Visual Abstract

Abstract
Nonalcoholic fatty liver disease (NAFLD), characterized by excessive inflammation and lipid deposition, is one of the most common metabolic liver diseases. The expression of NLRP3 inflammasome in macrophages is significantly increased in NAFLD, and its activation aggravates NAFLD greatly. Tim-4, as the phosphatidylserine (PS) receptor, is expressed highly in macrophages, and macrophage Tim-4 inhibits inflammation under various conditions of immune activation. However, the precise role of Tim-4 in NLRP3 inflammasome regulation and NAFLD pathogenesis remains completely unknown. Using NAFLD mice models, we confirmed that the expression of Tim-4 was increased in liver tissues by Western blot, real-time PCR, immunohistochemistry, and immunofluorescence, especially higher expression in liver macrophages, and Tim-4 knockout mice displayed more severe liver inflammation and hepatic steatosis than controls in NAFLD mice model. In vitro, we found that Tim-4 could inhibit NLRP3 inflammasome activation, and the inhibition was dependent on PS binding domain in the IgV domain. Mechanistically, Tim-4 induced the degradation of NLRP3 inflammasome components through activating AMPKα-mediated autophagy. Specifically, Tim-4 promoted AMPKα phosphorylation by interacting with LKB1 and AMPKα. In addition, PS binding motif was responsible for Tim-4–mediated AMPKα and LKB1 interaction. In conclusion, NAFLD microenvironments upregulate Tim-4 expression in macrophages, and elevated Tim-4, in turn, suppresses NLRP3 inflammasome activation by activating LKB1/AMPKα-mediated autophagy, thereby ameliorating the release of IL-1β and IL-18. Collectively, this study unveils the novel function of Tim-4 in suppressing NLRP3 inflammasome, which would shed new lights on intervention of NAFLD or inflammatory liver diseases by targeting Tim-4.
Introduction
Nonalcoholic fatty liver disease (NAFLD) is characterized by the deposition of cytoplasmic triglyceride (TG) presented as lipid droplets in ≥5% of hepatocytes in the absence of other recognized sources of fatty liver (e.g., alcohol, drugs, viral infection) (1). Without exterior intervention, NAFLD may progress to nonalcoholic steatohepatitis (NASH), liver fibrosis, or even hepatocellular carcinoma. The estimated worldwide prevalence of NAFLD is a median of 20% in the general population (2). NAFLD has become the most common chronic metabolic hepatic disorder in both adults and children worldwide and represents a substantial public health concern (3). However, the pathogenesis of NAFLD remains incompletely understood.
Multiple parallel hits are responsible for NAFLD (4). Obesity and insulin resistance, caused by excessive hepatic lipid accumulation and peroxidation, constitute initiating factors of the disease. Subsequent hits toward disease development include activation of macrophage-derived proinflammatory mediators, gut-derived bacterial toxins, excessive secretion of adipocytokines, and so on. Kupffer cells (KCs), the largest group of macrophages in liver, account for 80–90% of all resident macrophages in the body (5). Activated KCs play a central role in NAFLD by releasing multiple proinflammatory cytokines, including IL-1β, IL-6, and TNF-α, and chemokines (6). IL-1β mostly comes from the inflammasome activation in KCs. Among inflammasomes, NACHT, LRR, and PYD domains–containing protein 3 (NLRP3) inflammasome, consisting of the NOD-like receptor NLRP3 scaffold, the adaptor apoptosis-associated speck-like protein (ASC), and precursor pro–caspase-1, is the best characterized inflammasome. Once activated, pro–caspase-1 permits autocleavage and forms active caspase-1 p10/p20 tetramer, which cleaves pro–IL-1β and pro–IL-18 to generate mature IL-1β and IL-18. It is reported that caspase-1 activity and mature IL-1β are significantly increased in NASH models (7), and NLRP3 inflammasome activation aggravates hepatic steatosis, hepatocyte inflammation, and fibrogenesis (8). Accordingly, NLRP3 inflammasome inhibition has been proposed as a potentially effective therapeutic option for NAFLD (9, 10).
The T cell Ig mucin domain protein (Tim) gene family was identified and cloned in 2001 with a congenic mouse model of asthma (11). The Tim gene family consists of eight members (Tim-1–8) on the mouse chromosome and three members (Tim-1, Tim-3, and Tim-4) on the human chromosome. Tim-4, identified as a phosphatidylserine (PS) receptor mediating the uptake of apoptotic cells, is expressed highly in dendritic cells and macrophages (12). We have reported that macrophage Tim-4 inhibits inflammation under various conditions of immune activation (13–15). Recently, genome-wide association studies have identified that the relative expression of Tim-4 in liver tissue of rats exposed to a high-fat diet (HFD) is 3.10-fold higher than observed in normal diet controls (16), and certain single nucleotide polymorphisms in Tim-4 show associations with lipid traits (17, 18). However, whether Tim-4 is involved in abnormal lipid metabolism induced diseases such as NAFLD remains unaddressed.
In this study, we found that NAFLD microenvironments induced Tim-4 expression in macrophages in vivo and in vitro. Tim-4 knockout (Tim-4−/−) led to more severe inflammation and hepatic lipid accumulation induced by methionine- and choline-deficient (MCD) diet than wild type (WT; Tim-4+/+) mice. Then we confirmed that the inhibition of Tim-4 on NRLP3 inflammasome activation depending on PS binding domain in vitro. Mechanistically, Tim-4 promoted NLRP3 inflammasome components degradation by activating autophagy via liver kinase B1 (LKB1)–AMP-activated protein kinase α (AMPKα) pathway, and PS binding motif was required.
Materials and Methods
Mice
C57BL/6 mice were purchased from Vital River Laboratory Animal Technology, and 6- to 8-wk-old db/m mice were provided by Prof. Yaoqin Gong. Tim-4−/− mice were obtained from RIKEN BioResource Research Center (RBRC04895) (19). All experiments were performed in male mice, and mice were randomly assigned to experimental groups. All mice were housed with an alternating 12 h light and 12 h dark cycle, with water available, in the animal facilities under specific pathogen-free conditions. This study has been approved by the Animal Care and Use Committee of Shandong University.
Establishment of NAFLD mice models
C57BL/6 mice 6–8 wk of age were fed a HFD (45% fat diets, MD12032; Medicience, composition: 45% fat, 35% carbohydrates, and 20% protein) maintained for 6 mo. C57BL/6 mice 10–12 wk of age were fed an MCD diet (MD12052; Medicience, composition: 40% high sucrose and 10% fat, but deficient in methionine and choline proteins) for 2–4 wk. Tim-4−/− and littermate Tim-4+/+ mice with C57BL/6 background (male, 10 wk of age) were fed an MCD diet for 3 wk.
Genotyping
Pups for 1–3 wk were genotyped using alkali crude genomic DNA extraction from toe biopsies. Briefly, 250 μl of 0.5 M NaOH was added to lyse tail tissues by incubating at 90 ∼100°C for 30 min, then 50 μl of 1 M Tris-HCL (pH 8) was added and mixed for neutralization. After centrifugation at 12,000 rpm for 1 min, the supernatants were collected for genotyping. PCR was performed according to the protocols provided by BioResource Research Center.
Histological analysis
Liver tissue was fixed in 4% polyoxymethylene, embedded in OCT compound or paraffin wax, and then sectioned in 4–5-μm-thick pieces. Finally, we performed Oil Red O (ORO), H&E, immunohistochemistry (IHC), or immunofluorescence (IF) staining experiments.
