Abstract
Promoting effective immunity to Mycobacterium bovis infection is a challenge that is of interest to the fields of human and animal medicine alike. We report that γδ T cells from virulent M. bovis–infected cattle respond specifically and directly to complex, protein, and nonprotein mycobacterial Ags. Importantly, to our knowledge, we demonstrate for the first time that bovine γδ T cells specifically recognize peptide Ags derived from the mycobacterial protein complex ESAT6:CFP10 and that this recognition requires direct contact with APCs and signaling through the T cell Ag receptor but is independent of MHC class I or II. Furthermore, we show that M. bovis infection in cattle induces robust IL-17A protein responses. Interestingly, in contrast to results from mice, bovine CD4 T cells, and not γδ T cells, are the predominant source of this critical proinflammatory mediator. Bovine γδ T cells are divided into subsets based upon their expression of Workshop Cluster 1 (WC1), and we demonstrate that the M. bovis–specific γδ T cell response is composed of a heterogeneous mix of WC1-expressing populations, with the serologically defined WC1.1+ and WC1.2+ subsets responding in vitro to mycobacterial Ags and accumulating in the lesions of M. bovis–infected animals. The results described in this article enhance our understanding of γδ T cell biology and, because virulent M. bovis infection of cattle represents an excellent model of tuberculosis in humans, contribute to our overall understanding of the role of γδ T cells in the mycobacterial-specific immune response.
Introduction
Mycobacterium bovis, a member of the Mycobacterium tuberculosis complex, causes tuberculosis (TB) in cattle and zoonotic infections in people, resulting in considerable economic hardship to the livestock industry (1) and a significant public health threat worldwide (2). Bovine TB parallels human TB in several aspects of disease pathogenesis and the development of innate and adaptive immune responses (3, 4). In particular, the M. bovis–specific γδ T cell response is uniquely similar to that described in human TB patients (3, 4). Thus, the study of virulent M. bovis infection in cattle both increases our understanding of the bovine immune response to TB and represents an excellent model for understanding M. tuberculosis infection in humans.
γδ T cells are particularly recognized for their ability to respond to Mycobacterium; both human and murine γδ T cells proliferate and secrete cytokines in recall response to protein and nonprotein phosphoantigens of M. tuberculosis (5, 6) and expand significantly in patients with active TB (7–9). Mice deficient in γδ T cells exhibit significantly larger and less-organized granulomas following infection with Mycobacterium (10, 11), suggesting a role for granuloma formation. In humans and rodent species, γδ T cells represent ∼5% of circulating lymphocytes (12), making it difficult to experimentally dissect their role in the immune response to TB. In contrast, γδ T cells constitute a significant population in ruminants, representing as much as 30–60% of PBLs in young cattle (13, 14). This high frequency indicates a critical role for γδ T cells in the immune system of the ruminant and makes it an excellent model for investigating their role in the response to TB.
In cattle, γδ T cells are among the first cells to accumulate at the site of delayed-type hypersensitivity reactions following injection with purified protein derivative from M. bovis (PPD-B) (15) and at the site of lesions in the lungs and lymph nodes (LNs) of virulent M. bovis–infected animals (16). In vitro, bovine γδ T cells proliferate and produce IFN-γ in recall responses to complex Ags, such as PPD-B (17, 18), and to specific Ags, such as the protein complex ESAT6:CFP10 (E:C) (17, 19), and the nonprotein Ag mycolyl-arabinogalactan peptidoglycan (mAGP), a component of the mycobacterial cell wall (20). From these studies, it is clear that γδ T cells respond to mycobacterial infection; however, much remains to be understood about the specific Ags and Ag-presenting molecules mediating this recognition.
Bovine γδ T cells are divided into subpopulations based upon their expression of the scavenger receptor cysteine-rich superfamily member Workshop Cluster 1 (WC1), which is also known as CD163L1, or by expression of markers, such as CD8 and CD2 (14). Functionally, recent reports (21) suggest that WC1 molecules act as pattern recognition receptors (PRRs) on γδ T cells, similar to TLR. WC1+ γδ T cells are CD2−CD8− and are the predominant subset in circulation, whereas WC1− γδ T cells are CD2+CD8+ and are prevalent in tissues such as the spleen, intestinal mucosa, and mesenteric LNs (22–24).
There are 13 WC1 genes (25, 26), and differential expression of these gene products divides WC1+ γδ T cells into the serologically defined subpopulations: WC1.1+, WC1.2+, and WC1.3+ (27, 28). WC1.1+ γδ T cells are proinflammatory and produce IFN-γ in response to Leptospira borgpetersenii (21, 29, 30), whereas the WC1.2+ γδ T cell subset produces little IFN-γ in response to mitogen stimulation but substantial amounts of IL-10 and can suppress CD4 T cell proliferation (31, 32). Interestingly, however, WC1.2+ γδ T cells produce IFN-γ in specific response to the bovine rickettsial pathogen Anaplasma marginale (33), suggesting that this subset has some functional plasticity that may be dependent upon PRR stimulation with the TCR. With regard to TB, a recent report by Price et al. (34) demonstrated that WC1.1+ γδ T cells are more highly recruited to the lungs and pulmonary LNs of animals inoculated intranasally with M. bovis bacille Calmette–Guérin (BCG), although both WC1− and WC1.2+ subsets were also present.
Thus, several questions remain, including the ability of individual WC1-expressing γδ T cell subsets to respond specifically and directly to M. bovis Ags and their functions during infection, the types of Ags that may be recognized, and the role of WC1 itself in this recognition. In this study, we demonstrate that both WC1.1+ and WC1.2+ bovine γδ T cell subsets from virulent M. bovis–infected animals proliferate and produce IFN-γ in specific and direct response to complex, as well as defined, nonprotein and protein mycobacterial Ags but that WC1.2+ γδ T cells predominate in the lung lesions of animals infected with virulent strains of M. bovis. Importantly, to our knowledge, we demonstrate for the first time that bovine γδ T cells respond directly to peptide Ags derived from the E:C protein complex of M. bovis and that this recognition requires direct contact with APCs and recognition via the γδ TCR but occurs independently of Ag-presentation via MHC class I or II. We further show that significant numbers of bovine γδ T cells produce and secrete IL-17 in response to stimulation with Mycobacterium; however, in contrast to reports from mice, the dominant producers of IL-17A protein are CD4 T cells during virulent M. bovis infection in cattle. Our result is particularly interesting, given that the primary source of IL-17 in human TB patients remains controversial (35–37). Together, our results suggest that multiple functional subsets of γδ T cells respond to mycobacterial Ags in both the peripheral blood and tissues of M. bovis–infected animals, and they indicate a critical role for γδ T cell subsets in the immune response to TB.
Materials and Methods
Animals and M. bovis challenge
A total of 31 male Holstein steers ∼6 mo of age were used in two independent experiments (n = 23 animals in experiment 1, n = 8 animals in experiment 2). Animals were obtained from a TB-free herd and selected based upon negative reactivity to PPD-B using the BOVIGAM IFN-γ release assay (Prionics, Schlieren, Switzerland). Animals were housed in a biosafety level-3 facility at the National Animal Disease Center. All procedures were conducted according to federal and institutional guidelines and were approved by the National Animal Disease Center Animal Care and Use Committee.
M. bovis strain 95-1315 was isolated from a white-tailed deer in Michigan in 1995 (38). M. bovis strain 10-7428 was isolated from a dairy cow in Colorado in 2010. Bacterial inoculums were propagated and prepared as previously described (39). Animals were infected by aerosol inoculation with 104 CFU M. bovis 95-1315 (n = 8, experiment 1) or M. bovis 10-7428 (n = 8 in experiment 1, n = 8 in experiment 2) or were mock infected (n = 7 in experiment 1). Aerosol inoculations were performed as previously described (40). Briefly, animals were fitted with an aerosol mask (Trudell Medical International, London, ON, Canada) that was modified with a rubber gasket to ensure a secure fit on the muzzle, and 2 ml bacterial inoculum in PBS was delivered via nebulization.
Preparation of PBMCs
PBMCs were isolated by density centrifugation from buffy coat fractions of peripheral blood collected from the jugular vein into 2× acid citrate dextrose. Contaminating RBCs were removed using hypotonic lysis. Cells were washed and resuspended in complete RPMI (cRPMI) composed of RPMI 1640 (Life Technologies, Carlsbad, CA) supplemented with 2 mM l-glutamine, 25 mM HEPES buffer, 1% antibiotic-antimycotic solution, 50 mg/ml gentamicin sulfate, 1% nonessential amino acids, 2% essential amino acids, 1% sodium pyruvate, 50 μM 2-ME, and 10% (v/v) FBS. For PBMC-proliferation assays, cells were labeled with 2.5 μM CFSE and then cultured for 6 d at 37°C with 2 × 105 cells/well in 96-well plates. Results were corrected for background proliferation by subtracting the frequency of cells that divided in mock-stimulated cultures.
Abs and reagents
The following primary mAbs were used in these studies: mouse anti-bovine γδ TCR (TCR1-N24, δ-chain specific; clone GB21A, isotype IgG2b), WC1-N3 (WC1.2, clone CACTB32A, isotype IgG1), WC1-N4 (WC1.1, clone BAG25A, isotype IgM), CD14 (clone CAM36A, isotype IgG1), MHC class I (clone H58A, isotype IgG2a), MHC class II (BoLA-DRα, clone TH14B; BoLA-DQα, clone TH22A, both isotype IgG2a), WC1 (clone ILA29, isotype IgG1), and CD4 (clone IL-A11A, isotype IgG2a) (all from Washington State University mAb Center, Pullman, WA); IFN-γ (clone CC302; AbD Serotec, Raleigh, NC); and anti-human CD68 (clone EBM11; from Dako USA, Carpinteria, CA). Polyclonal rabbit anti-bovine IL-17A was obtained from Kingfisher Biotech (St. Paul, MN). The following secondary Abs were used in this study: goat anti-mouse IgG1-AF488, IgG1-allophycocyanin, IgM-AF594, IgM-allophycocyanin, IgG2b-PE-Cy7, IgG2b-AF350, and IgG2b-Cy5 (all from Southern Biotech, Birmingham, AL).
