Abstract
Heparan sulfate proteoglycans (HSPGs) are ubiquitously expressed molecules that participate in numerous biological processes. We previously showed that HSPGs expressed on the surface of APCs can serve as receptors for a hybrid protein containing an HS ligand and an Ag, which leads to more efficient stimulation of Th cells. To investigate whether such behavior is shared by proteins with inherent HS-binding ability, we looked for proteins endowed with this characteristic. We found that diphtheria toxin and its nontoxic mutant, called CRM197, can interact with HS. However, we observed that their binding ability is higher at pH 6 than at pH 7.4. Therefore, as extracellular acidosis occurs during infection by various micro-organisms, we assessed whether HS-binding capacity affects MHC class II–restricted presentation at different pHs. We first observed that pH decrease allows CRM197 binding to HSPG-expressing cells, including APCs. Then, we showed that this interaction enhances Ag uptake and presentation to Th cells. Lastly, we observed that pH decrease does not affect processing and presentation abilities of the APCs. Our findings show that acidic pH causes an HSPG-mediated uptake and an enhancement of T cell stimulation of Ags with the inherent ability to bind HSPGs pH-dependently. Furthermore, they suggest that proteins from micro-organisms with this binding characteristic might be supported more efficiently by the adaptive immune system when acidosis is triggered during infection.
Introduction
Heparan sulfate proteoglycans (HSPGs) are glycoproteins ubiquitously distributed on the cell surface and in the extracellular matrix. They often represent alternative attachment points for extracellular proteins that target specific receptors (1). Thus, HSPGs modulate ligand–receptor encounters and participate in numerous biological processes. At pH 7.4, a wide spectrum of proteins is capable of binding either to the HS moieties of HSPGs, or to heparin, which is a highly sulfated form of HS (2). A large variety of endogenous molecules such as fibroblast growth factor (3), IFN-γ (4), superoxide dismutase (5), lipoprotein lipase (6), and most proteins involved in hemostasis (1, 7) have biological activities that partly depend on the interaction with ubiquitously expressed HSPGs. The ability to bind HSPGs is also carried by exogenous proteins from micro-organisms that use this property to invade cells and spread more efficiently in the body (8, 9). This is the case for pathogens with a natural tropism for cells of the immune system, such as HIV-1 (10), CMV (11), Leishmania donovani (12), and Leishmania amazonensis (13). This binding feature can also be exploited by the adaptive immune system. Indeed, we recently showed that an Ag previously coupled to an HSPG ligand can interact with HSPGs expressed on the surface of APCs. These molecules can then act either as receptors or as coreceptors and thus allow an increase in MHC class II–restricted presentation (14).
Our previous study showing the role of HSPGs in Ag uptake and MHC class II–restricted T cell presentation was done using hybrid proteins containing a model Ag (toxin α from Naja nigricollis) and an HS ligand (HIV-1 Tat protein), suggesting that a wild-type protein with the inherent capacity to bind the HS moieties of HSPGs should behave similarly. To investigate this, we decided to study another protein that contains clusters of arginine and lysine residues on its surface, because it is known that such motifs participate in binding to HS (15). Interestingly, we found that the 535-residue protein diphtheria toxin (DT) contains four clusters of basic residues in its primary sequence, suggesting its ability to bind HSPGs. However, the crystal structure of DT, defined at pH 7.5, shows that three of the potential HS-binding motifs are surface-exposed, whereas the fourth is partly buried (16). Hence, it ensued that the potential HS-binding site might be either directly available for interaction or unavailable at pH 7.5. However, we speculated that the burial might not be a limitation on binding in some physiological conditions of the immune response. Indeed, DT is an A/B type bacterial toxin (17) sensitive to pH decrease with transient pH-dependent conformations (18). It is known that a pH decrease occurs during the inflammatory response (19–21) as well as during exocytosis of lysosomes (22) and that acidosis allows an increase of the cytotoxic immune response (23) and of the antimicrobial immune response (24). Therefore, to investigate whether DT is really endowed with HS-binding ability and whether this characteristic affects its T cell presentation, we decided to perform studies at pH 7.4 and pH 6. In these studies, we mainly used a structurally similar nontoxic mutant of DT, called CRM197, which differs from the parent protein by a single residue mutation located in the catalytic domain (25, 26). In the present study, we describe the results of binding to purified HS- and HSPG-expressing cells and the effects of this binding on uptake as well as on MHC class II–restricted presentation to Th cells.
Materials and Methods
Proteins and peptides
DT and CRM197 were from Sigma-Aldrich (St. Quentin en Fallavier, France). ZZDTR-BD is a fusion protein containing a double domain from protein A of Staphylococcus aureus, and the receptor-binding domain (sequence 385–535 of DT) was produced as previously described (27). Briefly, Escherichia coli BL21(DE3)LysS was used as the host for the expression of ZZDTR-BD. Freshly transformed cells were grown in 100 ml tryptic soy broth (Difco, Detroit, MI) supplemented with glucose (5 g/l), ampicillin (200 μg/ml), and chloramphenicol (30 μg/ml). The cells from a 60-ml overnight culture at 37°C were used to inoculate a 3-l fermenter (Chemap; B. Braun Sciencetec, Les Ulis, France). Cells were incubated at 37°C under aeration until the OD at 600 nm reached 0.5–1. Then, isopropyl-β-d-thiogalactopyranoside was added to a final concentration of 0.5 mM. After 3 h of induction, the cells were harvested by centrifugation (5000 × g for 15 min), resuspended in lysis buffer (30 mM Tris, 5 mM EDTA, 20% sucrose [pH 8]), and disrupted with an Eaton press. The supernatant containing the fusion protein was purified on an IgG-Sepharose column (Amersham IgG Sepharose 6 Fast Flow, catalog no. 17-0969-02; GE Healthcare); 10 ml crude extract was incubated overnight at 4°C with 10 ml IgG-Sepharose equilibrated in 50 mM Tris-HCl buffer (pH 7.6)/150 mM NaCl/0.05% Tween 20. After a wash with 10 bed volumes of the equilibration buffer, 2 bed volumes of 5 mM ammonium acetate (pH 5.0) was passed through the column. The bound protein was then eluted with 0.5 M hydrogen acetate (pH 3.4) and immediately neutralized with 1 M Tris-HCl buffer (pH 8). Finally, the IgG-bound fraction was further purified using a Mono Q 5/50 GL anion exchange column (GE Healthcare). The proteins were eluted by a linear 0–1 M gradient of NaCl in Tris buffer (20 mM) pH 8. Purity was assessed using gel electrophoresis and LPS content using HEK-TLR4 cells (Invivogen).
