Abstract
Immunotherapy shows promising results and revolutionizes treatment of oral squamous cell carcinoma (OSCC). The immunologic microenvironment might have prognostic/predictive implications. Morphologic immunologic parameters (inflammatory infiltrate, stromal content, and budding activity [BA] [potentially indicating epithelial–mesenchymal transition]) were evaluated in 66 human primary therapy-naive OSCCs. Intraepithelial/stromal tumor-infiltrating lymphocytes (TILs; CD3+/CD4+/CD8+/CD4+FOXP3+/IL-17A+) were quantified, and ratios were calculated. HLA class I in tumor cells was evaluated immunohistochemically. mRNA in situ hybridization to detect IFN-γ was performed. Analysis was performed within invasive front (IF) and tumor center (TCe). Decreased HLA expression was associated with low TIL density, pronounced stromal content, and high BA; IFN-γ in TILs was correlated with high-density TILs; and IFN-γ in tumor cells was correlated with absence of BA (p < 0.05). Heterogeneity of parameters (TCe/IF) was rare. Low density of stromal CD4+FOXP3+ TILs within TCe and IF was identified as an independent prognostic factor for poor overall, disease-specific, and disease-free survival (p ≤ 0.011). Refining prognostication in OSCC with high-density CD4+FOXP3+ infiltrate within TCe and/or IF, high FOXP3:CD4 ratio was significantly correlated with favorable outcome in this subgroup. Furthermore, high-stromal CD8:CD4 ratio was found to be an independent favorable prognostic factor. In summary, immunologic parameters were closely intertwined. Morphologic correlates of epithelial–mesenchymal transition were associated with downregulation of HLA and decreased inflammation. Heterogeneity was infrequent. Low-density stromal CD4+FOXP3+ infiltrate within TCe and IF was an independent poor prognostic factor. Stratification of cases with high-density CD4+FOXP3+ TILs by FOXP3:CD4 ratio enables refinement of prognostication of this subgroup. CD8:CD4 ratio was identified as an independent prognostic factor.
Introduction
Over 95% of malignant tumors in the head and neck area are squamous cell carcinomas. Prognosis is highly heterogeneous, with an overall 5-y survival rate for oral squamous cell carcinoma (OSCC) of around 50% (1–4). Median survival for patients with locoregionally recurrent or metastatic OSCC is 8–10 mo (5). In most cases, therapy consists of radical surgery, combined with radio- and chemotherapy. In advanced OSCC, immunotherapeutic approaches (i.e., CheckMate 141 study) have significantly improved patient outcome (6, 7). Currently, a multitude of preclinical and clinical studies are ongoing, focusing on combinational cancer immunotherapy algorithms to increase treatment efficiency.
The basic principle of immunotherapy is a modulation of the immunologic tumor–host interaction. Therefore, an exact description and knowledge of the immunologic tumor microenvironment (TME), including potential heterogeneity of composition and spatial distribution of its different components (8), is critical for both choice of and response to treatment (9–14). The tumor–host interaction was described by Chen and Mellman (15) as the cancer immunity cycle. Simplified, the immune system elicits a response to tumor-associated (neo)antigens (TAAs) and tumor-specific (neo)antigens (TSAs), determined amongst others by the mutational load (16–18), which are presented by HLA class I molecules on tumor cells (TC). The response is mediated by the interplay of tumor-infiltrating monocytes/macrophages (TAMs) and several subsets of tumor-infiltrating lymphocytes (TILs), attracted by chemokines and cytokines (19, 20). Depending on TAM polarization, (classically) M1-polarized TAMs, induced especially by IFN-γ, promote a proinflammatory TME by secretion of certain cytokines (e.g. IL-1) and recruitment of CD8+ T killer cells, whereas (alternatively) M2-polarized TAMs particularly recruit a certain subpopulation of CD4+ TILs–FOXP3+ regulatory T cells (Tregs), which secrete anti-inflammatory cytokines (e.g. IL-10), promoting an immunosuppressive TME. Further subsets of CD4+ TILs, which can exert pro- as well as antitumoral effects, are additionally recruited to the tumor site, including Th1, Th2, and Th17 cells (21). Based on the presence or absence of T cells, the TME is classified as “T cell–inflamed” or “non–T cell–inflamed” (20, 22). The infiltration density of CD3+ and CD8+ TILs, which can be evaluated by immunohistochemistry, seems to be especially crucial for a potent immunogenic antitumor response in many tumor types, with CD8+ TILs being responsible for the attacking and killing of TCs, which are recognized by TAAs/TSAs on HLA class I receptors (20, 22–24). Tregs, characterized by coexpression of CD4 and the transcription factor FOXP3 (25), are involved in the tumor–host interaction by suppression of the immune response; these cells suppress the activation, proliferation, and effector functions of numerous cell types, including CD8+ and CD4+ T cells (19, 26, 27).
Immunologic tumor–host interaction is not solely influenced by the presence and composition of a tumor-specific inflammatory infiltrate. Crucial factors, which determine the effectiveness of the immunologic host response, are escape mechanisms, which allow the tumor to evade from the attack mediated by the inflammatory infiltrate. Apart from the well-known expression of immune checkpoint receptors (e.g., PD-L1, PD-L2) (15, 20, 28), recent publications describe the important role of epithelial–mesenchymal transition (EMT) and the tumor stroma as features of immune escape. Although the stromal component serves as a mechanical barrier preventing TILs from attacking the tumor, cancer cells undergoing EMT gain resistance against TILs (among others) by immunoproteasome deficiency, indicated by decreased HLA expression (20, 22, 29–31). A characterizing morphologic pattern of EMT is tumor budding activity (TBA) (29, 31), which describes the presence of small groups of TCs/single-invading cells in carcinomas (31, 32), a feature that can be evaluated and quantified by routine histologic staining (32) and has been linked to poor outcome not only in OSCC but also in other solid cancers (e.g., squamous cell carcinoma of the lung and colorectal cancer) (33, 34).
In OSCC, recent publications have shed light on immunologic TME and immune escape mechanisms (4, 26, 27, 35–38), but knowledge is still fragmented. The association of composition of the immunologic TME, including TIL subsets with histomorphology and patient prognosis, remains to be elucidated, especially the prognostic influence of CD8+ and FOXP3+ TILs, which is currently a matter of debate with controversial results in published studies (reviewed in Refs. 26, 27, and 39–41). As well, the prognostic/predictive influence of spatial heterogeneity (invasive front [IF] versus tumor center [TCe]; intraepithelial versus stromal) of both TIL infiltration density and extent/pattern of immune escape mechanisms is still unclear. To further unravel the immunologic background, especially focusing on T cell–mediated immunity as described by Spranger (20) and Teng et al. (22), as a major influencing factor for immunotherapeutic approaches in OSCC, we have analyzed 66 primary, therapy-naive OSCC by detailed conventional histomorphology (especially evaluating TBA as a feature of EMT and stromal content), immunohistochemistry, and mRNA in situ hybridization (ISH). We evaluated HLA class I expression in TCs, IFN-γ expression in TCs and TILs, and quantified CD3+ (pan–T cells), CD4+ (pan–Th cells), CD8+ (T killer cells), CD4+FOXP3+ (Treg), and IL-17A+ (Th17 T cells) TILs, separating IF and TCe as well as epithelial and stromal tumor compartments for evaluation of tumor heterogeneity and in-depth analysis of mutual associations and prognostic impact. Furthermore, to take into account the relation of TIL populations with each other, we calculated the ratios of various TIL subsets and analyzed their prognostic impact.
Materials and Methods
Patient cohort
Our retrospective cohort comprised 66 patients with OSCC who underwent surgical resection of their primary tumors in curative intent between 2008 and 2012 at the Klinikum Rechts der Isar, Technical University of Munich, Germany following a standardized surgical procedure according the German guidelines for the treatment of OSCC (42). Patients with distant metastases at the time of diagnosis were excluded from our study as were patients who received neoadjuvant therapy. Postoperative radiochemotherapy was administered in advanced cases if indicated. Further study inclusion criteria were the availability of complete demographic and clinical follow-up. Forty-two (61.8%) patients were male; twenty-four (38.2%) were female. Mean age at diagnosis was 63.0 y (range: 45.0–87.0 y). Grading and staging was undertaken according to the current World Health Organization Classification of Tumors of Head and Neck (2017) and the International Union against Cancer (UICC) tumor, node, and metastasis classification (seventh edition) (43, 44). Patients with advanced UICC stages (III/IVa/b) dominated our cohort (42/66; 61.8%). The median follow-up time of patients alive was 50 mo (range 8–97 mo); 28 (41.2%) patients died by any cause, 21 (31.8%) patients deceased due to their cancer, and 23 (33.8%) suffered from local, nodal, or distant relapse. Whereas overall survival (OS) refers to patients who died by any cause, disease-specific survival (DSS) relates to patients who died of their OSCC and disease-free survival (DFS) to patients who suffered from (local, nodal, or distant) relapse during follow-up. Without exception, tissue from primary (therapy-naive) tumors but not from nodal/distant metastases or recurrences was included in the analysis. The distribution of clinicopathological variables including tumor stage (pT) is given in Table I. Approval for the study was obtained from the Ethics Review Committee of the Technical University of Munich (296/17 S).
Histopathological evaluation
Full-block H&E-stained slides were evaluated using an Olympus BX43 Microscope with a field diameter of 0.55 mm (0.24 mm2). According to the criteria of the 2017 World Health Organization classification (44), histopathological grading (G1, G2, G3) was performed, and OSCC were categorized into nonkeratinizing, keratinizing, or basaloid types. Perineural invasion (Pn) and lymphangioinvasion were stated as being present or absent.
Evaluation of histopathological parameters cell nest size, TBA (per high-power field), and stromal content was performed as previously described and published (45). Lymphocytic infiltration was evaluated in a semiquantitative three-tiered scheme with weak (inflammatory cells covering <10% of tumor area), intermediate (inflammatory cells covering 10–50% of tumor area), and strong (inflammatory cells covering >50% of tumor area) inflammation.
Tissue microarray construction
Formalin-fixed paraffin-embedded tumor samples were assembled into a tissue microarray (TMA) as previously described (35). Where available, two samples from IF and TCe were chosen for TMA assembly. Depending on the respective staining, in a maximum of 62 cases, tumor tissue from the IF was available for immunohistochemical studies, whereas tumor tissue of maximum 57 cases from the tumor core area could be included. In a maximum of 53 OSCC, tumor tissue from IF as well as the tumor core region was available for further analysis.
Immunohistochemistry
Immunohistochemistry was performed on 2-μm sections from TMAs using an HLA class I ABC (against HLA class IA, -B, -C) Ab (c: EMR8-5, ab 70328; d: 1:15.000; Abcam) and primary Abs against CD3 (c: MRQ39, d: 1:500; Cell Marque), CD4 (c: 4B12, d 1:50; Monosan), CD8 (c: C8/144B, d: 1:50; Dako), FOXP3 (c: 236A/E7, ab 20034; d:1:200; Abcam), and IL-17A (c: AF-317-NA; d:1:2000; R&D Systems) using an automated immunostainer with an ultraView DAB Detection Kit (Ventana Medical Systems, Roche). Concerning CD3, CD4, CD8, and IL-17A, membranous staining of any intensity in lymphocytes was considered positive, and FOXP3 positivity was scored positive when lymphocyte nuclei were stained. Other immune cells as morphologically identified (i.e., granulocytes, macrophages, plasma cells) were not taken into account if (at most extensively weak) aberrant staining was observed. IL-17A+ granulocytes were especially excluded from scoring.
Furthermore, serial double staining of TMAs to detect coexpression of CD4 and FOXP3 in T cells to identify them as Tregs was performed on a BOND RXm System (Leica; all reagents for double staining also from Leica unless otherwise indicated) with primary Abs against CD4 (c: 4B12; Monosan) visualized with a Polymer Refine Detection system using DAB as chromogen and subsequently FOXP3 (Abcam; c: 236A/E7) with a Polymer Refine Red Detection system using FastRed as chromogen and hematoxylin as counterstaining. Double staining in lymphocytes was counted positive when coexpression of red nuclear FOXP3 and brown membranous CD4 staining was observed. Double staining revealed that >95% FOXP3+ T-cells coexpressed CD4, proving that these cells were Tregs (FOXP3+CD4+).
Appropriate positive and negative controls for each staining were run in parallel. In addition, isotype control staining against IgG1 (MA5-14453, Mouse IgG1 Isotype Control; Thermo Fisher Scientific) was performed (Supplemental Fig. 1).
Fig. 1 and Supplemental Fig. 1 show representative examples of all stainings.
Scoring HLA class I (ABC)
Positive HLA class I staining was found to be exclusively membranous. Scoring was carried out according to a slightly modified method (modified H Score) developed for the immunoreactivity of the estrogen and progesterone receptors in breast cancer (46), separately evaluating IF and TCe. Staining intensity (SI) was scored in a two-tiered system: score 1 with weak SI and score 2 with strong SI. In addition, absolute percentage of positive TCs was stated. Results for positive TCs and SI were multiplied, resulting in an immunoreactivity score 0–200.