Several Ags derived from Mycobacterium were used in these studies. PPD-B (5 μg/ml) was obtained from Prionics. Recombinant E:C (2 μg/ml) was a kind gift from Dr. F. Chris Minion (Iowa State University, Ames, IA) and was prepared as previously described (41). Recombinant MPB59 (also known as Ag85B) was a kind gift from Dr. Jim McNair (Agri-Food and Biosciences Institute, Stormont, Belfast, Northern Ireland) and was used at 5 μg/ml (42). Purified mAGP from M. tuberculosis strain H37Rv, NR-14851 and purified lipoarabinomannan (LAM) from M. tuberculosis strain H37Rv, NR-14848 were obtained through the National Institutes of Health Biodefense and Emerging Infections Research Resources Repository. Both mAGP and LAM were used at a concentration of 10 μg/ml. Peptides of 14-mer length originating from E:C (Prionics) were used at a concentration of 1 μg/ml (43). Irrelevant control peptides were synthesized by New England Peptide and used at a concentration of 1 μg/ml. Whole-cell sonicates (WCSs) and proteinase K–digested WCSs (PK-WCSs) from M. bovis 95-1315 were used at 10 μg/ml (44). WCSs from L. borgpetersenii serovar Hardjo, Brucella ovis, and Treponema phagedenis were used at 10 μg/ml as negative-control Ags (45, 46). The specific protein and nonprotein Ags used in this study were >98% pure and were tested for endotoxin levels using the ToxinSensor Chromogenic LAL Endotoxin Assay Kit (GenScript). Levels of endotoxin were <3 endotoxin U/mg, a concentration similar to that found in mycobacterial Ags used in other studies (47).
Flow cytometry
For surface staining, cells were resuspended at 107 cells/ml in FACS buffer and incubated for 20 min on ice with 10 μg/ml primary Abs. Cells were washed once and resuspended at 107 cells/ml with 5 μg/ml secondary Abs: goat anti-mouse IgG2b-Cy5, goat anti-mouse IgG1-PE, and goat anti-mouse IgM-FITC (all from Southern Biotech). PBMCs were incubated for 20 min on ice, washed, and fixed in BD FACS lysis buffer.
For intracellular cytokine staining, cells were incubated with Ag for 2–3 h, and brefeldin A (5 μg/ml) was added to the cultures for the remaining 18-h incubation. Cells were surface stained as described and then permeabilized and stained for intracellular IFN-γ (clone CC302; 10 μg/ml) using the BD Cytofix/Cytoperm Fixation and Permeabilization Solution kit, per the manufacturer’s instructions. All flow cytometry data were collected on a BD LSR II flow cytometer and analyzed using FlowJo software (TreeStar, San Carlos, CA).
γδ T cell purification and culture
For MACS isolation, PBMCs were resuspended at 107 cells/ml in MACS buffer (0.5% BSA, 2 mM EDTA in PBS) and labeled with 10 μg/ml anti-bovine γδ TCR (GB21A) for 25 min at 4°C. Cells were washed and resuspended in anti-mouse IgG2a+b MicroBeads (Miltenyi Biotec, Auburn, CA), and cell isolation was performed per the manufacturer’s instructions. When appropriate, purified γδ T cells were resuspended at 2 × 107 cells/ml and labeled with 2.5 μM CFSE. Isolated γδ T cells were cultured at 2 × 106 cells/ml, and autologous monocytes were added to cultures at a ratio of 5:1. Purified γδ T cells and monocytes were cultured with 10 U/ml recombinant human IL-2 (Sigma, Poole, U.K.). For TCR-blocking experiments, purified γδ T cells and monocytes were cultured for 1 h with 20 μg/ml anti-bovine γδ TCR (GB21A) or mouse IgG2b isotype control (BD Biosciences, San Jose, CA) prior to the addition of Ag (48). For MHC class I– and MHC class II–blocking experiments, monocytes were cultured for 1 h in 20 μg/ml each anti-bovine MHC class I (H58A) (49), anti-bovine MHC class II (TH14B and TH22A) (50), or mouse IgG2a isotype control (BD Biosciences) prior to the addition of purified γδ T cells. For Transwell experiments, 2 × 105 purified γδ T cells were cultured in the bottom chamber of a 0.4-μM pore-size Transwell plate (Corning Life Sciences), with autologous monocytes cultured at a 5:1 ratio in the top chamber.
Monocytes were isolated to 75–80% purity by MACS or by plastic adherence, as previously described (51). Briefly, PBMCs were suspended in cRPMI and allowed to adhere to plastic petri dishes for 2 h at 37°C. Nonadherent cells were removed by washing with warm cRPMI. Adherent cells were collected by washing with ice-cold PBS and gentle scraping. In some instances, monocytes were isolated by MACS. PBMCs were resuspended at 107 cells/ml in MACS buffer (0.5% BSA, 2 mM EDTA in PBS) and labeled with 10 μg/ml anti-bovine CD14 (CAM36A, IgG1) for 25 min at 4°C. Cells were washed and resuspended in anti-mouse IgG1 MicroBeads (Miltenyi Biotec), and cell isolation was performed per the manufacturer’s instructions.
For FACS purification of the WC1.1+ and WC1.2+ γδ T cell subsets, PBMCs were labeled with CFSE and cultured for 6 d with the indicated Ag. On day 6, cells were resuspended at 107 cells/ml in cRPMI and incubated for 20 min on ice with 10 μg/ml anti-bovine γδ TCR and anti-WC1.1 or anti-WC1.2. Cells were washed once and resuspended at 107 cells/ml in cRPMI with 5 μg/ml of the appropriate secondary Abs. PBMCs were incubated for 20 min on ice, washed once, and resuspended at ∼108 cells/ml in cRPMI for FACS sorting. γδ T cell subsets were sort purified based on surface expression of the γδ TCR and WC1.1 or WC1.2 and then based on dilution of CFSE in response to PPD-B or E:C. Subsets were sorted to >90% purity using a BD FACSAria Cell Sorting System (BD Biosciences). Samples were sorted directly in Buffer RLT (QIAGEN, Valencia, CA) in preparation for RNA isolation and stored at −80°C.
Real-time PCR
Total RNA was extracted using the RNeasy Mini RNA Isolation Kit (QIAGEN), according to the manufacturer’s instructions. Contaminating genomic DNA was removed using the RNase-Free DNase digestion set (QIAGEN), per the manufacturer’s instructions. Total eluted RNA was reverse transcribed into cDNA using Superscript III Reverse Transcriptase and Random Primers (both from Invitrogen, Life Technologies), per the manufacturer’s instructions.
Real-time PCR was performed using Power SYBR Green PCR Master Mix (Applied Biosystems). Forward and reverse primers for WC1 genes and amplification conditions were described previously (26). Primers and amplification conditions for bovine cytokines were described previously (52). Reactions were performed on a 7300 Real-Time PCR System (Applied Biosystems, Life Technologies). Relative gene expression was expressed as 2−ΔCt (53), with RPS9 as the reference housekeeping gene (52).
IL-17A ELISA and ELISPOT
Cell culture supernatants were collected after 72 h of stimulation with PPD-B or E:C. IL-17A protein concentrations in the culture supernatants were determined using a commercial ELISA kit (Kingfisher Biotech), per the manufacturer’s instructions.
The protocol for the IL-17A ELISPOT assay was adapted from previously described methods (54). Briefly, 2 × 105 PBMCs, purified γδ T cells, or purified CD4 T cells (plus APCs) were added to polyvinylidene difluoride 96-well assay plates (Millipore, Watford, U.K.), coated with anti-bovine IL-17A polyclonal Ab (5 μg/ml; Kingfisher Biotech), and incubated in the presence or absence of PPD-B or E:C. Plates were incubated for 18 h, washed, and incubated for 2 h with biotinylated anti-bovine IL-17A detection Ab (5 μg/ml; Kingfisher Biotech). Plates were washed and developed using VECTASTAIN ABC-AP Standard Kit and Vector Blue Alkaline Phosphatase Substrate Kit (both from Vector Laboratories, Burlingame, CA), per the manufacturer’s instructions. Plates were read and analyzed using a standard ELISPOT Reader (Cellular Technology).
IFN-γ ELISA
Cell culture supernatants were collected on day 6 of culture and stored at −80°C until thawing for analysis. Concentrations of IFN-γ were assessed by commercial ELISA kit (BOVIGAM; Prionics), per the manufacturer’s instructions. Concentrations of IFN-γ in test samples were determined by comparing absorbances of test samples with absorbances of standards within a linear curve fit.
Tissue sections
At necropsy, tissues were fixed by immersion in 10% neutral-buffered formalin or snap-frozen in liquid nitrogen–cooled isopentane. For microscopic examination, formalin-fixed tissues were processed by routine paraffin-embedment techniques, cut into 5-μm sections, and stained with H&E. Lesion scoring and analysis were performed as previously described (55).
For immunofluorescence, samples of lung were cut into 6-μm sections and fixed in 50% acetone/50% methanol. Blocking and staining were carried out at room temperature in a humidified chamber using 0.05 M Tris buffer. Samples were blocked for 1 h using 10% goat serum, stained with primary Ab for 1–2 h, washed, and stained with secondary Ab for 1 h. Primary Abs were used at a concentration of 0.5 μg/ml. Secondary anti-mouse IgG2b-AF350 was used at 1 μg/ml; all other secondary Abs were used at 0.1 μg/ml. Slides were mounted using Prolong Gold Anti-Fade Reagent (Life Technologies).
To quantify the number of γδ T cell subsets infiltrating pulmonary M. bovis lesions, the number of each subset present in a single high-magnification field was counted based upon expression of WC1.1 and the γδ TCR (WC1.1+), WC1.2 and the γδ TCR (WC1.2+), or the γδ TCR but not WC1.1 or WC1.2 (WC1−). WC1.1+WC1.2+ double-positive γδ T cells that stained positive for the γδ TCR, WC1.1, and WC1.2 and were yellow on the merged images were excluded from the analysis. Four to six high-magnification lesion fields were counted for each animal, and a total of 11 infected animals was examined.
