Visual Abstract

Abstract
Interstitial macrophages (IMs) are key regulators of allergic inflammation. We previously showed that the absence of semaphorin 3E (Sema3E) exacerbates asthma features in both acute and chronic asthma models. However, it has not been studied whether Sema3E, via its receptor plexinD1, regulates IM function in allergic asthma. Therefore, we investigated the role of plexinD1 deficiency on IMs in allergic asthma. We found that the absence of plexinD1 in IMs increased airway hyperresponsiveness, airway leukocyte numbers, allergen-specific IgE, goblet cell hyperplasia, and Th2/Th17 cytokine response in the house dust mite (HDM)–induced allergic asthma model. Muc5ac, Muc5b, and α-SMA genes were increased in mice with Plxnd1-deficient IMs compared with wild-type mice. Furthermore, plexinD1-deficient bone marrow–derived macrophages displayed reduced IL-10 mRNA expression, at both the baseline and following HDM challenge, compared with their wild-type counterpart mice. Our data suggest that Sema3E/plexinD1 signaling in IMs is a critical pathway that modulates airway inflammation, airway resistance, and tissue remodeling in the HDM murine model of allergic asthma. Reduced IL-10 expression by plexinD1-deficient macrophages may account for these enhanced allergic asthma features.
This article is featured in Top Reads, p.
Introduction
Allergic asthma is defined as an inflammatory disease of the airways characterized by Th2/Th17-biased responses, with increased eosinophils, neutrophils, mast cells, macrophages, and lymphocytes. Cytokines, chemokines, histamine, Igs, growth factors, and lipid mediators secreted by inflammatory cells induce airway hyperreactivity, mucus overproduction, collagen deposition, airway smooth muscle (ASM) hypertrophy or hyperplasia, and thus airway remodeling (1). Although significant progress has been made with different types of drugs for managing the condition, ∼5–10% of asthma patients are refractory to these treatments (2). This highlights the need for new therapies for patients and a greater understanding of novel factors regulating asthma pathophysiology.
Semaphorins are transmembrane or secretory proteins, first discovered as axon guidance cues during nervous system development (3). However, these proteins are ubiquitously expressed. Recent studies have shown that semaphorins play a critical role in airway diseases by regulating the immune system, cell migration, cell proliferation, and cell–cell interactions (4–8). Among different semaphorins, semaphorin 3E (Sema3E) directly binds to its receptor plexinD1 with high affinity to exert its function (9–11). PlexinD1 was first identified as having a pivotal role in vascular patterning (11) and controlling the migration of double-positive thymocytes (4). PlexinD1 is expressed by various cells, including neuron cells, endothelium, ASM cells, fat cells, thymocytes, activated B cells, dendritic cells (DCs), neutrophils, and macrophages (12–16).
Previous data from our laboratory and others suggest that semaphorins and their receptors are key regulators of allergic inflammatory responses in the airways (8, 13, 14, 17, 18). Expression of Sema3E is significantly reduced in the airways of severe asthmatic patients (19) and in a house dust mite (HDM) mouse challenge model of asthma (20).
Furthermore, expression of the Sema3E receptor, plexinD1, is also downregulated in ASM cells from asthmatic patients, and Sema3E inhibited platelet-derived growth factor–mediated human ASM cell proliferation and migration in vitro (13). These observations suggest the functional importance of Sema3E/plexinD1 signaling in the pathobiology associated with airway hyperresponsiveness (AHR). Genetic ablation of Sema3E in mice resulted in increased lung granulocyte recruitment, increased AHR, mucus overproduction, collagen deposition, and Th2/Th17 response (17). Also, intranasal administration of recombinant Sema3E alleviated these pathological features (18), highlighting an important homeostatic role for the Sema3E/plexinD1 axis in the asthmatic airway.
Lung macrophages have a vital role in protection of the host from environmental insults (21–23). Both alveolar macrophages (AMs) and interstitial macrophages (IMs) play an essential role in lung homeostasis by dampening and resolving inflammation, AHR, and tissue remodeling (24–30). The regulatory role of Sema3E in immune-mediated diseases, including allergic asthma, is mediated via multiple pathways in structural and immune cells. For example, Sema3E modulates the recruitment of pulmonary DC subsets and neutrophils (14, 20), proliferation and migration of ASM cells (13), and neoangiogenesis (31). However, whether the plexinD1/Sema3E axis on IMs impacts critical features of asthma is not yet determined. Therefore, we investigated the role of plexinD1-deficient lung IMs in a murine model of allergic asthma. In this study, we found that deletion of plexinD1 from lung IMs exacerbates allergen-induced airway resistance, airway inflammation, Th2/Th17 cytokines, IgE level, mucus production, and α-smooth muscle actin (α-SMA) expression. We also showed that plexinD1 deficiency in bone marrow (BM)–derived macrophages (BMDMs), cells that replenish the lung IM compartment, abrogated IL-10 mRNA expression, indicating that Sema3E/plexinD1 is an important regulator pathway for airway allergic disease phenotypes.