Scoring of TILs
TILs (CD3+, CD8+, CD4+, FOXP3+, IL-17A+) were evaluated, separating IF and TCe. The analysis of TIL subpopulations was performed in two ways: 1) Intraepithelial TILs: the tumor region of the respective cores showing the highest density of the particular TIL subpopulation was selected on low-power magnification (×4). Within this region, the amount of intraepithelial CD3+ TILs (CD3i), intraepithelial CD8+ TILs (CD8i), and intraepithelial FOXP3+ TILs (FOXP3i) was scored manually by counting the absolute number of TILs within TC clusters of 100 TCs using high-power magnification (×40; in analogy to Ref. 47). 2) Stromal TILs: In analogy to previous TIL-scoring approaches (48, 49), density of TILs was evaluated via determination of the percentage of the tumor stromal area occupied by the respective TIL subpopulations (CD3s; CD8s; FOXP3s). Corresponding tumor cores of each case and location were analyzed, and the average density across all cores of one specific region was calculated.
Calculation of TIL ratios
For TIL subsets, ratios of absolute numbers of intraepithelial or stromal TILs, respectively, in each tumor region were calculated. In doing so, data for CD8:CD3; CD8:CD4; CD8:FOXP3; CD8:IL-17A; FOXP3:CD3; FOXP3:CD4; FOXP3:IL-17A; CD4:CD3; and CD4:IL-17A were obtained.
Determination of immunohistochemical scoring groups/cut offs
Following the above described scoring process, the respective data for absolute values of HLA class I and TIL subpopulations were categorized regarding their respective percentile value. Subsequently, 33% and 66% of each immunologic parameter was determined (Supplemental Table I), followed by stratification of cases into three subgroups depending on the respective percentile: lower (<33%), intermediate (33–66%), and upper third (>66%). For further analyses, cases within the lower third were classified as low (e.g., CD3ilow), whereas all cases ranging within the intermediate or the upper third were classified as high (e.g., CD3ihigh).
IFN-γ mRNA ISH
IFN-γ mRNA ISH (RNAscope LS 2.5 Probe-Hs-IFNG; Advanced Cell Diagnostics) was performed according to the manufacturer’s instructions using a BOND RX (Leica Biosystems). IFN-γ mRNA was categorized as present or absent (Fig. 1) as in positive cases only a minor proportion (<2%) of TCs and/or TILs contained IFN-γ mRNA, and therefore a finer subdivision was not indicated.
Statistics
For statistical analysis, SPSS 24 (SPSS) was used. The distribution of qualitative data was compared between groups by using the χ2 test or Fisher exact test. To investigate the relationship between continuous variables, we used Pearson correlation. For ordinal-scaled variables, the nonparametric Spearman-Rho correlation was applied. Quantitative data were compared between groups by the nonparametric Mann–Whitney U test. Survival probabilities were plotted with the Kaplan–Meier method, with a log-rank test being employed to probe for the significance of differences in survival probabilities. Multivariate survival analysis was performed with the Cox proportional hazard model. All statistical tests were performed at the exploratory two-sided 5% significance level.
Results
Morphological characterization of OSCC
Evaluation of the histopathological parameters cell nest size, TBA, and stromal content was carried out as described (45). The cohort investigated in this article is a subcollective of this study on the clinical relevance of cell nest size and budding activity previously published by us (32). In this subcohort of 66 OSCC, we found the following distribution of histomorphological characteristics: histopathological grading resulted in 7/66 (10.6%) well differentiated (G1), 42/66 (63.6%) intermediately differentiated (G2), and 17/66 (25.8%) poorly differentiated (G3) OSCC. TBA was present in 45/66 (68.2%) cases, with 28/66 (42.4%) OSCC showing low and 17/66 (25.8%) showing high budding activity. Complete histomorphological data are given in Table I.
| . | No. of Cases . | Percentage of Cases (%) . | |
|---|---|---|---|
| Age at diagnosis | Below median | 30 | 45.5 |
| Median and above | 36 | 54.5 | |
| Gender | Male | 42 | 63.6 |
| Female | 24 | 36.4 | |
| pT | 1 | 24 | 36.4 |
| 2 | 19 | 28.8 | |
| 3 | 4 | 6.1 | |
| 4a/b | 19 | 28.8 | |
| pN | 0 | 33 | 50.0 |
| 1 | 10 | 15.2 | |
| 2a/b | 23 | 34.8 | |
| UICC stage | I | 17 | 25.8 |
| II | 7 | 10.6 | |
| III | 8 | 51.5 | |
| IV | 34 | 10.6 | |
| Grading | G1 | 7 | 10.6 |
| G2 | 42 | 63.6 | |
| G3 | 17 | 25.8 | |
| Pn1 | Absent | 45 | 68.2 |
| Present | 21 | 31.8 | |
| L1 | Absent | 55 | 83.3 |
| Present | 11 | 16.7 | |
| Budding activity (high-power field) | Absent | 21 | 31.8 |
| Low budding activity | 28 | 42.4 | |
| High budding activity | 17 | 25.8 | |
| Tumor nest size (IF) | Large | 7 | 10.6 |
| Intermediate | 16 | 24.2 | |
| Small | 17 | 25.8 | |
| Single-cell infiltration | 26 | 39.4 | |
| Tumor nest size (TCe) | Large | 16 | 24.2 |
| Intermediate | 14 | 21.2 | |
| Small | 16 | 24.2 | |
| Single-cell infiltration | 20 | 30.3 | |
| Stromal content | Low budding activity | 17 | 26.6 |
| Intermediate | 25 | 39.1 | |
| High | 17 | 26.6 | |
| Extensive | 5 | 7.8 | |
| Lymphocytic infiltrate | Weak | 22 | 34.4 |
| Intermediate | 22 | 34.4 | |
| Strong | 20 | 31.3 | |
| . | No. of Cases . | Percentage of Cases (%) . | |
|---|---|---|---|
| Age at diagnosis | Below median | 30 | 45.5 |
| Median and above | 36 | 54.5 | |
| Gender | Male | 42 | 63.6 |
| Female | 24 | 36.4 | |
| pT | 1 | 24 | 36.4 |
| 2 | 19 | 28.8 | |
| 3 | 4 | 6.1 | |
| 4a/b | 19 | 28.8 | |
| pN | 0 | 33 | 50.0 |
| 1 | 10 | 15.2 | |
| 2a/b | 23 | 34.8 | |
| UICC stage | I | 17 | 25.8 |
| II | 7 | 10.6 | |
| III | 8 | 51.5 | |
| IV | 34 | 10.6 | |
| Grading | G1 | 7 | 10.6 |
| G2 | 42 | 63.6 | |
| G3 | 17 | 25.8 | |
| Pn1 | Absent | 45 | 68.2 |
| Present | 21 | 31.8 | |
| L1 | Absent | 55 | 83.3 |
| Present | 11 | 16.7 | |
| Budding activity (high-power field) | Absent | 21 | 31.8 |
| Low budding activity | 28 | 42.4 | |
| High budding activity | 17 | 25.8 | |
| Tumor nest size (IF) | Large | 7 | 10.6 |
| Intermediate | 16 | 24.2 | |
| Small | 17 | 25.8 | |
| Single-cell infiltration | 26 | 39.4 | |
| Tumor nest size (TCe) | Large | 16 | 24.2 |
| Intermediate | 14 | 21.2 | |
| Small | 16 | 24.2 | |
| Single-cell infiltration | 20 | 30.3 | |
| Stromal content | Low budding activity | 17 | 26.6 |
| Intermediate | 25 | 39.1 | |
| High | 17 | 26.6 | |
| Extensive | 5 | 7.8 | |
| Lymphocytic infiltrate | Weak | 22 | 34.4 |
| Intermediate | 22 | 34.4 | |
| Strong | 20 | 31.3 | |
Expression of HLA class I (ABC) in OSCC
HLA class I (ABC) expression was low in 17/62 (27.4%) of OSCC at the IF, whereas it was high in 45/62 (62.6%) of cases. Respective values for TCe were as follows: low HLA class I (ABC) expression 17/57 (29.8%) and high HLA class I (ABC) expression 40/57 (70.2%; Fig. 1, Table II).
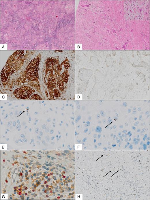
(A and B) Representative H&E-stained OSCC, (A) showing an OSCC with high-density lymphocytic infiltration, and (B) showing an OSCC with a low-density lymphocytic infiltration. Insert, Presence of TBA with single-cell infiltration. (C and D) Representative HLA class I–stained OSCC, (C) showing strong membranous HLA class I expression in >95% of TCs, and (D) showing weak membranous HLA class I expression in 10% of TCs. (E and F) Representative IFN-γ mRNA–ISH in OSCC, (E) showing IFN-γ mRNA expression in TILs and (F) showing IFN-γ mRNA expression in TCs. (G and H) Representative OSCC with FOXP3+ TILs, (G) showing double staining against FOXP3 and CD4 with coexpression of CD4 and FOXP3 in FOXP3+ TILs, proving FOXP3+CD4+ cells to be Tregs (red: FOXP3; brown: CD4). (H) High-density stromal FOXP3+ TILs. Arrows indicate positive staining results for respective stainings; staining performed one time. n = 66 patient cases/staining included. Original magnification ×2 (A), ×4 (B), ×10 [(B) inset, (C, D, H)], ×40 (E–G).
(A and B) Representative H&E-stained OSCC, (A) showing an OSCC with high-density lymphocytic infiltration, and (B) showing an OSCC with a low-density lymphocytic infiltration. Insert, Presence of TBA with single-cell infiltration. (C and D) Representative HLA class I–stained OSCC, (C) showing strong membranous HLA class I expression in >95% of TCs, and (D) showing weak membranous HLA class I expression in 10% of TCs. (E and F) Representative IFN-γ mRNA–ISH in OSCC, (E) showing IFN-γ mRNA expression in TILs and (F) showing IFN-γ mRNA expression in TCs. (G and H) Representative OSCC with FOXP3+ TILs, (G) showing double staining against FOXP3 and CD4 with coexpression of CD4 and FOXP3 in FOXP3+ TILs, proving FOXP3+CD4+ cells to be Tregs (red: FOXP3; brown: CD4). (H) High-density stromal FOXP3+ TILs. Arrows indicate positive staining results for respective stainings; staining performed one time. n = 66 patient cases/staining included. Original magnification ×2 (A), ×4 (B), ×10 [(B) inset, (C, D, H)], ×40 (E–G).