Statistics
Data were analyzed using a paired one-way ANOVA with Bonferroni posttest analysis or one-tailed Student t test, when appropriate. Results are expressed as mean ± SEM. Statistical analysis was performed using Prism v5.0 software (GraphPad). For proliferation and intracellular cytokine-staining data, background (mock-stimulated) responses were subtracted from the response to Ag and presented as change over mock.
Results
Bovine γδ T cells from virulent M. bovis–infected animals respond to protein and nonprotein mycobacterial Ags
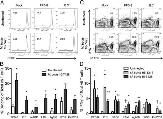
γδ T cells from infected individuals were described to proliferate and produce IFN-γ in response to mycobacteria (17, 18, 20); however, the specific Ags promoting γδ T cell responsiveness during virulent M. bovis infection remain poorly defined. Thus, we first set out to characterize the capacity of γδ T cells from virulent M. bovis–infected animals to respond to complex, protein, or nonprotein Ags derived from Mycobacterium spp. Animals were infected via aerosol inoculation with the virulent strains of M. bovis 10-7428 or 95-1315 or were mock inoculated. Following infection, PBMCs were collected, labeled with CFSE, and cultured in the presence or absence of mycobacterial Ags of interest. On day 6, cultures were analyzed by flow cytometry for γδ TCR-expressing cells that had proliferated in response to Ag, as measured by CFSE dilution. Results were gated on total live cells, total lymphocytes, and total cells expressing the γδ TCR. Fig. 1A displays representative FACS plots from cultures of PBMCs from an uninfected and M. bovis–infected animal on week 3 postinfection (p.i.). Summarized in Fig. 1B, γδ T cells from M. bovis–infected animals exhibited robust proliferation in response to stimulation with the complex Ags PPD-B and M. bovis 95-1315 WCSs, as well as the nonprotein Ags mAGP and LAM (Fig. 1B), both major components of the mycobacterial cell wall, and in response to PK-WCSs. These responses were expected, given the propensity of γδ T cells to recognize unprocessed and nonprotein Ags. Furthermore, we observed robust proliferation in response to the protein Ags E:C and Ag85B (Fig. 1B), which were previously shown by us (19, 41, 57) and other investigators (43, 56) to be potent stimulators of M. bovis–specific CD4 T cell responses. γδ T cells also divided in response to the protein Ag MPB83, to levels similar to that of Ag85B (data not shown). The responses by γδ T cells were dependent upon M. bovis infection, because we did not observe significant proliferation by γδ T cells from uninfected control animals, except to WCSs and PK-WCSs (Fig. 1A, 1B). Moreover, we did not observe significant proliferation by γδ T cells from the virulent M. bovis–infected animals in response to stimulation with negative-control Ags from other bacterial species, including L. borgpetersenii, B. ovis, or T. phagedenis (Supplemental Fig. 1A).
γδ T cells from M. bovis–infected animals divide and produce IFN-γ in specific response to complex, nonprotein, and protein mycobacterial Ags. (A and B) PBMCs from uninfected or virulent M. bovis 10-7428–infected animals were labeled with CFSE, and 2.5 × 106 cells/ml were cultured for 6 d in the presence or absence of 5 μg/ml PPD-B, 2 μg/ml E:C, 10 μg/ml mAGP, 10 μg/ml LAM, 5 μg/ml recombinant Ag85B, 10 μg/ml WCSs from M. bovis 95-1315, or 10 μg/ml PK-WCSs. Cells were labeled with anti-bovine γδ TCR and analyzed by flow cytometry for CFSE dilution. (A) Representative CFSE profiles from an uninfected and infected animal, gated on total live cells and total cells expressing the γδ TCR. (B) The percentage of γδ T cells that proliferated in response to mycobacterial Ags, as measured by CFSE dilution. (C and D) PBMCs from uninfected, virulent M. bovis 95-1315–infected, or virulent M. bovis 10-7428–infected animals were cultured at 2.5 × 106 cells/ml overnight in the presence of brefeldin A and mycobacterial Ags, as indicated above. Cells were then stained for anti-bovine γδ TCR and intracellular IFN-γ and analyzed by flow cytometry. (C) Representative flow plots from an uninfected control animal and an infected animal, gated on total live cells. (D) The percentage of IFNγ+ cells of total γδ T cells. (B and D) The background (mock-stimulated) proliferation or IFN-γ production was subtracted, and results represent change over mock. n = 5–8 animals/group. Data are mean ± SEM. Results are representative of two or three independent experiments. †p ≤ 0.1, *p ≤ 0.05, **p ≤ 0.01, versus uninfected animals.
γδ T cells from M. bovis–infected animals divide and produce IFN-γ in specific response to complex, nonprotein, and protein mycobacterial Ags. (A and B) PBMCs from uninfected or virulent M. bovis 10-7428–infected animals were labeled with CFSE, and 2.5 × 106 cells/ml were cultured for 6 d in the presence or absence of 5 μg/ml PPD-B, 2 μg/ml E:C, 10 μg/ml mAGP, 10 μg/ml LAM, 5 μg/ml recombinant Ag85B, 10 μg/ml WCSs from M. bovis 95-1315, or 10 μg/ml PK-WCSs. Cells were labeled with anti-bovine γδ TCR and analyzed by flow cytometry for CFSE dilution. (A) Representative CFSE profiles from an uninfected and infected animal, gated on total live cells and total cells expressing the γδ TCR. (B) The percentage of γδ T cells that proliferated in response to mycobacterial Ags, as measured by CFSE dilution. (C and D) PBMCs from uninfected, virulent M. bovis 95-1315–infected, or virulent M. bovis 10-7428–infected animals were cultured at 2.5 × 106 cells/ml overnight in the presence of brefeldin A and mycobacterial Ags, as indicated above. Cells were then stained for anti-bovine γδ TCR and intracellular IFN-γ and analyzed by flow cytometry. (C) Representative flow plots from an uninfected control animal and an infected animal, gated on total live cells. (D) The percentage of IFNγ+ cells of total γδ T cells. (B and D) The background (mock-stimulated) proliferation or IFN-γ production was subtracted, and results represent change over mock. n = 5–8 animals/group. Data are mean ± SEM. Results are representative of two or three independent experiments. †p ≤ 0.1, *p ≤ 0.05, **p ≤ 0.01, versus uninfected animals.
γδ T cells are potent producers of IFN-γ and may be critical in promoting Th1-type immunity during M. bovis infection (58). Thus, we next chose to determine whether γδ T cells from M. bovis–infected animals had the capacity to produce IFN-γ in response to selected mycobacterial Ags. To this end, we performed intracellular cytokine staining for IFN-γ production by γδ T cells following overnight stimulation with or without the indicated mycobacterial Ags. As seen in Fig. 1C and 1D, γδ T cells from M. bovis–infected animals, but not uninfected animals, produced IFN-γ in response to PPD-B and the protein Ag E:C, as well as in response to mAGP, LAM, and Ag85B (Fig. 1D). Fig. 1C displays representative FACS plots from cultures of PBMCs from an uninfected and M. bovis–infected animal on week 6 p.i. M. bovis–specific γδ T cell proliferation and IFN-γ production were measurable as early as 2 wk p.i. and continued for the duration of the experiment. We did not observe any significant changes in the magnitude or phenotype of the γδ T cell response over time. We also did not detect any significant differences in the response of γδ T cells between animals infected with the M. bovis strain 95-1315 or the M. bovis strain 10-7428 or any significant differences in clinical signs, lesion scores, or histopathologic changes (M.V. Palmer, unpublished observations).
Bovine γδ T cells from virulent M. bovis–infected animals respond specifically and directly to mycobacterial Ags
Given the complicated cytokine milieu that can exist in mixed PBMC cultures, we next wanted to determine whether γδ T cells can be activated directly by mycobacterial Ags or instead respond as bystander cells. We purified γδ T cells out of PBMCs from uninfected or virulent M. bovis–infected animals using MACS. Purified γδ T cells were labeled with CFSE and cultured with or without IL-2 and the indicated Ags. γδ T cells require contact with an APC to respond to Ag; however, because γδ T cell Ag recognition is not MHC restricted, both autologous and allogeneic APCs are known to mediate γδ T cell activation (48, 59, 60). We chose to include autologous peripheral blood monocytes in the cultures at a 1:5 ratio to purified γδ T cells. As seen in Fig. 2A, γδ T cells divided in response to M. bovis Ags, even in the absence of additional lymphocyte populations. Importantly, this proliferative response was significantly greater for γδ T cells from M. bovis–infected animals than from uninfected animals following stimulation with complex (PPD-B), nonprotein (mAGP and LAM), and specific protein (E:C) Ags. To demonstrate further that this proliferation was specific for M. bovis Ags and in response to infection with M. bovis, we also stimulated purified γδ T cells from infected animals with Ags derived from other bacterial species, including L. borgpetersenii, B. ovis, or T. phagedenis (Supplemental Fig. 1B). Importantly, we did not observe significant proliferation by γδ T cells from M. bovis–infected animals in response to any of these irrelevant bacterial Ags. Purified γδ T cells from M. bovis–infected, but not uninfected, animals also exhibited the capacity to produce IFN-γ in direct response to both nonprotein and protein mycobacterial Ags, as measured by ELISA using cell culture supernatants (Fig. 2B) and by intracellular cytokine staining following overnight culture (Fig. 2C).