pDT(165–179), pDT(185–199), pDT(207–221), and pDT(453–467) were synthesized on a 25 μmol scale using Fmoc chemistry standard side chain protection on a Prelude synthesizer (Protein Technologies) using ChemMatrix Rink amide resin (Sigma-Aldrich, St. Quentin en Fallavier, France). O-(6-chlorobenzotriazol-1-yl)-N,N,N′,N′-tetramethyluronium hexafluorophosphate (HCTU; Activotec, Cambridge, U.K.) was used as coupling reagent in the presence of N-methylmorpholine (NMM; Sigma-Aldrich, St. Quentin en Fallavier, France). Each coupling step was carried out twice for 5 min using a mixture of 5/5/10 equivalents Fmoc-AA/HCTU/NMM in N-methylpyrrolidone (NMP; 0.1 M final) followed by a capping step of 5 min with a solution of acetic anhydride/NMM at 1/1 (v/v) in NMP (2.5 ml). Fmoc deprotection was performed twice for 2 min using 2 ml 20% piperidine solution in NMP. Cleavage and deprotection were done for 2 h using a mixture of trifluoroacetic acid/anisole/thioanisole/H2O/triisoprolylsilane (82.5/5/5/5/2.5 [v/v]). The crude material was precipitated twice with cold diethyl ether and subsequently dissolved in 10% aqueous acetic acid. The peptides were purified by HPLC on a Waters semipreparative C18 XBridge column. The peptides and proteins were characterized by mass spectrometry and their purity was assessed by HPLC. They were kept freeze-dried at −20°C.
Binding to heparin
Peptide binding.
Microtiter plates (Nunc, Roskilde, Denmark) were coated overnight at 4°C with a 0.05 M phosphate buffer (pH 7.2) containing 10 μg/ml peptides. The plates were then saturated with 0.1 M phosphate buffer (pH 7.2) containing 0.3% BSA. After washing, serial dilutions of biotinylated heparin were added for 30 min at room temperature in 0.1 M phosphate buffer containing 0.1% BSA at pH 7.4. Binding was assessed using streptavidin conjugated to peroxidase (Interchim, Montluçon, France) and ABTS (Sigma-Aldrich, Munich, Germany) as substrate. Results are expressed as OD ± SD and each point corresponds to the mean of duplicates.
Protein binding.
Microtiter plates (Nunc) were coated overnight at 4°C with a 0.05 M phosphate buffer (pH 7.4) containing 1 μg/ml streptavidin. The plates were then saturated with 0.1 M phosphate buffer (pH 7.4) containing 0.3% BSA. Biotinylated heparin was incubated with serial dilutions of CRM197 (Santa Cruz Biotechnology, Santa Cruz, CA) for 1 h at 37°C in 0.1 M phosphate buffer containing 0.1% BSA at pH 7.4 or pH 6. The mixtures were added to the microtiter plate. After 30 min of incubation at room temperature, binding was assessed using a rabbit anti-DT Ab, a goat anti-rabbit Ab conjugated to peroxidase (Interchim), and ABTS as substrate. The data are expressed as 10−3 OD ± SD and each point corresponds to the mean of duplicates.
Surface plasmon resonance spectroscopy studies
HS biotinylation was carried out in a specific manner so that a single biotin was exclusively introduced at the reducing end of the polysaccharide using a procedure previously described (28). Then, biotinylated HS was captured to a level of ∼250 resonance units on a flow cell of a streptavidin-functionalized CM4 sensor chip. Thus, upon capture onto the Biacore chip, the HS molecules are immobilized in an oriented manner. A second flow cell was left untreated and served as a negative control. Before use, the chip was submitted to several injections of 1.25 M NaCl and was then washed by continuous flow of running buffer (20 mM phosphate, P20 detergent [pH 6]). For binding assays, different concentrations of CRM197, in running buffer, were injected over the negative control and HS surfaces for 5 min at 25°C at a flow rate of 25 μl/min. The surfaces were regenerated with a 30-s pulse of 0.1% SDS followed by 5 min of a 2 M NaCl solution.
Binding to cells
A constant amount of CRM197 (1 μM) was incubated for 1 h at 37°C with or without heparin (30 μM) in two 0.1 M phosphate buffers containing 0.1% BSA equilibrated at pH 7.4 or pH 6. The mixtures were subsequently cooled and cells were added. After 30 min at 4°C, cells were washed twice with PBS containing 0.5% BSA and a rabbit anti-DT Ab was added. After 30 min incubation, cells were washed and a goat anti-rabbit conjugated to PE (Jackson ImmunoResearch Laboratories, West Grove, PA) was added and incubated for 30 min. CRM197 binding to cells was assessed by flow cytometry using a Guava instrument (Millipore, Molsheim, France) and data were analyzed using Guava Express Pro software. Results are expressed as geometric mean fluorescence intensity of cells incubated with Ag minus geometric mean fluorescence intensity of cells incubated without Ag.
In some experiments, cells were pretreated with heparinase III (30 mIU/ml; Sigma-Aldrich, Munich, Germany) in PBS containing 0.1% BSA, 0.1% glucose, and 0.2% porcine gelatin. After 1 h at 37°C, the mixtures were washed twice with PBS containing 0.5% BSA to stop the enzymatic reaction.
Uptake experiments
In the assessment of internalization by confocal microscopy, a fixed amount (1 μM) of the different Ags was added to A20 cells (105/well) and incubated for 1 h at 4°C. After washing, a polyclonal rabbit anti-DT Ab (1 μg) was added. After 1 additional hour at 4°C, FITC-labeled donkey anti-rabbit F(ab′)2 was added and incubated for another hour. Then, cells were washed and incubated for 4 h at 37°C and pH 7.4 to allow internalization. Cells were fixed with 4% PFA and nuclei were stained using DRAQ5. Internalization was observed by confocal microscopy.