| . | FOXP3i+ TILs . | CD8i+ TILs . | CD3i+ TILs . | |||||||||
|---|---|---|---|---|---|---|---|---|---|---|---|---|
| . | Low Density . | High Density . | Low Density . | High Density . | Low Density . | High Density . | ||||||
| . | n . | % . | n . | % . | n . | % . | n . | % . | n . | % . | n . | % . |
| IF | 16 | 25.8 | 46 | 74.2 | 25 | 40.3 | 37 | 59.7 | 19 | 30.6 | 43 | 69.4 |
| TCe | 10 | 17.5 | 47 | 82.5 | 17 | 29.8 | 40 | 70.2 | 20 | 35.1 | 37 | 64.9 |
| . | FOXP3i+ TILs . | CD8i+ TILs . | CD3i+ TILs . | |||||||||
|---|---|---|---|---|---|---|---|---|---|---|---|---|
| . | Low Density . | High Density . | Low Density . | High Density . | Low Density . | High Density . | ||||||
| . | n . | % . | n . | % . | n . | % . | n . | % . | n . | % . | n . | % . |
| IF | 16 | 25.8 | 46 | 74.2 | 25 | 40.3 | 37 | 59.7 | 19 | 30.6 | 43 | 69.4 |
| TCe | 10 | 17.5 | 47 | 82.5 | 17 | 29.8 | 40 | 70.2 | 20 | 35.1 | 37 | 64.9 |
| . | CD4i+ TILs . | IL-17Ai+ TILs . | . | . | . | . | ||||||
|---|---|---|---|---|---|---|---|---|---|---|---|---|
| . | Low Density . | High Density . | Low Density . | High Density . | . | . | . | . | ||||
| . | n . | % . | n . | % . | n . | % . | n . | % . | . | . | . | . |
| IF | 14 | 23.3 | 46 | 76.7 | 21 | 35.0 | 39 | 65.0 | ||||
| TCe | 14 | 26.9 | 38 | 73.1 | 25 | 48.1 | 27 | 51.9 | ||||
| . | CD4i+ TILs . | IL-17Ai+ TILs . | . | . | . | . | ||||||
|---|---|---|---|---|---|---|---|---|---|---|---|---|
| . | Low Density . | High Density . | Low Density . | High Density . | . | . | . | . | ||||
| . | n . | % . | n . | % . | n . | % . | n . | % . | . | . | . | . |
| IF | 14 | 23.3 | 46 | 76.7 | 21 | 35.0 | 39 | 65.0 | ||||
| TCe | 14 | 26.9 | 38 | 73.1 | 25 | 48.1 | 27 | 51.9 | ||||
| . | FOXP3s+ TILs . | CD8s+ TILs . | CD3s+ TILs . | |||||||||
|---|---|---|---|---|---|---|---|---|---|---|---|---|
| . | Low Density . | High Density . | Low Density . | High Density . | Low Density . | High Density . | ||||||
| . | n . | % . | n . | % . | n . | % . | n . | % . | n . | % . | n . | % . |
| IF | 13 | 21.0 | 49 | 79.0 | 23 | 37.1 | 39 | 62.9 | 22 | 35.5 | 40 | 64.5 |
| TCe | 17 | 29.8 | 40 | 70.2 | 17 | 29.8 | 40 | 70.2 | 15 | 26.3 | 42 | 73.7 |
| . | FOXP3s+ TILs . | CD8s+ TILs . | CD3s+ TILs . | |||||||||
|---|---|---|---|---|---|---|---|---|---|---|---|---|
| . | Low Density . | High Density . | Low Density . | High Density . | Low Density . | High Density . | ||||||
| . | n . | % . | n . | % . | n . | % . | n . | % . | n . | % . | n . | % . |
| IF | 13 | 21.0 | 49 | 79.0 | 23 | 37.1 | 39 | 62.9 | 22 | 35.5 | 40 | 64.5 |
| TCe | 17 | 29.8 | 40 | 70.2 | 17 | 29.8 | 40 | 70.2 | 15 | 26.3 | 42 | 73.7 |
| . | CD4s+ TILs . | IL-17As+ TILs . | . | . | . | . | ||||||
|---|---|---|---|---|---|---|---|---|---|---|---|---|
| . | Low Density . | High Density . | Low Density . | High Density . | . | . | . | . | ||||
| n | % | n | % | n | % | n | % | |||||
| IF | 14 | 23.3 | 46 | 76.7 | 26 | 44.8 | 32 | 55.2 | ||||
| TCe | 13 | 25.5 | 38 | 74.5 | 25 | 48.1 | 27 | 51.9 | ||||
| . | CD4s+ TILs . | IL-17As+ TILs . | . | . | . | . | ||||||
|---|---|---|---|---|---|---|---|---|---|---|---|---|
| . | Low Density . | High Density . | Low Density . | High Density . | . | . | . | . | ||||
| n | % | n | % | n | % | n | % | |||||
| IF | 14 | 23.3 | 46 | 76.7 | 26 | 44.8 | 32 | 55.2 | ||||
| TCe | 13 | 25.5 | 38 | 74.5 | 25 | 48.1 | 27 | 51.9 | ||||
| . | HLA Class I . | IFN-γ TCs . | IFN-γ TILs . | |||||||||
|---|---|---|---|---|---|---|---|---|---|---|---|---|
| . | Low Expression . | High Expression . | Absent . | Present . | Absent . | Present . | ||||||
| . | n . | % . | n . | % . | n . | % . | n . | % . | n . | % . | n . | % . |
| IF | 17 | 27.4 | 45 | 72.6 | 41 | 66.1 | 21 | 33.9 | 45 | 72.6 | 17 | 27.4 |
| TCe | 17 | 29.8 | 40 | 70.2 | 42 | 73.7 | 15 | 26.3 | 43 | 75.4 | 14 | 24.6 |
| . | HLA Class I . | IFN-γ TCs . | IFN-γ TILs . | |||||||||
|---|---|---|---|---|---|---|---|---|---|---|---|---|
| . | Low Expression . | High Expression . | Absent . | Present . | Absent . | Present . | ||||||
| . | n . | % . | n . | % . | n . | % . | n . | % . | n . | % . | n . | % . |
| IF | 17 | 27.4 | 45 | 72.6 | 41 | 66.1 | 21 | 33.9 | 45 | 72.6 | 17 | 27.4 |
| TCe | 17 | 29.8 | 40 | 70.2 | 42 | 73.7 | 15 | 26.3 | 43 | 75.4 | 14 | 24.6 |
TILs: immunologic function
As described in the 2Materials and Methods section, we analyzed the major subpopulation of TILs to comprehensively depict the composition of the immunologic TME in OSCC based on well-established knowledge and recently published literature. CD3 is a coreceptor for the TCR, which renders it a pan–T cell marker. CD3+ TILs represent the morphologic correlate of a T cell–inflamed TME and therefore are associated with a favorable outcome in several solid tumor entities. CD4 is the defining Ag of Th cells, which can exert both anti- and protumoral functions depending on the specific subpopulation. Th1 and Th2 CD4+ TILs have proinflammatory activity through cytokine release or are potentially capable to directly kill TCs; Tregs (as identified by coexpression of CD4 and FOXP3) and Th17 cells (as identified by coexpression of CD4 and IL-17A) act immunosuppressive. Their influence on patient prognosis differs depending on tumor type and cite with both positive and negative survival associations. CD8+ effector T cells (T killer cells) are primed to recognize their specific TAAs/TSAs on TCs. On interaction with target TCs, they induce cell death by release of perforin and granzymes. Because of this antitumoral function, this TIL population is associated with favorable prognosis in many solid tumor types (reviewed in Refs. 20, 21, 24, 39, 40, and 50).
Composition of populations of TILs at the IF
At the IF, quantification of intraepithelial TILs resulted in CD3i: range 0–70/100 (median 12); CD8i: range 0–60/100 (median 6); FOXP3i: range 0–17/100 (median 3); intraepithelial CD4+ TILs (CD4i): range 0–21 (median 5); and intraepithelial IL-17A+ TILs (IL-17Ai): range: 0–22 (median 2). Concerning density of TILs occupying the tumor stroma, the following values were obtained: CD3+ TILs (CD3s): range 0.5–80.0% (median 30.0%); CD8+ TILs (CD8s): range 0.5–65.0% (median 10.0%); FOXP3+ TILs (FOXP3s): range: 0.5–45.0% (median 10.0%); CD4+ TILs (CD4s): range: 0.0–80.0% (median 15%); and IL-17A+ TILs (IL-17As): range: 0.0–25.0% (median 2.0%). The absolute numbers were assigned to scoring groups as described in the 2Materials and Methods section. Table II gives an overview over the distribution of the scoring groups CD3high/CD3low, CD8high/CD8low, FOXP3high/FOXP3low, CD4high/CD4low, and IL-17Ahigh/IL-17Alow (Fig. 1, Supplemental Fig. 1).
Composition of populations of TILs within the tumor core region
Regarding the density of TIL subpopulations within TCe, the absolute values for intraepithelial TILs were as follows: CD3+ TILs (CD3i): range 0–70/100 (median 12); CD8+ TILs (CD8i): range 0–60/100 (median 7); FOXP3+ TILs (FOXP3i): range: 0–30/100 (median 4); CD4+ TILs (CD4i): range 0–33 (median 5); and IL-17A+ TILs (IL-17Ai): range: 0–40 (median 1). Density of TILs covering the stromal compartment was as follows: CD3+ TILs (CD3s): range 0.5–80.0% (median 25.0%); CD8+ TILs (CD8s): range 0.0–70.0% (median 10.0%); FOXP3+ TILs (FOXP3s): range: 0.5–40.0% (median 8.0%); CD4+ TILs (CD4s): range: 1.0–50.0% (median 10%); and IL-17A+ TILs (IL-17As): range: 0.0–40.0% (median 1.0%). Results of further subgrouping into CD3high/CD3low, CD8high/CD8low, FOXP3high/FOXP3low, CD4high/CD4low, and IL-17Ahigh/IL-17Alow are given in Table II (Fig. 1, Supplemental Fig. 1).
Ratios of TILs
Ratios of absolute numbers of TIL subsets within IF and TCe were calculated to obtain the following ratios: CD8i:CD3i; CD8s:CD3s; CD8i:CD4i; CD8s:CD4s; CD8i:FOXP3i; CD8s:FOXP3s; CD8i:IL-17Ai; CD8s:IL-17As; FOXP3i:CD3i; FOXP3s:CD3s; FOXP3i:CD4i; FOXP3s:CD4s; FOXP3i:IL-17Ai; FOXP3s:IL-17As; CD4i:CD3i; CD4s:CD3s; CD4i:IL-17Ai; and CD4s:IL-17As. Absolute values and resulting scoring groups (high/low) are given in Table III.
| . | TIL Ratio: Absolute Number . | TIL Ratio: Scoring Groups . | |||||
|---|---|---|---|---|---|---|---|
| . | Median . | Minimum . | Maximum . | Low Ratio (n) . | Percentage (%) . | High Ratio (n) . | Percentage (%) . |
| CD8i:CD3i IF | 0.57 | 0.00 | 1.50 | 20 | 32.8 | 41 | 67.2 |
| CD8i:CD3i TCe | 0.57 | 0.00 | 3.00 | 18 | 32.7 | 37 | 67.3 |
| CD8s:CD3s IF | 0.54 | 0.02 | 5.00 | 19 | 30.6 | 43 | 69.4 |
| CD8s:CD3s TCe | 0.47 | 0.00 | 5.00 | 17 | 29.8 | 40 | 70.2 |
| CD8i:CD4i IF | 1.33 | 0.00 | 30.00 | 21 | 35.6 | 38 | 64.4 |
| CD8i:CD4i TCe | 1.40 | 0.00 | 50.00 | 17 | 32.7 | 35 | 67.3 |
| CD8s:CD4s IF | 1.00 | 0.02 | 35.00 | 22 | 37.3 | 37 | 62.7 |
| CD8s:CD4s TCe | 1.00 | 0.00 | 40.00 | 17 | 32.7 | 35 | 67.3 |
| CD8i:FOXP3i IF | 1.50 | 0.00 | 17.50 | 21 | 36.2 | 37 | 63.8 |
| CD8i:FOXP3i TCe | 1.45 | 0.00 | 18.00 | 18 | 38.2 | 29 | 61.7 |
| CD8s:FOXP3s IF | 1.06 | 0.04 | 25.00 | 20 | 32.3 | 42 | 67.7 |
| CD8s:FOXP3s TCe | 1.00 | 0.00 | 80.00 | 20 | 35.1 | 37 | 64.9 |
| CD8i:IL-17Ai IF | 2.83 | 0.00 | 60.00 | 18 | 32.1 | 38 | 67.9 |
| CD8i:IL-17Ai TCe | 4.00 | 0.00 | 50.00 | 15 | 31.9 | 32 | 68.1 |
| CD8s:IL-17As IF | 4.75 | 0.05 | 65.00 | 19 | 32.8 | 39 | 67.2 |
| CD8s:IL-17As TCe | 4.00 | 0.00 | 65.00 | 21 | 40.4 | 31 | 59.6 |
| FOXP3i:CD3i IF | 0.29 | 0.00 | 2.50 | 19 | 31.1 | 42 | 68.9 |
| FOXP3i:CD3i TCe | 0.27 | 0.00 | 1.50 | 18 | 32.1 | 38 | 67.9 |
| FOXP3s:CD3s IF | 0.33 | 0.02 | 5.00 | 20 | 32.3 | 42 | 67.7 |
| FOXP3s:CD3s TCe | 0.40 | 0.01 | 7.00 | 21 | 36.8 | 36 | 63.2 |
| FOXP3i:CD4i IF | 0.60 | 0.00 | 15.00 | 17 | 32.1 | 36 | 67.9 |
| FOXP3i:CD4i TCe | 0.85 | 0.00 | 20.00 | 23 | 39.0 | 36 | 61.0 |
| FOXP3s:CD4s IF | 0.80 | 0.03 | 25.00 | 19 | 32.2 | 40 | 67.8 |
| FOXP3s:CD4s TCe | 1.00 | 0.03 | 22.00 | 21 | 41.2 | 30 | 58.8 |
| FOXP3i:IL-17Ai IF | 1.50 | 0.00 | 10.00 | 25 | 44.6 | 31 | 55.4 |
| FOXP3i:IL-17Ai TCe | 2.00 | 0.00 | 30.00 | 16 | 33.3 | 32 | 66.7 |
| FOXP3s:IL-17As IF | 3.67 | 0.10 | 25.00 | 19 | 32.8 | 39 | 67.2 |
| FOXP3s:IL-17As TCe | 3.00 | 0.03 | 30.00 | 17 | 33.3 | 34 | 66.7 |
| CD4i:CD3i IF | 0.33 | 0.03 | 4.00 | 19 | 32.2 | 40 | 67.8 |
| CD4i:CD3i TCe | 0.36 | 0.00 | 4.00 | 21 | 42.0 | 29 | 58.0 |