Materials and Methods
Animals
PlexinDfl/fl mice (B6;129-Plxnd1tm1.1Tmj/J) (7) were kindly provided by Dr. T.M. Jessell (Columbia University/Howard Hughes Medical Institute, New York, NY) and crossed to B6.129P2(C)-Cx3cr1-tm2.1(cre/ERT2)Jung/J mice (The Jackson Laboratory, stock number 020940) that express Cre recombinase under the control of the tamoxifen-inducible Cx3cr1 promoter (20) to generate Cx3Cr1Cre+/−ERT2:PlexinD1fl/fl mice. The breeding scheme consists of crossing hemizygous Cx3cr1creERT2 mice with homozygous Plxnd1fl/fl mice.
All of the mice were maintained in the Central Animal Care within the pathogen-free facility at the University of Manitoba. All procedures were performed according to the guidelines stipulated by the Canadian Council for Animal Care and approved by the University of Manitoba Animal Care and Use Committee (protocol number 15802).
HDM-induced airway inflammation model
Six- to 8-wk-old female mice were treated with tamoxifen (Sigma) to get CX3CR1 cell-specific Plxnd1 knockout (KO) mice (Cx3cr1creERT2-Plxnd1 KO). Tamoxifen was dissolved in canola oil (Fluka) to a final concentration of 80 mg/ml (20). Eight milligrams of tamoxifen per day was given to a mouse by oral gavage on every alternative day for a week (total of 3 d) (20). Cx3cr1creERT2-Plxnd1fl/fl mice were used as the wild-type (WT). Mice were then challenged with 25 μg of HDM extract (Dermatophagoides pteronyssinus, lot 259585; LPS, 615 endotoxin units/vial; Greer Laboratories, Lenoir, NC) in 35 μl of saline intranasally for 5 d/wk for 2 consecutive wk under gaseous anesthesia, as we described previously (17, 32). WT and KO control mice were challenged with 35 μl of sterile saline. The mice were sacrificed 2 d after the last challenge with either HDM or saline to measure the outcomes.
Methacholine challenge test
AHR parameters, such as airway resistance, tissue resistance, and tissue elastance, were measured using the FlexiVent small animal ventilator system (Scireq, Montreal, QC, Canada). Briefly, HDM- or saline-challenged mice underwent thoracotomy, and then an increasing gradient of methacholine dose (0, 3, 6, 12, 25, and 50 mg/ml) was administered intratracheally at 5-min intervals between each dose, and lung functions were measured as we described previously (17).
Bronchoalveolar lavage fluid collection and process
Bronchoalveolar lavage fluid (BALF) was collected from CX3CR1 cell-specific Plxnd1 KO (Cx3cr1creERT2-Plxnd1 KO) and WT (Cx3cr1creERT2-Plxnd1fl/fl) mice using two instillations of 1 ml of sterile PBS containing 0.05 mM EDTA. After centrifugation, the BALF supernatant was stored at −80°C to measure airway cytokine response. Total BAL cells were counted using trypan blue by a hemocytometer. Then cytospins were prepared, fixed, and stained to measure inflammatory differential cell counts in BALF, as we previously described (17).
Immunophenotyping of spleen, blood, LN, and lung immune cells
Spleen, LN, blood, and lung cells from naive mice were used for immunophenotyping using FACS. After Fc blocking, cells were stained with a mixture (0.5 µl of Ab/20 µl of flow buffer/tube) containing the following anti-mouse Abs using two Ab panels. The first panel consists of: fixable viability dye eFluor 780 (eBioscience), Siglec F-PE (clone E50-2440; BD Biosciences), CD11b-PE/Cy7 (clone M1/70), CD11c-PerCP/Cy5.5 (clone N418), Ly6G-allophycocyanin (clone 1A8), F4/80-FITC (clone BM8; all four from BioLegend). The second panel consists of: fixable viability dye eFluor 780 (eBioscience), NK1.1-PE/Cy7 (clone PK136; eBioscience), CD3-PE (clone 145-2C11; eBioscience), CD4-allophycocyanin (clone GK1.5; Biolegend), and B220-FITC (clone RA3-6B2; BD Biosciences). Then, the samples were acquired using a BD FACSCanto II flow cytometer and analyzed using FlowJo software.