For 1uantification of antigenic uptake by flow cytometry, CRM197 or ZZDTR-BD was incubated with A20 cells as for confocal microscopy experiments. After labeling with FITC-labeled donkey anti-rabbit F(ab′)2, some samples were incubated with or without trypsin (1 mg/ml) whereas others were incubated for 3 h at 37°C and pH 7.4 before incubation in the presence or absence of trypsin. The amount of internalized Ag was expressed as a ratio (geometric mean fluorescence intensity after trypsin treatment/geometric mean fluorescence intensity without trypsin treatment).
T hybridoma development
BALB/c mice were immunized at the base of the tail with 0.1 nmol ZZDTR-BD emulsified in CFA and then reinjected with 0.1 nmol CRM197 in IFA emulsion. Ten days after the last injection, inguinal lymph node cells were isolated and fused with BW-α by using polyethylene glycol 1500 as described previously (29). Briefly, T cells and BW-α were pooled in a 1:1 ratio and rinsed twice with DMEM serum-free medium. The pellet was overlaid with 0.5 ml polyethylene glycol 1500 for 1 min. After 2 min of rest, the tube was centrifuged for 4 min at 200 × g. The cells were resuspended slowly and incubated for 3 h at 37°C in DMEM supplemented medium containing 20% FCS. HAT (Sigma-Aldrich, Munich, Germany) was added to the cell culture and cells were plated in 96-well microplates (Nunc) with 5 × 105 irradiated (1500 rad) spleen cells. Once at confluence, hybridomas were screened by culture with A20 cells and ZZDTR-BD (0.55 μM). The presence of IL-2 in the supernatants was determined using an IL-2–dependent CTLL assay (see below). Results are expressed as cpm ± SD and each point correspond to the mean of duplicates. The positive hybridoma, called T4B6, was cloned by limiting dilutions.
T cell–stimulating assays
Characterization of the T4B6 hybridoma.
Experiments were performed using DCCM1 (Biological Industries, Beit Haemek, Israel) as a synthetic culture medium. Serial dilutions of either CRM197 or different DT peptide fragments were incubated in 96-well plates (Nunc) with A20 cells (5 × 104/well) and T4B6 cells (5 × 104/well) for 24 h at 37°C. The presence of IL-2 in the culture supernatants was evaluated using an IL-2–dependent cytotoxic T cell line (CTLL) and [3H-methyl]thymidine (1 μCi/well). The data are expressed as cpm ± SD and each point corresponds to the mean of duplicates.
T cell stimulation assay at neutral pH.
Serial dilutions of the different Ags were incubated in 96-well plates (Nunc) for 3 h at 37°C with A20 cells (5 × 104/well). T4B6 cells (5 × 104/well) were added for 24 h at 37°C. The presence of IL-2 in the culture supernatants was then assessed (see above). The data are expressed as cpm ± SD and each point corresponds to the mean of duplicates.
T cell–stimulating assays at different pHs.
Serial dilutions of the different Ags were incubated in 96-well plates (Nunc) for 3 h at 37°C at pH 7.4 or pH 6 (pH of DCCM1 lowered using hydrochloric acid). A20 cells (5 × 104/well) were added for 3 h. After washing, T4B6 cells were added (5 × 104/well) to DCCM1 medium for 24 h at 37°C. The presence of IL-2 in the culture supernatants was assessed. For the experiment with heparin as competitor, excess heparin (15 μM) was added to the Ag solutions for 3 h. The data are expressed as cpm ± SD and each point corresponds to the mean of duplicates.
Results
DT and CRM197 contain four clusters of basic residues in their primary sequence, and two of the four peptide fragments containing these sequences are able to bind to heparin
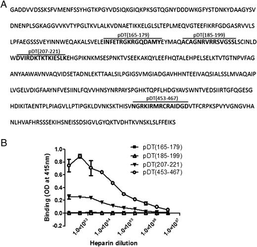
As clusters of arginine and lysine residues on the surfaces of proteins participate in binding to heparinoids (30), we looked for such clusters in DT and CRM197. We found four sequences with a BXBXBXB, BBXB, or BXBB pattern (Fig. 1A). The RGKR and RVRR sequences are located in the catalytic domain. The RDKTKTK sequence is located in the translocation domain, whereas the RKIRMRCR sequence is located in the receptor-binding domain. We synthesized four 15-mer DT peptides containing these sequences and assessed their ability to bind heparin, a sulfated polysaccharide that is representative of the HS family. In these experiments, we used a biotinylated heparin molecule (Hep-biot) and detected binding to the plates with streptavidin-peroxidase and ABTS as substrate. We did not find any binding for the peptides pDT(165–179) and pDT(185–199) (Fig. 1B). In contrast, we detected an optical signal in the wells respectively coated with pDT(207–221) and pDT(453–467) (Fig. 1B). These results suggested that DT and CRM197 are endowed with a heparin-binding ability.
DT has four regions containing clusters of basic residues (BXBXBXB, BBXB, or BXBB patterns). (A) Sequence of DT and of pDT(165–179), pDT(185–199), pDT(207–221), and pDT(453–467). (B) Binding of heparin to pDT(165–179), pDT(185–199), pDT(207–221), and pDT(453–467). Each peptide was coated on microplates. Serial dilutions of biotin-labeled heparin were added and binding was determined using streptavidin coupled to peroxidase and ABTS as substrate. Results are expressed as OD ± SD and each point corresponds to the mean of duplicates. Similar results were obtained in at least two independent experiments.
DT has four regions containing clusters of basic residues (BXBXBXB, BBXB, or BXBB patterns). (A) Sequence of DT and of pDT(165–179), pDT(185–199), pDT(207–221), and pDT(453–467). (B) Binding of heparin to pDT(165–179), pDT(185–199), pDT(207–221), and pDT(453–467). Each peptide was coated on microplates. Serial dilutions of biotin-labeled heparin were added and binding was determined using streptavidin coupled to peroxidase and ABTS as substrate. Results are expressed as OD ± SD and each point corresponds to the mean of duplicates. Similar results were obtained in at least two independent experiments.
