Abstract
The cytokine IL-21 has been shown to influence immune responses through both costimulatory effects on effector T cells and opposing inhibitory effects on T regulatory cells (Tregs). To distinguish the effect of IL-21 on the immune system from that of its effect on Tregs, we analyzed the role of IL-21/IL-21R signaling in mice made genetically deficient in IL-2, which exhibit a deficit in IL-2–dependent Foxp3 regulatory T cells and suffer from a fatal multiorgan inflammatory disease. Our findings demonstrate that in the absence of IL-21/IL-21R signaling, Il2−/− mice retained a deficiency in Tregs yet exhibited a reduced and delayed inflammatory disease. The improved health of Il2−/−Il21r−/− mice was reflected in reduced pancreatitis and hemolytic anemia and this was associated with distinct changes in lymphocyte effector populations, including the reduced expansion of both T follicular helper cells and Th17 cells and a compensatory increase in IL-22 in the absence of IL-21R. IL-21/IL-21R interactions were also important for the expansion of effector and memory CD8+ T cells, which were critical for the development of pancreatitis in Il2−/− mice. These findings demonstrate that IL-21 is a major target of immune system regulation.
Introduction
The two γ-chain family cytokines IL-2 and IL-21 lie adjacent to each other on chromosome 3 in mice and on chromosome 4 in humans. Both cytokines are produced by CD4+ T cells following TCR ligation, yet IL-2 and IL-21 are autocrine growth factors for distinct T helper subsets with regulatory and effector functions, respectively. IL-2 is a survival factor for peripheral Foxp3-expressing T regulatory cells (Tregs), which are vital for regulating immune responses and tolerance to self-tissues (1). Conversely, IL-21 plays an important role in the survival/differentiation of several CD4+ T effector subsets (2) and supports the long-term survival of CD8+ T cells during chronic viral infections (3, 4). Additionally, IL-21 has been reported to have an inhibitory effect on Tregs (5). Consistent with these actions on lymphocyte populations, IL-21 contributes to the development of inflammatory and autoimmune diseases in several animal models such as colitis, systemic lupus erythematosus, experimental autoimmune encephalomyelitis, type 1 diabetes, and rheumatoid arthritis (2). However, the mechanisms explaining the function of IL-21 in autoimmune disease pathogenesis remain unknown.
Our current understanding of inflammatory diseases affecting organs of the digestive system proposes a combination of genetic predisposition and environmental interactions with the mucosa and immune system. Mice made genetically deficient in IL-2 or its high-affinity receptor chain (CD25) suffer from a fatal inflammatory disease characterized by ulcerative colitis and hemolytic anemia (6). This fatal multiorgan inflammatory disease is caused by a failure to regulate effector T cells due to a deficit of IL-2–dependent Foxp3 Tregs (1, 6, 7). The observation that germ-free Il2−/− mice have delayed and milder intestinal infiltration indicates that multiorgan inflammatory disease results from a defect in peripheral tolerance mechanisms toward mucosal commensal Ags (8, 9). The caveat inherent in the study of gastrointestinal disorders in germ-free mice is that commensal micro-organisms are required for the normal development of the gastrointestinal mucosal immune system (10). However, analyses of germ-free Il2−/− mice with monocultures of specific commensals support the notion that gut microbes modulate colitis (11, 12). Previous studies have shown that mice genetically deficient in both CD25 and CD4+ T cells lack the severe colitis present in Cd25−/− mice and that treatment of Il2−/− mice with anti-CD40L mAbs prevented disease (6, 13). Thus, CD4+ T cells are responsible for the destructive immune infiltration in mucosal tissues in Il2−/− mice. However, the mechanisms underlying CD4+ T cell–mediated disease in Il2−/− mice remain unknown.
Previous studies have demonstrated that IL-2–dependent Tregs are necessary for the maintenance of immune tolerance to self-tissues. In this study we provide evidence that the CD4+ T helper cytokine IL-21 plays an important role in the fatal inflammatory disease in Il2−/− mice and is thus a central target of immune regulation.
Materials and Methods
Mice
Il21r−/− mice (Dr. Warren Leonard, National Institutes of Health) at C57BL/6 N6 and backcrossed to N10 for experimental use; the resulting mice were >99.8% C57BL/6 as determined by a genome scan of 600+ markers. C57BL/6 (N10) Il2+/− mice, purchased from The Jackson Laboratory (Bar Harbor, ME), were crossed onto Il21r+/− in-house to create wild-type (WT), Il21r−/−, Il2−/−, and Il21r−/−Il2−/− mice. PCR was performed to determine whether the Il2−/− mice carried the IL-21 allele from 129 mice, as described previously (14). Animals were housed under specific pathogen-free conditions and handled in accordance with the Australian Code of Practice for the Care and Use of Animals for Scientific Purposes.
RNA was isolated from splenocytes using using TRIzol reagent (Invitrogen) and quantitation of IL-21 mRNA was performed on a 2100 Bioanalyzer (Agilent Technologies, Santa Clara, CA) as described previously (14).
RNA sequencing
RNA from MACS-purified CD4+ T cells was extracted and DNAse treated using the RNeasy kit (Qiagen) according to the manufacturer’s instructions. RNA integrity was assessed as >9 on the Bioanalyzer RNA nanochip (Agilent Technologies). Strand-specific RNA sequencing libraries of poly(A) RNA from 500 ng total RNA were generated using the SureSelect strand-specific RNA library prep for Illumina multiplexed sequencing (Agilent Technologies). Libraries were sequenced (100 bp, paired-end) on the Illumina 2500 platform at the Centre for Clinical Genomics (Garvan Insititue) and FASTQ files were analyzed.
Sequencing data (20,256,959 reads for WT and 33,582,698 for knockout) were checked for sequencing quality by FastQC (http://www.bioinformatics.babraham.ac.uk/projects/fastqc/) and species purity by FastQ Screen (http://www.bioinformatics.babraham.ac.uk/projects/fastq_screen/). Next adaptor and poor quality sequences were removed using Trim Galore (∼5% reads removed) (http://www.bioinformatics.babraham.ac.uk/projects/trim_galore/). Mapping and differential gene expression was performed as previously shown (15). Briefly, sequences were mapped to mm10 by Tophat2 (16) using Ensembl (GRC38) gene annotations; 90% of sequences were mapped. Gene level count data were assessed using HTSeq count (http://www-huber.embl.de/users/anders/HTSeq/doc/overview.html) against Ensembl genes (GRC38) and analyzed by DESeq (17) in the R statistical environment version 3.0 (http://www.r-project.org/). Count dispersion was estimated from global counts data for single replicates as indicated in the DESeq manual. Significant differential expression was established by an adjusted p value of <0.05.