Lungs were collected from saline- or HDM-challenged Cx3cr1creERT2-Plxnd1fl/fl and Cx3cr1creERT2-Plxnd1 KO mice. The whole lung was minced and enzymatically digested in 1 mg/ml collagenase IV (Worthington Biochemical, Lakewood, NJ) containing RPMI 1640 medium at 37°C for 1 h. After RBC lysis with ACK (ammonium-chloride-potassium) buffer, cells were counted and stained with the anti-mouse Abs mixture (0.5 µl of Ab/20 µl of flow buffer/tube) after Fc blocking: fixable viability dye eFluor 780 (eBioscience), CD45-eFluor 450 (clone 30F11), MerTK-allophycocyanin (clone DS5MMER), CD4-PerCP-eFluor 710 (clone X54-5/7.1), Ly6G-FITC (clone RB6-8C5; all four from eBioscience), Siglec F-PE (clone E50-2440; BD Biosciences), and CD11b-PE/Cy7 (clone M1/70; BioLegend). Then, the samples were acquired as described above.
Ag recall response and cytokine measurement
Lung-draining mediastinal lymph nodes (mLNs) and spleen were collected from Cx3cr1creERT2-Plxnd1fl/fl and Cx3cr1creERT2-Plxnd1 KO mice, followed by preparing single-cell suspensions using a 70-μm cell strainer. The cells were resuspended at a concentration of 4 × 106 cells/ml in RPMI 1640 medium supplemented with 10% FBS, 2 mM l-glutamine, 100 U/ml penicillin, 100 U/ml streptomycin, and 50 μM 2-ME, and cultured with HDM or without HDM at 37°C with 5% CO2 for 72 h.
ELISA of IL-4, IL-5, IL-17A, IFN-γ, IL-10, and IL-13 was done in BALF and 72-h culture supernatants of spleen and lymph node cells according to the manufacturer’s instructions. ELISA data were analyzed using SoftMax Pro software (Molecular Devices). All cytokine ELISA kits were purchased from BioLegend (San Diego, CA), except for IL-13 (eBioscience).
Intracellular cytokine detection
Intracellular staining of cytokines was performed as we previously described (17). In brief, mLNs and spleen were cultured for 4 h with PMA, ionomycin, and protein transport inhibitor brefeldin A (Invitrogen) at 37°C with 5% CO2. Cells were then collected, and extracellular staining was performed by using anti-mouse CD3 PE/Cy7 (clone 145-2C11) and CD4-allophycocyanin (clone G1.5), both from eBioscience. Then, intracellular staining was done with specific anti-mouse IFN-γ PerCP-Cy5.5 (clone XMG1.2; eBioscience), IL-4 PE (clone 11B11; eBioscience), and IL-17A (clone TC11-18H10.1; BioLegend). Samples were acquired on a FACSCanto II and analyzed using FlowJo software.
Measurement of Igs
Serum was obtained from saline- and HDM-challenged Cx3cr1creERT2-Plxnd1fl/fl and Cx3cr1creERT2-Plxnd1 KO mice. Total and HDM-specific IgE and IgG1 levels were measured using ELISA, according to the manufacturer’s instructions (17, 33). ELISA Abs for measuring total and HDM-specific Igs in serum were purchased from SouthernBiotech (Birmingham, AL).
Immunohistochemistry
The dissected lower left lobe of the lung was fixed in formalin overnight and then embedded in paraffin. Saline and HDM-induced airway inflammation, mucus production, and collagen deposition in lung tissue sections were measured by performing H&E, periodic acid–Schiff, and Sirius red staining, respectively. The severity of lung inflammation, mucus overproduction, and collagen deposition was determined by histological scoring of H&E-, periodic acid–Schiff-, and Sirius red-stained slides, respectively, by three persons in a blinded manner (17, 34).
BMDMs and culture with tamoxifen and HDM
For single-cell suspensions, BM cells were collected from Cx3cr1creERT2-Plxnd1fl/fl mice. After RBC lysis, cells were resuspended in BMDM medium containing 30% of L929 conditioned medium plus 20% FBS plus 1% penicillin-streptomycin plus 50 µM 2-ME in RPMI 1640 medium. The cell suspension was plated on a petri dish (100 × 20 mm) in the concentration of 5 × 105 cells/10 ml of media/plate and incubated at 37°C with 5% CO2. After 6 d of culture, BMDMs were cultured with 5-OH tamoxifen (20 µg/ml) overnight. Cells (either with or without tamoxifen treatment) were cultured with HDM (10 µg/ml) for 24 h, and collected cells were then stored at −70°C.