γδ T cells from M. bovis–infected animals respond directly to complex, nonprotein, and protein mycobacterial Ags. (A and B) Total γδ T cells and autologous monocytes were enriched from uninfected or virulent M. bovis 10-7428–infected animals, as described in 2Materials and Methods. Purified cells were labeled with CFSE, and 2.5 × 106 T cells/ml were cultured for 6 d at a 5:1 ratio with autologous APCs and IL-2 in the presence or absence of mycobacterial Ags, as in Fig. 1. (A) On day 6 of culture, cells were labeled with anti-bovine γδ TCR and analyzed for CFSE dilution by flow cytometry. Results shown in (A) were gated on total live cells and total γδ T cells and represent the percentage of total γδ T cells that proliferated in response to mycobacterial Ags, as measured by CFSE dilution. (B) Supernatants from (A) were analyzed by ELISA for IFN-γ. (C) MACS-purified γδ T cells from uninfected, virulent M. bovis 95-1315–infected, or virulent M. bovis 10-7428–infected animals were cultured at 2.5 × 106 T cells/ml overnight in the presence of brefeldin A and the indicated Ags. Cells were stained for anti-bovine γδ TCR and intracellular IFN-γ and analyzed by flow cytometry. Results are gated on total live cells and total γδ T cells and represent the percentage of γδ T cells that are positive for IFN-γ. (A and C) Background (mock-stimulation) proliferation or IFN-γ production was subtracted; results represent change over mock. n = 5–8 animals/group. Data are mean ± SEM. Results are representative of two or three independent experiments. †p ≤ 0.1, *p ≤ 0.05, **p ≤ 0.01, versus uninfected control animals.
γδ T cells from M. bovis–infected animals respond directly to complex, nonprotein, and protein mycobacterial Ags. (A and B) Total γδ T cells and autologous monocytes were enriched from uninfected or virulent M. bovis 10-7428–infected animals, as described in 2Materials and Methods. Purified cells were labeled with CFSE, and 2.5 × 106 T cells/ml were cultured for 6 d at a 5:1 ratio with autologous APCs and IL-2 in the presence or absence of mycobacterial Ags, as in Fig. 1. (A) On day 6 of culture, cells were labeled with anti-bovine γδ TCR and analyzed for CFSE dilution by flow cytometry. Results shown in (A) were gated on total live cells and total γδ T cells and represent the percentage of total γδ T cells that proliferated in response to mycobacterial Ags, as measured by CFSE dilution. (B) Supernatants from (A) were analyzed by ELISA for IFN-γ. (C) MACS-purified γδ T cells from uninfected, virulent M. bovis 95-1315–infected, or virulent M. bovis 10-7428–infected animals were cultured at 2.5 × 106 T cells/ml overnight in the presence of brefeldin A and the indicated Ags. Cells were stained for anti-bovine γδ TCR and intracellular IFN-γ and analyzed by flow cytometry. Results are gated on total live cells and total γδ T cells and represent the percentage of γδ T cells that are positive for IFN-γ. (A and C) Background (mock-stimulation) proliferation or IFN-γ production was subtracted; results represent change over mock. n = 5–8 animals/group. Data are mean ± SEM. Results are representative of two or three independent experiments. †p ≤ 0.1, *p ≤ 0.05, **p ≤ 0.01, versus uninfected control animals.
Together, our results suggest that γδ T cells from M. bovis–infected animals proliferate and produce cytokine specifically and directly in response to stimulation with defined protein and nonprotein mycobacterial products. Importantly, addition of exogenous IL-2 was required for significant γδ T cell proliferation (data not shown). These results are in agreement with previous reports (61, 62) and suggest that γδ T cells likely require additional cytokine signals, such as IL-2 from αβ T cells, to mount a full effector response.
CD4 T cells are the predominant producers of IL-17 in cattle during M. bovis infection
IFN-γ is a key cytokine in the immune response against M. bovis and is known to be produced by both CD4 and γδ T cells following infection (3). However, accumulating evidence also suggests the importance of additional inflammatory cytokines, particularly IL-17, as M. tuberculosis and BCG induce significant IL-17 responses in both mice and humans (36, 63–65). In mice, although there is a minor contribution by IL-17+ CD4 T cells, the Mycobacterium-specific IL-17 response appears to be dominated by γδ T cells (64, 65). In humans with active TB, the result is less clear, with some reports citing dominant IL-17 production by γδ T cells (37) and others citing CD4 T cells (35, 36).
In the bovine, there is evidence for increased IL-17 mRNA (66, 67), but it has not been confirmed that IL-17 protein secretion is a component of the M. bovis–specific response. Furthermore, although it has been assumed that, like mice, γδ T cells are the dominant producers of IL-17 during bovine TB, this has not been proven. Thus, we next chose to confirm that IL-17 protein is produced by M. bovis–specific T lymphocytes and to elucidate the individual contribution of γδ T cells and CD4 T cells to this response in cattle. PBMCs from uninfected and M. bovis–infected animals were cultured for 72 h in the presence or absence of PPD-B or E:C, and supernatants were analyzed by ELISA for IL-17A protein. As seen in Fig. 3, PBMCs from M. bovis–infected animals secreted significant levels of IL-17A in response to both PPD-B and E:C (Fig. 3A), whereas those from uninfected animals did not. We confirmed these results by ELISPOT assay, and measured significant numbers of Ag-specific IL-17A–secreting cells in the blood of infected animals (Fig. 3B).
CD4 T cells are the predominant producers of IL-17A during virulent M. bovis infection in cattle. (A) PBMCs from uninfected or virulent M. bovis 95-1315–infected animals were cultured for 72 h at 2.5 × 106 cells/ml, with or without 5 μg/ml PPD-B or 2 μg/ml recombinant E:C. Culture supernatants were assessed for IL-17A, as measured by ELISA. (B) PBMCs from M. bovis 10-7428–infected animals were stimulated with 5 μg/ml PPD-B or 2 μg/ml recombinant E:C in ELISPOT plates (2 × 105 PBMC/well) for 18 h prior to spot development and counting. Plates were developed, as described in 2Materials and Methods. Results are expressed as spot-forming units (sfu)/2 × 105 cells. (C) Total γδ T cells, total CD4 T cells, and APCs were enriched from M. bovis 10-7428–infected animals. γδ T cells and autologous monocytes or CD4 T cells and autologous monocytes (5:1 ratio) were cultured for 72 h at 2.5 × 105 cells/well with 5 μg/ml PPD-B or 2 μg/ml recombinant E:C. Culture supernatants were assessed for IL-17A protein by ELISA. (D) Total γδ T cells, total CD4 T cells, and autologous APCs were enriched as in (C) and stimulated for 18 h with PPD-B or recombinant E:C in ELISPOT plates (2 × 105 T cells/well). Plates were developed as in Materials and Methods. Results are expressed as sfu/2 × 105 T cells. n = 5–8 animals/group. Data are mean ± SEM. Results are representative of two independent experiments. *p ≤ 0.05, **p ≤ 0.01, versus uninfected animals or as indicated.
CD4 T cells are the predominant producers of IL-17A during virulent M. bovis infection in cattle. (A) PBMCs from uninfected or virulent M. bovis 95-1315–infected animals were cultured for 72 h at 2.5 × 106 cells/ml, with or without 5 μg/ml PPD-B or 2 μg/ml recombinant E:C. Culture supernatants were assessed for IL-17A, as measured by ELISA. (B) PBMCs from M. bovis 10-7428–infected animals were stimulated with 5 μg/ml PPD-B or 2 μg/ml recombinant E:C in ELISPOT plates (2 × 105 PBMC/well) for 18 h prior to spot development and counting. Plates were developed, as described in 2Materials and Methods. Results are expressed as spot-forming units (sfu)/2 × 105 cells. (C) Total γδ T cells, total CD4 T cells, and APCs were enriched from M. bovis 10-7428–infected animals. γδ T cells and autologous monocytes or CD4 T cells and autologous monocytes (5:1 ratio) were cultured for 72 h at 2.5 × 105 cells/well with 5 μg/ml PPD-B or 2 μg/ml recombinant E:C. Culture supernatants were assessed for IL-17A protein by ELISA. (D) Total γδ T cells, total CD4 T cells, and autologous APCs were enriched as in (C) and stimulated for 18 h with PPD-B or recombinant E:C in ELISPOT plates (2 × 105 T cells/well). Plates were developed as in Materials and Methods. Results are expressed as sfu/2 × 105 T cells. n = 5–8 animals/group. Data are mean ± SEM. Results are representative of two independent experiments. *p ≤ 0.05, **p ≤ 0.01, versus uninfected animals or as indicated.
We next chose to examine the individual contribution of bovine CD4 T cells and γδ T cells to the M. bovis–specific IL-17 response. CD4 and γδ T cells from M. bovis–infected cattle both produced IL-17A protein; however, we observed significantly more in the supernatants from purified CD4 T cells compared with purified γδ T cells (Fig. 3C). We obtained similar results by ELISPOT assay, with ∼2-fold more IL-17+ CD4 T cells than IL-17+ γδ T cells following stimulation with either PPD-B or E:C (Fig. 3D). Similar results also were observed by intracellular cytokine staining (data not shown). It is important to note that, although the population of CD4 T cells producing IL-17A is significantly greater than the population of γδ T cells, the numbers of IL-17–producing cells from both cell types remain quite large, indicating the presence of a particularly robust IL-17 response in these animals. We did not observe any pronounced difference in spot size between the CD4 and γδ T cell ELISPOTs (data not shown) or in mean fluorescence intensity by flow cytometry (data not shown), indicating that the two cell types likely produced similar amounts of IL-17 on a per-cell basis. Importantly, our results demonstrate a previously unrecognized similarity in the IL-17 response of humans and cattle against Mycobacterium and reinforce the importance of using cattle as a model for human TB.