| CD4s:CD3s IF | 0.50 | 0.00 | 6.00 | 19 | 31.7 | 41 | 68.3 |
| CD4s:CD3s TCe | 0.40 | 0.03 | 5.00 | 18 | 35.3 | 33 | 64.7 |
| CD4i:IL-17Ai IF | 2.00 | 0.17 | 21.00 | 25 | 44.6 | 31 | 55.4 |
| CD4i:IL-17Ai TCe | 2.25 | 0.00 | 23.00 | 15 | 32.6 | 31 | 67.4 |
| CD4s:IL-17As IF | 4.00 | 0.00 | 40.00 | 19 | 32.8 | 39 | 67.2 |
| CD4s:IL-17As TCe | 4.00 | 0.13 | 25.00 | 18 | 36.0 | 32 | 64.0 |
| . | TIL Ratio: Absolute Number . | TIL Ratio: Scoring Groups . | |||||
|---|---|---|---|---|---|---|---|
| . | Median . | Minimum . | Maximum . | Low Ratio (n) . | Percentage (%) . | High Ratio (n) . | Percentage (%) . |
| CD8i:CD3i IF | 0.57 | 0.00 | 1.50 | 20 | 32.8 | 41 | 67.2 |
| CD8i:CD3i TCe | 0.57 | 0.00 | 3.00 | 18 | 32.7 | 37 | 67.3 |
| CD8s:CD3s IF | 0.54 | 0.02 | 5.00 | 19 | 30.6 | 43 | 69.4 |
| CD8s:CD3s TCe | 0.47 | 0.00 | 5.00 | 17 | 29.8 | 40 | 70.2 |
| CD8i:CD4i IF | 1.33 | 0.00 | 30.00 | 21 | 35.6 | 38 | 64.4 |
| CD8i:CD4i TCe | 1.40 | 0.00 | 50.00 | 17 | 32.7 | 35 | 67.3 |
| CD8s:CD4s IF | 1.00 | 0.02 | 35.00 | 22 | 37.3 | 37 | 62.7 |
| CD8s:CD4s TCe | 1.00 | 0.00 | 40.00 | 17 | 32.7 | 35 | 67.3 |
| CD8i:FOXP3i IF | 1.50 | 0.00 | 17.50 | 21 | 36.2 | 37 | 63.8 |
| CD8i:FOXP3i TCe | 1.45 | 0.00 | 18.00 | 18 | 38.2 | 29 | 61.7 |
| CD8s:FOXP3s IF | 1.06 | 0.04 | 25.00 | 20 | 32.3 | 42 | 67.7 |
| CD8s:FOXP3s TCe | 1.00 | 0.00 | 80.00 | 20 | 35.1 | 37 | 64.9 |
| CD8i:IL-17Ai IF | 2.83 | 0.00 | 60.00 | 18 | 32.1 | 38 | 67.9 |
| CD8i:IL-17Ai TCe | 4.00 | 0.00 | 50.00 | 15 | 31.9 | 32 | 68.1 |
| CD8s:IL-17As IF | 4.75 | 0.05 | 65.00 | 19 | 32.8 | 39 | 67.2 |
| CD8s:IL-17As TCe | 4.00 | 0.00 | 65.00 | 21 | 40.4 | 31 | 59.6 |
| FOXP3i:CD3i IF | 0.29 | 0.00 | 2.50 | 19 | 31.1 | 42 | 68.9 |
| FOXP3i:CD3i TCe | 0.27 | 0.00 | 1.50 | 18 | 32.1 | 38 | 67.9 |
| FOXP3s:CD3s IF | 0.33 | 0.02 | 5.00 | 20 | 32.3 | 42 | 67.7 |
| FOXP3s:CD3s TCe | 0.40 | 0.01 | 7.00 | 21 | 36.8 | 36 | 63.2 |
| FOXP3i:CD4i IF | 0.60 | 0.00 | 15.00 | 17 | 32.1 | 36 | 67.9 |
| FOXP3i:CD4i TCe | 0.85 | 0.00 | 20.00 | 23 | 39.0 | 36 | 61.0 |
| FOXP3s:CD4s IF | 0.80 | 0.03 | 25.00 | 19 | 32.2 | 40 | 67.8 |
| FOXP3s:CD4s TCe | 1.00 | 0.03 | 22.00 | 21 | 41.2 | 30 | 58.8 |
| FOXP3i:IL-17Ai IF | 1.50 | 0.00 | 10.00 | 25 | 44.6 | 31 | 55.4 |
| FOXP3i:IL-17Ai TCe | 2.00 | 0.00 | 30.00 | 16 | 33.3 | 32 | 66.7 |
| FOXP3s:IL-17As IF | 3.67 | 0.10 | 25.00 | 19 | 32.8 | 39 | 67.2 |
| FOXP3s:IL-17As TCe | 3.00 | 0.03 | 30.00 | 17 | 33.3 | 34 | 66.7 |
| CD4i:CD3i IF | 0.33 | 0.03 | 4.00 | 19 | 32.2 | 40 | 67.8 |
| CD4i:CD3i TCe | 0.36 | 0.00 | 4.00 | 21 | 42.0 | 29 | 58.0 |
| CD4s:CD3s IF | 0.50 | 0.00 | 6.00 | 19 | 31.7 | 41 | 68.3 |
| CD4s:CD3s TCe | 0.40 | 0.03 | 5.00 | 18 | 35.3 | 33 | 64.7 |
| CD4i:IL-17Ai IF | 2.00 | 0.17 | 21.00 | 25 | 44.6 | 31 | 55.4 |
| CD4i:IL-17Ai TCe | 2.25 | 0.00 | 23.00 | 15 | 32.6 | 31 | 67.4 |
| CD4s:IL-17As IF | 4.00 | 0.00 | 40.00 | 19 | 32.8 | 39 | 67.2 |
| CD4s:IL-17As TCe | 4.00 | 0.13 | 25.00 | 18 | 36.0 | 32 | 64.0 |
Expression of IFN-γ in OSCC
IFN-γ is released mainly by Th1 cells. In OSCC, to the best of our knowledge, secretion of IFN-γ by TCs in OSCC has not yet been analyzed. Independent of its source, the cytokine activates CD8+ T killer cells as well as NK cells and polarizes TAMs toward an M1 phenotype, together leading to a proinflammatory antitumoral immunologic TME (20–22, 40). In our OSCC cohort, expression of IFN-γ mRNA at the IF was detected in TCs of 21/62 (33.9%) and in immune cells (ICs) of 17/62 (27.4%) cases. Regarding tumor core region, TCs of 15/57 (26.3%) and ICs of 14/57 (24.6%) of cases contained IFN-γ mRNA (Table II).
Intratumoral heterogeneity
Comparing IF and TCe, intratumoral distribution of inflammatory infiltrate and expression of immune modulators was homogeneous in the majority of cases, indicating that the respective parameter categorization in scoring groups (high versus low) was concordant in both tumor regions (p < 0.05). HLA class I expression was concordant in 41/53 (77.4%) OSCCs. Subpopulations of TILs showed homogeneous infiltration densities in the following number of cases: CD3i 45/53 (84.9%); CD3s 47/53 (88.7%); CD8i 40/53 (75.5%); CD8s 48/53 (90.6%); FOXP3i 43/53 (81.1%); FOXP3s 47/53 (88.7%), CD4i 39/48 (81.3%); CD4s 38/47 (80.9%); IL-17Ai 27/48 (56.3%); and IL-17As 27/48 (56.3%). IFN-γ expression in TCs was homogeneous in 39/53 (73.6%) and IFN-γ in TILs in 47/53 (88.7%) of OSCCs. Exact distribution of all parameters is given in Table IV.
| . | . | IFN-γ TCs TCe . | . | . | . | IFN-γ TILs TCe . | . | ||
|---|---|---|---|---|---|---|---|---|---|
| . | . | Absent . | Present . | . | . | . | Absent . | Present . | . |
| IFN-γ TCs IF | Absent | 29 | 4 | 33 | IFN-γ TILs IF | Absent | 36 | 2 | 38 |
| Present | 10 | 10 | 20 | Present | 4 | 11 | 15 | ||
| 39 | 14 | 53 | 40 | 13 | 53 | ||||
| Stromal FOXP3+ TILs TCe | Epithelial FOXP3+ TILs TCe | ||||||||
| Low density | High density | Low density | High density | ||||||
| Stromal FOXP3+ TILs IF | Low density | 11 | 1 | 12 | Epithelial FOXP3+ TILs IF | Low density | 7 | 8 | 15 |
| High density | 5 | 36 | 41 | High density | 2 | 36 | 38 | ||
| 16 | 37 | 53 | 9 | 44 | 53 | ||||
| Stromal CD8+ TILs TCe | Epithelial CD8+ TILs TCe | ||||||||
| Low density | High density | Low density | High density | ||||||
| Stromal CD8+ TILs IF | Low density | 16 | 4 | 20 | Epithelial CD8+ TILs IF | Low density | 12 | 10 | 22 |
| High density | 1 | 32 | 33 | High density | 3 | 28 | 31 | ||
| 17 | 36 | 53 | 15 | 38 | 53 | ||||
| Stromal CD3+ TILs TCe | Epithelial CD3+ TILs TCe | ||||||||
| Low density | High density | Low density | High density | ||||||
| Stromal CD3+ TILs IF | Low density | 13 | 2 | 15 | Epithelial CD3+ TILs IF | Low density | 14 | 5 | 19 |
| High density | 6 | 32 | 38 | High density | 1 | 33 | 34 | ||
| 19 | 34 | 53 | 15 | 38 | 53 | ||||
| Stromal CD4+ TILs TCe | Epithelial CD4+ TILs TCe | ||||||||
| Low density | High density | Low density | High density | ||||||
| Stromal CD4+ TILs IF | Low density | 7 | 3 | 10 | Epithelial CD4+ TILs IF | Low density | 8 | 4 | 12 |
| High density | 6 | 31 | 37 | High density | 5 | 31 | 36 | ||
| 13 | 34 | 47 | 13 | 35 | 48 | ||||
| Stromal IL-17A+ TILs TCe | Epithelial IL-17A+ TILs TCe | ||||||||
| Low density | High density | Low density | High density | ||||||
| Stromal IL-17A+ TILs IF | Low density | 14 | 9 | 23 | Epithelial IL-17A+ TILs IF | Low density | 11 | 8 | 19 |
| High density | 12 | 13 | 25 | High density | 13 | 16 | 29 | ||
| 26 | 22 | 48 | 24 | 24 | 48 | ||||
| HLA Class I TCe | |||||||||
| Low | High | ||||||||
| HLA class I IF | Low | 10 | 6 | 16 | |||||
| High | 6 | 31 | 37 | ||||||
| 16 | 37 | 53 | |||||||
| . | . | IFN-γ TCs TCe . | . | . | . | IFN-γ TILs TCe . | . | ||
|---|---|---|---|---|---|---|---|---|---|
| . | . | Absent . | Present . | . | . | . | Absent . | Present . | . |
| IFN-γ TCs IF | Absent | 29 | 4 | 33 | IFN-γ TILs IF | Absent | 36 | 2 | 38 |
| Present | 10 | 10 | 20 | Present | 4 | 11 | 15 | ||
| 39 | 14 | 53 | 40 | 13 | 53 | ||||
| Stromal FOXP3+ TILs TCe | Epithelial FOXP3+ TILs TCe | ||||||||
| Low density | High density | Low density | High density | ||||||
| Stromal FOXP3+ TILs IF | Low density | 11 | 1 | 12 | Epithelial FOXP3+ TILs IF | Low density | 7 | 8 | 15 |
| High density | 5 | 36 | 41 | High density | 2 | 36 | 38 | ||
| 16 | 37 | 53 | 9 | 44 | 53 | ||||
| Stromal CD8+ TILs TCe | Epithelial CD8+ TILs TCe | ||||||||
| Low density | High density | Low density | High density | ||||||
| Stromal CD8+ TILs IF | Low density | 16 | 4 | 20 | Epithelial CD8+ TILs IF | Low density | 12 | 10 | 22 |
| High density | 1 | 32 | 33 | High density | 3 | 28 | 31 | ||
| 17 | 36 | 53 | 15 | 38 | 53 | ||||
| Stromal CD3+ TILs TCe | Epithelial CD3+ TILs TCe | ||||||||
| Low density | High density | Low density | High density | ||||||
| Stromal CD3+ TILs IF | Low density | 13 | 2 | 15 | Epithelial CD3+ TILs IF | Low density | 14 | 5 | 19 |
| High density | 6 | 32 | 38 | High density | 1 | 33 | 34 | ||
| 19 | 34 | 53 | 15 | 38 | 53 | ||||
| Stromal CD4+ TILs TCe | Epithelial CD4+ TILs TCe | ||||||||
| Low density | High density | Low density | High density | ||||||
| Stromal CD4+ TILs IF | Low density | 7 | 3 | 10 | Epithelial CD4+ TILs IF | Low density | 8 | 4 | 12 |
| High density | 6 | 31 | 37 | High density | 5 | 31 | 36 | ||
| 13 | 34 | 47 | 13 | 35 | 48 | ||||
| Stromal IL-17A+ TILs TCe | Epithelial IL-17A+ TILs TCe | ||||||||
| Low density | High density | Low density | High density | ||||||
| Stromal IL-17A+ TILs IF | Low density | 14 | 9 | 23 | Epithelial IL-17A+ TILs IF | Low density | 11 | 8 | 19 |
| High density | 12 | 13 | 25 | High density | 13 | 16 | 29 | ||
| 26 | 22 | 48 | 24 | 24 | 48 | ||||
| HLA Class I TCe | |||||||||
| Low | High | ||||||||
| HLA class I IF | Low | 10 | 6 | 16 | |||||
| High | 6 | 31 | 37 | ||||||
| 16 | 37 | 53 | |||||||
Correlation of immunologic with histomorphologic parameters
Low-level HLA class I expression was significantly correlated with sparse inflammatory infiltrate (p < 0.01) and with low stromal content (p = 0.014). High density of FOXP3i and FOXP3s was significantly more frequent in OSCC with large cell nest size and absence of TBA (p < 0.03). In addition, low-density FOXP3s within TCe was significantly more frequently observed in cases with lymphangioinvasion and Pn (p < 0.05). In analogy, the number of CD8ihigh/CD8shigh OSCC was significantly higher in OSCC with large cell nest sizes and lack of budding activity (p < 0.03) and CD4ihigh/CD4shigh was significantly correlated with large cell nest sizes (p < 0.03). Concerning CD3+ TILs, only CD3i showed a correlation with cell nest size, as CD3ilow was correlated with small cell nest size (p = 0.038). In addition, an association of IFN-γ expression in TCs with histomorphology within TCe was observed; IFN-γ mRNA was detected significantly more frequently in OSCC with large cell nest size and lack of TBA (p < 0.01). In contrast, IFN-γ expression in TILs at the IF was correlated with low stromal content (p = 0.013) and IFN-γ in TILs within TCe with dense inflammatory infiltrate (p = 0.002; Tables V and VI). No further correlations of immunologic parameters with histomorphology were observed.
