cells at DC:T cell ratios of 1:20 (Fig. 6D, 6E) and 1:100 (Fig. 6D) for 5 d and monitored T cell proliferation using CFSE and DAPI labeling of T cells. Compared with basal stimulation with IL-6 and PGE2 only, DC matured with IL-1β or IL-36α induced significant increases in T cell proliferation in the allogeneic MLR in terms of both CFSE dilution (Fig. 6D, 6E) and increased numbers of superdiploid cells (Fig. 6F).
Discussion
Skin inflammation such as that seen in psoriasis results from the multipartite interactions of, at least, KC, T cells, APC, fibroblasts, and endothelial cells (15, 16). In this scenario, KC are not passive and may initiate inflammatory cascades following physical stress, UV irradiation, or infection (17, 18). KC are a major source of IL-36 cytokines, particularly during inflammation (1, 4, 5, 19, 20). We now demonstrate that KC, when treated with IL-36 cytokines, are potent sources of chemokines active upon T cells and APC (Fig. 1), and this activity was not mediated via IL-1β or IL-6 (Supplemental Fig. 3). In the current study, we focused on the use of the recently characterized, highly active truncated IL-36 cytokines, which have been shown to bind IL-36R and activated cells in the ng/ml range (11). The truncated IL-36α and β were at least 40-fold more potent than their full-length counterparts (11) (Supplemental Fig. 4). Interestingly, truncated IL-36γ appears to be equipotent to IL-36α and β, yet the full-length version showed little to no agonist activity on KC or APC.
Many of the inflammatory mediators induced by IL-36 have been demonstrated to be overexpressed in psoriatic skin lesions, including CCL3, CCL5, CXCL1, CXCL8, and CCL20 (5, 21, 22), suggesting that IL-36 may contribute to the chemokine environment of inflamed skin. Indeed, intradermal injection of murine rIL-36α to mouse skin resulted in chemokine expression, leukocyte infiltration, and inflammation (Fig. 2). These data are in accord with an earlier model of murine IL-36 expression, in which murine IL-36α was overexpressed in basal mouse epidermis under the control of a K14 promoter (1), resulting in a similar pattern of chemokine induction and cell infiltration. Moreover, IL-36 cytokines were shown to be essential mediators in the KC-APC crosstalk required to drive imiquimod-induced psoriasiform dermatitis in mice (7). In this case, stimulation of APC via TLR7 leads to KC activation and IL-36R–dependent release of chemokines such as CXCL1 and CCL20 and recruitment of macrophages and neutrophils to the skin (7).
KC expressing the above chemokines recruits T cells, APC, and neutrophils into the skin; thus, we next examined whether IL-36 was also active on these immune cells. It was recently shown that mouse CD4+ but not CD8+ T cells respond to murine IL-36 in an IL-36R–dependent manner (6) and that IL-36 synergizes with IL-12 to drive a potent murine Th1 response (23). Unlike mouse cells, however, human CD4+ and CD8+ T cells do not express IL-36R nor respond to IL-36 either when resting or under CD3/CD28 stimulation (Supplemental Fig. 2). We show, however, that APC such as CD14+ monocytes, CD1a+CD14− MO-DC, and CD1c+ mDC do express IL-36R (Figs. 2, 6). Recently, Mutamba et al. (24) demonstrated expression of IL-36R (IL-1RL2) by MO-DC and plasmacytoid DC, but not undifferentiated monocytes, mDC, or bulk PBMC, and these cells responded to IL-36R ligation. We show that MO-DC express approximately six times more IL-36R transcript than their precursor monocytes (Fig. 6A), and this expression is further doubled in blood mDC (Fig. 2C).