Bovine γδ T cell subsets respond to mycobacterial peptide Ags via a mechanism that requires direct cell–cell contact and the γδ TCR
Our observation that γδ T cells respond specifically to M. bovis protein Ags, particularly E:C, was unexpected, given that γδ T cells are primarily thought to recognize unprocessed and nonprotein Ags. In a study by Li and Wu (68), ESAT6 responsiveness by human γδ T cells occurred independently of Ag processing and presentation, suggesting that recognition may be based upon conserved protein three-dimensional conformation as opposed to unique protein sequence. From this hypothesis, γδ T cells would be expected to respond to whole recombinant E:C via recognition of its three-dimensional structure but not respond to peptide Ags derived from it. Thus, we purified γδ T cells from the blood of virulent M. bovis–infected or uninfected animals as in Figs. 2 and 3, labeled them with CFSE, and placed them in culture with IL-2 and autologous APCs in the presence or absence of whole recombinant E:C, a peptide mixture derived from E:C, or a mixture of irrelevant control peptides. On day 6 of culture, we measured γδ T cell proliferation by flow cytometry (Fig. 4). Similar to our results in Fig. 2, we observed specific and robust proliferation in response to whole E:C by cells from M. bovis–infected, but not uninfected, animals (Fig. 4A, 4B). Surprisingly, however, we also observed significant γδ T cell division in response to peptides derived from E:C. This proliferation was specific to M. bovis infection, because γδ T cells from uninfected animals did not divide in response to the E:C peptide mixture (Fig. 4A, 4B), nor did γδ T cells proliferate in response to a mixture of irrelevant control peptides (Fig. 4B). We also measured IFN-γ secretion by ELISA on cell culture supernatants and detected significant cytokine production by γδ T cells in response to both E:C protein and peptides (Fig. 4B, right panel). To our knowledge, this is the first demonstration of bovine γδ T cells proliferating and producing cytokine in response to peptide Ags specific to M. bovis.
γδ T cells from M. bovis–infected animals respond specifically to peptides from M. bovis in a manner dependent upon direct T cell–APC contact and the γδ TCR. Total γδ T cells and monocytes were enriched from uninfected or virulent M. bovis 10-7428–infected animals as in Fig. 2. Purified cells were labeled with CFSE, and 2.5 × 106 T cells/ml were cultured for 6 d at a 5:1 ratio with autologous APCs and IL-2 in the presence or absence of E:C, a peptide mixture from E:C, or an irrelevant control peptide mixture. (A and B) On day 6 of culture, cells were labeled with anti-bovine γδ TCR and analyzed for CFSE dilution by flow cytometry. Representative division profiles are shown in (A) and were gated on total live cells and total γδ T cells. (B) Percentage of γδ T cells that divided in response to mycobacterial Ags, as measured by CFSE dilution (left panel). Culture supernatants were analyzed by ELISA for IFN-γ (right panel). n = 5–8 animals/group. Data are mean ± SEM. Results are representative of two independent experiments. †p ≤ 0.01, *p ≤ 0.05, **p ≤ 0.01, versus uninfected animals. (C) γδ T cells and autologous monocytes from M. bovis 10-7428–infected animals were prepared and cultured as in (B) (normal), or γδ T cells and monocytes were placed on opposite sides of a 0.4-μM Transwell and incubated for 6 d. Cells were analyzed by flow cytometry for CFSE dilution. n = 4 animals/group. Data are mean ± SEM. Results are representative of two independent experiments. †p ≤ 0.1, *p ≤ 0.05, versus normal cultures. (D) γδ T cells and autologous monocytes from M. bovis 10-7428–infected animals were prepared as in (B). Cells were cultured for 6 d at 2 × 106 cells/ml with IL-2 in the presence of 20 μg/ml isotype Ab or anti-bovine γδ TCR (GB21A)-blocking Ab, as outlined in 2Materials and Methods. γδ T cells were analyzed by flow cytometry for CFSE dilution. n = 7 animals/group. Data are mean ± SEM. Results are representative of two independent experiments. †p ≤ 0.1, *p ≤ 0.05, **p ≤ 0.01, versus isotype cultures.
γδ T cells from M. bovis–infected animals respond specifically to peptides from M. bovis in a manner dependent upon direct T cell–APC contact and the γδ TCR. Total γδ T cells and monocytes were enriched from uninfected or virulent M. bovis 10-7428–infected animals as in Fig. 2. Purified cells were labeled with CFSE, and 2.5 × 106 T cells/ml were cultured for 6 d at a 5:1 ratio with autologous APCs and IL-2 in the presence or absence of E:C, a peptide mixture from E:C, or an irrelevant control peptide mixture. (A and B) On day 6 of culture, cells were labeled with anti-bovine γδ TCR and analyzed for CFSE dilution by flow cytometry. Representative division profiles are shown in (A) and were gated on total live cells and total γδ T cells. (B) Percentage of γδ T cells that divided in response to mycobacterial Ags, as measured by CFSE dilution (left panel). Culture supernatants were analyzed by ELISA for IFN-γ (right panel). n = 5–8 animals/group. Data are mean ± SEM. Results are representative of two independent experiments. †p ≤ 0.01, *p ≤ 0.05, **p ≤ 0.01, versus uninfected animals. (C) γδ T cells and autologous monocytes from M. bovis 10-7428–infected animals were prepared and cultured as in (B) (normal), or γδ T cells and monocytes were placed on opposite sides of a 0.4-μM Transwell and incubated for 6 d. Cells were analyzed by flow cytometry for CFSE dilution. n = 4 animals/group. Data are mean ± SEM. Results are representative of two independent experiments. †p ≤ 0.1, *p ≤ 0.05, versus normal cultures. (D) γδ T cells and autologous monocytes from M. bovis 10-7428–infected animals were prepared as in (B). Cells were cultured for 6 d at 2 × 106 cells/ml with IL-2 in the presence of 20 μg/ml isotype Ab or anti-bovine γδ TCR (GB21A)-blocking Ab, as outlined in 2Materials and Methods. γδ T cells were analyzed by flow cytometry for CFSE dilution. n = 7 animals/group. Data are mean ± SEM. Results are representative of two independent experiments. †p ≤ 0.1, *p ≤ 0.05, **p ≤ 0.01, versus isotype cultures.
Despite the growing evidence for γδ T cell recognition of peptide/protein Ag, the mechanisms of this recognition continue to remain unclear (69). In our experience, bovine γδ T cells must interact with monocytes or other APCs to respond to mycobacterial Ags. However, it is unclear whether this interaction requires direct cell–cell contact (i.e., Ag presentation) or relies on signals from soluble cytokine mediators (e.g., IL-2). Thus, we next chose to determine whether γδ T cells require direct cell–cell interactions with APCs to recognize peptide/protein Ags derived from Mycobacterium. γδ T cells were purified out of PBMCs from virulent M. bovis–infected animals as in Figs. 2 and 3, labeled with CFSE, and cultured with IL-2 in the presence or absence of E:C protein or peptides at a 5:1 ratio, with autologous purified monocytes as APCs. APCs were placed with γδ T cells in the same culture (normal) or on opposite sides of a 0.4-μM pore-size Transwell. The Transwell allows secreted cytokines and soluble mediators to pass freely, but it prevents direct cell–cell interactions (i.e., presentation of mycobacterial proteins or peptides). On day 6 of culture, we analyzed γδ T cell proliferation by flow cytometry. As shown in Fig. 4C, when placed together in cultures with autologous APCs (normal), we observed significant proliferation by γδ T cells in response to E:C protein and peptides but not irrelevant control peptides (Fig. 4C). However, when γδ T cells were separated from APCs by Transwell, we observed no significant proliferation in response to either protein or peptide mixture (Fig. 4C). We also observed that purified γδ T cells failed to proliferate in response to the nonprotein Ag mAGP when separated from monocytes by Transwell (data not shown). Together, our results suggest that bovine γδ T cells require direct cell–cell contact with autologous APCs to recognize both protein and nonprotein Ags from Mycobacterium.
γδ T cells respond to stimulation via their TCR, but they also can recognize microbial products through PRRs, such as WC1 and TLR (14, 48, 70, 71). Thus, we next chose to determine whether γδ T cell recognition of mycobacterial protein and peptide Ags requires signaling through the TCR. γδ T cells and autologous monocytes were purified from virulent M. bovis–infected animals as above, labeled with CFSE, and cultured with IL-2 in the presence or absence of E:C protein or peptides and 20 μg/ml anti-bovine γδ TCR or isotype Ab. We then analyzed T cell proliferation on day 6 of culture. As seen in Fig. 4D, γδ T cells cultured in the presence of isotype Ab divided robustly in response to both protein and peptides, whereas those cultured in the presence of the TCR-blocking Ab were significantly inhibited, indicating that γδ T cell recognition of mycobacterial Ags requires signaling through the TCR. As further confirmation, purified γδ T cells also failed to proliferate in response to the nonprotein Ag mAGP in the presence of the TCR-blocking Ab (data not shown). Our results are in agreement with several previous reports (14, 21, 48, 52, 70) suggesting that γδ T cell functions, such as proliferation and IFN-γ production, require stimulation through both the TCR and additional PRRs, such as WC1 or TLR.
Bovine γδ T cell subsets respond to mycobacterial peptide Ags via a mechanism that is independent of Ag presentation via MHC class I or MHC class II
γδ T cells, unlike αβ T cells, are not MHC restricted (59). However, given our results suggesting a requirement for TCR signaling in the activation of M. bovis–specific γδ T cells, we next chose to confirm that recognition of M. bovis–derived proteins and peptides did not require Ag presentation via MHC class I or II. We again isolated γδ T cells and monocytes from M. bovis–infected animals and cultured these cells with IL-2 in the presence or absence of E:C protein or peptides and 20 μg/ml anti-bovine MHC class I (Fig. 5A), anti-bovine MHC class II (Fig. 5B), or the appropriate isotype Ab. We then analyzed T cell proliferation (Fig. 5) and IFN-γ secretion (data not shown) on day 6 of culture. As seen in Fig. 5A and 5B, γδ T cells from virulent M. bovis–infected animals proliferated in response to E:C protein and peptides, and this division was not inhibited by the addition of the anti-bovine MHC class I– or anti-bovine MHC class II–blocking Abs. Importantly, in parallel cultures, we observed a significant reduction in CD8 T cell proliferation in response to PPD-B when cultured with the MHC class I–blocking Ab (Supplemental Fig. 1C) and a significant reduction in CD4 T cell proliferation in response to E:C protein and peptide in the presence of the anti-bovine MHC class II–blocking Ab mixture (Supplemental Fig. 1D), confirming that our blockade was effective. Together, our results suggest that bovine γδ T cells respond specifically to both whole recombinant E:C protein and the peptides derived from it and that this recognition requires direct cell–cell contact with an APC and signaling through the γδ TCR but is independent of Ag presentation via MHC class I or II.