Murine multiplex fluorescent IHC
In this study, tyramide signal amplification (TSA)–based multiplex IHC techniques were applied to identify the colocalization of multiple immune parameters Tim-4, AMPKα, and LKB1.
Briefly, paraffin-embedded murine liver tissue sections were subjected to conventional Ag retrieval and blocked, then incubated with one primary Ab overnight at 4°C at 1:100 dilution (Tim-4, SAB3500444; Sigma-Aldrich; AMPKα, ab131512; Abcam; or LKB1, 10746-1-AP; ProteinTech). The second day, Ab was subsequently removed, and sections were washed three times for 5 min in TBST. Corresponding secondary Ab was added to slides and incubated for 30 min at room temperature and washed three times for 5 min in TBST. Then, TSA-conjugated fluorophore was added to slides, incubated for 30 min, removed, and washed three times for 5 min in TBST. Ag-stripping buffer was added to slides to remove the primary Ab, and then slides were incubated for 10 min at room temperature, and washed three times for 5 min in TBST. After being blocked, the slides were incubated with a new primary Ab in a desired dilution and duration. Slides were stained with different Abs using the same protocol. All staining kits and imaging spectrometer were from Guge Biotech.
Cell culture and primary macrophage isolation
The HEK293 cell line was obtained from the American Type Culture Collection. All cells were cultured at 37°C with 5% CO2 in DMEM (C11995500BT; Life Technologies) with 10% FBS (10099141; Life Technologies) and 1% penicillin/streptomycin/glutamine (P1400; Solarbio), or MEM-α (22571, 1g/l Glucose; Life Technologies). Hepatic KCs, peritoneal macrophages (PEMs), and bone marrow–derived macrophages (BMDMs) were separated from liver, peritoneal fluid, and bone marrow of C57BL/6 mice, respectively (20). Briefly, hepatic mononuclear cells were isolated by 40% Percoll gradients. Then, KCs, the liver resident macrophages, were isolated and purified from the prepared single-cell suspension of hepatic mononuclear cells by Streptavidin Nanobeads combined with biotin-conjugated F4/80 Abs (480016; BioLegend). Detailed experimental procedures were carried out according to the manufacturer’s protocols. PEMs were obtained from mice that were administered with 1 ml sterile 6% starch solution by i.p. injection for 3 d. BMDMs were flushed from tibias and femurs and cultured with 100 ng/ml M-CSF (315-02; PeproTech) for 6 d.
Cell stimulation
Transfected HEK293 cells were simulated by PS (p7769, 5 mg/ml; Sigma-Aldrich). PS was diluted to 50 μg/ml in PBS before use. Then, the PS-coated plate was kept at room temperature for 12 h and washed with PBS once, and the cells were seeded the next day.
Liver homogenate supernatants (LHSs) were separated and applied to a 0.22-μm filter for sterilization and mixed with fresh complete culture medium at a ratio of 3:7, then macrophages were stimulated with LHSs for 48 h.
For NLRP3 inflammasome activation, cells were primed with LPS (1 μg/ml, L2630; Sigma-Aldrich) for 4 h. After that, the cells were stimulated with various inflammasome activators, such as ATP (20 mM, A6419; Sigma-Aldrich) for 30 min or nigericin (Nig; 10 μM, N7143; Sigma-Aldrich) for 45 min. For detecting protein degradation pathways, cells were treated by MG-132 (M7449; Sigma-Aldrich), 3-methyladenine (3-MA, M9281; Sigma-Aldrich), or chloroquine (CQ; C6628; Sigma-Aldrich). HEK293 cells were seeded into 12-well plates in the density of 3 × 105/ml per well in complete cell culture medium. After 12 h, cells were transfected with plasmids pcDNA3.0; pcDNA3–Tim-4–hemagglutinin (HA) plasmid (pTim-4); series vectors of Tim-4 with domain deletion mutant ∆IgV, ∆mucin, and ∆Cyto; and amino acid mutation carriers pTim-4 mutPS (WFND119-AAAA122), pTim-4 mutRGD (RGD-AAA), respectively, or cotransfection. Forty-eight hours later, cells were obtained for Western blot (WB).
Reconstitution of NLRP3 inflammasome in HEK293 cells
The HEK293 cells were seeded into six-well plates in the density of 3 × 105/ml per well in complete cell culture medium. After 12 h, cells were transfected with plasmids including pcDNA3.0-human ASC-HA (20 ng), pDsRed-human caspase-1 (20 ng), pcDNA3.0-human NLRP3-Flag (60 ng), and pDsRed-human IL-1β (600 ng). Forty-eight hours later, cell supernatants were collected for analyzing the IL-1β maturation by ELISA, and cells were harvested for WB or RT-PCR.
Construction of mutagenesis
The plasmid pcDNA3–hTim-4–HA and mutRGD were constructed previously (21). Other mutant recombinants (ΔIgV, ΔMucin, ΔCyto, mutPS) were constructed by using a KOD -Plus- Mutagenesis Kit (SMK101; TOYOBO) according to the instructions.
Immunoprecipitation
Cells were lysed in RIPA buffer (weak, P0013D; Beyotime) with a protease inhibitor, PMSF, and phosphorylated protease inhibitor mixture (Beyotime), and cell extracts (400 μl vol) were immunoprecipitated with anti–Tim-4 or anti-HA Abs (2 μg) by rotation for overnight at 4°C. The corresponding rabbit or mouse IgGs (Santa Cruz Biotechnology) were used as the isotype control. The second day, samples were precipitated with Protein A/G beads (60 μl beads per 2 μg of Ab; Santa Cruz Biotechnology) for 2 h at 4°C, washed three times with PBS, with protease inhibitor mixture added, and the immunoprecipitated products were collected for WB.
Cytokine measurement and biochemical analysis
Cytokines in supernatants of cell cultures and hepatic extracts were detected by ELISA kits, including mouse IL-18 ELISA Kit (7625, MEDICAL & BIOLOGICAL LABORATORIES [MBL]), and mouse/human IL-1β ELISA kit (1210122, 1110122; Dakewe Biotech). Serum alanine aminotransferase (ALT), aspartate aminotransferase (AST) levels, and hepatic TG, cholesterol (CHO), and low density lipoprotein (LDL) contents were determined using ALT, TG, CHO, and LDL Assay Kits (C009-2, A110-2, A111-1, A113-1; Nanjing Jiancheng Bioengineering Institute), respectively. All the experiments were carried out according to the manufacturer’s guidelines.
RT-PCR and real-time PCR
Total RNA was extracted from liver tissues or cells, then reverse transcribed by RevertAid First Strand cDNA Synthesis Kit (no. K1622; Thermo Fisher Scientific) for PCR (2× Taq PCR Master Mix, no. KT201-01; TIANGEN) or real-time quantitative PCR (qPCR; SuperReal PreMix Plus; SYBR Green, FP205; TIANGEN) test. The sequences of primers were listed as follows: human (h) LKB1-forward (F): 5′-TCTACAACATCACCACGGGTC-3′, hLKB1-reverse (R): 5′-TTCGTACTCAAGCATCCCTTTC-3′; hTAK1-F: 5′-CCGGTGAGATGATCGAAGCC-3′, hTAK1-R: 5′-GCCGAAGCTCTACAATAAACGC-3′; hCAMKKβ-F: 5′-CATGAACGGACGCTGCATCT-3′, hCAMKKβ-R: 5′-ACAGTCCTGCATACCCGTGAT-3′; hActin-F: 5′-AGTTGCGTTACACCCTTTC-3′, hActin-F: 5′-CCTTCACCGTTCCAGTTT-3′; mTim-4-F: 5′-CTACAGACATAGCCGTACTCA-3′, mouse (m) Tim-4-F: 5′-GTCTTCATCATCCCTCCC-3′; mActin-F: 5′-TGCGTGACATCAAAGAGAAG-3′, mActin-R: 5′-TCCATACCCAAGAAGGAAGG-3′.