DT and CRM197 bind heparin and HS in a pH-dependent manner
To assess whether DT and CRM197 are indeed able to bind heparin, we incubated Hep-biot with serial dilutions of these proteins at pH 7.4 or pH 6. Then, we transferred these mixtures to microtiter plates previously coated with streptavidin. Finally, we detected DT/Hep-biot (Fig. 2A) and CRM197/Hep-biot (Fig. 2B) interaction in the plates with a rabbit anti-DT Ab and a goat anti-rabbit IgG Ab coupled to peroxidase, with ABTS as substrate. For the two proteins, we detected a lower optical signal at pH 7.4 than at pH 6 (Fig. 2A, 2B), indicating that the pH decrease favors the interaction and that DT and CRM197 possess a similar pH-dependent heparin-binding ability. We also found increased binding at pH 6.5 (see Supplemental Fig. 1). In the following studies, we used only CRM197 as a model of a full-length protein that binds heparin pH-dependently, because it has the advantage of being nontoxic. The results obtained from the above studies indicated that the affinity of heparin for DT and CRM197 depends on pH. However, the binding of soluble heparin to protein in solution is only an approximation of the physiological interaction between cell membrane–anchored HSPG and proteins. We thus used a more physiologically relevant system, mimicking to some extent the cell membrane–anchored proteoglycans, in which HS was coupled in an oriented manner on the solid phase. Surface plasmon resonance spectroscopy was then used to measure changes in the refractive index caused by the interaction that occurred when CRM197 was passed across the immobilized HS surfaces. Dose-response experiments were performed with CRM197 injected in the 98–750 nM range and data were analyzed by fitting to binding curves using BIAevaluation 3.1 software. Consistent with the results of the immunoassay experiments, we did not observe any significant interaction at pH 7.4 (not shown). However, at pH 6, we determined that CRM197 binding to HS was characterized by an on rate (kon) of 2.5 × 104 M−1 s−1 and an off rate of 4.3 × 10−4 s−1, which leads to a KD of 17 nM (Fig. 2C). Altogether, our results indicate that DT and CRM197 bind heparin and HS in a pH-dependent manner.
DT and CRM197 bind heparin in a pH-dependent manner. Serial dilutions of DT (A) or CRM197 (B) were incubated with heparin in 0.1 M phosphate buffer at pH 7.4 or pH 6. Solutions were transferred to microplates coated with streptavidin. Binding was determined using a rabbit anti-DT Ab, an anti-rabbit F(ab′)2 coupled to peroxidase, and ABTS as substrate. Results are expressed as OD ± SD. Similar results were obtained in at least two independent experiments. (C) Seven hundred fifty, 500, 333, 222, 148, and 98 nM CRM197 (from top to bottom) was injected over an HS functionalized surface, and binding signals were measured as a function of time (0–300 s, association phase; 300–600 s, dissociation phase) by surface plasmon resonance. (D) Serial dilutions of ZZDTR-BD were incubated with heparin in 0.1 M phosphate buffer at pH 7.4 or pH 6. Solutions were transferred to microplates coated with streptavidin. Binding was determined using rabbit IgG, an anti-rabbit F(ab′)2 coupled to peroxidase, and ABTS as substrate. Results are expressed as OD ± SD. Similar results were obtained in at least two independent experiments
DT and CRM197 bind heparin in a pH-dependent manner. Serial dilutions of DT (A) or CRM197 (B) were incubated with heparin in 0.1 M phosphate buffer at pH 7.4 or pH 6. Solutions were transferred to microplates coated with streptavidin. Binding was determined using a rabbit anti-DT Ab, an anti-rabbit F(ab′)2 coupled to peroxidase, and ABTS as substrate. Results are expressed as OD ± SD. Similar results were obtained in at least two independent experiments. (C) Seven hundred fifty, 500, 333, 222, 148, and 98 nM CRM197 (from top to bottom) was injected over an HS functionalized surface, and binding signals were measured as a function of time (0–300 s, association phase; 300–600 s, dissociation phase) by surface plasmon resonance. (D) Serial dilutions of ZZDTR-BD were incubated with heparin in 0.1 M phosphate buffer at pH 7.4 or pH 6. Solutions were transferred to microplates coated with streptavidin. Binding was determined using rabbit IgG, an anti-rabbit F(ab′)2 coupled to peroxidase, and ABTS as substrate. Results are expressed as OD ± SD. Similar results were obtained in at least two independent experiments
Because the receptor-binding domain of DT contained the sequence that we previously observed as having the highest heparin-binding ability (see Fig. 1B), we investigated the binding characteristic of this domain. For this, we used a fusion protein, called ZZDTR-BD, which contains the receptor-binding domain (sequence 385–535 of DT, named DTR-BD) of DT and a double domain (named ZZ) derived from protein A of Staphylococcus aureus (27). Interestingly, we observed similar dose-response curves at pH 6 and pH 7.4 (Fig. 2D), indicating that the interaction is not affected by pH changes. Therefore, these observations and the studies showing that DT structure is affected by a low pH (31) suggest that the pH-dependent binding of DT and CRM197 is due to conformational changes leading to the unmasking of the binding site.
CRM197 binds HS expressed on the surface of Chinese hamster ovary cells and of an APC in a pH-dependent manner
To assess whether CMR197 is able to bind to HS-expressing cells, we used Chinese hamster ovary (CHO) cells because they express high levels of HSPGs (32). In a first series of experiments, we incubated CRM197 and CHO cells at different pHs and then used a polyclonal rabbit anti-DT and an anti-rabbit IgG coupled to PE to label the protein, and we revealed the interaction by flow cytometry. As shown in Fig. 3A, CRM197 binds CHO cells only when incubation occurs at pH 6 (raw flow cytometry data are shown in Supplemental Fig. 3). Then, we assessed CRM197 binding in the presence or absence of an excess of soluble heparin. At pH 7.4, we detected no interaction. At pH 6, we found that excess heparin reduced CRM197 binding to CHO cells by nearly 95% (Fig. 3B). These data indicate that the interaction depends on a CRM197 region endowed with heparin-binding ability. In another series of experiments, we compared binding of CRM197 to wild-type CHO cells and HSPG-deficient CHO cells (32). At pH 7.4, for both types of cells, we observed no interaction with CRM197 (Fig. 3D). At pH 6, we found that binding to HSPG-deficient CHO cells was ∼42% lower than that to wild-type CHO cells. Therefore, these results suggest that the HSPGs expressed on the cell surface contribute to the interaction with CRM197. In a third series of experiments, we preincubated wild-type CHO cells in the presence or absence of heparinase III, which cleaves the 1-4 bond located between hexosamine and glucuronic acid (33). Then, we added CRM197 to the treated cells. At pH 6, we observed an 80% decrease in binding when CHO cells were treated with heparinase III, indicating that the interaction is mainly mediated by HS (Fig. 3C). At pH 7.4, there was no effect of enzymatic treatment on binding. Altogether, these results demonstrate that a heparin-binding region of CRM197 enables the protein to bind in a pH-dependent manner to HS expressed at the surface of CHO cells.