DC activated with a mixture of IL-6, PGE2, and either IL-1β or IL-36α upregulated CD86 and HLA-DR surface expression (Fig. 6B, 6C). This is in accordance with the ability of murine IL-36 cytokines to activate mouse bone marrow–derived DC (6) and IL-36β to drive maturation of MO-DC (24). This is a key observation as HLA-DR presents peptide Ags to CD4+ T cells and CD86 binds to CD28 on the T cell, providing the costimulatory second signal essential for priming naive T cells. We next investigated the functional consequences of IL-36 activity on DC and incubated IL-36–matured DC with allogeneic CD4+ T cells. DC treated with IL-36 promoted increased T cell proliferation (Fig. 6D–F), which strongly suggests that IL-36 may influence T cell function in skin via its effects on APC. Moreover, we demonstrate that IL-36 cytokines induce APC expression of IL-1β and IL-6 (Figs. 4, 5), which potentially contributes to a pro-Th17 environment (25). The epidermal hyperproliferation in psoriasis is now thought to be driven, at least in part, by IL-17– and IL-22–secreting T cells infiltrating the skin (26). In humans, naive CD4+ T cells differentiate into mature Th17 cells in vitro in response to IL-1β, IL-6, and/or IL-23 (26–28), and we have recently demonstrated that IL-1β and/or IL-23 can promote the survival and expansion of Th17 cells from the memory T cell pool (29). This is a particularly important observation, as memory T cells are likely to be the most important T cell subset for the maintenance of psoriasis (30, 31).
A form of generalized pustular psoriasis (GPP) has recently been associated with missense mutations in IL36RN (8, 9) that affect the structure and function of IL-36Ra protein, leading to unrestrained IL-36 agonist activity. Although GPP has a strong neutrophil component, we could not demonstrate IL-36R expression by neutrophils or direct activity of IL-36 on neutrophils (Supplemental Fig. 1). GPP is also associated with increased activation of Th17 and Th22 cells during the disease flare (32), and, interestingly, Th17 T cells, immature DC, γδ T cells, and neutrophils all express CCR6 (21, 33, 34); we show that IL-36 is a strong inducer of the CCR6 ligand CCL20 expression by KC (Fig. 1), consistent with a role for the IL-36–CCL20–CCR6 axis in driving psoriatic inflammation (7).
IL-1 family members have also been shown to act synergistically with other cytokines and growth factors (35), and, in this respect, IL-36α, β, and γ are no exception, with synergism reported with IL-17A, TNF-α (36), and IL-1β (37) extending the potential of IL-36 in the skin, particularly on psoriatic keratinocytes (38). This may be particularly relevant given that psoriasis is now considered a mixed Th1/Th17 disease and that IL-36 upregulates the expression of a number of IFN-γ–induced chemokines.
Our data presented in this study, together with our previous findings (5), data from others using mice (1, 7), and studies of the IL36RN mutations associated with pustular psoriasis (8, 9), all suggest an important role for the IL-36 system in skin inflammation: IL-36 induces KC expression of antimicrobial peptides, matrix metalloproteinases (5), and chemokines (Fig. 1), which recruit T cells and APC. IL-36 activates APC and biases their cytokine profile (Figs. 4–6) (27), which further drives the inflammatory response. Taken together, these data are consistent with the notion that IL-36 cytokines, which we have shown to be overexpressed in psoriasis (5), can influence the phenotype and function of DC, with subsequent changes in T cell activity.
Acknowledgements
We thank Ann Pero and Sarah Laponsa for subject recruitment and Dr. Xianying Xing, Marybeth Riblett, and Candace Matheny for excellent technical assistance.
Footnotes
This work was supported by the American Skin Association, the Dermatology Foundation, a Babcock Foundation endowment, and National Institutes of Health Grant K01 AR064765 (to A.J.); National Institutes of Health Grant K08 AR060802, the National Psoriasis Foundation, the Taubman Medical Research Institute (as Kenneth and Frances Eisenberg Emerging Scholar), and a Babcock Foundation endowment (to J.E.G.); and a grant from the National Psoriasis Foundation and National Institutes of Health Grants P30AR39750, P50AR05508, R01AR063437, and R01AR062546 (to N.L.W.).
The online version of this article contains supplemental material.
References
Disclosures
The authors have no financial conflicts of interest.