γδ T cells from M. bovis–infected animals respond specifically to proteins and peptides from M. bovis in a manner that is independent of MHC class I or MHC class II. γδ T cells and autologous monocytes from M. bovis 10-7428–infected animals were prepared as in Fig. 4. Cells were cultured for 6 d at 2 × 106 cells/ml with IL-2 in the presence of 20 μg/ml isotype Ab or 20 μg/ml anti-bovine MHC class I–blocking Ab (A) or anti-bovine MHC class II–blocking Ab (B), as outlined in 2Materials and Methods. γδ T cells were analyzed by flow cytometry for CFSE dilution. n = 7 animals/group. Data are mean ± SEM. Results are representative of two independent experiments. †p ≤ 0.1, *p ≤ 0.05, versus isotype cultures.
γδ T cells from M. bovis–infected animals respond specifically to proteins and peptides from M. bovis in a manner that is independent of MHC class I or MHC class II. γδ T cells and autologous monocytes from M. bovis 10-7428–infected animals were prepared as in Fig. 4. Cells were cultured for 6 d at 2 × 106 cells/ml with IL-2 in the presence of 20 μg/ml isotype Ab or 20 μg/ml anti-bovine MHC class I–blocking Ab (A) or anti-bovine MHC class II–blocking Ab (B), as outlined in 2Materials and Methods. γδ T cells were analyzed by flow cytometry for CFSE dilution. n = 7 animals/group. Data are mean ± SEM. Results are representative of two independent experiments. †p ≤ 0.1, *p ≤ 0.05, versus isotype cultures.
Both WC1.1+ and WC1.2+ γδ T cells respond to M. bovis
WC1 has been hypothesized to act as a PRR on bovine γδ T cells, binding pathogen components and lending specificity or amplification to TCR-mediated Ag recognition (21). In support of this, the serologically defined WC1.1+ γδ T cell subpopulation responds specifically to Leptospira, and WC1 plays a direct role in this recall response (29, 30), whereas the serologically defined WC1.2+ γδ T cell subpopulation responds specifically to infection with A. marginale (48). Serologically defined WC1.1+ γδ T cells selectively accumulate in the lungs and draining LNs of animals vaccinated with M. bovis BCG (34); however, it has not been clearly proven that WC1.1+ γδ T cells are the dominant subset mediating the M. bovis–specific γδ T cell response. To this end, we again purified γδ T cells from the blood of uninfected and M. bovis–infected cattle, labeled them with CFSE, and cultured them in the presence of autologous APCs, IL-2, and selected mycobacterial Ags. On day 6, we examined the proliferation of WC1.1+, WC1.2+, and WC1− γδ T cells by flow cytometry (representative gating, Supplemental Fig. 2). As shown in Fig. 6, both WC1.1+ (Fig. 6A, 6C) and WC1.2+ (Fig. 6B, 6D) γδ T cell subsets proliferated in response to stimulation with complex (PPD-B), protein (E:C), and nonprotein (mAGP and LAM) Ags. WC1− γδ T cells have not been previously shown to respond to mitogen or experimental infection. In agreement, WC1− γδ T cells did not proliferate in response to either protein or nonprotein mycobacterial Ags (Supplemental Fig. 2C, 2D). We observed significant IFN-γ production, as measured by intracellular cytokine staining, from both WC1.1+ and WC1.2+ γδ T cell subsets in response to mycobacterial Ags (Supplemental Fig. 3). It is important to note that, in some animals, the overall frequency of WC1.1+ cells in circulation is greater—sometimes up to 2-fold more—than the overall frequency of the WC1.2+ γδ T cell subset. Thus, although the absolute number of WC1.1+ γδ T cells responding in these cultures is likely greater than the number of WC1.2+ cells, the frequency of responding cells is remarkably similar between the two subsets. In agreement with our results by intracellular cytokine staining (Supplemental Fig. 3), purified WC1.1+ and WC1.2+ γδ T cell subsets significantly upregulated expression of IFN-γ mRNA in response to stimulation with mycobacterial Ags (Supplemental Fig. 4A). Additionally, we observed increased message for IL-17A (Supplemental Fig. 4B) and, although not significant, a trend for increased expression of IL-10 mRNA (Supplemental Fig. 4C) by both subsets.
Both WC1.1+ and WC1.2+ γδ T cells respond to M. bovis Ags. Total γδ T cells and monocytes were enriched from uninfected or virulent M. bovis 10-7428–infected animals, as in Fig. 2. T cells were labeled with CFSE, and 2 × 106 cells/ml were cultured with autologous APCs and IL-2 and stimulated with PPD-B, E:C, mAGP, or LAM for 6 d. On day 6, cells were labeled with anti-bovine γδ TCR and anti-bovine WC1.1 (clone BAG25A) or anti-bovine WC1.2 (clone CACTB32A). CFSE dilution was analyzed by flow cytometry. Representative flow plots from an infected animal are shown for WC1.1+ γδ T cells (A) and WC1.2+ γδ T cells (B). Plots are gated on total live cells and total γδ T cells (upper panels) and WC1.1 or WC1.2, respectively (lower panels). Percentage of WC1.1+ (C) or WC1.2+ (D) γδ T cells that have diluted CFSE in response to stimulation with the indicated mycobacterial Ags. Background (mock) proliferation in (C) and (D) was subtracted from each stimulation condition, and results represent change over mock. n = 5–8 animals/group. Data are mean ± SEM. Results are representative of two or three independent experiments. †p ≤ 0.1, *p ≤ 0.05, compared with uninfected animals.
Both WC1.1+ and WC1.2+ γδ T cells respond to M. bovis Ags. Total γδ T cells and monocytes were enriched from uninfected or virulent M. bovis 10-7428–infected animals, as in Fig. 2. T cells were labeled with CFSE, and 2 × 106 cells/ml were cultured with autologous APCs and IL-2 and stimulated with PPD-B, E:C, mAGP, or LAM for 6 d. On day 6, cells were labeled with anti-bovine γδ TCR and anti-bovine WC1.1 (clone BAG25A) or anti-bovine WC1.2 (clone CACTB32A). CFSE dilution was analyzed by flow cytometry. Representative flow plots from an infected animal are shown for WC1.1+ γδ T cells (A) and WC1.2+ γδ T cells (B). Plots are gated on total live cells and total γδ T cells (upper panels) and WC1.1 or WC1.2, respectively (lower panels). Percentage of WC1.1+ (C) or WC1.2+ (D) γδ T cells that have diluted CFSE in response to stimulation with the indicated mycobacterial Ags. Background (mock) proliferation in (C) and (D) was subtracted from each stimulation condition, and results represent change over mock. n = 5–8 animals/group. Data are mean ± SEM. Results are representative of two or three independent experiments. †p ≤ 0.1, *p ≤ 0.05, compared with uninfected animals.
WC1-expressing subsets contribute to the M. bovis–specific γδ T cell response in cattle
There are 13 WC1 genes whose distribution defines unique subsets of bovine γδ T cells (25, 26). Although several subpopulations exist, serologically, γδ T cells can only be divided into three major subsets: WC1.1+, WC1.2+, and WC1.3+. With respect to nomenclature, the WC1 genes are referred to as WC1-1, WC1-2, and so forth. There is no correlation between the naming of the WC1 genes and the serological-based nomenclature of the WC1 groups (i.e., WC1.2+ are not named because they express WC1-2). Recently, Wang et al. (21) showed by mRNA silencing that the γδ T cell response to bacterial Ags was dependent upon WC1 expression, and they hypothesized that WC1 may act as a PRR, directly binding Ag and lending increased specificity to γδ T cell Ag recognition. It is of great interest to identify unique targets for the 13 WC1 genes and to elucidate how signals through individual WC1s and the γδ TCR are integrated to regulate Ag-specific responses. Thus, given our results demonstrating that both WC1.1+ and WC1.2+ γδ T cells respond to Mycobacterium, we next chose to determine which WC1 genes were expressed by the M. bovis–responsive γδ T cell subsets. PBMCs from four M. bovis–infected animals were labeled with CFSE and cultured in the presence or absence of PPD-B or E:C. On day 6, γδ T cells were FACS purified based upon their serologic expression of WC1.1 or WC1.2, as well as their ability to respond to M. bovis, as measured by CFSE dilution. FACS sorting was performed using a gating strategy similar to that outlined in Supplemental Fig. 2A and 2B. The purified cells were then analyzed by quantitative real-time PCR for expression of the 13 individual WC1 genes, as described (C. Chuang, H. Hsu, J.C. Telfer, C.L. Baldwin, submitted for publication). Results were normalized to expression of the housekeeping gene RPS9 and expressed as 2-ΔCt. Serologically defined WC1.1+ T cells that responded to PPD-B (Fig. 7A) or E:C (Fig. 7B) expressed mRNA for the genes WC1-1, WC1-2, WC1-3, WC1-8, WC1-10, and WC1-11. The presence of these multiple WC1 genes suggests that the M. bovis–specific γδ T cell response may not be restricted to a single population of WC1-expressing γδ T cells but rather is composed of a heterogeneous mix of subsets. As additional support, analysis of the serologically defined WC1.2+ population indicated that γδ T cells responding to PPD-B expressed mRNA for WC1-1, WC1-4, WC1-7, and WC1-9 (Fig. 7C), again indicating a heterogeneous response, because it was shown that WC1-4, WC1-7, and WC1-9 are expressed by the serologically designated WC1.2+ cells, whereas WC1-1 is expressed by a population defined by mAb reactivity as WC1.1+/WC1.2+ (C. Chuang et al, submitted for publication). Together, our results demonstrate that the Ag-specific γδ T cell response in virulent M. bovis–infected cattle is made up of a diverse population of WC1-expressing γδ T cell subsets.