CRM197 binds to HSPGs expressed on the surface of CHO cells only at pH 6. (A) A fixed amount (1 μM) of CRM197 was incubated with CHO cells at pH 7.4 or pH 6 for 1 h at 4°C. Binding was assessed using a rabbit anti-DT Ab and an anti-rabbit F(ab′)2 coupled to PE. Results are expressed as geometric mean fluorescence intensity of cells incubated with Ag minus geometric mean fluorescence intensity of cells incubated without Ag. (B) CRM197 was incubated with CHO cells at pH 7.4 or pH 6 in the presence or absence of excess heparin (30 μM) for 1 h at 4°C. Binding was assessed as in (A). (C) CHO cells were treated or not with heparinase III before incubation with a fixed amount of CRM197 (1 μM). Binding was assessed as in (A). (D) CRM197 was incubated with wild-type and HSPG-deficient CHO cells at pH 7.4 and pH 6. Binding was assessed as in (A). Similar results were obtained in at least two independent experiments.
CRM197 binds to HSPGs expressed on the surface of CHO cells only at pH 6. (A) A fixed amount (1 μM) of CRM197 was incubated with CHO cells at pH 7.4 or pH 6 for 1 h at 4°C. Binding was assessed using a rabbit anti-DT Ab and an anti-rabbit F(ab′)2 coupled to PE. Results are expressed as geometric mean fluorescence intensity of cells incubated with Ag minus geometric mean fluorescence intensity of cells incubated without Ag. (B) CRM197 was incubated with CHO cells at pH 7.4 or pH 6 in the presence or absence of excess heparin (30 μM) for 1 h at 4°C. Binding was assessed as in (A). (C) CHO cells were treated or not with heparinase III before incubation with a fixed amount of CRM197 (1 μM). Binding was assessed as in (A). (D) CRM197 was incubated with wild-type and HSPG-deficient CHO cells at pH 7.4 and pH 6. Binding was assessed as in (A). Similar results were obtained in at least two independent experiments.
To assess whether CRM197 binds to APCs, we used a B cell lymphoma, called A20 (34), which is often used to study MHC class II–restricted Ag presentation in the H-2d haplotype (35, 36). In a first series of experiments, we incubated fixed amounts of CRM197 and A20 cells and investigated binding using flow cytometry. We found a behavior similar to that observed in the CHO cell studies with an interaction only at pH 6 (Fig. 4A). Then, we assessed CRM197 binding in the presence or absence of an excess of soluble heparin. At pH 7.4, we did not detect any interaction. At pH 6, we found that the excess heparin abolished CRM197 binding to A20 cells (Fig. 4B). In a second series of experiments, we preincubated A20 cells in the presence or absence of heparinase III. Then, we added CRM197 to the treated cells. At pH 6, we observed a decrease of ∼50% in binding when A20 cells were treated with heparinase III, indicating that HS contributes to the interaction (Fig. 4C). At pH 7.4, there was no effect of enzymatic treatment on binding. Taken together, these results demonstrate that the pH decrease enables CRM197 to bind HS expressed by A20 cells via a heparin-binding region.
CRM197 binds to A20 cells only at pH 6. (A) A fixed amount (1 μM) of CRM197 was incubated with A20 cells at pH 7.4 or pH 6 for 1 h at 4°C. (B) CRM197 was incubated with A20 cells at pH 7.4 or pH 6 in the presence or absence of an excess of soluble heparin (30 μM) for 1 h at 4°C. (C) A20 cells were treated or not with heparinase III before incubation with a fixed amount of CRM197 (1 μM). Binding was assessed as in Fig. 3. Similar results were obtained in at least two independent experiments.
CRM197 binds to A20 cells only at pH 6. (A) A fixed amount (1 μM) of CRM197 was incubated with A20 cells at pH 7.4 or pH 6 for 1 h at 4°C. (B) CRM197 was incubated with A20 cells at pH 7.4 or pH 6 in the presence or absence of an excess of soluble heparin (30 μM) for 1 h at 4°C. (C) A20 cells were treated or not with heparinase III before incubation with a fixed amount of CRM197 (1 μM). Binding was assessed as in Fig. 3. Similar results were obtained in at least two independent experiments.
The increased binding of CRM197 at acidic pH increases both its APC uptake and MHC class II–restricted T cell presentation
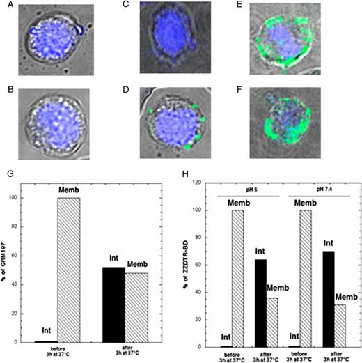
The observation that CRM197 binds A20 cells at acidic pH prompted us to assess whether this behavior affects its uptake. In a first series of experiments, we used confocal microscopy to investigate internalization by A20 cells of this protein that exhibits pH-dependent binding. Because ZZDTR-BD has a pH-independent heparin-binding ability (see Fig. 2D), we also investigated its uptake as a control of pH-independent binding. In these experiments, we first incubated A20 cells in the presence or absence of the Ags for 1 h at 4°C to favor cell surface interaction in the absence of uptake. Then, we used a rabbit polyclonal anti-DT Ab and F(ab′)2 and an anti-rabbit IgG labeled with fluorescein to label Ags and we incubated the cells for 3 h at 37°C. We monitored internalization by confocal microscopy. We observed no fluorescence in the absence of Ag (Fig. 5A, 5B), whatever the pH used, indicating that the Abs used for Ag detection and fluorescent labeling do not interact with cells. When binding of CRM197 was studied, we did not detect intracellular fluorescence at pH 7.4 (Fig. 5C), but we did at pH 6 (Fig. 5D). These results contrast with those observed for ZZDTR-BD, with which we found intracellular fluorescence at both pHs (Fig. 5E, 5F) of an intensity not significantly different, indicating that pH changes during the binding phase do not affect the internalizing capacity of the APCs.