| . | Cell Nest Size IF . | Cell Nest Size TCe . | Budding Activity . | Stromal Content . | Lymphocytic Infiltrate . | Pn1 . | L1 . | Grading . |
|---|---|---|---|---|---|---|---|---|
| HLA class I IF | 0.127 | 0.101 | 0.157 | 0.218 | <0.001 | 0.125 | 0.842 | 0.187 |
| HLA class I TCe | 0.814 | 0.235 | 0.599 | 0.019 | 0.002 | 0.152 | 0.125 | 0.727 |
| CD3+ TILs IF (epithelial) | 0.385 | 0.085 | 0.143 | 0.022 | <0.001 | 0.091 | 0.484 | 0.139 |
| CD3+ TILs TCe (epithelial) | 0.147 | 0.038 | 0.062 | 0.017 | 0.001 | 0.520 | 0.086 | 0.090 |
| CD3+ TILs IF (stromal) | 0.696 | 0.420 | 0.121 | 0.318 | 0.014 | 0.608 | 0.077 | 0.494 |
| CD3+ TILs TCe (stromal) | 0.378 | 0.905 | 0.120 | 0.141 | 0.001 | 0.908 | 0.318 | 0.646 |
| CD8+ TILs IF (epithelial) | 0.118 | 0.012 | 0.030 | 0.009 | <0.001 | 0.022 | 0.558 | 0.041 |
| CD8+ TILs TCe (epithelial) | 0.287 | 0.066 | 0.190 | 0.029 | 0.001 | 0.838 | 0.125 | 0.171 |
| CD8+ TILs IF (stromal) | 0.309 | 0.307 | 0.063 | 0.370 | 0.010 | 0.464 | 0.123 | 0.405 |
| CD8+ TILs TCe (stromal) | 0.146 | 0.099 | 0.009 | 0.124 | <0.001 | 0.838 | 0.125 | 0.116 |
| FOXP3+ TILs IF (epithelial) | 0.229 | 0.014 | 0.005 | 0.431 | <0.001 | 0.640 | 0.624 | 0.829 |
| FOXP3+ TILs TCe (epithelial) | 0.216 | 0.006 | 0.026 | 0.082 | 0.001 | 0.218 | 0.108 | 0.422 |
| FOXP3+ TILs IF (stromal) | 0.294 | 0.177 | 0.021 | 0.201 | 0.049 | 0.068 | 0.015 | 0.111 |
| FOXP3+ TILs TCe (stromal) | 0.662 | 0.388 | 0.063 | 0.548 | 0.132 | 0.041 | 0.002 | 0.290 |
| CD4+ TILs IF (epithelial) | 0.285 | 0.025 | 0.135 | 0.073 | 0.030 | 0.894 | 0.585 | 0.177 |
| CD4+ TILs TCe (epithelial) | 0.937 | 0.731 | 0.351 | 0.089 | 0.555 | 0.702 | 0.179 | 0.089 |
| CD4+ TILs IF (stromal) | 0.275 | 0.019 | 0.134 | 0.286 | 0.011 | 0.424 | 0.585 | 0.349 |
| CD4+ TILs TCe (stromal) | 0.639 | 0.817 | 0.294 | 0.794 | 0.054 | 0.650 | 0.715 | 0.721 |
| IL-17A+ TILs IF (epithelial) | 0.402 | 0.167 | 0.322 | 0.066 | 0.003 | 0.679 | 0.276 | 0.607 |
| IL-17A+ TILs TCe (epithelial) | 0.116 | 0.577 | 0.725 | 0.189 | 0.284 | 0.625 | 0.401 | 0.493 |
| IL-17A+ TILs IF (stromal) | 0.196 | 0.274 | 0.861 | 0.366 | 0.076 | 0.719 | 0.078 | 0.790 |
| IL-17A+ TILs TCe (stromal) | 0.476 | 0.070 | 0.978 | 0.383 | 0.542 | 0.488 | 0.892 | 0.299 |
| IFN-γ expression TCs IF | 0.409 | 0.250 | 0.105 | 0.615 | 0.211 | 0.339 | 0.814 | 0.269 |
| IFN-γ expression TCs TCe | 0.003 | 0.001 | <0.001 | 0.367 | 0.177 | 0.202 | 0.197 | 0.133 |
| IFN-γ expression TILs IF | 0.703 | 0.624 | 0.297 | 0.013 | 0.084 | 0.394 | 0.981 | 0.721 |
| IFN-γ expression TILs TCe | 0.706 | 0.267 | 0.746 | 0.168 | 0.035 | 0.002 | 0.239 | 0.459 |
| . | Cell Nest Size IF . | Cell Nest Size TCe . | Budding Activity . | Stromal Content . | Lymphocytic Infiltrate . | Pn1 . | L1 . | Grading . |
|---|---|---|---|---|---|---|---|---|
| HLA class I IF | 0.127 | 0.101 | 0.157 | 0.218 | <0.001 | 0.125 | 0.842 | 0.187 |
| HLA class I TCe | 0.814 | 0.235 | 0.599 | 0.019 | 0.002 | 0.152 | 0.125 | 0.727 |
| CD3+ TILs IF (epithelial) | 0.385 | 0.085 | 0.143 | 0.022 | <0.001 | 0.091 | 0.484 | 0.139 |
| CD3+ TILs TCe (epithelial) | 0.147 | 0.038 | 0.062 | 0.017 | 0.001 | 0.520 | 0.086 | 0.090 |
| CD3+ TILs IF (stromal) | 0.696 | 0.420 | 0.121 | 0.318 | 0.014 | 0.608 | 0.077 | 0.494 |
| CD3+ TILs TCe (stromal) | 0.378 | 0.905 | 0.120 | 0.141 | 0.001 | 0.908 | 0.318 | 0.646 |
| CD8+ TILs IF (epithelial) | 0.118 | 0.012 | 0.030 | 0.009 | <0.001 | 0.022 | 0.558 | 0.041 |
| CD8+ TILs TCe (epithelial) | 0.287 | 0.066 | 0.190 | 0.029 | 0.001 | 0.838 | 0.125 | 0.171 |
| CD8+ TILs IF (stromal) | 0.309 | 0.307 | 0.063 | 0.370 | 0.010 | 0.464 | 0.123 | 0.405 |
| CD8+ TILs TCe (stromal) | 0.146 | 0.099 | 0.009 | 0.124 | <0.001 | 0.838 | 0.125 | 0.116 |
| FOXP3+ TILs IF (epithelial) | 0.229 | 0.014 | 0.005 | 0.431 | <0.001 | 0.640 | 0.624 | 0.829 |
| FOXP3+ TILs TCe (epithelial) | 0.216 | 0.006 | 0.026 | 0.082 | 0.001 | 0.218 | 0.108 | 0.422 |
| FOXP3+ TILs IF (stromal) | 0.294 | 0.177 | 0.021 | 0.201 | 0.049 | 0.068 | 0.015 | 0.111 |
| FOXP3+ TILs TCe (stromal) | 0.662 | 0.388 | 0.063 | 0.548 | 0.132 | 0.041 | 0.002 | 0.290 |
| CD4+ TILs IF (epithelial) | 0.285 | 0.025 | 0.135 | 0.073 | 0.030 | 0.894 | 0.585 | 0.177 |
| CD4+ TILs TCe (epithelial) | 0.937 | 0.731 | 0.351 | 0.089 | 0.555 | 0.702 | 0.179 | 0.089 |
| CD4+ TILs IF (stromal) | 0.275 | 0.019 | 0.134 | 0.286 | 0.011 | 0.424 | 0.585 | 0.349 |
| CD4+ TILs TCe (stromal) | 0.639 | 0.817 | 0.294 | 0.794 | 0.054 | 0.650 | 0.715 | 0.721 |
| IL-17A+ TILs IF (epithelial) | 0.402 | 0.167 | 0.322 | 0.066 | 0.003 | 0.679 | 0.276 | 0.607 |
| IL-17A+ TILs TCe (epithelial) | 0.116 | 0.577 | 0.725 | 0.189 | 0.284 | 0.625 | 0.401 | 0.493 |
| IL-17A+ TILs IF (stromal) | 0.196 | 0.274 | 0.861 | 0.366 | 0.076 | 0.719 | 0.078 | 0.790 |
| IL-17A+ TILs TCe (stromal) | 0.476 | 0.070 | 0.978 | 0.383 | 0.542 | 0.488 | 0.892 | 0.299 |
| IFN-γ expression TCs IF | 0.409 | 0.250 | 0.105 | 0.615 | 0.211 | 0.339 | 0.814 | 0.269 |
| IFN-γ expression TCs TCe | 0.003 | 0.001 | <0.001 | 0.367 | 0.177 | 0.202 | 0.197 | 0.133 |
| IFN-γ expression TILs IF | 0.703 | 0.624 | 0.297 | 0.013 | 0.084 | 0.394 | 0.981 | 0.721 |
| IFN-γ expression TILs TCe | 0.706 | 0.267 | 0.746 | 0.168 | 0.035 | 0.002 | 0.239 | 0.459 |
Statistically significant values (p < 0.05) are highlighted in boldface and italics.