Real-time PCR
Total RNA was extracted from the middle lobe of the lung by using TRIzol (Ambion). MultiScribe reverse transcriptase was used for 1 μg of RNA to synthesize cDNA according to the manufacturer’s instructions (Applied Biosystems, Foster City, CA). Expression of the collagen (Col3), mucin (Muc5AC and Muc5B), and α-SMA genes was analyzed by quantitative real-time PCR (qRT-PCR). The forward primers of Col3, Muc5AC, and Muc5B used in qRT-PCR are 5′-GCAGGACCCAGAGGAGTAG-3′, 5′-GCATGTTGGTACCCCACTCA-3′, and 5′-GAAACTGGAGCTGGGCTCTG-3′, respectively, and the reverse primers are 5′-TTCCATCATTGCCTGGTC-3′, 5′-GTTGCAGAGACCAGGGAAGT-3′, and 5′-CAGGTGTAAGGCGCTCATGC-3′. Eukaryotic elongation factor 2 (EEF2) was used as a housekeeping gene. qRT-PCR was done in a 96-well optical plate with an initial one-cycle denaturation step for 10 min at 95°C, 40 cycles of PCR (95°C for 15 s, 60°C for 30 s, and 72°C for 30 s), one cycle of melting, and one cooling cycle (Bio-Rad CFX96 real-time PCR system). Product specificity was assessed by performing a melting curve analysis and examining the quality of amplification curves. The amplification of target genes was calculated by normalizing by the amplification of EEF2 (ΔCt) and then normalizing by control groups (ΔΔCt) (35).
Statistical analyses
GraphPad Prism 5.0 software was used for statistical analysis. Depending on the number of groups and treatments, data were analyzed by an unpaired t test, one-way ANOVA, or two-way ANOVA, followed by a Tukey test. Differences were statistically significant at *p < 0.05, **p < 0.01, and ***p < 0.001.
Results
Mice with Plxnd1 deletion in lung IMs do not affect immune cells composition at steady state
We first adopted a gating strategy that distinguishes AMs, monocytes, and IMs using well-defined markers and FACS, as described previously (36–38). Plxnd1 deletion in CX3CR1+ IMs (then defined as Cx3cr1creERT2-Plxnd1 KO mice) was also confirmed in Cx3cr1creERT2-Plxnd1fl/fl mice treated with tamoxifen for 3 d of a week (Supplemental Fig. 1) (20, 39, 40).
To understand whether the absence of Plxnd1 in CX3CR1 IMs affects immune cell composition in the lung, spleen, lymph nodes, and blood, we performed FACS-based immunophenotyping of Cx3cr1creERT2-Plxnd1 KO, Cx3cr1creERT2-Plxnd1fl/fl, and WT mice. At baseline, the percentages of eosinophils, neutrophils, AMs, IMs, B cells, and T cells in the lung of Cx3cr1creERT2-Plxnd1fl/fl, Cx3cr1creERT2-Plxnd1 KO, and WT mice were similar, with no significant differences of immune cells among groups of mice (Fig. 1C). This was true for immune cells analyzed by flow cytometry from the spleen, lymph nodes, and blood (Fig. 1D–F). These data suggest that the deletion of Plxnd1 from CX3CR1 cells does not affect immune cell composition at different organs at the steady state.
The absence of Plxnd1 in IMs exaggerated airway resistance and inflammation upon HDM exposure
Then, we investigated whether the lack of Plxnd1 in IMs affected allergic asthma pathophysiology. We exposed Cx3cr1creERT2-Plxnd1fl/fl and Cx3cr1creERT2-Plxnd1 KO mice to HDM allergen for 10 d in 2 consecutive wk (5 d/wk), as repeated exposure to allergen induces airway inflammation, AHR, and airway remodeling (Fig. 2A) (32, 41, 42). We measured airway resistance, which is a crucial measure of lung function. We observed a significant increase in HDM-induced airway resistance in Cx3cr1creERT2-Plxnd1 KO mice compared with Cx3cr1creERT2-Plxnd1fl/fl mice (Fig. 2B). In contrast, we did not detect a significant difference in tissue dumping and tissue elastance between both mouse strains (data not shown). These results suggest that the deletion of Plxnd1 in CX3CR1+ IM cells exacerbates HDM-induced AHR selectively.