RNA interference
HEK293 cells were cotransfected with indicated small interfering (si) RNAs (GenePharma) with pcDNA3 or pTim-4 plasmid for 48 h by Lipofectamine 2000 transfection agent (11668027; Invitrogen) in six-well plates according to manufacturer’s instructions. The siRNA nucleotide sequences were as follows: hCaMKKβ-siRNA: 5′-GGAUCUGAUCAAAGGCAUCtt-3′; hTAK1-siRNA: 5′-GGAGAUCGAGGUGGAAGAGtt-3′; and hLKB1-siRNA: 5′-CUGGUGGAUGUGUUAUACAtt-3′ (22).
Immunoblot analysis
Total protein, isolated from liver tissues or cells, was homogenized in RIPA (P0013B; Beyotime) on ice for 30 min, The protein concentration was determined using a bicinchoninic acid protein assay kit (BCA; Beyotime). Each sample (40 μg) were subjected to SDS-PAGE (10–15% gels), transferred onto polyvinylidene difluoride membranes, and then blotting with different Abs. The immunoblot results were quantified with Image J software.
Abs
Abs used in this article were listed as follows: Rabbit anti-Tim4 (SAB3500444, HPA015625, 1:1000 for WB; Sigma-Aldrich); Mouse anti-Tim4 (sc-390805, 1 μg/400 μg of total protein; Santa Cruz Biotechnology); Rabbit anti–p-AMPKα (no. 2535, 1:1000 for WB; Cell Signaling Technology [CST]); Mouse anti-AMPKα (ab80039, 1:1000 for WB; Abcam); Mouse anti-HA tag (M180-3, 1:5000 for WB; MBL); Rabbit anti-LC3 (L7543, 1:1000 for WB; Sigma-Aldrich); Rabbit anti-LC3 (no. 3868S, 1:1000 for WB; CST); Rabbit anti-p62 (no. 5114, 1:1000 for WB; CST); Rabbit anti-LKB1 (10746-1-AP, 1:1000 for WB; ProteinTech); Mouse anti-GAPDH (60004-1-Ig, 1:5000 for WB; ProteinTech); Mouse anti-NLRP3 (AG-20B-0006, 1:1000 for WB; AdipoGen); Mouse anti–Caspase-1 (mouse, AG-20B-0042, 1:1000 for WB; AdipoGen); Mouse anti–Caspase-1 (human, AG-20B-0048, 1:1000 for WB; AdipoGen); Mouse anti-IL-1β (no. 12242, 1:1000 for WB; CST); Rabbit anti-ASC (AG-25B-0006, 1:1000 for WB; AdipoGen); CD68 (ab955, 1:100 for IF; Abcam).
Flow cytometry analysis
The expression of Tim-4 in PEMs, BMDMs, and liver mononuclear cells was analyzed by flow cytometry (FCM). The cells were blocked with rat IgG (1 μg/106 cells) for 15 min at room temperature before staining. For staining process, the Abs were incubated at 4°C for 30 min and then were washed with cold 2 ml PBS. Abs are indicated as follows: PE Fluor 610–conjugated anti-mouse F4/80 (61-4801-82; eBioscience); allophycocyanin-conjugated anti-mouse CD11b (17-0112-82; eBioscience); PE/Cy7-conjugated anti-mouse NK1.1(552878; BD); FITC-conjugated anti-mouse DX5 (108906; BioLegend); Alexa Fluor 647–conjugated anti-mouse CD49a (562113; BioLegend); allophycyanin/Cy7-conjugated anti-mouse CD45 (103115; BioLegend); PerCP/Cy5.5-conjugated anti-mouse CD3 (45-0031-82; eBioscience); Alexa Fluor 647–conjugated anti-mouse Tim-4 (130008; BioLegend); PE-conjugated anti-mouse Tim-4 (130006; BioLegend); and PE/Cy7-conjugated anti-mouse Tim-4 (130010; BioLegend).
Statistical analysis
Quantitative values were presented as the mean ± SD and represent data from at least three independent experiments. The differences in mean values between two groups were analyzed by two-tailed Student t test. The p values <0.05 were considered statistically significant. All analyses were performed with GraphPad Prism 6 software. A p value < 0.05 was considered statistically significant: * indicates p < 0.05, ** indicates p < 0.01, *** indicates p < 0.001, and **** indicates p < 0.0001.
Results
NAFLD microenvironments enhanced Tim-4 expression in macrophages
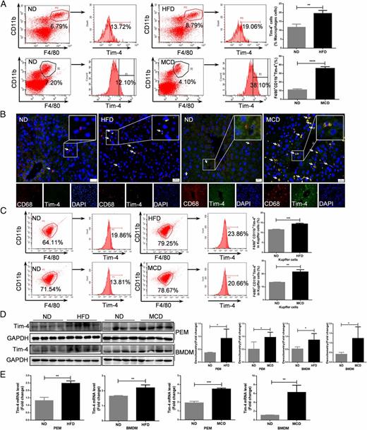
Murine models of NAFLD were established via HFD and MCD diet, respectively (Supplemental Fig. 1A–F). Then, we confirmed that the expression of Tim-4 was increased in liver tissues of the NAFLD mice models by WB, qPCR, IHC, and IF (Fig. 1A–D). Subsequently, we detected the expression of Tim-4 in liver innate immune cells-NK, NKT, and macrophages. FCM analysis results showed that there were no significant differences of Tim-4 in NK (CD3−NK1.1+CD49a+DX5−) and NKT (CD3+NK1.1+) cells between NAFLD and control mice (Supplemental Fig. 2A), whereas FCM demonstrated that Tim-4 was significantly increased in liver F4/80+CD11b+ macrophages from HFD- and MCD diet–fed mice, with MCD model mice exhibiting the most robust increase (Fig. 2A). Accordingly, we further confirmed enhanced Tim-4 in macrophages in these models. We observed greater coexpression of Tim-4 and macrophage marker CD68 in liver tissue of NAFLD mice relative to controls (Fig. 2B). We also detected augmented expression of Tim-4 in CD68+ hepatic macrophages from human NAFLD tissue sections than that of healthy controls (Supplemental Fig. 2B).
Enhanced Tim-4 expression in liver tissues from NAFLD models. Analysis for Tim-4 expression in liver tissues from normal diet (ND) and HFD (left panel) or ND- and MCD diet (right panel)–fed mice through (A) WB for protein level, (B) qPCR for mRNA level. (C) Representative IHC staining of liver tissues with Tim-4 Ab. Scale bar, 50 μm. (D) Representative IF photomicrographs of liver sections with Tim-4 Ab (red) in ND/HFD (left panel) or ND/MCD diet (right panel)–fed mice. Nuclei were stained with DAPI (blue). Scale bar, 200 μm. The box plots in (A) and (B) show the median ± SD. *p < 0.05, **p < 0.01, ***p < 0.001, by two-tailed Student t test.