Both WC1.1+ and WC1.2+ γδ T cells respond to M. bovis Ags. PBMCs from four M. bovis 10-7428–infected animals were labeled with CFSE, and 2.5 × 106 cells/ml were cultured for 6 d in the presence of PPD-B (A, C) or recombinant E:C (B, D). Cells were FACS purified based upon CFSE dilution (i.e., responsiveness to mycobacterial Ags), expression of the γδ TCR, and serologic detection of WC1.1 (A, B) or WC1.2 (C, D). Purified γδ T cell subsets were analyzed by quantitative real-time PCR for expression of the individual WC1 genes (WC1-1 through WC1-13). Results are normalized to expression of the housekeeping gene RPS9 and are expressed as 2−ΔCt. n = 4 individual animals.
Both WC1.1+ and WC1.2+ γδ T cells respond to M. bovis Ags. PBMCs from four M. bovis 10-7428–infected animals were labeled with CFSE, and 2.5 × 106 cells/ml were cultured for 6 d in the presence of PPD-B (A, C) or recombinant E:C (B, D). Cells were FACS purified based upon CFSE dilution (i.e., responsiveness to mycobacterial Ags), expression of the γδ TCR, and serologic detection of WC1.1 (A, B) or WC1.2 (C, D). Purified γδ T cell subsets were analyzed by quantitative real-time PCR for expression of the individual WC1 genes (WC1-1 through WC1-13). Results are normalized to expression of the housekeeping gene RPS9 and are expressed as 2−ΔCt. n = 4 individual animals.
Bovine γδ T cells accumulate in pulmonary granulomas during M. bovis infection
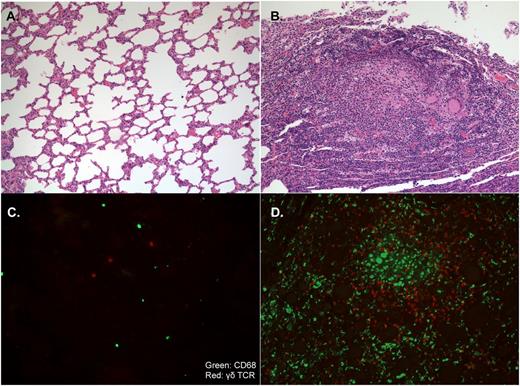
Thus far, we demonstrated robust Mycobacterium-specific responses by γδ T cells isolated from the peripheral blood of virulent M. bovis–infected cattle. However, the role of γδ T cells in tissues and lesions during in vivo M. bovis infection remains unclear. Therefore, we next chose to examine the localization and distribution of γδ T cells in the lesion sites of our M. bovis–infected cattle. Animals were euthanized ∼3.5 mo p.i., and the lungs and pulmonary LNs were collected for frozen and paraffin-embedded preservation. Gross and microscopic lesions were observed in the mediastinal and tracheobronchial LNs and lungs of all cattle examined (M.V. Palmer, unpublished observations). By these parameters, no significant differences were observed between cattle infected with M. bovis strain 95-1315 and those infected with strain 10-7428. Uninfected lungs displayed few macrophages and no pathology (Fig. 8A), whereas lungs from infected animals exhibited granulomas composed of macrophages and multinucleated giant cells (Fig. 8B). Immunofluorescence staining for CD68+ macrophages (green) and γδ TCR+ lymphocytes (red) showed only sporadic cells present in the lungs of uninfected controls (Fig. 8C). Numerous CD68+ macrophages and multinucleated giant cells (green) were observed infiltrating the center and periphery of granulomas in infected animals (Fig. 8D). Interestingly, frequent γδ TCR+ lymphocytes (red) also were observed accumulating in the lymphoid mantle around the periphery of granulomatous lesions. Based on previous reports (55, 66), we know that these peripheral areas of γδ T cell infiltration are sites of lymphoid cell accumulation and, thus, are also sites of CD4 T cell infiltration and, to a lesser extent, CD8 T cell infiltration. Immunofluorescence staining for CD4 T cells and γδ T cells confirmed that the two subsets colocalized to similar areas in the periphery of lung granulomas (data not shown). We also observed γδ T cell accumulation in the lymphoid mantle of tracheobronchial LN lesions (data not shown); however, we had difficulty discerning lymphoid follicles from granulomas by immunofluorescence microscopy; thus, we chose to examine only lung sections, because lesions could be visualized clearly in these tissues.
γδ T cells accumulate in M. bovis lesions in the lungs of infected cattle. The lungs of uninfected or virulent M. bovis 95-1315– or M. bovis 10-7428–infected animals were analyzed 3.5 mo after aerosol challenge for M. bovis lesion formation. Paraffin-embedded lung sections from uninfected (A) and infected (B) animals were stained with H&E (original magnification ×20). Frozen lung sections from control uninfected (C) and infected (D) animals were stained for immunofluorescence with anti-bovine CD68 (green) and anti-bovine γδ TCR (red), as described in 2Materials and Methods (original magnification ×20). No significant differences were observed between animals infected with M. bovis 95-1315 or 10-7428. Results are representative of four uninfected animals and nine infected animals.
γδ T cells accumulate in M. bovis lesions in the lungs of infected cattle. The lungs of uninfected or virulent M. bovis 95-1315– or M. bovis 10-7428–infected animals were analyzed 3.5 mo after aerosol challenge for M. bovis lesion formation. Paraffin-embedded lung sections from uninfected (A) and infected (B) animals were stained with H&E (original magnification ×20). Frozen lung sections from control uninfected (C) and infected (D) animals were stained for immunofluorescence with anti-bovine CD68 (green) and anti-bovine γδ TCR (red), as described in 2Materials and Methods (original magnification ×20). No significant differences were observed between animals infected with M. bovis 95-1315 or 10-7428. Results are representative of four uninfected animals and nine infected animals.
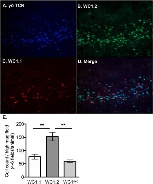
Having demonstrated that γδ T cells accumulate in the lung lesions of M. bovis–infected animals, we next chose to determine which serologically defined WC1 subsets were predominant. To this end, we stained lung granuloma sections from M. bovis–infected animals with Abs to the γδ TCR (Fig. 9A, blue), WC1.2 (Fig. 9B, green), and WC1.1 (Fig. 9C, red). A merged image of blue, green, and red is shown in Fig. 9D. We quantified the number of WC1.1+, WC1.2+, and WC1− γδ T cells infiltrating the lesion sites by counting high-magnification fields, as outlined in Materials and Methods. In cattle, there is a minor population of WC1.1+WC1.2+ double-positive γδ T cells. In the M. bovis lesions, we observed a very small number of cells that were positive for both WC1.1 and WC1.2 and that showed up as yellow on our merged images. The number of cells was too few to quantify, and these cells were excluded from our analysis. As seen in Fig. 9, although all three subsets of γδ T cells accumulated in pulmonary M. bovis lesions, the numbers of WC1.2+ γδ T cells were significantly increased over WC1.1+ and WC1− subsets (Fig. 9E). The frequency of circulating WC1.1+ γδ T cells declines with age, with the most significant changes in their numbers occurring prior to 6 mo of age (30). The animals used in these experiments were infected at 6 mo old and necropsied at 10 months (study 1) or 13 months (study 2) of age, and thus displayed relatively little change in the frequency of circulating WC1.1+ and WC1.2+ subsets (data not shown). Thus, our observation in M. bovis lesions is made even more interesting when we consider that the WC1.1+ population is larger than the WC1.2+ population in the majority of these animals, suggesting that the increased presence of WC1.2+ cells in the lesions is quite pronounced. Together, our results suggest that both WC1.1+ and WC1.2+ γδ T cells respond to mycobacterial Ags in vitro; however, WC1.2+ γδ T cells may in fact be the dominant subset responding to M. bovis at the site of infection.
WC1.2+ γδ T cells are the predominant subset in the lung lesions of M. bovis–infected cattle. Frozen sections of the pulmonary lesions from virulent M. bovis 95-1315–infected or M. bovis 10-7428–infected animals were analyzed by immunofluorescence for WC1.1+, WC1.2+, or WC1− γδ T cell subsets. Sections were stained for the γδ TCR (A, blue), WC1.2 (B, green), and WC1.1 (C, red), and the images were merged (D). Shown is an animal infected with M. bovis 95-1315 (original magnification ×40). No significant differences were observed between animals infected with M. bovis 95-1315 and M. bovis 10-7428. (E) The number of each γδ T cell subset/high-magnification field was counted, and four to six fields were counted per animal to determine the predominant γδ T cell subsets infiltrating M. bovis lesion sites. n = 11 infected animals. Data are mean ± SEM. **p ≤ 0.01.
WC1.2+ γδ T cells are the predominant subset in the lung lesions of M. bovis–infected cattle. Frozen sections of the pulmonary lesions from virulent M. bovis 95-1315–infected or M. bovis 10-7428–infected animals were analyzed by immunofluorescence for WC1.1+, WC1.2+, or WC1− γδ T cell subsets. Sections were stained for the γδ TCR (A, blue), WC1.2 (B, green), and WC1.1 (C, red), and the images were merged (D). Shown is an animal infected with M. bovis 95-1315 (original magnification ×40). No significant differences were observed between animals infected with M. bovis 95-1315 and M. bovis 10-7428. (E) The number of each γδ T cell subset/high-magnification field was counted, and four to six fields were counted per animal to determine the predominant γδ T cell subsets infiltrating M. bovis lesion sites. n = 11 infected animals. Data are mean ± SEM. **p ≤ 0.01.