CRM197 is efficiently internalized by A20 cells at pH 6. Internalization was assessed by confocal microscopy (original magnification ×63). A fixed amount (1 μM) of either CRM197 or ZZDTR-BD was incubated for 1 h at 4°C with A20 cells at pH 7.4 or pH 6. After washing, A20 cells were incubated with a rabbit anti-DT Ab and a donkey anti-rabbit Ab coupled to fluorescein and incubated for 3 h at 37°C to allow internalization. (A) No Ag, pH 7.4; (B) no Ag, pH 6; (C) CRM197, pH 7.4; (D) CRM197, pH 6; (E) ZZDTR-BD, pH 7.4; (F) ZZDTR-BD, pH6. Quantification of the antigenic uptake was assessed by flow cytometry; CRM197 or ZZDTR-BD was incubated with A20 cells as for confocal microscopy experiments. After labeling with donkey anti-rabbit Ab coupled to fluorescein, some samples were incubated with or without trypsin (1 mg/ml) whereas others were incubated for 3 h at 37°C before incubation in the presence or absence of trypsin. The amount of internalized and membrane-bound Ag is expressed as a percentage for CRM197 (G) and ZZDTR-BD (H). Similar results were found in two separate experiments.
CRM197 is efficiently internalized by A20 cells at pH 6. Internalization was assessed by confocal microscopy (original magnification ×63). A fixed amount (1 μM) of either CRM197 or ZZDTR-BD was incubated for 1 h at 4°C with A20 cells at pH 7.4 or pH 6. After washing, A20 cells were incubated with a rabbit anti-DT Ab and a donkey anti-rabbit Ab coupled to fluorescein and incubated for 3 h at 37°C to allow internalization. (A) No Ag, pH 7.4; (B) no Ag, pH 6; (C) CRM197, pH 7.4; (D) CRM197, pH 6; (E) ZZDTR-BD, pH 7.4; (F) ZZDTR-BD, pH6. Quantification of the antigenic uptake was assessed by flow cytometry; CRM197 or ZZDTR-BD was incubated with A20 cells as for confocal microscopy experiments. After labeling with donkey anti-rabbit Ab coupled to fluorescein, some samples were incubated with or without trypsin (1 mg/ml) whereas others were incubated for 3 h at 37°C before incubation in the presence or absence of trypsin. The amount of internalized and membrane-bound Ag is expressed as a percentage for CRM197 (G) and ZZDTR-BD (H). Similar results were found in two separate experiments.
In a second series of experiments, we used flow cytometry to quantify the uptake of CRM197 and ZZDTR-BD in a high number of A20 cells. To assess the amount of Ag internalized before and after 3 h incubation at 37°C, we incubated some samples with trypsin to remove the proteins interacting with the cell membrane. When A20 cells were incubated with ZZDTR-BD, we found fluorescence intensities corresponding to 70% of internalized Ag at pH 7.4 and 65% at pH 6 (Fig. 5H). These results indicate that pH changes during the binding phase little affect the uptake capacity of the APCs. With CRM197 at pH 6, we found a fluorescence intensity corresponding to 52% of internalized Ag (Fig. 5G), whereas we could not quantify uptake at pH 7.4 because CRM197 binding was very poor at this pH (see Fig. 4). These results indicate that the increased binding of CRM197 at pH 6 increases its APC uptake.
To assess whether pH-dependent binding affects the ability of CRM197 to stimulate Th cells, we prepared a T cell hybridoma specific for DT. For this, we used a protocol close to that previously used to make hybridomas specific for a snake toxin (29). To induce DT-specific Th cells, we immunized BALB/c mice with ZZDTR-BD and CRM197. Then, we collected the spleen of an immunized mouse and fused splenocytes with the BW-5147 lymphoma. To identify DT-specific hybridomas, we examined their ability to secrete IL-2 when incubated with A20 cells and ZZDTR-BD. We isolated one reactive hybridoma that we called T4B6. To determine the epitope recognized by T4B6, we incubated this hybridoma with A20 cells and a fixed amount of a series of 15-mer overlapping peptides that describe the DTR-BD sequence. We observed IL-2 secretion only in the presence of peptide pDT(473–487) (Fig. 6A), indicating that this fragment is a T cell epitope in the H-2d haplotype. In a similar presentation assay using serial dilutions of pDT(473–487) and CRM197, we observed that these two Ags cause a T4B6 stimulation that is dose-dependent (Fig. 6B), indicating that the T cell epitope is correctly processed and presented by A20 cells when it is included in the protein structure.
T4B6 hybridoma characterization. (A) A fixed amount (1 μM) of a series of overlapping peptides covering the DTR-BD sequence was incubated with A20 cells and the T4B6 hybridoma for 24 h at 37°C. (B) Serial dilutions of CRM197 or pDT(473–487) were incubated with A20 cells and the T4B6 hybridoma for 24 h at 37°C. IL-2 secretion was determined using an IL-2–dependent cell line. Results are expressed as cpm ± SD.
T4B6 hybridoma characterization. (A) A fixed amount (1 μM) of a series of overlapping peptides covering the DTR-BD sequence was incubated with A20 cells and the T4B6 hybridoma for 24 h at 37°C. (B) Serial dilutions of CRM197 or pDT(473–487) were incubated with A20 cells and the T4B6 hybridoma for 24 h at 37°C. IL-2 secretion was determined using an IL-2–dependent cell line. Results are expressed as cpm ± SD.
To study whether MHC class II–restricted presentation varies with the ability to bind to APCs, we separated the binding phase from the processing and presenting phases. We incubated A20 cells at 4°C with serial dilutions of CRM197 at pH 6 or pH 7.4. After 3 h, we washed the cells, added T4B6 cells, and determined IL-2 secretion after 24 h at 37°C. We found that the amount of CRM197 required to trigger T4B6 stimulation was 20-fold lower at pH 6 than at pH 7.4 (Fig. 7A). We also found increased T4B6 stimulation at pH 6.5 (see Supplemental Fig. 2).