Flow cytometry
Abs purchased from BD Biosciences were α4β7-PE, B220-PerCP-Cy5.5, CD11b-PE, CD11c-allophycocyanin, CXCR5-biotin, GL7-FITC, granzyme B–PE, IL-10–allophycocyanin, Syndecam-1–PE. Abs purchased from eBioscience were CD3–Pacific Blue, CD4–Alexa Fluor 750, CD8-PerCP-Cy5.5, CD19–Pacific Blue, CD44-allophycocyanin, Foxp3–Alexa Fluor 647, ICOS-PE, IL-17A–FITC, INF-α–FITC, TNF-α–PE, and IL-22–PE (BioLegend). IL-21R-Fc chimera (R&D Systems) was used to detect IL-21. Cells were acquired using a FACSCanto II cytometer (BD Biosciences, San Diego, CA) and analyzed using FlowJo (Tree Star, Ashland, OR). Intracellular cytokines were detected either directly ex vivo or after 4 h stimulation at 37°C (5 ng/ml PMA, 1 μg/ml ionomycin, and GolgiStop; 1:1000; BD Biosciences) using the BD Biosciences intracellular staining kit according to the manufacturer’s instructions.
Treg suppression assay
CD4+CD25+ Tregs or CD4+CD25− T responder populations were sorted from lymphocyte preparations to high purity using a FACSAria. T responders were labeled with 0.05 M CFSE. Plate-bound APCs were obtained by incubation of RBC-depleted splenocytes on 15-cm cell culture plates at 37°C for 2 h. 137Cs source (2 Gy) irradiated APCs (8 × 104) with 0.5 μg/ml soluble anti-CD3 (145.2C11) were cultured with 1 × 105 T responders and a 1:1 to 1:16 ratio of T responders to Tregs. Cells were analyzed after 72 h by flow cytometry, and the proportion of divided CFSE+CD4+ T responders was calculated by gating on diluted CFSE peaks.
Histology
Five-micrometer frozen Tissue-Tek OCT tissue sections were fixed in ice-cold acetone. Primary biotin-, FITC-, or Alexa Fluor 647–conjugated Abs were incubated in 100 μl at room temperature for 2 h followed by amplification with streptavidin-Cy3 (Jackson ImmunoResearch Laboratories) for 1 h. Tissues in 10% formalin were embedded in paraffin and 4-μm sections were stained with H&E by the Garvan Institute histology facility. Sections were analyzed using a Leica DM RBE TCS confocal microscope or Leica light microscope (Leica Microsystems, Wetzlar, Germany). The images were processed using the Leica acquisition and analysis software and Adobe Photoshop, version 7 (Adobe Systems, San Jose, CA).
ELISA and cytokine detection
Serum Ig was captured using anti-mouse Ig(H+L) (2 μg/ml; SouthernBiotech). Analytes were detected using alkaline phosphatase–conjugated anti-mouse IgG, IgG1, IgG2b, IgG2c, IgM, and IgA (1:2000 SouthernBiotech) compared with standards for each isotype (1 μg/ml; SouthernBiotech). IgE was analyzed using the BD Biosciences kit according to the manufacturer’s instructions. Cytokine bead array analysis of serum was carried out using a FlowCytomix mouse Th1/Th2 multiplex including an IL-22 simplex assay from Bender MedSystems. IL-21 was detected with IL-21R Fc chimera (R&D Systems) followed by an anti-human IgG1 secondary Ab using the BD Biosciences intracellular immunostaining kit according to the manufacturer’s instructions. RNA was isolated from splenocytes following stimulation with anti-CD3 and anti-CD28 mAbs using using TRIzol reagent (Invitrogen) and quantitation of IL-21 mRNA performed on a 2100 Bioanalyzer as described previously (14).
Intracolonic lymphocyte isolation
Peyer’s patches were removed and the colon was cut longitudinally and cleaned. Tissues were incubated in 20 ml intraepithelial lymphocyte (IEL) stripping buffer (1 mM EDTA, 1 mM DTT, 5% FCS, 50 μg/ml penicillin-streptomycin in PBS) for 20 min at 37°C while shaking. Lymphocytes in the supernatant were isolated by Percoll (GE Healthcare) gradient. To isolate the lamina propria lymphocytes (LPLs), the tissue remaining after treatment with stripping buffer was digested in 15 ml 5 mg/ml collagenase D (Roche) and 0.05% DNAse (Promega) in lymphocyte isolation media. These cells were run on a Percoll gradient and analyzed.
Pancreatitis scoring
Routine H&E staining for determination of organ inflammation was performed on 4-μm paraffin-embedded sections using standard procedures. Histopathological evaluation of pancreatic lesions was performed by light microscopy. The severity of inflammation was determined by blinded scoring of the degree of inflammatory cell infiltration into tissues as described by Kanno et al. (18) (0, none; 1, mild; 2, moderate; 3, moderate and diffuse or severe but focal; 4, severe and diffuse).
Statistical analysis
Data were analyzed using Prism software (Graphpad Software, San Diego, CA) to calculate an unpaired, two-way Student t test, with an F test to compare variances. Analysis of more that two groups was performed using one-way ANOVA followed by Bonferroni’s posttest.
Results
Elevated IL-21 production in Il2−/− mice
The genes for IL-2 and IL-21 sit adjacent to each other on chromosome 3 in mice and on chromosome 4 in humans, and a wide body of literature from genome-wide association studies has identified the Il2/Il21 locus as a susceptibility locus for chronic inflammatory and autoimmune diseases. Il2−/− mice were examined to determine whether IL-2 deficiency influenced IL-21 production. To obtain a broad, unbiased view of the transcriptome of CD4+ T cells from Il2−/− mice, we performed RNA sequencing on unstimulated CD4+ T cells purified from the spleens of both Il2−/− and WT mice. CD4+ T cells from Il2−/− mice demonstrated increased levels of IL-21 mRNA relative to WT CD4+ T cells (Fig. 1A). Differential gene expression analyses revealed that Il21 was one of the top 10 most highly expressed genes in Il2−/− CD4+ T cells, relative to WT CD4+ T cells (Fig. 1B). The fact that strong transcription of Il21 was observed in Il2−/− mice is made all the more notable by the fact that the source of RNA was unstimulated CD4+ T cells. Confirmed by quantitative PCR, IL-21 mRNA levels were greater in Il2−/− CD4+ T cells 2 h after stimulation with mAbs against CD3 and CD28 in vitro (Fig. 1C). This finding correlated with an increased fraction of IL-21–producing CD4+ T cells relative to WT CD4+ T cells ex vivo (Fig. 1D).