Enhanced Tim-4 expression in liver tissues from NAFLD models. Analysis for Tim-4 expression in liver tissues from normal diet (ND) and HFD (left panel) or ND- and MCD diet (right panel)–fed mice through (A) WB for protein level, (B) qPCR for mRNA level. (C) Representative IHC staining of liver tissues with Tim-4 Ab. Scale bar, 50 μm. (D) Representative IF photomicrographs of liver sections with Tim-4 Ab (red) in ND/HFD (left panel) or ND/MCD diet (right panel)–fed mice. Nuclei were stained with DAPI (blue). Scale bar, 200 μm. The box plots in (A) and (B) show the median ± SD. *p < 0.05, **p < 0.01, ***p < 0.001, by two-tailed Student t test.
Elevated Tim-4 expression in macrophages induced by NAFLD microenvironments. (A) FCM analysis showing the percentage of Tim-4+ in CD11b+ F4/80+ macrophages of normal diet (ND)/HFD-fed mice and ND/MCD diet–fed mice, respectively. (B) Representative IF photomicrographs of costaining with macrophages marker CD68 (red), Tim-4 (green), and nuclei marker DAPI (blue) in liver sections of ND and HFD or ND and MCD mice. Scale bar, 50 μm. (C) FCM analysis showing the percentage of Tim-4 on CD11b+ F4/80+ KCs with the stimulation of LHSs, (culture medium: LHS = 7:3) from ND and HFD or ND and MCD mice for 48 h, respectively. (D) Immunoblot analysis of PEM and BMDM protein lysates for Tim-4 with the stimulation of LHSs from ND and HFD or ND and MCD mice for 48 h, respectively. (E) qPCR analysis for Tim-4 mRNA levels of PEMs and BMDMs stimulated with LHSs from ND and HFD or ND and MCD mice, respectively. The box plots in (A) and (C)–(E) show the median ± SD. *p < 0.05, **p < 0.01, ***p < 0.001, ****p < 0.0001, by two-tailed Student t test.
Elevated Tim-4 expression in macrophages induced by NAFLD microenvironments. (A) FCM analysis showing the percentage of Tim-4+ in CD11b+ F4/80+ macrophages of normal diet (ND)/HFD-fed mice and ND/MCD diet–fed mice, respectively. (B) Representative IF photomicrographs of costaining with macrophages marker CD68 (red), Tim-4 (green), and nuclei marker DAPI (blue) in liver sections of ND and HFD or ND and MCD mice. Scale bar, 50 μm. (C) FCM analysis showing the percentage of Tim-4 on CD11b+ F4/80+ KCs with the stimulation of LHSs, (culture medium: LHS = 7:3) from ND and HFD or ND and MCD mice for 48 h, respectively. (D) Immunoblot analysis of PEM and BMDM protein lysates for Tim-4 with the stimulation of LHSs from ND and HFD or ND and MCD mice for 48 h, respectively. (E) qPCR analysis for Tim-4 mRNA levels of PEMs and BMDMs stimulated with LHSs from ND and HFD or ND and MCD mice, respectively. The box plots in (A) and (C)–(E) show the median ± SD. *p < 0.05, **p < 0.01, ***p < 0.001, ****p < 0.0001, by two-tailed Student t test.
In addition, LHSs of liver tissues from NAFLD mice were prepared to stimulate macrophages to mimic the NAFLD microenvironments in vitro. The LHSs from both HFD- and MCD diet–fed mice displayed much higher TNF-α and IL-6 levels in comparison with those of controls (Supplemental Fig. 2C). Then, we stimulated KCs with the LHSs to detect the expression of Tim-4. FCM analysis demonstrated that Tim-4 expression was increased significantly in KCs following stimulation with LHSs from HFD- and MCD diet–fed mice, respectively (Fig. 2C). The consistent results were found in PEMs and BMDMs by WB (Fig. 2D) and qPCR (Fig. 2E). In addition, FCM results showed that the expression of Tim-4 in PEMs and BMDMs from MCD diet–fed mice was higher than controls (Supplemental Fig. 3A). Twelve-week-old leptin receptor-spontaneous mutation (db/db) mice, a genetic NAFLD model, were also included to assay the increased Tim-4 in liver F4/80+CD11b+ macrophages (Supplemental Fig. 3B, 3C). These data strongly indicated that NAFLD microenvironments enhanced Tim-4 expression in macrophages.
Tim-4−/− mice display more obvious inflammation and severe steatosis with MCD diet than Tim-4+/+ mice
To address the roles of enhanced expression of Tim-4 in NAFLD models, we developed an MCD diet–induced NAFLD model for 3 wk in Tim-4+/+ and Tim-4−/− mice that had been genotyped by PCR (representative genotype, Supplemental Fig. 3D, left panel). Three weeks later, we first identified Tim-4 knockout efficiency by RT-PCR and FCM in PEMs (Supplemental Fig. 3D, right panel, Supplemental Fig. 3E). Results displayed that Tim-4−/− mice maintained on MCD diet exhibited significantly more obvious inflammation and severe lipid accumulation verified by accelerated body weight loss (Fig. 3A), higher ALT and AST levels (Fig. 3B), more characteristic hepatic inflammation and ballooning vacuolization in H&E-stained sections as well as severe lipid deposition in ORO-stained sections (Fig. 3C), and higher TG and LDL (Fig. 3D) relative to corresponding controls. These data indicated that Tim-4 exerted a protective role in NAFLD progression.
Tim-4 knockout mice display more severe inflammation and steatosis in the MCD model (A) Body weight changes with time (n = 5). (B) Relative ALT and AST levels in serum. (C) Representative images for H&E (HE)-stained sections and ORO staining for liver sections. Scale bar, 100 μm (HE). Scale bar, 50 μm (ORO). (D) Relative TG, CHO, and LDL in LHSs. The box plots in (A), (B), and (D) show the median ± SD. *p < 0.05, **p < 0.01, by two-tailed Student t test. ns, no significance.
Tim-4 knockout mice display more severe inflammation and steatosis in the MCD model (A) Body weight changes with time (n = 5). (B) Relative ALT and AST levels in serum. (C) Representative images for H&E (HE)-stained sections and ORO staining for liver sections. Scale bar, 100 μm (HE). Scale bar, 50 μm (ORO). (D) Relative TG, CHO, and LDL in LHSs. The box plots in (A), (B), and (D) show the median ± SD. *p < 0.05, **p < 0.01, by two-tailed Student t test. ns, no significance.
Tim-4 inhibits NLRP3 inflammasome activation
Consistent with previous reports (23, 24), more colocalization of NLRP3 and ASC was found in liver tissues of HFD mice and MCD mice compared with corresponding controls, accompanied by increased release of IL-1β and IL-18 in liver tissues from HFD- and MCD diet–fed mice (Fig. 4A, 4B), indicating the NLRP3 inflammasome activation in livers under NAFLD conditions. Because NLRP3 inflammasome major resides in macrophages, above results impel us to consider whether NAFLD environment–induced Tim-4 expression in macrophages contributes to NLRP3 inflammasome activation in livers. We subsequently evaluated the regulation of Tim-4 on NLRP3 inflammasome in macrophages and reconstitution system of HEK293 cells in vitro. Interestingly, after stimulation with LPS/ATP or LPS/Nig, IL-1β and IL-18 levels in culture supernatants of PEMs and BMDMs from Tim-4−/− mice were significantly higher than those from Tim-4+/+ mice (Fig. 4C, Supplemental Fig. 4A). The effect of Tim-4 inhibiting NLRP3 inflammasome activation was further verified in purified KCs and HEK293 cells using NLPR3 inflammasome reconstitution system together with pTim-4 in vitro. We found that caspase-1 activation and IL-1β concentration decreased gradually with Tim-4 increasing in a dose-dependent manner in both purified KCs and HEK293 cells (Fig. 4D, Supplemental Fig. 4B). These data were consistent with our finding about the negative correlation of Tim-4 with serum IL-1β in type II diabetes (25).