Immunophenotyping of inflammatory cells in Cx3cr1creERT2-Plxnd1fl/fl and Cx3cr1creERT2-Plxnd1 KO mice. (A) FACS analysis was done to characterize inflammatory cells populations in the lung, spleen, mediastinal lymph nodes (mLNs), and blood. General gating strategy includes exclusion of debris and doublets, and the inclusion of live cells. Single-cell suspensions of lung were stained by target-specific surface Abs. (B) Eosinophils were characterized by expression of Siglec F− and CD11c−. AMs are CD11c+, CD11b+, and F4/80+. Neutrophils were characterized by the expression of Gr1 and CD11b pregated on Siglec F− cells. IMs are CD11b+ and F4/80+ pregated on neutrophil-negative cells (Siglec F−Gr1−CD11bhigh). CD4+ T cells were characterized by CD3+ and CD4+ cells. B and NK cells were characterized by B220 and NK1.1, respectively, pregated on CD3− cells as shown in (A). (C–F) Percentage of each cell type was compared between WT, Cx3cr1creERT2-Plxnd1fl/fl, and Cx3cr1creERT2-Plxnd1 KO mice of lung (C), spleen (D), mLNs (E), and blood cells (F). Data are expressed as mean (pregated on CD45+) with SEM. n = 3–5 per group. AM, alveolar macrophage; Eos, eosinophil; Neu, neutrophil; NK, NK cell.
Immunophenotyping of inflammatory cells in Cx3cr1creERT2-Plxnd1fl/fl and Cx3cr1creERT2-Plxnd1 KO mice. (A) FACS analysis was done to characterize inflammatory cells populations in the lung, spleen, mediastinal lymph nodes (mLNs), and blood. General gating strategy includes exclusion of debris and doublets, and the inclusion of live cells. Single-cell suspensions of lung were stained by target-specific surface Abs. (B) Eosinophils were characterized by expression of Siglec F− and CD11c−. AMs are CD11c+, CD11b+, and F4/80+. Neutrophils were characterized by the expression of Gr1 and CD11b pregated on Siglec F− cells. IMs are CD11b+ and F4/80+ pregated on neutrophil-negative cells (Siglec F−Gr1−CD11bhigh). CD4+ T cells were characterized by CD3+ and CD4+ cells. B and NK cells were characterized by B220 and NK1.1, respectively, pregated on CD3− cells as shown in (A). (C–F) Percentage of each cell type was compared between WT, Cx3cr1creERT2-Plxnd1fl/fl, and Cx3cr1creERT2-Plxnd1 KO mice of lung (C), spleen (D), mLNs (E), and blood cells (F). Data are expressed as mean (pregated on CD45+) with SEM. n = 3–5 per group. AM, alveolar macrophage; Eos, eosinophil; Neu, neutrophil; NK, NK cell.
Airway resistance and inflammation are elevated in HDM-challenged CX3CR1-Plxnd1–deficient mice. (A) CX3CR1 cell–specific Plxnd1-deficient mice were established by oral gavage of tamoxifen for 3 alternative d and then induction of airway allergic asthma by intranasal exposure of HDM for 2 wk; control mice received saline. (B and C) Enhanced airway resistance (B) and total BAL cell number (C) in HDM-exposed Cx3cr1creERT2-Plxnd1 KO mice compared with Cx3cr1creERT2-Plxnd1fl/fl mice. (D–I) Absolute numbers of eosinophils (D), neutrophils (E), lymphocytes (F), IMs (G), and AMs (H) measured in BAL and in the lung (I) were determined by FACS as in (Fig. 1. (J) H&E staining of lung tissue. Data are expressed as mean with SEM. Scale bar, 50 μm. n = 3–5 mice per group. *p < 0.05, **p < 0.01, and ****p < 0.001.
Airway resistance and inflammation are elevated in HDM-challenged CX3CR1-Plxnd1–deficient mice. (A) CX3CR1 cell–specific Plxnd1-deficient mice were established by oral gavage of tamoxifen for 3 alternative d and then induction of airway allergic asthma by intranasal exposure of HDM for 2 wk; control mice received saline. (B and C) Enhanced airway resistance (B) and total BAL cell number (C) in HDM-exposed Cx3cr1creERT2-Plxnd1 KO mice compared with Cx3cr1creERT2-Plxnd1fl/fl mice. (D–I) Absolute numbers of eosinophils (D), neutrophils (E), lymphocytes (F), IMs (G), and AMs (H) measured in BAL and in the lung (I) were determined by FACS as in (Fig. 1. (J) H&E staining of lung tissue. Data are expressed as mean with SEM. Scale bar, 50 μm. n = 3–5 mice per group. *p < 0.05, **p < 0.01, and ****p < 0.001.