Increased production of IL-21 in Il2−/− mice. (A) Strand-specific RNAseq read coverage of IL-21 locus in WT and IL-2 knockout cells. Read depth mapped to each strand at the IL-2 locus was visualized in the University of California, Santa Cruz genome browser (http://www.ncbi.nlm.nih.gov/bioproject/231953). The IL-21 gene, transcribed from the negative strand (RefSeqGene), has greater coverage in knockout cells (32-fold; adjusted p of <0.003). (B) Fold change of gene expression in IL-2 knockout T cells relative to WT for significantly upregulated genes (adjusted p of <0.05). Fold change was calculated from normalized HTseq counts data for each gene. (C) IL-21 mRNA levels from WT and Il2−/− splenocytes ex vivo (T0) and after 2 h stimulation with soluble anti-CD3 and anti-CD28 mAbs measured by real-time PCR. IL-21 mRNA expression is presented as fold modulation compared with WT ex vivo levels; data are representative of two experiments where n = 3–8 mice. (D) Percentage IL-21–producing CD44hiCD4+ T cells in the spleen of Il2−/− mice and B6 littermates, determined by intracellular immunostaining and FACS. Representative histograms showing intracellular IL-21 staining of CD4+ T cells compared with Il21−/− CD4+ T cells as a control. Data are representative of two experiments where n = 3.
Increased production of IL-21 in Il2−/− mice. (A) Strand-specific RNAseq read coverage of IL-21 locus in WT and IL-2 knockout cells. Read depth mapped to each strand at the IL-2 locus was visualized in the University of California, Santa Cruz genome browser (http://www.ncbi.nlm.nih.gov/bioproject/231953). The IL-21 gene, transcribed from the negative strand (RefSeqGene), has greater coverage in knockout cells (32-fold; adjusted p of <0.003). (B) Fold change of gene expression in IL-2 knockout T cells relative to WT for significantly upregulated genes (adjusted p of <0.05). Fold change was calculated from normalized HTseq counts data for each gene. (C) IL-21 mRNA levels from WT and Il2−/− splenocytes ex vivo (T0) and after 2 h stimulation with soluble anti-CD3 and anti-CD28 mAbs measured by real-time PCR. IL-21 mRNA expression is presented as fold modulation compared with WT ex vivo levels; data are representative of two experiments where n = 3–8 mice. (D) Percentage IL-21–producing CD44hiCD4+ T cells in the spleen of Il2−/− mice and B6 littermates, determined by intracellular immunostaining and FACS. Representative histograms showing intracellular IL-21 staining of CD4+ T cells compared with Il21−/− CD4+ T cells as a control. Data are representative of two experiments where n = 3.
Sustained Treg defect in the absence of IL-21
To investigate the possible role of IL-21 in the inflammatory disease of Il2−/− mice, we crossed Il2−/+ mice with Il21r−/+ mice to generate Il2−/−Il21r−/− double knockout mice and Il2−/−, Il21r−/−, and WT littermates. As noted previously, Il2−/− mice have a deficiency of CD25+Foxp3+CD4+ Tregs, and Il2−/−Il21r−/− mice similarly exhibited a deficit of Tregs in the spleen (Fig. 2A, 2B), mesenteric lymph nodes (MLNs) (Fig. 2C), and lamina propria of the colon (LPLs) (Fig. 2D). However, there was a trend of increased absolute numbers of Foxp3+ cells in Il2−/− and Il2−/−Il21r−/− tissues relative to WT and Il21r−/− tissues due to the large expansion of the CD4+ T cell subset in the former two groups (Supplemental Fig. 1). IL-21 did not inhibit the function of Tregs in vitro, which were equally capable of suppressing the proliferation of both WT and Il21r−/− CD25−CD4+ effector cells (Supplemental Fig. 1).
IL-21R deficiency reduces mortality in Il2−/− mice. (A) Representative flow cytometry dot plots from MLNs showing Foxp3+CD25+ Tregs gated on CD4+CD3+ T cells. Quantification of Foxp3+ cells from (B) spleen, (C) MLNs, and (D) LPLs as a proportion of CD4+CD3+ T cells shown as individual mice and means ± SEM. Data are from three experiments with 5–10 mice per group. (E) Representative images of spleens, MLNs, and inguinal lymph nodes from WT, Il21r−/−, Il2−/−, and Il2−/−Il21r−/− mice. Absolute cell numbers from the (F) spleen, (G) MLNs, and lymphocyte isolations of the (H) LPLs. Data show values from 8–15 individual mice plus the means ± SEM from five experiments. Genotypes were compared using one-way ANOVA and a Bonferroni posttest to compare Il2−/− and Il2−/−Il21r−/− values. (I) Percentage survival of Il2−/−Il21r−/− (n = 31) and Il2−/− mice (n = 29) was measured using euthanasia as an endpoint when mice lost 20% of their weight, or when severe morbidity was observed. A χ2 log-rank test was used to compare survival curves. Cumulative weights of (J) male and (K) female WT, Il21r−/−, and Il2−/− mice and Il2−/−Il21r−/− littermate data show the means ± SEM.
IL-21R deficiency reduces mortality in Il2−/− mice. (A) Representative flow cytometry dot plots from MLNs showing Foxp3+CD25+ Tregs gated on CD4+CD3+ T cells. Quantification of Foxp3+ cells from (B) spleen, (C) MLNs, and (D) LPLs as a proportion of CD4+CD3+ T cells shown as individual mice and means ± SEM. Data are from three experiments with 5–10 mice per group. (E) Representative images of spleens, MLNs, and inguinal lymph nodes from WT, Il21r−/−, Il2−/−, and Il2−/−Il21r−/− mice. Absolute cell numbers from the (F) spleen, (G) MLNs, and lymphocyte isolations of the (H) LPLs. Data show values from 8–15 individual mice plus the means ± SEM from five experiments. Genotypes were compared using one-way ANOVA and a Bonferroni posttest to compare Il2−/− and Il2−/−Il21r−/− values. (I) Percentage survival of Il2−/−Il21r−/− (n = 31) and Il2−/− mice (n = 29) was measured using euthanasia as an endpoint when mice lost 20% of their weight, or when severe morbidity was observed. A χ2 log-rank test was used to compare survival curves. Cumulative weights of (J) male and (K) female WT, Il21r−/−, and Il2−/− mice and Il2−/−Il21r−/− littermate data show the means ± SEM.