PS binding motif is required for Tim-4 inhibiting NLRP3 inflammasome activation. (A) Representative IF photomicrographs of costaining with NLRP3 (red), ASC (green), and DAPI (blue) in liver sections of normal diet (ND)/HFD- and ND/MCD diet–fed mice. Scale bar, 50 μm. (B) ELISA for IL-1β (left panel) and IL-18 (right panel) in LHSs from ND/HFD- and ND/MCD diet–fed mice. (C) ELISA for IL-1β and IL-18 in PEMs and BMDMs from Tim-4+/+ and Tim-4−/− mice under stimulation by LPS/ATP or LPS/Nig. (D) WB for activated caspase-1(p20) [Casp-1(p20)] of KCs (left) and pTim-4–transfected HEK293 cells (right) following NLRP3 inflammasome (X) reconstitution with gradually increasing dose of pTim-4 (upper panel), and ELISA for IL-1β in culture supernatants of KCs (left) and HEK293 cells (right) (bottom panel). (E) WB for activated caspase-1(p20) of HEK293 cells lysates cotransfected X with different defective mutants of Tim-4 domains (WT Tim-4, ∆IgV, ∆Mucin, ∆Cyto) or with two different motif mutation in IgV domain (Tim-4 mutPS and Tim-4 mutRGD, upper panel). ELISA for IL-1β in culture supernatants of HEK293 cells after 48 h of the cotransfection (bottom panel). The box plots in (B)–(E) show the median ± SD. *p < 0.05, **p < 0.01, ***p < 0.001, ****p < 0.0001, by two-tailed Student t test between comparison of the corresponding two groups. ns, no significance.
PS binding motif is required for Tim-4 inhibiting NLRP3 inflammasome activation. (A) Representative IF photomicrographs of costaining with NLRP3 (red), ASC (green), and DAPI (blue) in liver sections of normal diet (ND)/HFD- and ND/MCD diet–fed mice. Scale bar, 50 μm. (B) ELISA for IL-1β (left panel) and IL-18 (right panel) in LHSs from ND/HFD- and ND/MCD diet–fed mice. (C) ELISA for IL-1β and IL-18 in PEMs and BMDMs from Tim-4+/+ and Tim-4−/− mice under stimulation by LPS/ATP or LPS/Nig. (D) WB for activated caspase-1(p20) [Casp-1(p20)] of KCs (left) and pTim-4–transfected HEK293 cells (right) following NLRP3 inflammasome (X) reconstitution with gradually increasing dose of pTim-4 (upper panel), and ELISA for IL-1β in culture supernatants of KCs (left) and HEK293 cells (right) (bottom panel). (E) WB for activated caspase-1(p20) of HEK293 cells lysates cotransfected X with different defective mutants of Tim-4 domains (WT Tim-4, ∆IgV, ∆Mucin, ∆Cyto) or with two different motif mutation in IgV domain (Tim-4 mutPS and Tim-4 mutRGD, upper panel). ELISA for IL-1β in culture supernatants of HEK293 cells after 48 h of the cotransfection (bottom panel). The box plots in (B)–(E) show the median ± SD. *p < 0.05, **p < 0.01, ***p < 0.001, ****p < 0.0001, by two-tailed Student t test between comparison of the corresponding two groups. ns, no significance.
PS binding motif is required for Tim-4–mediated inhibition of NLRP3 inflammasome activation
Tim-4, like other Tim proteins, is a type I transmembrane protein with an N-terminal Ig V domain (IgV) followed by a highly glycosylation modified mucin domain (Mucin) in the extracellular region, a single transmembrane region, and a Cyto without tyrosine phosphorylation motifs (26). To identify the key domain involved in Tim-4–mediated NLRP3 inflammasome inhibition, we successfully constructed vectors with deletion mutants of different Tim-4 domains, as illustrated in Supplemental Fig. 4C. These deletions were named ∆IgV, ∆Mucin, and ∆Cyto, respectively. Then, the reconstitution system of NLRP3 inflammasome was set up together with these recombinants, and the corresponding gene transfection efficiency was proved in Supplemental Fig. 4D. We found that the activation of caspase-1(p20) significantly declined in WT Tim-4 plasmid cotransfection group, whereas the inhibitory effect was obviously lost in the ∆IgV group. A similar tendency was observed in measurements of IL-1β level in culture supernatants. However, no obvious changes were found in both ∆Mucin and ∆Cyto group compared with WT Tim-4. The PS binding site and RGD motif, two functional domains in the IgV region of Tim-4, were further assayed with mutation constructs (Tim-4 mutPS and Tim-4 mutRGD). The inhibitory effect of Tim-4 on NLRP3 inflammasome activation was almost abolished in the Tim-4 mutPS group but not in the mutRGD group (Fig. 4E).
Tim-4 inhibits NLRP3 inflammasome through activating autophagy
The results above showed that Tim-4–mediated inhibition of NLRP3 inflammasome activation depends on the PS binding site in the IgV domain. As a transmembrane protein, Tim-4–inhibiting NLRP3 inflammasome in the cytoplasm amazed us greatly. Interestingly, we observed that Tim-4 decreased the protein level of NLRP3 gradually in a concentration-dependent manner in Tim-4–overexpressed HEK293 cells, but the effect was not obvious at the mRNA level (Fig. 5A). Accordingly, Tim-4 appears to promote NLRP3 inflammasome components degradation. To assay Tim-4–mediated protein degradation pattern of NLRP3 inflammasome components, HEK293 cells cotransfected with pTim-4 and pcDNA3-NLRP3-Flag plasmids were treated with proteasome inhibitor MG-132, autophagosome inhibitor 3-MA, or autophagosome-lysosome fusion inhibitor CQ. Forty-eight hours later, we found that CQ and 3-MA treatment significantly increased NLRP3 accumulation (Fig. 5B), suggesting probable autophagy involvement in Tim-4–mediated NLRP3 protein degradation. To further validate the potential role of autophagy pathway in Tim-4 suppressing NLRP3 inflammasome, NLRP3 inflammasome reconstitution system was performed in HEK293 cells with or without CQ treatment. Without CQ treatment, Tim-4 overexpression significantly attenuated NLRP3 inflammasome components and increased autophagic flux as assessed by increased in the LC3-II/GAPDH ratio and decreased in the p62 level. After treatment with CQ, the protein levels of NLRP3 inflammasome components were increased, and the corresponding autophagic flux was decreased, as assessed by increases in both LC3-II/GAPDH ratio and p62 level, which were even more significant in the pTim-4 group (Fig. 5C).
Tim-4 inhibits NLRP3 inflammasome through activating autophagy. (A) WB (upper panel) and PCR (bottom panel) for NLRP3 and Tim-4 expression in protein and mRNA levels in HEK293 cells after 48 h culture following cotransfection with pcDNA3-NLRP3-Flag and different doses of pTim-4. (B) WB for NLRP3 and Tim-4 in HEK293 cells after cotransfected with pTim-4 and pcDNA3-NLRP3-Flag for 48 h, then treated with CHX (5 μg/ml) for 4 h, followed treatment with vehicle, MG-132 (1 μmol/l), CQ (10 μmol/l), or 3-MA (10 mmol/l) for 12 h, respectively. (C) Immunoblot for NLRP3 inflammasome components and autophagy in HEK293 cells cotransfected with NLRP3 inflammasome (X) and pTim-4 for 48 h, followed treatment with CQ (10 μmol/l) or vehicle for 12 h.