We then measured total and differential inflammatory cells in the BALF. Total BALF immune cell numbers significantly increased in Cx3cr1creERT2-Plxnd1 KO mice compared with Cx3cr1creERT2-Plxnd1fl/fl mice after HDM treatment (Fig. 2C). We performed immune cell analyses in BALF by flow cytometry (17). We found that the number of BALF eosinophils, neutrophils, lymphocytes (T and B cells), and IMs increased in the airway in HDM-challenged Cx3cr1creERT2-Plxnd1 KO mice compared with Cx3cr1creERT2-Plxnd1fl/fl mice (Fig. 2D–G). We further confirmed the increased inflammatory cells in the lung of Cx3cr1creERT2-Plxnd1 KO compared with Cx3cr1creERT2-Plxnd1fl/fl mice by flow cytometry analysis of lung homogenate cells (Fig. 2I) and by H&E staining of lung tissue sections (Fig. 2J). Collectively, these data demonstrate that recruitment of granulocytes and lymphocytes was increased in response to HDM airway challenge following selective depletion of plexinD1 in IMs.
HDM-specific serum IgE and airway cytokines are enhanced in IMs of Plxnd1 KO mice
Allergic asthma exacerbations can be triggered via IgE-bound mast cells and is associated with elevated serum IgE in humans (43–45). We investigated total and HDM-specific Ig responses in the serum obtained from Cx3cr1creERT2-Plxnd1fl/fl and Cx3cr1creERT2-Plxnd1 KO mice. HDM-specific IgE levels significantly increased in Cx3cr1creERT2-Plxnd1 KO mice compared with Cx3cr1creERT2-Plxnd1fl/fl mice after the HDM challenge (Fig. 3B). In contrast, HDM-specific serum IgG1 levels were lower in Cx3cr1creERT2-Plxnd1 KO mice (Fig. 3D). Although there was no significant difference in the total Igs between both mouse strains, deleted Plxnd1 in IMs was associated with upregulation of HDM-IgE.
HDM-specific serum IgE and BAL Th2 and Th17 cytokines level increased in Cx3cr1creERT2-Plxnd1 KO mice upon HDM challenge. (A–D) The levels of total IgE (A), HDM-specific IgE (B), total IgG1 (C), and HDM-specific IgG1 (D) were measured in serum of Cx3cr1creERT2-Plxnd1fl/fl and Cx3cr1creERT2-Plxnd1 KO mice exposed to either saline or HDM by ELISA. (E–G) The levels of IL-4 (E), IL-13 (F), and IL-17A (G) were measured in BALF. Data are expressed as mean with SEM. n = 3–5 mice per group. *p < 0.05.
HDM-specific serum IgE and BAL Th2 and Th17 cytokines level increased in Cx3cr1creERT2-Plxnd1 KO mice upon HDM challenge. (A–D) The levels of total IgE (A), HDM-specific IgE (B), total IgG1 (C), and HDM-specific IgG1 (D) were measured in serum of Cx3cr1creERT2-Plxnd1fl/fl and Cx3cr1creERT2-Plxnd1 KO mice exposed to either saline or HDM by ELISA. (E–G) The levels of IL-4 (E), IL-13 (F), and IL-17A (G) were measured in BALF. Data are expressed as mean with SEM. n = 3–5 mice per group. *p < 0.05.
Th2/Th17 cytokine levels play an essential role in the exacerbation of allergic asthma. Therefore, we measured Th2/Th17 cytokines levels in the BALF, isolated lymph nodes, and spleen cells from HDM-challenged and nonchallenged mice. BALF IL-4, IL-17A, and IL-13 levels increased in the Cx3cr1creERT2-Plxnd1 KO mice (Fig. 3E–G) after HDM challenge. IFN-γ was undetectable in the BALF (data not shown). To determine whether this response was sustained after HDM recall challenge, mLNs and single spleen cells were restimulated with HDM or vehicle in vitro for 72 h and cytokine production was measured by intracellular FACS staining and ELISA. The level of IFN-γ produced by mLNs from the Cx3cr1creERT2-Plxnd1 KO mice significantly decreased (Supplemental Fig. 2C), but no change was observed in the IL-4 and IL-17A levels compared with Cx3cr1creERT2-Plxnd1fl/fl mice (Supplemental Fig. 2A, 2B, 2D, 2F, respectively). In contrast, IL-4 levels increased in the spleen culture supernatants from the Cx3cr1creERT2-Plxnd1 KO mice (Supplemental Fig. 3A). These results suggest that lack of Plxnd1 in CX3CR1+ IMs induced an enhanced biosynthesis and release of Th2/Th17 cytokines in the airways.