In accordance with the observed Treg deficiency, the splenomegaly observed in Il2−/− littermates was not influenced by the absence of IL-21/IL-21R signaling (Fig. 2E). Quantification of cells in the spleen (Fig. 2F), MLN (Fig. 2G), and lamina propria of the colon (Fig. 2H), which is a site of inflammation in Il2−/− mice, showed increased numbers in both Il2−/−Il21r−/− and Il2−/− mice relative to WT and Il21r−/− littermates.
IL-21 drives inflammatory disease in the absence of Fox-P3 Tregs
As mentioned earlier, the chronic inflammatory disease observed in Il2−/− mice has been attributed to the deficiency of IL-2–dependent Tregs (1, 6). However, it was immediately evident from the healthy appearance of Il2−/−Il21r−/− mice that despite an equally profound reduction in the percentage of Tregs, removing IL-21/IL-21R signaling had mitigated disease. Both morbidity and mortality were significantly delayed and reduced in Il2−/−Il21r−/− mice (Fig. 2I). The improved health of Il2−/−Il21r−/− mice was evident in the weights of both sexes that were equivalent to WT and Il21r−/− mice and significantly increased compared with Il2−/− littermates (p < 0.0001) (Fig. 2J, 2K). When the weights of individual mice were compiled, the weights of Il2−/− mice reflected early wasting disease with an almost universal downward trend, which was observed in only 15% of Il2−/−Il21r−/− mice after 24 wk of age (data not shown).
Diminished target organ damage in the absence of IL-21/IL-21R signaling
Histological analyses were carried out on several organs to determine whether the improved morbidity and mortality in the absence of IL-21 corresponded with reduced tissue damage. The colon has been previously described as the target of the most severe cellular infiltrate in Il2−/− mice (6), and we observed frequent gut-associated lymphoid structures that were enlarged in both Il2−/− and Il2−/−Il21r−/− strains (Fig. 3A). There was evidence of increased mononuclear lymphocytes found throughout both the mucosa and lamina propria (Fig. 3A–C). Despite registering these frequent signs of inflammation, we observed little ulceration, crypt abscesses, or erosive destruction of the mucosa in the samples studied and large areas retained structural, apparently functional integrity (Fig. 3A–C).
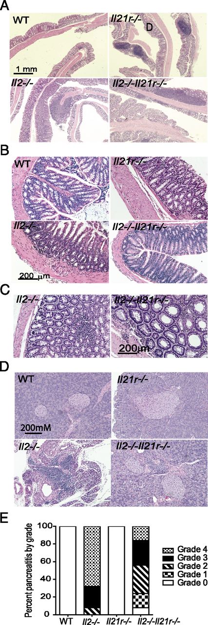
Mild colitis and severe pancreatitis in Il2−/− mice is improved in the absence of IL-21R. (A) Representative H&E-stained histological sections of the distal colon from indicated genotypes showing (B) crypt branching and (C) mononuclear cell infiltrate in Il2−/− strains. (D) Representative H&E-stained histological sections of pancreata from indicated genotypes. (E) Pancreatitis grade from histological sections of indicated genotypes. At least 10 sections were assessed throughout the pancreas per mouse. Colon and pancreata samples were obtained from 10- to 14-wk-old mice; n = 10 for WT and Il21r−/− samples and n = 10–15 for Il2−/− and Il2−/−Il21r−/− strains.
Mild colitis and severe pancreatitis in Il2−/− mice is improved in the absence of IL-21R. (A) Representative H&E-stained histological sections of the distal colon from indicated genotypes showing (B) crypt branching and (C) mononuclear cell infiltrate in Il2−/− strains. (D) Representative H&E-stained histological sections of pancreata from indicated genotypes. (E) Pancreatitis grade from histological sections of indicated genotypes. At least 10 sections were assessed throughout the pancreas per mouse. Colon and pancreata samples were obtained from 10- to 14-wk-old mice; n = 10 for WT and Il21r−/− samples and n = 10–15 for Il2−/− and Il2−/−Il21r−/− strains.
This assessment led us to examine other tissues for damage that may have been able to explain the wasting disease observed in Il2−/− mice. The severe weight loss in Il2−/− mice made the pancreas a candidate organ for pathology. Pancreatic islets remained undamaged by infiltrate in both strains (Fig. 3D). In contrast, we found that in our colony and specific pathogen-free housing conditions, 90% of pancreatic samples from both strains at the age of 9–12 wk contained diffuse lymphocytic aggregates that were both parenchymal and perivascular (Fig. 3D). However, it was clear that in the absence of IL-21/IL-21R signaling, the observed inflammation was reduced and there was an associated improvement in the level of parenchymal damage inflicted with minimal to sporadic damage of exocrine tissue, whereas atrophied serous acini and loss of the lobular architecture was widespread in all Il2−/− pancreata (Fig. 3D). These changes were consistent and reflected by the reduced grade of inflammation and exocrine damage in the absence of IL-21/IL-21R signaling (Fig. 3E).
IL-21 promotes the production of class-switched Ab in Il2−/− mice
In the Il2−/− model, B cells are initially stimulated to make large amounts of class-switched Ab, which is thought to target self-Ags (6). This harmful B cell activation is ameliorated in surviving older mice as the B cell population undergoes a rapid decline (19). B cells showed a mild increase as both a percentage of lymphocytes and absolute numbers in the spleen (Fig. 4A) and as a percentage of lymphocytes in the MLNs (Fig. 4B) and in the lamina propria (Fig. 4C) of Il2−/−Il21r−/− mice relative to Il2−/− mice between 9 and 12 wk of age. However, the most striking observation was that the lymphoid organs of both Il2−/− and Il2−/−Il21r−/− mice had significantly less B cells compared with WT and Il21r−/− littermates (Fig. 4A–C).
B cell differentiation in Il2−/− mice is influenced by IL-21. Percentages and total numbers of CD19+ B cells in (A) the spleen, (B) MLNs, and (C) LPLs of the large intestine of 11-wk-old WT, Il21r−/−, Il2−/−, and Il2−/−Il21r−/− mice; n = 7–15 mice per group from four experiments. Flow cytometric analyses from the MLNs of these mice showing representative dot plots and quantitation of (D) percentage GL7+ GC CD19+ B cells, (E) percentage and absolute numbers of Syndecan-1+CD19+ plasma cells, and (F) percentage and absolute numbers of CD19+CD23loCD21hi MZ B cells.