| . | IFN-γ Expression TCs IF . | IN-γ Expression TILs IF . | HLA Class I IF . | CD3+ TILs IF (Epithelial) . | CD3+ TILs IF (Stromal) . | CD8+ TILs IF (Epithelial) . | CD8+ TILs IF (Stromal) . | FOXP3+ TILs IF (Epithelial) . | FOXP3+ TILs IF (Stromal) . | CD4+ TILs IF (Epithelial) . | CD4+ TILs IF (Stromal) . | IL-17A+ TILs IF (Epithelial) . | IL-17A+ TILs IF (Stromal) . |
|---|---|---|---|---|---|---|---|---|---|---|---|---|---|
| IFN-γ expression TCs IF | X | 0.009 | 0.266 | 0.039 | 0.173 | 0.459 | 0.851 | 0.356 | 0.332 | 0.572 | 0.572 | 0.188 | 0.599 |
| IFN-γ expression TILs IF | X | 0.081 | 0.157 | 0.063 | 0.030 | 0.060 | 0.344 | 0.067 | 0.189 | 0.045 | 0.249 | 0.206 | |
| HLA class I IF | X | 0.022 | 0.266 | 0.023 | 0.143 | 0.003 | 0.793 | 0.122 | 0.024 | 0.147 | 0.098 | ||
| CD3+ TILs IF (epithelial) | X | 0.002 | <0.001 | 0.007 | 0.012 | 0.046 | 0.041 | 0.006 | 0.002 | 0.004 | |||
| CD3+ TILs IF (stromal) | X | 0.319 | <0.001 | 0.010 | 0.031 | <0.001 | <0.001 | 0.574 | 0.051 | ||||
| CD8+ TILs IF (epithelial) | X | 0.066 | 0.010 | 0.711 | 0.139 | 0.034 | 0.156 | 0.152 | |||||
| CD8+ TILs IF (stromal) | X | 0.003 | 0.052 | 0.014 | 0.014 | 0.066 | 0.011 | ||||||
| FOXP3+ TILs IF (epithelial) | X | 0.258 | 0.001 | 0.013 | <0.001 | 0.296 | |||||||
| FOXP3+ TILs IF (stromal) | X | 0.056 | 0.056 | 0.003 | 0.269 | ||||||||
| CD4+ TILs IF (epithelial) | X | <0.001 | 0.185 | 0.096 | |||||||||
| CD4+ TILs IF (stromal) | X | 0.185 | 0.021 | ||||||||||
| IL-17A+ TILs IF (epithelial) | X | 0.005 |
| . | IFN-γ Expression TCs IF . | IN-γ Expression TILs IF . | HLA Class I IF . | CD3+ TILs IF (Epithelial) . | CD3+ TILs IF (Stromal) . | CD8+ TILs IF (Epithelial) . | CD8+ TILs IF (Stromal) . | FOXP3+ TILs IF (Epithelial) . | FOXP3+ TILs IF (Stromal) . | CD4+ TILs IF (Epithelial) . | CD4+ TILs IF (Stromal) . | IL-17A+ TILs IF (Epithelial) . | IL-17A+ TILs IF (Stromal) . |
|---|---|---|---|---|---|---|---|---|---|---|---|---|---|
| IFN-γ expression TCs IF | X | 0.009 | 0.266 | 0.039 | 0.173 | 0.459 | 0.851 | 0.356 | 0.332 | 0.572 | 0.572 | 0.188 | 0.599 |
| IFN-γ expression TILs IF | X | 0.081 | 0.157 | 0.063 | 0.030 | 0.060 | 0.344 | 0.067 | 0.189 | 0.045 | 0.249 | 0.206 | |
| HLA class I IF | X | 0.022 | 0.266 | 0.023 | 0.143 | 0.003 | 0.793 | 0.122 | 0.024 | 0.147 | 0.098 | ||
| CD3+ TILs IF (epithelial) | X | 0.002 | <0.001 | 0.007 | 0.012 | 0.046 | 0.041 | 0.006 | 0.002 | 0.004 | |||
| CD3+ TILs IF (stromal) | X | 0.319 | <0.001 | 0.010 | 0.031 | <0.001 | <0.001 | 0.574 | 0.051 | ||||
| CD8+ TILs IF (epithelial) | X | 0.066 | 0.010 | 0.711 | 0.139 | 0.034 | 0.156 | 0.152 | |||||
| CD8+ TILs IF (stromal) | X | 0.003 | 0.052 | 0.014 | 0.014 | 0.066 | 0.011 | ||||||
| FOXP3+ TILs IF (epithelial) | X | 0.258 | 0.001 | 0.013 | <0.001 | 0.296 | |||||||
| FOXP3+ TILs IF (stromal) | X | 0.056 | 0.056 | 0.003 | 0.269 | ||||||||
| CD4+ TILs IF (epithelial) | X | <0.001 | 0.185 | 0.096 | |||||||||
| CD4+ TILs IF (stromal) | X | 0.185 | 0.021 | ||||||||||
| IL-17A+ TILs IF (epithelial) | X | 0.005 |
Statistically significant values (p < 0.05) are highlighted in boldface and italics.
Correlation of immunologic parameters with each other
At the IF, low HLA class I expression was correlated with lower levels of intraepithelial (CD3i, CD8i; FOXP3i) TILs (p < 0.05) and with low-level CD4s, whereas density of stromal lymphocytic infiltrate (CD3s, CD8s; FOXP3s, IL-17As) was independent of HLA class I expression. IFN-γ mRNA in TCs was significantly associated with high-density CD3i; IFN-γ mRNA in TILs was correlated with dense CD8i and CD4s (p < 0.05). Concerning TIL subgroups, densities of intraepithelial and stromal infiltration (CD3i, CD3s, CD4i, CD4s, CD8i, CD8s, FOXP3i, FOXP3s, IL-17Ai, IL-17As) were closely intertwined and showed significant positive correlations among each other. Tables V and VI summarize the correlation of immunologic parameters at the IF. As expected, correlations of immunologic parameters within TCe were almost similar to those at the IF (Supplemental Table II).
Correlation of immunologic parameters with clinicopathological data
OSCC with FOXP3ihigh at the IF (p = 0.021) and within TCe (p = 0.004) and with FOXP3shigh within TCe (p = 0.018) were detected significantly earlier with lower pT at diagnosis. Furthermore, a significant correlation was detected between high density CD4i infiltrate (IF) and lower nodal stages (pN) (p = 0.027) and lower UICC stages (p = 0.005) at diagnosis. IFN-γ mRNA expression in TILs at the IF was significantly more frequent in cases with lower T (p = 0.003) and UICC stages (p = 0.029). No further association with clinicopathological parameters was observed.
Survival associations of immunologic parameters
Patients with FOXP3shigh carcinomas had a significantly more favorable prognosis compared with their counterparts. Mean OS (DSS; DFS) of patients with FOXP3shigh at the IF was 63.9 mo: p = 0.035 (74.1 mo: p = 0.012; 71.4 mo: p = 0.005) compared with OS 28.9 mo (DSS 30.1 mo; DFS 28.9 mo) of their counterparts with FOXP3slow. Respective survival for FOXP3s at TCe was as follows: FOXP3shigh: mean OS p = 0.023: (DSS [p = 0.016]; DFS [p = 0.027]) 60.1 mo (68.3 mo; 65.4 mo) compared with FOXP3slow: OS 40.3 mo (DSS 46.8 mo; DFS 46.1 mo; Fig. 2).
Prognostic impact of stromal FOXP3+ TILs on patient prognosis. Association of density of FOXP3+ stromal TILs at the IF (first row) and within TCe (second row) with overall (A and D), disease-specific (B and E), and disease-free (C and F) survival. Association of OSCC with low-density stromal FOXP3+ TILs at IF and within TCe (third row; FOXP3s-excluded OSCC) with decreased overall (G), disease-specific (H), and disease-free (I) survival compared with OSCC with high-density FOXP3s infiltration at IF or TCe (FOXP3slow/high) and those with dense FOXP3s infiltration in both tumor localizations (FOXP3+-inflamed OSCC). x-axis = time after diagnosis/months; statistical analysis performed one time. Data of n = 66 patients included.
Prognostic impact of stromal FOXP3+ TILs on patient prognosis. Association of density of FOXP3+ stromal TILs at the IF (first row) and within TCe (second row) with overall (A and D), disease-specific (B and E), and disease-free (C and F) survival. Association of OSCC with low-density stromal FOXP3+ TILs at IF and within TCe (third row; FOXP3s-excluded OSCC) with decreased overall (G), disease-specific (H), and disease-free (I) survival compared with OSCC with high-density FOXP3s infiltration at IF or TCe (FOXP3slow/high) and those with dense FOXP3s infiltration in both tumor localizations (FOXP3+-inflamed OSCC). x-axis = time after diagnosis/months; statistical analysis performed one time. Data of n = 66 patients included.
Multivariate statistical analysis comprising age, gender, pT, pN, and grading revealed that survival association of FOXP3s at TCe was independent of the above-mentioned parameters with a hazard ratio (HR) for OS of 2.8 (p = 0.049), DSS HR = 5.1 (p = 0.015), and DFS HR = 3.7 (p = 0.035). Concerning the IF, FOXP3s was an independent prognostic parameter for DSS (HR = 2.8; p = 0.046) and DFS (HR = 3.1; p = 0.021; Supplemental Table III).
No further statistically significant survival associations of immunologic parameters were detected.
Survival associations of TIL ratios
Ratios of stromal CD8s:CD4s TILs and epithelial FOXP3i:CD4i TILs within TCe were significantly correlated with patient outcome with high ratios, indicating favorable prognosis. Mean OS: p = 0.127 (DSS: p = 0.015; DFS: p = 0.069) of patients with high CD8s:CD4s ratio was 59.6 mo (70.1 mo; 65.4 mo), contrasted by OS 47.6 mo (DSS 47.6 mo; DFS 50.5 mo) of patients with low CD8s:CD4s ratio. Respective survival times of patients depending on FOXP3i:CD4i ratio (OS [p = 0.056], DSS [p = 0.022], DFS [p = 0.025]) were 61.0 mo for patients with high ratio (70.6 mo; 67.0 mo) versus 31.2 mo (32.7 mo; 32.7 mo) for patients with low ratio (Fig. 3). No further statistically significant survival associations of immunologic parameters were detected.
Prognostic impact of ratios of TILs on patient prognosis. (A–F): All cases: association of stromal CD8:CD4 ratio (A–C) and epithelial FOXP3:CD4 ratio (D–F) within TCe with overall (A and D), disease-specific (B and E), and disease-free (C and F) survival. (G–I) FOXP3-inflamed OSCC: prognostic stratification of FOXP3-inflamed OSCC depending on FOXP3i:CD4i ratio within TCe; association with overall (G), disease-specific (H), and disease-free (I) survival. Statistical analysis performed one time; data of n = 66 patients included.
Prognostic impact of ratios of TILs on patient prognosis. (A–F): All cases: association of stromal CD8:CD4 ratio (A–C) and epithelial FOXP3:CD4 ratio (D–F) within TCe with overall (A and D), disease-specific (B and E), and disease-free (C and F) survival. (G–I) FOXP3-inflamed OSCC: prognostic stratification of FOXP3-inflamed OSCC depending on FOXP3i:CD4i ratio within TCe; association with overall (G), disease-specific (H), and disease-free (I) survival. Statistical analysis performed one time; data of n = 66 patients included.
Applying Cox regression model for multivariate statistical analysis, including age, gender, pT, pN, and grading revealed that CD8s:CD4s ratio (TCe) was an independent prognostic factor for poor DSS (p = 0.009) with HR 4.3 and DFS (p = 0.013) with HR 3.4 for patients with low TIL ratio compared with counterparts with high ratio (Supplemental Table III). In contrast, FOXP3i:CD4i ratio was not found to be independent of the above-named clinicopathological parameters (p > 0.5).
Survival associations of immunologic parameters regarding heterogeneous TME
Further statistical analysis revealed that patients with FOXP3slow OSCC at both IF and TCe (FOXP3slow/low; homogeneous noninflamed TME; referred to as FOXP3s excluded) had a significantly worse OS (p = 0.003), DSS (p = 0.001), and DFS (p < 0.001) compared with counterparts with high-density FOXP3s infiltration at either IF or TCe (FOXP3slow/high; heterogeneous immunologic TME) and those with dense FOXP3s infiltration in both tumor localizations (FOXP3shigh/high; homogeneous inflamed immunologic TME; Fig. 2). In contrast, survival differences between the latter subgroups FOXP3slow/high/FOXP3shigh/low and FOXP3shigh/high concerning OS, DSS, and DFS were not significant (p > 0.2); therefore, these two subgroups are referred to as FOXP3 “inflamed.” Survival times are given in Table VII.
| . | . | Overall . | Events (OS) . | Mean OS (SE) . | p Value . | Events (DSS) . | Mean DSS (SE) . | p Value . | Events (DFS) . | Mean Disease Free Survival (SE) . | p Value . |
|---|---|---|---|---|---|---|---|---|---|---|---|
| All OSCC | FOXP3-excluded | 11 | 9 | 21.1 (4.9) | 0.003 | 8 | 22.6 (5.3) | 0.001 | 9 | 21.1 (4.9) | <0.001 |
| FOXP3-inflamed | 42 | 15 | 58.3 (5.7) | 10 | 66.9 (5.2) | 10 | 66.0 (5.4) | ||||
| FOXP3-excluded OSCC | FOXP3i:CD4i low | 4 | 4 | 20.1 (6.6) | 0.748 | 4 | 20.2 (6.6) | 0.526 | 4 | 20.4 (6.6) | 0.748 |
| FOXP3i:CD4i high | 7 | 5 | 21.7 (7.0) | 4 | 25.4 (7.9) | 5 | 21.7 (7.0) | ||||
| FOXP3-inflamed OSCC | FOXP3i:CD4i low | 11 | 7 | 30.2 (6.6) | 0.030 | 6 | 32.5 (6.9) | 0.012 | 6 | 32.5 (6.0) | 0.007 |
| FOXP3i:CD4i high | 27 | 7 | 64.2 (7.0) | 4 | 74.0 (5.5) | 4 | 72.8 (5.9) |
| . | . | Overall . | Events (OS) . | Mean OS (SE) . | p Value . | Events (DSS) . | Mean DSS (SE) . | p Value . | Events (DFS) . | Mean Disease Free Survival (SE) . | p Value . |
|---|---|---|---|---|---|---|---|---|---|---|---|
| All OSCC | FOXP3-excluded | 11 | 9 | 21.1 (4.9) | 0.003 | 8 | 22.6 (5.3) | 0.001 | 9 | 21.1 (4.9) | <0.001 |
| FOXP3-inflamed | 42 | 15 | 58.3 (5.7) | 10 | 66.9 (5.2) | 10 | 66.0 (5.4) | ||||
| FOXP3-excluded OSCC | FOXP3i:CD4i low | 4 | 4 | 20.1 (6.6) | 0.748 | 4 | 20.2 (6.6) | 0.526 | 4 | 20.4 (6.6) | 0.748 |
| FOXP3i:CD4i high | 7 | 5 | 21.7 (7.0) | 4 | 25.4 (7.9) | 5 | 21.7 (7.0) | ||||
| FOXP3-inflamed OSCC | FOXP3i:CD4i low | 11 | 7 | 30.2 (6.6) | 0.030 | 6 | 32.5 (6.9) | 0.012 | 6 | 32.5 (6.0) | 0.007 |
| FOXP3i:CD4i high | 27 | 7 | 64.2 (7.0) | 4 | 74.0 (5.5) | 4 | 72.8 (5.9) |
Statistically significant values (p < 0.05) are highlighted in italics.