Tim-4 inhibits NLRP3 inflammasome through activating autophagy. (A) WB (upper panel) and PCR (bottom panel) for NLRP3 and Tim-4 expression in protein and mRNA levels in HEK293 cells after 48 h culture following cotransfection with pcDNA3-NLRP3-Flag and different doses of pTim-4. (B) WB for NLRP3 and Tim-4 in HEK293 cells after cotransfected with pTim-4 and pcDNA3-NLRP3-Flag for 48 h, then treated with CHX (5 μg/ml) for 4 h, followed treatment with vehicle, MG-132 (1 μmol/l), CQ (10 μmol/l), or 3-MA (10 mmol/l) for 12 h, respectively. (C) Immunoblot for NLRP3 inflammasome components and autophagy in HEK293 cells cotransfected with NLRP3 inflammasome (X) and pTim-4 for 48 h, followed treatment with CQ (10 μmol/l) or vehicle for 12 h.
Tim-4 induces autophagy by activating AMPKα, which is PS binding domain dependent
AMPKα is a key energy sensor in maintaining cellular homeostasis by regulating both anabolic and catabolic processes, including autophagy (27). It has been reported that Tim-4 activates autophagy by interacting with AMPKα1 during tumor chemotherapy (28). In this study, we further demonstrated that Tim-4 interacted with endogenous AMPKα in HEK293 cells and PEMs under starvation through immunoprecipitation (IP) (Fig. 6A, 6B). Furthermore, we found that Tim-4 overexpression increased the phosphorylation of AMPKα (p-AMPKα) and autophagic flux significantly in HEK293 cells (Fig. 6C). Above data indicated that Tim-4 activated autophagy via the AMPKα pathway. We next sought to verify the key domain of Tim-4 responsible for promoting phosphorylation of AMPKα. Similar to the effect of Tim-4 on NLRP3 inflammasome activation, we found that AMPKα phosphorylation and autophagic flux were not impaired in ∆IgV and Tim-4 mutPS groups (Fig. 6D). To further validate the key role of the Tim-4 PS binding site in activating AMPKα, PS was introduced to stimulate HEK293 cells cotransfected with Tim-4 and NLRP3 inflammasome components. With PS treatment, p-AMPKα was further increased in pTim-4 group relative to controls; however, the p-AMPKα remained at a very low level in Tim-4 mutPS group with or without PS treatment (Fig. 6E). Altogether, PS binding site was necessary for Tim-4–induced p-AMPKα and the subsequent formation of autophagic flux.
Tim-4 activates autophagy pathway by its PS binding site interacting with AMPKα. (A) IP for Tim-4 and endogenous AMPKα with HA Ab pull down in HEK293 cells, transfected with pcDNA3, pTim-4 for 48 h, (B) and with Tim-4 Ab pull down in PEMs cells under starvation, respectively. (C) Immunoblot for AMPKα and autophagy pathway–related genes in HEK293 cells transfected with pcDNA3 or pTim-4 for 48 h. (D) Immunoblot for AMPKα and autophagy-related genes of HEK293 cells transfected with pcDNA3, pTim-4, ∆IgV, or pTim-4 mutPS for 48 h. (E) Immunoblot for Tim-4, p-AMPKα of HEK293 cells transfected with pcDNA3, pTim-4, or pTim-4 mutPS for 48 h, then treatment with PBS or PS for another 12 h.
Tim-4 activates autophagy pathway by its PS binding site interacting with AMPKα. (A) IP for Tim-4 and endogenous AMPKα with HA Ab pull down in HEK293 cells, transfected with pcDNA3, pTim-4 for 48 h, (B) and with Tim-4 Ab pull down in PEMs cells under starvation, respectively. (C) Immunoblot for AMPKα and autophagy pathway–related genes in HEK293 cells transfected with pcDNA3 or pTim-4 for 48 h. (D) Immunoblot for AMPKα and autophagy-related genes of HEK293 cells transfected with pcDNA3, pTim-4, ∆IgV, or pTim-4 mutPS for 48 h. (E) Immunoblot for Tim-4, p-AMPKα of HEK293 cells transfected with pcDNA3, pTim-4, or pTim-4 mutPS for 48 h, then treatment with PBS or PS for another 12 h.
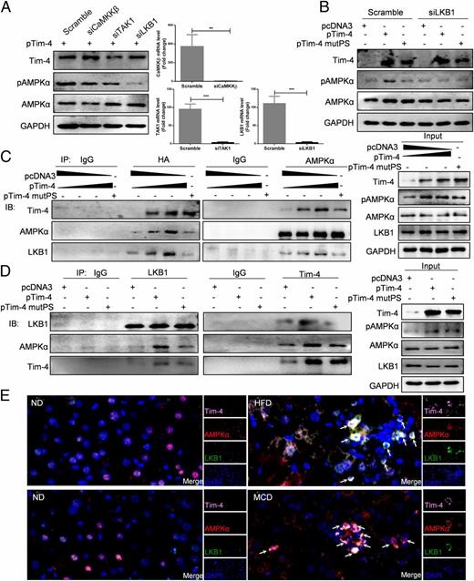
Tim-4 promotes AMPKα phosphorylation by interacting with LKB1
To date, three main upstream kinases are essential for the phosphorylation of Thr172 in AMPKα: calcium (Ca2+)/calmodulin-depedent protein kinase kinase β (CaMKKβ) (29), TGF-β–activated kinase-1 (TAK1) (30), and LKB1 (31). In the following, siRNA of CaMKKβ, TAK1, or LKB1 was used to verify the major upstream kinase responsible for AMPKα phosphorylation induced by Tim-4. The results showed that Tim-4–induced p-AMPKα was reduced significantly only after knockdown of LKB1, but no significant decrease was observed in siCaMKKβ or siTAK1 groups compared with scrambled controls (Fig. 7A), indicating that LKB1 was essential for Tim-4–induced AMPKα phosphorylation. Furthermore, regardless of siLKB1 transfection, p-AMPKα levels remained at a very low level in Tim-4 mutPS group (Fig. 7B). To further elucidate the relationship of Tim-4 with LKB1 and AMPKα, Co-IP assay was performed in HEK293 cell-transfected pTim-4 or pTim-4 mutPS with HA tag. We found that Tim-4 could immunoprecipitate enhanced AMPKα and LKB1 with Tim-4 plasmid concentration increasing, but not in the Tim-4 mutPS group (Fig. 7C, left panel). Consistently, AMPKα also immunoprecipitated increased amounts of Tim-4 and LKB1 with increasing pTim-4, but this effect was not maintained in Tim-4 mutPS group (Fig. 7C, right panel). Further, LKB1 could immunoprecipitate Tim-4 and AMPKα in WT Tim-4–transfected HEK293 cells excepting the Tim-4 mutPS group (Fig. 7D). To further confirm the coexpression of Tim-4, AMPKα, and LKB1 in hepatic macrophages, multiplex fluorescent IHC was performed in liver tissue from NAFLD mice. The staining results confirmed that more infiltration of spindle and crowned macrophages and more colocalization of Tim-4 (pink), AMPKα (red), and LKB1 (green) in liver tissues from HFD or MCD diet induced NAFLD mice than controls (Fig. 7E).