Lack of Plxnd1 in IMs enhanced expression of airway mucin and α-SMA proteins
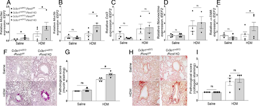
As mucus overproduction, collagen deposition, and smooth muscle cells proliferation contribute to airway remodeling in allergic asthma, we determined whether the absence of Plxnd1 in IMs has an impact on the expression of mucin, collagen, fibronectin, and α-SMA. HDM-challenged Cx3cr1creERT2-Plxnd1 KO mice had significantly higher Muc5AC, Muc5B, and α-SMA gene expression compared with Cx3cr1creERT2-Plxnd1fl/fl mice (Fig. 4A, 4B, 4E). No difference was found in the Col3 and fibronectin gene expression (Fig. 4C, 4D). To validate these findings, we performed immunohistology of lung tissue for mucin and collagen and observed higher mucin, but not collagen, production in the Cx3cr1creERT2-Plxnd1 KO mice compared with Cx3cr1creERT2-Plxnd1fl/fl mice (Fig. 4G, 4H). Thus, deletion of Plxnd1 in IMs leads to an increase of airway mucin, which is considered one of the factors contributing to airway remodeling in allergic asthma.
Lung mucin and α-SMA increased in Cx3cr1creERT2-Plxnd1 KO mice. (A–E) Expression levels of airway remodeling Muc5ac (A), Muc5b (B), Col3 (C), fibronectin (D), and α-SMA (E) genes in Cx3cr1creERT2-Plxnd1fl/fl and Cx3cr1creERT2-Plxnd1 KO mice was determined by qRT-PCR using specific primers. (F and H) Lung tissue sections from Cx3cr1creERT2-Plxnd1fl/fl and Cx3cr1creERT2-Plxnd1 KO mice were stained with periodic acid–Schiff and Sirius red to determine mucus (F) and collagen deposition (H), respectively. Scale bars, 50 μm. (G and I) Scoring data of lung mucus (G) and collagen (I) staining was blindly done by three people. Data are expressed as mean with SEM. n = 3–5 mice per group. *p < 0.05.
Lung mucin and α-SMA increased in Cx3cr1creERT2-Plxnd1 KO mice. (A–E) Expression levels of airway remodeling Muc5ac (A), Muc5b (B), Col3 (C), fibronectin (D), and α-SMA (E) genes in Cx3cr1creERT2-Plxnd1fl/fl and Cx3cr1creERT2-Plxnd1 KO mice was determined by qRT-PCR using specific primers. (F and H) Lung tissue sections from Cx3cr1creERT2-Plxnd1fl/fl and Cx3cr1creERT2-Plxnd1 KO mice were stained with periodic acid–Schiff and Sirius red to determine mucus (F) and collagen deposition (H), respectively. Scale bars, 50 μm. (G and I) Scoring data of lung mucus (G) and collagen (I) staining was blindly done by three people. Data are expressed as mean with SEM. n = 3–5 mice per group. *p < 0.05.
Plxnd1-deleted macrophages had reduced IL-10 in vitro
Lung IMs can ameliorate allergic asthma by secreting IL-10, which downregulates DC function in the airway, resulting in reduced Th2- and Th17-mediated inflammation (46, 47). Because IMs are replenished from BM (48), we first investigated whether deletion of Plxnd1 in BMDMs reduces the IL-10 expression. We generated BMDMs from Cx3cr1creERT2-Plxnd1fl/fl mice in which ≥95% of cells are CX3CR1+ macrophages (Supplemental Fig. 1B) and treated them with tamoxifen to induce Plxnd1 depletion in the presence of HDM (Fig. 5A). The expression of IL-10 was significantly decreased in Plxnd1-depleted BMDMs both at a steady state and after culture with HDM compared with BMDMs derived from non–tamoxifen-treated Cx3cr1creERT2-Plxnd1fl/fl mice (Fig. 5B). Our data suggest that the deletion of Plxnd1 in IMs is associated with reduced expression of IL-10 and may account for the enhanced allergic asthma features observed in our model.