Multivariate statistical analysis including age, gender, pT, pN, and grading showed FOXP3slow/low to be an independent predictor of unfavorable outcome (OS p = 0.011, HR = 4.0; DSS p = 0.002, HR = 8.0; DFS p = 0.001, HR = 8.5; Table VIII). Taking into account established immunologic biomarkers, multivariate statistical analysis was extended by 1) CD8+ and 2) IFN-γ+ immune cell infiltrate. Statistical analysis confirmed the prognostic impact of FOXP3+ Tregs, revealing even comparably higher HRs [1): OS p = 0.004, HR = 5.7; DSS p < 0.001, HR = 12.0; DFS p < 0.001, HR = 13.2; 2): OS p = 0.002, HR = 6.4; DSS p < 0.001, HR = 19.3; DFS p < 0.001, HR = 29.3]. Respective results of Cox regression analysis are given in Table VIII.
| . | OS . | DSS . | DFS . | |||||||||
|---|---|---|---|---|---|---|---|---|---|---|---|---|
| . | . | 95% CI . | . | . | 95% CI . | . | . | 95% CI . | . | |||
| . | HR . | Min. . | Max. . | p Value . | HR . | Min. . | Max. . | p Value . | HR . | Min. . | Max. . | p Value . |
| Parameter | ||||||||||||
| Age | 1.8 | 0.6 | 4.9 | 0.268 | 4.5 | 1.2 | 16.6 | 0.022 | 3.7 | 1.1 | 13.0 | 0.040 |
| Gender | 1.2 | 0.4 | 3.4 | 0.685 | 1.2 | 0.4 | 3.9 | 0.776 | 1.6 | 0.5 | 4.9 | 0.432 |
| pT | 2.2 | 0.9 | 5.5 | 0.082 | 2.5 | 0.9 | 7.0 | 0.087 | 1.9 | 0.7 | 5.2 | 0.216 |
| pN | 2.0 | 0.7 | 5.8 | 0.201 | 2.6 | 0.8 | 8.8 | 0.133 | 2.8 | 0.8 | 9.6 | 0.102 |
| Grading | 1.3 | 0.1 | 12.2 | 0.823 | 1.1 | 0.4 | 3.1 | 0.992 | 1.1 | 0.4 | 2.7 | 0.970 |
| FOXP3s (IF+TCe) | 4.0 | 1.4 | 11.5 | 0.011 | 8.0 | 2.4 | 33.9 | 0.002 | 9.8 | 2.7 | 35.9 | 0.001 |
| Parameter | ||||||||||||
| Age | 2.1 | 0.7 | 5.9 | 0.174 | 5.2 | 1.5 | 18.7 | 0.011 | 4.7 | 1.4 | 16.7 | 0.015 |
| Gender | 0.8 | 0.2 | 2.4 | 0.640 | 0.8 | 0.2 | 3.2 | 0.734 | 1.0 | 0.3 | 3.8 | 0.974 |
| pT | 2.7 | 1.0 | 7.5 | 0.056 | 2.8 | 0.9 | 8.9 | 0.075 | 1.9 | 0.6 | 5.9 | 0.235 |
| pN | 1.3 | 0.4 | 4.5 | 0.667 | 1.4 | 0.3 | 6.6 | 0.690 | 1.8 | 0.4 | 7.8 | 0.459 |
| Grading | 1.7 | 0.7 | 4.1 | 0.255 | 2.0 | 0.6 | 6.0 | 0.239 | 1.8 | 0.6 | 5.4 | 0.273 |
| CD8i IF | 2.2 | 0.6 | 8.0 | 0.243 | 3.7 | 0.7 | 17.6 | 0.096 | 2.7 | 0.6 | 12.6 | 0.217 |
| CD8i TCe | 1.8 | 0.4 | 7.9 | 0.420 | 2.6 | 0.4 | 15.6 | 0.297 | 3.2 | 0.5 | 18.5 | 0.202 |
| CD8s IF | 2.8 | 0.5 | 14.9 | 0.216 | 2.1 | 0.3 | 16.0 | 0.469 | 2.5 | 0.3 | 20.1 | 0.402 |
| CD8s TCe | 0.4 | 0.1 | 2.5 | 0.314 | 0.2 | 0.1 | 1.7 | 0.130 | 0.2 | 0.1 | 1.8 | 0.136 |
| FOXP3s (IF+TCe) | 5.7 | 1.7 | 18.4 | 0.004 | 12.0 | 3.0 | 47.8 | <0.001 | 13.2 | 3.4 | 51.4 | <0.001 |
| Parameter | ||||||||||||
| Age | 1.3 | 0.4 | 3.7 | 0.669 | 3.9 | 0.9 | 16.4 | 0.063 | 3.1 | 0.8 | 12.3 | 0.108 |
| Gender | 1.1 | 0.4 | 3.3 | 0.823 | 1.1 | 0.3 | 4.0 | 0.930 | 1.3 | 0.4 | 4.6 | 0.687 |
| pT | 1.2 | 1.2 | 8.4 | 0.020 | 4.1 | 1.2 | 13.5 | 0.021 | 2.9 | 0.9 | 9.1 | 0.067 |
| pN | 1.4 | 0.4 | 4.2 | 0.604 | 1.9 | 0.5 | 7.9 | 0.368 | 2.2 | 0.6 | 9.0 | 0.256 |
| Grading | 1.1 | 0.5 | 2.7 | 0.809 | 0.8 | 0.3 | 2.5 | 0.721 | 0.8 | 0.3 | 2.3 | 0.649 |
| IFN-γ+ ICs IF | 15.9 | 3.2 | 78.7 | <0.001 | 21.5 | 3.1 | 150.0 | 0.002 | 31.6 | 3.9 | 256.0 | 0.001 |
| IFN-γ+ ICs TCe | 0.1 | <0.1 | 0.4 | 0.002 | 0.1 | <0.1 | 0.7 | 0.016 | 0.1 | <0.1 | 0.6 | 0.013 |
| FOXP3s (IF+TCe) | 6.4 | 1.9 | 21.3 | 0.002 | 19.3 | 3.6 | 97.1 | <0.001 | 29.3 | 5.1 | 168.8 | <0.001 |
| . | OS . | DSS . | DFS . | |||||||||
|---|---|---|---|---|---|---|---|---|---|---|---|---|
| . | . | 95% CI . | . | . | 95% CI . | . | . | 95% CI . | . | |||
| . | HR . | Min. . | Max. . | p Value . | HR . | Min. . | Max. . | p Value . | HR . | Min. . | Max. . | p Value . |
| Parameter | ||||||||||||
| Age | 1.8 | 0.6 | 4.9 | 0.268 | 4.5 | 1.2 | 16.6 | 0.022 | 3.7 | 1.1 | 13.0 | 0.040 |
| Gender | 1.2 | 0.4 | 3.4 | 0.685 | 1.2 | 0.4 | 3.9 | 0.776 | 1.6 | 0.5 | 4.9 | 0.432 |
| pT | 2.2 | 0.9 | 5.5 | 0.082 | 2.5 | 0.9 | 7.0 | 0.087 | 1.9 | 0.7 | 5.2 | 0.216 |
| pN | 2.0 | 0.7 | 5.8 | 0.201 | 2.6 | 0.8 | 8.8 | 0.133 | 2.8 | 0.8 | 9.6 | 0.102 |
| Grading | 1.3 | 0.1 | 12.2 | 0.823 | 1.1 | 0.4 | 3.1 | 0.992 | 1.1 | 0.4 | 2.7 | 0.970 |
| FOXP3s (IF+TCe) | 4.0 | 1.4 | 11.5 | 0.011 | 8.0 | 2.4 | 33.9 | 0.002 | 9.8 | 2.7 | 35.9 | 0.001 |
| Parameter | ||||||||||||
| Age | 2.1 | 0.7 | 5.9 | 0.174 | 5.2 | 1.5 | 18.7 | 0.011 | 4.7 | 1.4 | 16.7 | 0.015 |
| Gender | 0.8 | 0.2 | 2.4 | 0.640 | 0.8 | 0.2 | 3.2 | 0.734 | 1.0 | 0.3 | 3.8 | 0.974 |
| pT | 2.7 | 1.0 | 7.5 | 0.056 | 2.8 | 0.9 | 8.9 | 0.075 | 1.9 | 0.6 | 5.9 | 0.235 |
| pN | 1.3 | 0.4 | 4.5 | 0.667 | 1.4 | 0.3 | 6.6 | 0.690 | 1.8 | 0.4 | 7.8 | 0.459 |
| Grading | 1.7 | 0.7 | 4.1 | 0.255 | 2.0 | 0.6 | 6.0 | 0.239 | 1.8 | 0.6 | 5.4 | 0.273 |
| CD8i IF | 2.2 | 0.6 | 8.0 | 0.243 | 3.7 | 0.7 | 17.6 | 0.096 | 2.7 | 0.6 | 12.6 | 0.217 |
| CD8i TCe | 1.8 | 0.4 | 7.9 | 0.420 | 2.6 | 0.4 | 15.6 | 0.297 | 3.2 | 0.5 | 18.5 | 0.202 |
| CD8s IF | 2.8 | 0.5 | 14.9 | 0.216 | 2.1 | 0.3 | 16.0 | 0.469 | 2.5 | 0.3 | 20.1 | 0.402 |
| CD8s TCe | 0.4 | 0.1 | 2.5 | 0.314 | 0.2 | 0.1 | 1.7 | 0.130 | 0.2 | 0.1 | 1.8 | 0.136 |
| FOXP3s (IF+TCe) | 5.7 | 1.7 | 18.4 | 0.004 | 12.0 | 3.0 | 47.8 | <0.001 | 13.2 | 3.4 | 51.4 | <0.001 |
| Parameter | ||||||||||||
| Age | 1.3 | 0.4 | 3.7 | 0.669 | 3.9 | 0.9 | 16.4 | 0.063 | 3.1 | 0.8 | 12.3 | 0.108 |
| Gender | 1.1 | 0.4 | 3.3 | 0.823 | 1.1 | 0.3 | 4.0 | 0.930 | 1.3 | 0.4 | 4.6 | 0.687 |
| pT | 1.2 | 1.2 | 8.4 | 0.020 | 4.1 | 1.2 | 13.5 | 0.021 | 2.9 | 0.9 | 9.1 | 0.067 |
| pN | 1.4 | 0.4 | 4.2 | 0.604 | 1.9 | 0.5 | 7.9 | 0.368 | 2.2 | 0.6 | 9.0 | 0.256 |
| Grading | 1.1 | 0.5 | 2.7 | 0.809 | 0.8 | 0.3 | 2.5 | 0.721 | 0.8 | 0.3 | 2.3 | 0.649 |
| IFN-γ+ ICs IF | 15.9 | 3.2 | 78.7 | <0.001 | 21.5 | 3.1 | 150.0 | 0.002 | 31.6 | 3.9 | 256.0 | 0.001 |
| IFN-γ+ ICs TCe | 0.1 | <0.1 | 0.4 | 0.002 | 0.1 | <0.1 | 0.7 | 0.016 | 0.1 | <0.1 | 0.6 | 0.013 |
| FOXP3s (IF+TCe) | 6.4 | 1.9 | 21.3 | 0.002 | 19.3 | 3.6 | 97.1 | <0.001 | 29.3 | 5.1 | 168.8 | <0.001 |
Multivariate survival analysis including stromal FOXP3+ TILs (IF and TCe), age, gender, grading, pT, pN, and CD8+, respectively, IFN-γ+ immune cells. Statistically significant values (p < 0.05) are highlighted in italics.
Stratification of the FOXP3 inflamed subgroup by FOXP3i:CD4i TIL ratio
To further improve immunology-based prognostication, especially targeting the FOXP3-inflamed cases, we stratified the above-described immunologic subgroups defined by FOXP3-inflamed versus FOXP3-excluded tumors by TIL ratios. Kaplan–Meier curve combined with log-rank test revealed that FOXP3i:CD4i TIL ratio within TCe was significantly correlated with patient survival in the subgroup of FOXP3-inflamed OSCC, allowing a further refinement of prognosis prediction in this patient group. OS (p = 0.030), DSS (p = 0.012), and DFS (p = 0.007) were significantly more favorable in patients with high FOXP3i:CD4i ratio compared with those with low ratio (Fig. 3). Corresponding survival times are given in Table VII. No further significant survival associations were detected.