Tim-4 promotes AMPKα phosphorylation by interacting with LKB1. (A) Immunoblot for Tim-4, p-AMPKα of HEK293 cells cotransfected with pTim-4 and scramble, siCaMKKβ, siTAK1, and siLKB1, respectively (left); qPCR for CaMKKβ, TAK1, and LKB1 of HEK293 cells transfected with scramble, siCaMKKβ, siTAK1, and siLKB1, respectively (right). (B) Immunoblot for Tim-4, p-AMPKα of HEK293 cells cotransfected with scramble or siLKB1 and pcDNA3, pTim-4, or pTim-4 mutPS, respectively. (C) IP for Tim-4, endogenous AMPKα and LKB1 with HA (left panel) or AMPKα (right panel) Ab pull down in HEK293 cells transfected with pcDNA3, pTim-4, or pTim-4 mutPS for 48 h, respectively. Input indicated the expression of Tim-4, AMPKα, and LKB1 in transfected HEK293 cells. (D) IP for Tim-4, endogenous AMPKα, and LKB1 with LKB1 (left panel) or Tim-4 (right panel) Ab pull down in pcDNA3, pTim-4, and pTim-4 mutPS transfected HEK293 cells after 48 h culture. Input indicated the expression of Tim-4, AMPKα, and LKB1 in transfected HEK293 cells. (E) Opal/TSA-based multiplex fluorescent IHC was performed in murine hepatic tissue from normal diet (ND)/HFD and ND/MCD mice. Four markers were evaluated, including Tim-4 (pink), AMPKα (red), LKB1 (green), and nuclei (blue). White arrows are pointing to Tim-4, AMPKα and LKB1 coexpressing. Scale bar, 20 μm. **p < 0.01, ***p < 0.001.
Tim-4 promotes AMPKα phosphorylation by interacting with LKB1. (A) Immunoblot for Tim-4, p-AMPKα of HEK293 cells cotransfected with pTim-4 and scramble, siCaMKKβ, siTAK1, and siLKB1, respectively (left); qPCR for CaMKKβ, TAK1, and LKB1 of HEK293 cells transfected with scramble, siCaMKKβ, siTAK1, and siLKB1, respectively (right). (B) Immunoblot for Tim-4, p-AMPKα of HEK293 cells cotransfected with scramble or siLKB1 and pcDNA3, pTim-4, or pTim-4 mutPS, respectively. (C) IP for Tim-4, endogenous AMPKα and LKB1 with HA (left panel) or AMPKα (right panel) Ab pull down in HEK293 cells transfected with pcDNA3, pTim-4, or pTim-4 mutPS for 48 h, respectively. Input indicated the expression of Tim-4, AMPKα, and LKB1 in transfected HEK293 cells. (D) IP for Tim-4, endogenous AMPKα, and LKB1 with LKB1 (left panel) or Tim-4 (right panel) Ab pull down in pcDNA3, pTim-4, and pTim-4 mutPS transfected HEK293 cells after 48 h culture. Input indicated the expression of Tim-4, AMPKα, and LKB1 in transfected HEK293 cells. (E) Opal/TSA-based multiplex fluorescent IHC was performed in murine hepatic tissue from normal diet (ND)/HFD and ND/MCD mice. Four markers were evaluated, including Tim-4 (pink), AMPKα (red), LKB1 (green), and nuclei (blue). White arrows are pointing to Tim-4, AMPKα and LKB1 coexpressing. Scale bar, 20 μm. **p < 0.01, ***p < 0.001.
Discussion
Our findings suggest that NAFLD microenvironments increase Tim-4 expression in liver tissues, and enhanced Tim-4 in macrophages inhibits the activation of NLRP3 inflammasome by inducing autophagy, thereby slowing the progression of NAFLD. Tim-4 overexpression promotes interaction between LKB1 and AMPKα, and Tim-4–LKB1–AMPKα interaction promotes AMPKα phosphorylation, which is responsible for activation of the autophagy signaling pathway. In this process, the PS binding motif of Tim-4 plays a significant role, and PS stimulation promotes Tim-4–mediated AMPKα phosphorylation. Thus, targeting Tim-4 in macrophages might be an effective strategy for intervention in NAFLD as well as additional NLRP3 inflammasome-related diseases.
In this article, we report that NAFLD environments enhance Tim-4 expression in macrophages of liver. Although it is well known that Tim-4 is selectively highly expressed in macrophages and mature dendritic cells, recently it has been reported to be expressed in B1 and invariant NKT cells (32). More recently, our and other laboratories have reported that Tim-4 is also expressed in tumor cells, and ectopic expression of Tim-4 promotes tumor progression (21, 33). These studies reveal the multiple biological functions of Tim-4. Damage-associated molecular patterns from tumor microenvironments induce Tim-4 expression in tumor-associated macrophages and dendritic cells. In addition, multiple proinflammatory cytokines, including TNF-α, IL-6, among others, are rich in tumor microenvironments as well as in liver tissues of NAFLD. In lung cancer, these cytokines are associated with increased Tim-4 expression (34). Similarly, we find upregulated Tim-4 expression in macrophages from HFD-induced NAFLD model mice and much more Tim-4 expression in macrophages from MCD diet–induced NAFLD mice, which is consistent with the much higher levels of inflammation in this model. However, further investigation is required to clearly elucidate the factors enhancing Tim-4 expression in macrophages under NAFLD microenvironments.
This study reveals the novel role of Tim-4 in suppressing NLRP3 inflammasome activity. Previously, we found the negative correlation of Tim-4 mRNA of PBMCs with serum IL-1β from patients with type II diabetes, (35) suggesting the possible role of Tim-4 in inhibiting inflammasome. In this study, we identify the negative regulation of Tim-4 on NLRP3 inflammasome in vitro in macrophages and reconstitution system. Because NLRP3 inflammasome is critical for NAFLD progress, NAFLD model has been set up in Tim-4−/− mice to reveal that Tim-4 might alleviate NAFLD progression by inhibiting NLRP3 inflammasome. Of course, we could not exclude that Tim-4 also affects other inflammasomes as well. Our study also reveals the novel role of Tim-4 in protecting mice from MCD diet–induced NAFLD. Tim-4−/− mice displayed more severe inflammation, confirmed by increased IL-1β, IL-18, TNF-α,and IL-6 in liver tissues, than Tim-4+/+ mice (Supplemental Fig. 4E). Besides, the results need to be further confirmed in macrophage-specific Tim-4 conditional knockout mice or in bone marrow transplanted mice.
Recently, it is reported that autophagy is able to inhibit inflammasome activation by degrading inflammasome components through protein ubiquitylation reaction (36), and high level of autophagy significantly decreased hepatocyte lipid storage in the absence or presence of exogenous lipid supplementation (37). Among the diverse types of autophagy, macroautophagy is constitutively active and maintains basal level of autophagy in cells. However, it is increased in response to cellular stress, and the most common stress is nutrient-deprivation condition. Macroautophagy (referred to as autophagy) is a primary mechanism for increasing TG and CHO breakdown through a process known as macrolipophagy (37). Autophagy also regulates cellular lipid contents through additional mechanisms, such as degradation of lipid metabolism mediator, apoprotein-B (38), induced insulin resistance by inhibition of FOXO1 (39), and increased endoplasmic reticulum stress (40). In this study, Tim-4–induced autophagy is confirmed in our system in vitro, and Tim-4 inhibits NLRP3 inflammasome by inducing autophagy. However, whether Tim-4–induced autophagy leads to selective degradation and inhibition of NLRP3 inflammasome requires further investigation in the future.