T4B6 stimulation is increased when CRM197 is incubated at pH 6. Serial dilutions of CRM197 (A and B), peptide pDT(473–487) (C), non–HS-binding toxin α (D), or pH-independent HS-binding protein domain ZZDTR-BD (E) were incubated at pH 7.4 or pH 6 for 3 h at 37°C. A20 cells were added at the same pH. After 3 h at 4°C (A) or 37°C (B–E), cells were washed and the T4B6 cells were added for 24 h. IL-2 secretion was determined using an IL-2–dependent cell line. Results are expressed as cpm ± SD. Similar results were found in two independent experiments.
T4B6 stimulation is increased when CRM197 is incubated at pH 6. Serial dilutions of CRM197 (A and B), peptide pDT(473–487) (C), non–HS-binding toxin α (D), or pH-independent HS-binding protein domain ZZDTR-BD (E) were incubated at pH 7.4 or pH 6 for 3 h at 37°C. A20 cells were added at the same pH. After 3 h at 4°C (A) or 37°C (B–E), cells were washed and the T4B6 cells were added for 24 h. IL-2 secretion was determined using an IL-2–dependent cell line. Results are expressed as cpm ± SD. Similar results were found in two independent experiments.
To assess whether similar behavior occurs when the uptake mechanisms are not inhibited during the binding phase, we incubated CRM197 and A20 cells at 37°C. We observed that the amount of CRM197 required to trigger T4B6 stimulation was 10-fold lower at pH 6 than at pH 7.4 (Fig. 7B), indicating that MHC class II–restricted presentation is increased at physiological temperature.
As it has been previously shown that low extracellular pH can increase the MHC class I–restricted presenting capacity of dendritic cells (23), we studied whether the observed differences in MHC class II–restricted presentation of CRM197 are caused by changes in the presenting ability of A20 cells. We performed three control experiments. In the first, we assessed whether pH decrease affects the MHC class II presentation independently of intracellular processing. For this, we used the pDT(473–487) peptide because T cell epitopes containing peptides can bind directly to the MHC class II molecule expressed on the cell surface and thus do not require intracellular processing (29). Furthermore, in preliminary experiments we observed that pDT(473–487) is not able to bind heparin (data not shown), which makes our experiments independent of a mechanism related to HS binding. We incubated the A20 cells at 37°C with serial dilutions of pDT(473–487). After 3 h, we washed the cells and added T4B6 cells for an incubation period of 24 h. We found a higher amount of secreted IL-2 at pH 7.4 as compared with pH 6, indicating that peptide presentation by A20 cells is decreased at low pH (Fig. 7C). In the second control experiment, we investigated whether pH decrease affects MHC class II presentation that depends on Ag processing. For this, we used toxin α from N. nigricollis (14, 37) because this Ag protein, which is devoid of the ability to bind cells (38), requires intracellular processing for presentation to T cells (29) and is unable to bind heparin (data not shown). We incubated A20 cells at 37°C with serial dilutions of toxin α. After 3 h, we washed the cells and added a toxin α–specific hybridoma, called T1B2 (29). After 24 h incubation, IL-2 was not detected at pH 6, but was significantly secreted at pH 7.4 (Fig. 7D), indicating that toxin α presentation occurs only at the highest pH. In the third control experiment, we investigated whether pH decrease affects presentation of ZZDTR-BD to T4B6 cells (Fig. 7E). We observed no significant difference in T cell stimulation at pH 6 and pH 7.4, indicating an absence of pH effect for this heparinoid ligand. These control experiments indicated that the low extracellular pH negatively impacts the processing and presenting capacities of the A20 cell line for a peptide or a protein that is not endowed with the ability to bind heparin, whereas it has no effect for a protein Ag (ZZDTR-BD) that has this property. These data therefore suggested that the increased CRM197 presentation observed at pH 6 is essentially caused by the increased binding/uptake by A20 cells. To verify this hypothesis, we compared CRM197 presentation in the presence and absence of heparin. At pH 7.4, we observed that T4B6 stimulation was not affected by excess heparin (Fig. 8). In contrast, at pH 6, heparin affected T cell stimulation, which decreased to the level reached when CRM197 was incubated at pH 7.4. These results demonstrate that the increased stimulation observed at low pH is caused by the increased binding/uptake mediated by a heparin-binding region of CRM197.
The increased T cell stimulation at pH 6 is due to the heparin-binding capacity of CRM197. Serial dilutions of CRM197 were incubated in the presence or absence of excess heparin at pH 7.4 or pH 6 for 3 h at 37°C. A20 cells were added at the same pH. After 3 h at 37°C, cells were washed and T4B6 cells were added for 24 h. IL-2 secretion was determined as in Fig. 7. Results are expressed as cpm ± SD. Similar results were found in two independent experiments.
The increased T cell stimulation at pH 6 is due to the heparin-binding capacity of CRM197. Serial dilutions of CRM197 were incubated in the presence or absence of excess heparin at pH 7.4 or pH 6 for 3 h at 37°C. A20 cells were added at the same pH. After 3 h at 37°C, cells were washed and T4B6 cells were added for 24 h. IL-2 secretion was determined as in Fig. 7. Results are expressed as cpm ± SD. Similar results were found in two independent experiments.
Discussion
As we previously observed that a hybrid protein containing an HS-binding domain is more effectively captured by APCs and thus stimulates Th cells more efficiently (14), we decided to assess whether a similar behavior is observed for a wild-type protein intrinsically endowed with HS-binding ability. The observation that DT and CRM197 contain four clusters of basic residues prompted us to postulate that these proteins may both be able to bind HS. We showed that this is indeed the case, as they interact with heparin, a sulfated polysaccharide representative of the HS family. However, their binding property is rather unusual because they bind more effectively at pH 6 than at pH 7.4. Moreover, this unusual feature is not restricted to heparin because we observed a similar pattern of interaction when we assessed binding to an HS previously solubilized and coated on a sensor chip. Because a pH decrease occurs during the antimicrobial response, inflammatory response, and exocytosis of lysosomes, we decided to evaluate the ability of CRM197 to bind cells and to stimulate Th cells at pH 6 and pH 7.4.