Discussion
We report in this article that γδ T cells from virulent M. bovis–infected animals proliferate and produce IFN-γ in specific and direct response to the complex mycobacterial Ag PPD-B, the nonprotein mycobacterial Ags LAM and mAGP, and the protein Ag E:C. We further demonstrate for the first time, to our knowledge, that bovine γδ T cells recognize peptide Ags derived from the mycobacterial protein E:C via a mechanism that requires direct cell–cell contact with an APC and signaling through the γδ TCR, but it is independent of MHC class I– or class II–mediated Ag presentation. Interestingly, the bovine γδ T cell response is composed of a heterogeneous mix of WC1-expressing subsets, because we observe accumulation of both WC1.1+ and WC1.2+ γδ T cell subsets in vivo at the site of pulmonary M. bovis lesions, as well as proliferation and cytokine production by both WC1.1+ and WC1.2+ γδ T cell subsets in vitro in response to stimulation with mycobacterial Ags. Finally, to our knowledge, we demonstrate for the first time that virulent M. bovis infection induces a significant IL-17A protein response in cattle and that CD4 T cells are the major source of IL-17 protein following stimulation with mycobacterial Ags. Our results are a key step in understanding the role of WC1-expressing γδ T cell subsets in the immune system of the bovine, but also more broadly, because cattle make an excellent model of mycobacterial infections in humans and other species, our results enhance our understanding of the role of γδ T cells in the immune response to mycobacterial infections in general.
Despite emerging evidence that differential expression of WC1 molecules correlates with immunologic function, few studies have examined the distribution of WC1-expressing subsets responding to M. bovis infection. A recent report by Price et al. (34) demonstrated that aerosol inoculation of calves with M. bovis BCG induced a selective accumulation of WC1.1+ γδ T cells in the lungs and LNs of the head and neck, suggesting that specifically this subset responded to M. bovis infection. In our experiments, we observed M. bovis–specific proliferation and IFN-γ production by the WC1.1+ γδ T cell subset; however, we also noted robust cell division and cytokine production by the WC1.2+ γδ T cell subset in response to stimulation with mycobacterial products. In the lungs of our virulent M. bovis–infected animals, we observed increased frequencies of the WC1.1+, WC1.2+, and WC1− γδ T cell subsets; however, in contrast to the results of Price et al. (34), we observed the most significant accumulation with the WC1.2+ subset. There are several potential factors that may contribute to these disparate observations. Price et al. (34) examined M. bovis–specific immunity that develops following vaccination; thus, their animals were inoculated with the attenuated BCG strain of M. bovis, whereas we used two strains of virulent M. bovis. The kinetics of infection may also be playing a key role in the differences observed by us compared with the study by Price et al. (34). During our experimental infection, we analyzed tissues at ∼3.5 mo p.i.; at this time point, the animals have progressed well into the chronic stage of disease, with robust M. bovis–specific adaptive immune responses and the development of late-stage granulomatous lesions in the lungs and draining LNs. In contrast, Price et al. (34) examined their animals 1 wk after experimental challenge with BCG. At this time, calves have not yet developed a robust M. bovis–specific adaptive immune response; further, with BCG inoculation, these animals will not develop pulmonary lesions. It is interesting to hypothesize that, given the proinflammatory role of WC1.1+ cells and their propensity for IFN-γ production, this subset may act as the first line of defense against M. bovis challenge, being recruited in the first 1–2 wk p.i., whereas additional WC1-expressing subsets (i.e., members of the serologically defined WC1.2+ population) may then be recruited into the later M. bovis–specific response. However, in the peripheral blood of our animals, we did comparisons of the bovine γδ T cell response early postinfection (i.e., 2 wk p.i.) and much later in infection (i.e., week 12 p.i. in experiment 1 and week 16 p.i. in experiment 2) and did not observe any notable differences in the overall magnitude of the response or the responding proportions of WC1.1+ and WC1.2+ γδ T cell subsets (data not shown).
The expression of IL-17, an inflammatory cytokine involved in granulopoiesis and neutrophil recruitment, is significantly induced in response to infection with Mycobacterium (36, 37, 65, 72). In cattle, there were reports (66, 73) of IL-17 mRNA expression following infection with M. bovis; however, to our knowledge, ours is the first confirmation that lymphocytes from M. bovis–infected animals produce IL-17A protein (Fig. 3). In our animals, the numbers of both CD4 and γδ T cells producing IL-17 were quite large, indicating that the IL-17 response is a major component of the Mycobacterium-specific response in cattle. Studies from mice suggest that γδ T cells are the predominant producers of the inflammatory cytokine IL-17 during the response to Mycobacterium (37, 64, 65, 72). In a mouse model of M. tuberculosis infection, Lockhart et al. (64) provided convincing evidence that γδ T cells are the first source of IL-17 and are present in the lungs and spleen prior to αβ T cell priming or measurable IFN-γ production. Although IL-17+ CD4 T cells were present in the tissues at later time points p.i., the investigators went on to demonstrate that γδ T cells continued to be the predominant source of IL-17 throughout the course of infection. In contrast, we demonstrate in this study that, in cattle infected with M. bovis, CD4 T cells are in fact the predominant source of IL-17A following stimulation with mycobacterial Ags; almost 2-fold more IL-17+ CD4 T cells than IL-17+ γδ T cells are observed at both early (weeks 4 and 5) and late (week 16) time points after infection (data not shown). M. bovis–specific immune responses are undetectable prior to week 2–3 p.i. Our results are particularly interesting and may suggest an inherent difference in the Mycobacterium-specific immune response of cattle compared with rodents. However, when considering these possibilities, it is important to note that we measured IL-17–producing cells that were circulating in the blood of M. bovis–infected animals, whereas Lockhart et al. (64) examined T cells isolated from the lungs and spleen. Interestingly, reports by Jurado et al. (36) and Basile et al. (35), which examined IL-17 production by human PBLs isolated from active TB patients, concur with our results in cattle, with CD4 T cells being the dominant source of IL-17 cytokine following restimulation in vitro. However, the source of IL-17 in human TB patients remains debatable, as yet another report (37) showed predominant IL-17 production by γδ T cells.
Our observation that bovine γδ T cells respond to peptide Ags derived from E:C was particularly unexpected. Classically, it is described that γδ T cells respond to unprocessed and nonproteinaceous Ags via a mechanism that is TCR dependent but not MHC restricted (14, 74, 75). However, this dogma has changed because γδ T cells have been described to respond to an incredibly diverse array of Ags, including prenyl pyrophosphates, cell surface molecules, and soluble proteins (reviewed in Ref. 76). Our results, and those of other investigators, previously suggested that bovine γδ T cells have the capacity to recognize protein Ags, specifically the mycobacterial protein E:C (17, 19); however, we assumed that the nature of this recognition depended upon protein conformation and three-dimensional structure, rather than recognition of a protein epitope, as was suggested for human γδ T cell recognition of ESAT6 (68, 77). Thus, we were surprised at the ability of an E:C peptide mixture to directly activate M. bovis–specific bovine γδ T cells (Fig. 4). However, this result is not without precedence, because bovine γδ T cells are known to respond to peptides derived from the major surface protein 2 of A. marginale (48), and a growing number of peptide Ags also have been described for murine and human γδ T cells (69). Of particular interest, it was demonstrated that γδ T cells isolated from humans vaccinated with BCG recognize BP3, a peptide derived from the oxidative stress response regulatory protein of M. bovis BCG (78) and, more recently, that γδ T cells isolated from pulmonary TB patients expand and secrete cytokines in response to two unique M. tuberculosis peptides, one derived from 1-deoxy-d-xylulose 5-phosphate synthase 2 and one derived from the extracellular region (extracellular peptide) of a mycobacterial transmembrane protein Rv2272 (79).
Many questions remain concerning the role of WC1 molecules in γδ T cell signaling and activation, as well as the significance of differential expression of these molecules by bovine γδ T cell subsets. We report in this article the accumulation of WC1.1+ and WC1.2+ γδ T cells within the pulmonary granulomatous lesions of M. bovis–infected animals, as well as responses by both subsets in vitro. A recent report by Wang et al. (21) demonstrates that expression of gene products encoding for WC1.1, specifically genes WC1-1, WC1-3, and WC1-2, is necessary for the Ag-specific activation of γδ T cells by Leptospira, suggesting that WC1 is acting as a PRR similar to TLRs. From these results, one can infer that different WC1 molecules are binding specific microbial products; thus, differential expression of WC1 can contribute to determining the Ag-specific activation of the cell. Given our results demonstrating the expression of several WC1 gene products by M. bovis–responsive γδ T cell subsets, it is possible that WC1 is recognizing several conserved motifs in mycobacterial Ags, although this seems unlikely, given the diverse array of complex, protein, and nonprotein Ags contributing to both WC1.1+ and WC1.2+ γδ T cell subset activation. It is also possible that WC1 is not contributing specifically (i.e., in the fashion of a PRR) to the M. bovis–specific response. Ultimately, the question of how signaling through the γδ TCR and the various forms of WC1 contribute to Ag-specific responses will be essential to our understanding of overall γδ T cell biology in cattle.
In conclusion, we provide evidence in this article for the critical contribution of γδ T cell subsets both in vitro and in vivo to the immune response to virulent M. bovis infection. In the future, it is imperative that we further our understanding of the functions of this poorly understood immune cell population to properly harness the γδ T cell response in the development of novel intervention strategies for both human and bovine TB.
Acknowledgements
We thank Bruce Pesch, Kristin Bass, Molly Stafne, Jessica Pollock, Emma Frimml-Morgan, Dr. Mayara Maggioli, Tracy Porter, and Theresa Waters for excellent technical assistance. We are grateful to Dr. Jennifer Wilson-Welder and Dr. Steven Olsen for the kind gift of reagents. We also thank the animal care staff for attentive care of the animals.
Footnotes
This work was supported by Agriculture and Food Research Initiative Competitive Grant 2011-67015-30736 from the U.S. Department of Agriculture National Institute of Food and Agriculture.
The online version of this article contains supplemental material.
Abbreviations used in this article:
- BCG
bacille Calmette–Guérin
- cRPMI
complete RPMI
- E:C
ESAT6:CFP10
- LAM
lipoarabinomannan
- LN
lymph node
- mAGP
mycolyl-arabinogalactan peptidoglycan
- p.i.
postinfection
- PK-WCS
proteinase K–digested whole-cell sonicate
- PPD-B
purified protein derivative from Mycobacterium bovis
- PRR
pattern recognition receptor
- TB
tuberculosis
- WC1
Workshop Cluster 1
- WCS
whole-cell sonicate.
References
Disclosures
The authors have no financial conflicts of interest.