It is reported that palmitic acid induced steatosis and inflammasome activation is dependent on AMPKα–autophagy–ROS signaling axis (41). Baghdadi et al. (28) have reported that DAMPs derived from chemotherapy-damaged tumor cells increase Tim-4 in tumor-associated macrophages. Elevated Tim-4 is translocated from plasma membrane to the cytosol under the tumor microenvironments, and Tim-4 activates autophagy-mediated degradation of ingested dying tumor cells by directly interacting with AMPKα1, resulting in eventual tumor immune tolerance. Our results are conducted under the microenvironments of NAFLD, and we further explain that Tim-4 promotes phosphorylation of AMPKα by its PS binding site interacting with the upstream kinase LKB1. The activation of LKB1 requires its translocation from the nucleus to the cytoplasm (42, 43), followed by binding to mouse protein-25 (MO25) and STE20-related pseudokinase (STRAD) to form LKB1/MO25/STRAD complex, which stabilizes LKB1 and activates its kinase activity (44). We observe that Tim-4 is able to trigger nucleocytoplasmic translocation of LKB1 in our system (data not shown). We speculate that external stresses, such as fatty liver microenvironments and starvation, might induce Tim-4 and facilitate its translocation, which provides chance for Tim-4 to interact with LKB1-AMPKα and promotes the phosphorylation of AMPKα. However, we could not exclude the interaction of Tim-4 with LKB1 and AMPKα in other cells except macrophages within liver under NAFLD microenvironments. In addition, whether Tim-4 directly interacts with LKB1 and AMPKα needs to be further verified.
Interestingly, as the PS receptor, Tim-4–mediated NLRP3 inflammasome inhibition and LKB1-AMPKα activation depends on its PS binding motif. PS stimulation enhances Tim-4–mediated AMPKα phosphorylation, an effect lost in mutPS of Tim-4. In Drosophila, PS is dynamically exposed on degenerating dendrites during developmental pruning and after physical injury (45). In our study, we do not characterize where the PS signal comes from, and future work should further investigate this mechanistic component.
As a major sensor for energy metabolism regulation, AMPKα plays an important role in various diseases such as metabolic diseases, cancer (46), neurodegenerative diseases (47), and Wolff-Parkinson-White syndrome (48). Currently, pharmaceutical agent metformin has been used for the treatment of type 2 diabetes as pharmacological activator of AMPKα (49). Similarly, Tim-4, as physiologic activator of AMPKα, may be a promising therapeutic target for diverse AMPKα-related diseases such as NAFLD in future.
Acknowledgements
We thank Professor Yingyu Chen (Peking University School of Basic Medical Sciences of China) for helpful suggestions. We thank Professor Guangxun Meng (Institute Pasteur of Shanghai, Chinese Academy of Sciences) for providing pcDNA3-NLRP3-Flag plasmid. We thank Professor Yaoqin Gong (Shandong University) for providing db/m mice, and Professor Chuanju Liu (New York University School of Medicine) for language editing. We also thank Professor Shigekazu Nagata (Kyoto University Graduate School of Medicine) for providing Tim-4−/− mice.
Footnotes
This work was supported by the National Nature Science Foundation of China (81670520, 81371831), the Key Research and Development Program in Shandong Province (2015GSF118120) and the Collaborative Innovation Center for Marine Biomass Fibers, Materials and Textiles of Shandong Province.
The online version of this article contains supplemental material.
Abbreviations used in this article:
- ALT
alanine aminotransferase
- AMPKα
AMP-activated protein kinase α
- ASC
adaptor apoptosis-associated speck-like protein
- AST
aspartate aminotransferase
- BMDM
bone marrow–derived macrophage
- CHO
cholesterol
- CQ
chloroquine
- CST
Cell Signaling Technology
- F
forward
- FCM
flow cytometry
- h
human
- HA
hemagglutinin
- HFD
high-fat diet
- IF
immunofluorescence
- IHC
immunohistochemistry
- IP
immunoprecipitation
- KC
Kupffer cell
- LDL
low density lipoprotein
- LHS
liver homogenate supernatant
- LKB1
liver kinase B1
- m
mouse
- 3-MA
3-methyladenine
- MCD
methionine- and choline-deficient
- NAFLD
nonalcoholic fatty liver disease
- NASH
nonalcoholic steatohepatitis
- Nig
nigericin
- NLRP3
NACHT, LRR, and PYD domains–containing protein 3
- ORO
Oil Red O
- PEM
peritoneal macrophage
- PS
phosphatidylserine
- pTim-4
pcDNA3–Tim-4–HA plasmid
- qPCR
real-time quantitative PCR
- R
reverse
- si
small interfering
- TG
triglyceride
- Tim
T cell Ig mucin domain protein
- TSA
tyramide signal amplification
- WB
Western blot
- WT
wild type.
References
Disclosures
The authors have no financial conflicts of interest.



![FIGURE 4. PS binding motif is required for Tim-4 inhibiting NLRP3 inflammasome activation. (A) Representative IF photomicrographs of costaining with NLRP3 (red), ASC (green), and DAPI (blue) in liver sections of normal diet (ND)/HFD- and ND/MCD diet–fed mice. Scale bar, 50 μm. (B) ELISA for IL-1β (left panel) and IL-18 (right panel) in LHSs from ND/HFD- and ND/MCD diet–fed mice. (C) ELISA for IL-1β and IL-18 in PEMs and BMDMs from Tim-4+/+ and Tim-4−/− mice under stimulation by LPS/ATP or LPS/Nig. (D) WB for activated caspase-1(p20) [Casp-1(p20)] of KCs (left) and pTim-4–transfected HEK293 cells (right) following NLRP3 inflammasome (X) reconstitution with gradually increasing dose of pTim-4 (upper panel), and ELISA for IL-1β in culture supernatants of KCs (left) and HEK293 cells (right) (bottom panel). (E) WB for activated caspase-1(p20) of HEK293 cells lysates cotransfected X with different defective mutants of Tim-4 domains (WT Tim-4, ∆IgV, ∆Mucin, ∆Cyto) or with two different motif mutation in IgV domain (Tim-4 mutPS and Tim-4 mutRGD, upper panel). ELISA for IL-1β in culture supernatants of HEK293 cells after 48 h of the cotransfection (bottom panel). The box plots in (B)–(E) show the median ± SD. *p < 0.05, **p < 0.01, ***p < 0.001, ****p < 0.0001, by two-tailed Student t test between comparison of the corresponding two groups. ns, no significance.](https://aai.silverchair-cdn.com/aai/content_public/journal/jimmunol/203/4/10.4049_jimmunol.1900117/2/m_ji1900117f4.jpeg?Expires=1708445232&Signature=of9Sb9J7IewnFIp5vsuPkmnDAlGuPShlkF~AKjXwLSSyRtpRsd5V1yCNA72AzfDwtXtFuqkQ5P0RDAhh9sjRRDTfau6m4z0saDumxcCcfQdZZ5tfWcvgfKquxO~XHKd0oeIxUCO4X5rRa9DuxJhhGfqLJWT1RMOEqWyrJpyIyEgBWJ0njrXE2MLL94rkevTJ6V6T8Qhq9a4Xsv4diIUsOn7J33JHjbRuTiUJ5~xxroykPlD3KWbCgJ59kotlv-l7oleB07In0R0oSAOw-uMPMr8ahu~wTa2E7DVgx-ccJhNWrTT3O3eddygoTZHg4Gaf6oJ4ti8CoJGBU3oua-3DIw__&Key-Pair-Id=APKAIE5G5CRDK6RD3PGA)