B cell differentiation in Il2−/− mice is influenced by IL-21. Percentages and total numbers of CD19+ B cells in (A) the spleen, (B) MLNs, and (C) LPLs of the large intestine of 11-wk-old WT, Il21r−/−, Il2−/−, and Il2−/−Il21r−/− mice; n = 7–15 mice per group from four experiments. Flow cytometric analyses from the MLNs of these mice showing representative dot plots and quantitation of (D) percentage GL7+ GC CD19+ B cells, (E) percentage and absolute numbers of Syndecan-1+CD19+ plasma cells, and (F) percentage and absolute numbers of CD19+CD23loCD21hi MZ B cells.
The phenotype of the B cells within this time frame was different, because both strains of Il2−/− mice contained germinal center (GC) and plasma phenotype B cells, despite the depleted total B cell population in these mice. However, IL-21/IL-21R signaling significantly increased the fractions, but not absolute numbers, of GC B cells (Fig. 4D, Supplemental Fig. 2) and the percentage of plasma B cells (Fig. 4E). The populations of marginal zone (MZ) B cells were compromised in both Il2−/− and Il2−/−Il21r−/− mice relative to WT and Il21r−/− littermates (Fig. 4F). Taken together, these findings demonstrate the importance of IL-21/IL-21R signaling for GC B cells and plasma cells during autoimmunity.
T follicular helper (Tfh) cells provide cognate help to B cells for the production of class-switched, affinity-matured Abs during GC reactions, and previous work from our laboratory and others indicated that IL-21 was an important survival/differentiation factor for CXCR5hiICOShi Tfh cells and CXCR5hiPD-1hi Tfh cells (20–22). In agreement with this observation, CXCR5hi and ICOShi Tfh cells (Supplemental Fig. 2) were elevated in Il2−/− mice in an IL-21–dependent manner.
Measurement of serum Ab levels using ELISA suggested that Ab production in Il2−/− mice was dependent on IL-21. Indeed, despite the inflammation observed in Il2−/−Il21r−/− mice, the T-dependent Ig isotypes IgG1 and IgG2c were comparable to resting WT levels rather than the high circulating Ab levels observed in the Il2−/− sera (Fig. 5A). This was evident in Il2−/− mice under 11 wk of age when significant numbers of B cells remained, and also from the few long-lived Ab-secreting cells that had survived at the later time points studied (Fig. 5A).
Ab production and hemolytic anemia in Il2−/− mice is dependent on IL-21. (A) Quantification of the log10 of serum Ab isotype concentrations or titer measured by ELISA in young (<11 wk of age) and mature (>11 wk of age) mice. Data show the mean and individual values from mice from two separate experiments. The p values were calculated comparing similar age groups using a Student t test. (B) Hematocrit (percentage RBC volume of whole blood) values from individual mice between 6 and 10 wk of age as shown.
Ab production and hemolytic anemia in Il2−/− mice is dependent on IL-21. (A) Quantification of the log10 of serum Ab isotype concentrations or titer measured by ELISA in young (<11 wk of age) and mature (>11 wk of age) mice. Data show the mean and individual values from mice from two separate experiments. The p values were calculated comparing similar age groups using a Student t test. (B) Hematocrit (percentage RBC volume of whole blood) values from individual mice between 6 and 10 wk of age as shown.
IgA is typically produced at mucosal sites due to its stable dimer formation that allows transport into the gastrointestinal tract and resistance to high pH, and it can be produced in response to both T-dependent and -independent Ags (23). IL-21 influenced IgA production, as levels were significantly reduced in Il2−/−Il21r−/− sera relative to Il2−/− sera (Fig. 5A). IgM was likely affected by the reduced B cell numbers in both Il2−/− strains that exhibited low levels both in the presence and absence of IL-21 (Fig. 5A). IgE was similarly unaffected by IL-21 and was elevated in both Il2−/− strains, despite the previously described increase observed in single Il21r−/− mice (Supplemental Fig. 2). The finding that the IgE isotype was not affected by the increase in Tfh cells and GC B cells in Il2−/− mice agrees with reports that IgE class switch and production can result from both T-dependent extrafollicular as well as T-independent pathways (24).
Hemolytic anemia is reduced in the absence of IL-21/IL-21R signaling
The hemolytic anemia observed in 80% of Il2−/− mice (6) is absent in JH−/−Il2−/− double knockout mice, indicating that B cells are critical for hemolytic anemia in Il2−/− mice (25) but present in germ-free Il2−/− mice and may therefore reflect self-reactivity in the absence of regulation (8). In accordance with the reduced Ab produced in the absence of IL-21/IL-21R signaling, hemolytic anemia was less severe in Il2−/−Il21r−/− mice as shown by a higher hematocrit (packed RBC volume as a percentage of total serum) (Fig. 5B).
IL-21 shapes the serum cytokine profile during chronic inflammation
To determine how IL-21 shaped the global serum cytokine profile in Il2−/− mice, we measured levels of a variety of inflammatory cytokines using a flow cytometry cytokine bead array method that compared relative mean fluorescence intensity in serum samples. Consistent with the improved lifespan of the double knockout mice, the loss of IL-21/IL-21R signaling led to an increased frequency of mice with the immunosuppressive cytokines IL-4 and IL-10 in sera (Fig. 6A). Paradoxically, a greater number of Il2−/−Il21r−/− mice also harbored the proinflammatory cytokines TNF-α, IL-1a, and GM-CSF in sera (Fig. 6A). In contrast, IL-23 was equally detected in the sera of both Il2−/− strains (Fig. 6A).
IL-21 shapes the serum cytokine profile in and Th cell differentiation in Il2−/− mice. (A) Cytokine bead array using a flow cytometry assay for serum cytokine levels. Data are shown as individual values for IL-4, IL-10, TNF-α, IL-1α, GM-CSF, IL-23, IL-17A, and IL-22 in pg/ml and means ± SEM detected in serum samples from mice indicated. Values were derived from individual cytokine standard curves. Mice vary in age between 6 and 24 wk, but only 6–18 wk in Il2−/− mice due to increased mortality. The p values were calculated using one-way ANOVA. (B) Representative flow cytometry dot plots of CD3+CD4+ T cells showing activated mucosal homing CD44hiα4β7+ subset. (C) Representative flow cytometry images of CD3+CD4+ T cells from the MLNs stimulated with PMA and ionomycin for 4 h. Quantitation is shown of intracellular IL-17A staining of cells isolated from (c) LPLs, (D) the epithelium of the colon, and (E) mesenteric lymph node preparations. Quantitation of the (F) percentage and (G) absolute number of IL-22–producing αβ T cells in the MLNs and the percentage of NKT cells in the (H) MLNs and (I) Peyer’s patches (PP) showing percentages from individual mice measured by intracellular immunostaining and FACS. All samples are representative of at least three experiments on mice between 8 and 12 wk of age.