Because the amount of HSPG expressed on a cell membrane can vary considerably depending on the cell type (32), we initially chose to assess the ability of CRM197 to bind CHO cells because they express high amounts of HS (32). We first observed that the protein interacts with CHO cells at pH 6, but not at pH 7.4. Then, we showed that binding is inhibited in the presence of excess heparin or when cells are pretreated with heparinase III. Additionally, we found a decreased binding to a CHO mutant deficient in both HS and chondroitin sulfate expression. For this mutant, a residual binding remains observable. We postulate that it corresponds to nonspecific interactions because, being devoid of glycocalyx, these cells have their membrane surface more accessible. In our particular case, it could be due to sulfatides to which a number of HS binding proteins (including von Willebrand factor, cobra cardiotoxins, midkine, or chemokines) have been shown to interact. Altogether, these results demonstrate that HSPG expressed on the cell surface interacts with a heparin-binding site appearing when CRM197 is at acidic pH. We noted similar behavior on replacing the CHO cell line by the A20 lymphoma, indicating that binding occurs via a similar pattern of interactions. Moreover, we observed that the increased binding at pH 6 enables the APCs to internalize CRM197 efficiently. This effect is not related to an increase in uptake ability resulting from the low pH during the binding phase, because ZZDTR-BD, which binds to A20 cells similarly at pH 6 and pH 7.4, is efficiently internalized. These data therefore indicate that the low pH enhances CRM197 binding and thus increases its internalization.
As increased uptake generally leads to increased ability to stimulate T cells (39), we assessed A20 presentation of CRM197 to the T4B6 hybridoma, which recognizes the pDT(473–487) T cell epitope found in DT and CRM197. T4B6 stimulation was enhanced at pH 6 in comparison with pH 7.4. Additionally, this effect vanished when experiments were carried out in the presence of heparin. These results indicate that a pH-dependent improvement of T cell stimulation occurs and is mediated by a heparin-binding region of CRM197. Our data do not allow accurate determination of this region. However, when we evaluated the heparin-binding ability of four DT peptides containing clusters of basic residues, we observed an interaction for two of them, pDT(207–221) and pDT(453–467), suggesting that the DT regions containing these sequences may contribute to the interaction. Peptide pDT(207–221) corresponds to a sequence located in the translocation domain of DT and CRM197. In the DT structure solved at pH 7.5 (16), all the basic residues included in the pDT(207–221) sequence are surface exposed and thus potentially available for an interaction. Therefore, we assume that this area is not involved in the pH-dependent effect. Peptide pDT(453–467) corresponds to the RKIRMRCR sequence located in the receptor-binding domain of DT and CRM197. This sequence corresponds to a β-strand, which is partly buried in the DT structure, suggesting that conformational changes occurring at acidic pH (18) might expose this region, make it available for interaction, and thus increase heparin-binding capacity provided by the other basic residues located in close proximity.
As a previous study showed that acidosis improves the MHC class I Ag-presenting capacity of dendritic cells (23), we investigated whether the increased MHC class II presentation of CRM197 is related to an improvement of the A20 cell characteristics that play a role in Ag presentation. First, we found that low pH does not modify HSPG-mediated uptake because ZZDTR-BD, which binds heparin equally as well at pH 6 and 7.4, is internalized as efficiently at both pHs. Second, we observed that surface presentation of MHC/peptide complexes is negatively impacted by pH decrease because peptide pDT(473–487), which does not require processing for presentation (data not shown), stimulates T4B6 less efficiently at pH 6 than at pH 7.4. Third, we noted that processing ability is somewhat decreased at pH 6, because toxin α, which requires intracellular processing for presentation (29), stimulates the T cell hybridoma at pH 7.4 but not at pH 6. Altogether, these data indicate that the pH-dependent increase in T cell stimulation is not caused by an improvement of the MHC class II Ag-presenting capacity of the A20 cell line.
Our results prompt us to postulate an immune response scenario that could represent a means for the immune system to respond to DT more effectively. In this scenario, the pH decreases, due either to Corynaebacterium diphtheriae infection or to lysosome exocytosis in the immunological synapse (22). The pH decrease causes conformational changes in the DT structure that lead either to increased affinity of a heparin-binding determinant or to expression of a new heparin-binding determinant. As DT has a large number of histidine residues that are protonated when pH decreases and thus contribute to DT conformational changes in endosomes (40), we assume that such residues might also be involved in the mechanisms leading to determinant expression. The membrane HSPGs are then used as receptors for DT or CRM197, which allows an increased Ag uptake. During internalization the Ag might be released by HSPGs. It ensues that high amounts of HSPG-free protein can be processed, leading to expression of high amounts of epitopic fragments. Alternatively, the internalized Ag might remain bound to HSPGs. As compared with its free antigenic form, processing of this HSPG-bound protein might be altered, leading to modified epitope expression. In our study, we did not identify the antigenic form that prevails in the endocytic compartments. However, its processing leads to the expression of epitope fragments that bind efficiently to the MHC class II molecule because DT-specific T lymphocytes are more efficiently stimulated in acidic incubation conditions. This postulated scenario of acidosis-enhanced immune response could occur in humans since different human mononuclear cells actively synthesize cell surface proteoglycans (41). Furthermore, the acidosis-increased immune response might be impacted by the characteristic of expression of syndecans and glypicans, which vary depending on the type of human APC and on the degree of cell differentiation/maturation (41).
Our postulated scenario of acidosis-enhanced immune response is based on in vitro results with HSPG-expressing APCs. However, HSPGs are also expressed in the extracellular matrix and thus could sequester DT and make it less available to immune cells. To assess which scenario prevails in vivo, experiments comparing CRM197 and a CRM197 mutant devoid of HS-binding ability should now be carried out in animals. The selection and preparation of this mutant requires prior determination of the pH-dependent HS-binding site of CRM197, which we are currently trying to achieve.
pH-Dependent heparin-binding capacity is not a feature restricted to DT and CRM197 because avidin (42), selenoprotein P (43), histidine-proline–rich glycoprotein (44), serum amyloid A (45), and gp64 protein from baculovirus (46) are also endowed with this property. Furthermore, pH-dependent conformation is a characteristic shared by several classes of bacterial toxins (47, 48) as well as by viral proteins (49, 50). Therefore, it is tempting to speculate that this scenario of increased immune response related to a pH-dependent heparin-binding capacity might apply to a variety of proteins from micro-organisms.
Acknowledgements
We are grateful to Gervaise Moine and Robert Thai for technical assistance, which enabled the production and characterization of the T4B6 hybridoma.
Footnotes
The online version of this article contains supplemental material.
References
Disclosures
The author has no financial conflicts of interest.