Discussion
Recent publications have shed light on tumor immunology and immune escape mechanisms in OSCC (26, 27, 35–38), but up-to-date knowledge is fragmented and partially controversial. The main focus of our present study was therefore to further delineate the morphologic phenotype of the immunologic tumor–host interaction in OSCC as described in the cancer immunity cycle (15, 20), in particular to exactly describe the composition of the inflammatory infiltrate involved in cell-mediated immunity, composed by various subsets of T cells (CD3+ T cells; CD4+ T cells; CD8+ T killer cells; CD4+FOXP3+ Tregs; IL-17A+ Th17 cells) and its association with HLA class I expression, IFN-γ expression, and morphology, taking into account spatial heterogeneity of immunologic parameters (stroma versus epithelial infiltrate; IF versus TCe).
As previously described, the immune cell infiltrate as well as HLA class I and IFN-γ play an important role in head and neck squamous cell carcinoma (26, 27, 36, 38, 51, 52). Confirming these findings, we found a strong positive association of high intraepithelial and stromal CD3+, CD4+, CD8+, CD4+FOXP3+, and IL-17A+ inflammatory infiltrate not only with each other but also with high HLA class I and presence of IFN-γ expression in TILs. Interestingly, high-level HLA class I expression was predominantly correlated with intraepithelial but not with stromal TILs, a finding that has not yet been described. In addition, by using mRNA–ISH, allowing a specific intracellular detection of IFN-γ mRNA (53) to avoid the major disadvantages of IFN-γ immunohistochemistry (particularly unreliable staining results) (54), we are able to localize IFN-γ expression in OSCC not only in TILs but also in TCs. Our results allow an immune-based stratification of OSCC in non–T cell–inflamed cancers, demonstrating a low-density inflammatory infiltrate, decreased HLA expression, and low-level IFN-γ expression in TILs and, in contrast, those with a T cell–inflamed TME with a high-density immune infiltrate combined with high-level HLA class I and IFN-γ expression, showing that the general principle of T cell–inflamed versus non–T cell–inflamed cancers indeed applies to OSCC (20, 22). The state of a so called “T cell–inflamed microenvironment” is a condition that has been postulated to be of crucial importance for the efficacy of immune checkpoint inhibitors with T cell–inflamed cancers being more likely to respond to this specific treatment (20, 22, 55).
Focusing on spatial heterogeneity of TME composition at the IF compared with TCe, we found a heterogeneous immune infiltrate depending on the various T cell subsets in a minority of OSCC, varying between 10% (CD8s) and 44% (IL-17Ai/s). HLA class 1 expression (77%) and IFN-γ expression in TCs and TILs (73%; 88%) was also homogeneous in the majority of cases. Presence and impact of immunologic heterogeneity in OSCC have, up to date, not been investigated in detail. In general, microenvironmental heterogeneity might not only be involved in tumor progression, as it could potentially select a metastatic phenotype, but is also involved in therapy failure and drug resistance (56–58) and should therefore be considered in treatment personalization of OSCC patients.
Immune escape mechanisms allow cancers to escape from the attack of the immune system and are crucial factors involved in tumor progression in both T cell–inflamed and noninflamed tumors (29, 36). Among others, EMT in cancer cells, indicated histomorphologically by presence of TBA (29, 31), and extensive tumor stroma content are features of immune escape. Although the stromal component serves as a mechanical barrier, which prevents TILs from attacking the tumor, cancer cells undergoing EMT gain resistance against TILs (among others) by immunoproteasome deficiency, characterized by decreased HLA expression (20, 22, 29–31). In our OSCC cohort, we found a strong correlation of the presence of TBA and single-cell infiltration as morphologic features of EMT with a low-density infiltrate of CD3+, CD4+, CD8+, and CD4+FOXP3+ TILs as well as a correlation of decreased HLA class I expression with high stromal content, underlining the impact of EMT as an immune escape mechanism.
Analyzing the impact of the immunologic parameters on patient prognosis, we identified the density of stromal Tregs (as identified by coexpression of CD4+ and FOXP3+) as (age, gender, stage, and grading) independent prognostic factors for OS, DSS, and DFS. In particular, patients with a low-density stromal Treg infiltrate in both IF and TCe (“FOXP3s-excluded” OSCC) showed a poor outcome compared with counterparts with high-density Treg infiltrate at the IF and within TCe and compared with counterparts with heterogeneous Treg infiltrate with high-density Tregs at either IF or within TCe (referred to as “FOXP3s-inflamed” OSCC). Infiltration density of Tregs was confirmed to be a strong independent prognostic parameter, when infiltration of CD8+ T killer cells or IFN-γ+ ICs were additionally included into multivariate statistical analysis, yielding even higher HRs for OS, DSS, and DFS. This result indicates a major impact of this T cell subset in OSCC and delineates a subgroup of non–T cell–inflamed OSCC (referred to as “FOXP3-noninflamed”) with an unfavorable outcome, whereas, in contrast, in our cohort, clinical outcome of patients with heterogeneously inflamed immunologic TME and homogeneously inflamed TME (therefore summarized as “FOXP3-inflamed”) is comparably favorable. Interestingly, prognostication of the subgroup of FOXP3-inflamed OSCCs is further refined by stratification of cases by FOXP3i:CD4i ratio with high ratio, indicating a high proportion of Tregs among Th cells, significantly linked to favorable OS, DSS, and DFS. Tregs, identified by coexpression of CD4 and the transcription factor FOXP3 (25), which characteristically suppress immune responses; these cells suppress the activation, proliferation, and effector functions of numerous cell types, including CD8+ and CD4+ T cells, and are therefore involved in tumor metastasis and progression in various cancer types (19, 26, 27), which on first glance renders our result contradictory. In contrast, Treg infiltrates have been associated with a favorable survival outcome in a pan solid tumor analysis (41). This may be explained by the fact that Tregs are enriched in a T cell–inflamed environment with a functional effector T cell infiltrate attracted by IFN type I and II expression, which builds the link to a favorable prognosis (19, 20, 23–25, 27). In addition, a favorable outcome associated with Tregs might be due to opposing effects depending on TME; the effect of these cells is deleterious when blocking effector T cells but beneficial when reducing chronic inflammation (reviewed in Ref. 40). Especially in OSCC, a cancer exposed to an extensive microbial environment and noxae such as tobacco and alcohol within the oral cavity, Tregs potentially may inhibit harmful protumoral chronic inflammation (39, 59). A hint to this explanation might be that in our cohort, stromal localization of Tregs was correlated with outcome. According to our data, in OSCC, the favorable impact of Tregs may overweigh their potential protumorous influence. As reviewed in Refs. 26, 27, 39, and 40, in oral cancer, the prognostic impact of FOXP3+ Tregs is, up to date, controversial in the majority of studies, including ours (analyzing the largest patient cohort), linking Tregs to a favorable outcome contrasted by a few others, which found a negative correlation (which was, however, only determined by univariate statistical analysis). Furthermore, in addition to previous studies (60–64), our results show the impact of localization of TILs in the tumor stromal compartment as opposed by the epithelial compartment as stromal but not epithelial Tregs display an independent impact on prognosis.
In addition to the above, we identified high CD8s:CD4s ratio as a further (age, gender, stage, and grading) independent prognostic factor for favorable DSS and DFS. This finding confirms and underlines the well-known antitumoral effect of CD8+ T killer cells, which was observed in several solid cancers (23, 24, 40, 65–67). As previously shown by Chen (39) and now validated by our data, in OSCC, not only infiltration density of TIL subsets but also ratio of TILs, particularly CD8s:CD4s ratio, is of crucial impact in patient outcome and could potentially be taken into account when considering patient prognostication and treatment stratification.
The present work has some limitations: 1) our investigations were performed on a TMA basis, although we examined a substantial number of tumor cores per case. 2) As our work is retrospective in nature, our data need to be validated in larger, prospective OSCC cohorts, potentially including patients undergoing immunotherapeutic treatment.
In summary, we investigated the composition of the immunologic TME in OSCC and demonstrated that immunologic parameters (HLA class I expression; IFN-γ expression), infiltration densities of TIL subsets (CD3+; CD4+; CD8+; CD4+FOXP3+; IL-17A+), and morphologic features with immunologic impact (TBA as a feature of EMT; stromal content) are closely intertwined. Spatial heterogeneity of immunologic TME, which might have an impact on therapy response, is detected only in a minority of cases. Furthermore, we identified a subgroup of non–T cell–inflamed OSCC with a poor prognosis, showing that patients with FOXP3-excluded tumors (low-density stromal FOXP3+ Tregs within TCe and IF) display unfavorable OS, DSS, and DFS independent of confounders like age, gender, grade, and pT, demonstrating the relevance of localization of TILs within different tumor compartments (stroma versus epithelium). FOXP3-inflamed OSCC can be further stratified by FOXP3i:CD4i ratio, with high ratio indicating a favorable outcome. A crucial impact of TIL ratios was observed as CD8s:CD4s ratio was identified as a further independent prognostic factor. Our results may help in immune-based predictive patient stratification for therapies in OSCCs.
Acknowledgements
We thank Klara Fizi for excellent technical assistance.
Footnotes
This work was supported in part by the Else-Kröner Fresenius Stiftung (to M.B.).
The online version of this article contains supplemental material.
Abbreviations used in this article:
- CD3i
intraepithelial CD3+ TIL
- CD4i
intraepithelial CD4+ TIL
- CD8i
intraepithelial CD8+ TIL
- DFS
disease-free survival
- DSS
disease-specific survival
- EMT
epithelial–mesenchymal transition
- FOXP3i
intraepithelial FOXP3+ TIL
- HR
hazard ratio
- IC
immune cell
- IF
invasive front
- IL-17Ai
intraepithelial IL-17A+ TIL
- ISH
in situ hybridization
- OS
overall survival
- OSCC
oral squamous cell carcinoma
- Pn
perineural invasion
- pN
nodal stage
- pT
tumor stage
- SI
staining intensity
- TAA
tumor-associated (neo)antigen
- TAM
tumor-infiltrating monocyte/macrophage
- TBA
tumor budding activity
- TC
tumor cell
- TCe
tumor center
- TIL
tumor-infiltrating lymphocyte
- TMA
tissue microarray
- TME
tumor microenvironment
- Treg
regulatory T cell
- TSA
tumor-specific (neo)antigen
- UICC
International Union against Cancer.
References
Disclosures
The authors have no financial conflicts of interest.
![FIGURE 1. (A and B) Representative H&E-stained OSCC, (A) showing an OSCC with high-density lymphocytic infiltration, and (B) showing an OSCC with a low-density lymphocytic infiltration. Insert, Presence of TBA with single-cell infiltration. (C and D) Representative HLA class I–stained OSCC, (C) showing strong membranous HLA class I expression in >95% of TCs, and (D) showing weak membranous HLA class I expression in 10% of TCs. (E and F) Representative IFN-γ mRNA–ISH in OSCC, (E) showing IFN-γ mRNA expression in TILs and (F) showing IFN-γ mRNA expression in TCs. (G and H) Representative OSCC with FOXP3+ TILs, (G) showing double staining against FOXP3 and CD4 with coexpression of CD4 and FOXP3 in FOXP3+ TILs, proving FOXP3+CD4+ cells to be Tregs (red: FOXP3; brown: CD4). (H) High-density stromal FOXP3+ TILs. Arrows indicate positive staining results for respective stainings; staining performed one time. n = 66 patient cases/staining included. Original magnification ×2 (A), ×4 (B), ×10 [(B) inset, (C, D, H)], ×40 (E–G).](https://aai.silverchair-cdn.com/aai/content_public/journal/jimmunol/202/1/10.4049_jimmunol.1800242/2/m_ji1800242f1.jpeg?Expires=1712675276&Signature=AYSH0ZA2ruZXS~r9H4i6Wut-Kjep~x0~J9Z09S-W~ILq6VIvEcGXETRWHz-x6ccq4bIKIZg0kuSmnE7BxWht8ao8pagTUGed-GSoefUYPjl8U2oxrP8NVFR9ATJa3ppWuTZvSHmrG7BY2moAIH97Czr5dOBNacdDoBcPI0mgrhDmrxu64aw2Ni6IGbFAuId7-XhObh1ex3rL9T9fo7Buo0o5COJTwo5a~kqvTTXz646RcMWCKD2aU5f9PYGzP2re42nTukZ~jXIHomisSbXtpWuETd7KUkYKproPb2hh5MoJNFzGxzT9GLa3~2KA~NxVzb0r6RFFehylev5G8kHHrw__&Key-Pair-Id=APKAIE5G5CRDK6RD3PGA)