IL-21 shapes the serum cytokine profile in and Th cell differentiation in Il2−/− mice. (A) Cytokine bead array using a flow cytometry assay for serum cytokine levels. Data are shown as individual values for IL-4, IL-10, TNF-α, IL-1α, GM-CSF, IL-23, IL-17A, and IL-22 in pg/ml and means ± SEM detected in serum samples from mice indicated. Values were derived from individual cytokine standard curves. Mice vary in age between 6 and 24 wk, but only 6–18 wk in Il2−/− mice due to increased mortality. The p values were calculated using one-way ANOVA. (B) Representative flow cytometry dot plots of CD3+CD4+ T cells showing activated mucosal homing CD44hiα4β7+ subset. (C) Representative flow cytometry images of CD3+CD4+ T cells from the MLNs stimulated with PMA and ionomycin for 4 h. Quantitation is shown of intracellular IL-17A staining of cells isolated from (c) LPLs, (D) the epithelium of the colon, and (E) mesenteric lymph node preparations. Quantitation of the (F) percentage and (G) absolute number of IL-22–producing αβ T cells in the MLNs and the percentage of NKT cells in the (H) MLNs and (I) Peyer’s patches (PP) showing percentages from individual mice measured by intracellular immunostaining and FACS. All samples are representative of at least three experiments on mice between 8 and 12 wk of age.
IL-17–producing Th17 cells induce chronic intestinal inflammation (26), and IL-21 produced by Th17 cells has been shown to create a positive feedback loop that supports the expansion of this population (27, 28). In support of this finding, a greater number of Il2−/− mice (56%) had circulating IL-17A than did Il2−/−Il21r−/− mice (19%) (Fig. 6A). It was of interest to observe that IL-22 was distinctly affected by IL-21R deficiency, being detected in 65% of Il2−/−Il21r−/− sera and 29% of Il21r−/− sera, but it was not detected in either Il2−/− or WT sera (Fig. 6A), implying that IL-21 may limit IL-22 production or IL-22–producing cells or that there was reduced utilization of IL-22 in the absence of IL-21/IL-21R signaling.
Altered T cell effector phenotype in Il2−/− mice in the absence of IL-21
The importance of thymocytes in the inflammatory disorder of Il2−/− strains was previously established in experiments that used athymic Il2−/− mice to demonstrate that disease progression in this model is dependent on T cells (7). By introducing IL-21R deficiency to the Il2−/− strain, we had hoped to pinpoint roles for IL-21 in CD4+ T cell effector phenotypes that mediated tissue damage in this model. However, we could identify few differences between the numbers of T cells with an activated or memory surface phenotype in Il2−/− mice in the presence or absence of IL-21. CD44hiCD4+ T cells dominated the T cell compartment and ∼20% of activated/memory phenotype CD4+ T cells expressed the mucosal homing marker α4β7 (Fig. 6B), which drives homing of activated cells to the mucosal surfaces where tissue damage in Il2−/− mice occurs (6, 13, 29).
In accordance with the similar failure to regulate the size of the T cell compartments, Il2−/− and Il2−/−Il21r−/− mice exhibited a similar expansion of IFN-γ–producing Th1 cells that, for Il2−/− mice, was consistent with the increased expression of IFN-γ detected by RNAseq analyses of Il2−/− CD4+ T cells (Fig. 1B). There was a trend of an increased fraction of both IFN-γ–producing (Supplemental Fig. 3) and TNF-α–producing (Supplemental Fig. 3) Th cells in the gut mucosa that was consistent with more Il2−/− and Il2−/−Il21r−/− mice with TNF-α detected in the serum compared with Il21r−/− and WT mice (Fig. 6A). However, there was no significant difference between the fractions or numbers of IFN-γ– and TNF-α–producing CD4+ T cells in Il2−/−Il21r−/− and Il2−/− mice (Supplemental Fig. 3). Additionally, IL-21 and other STAT3 signaling cytokines can drive IL-10 production in vitro, which could ameliorate disease owing to its immunosuppressive properties (30). Despite the observed increased IL-10 gene expression in Il2−/− CD4+ T cells relative to WT (Fig. 1B), the absence of IL-21/IL-21R signaling resulted in a further increase in the number of mice with circulating IL-10 and an increased fraction of IL-10–producing cells CD4+ T cells (Supplemental Fig. 3).
In contrast to Th1 cells, the loss of IL-21/IL-21R signaling in Il2−/− mice reduced the percentage of IL-17A–producing Th17 cells in the lamina propria (Fig. 6C), colon epithelium (IELs) (Fig. 6D), and MLNs (Fig. 6E) to approximate that observed in Il21r−/− and WT littermates. This role for IL-21 was particularly important in gut-associated lymphoid tissue, as both the percentages (Fig. 6) and absolute numbers (Supplemental Fig. 3) were increased in the gastrointestinal tract and gastrointestinal tract–associated lymphoid tissue, but no significant difference was observed between Il2−/− and Il2−/−Il21r−/− Th17 cells in the spleen (data not shown). Thus, despite the redundant role reported for IL-21/IL-21R signaling in Th17 cell generation (31), these findings support a critical role for IL-21 in Th17 cell differentiation/survival during chronic inflammation and autoimmunity.
To further investigate the high amounts of IL-22 detected in sera of Il2−/−Il21r−/− mice, we detected IL-22 producing cells by intracellular immunostaining in the spleen, MLNs, Peyer’s patches, IELs, and LPLs of Il2−/− and Il2−/−Il21r−/− mice as well as WT and Il21r−/− mice. In accordance with previous studies (32, 33), many of the IL-22–producing cells purified from both the lamina propria and epithelial mucosa lacked expression of CD3. However, IL-22–producing cells were detected in both the αβ T cell (Fig. 6F, 6G) and NKT cell (Fig. 7H, 7I) populations. Both the Il2−/− and Il2−/−21r−/− strains had increased percentages and/or numbers of IL-22–producing cells relative to WT littermates (Fig. 7). Additionally, there was a trend of increased IL-22–producing αβ T cells and NKT cells in Il2−/− mice in the absence of IL-21/IL-21R signaling, which reached significance for IL-22+ αβ T cell numbers in the MLNs of Il2−/−Il21r−/− mice (Fig. 7G). Taken together, these findings indicate that whereas IL-22+ cells may increase in the absence of IL-21/IL-21R signaling, the increased amount of IL-22 on the serum of Il2−/−Il21r−/− mice possibly reflected deceased utilization of IL-22.
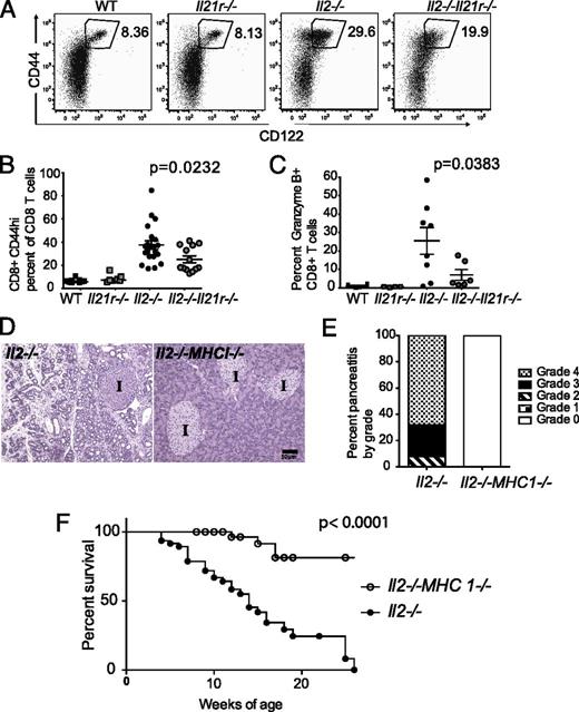
IL-21. (A) Representative dot plots showing expansion of the CD122+CD44hi population in the absence of IL-2, gated on CD3+CD8+ T cells from the spleen. Quantification of (B) CD3+CD8+CD44hi T cells and (C) CD3+CD8+CD44higranzyme B+ analyzed by flow cytometry in genotypes shown between 8 and 12 wk of age. Data are pooled from five separate experiments and are represented as values from individual mice ± SEM. The p values were calculated using one-way ANOVA and a Bonferroni posttest compared with WT values. (D) Representative H&E-stained histological sections of pancreata from Il2−/− and Il2−/−MHC−/− mice (original magnification ×20). (E) Pancreatitis grade from H&E-stained histological sections of pancreata from Il2−/− and Il2−/−MHC−/− mice. At least 10 sections were assessed throughout the pancreas per mouse, where n = 12 for Il2−/− and n = 5 for Il2−/−MHC−/− strains. (F) Percentage survival of Il2−/− (n = 31) and Il2−/−MHC−/− mice (n = 24) was measured using euthanasia as an endpoint when mice lost 20% of their weight, or when severe morbidity was observed. The χ2 log-rank test was used to compare survival curves.
IL-21. (A) Representative dot plots showing expansion of the CD122+CD44hi population in the absence of IL-2, gated on CD3+CD8+ T cells from the spleen. Quantification of (B) CD3+CD8+CD44hi T cells and (C) CD3+CD8+CD44higranzyme B+ analyzed by flow cytometry in genotypes shown between 8 and 12 wk of age. Data are pooled from five separate experiments and are represented as values from individual mice ± SEM. The p values were calculated using one-way ANOVA and a Bonferroni posttest compared with WT values. (D) Representative H&E-stained histological sections of pancreata from Il2−/− and Il2−/−MHC−/− mice (original magnification ×20). (E) Pancreatitis grade from H&E-stained histological sections of pancreata from Il2−/− and Il2−/−MHC−/− mice. At least 10 sections were assessed throughout the pancreas per mouse, where n = 12 for Il2−/− and n = 5 for Il2−/−MHC−/− strains. (F) Percentage survival of Il2−/− (n = 31) and Il2−/−MHC−/− mice (n = 24) was measured using euthanasia as an endpoint when mice lost 20% of their weight, or when severe morbidity was observed. The χ2 log-rank test was used to compare survival curves.
CD8+ T cells are important for the development of pancreatitis in Il2−/− mice
Similarly, CD8+ T cells with a memory phenotype (CD44hi, CD122hi) were observed at increased percentages and frequencies in both Il2−/− and Il2−/−Il21r−/− mice (Fig. 7). It was of interest to observe that the absence of IL-21/IL-21R signaling resulted in reduced numbers of memory phenotype CD8+ T cells in the MLN (Fig. 7A, 7B). The fraction of CD8+CD44hi cells that contained granzyme B was increased in Il2−/− mice relative to WT mice (Fig. 7C), as well as in CD4+ T cells at an mRNA level (Fig. 1B). In the absence of IL-21/IL-21R signaling, the fraction of CD8+CD44hi cells that contained granzyme B was significantly reduced (Fig. 7C). Taken together, these findings indicate that IL-21 was acting to increase the fraction of memory phenotype and effector cells within the CD8+ T cell population. We therefore determined the contribution of CD8+ T cells to the chronic inflammation and pathology observed in Il2−/− mice. Il2−/− mice were backcrossed onto MHC class I−/− mice to generate CD8+ T cell–deficient Il2−/−MHCI−/− mice. Histological analyses of the pancreata from Il2−/−MHCI−/− mice compared with pancreata from Il2−/− mice demonstrated that CD8+ T cells crucially contributed to the pathology in the exocrine pancreas of Il2−/− mice (Fig. 7D), with a markedly reduced grade of pancreatitis observed in the absence of MHC class I expression (Fig. 7E). Accordingly, Il2−/−MHCI−/− mice exhibited decreased morbidity and mortality (Fig. 7F), confirming that pancreatitis was a major factor in the reduced survival of Il2−/− mice.
Discussion
The Il2−/− mouse develops a fatal multiorgan inflammatory disease that is thought to arise from a deficiency in Tregs that are dependent on IL-2 for their growth and survival. This study tested the role of IL-21 in chronic inflammation in this robust model and demonstrates that IL-21 acts to accelerate the disease process, contributing to the high morbidity and mortality observed in Il2−/− mice, suggesting that an important role for Tregs is to regulate IL-21– and IL-21–producing Th cells. It was interesting to observe that despite the improved health of the Il2−/−Il21r−/− mice, the loss of IL-21/IL-21R signaling did not alter the deficiency in Foxp3+ Tregs or the associated failure to regulate the size of the T cell compartment in secondary lymphoid organs.
CD4+ T cells from Il2−/− mice expressed higher levels of IL-21 and harbored more IL-21–producing T cells than did their WT littermates. Il2−/− mice on a C57BL/6 background carry the linked IL-21 gene from 129 mice, and it is possible that the high expressing 129 IL-21 allele contributed to increased levels of IL-21 in Il2−/− mice (14). However, because an increase in IL-21 production has also been observed in CD25−/− mice (34), this finding may reflect the failure to regulate IL-21–producing Th cells. The expanded lymphoid compartments in both Il2−/− and Il2−/−Il21r−/− mice contained IL-21 producing Th cells that coexpressed the mucosal homing integrin α4β7. This finding was consistent with priming of the CD4+ T cell population occurring in the gastrointestinal mucosa. The mild histological evidence of colitis but severe pancreatitis observed in our Il2−/− colony may reflect both strain differences and differences in commensal microorganisms between mouse colonies.
In contrast to colitis, the hemolytic anemia observed in Il2−/− mice is present in germ-free mice and is thus independent of microbiota (8). Previous studies demonstrate that JH−/−Il2−/− double knockout mice do not succumb to anemia, indicating that B cells are critical for hemolytic anemia in Il2−/− mice (25). Therefore, the reduced level of anemia in Il2−/−Il21r−/− mice suggested a reduced level of pathogenic Abs. High circulating levels of cytokines such as IL-4 may drive the residual Ab response in Il2−/−Il21r−/− mice and might also explain why IgE remained elevated in the absence of IL-21 (24).
Despite lower Ab concentrations detected in the serum, Il2−/−Il21r−/− B cells survived longer than their Il2−/− counterparts. It is not known why B cells disappear in Il2−/− mice, but it has been suggested to be due to overcrowding of B cell progenitors in the bone marrow by mature T cells (19). Our findings implicated IL-21 in B cell survival and differentiation. GC and plasma cells were increased in the presence of IL-21, supporting previous reports of IL-21 in plasma cell differentiation (35, 36). There were little, if any, MZ B cells in Il2−/− mice, but both Il2−/− and Il2−/−Il21r−/− strains exhibited reduced MZ populations with lower levels of CD21 relative to WT mice. Because IL-21 is an important survival factor for B cells, it remains unclear why total B cell numbers are increased in the absence of IL-21/IL-21R signaling in Il2−/− mice, but may reflect the reduced overall level of inflammation in Il2−/−Il21r−/− mice. Our findings are consistent with a known B cell defect in Il2−/− mice (19), but they contrast with a previous study showing that MZ B cells are recovered to a greater extent in CD25−/−Il21r−/− mice (34) than in Il2−/−Il21r−/− mice. These differences may be due to the remaining influence of IL-2 on cells expressing the low-affinity receptor for IL-2 (IL-2Rγ/IL-2Rβ heterodimer) in CD25−/−Il21r−/− mice.
By removing IL-21R from this system we could infer that IL-21 supported IL-17A production, particularly at mucosal sites of inflammation. A reduction in Th17 cells could contribute to decreased morbidity, as IL-17A– or IL-17F–producing cells can induce chronic intestinal inflammation when adoptively transferred into Rag−/− mice (26). The observation that IL-17A–producing Th17 cells produce IL-21, which contributes to autocrine expansion of this cell subset, offers an explanation for reduced Th17 cells in Il2−/−Il21r−/− mice (27, 28). Interestingly, note that Th17 cells were not increased in CD25−/− mice (34). Because IL-2 has been shown to inhibit Th17 cell differentiation, signaling through the low-affinity IL-2 receptor may result in reduced Th17 cells in CD25−/− mice relative to Il2−/− mice.
The immunosuppressive cytokines IL-4 and IL-10 were detected more frequently in the serum of Il2−/−Il21r−/− mice. Because IL-10–producing Tr1 cells have been shown to ameliorate colitis (37), it could be significant that IL-21R deficiency led to increased circulating IL-10 in Il2−/− mice. In addition to changes in cytokines that have broad systemic effects on lymphoid tissues, high amounts of the cytokine IL-22 were found in the circulation of Il2−/−Il21r−/− mice. IL-22 is thought to act locally to aid remodeling and healing of nonlymphoid tissues that act as a physical barrier for immune defense (38–41). IL-22 produced by both innate and adaptive immune cells is dependent on commensal flora (42, 43) and is important for ameliorating tissue damage in models of gastrointestinal inflammation (39, 44). Both IL-21 and IL-22 interact with their receptors to activate STAT3 (41), but the subsequent survival and differentiation signals are delivered to distinct target cells. Current evidence suggests that whereas IL-21 acts on IL-21R–expressing immune cells, IL-22 supports the survival of IL-22R–expressing nonhematopoietic cells, including epithelial and pancreatic acinar cells (45). In keeping with the increased amounts of IL-22 in the sera of Il2−/−Il21r−/− mice, there was a trend of increased IL-22–producing CD4+ T cells and NKT cells in Il2−/−Il21r−/− mice. It may be possible that the increased levels of IL-22 observed in sera reflected reduced utilization of IL-22 by Il2−/−Il21r−/− mice that exhibited reduced inflammation in the pancreas that expresses high levels of the IL-22 receptor (45).
Thus, IL-21 acted to accelerate and worsen the process of chronic inflammation and autoimmune disease in Il2−/− mice. IL-21/IL-21R signaling supported the survival or differentiation of proinflammatory lymphocyte effector populations, and this was typified by the IL-21–mediated promotion of Th17 cells in the gastrointestinal tract and gut-related lymphoid tissues, as well as the relative increase in serum IL-10 and IL-22. IL-21–producing Th subsets such as Tfh cells and Th17 cells were increased in Il2−/− mice, and a major target of IL-21 was found to be CD8+ T cells. The destructive pathology observed in the pancreas of Il2−/− mice was associated with an IL-21–mediated expansion of memory phenotype CD8+ T cells that produced granzyme B. CD8+ T cells were found to play a critical role in the pathology of Il2−/− mice as evidenced by the amelioration of pancreatitis in Il2−/−MHCI−/− mice. A role for CD8+ T cells in chronic pancreatitis in Il2−/− mice has not previously been reported, but there is evidence for possible CD8+ T cell involvement in human disease. Autoimmune pancreatitis has been characterized by a predominant CD8+ T lymphocyte infiltration (46), and CD103+CD8+ T cells analogous to intestinal IELs have been observed to infiltrate the pancreas in chronic pancreatitis (47).
Taken together, these findings demonstrate that IL-21 is an important target of immune regulation and raise the possibility of therapeutic modulation of IL-21 to ameliorate chronic inflammatory disorders in the face of defective T regulatory function.
Footnotes
The online version of this article contains supplemental material.
References
Disclosures
The authors have no financial conflicts of interest.