Deletion of Plxnd1 in CX3CR1+ macrophages negatively regulates IL-10 expression. (A and B) mRNA expression of anti-inflammatory cytokine IL-10 was measured in bone marrow–derived macrophages (BMDMs) from Cx3cr1creERT2-Plxnd1fl/fl and Cx3cr1creERT2-Plxnd1 KO mice by qRT-PCR. Data are expressed as mean with SEM. n = 3–6 data per group. ****p < 0.01.
Deletion of Plxnd1 in CX3CR1+ macrophages negatively regulates IL-10 expression. (A and B) mRNA expression of anti-inflammatory cytokine IL-10 was measured in bone marrow–derived macrophages (BMDMs) from Cx3cr1creERT2-Plxnd1fl/fl and Cx3cr1creERT2-Plxnd1 KO mice by qRT-PCR. Data are expressed as mean with SEM. n = 3–6 data per group. ****p < 0.01.
Discussion
In this study, we investigated the role of plexinD1 deficiency on lung IMs in allergic asthma. We found that the selective deletion of plexinD1 in lung IMs early on exacerbates allergen-induced airway resistance, airway inflammation, Th2/Th17 cytokines, allergen-specific IgE level, mucus production, and α-SMA expression. Interestingly, the absence of Plxnd1 in BMDMs, cells important for replenishing lung IMs, reduced IL-10 expression, indicating, to our knowledge for the first time, the role of plexinD1/Sema3E in IL-10 production in the airways.
Many studies have shown that allergic asthma is associated with elevated eosinophils in the airways. However, some asthmatics have an increased level of neutrophils with or without elevated eosinophils (49). Moreover, neutrophils were associated with increased bronchoconstriction leading to airway closure. In our study, after allergen challenge, besides enhanced BAL eosinophilia and IL-4 and IL-13 cytokine levels, we found a higher number of BAL neutrophils and IL-17A levels in the mice with Plxnd1-deficient IMs. IL-17A induces neutrophil recruitment at the site of inflammation through the activation of CXCL8/IL-8 (50); thus, our findings infer that the absence of Plxnd1 in IMs may regulate airway neutrophil recruitment through stimulation of IL-17A production. These new data are consistent with our previous evidence showing that Sema3E, a primary plexinD1 ligand, downregulates HDM- and LPS-induced airway neutrophilia (17, 31, 39) and a role of IM in regulating neutrophilic asthma (46).
We show that the deletion of Plxnd1 in IMs leads to higher number of lung IMs associated with exacerbation of AHR. These data agree with our previous data showing that Sema3E global deficiency in vivo exacerbates airway hyperresponsiveness, and treatment with recombinant Sema3E reduced airway hyperresponsiveness (17). Notably, we found that airway resistance was elevated in Cx3cr1creERT2-Plxnd1 KO mice compared with Cx3cr1creERT2-Plxnd1fl/fl mice after allergic asthma induction. These results are similar to those of Mellado et al. (51), which showed that blocking monocyte recruitment ameliorates allergic asthma. Also, our previous data using chimera show a critical role of adoptive Sema3E-deficient immune cells in exacerbating airway resistance but only partially affecting airway elastase and tissue resistance (14). Taken together, it is tempting to speculate that IMs, via the Sema3E/plexinD1 axis, are one of the critical contributors that promoted allergen-induced airway resistance. Further studies are needed to understand the mechanism through which plexinD1 in the IMs regulates airway resistance.
Various factors can underpin airway hyperresponsiveness in asthma patients. Among them, the recruitment of inflammatory cells to the airway contributes to AHR. For instance, airway eosinophil number correlates with the severity of AHR after allergen exposure (52, 53). We observed a high number of eosinophils in the airway of Cx3Cr1creERT2-Plxnd1 KO mice after allergen challenge, concomitantly with a higher level of mLN IL-5 compared with the WT counterpart. Notably, IL-5 is the most critical Th2 cytokine that regulates eosinophil growth, differentiation, maturation, survival, and activation (1), and, most importantly, acts as an eosinophil chemoattractant (54). This suggests that the absence of Plxnd1 in IMs induces, by a mechanism to be determined, IL-5 secretion that promotes eosinophil recruitment to the airway, leading to the exacerbation of allergic asthma.
IgE plays a critical role in the predisposition of allergic asthma, and serum IgE level was positively correlated with the severity of asthma (55). Furthermore, IL-4 cytokine modulates B cell growth, differentiation, and activation (56) as well as IgE class-switch recombination (57). IL-4 also enhances the IgE-mediated responses by upregulating IgE receptors on airway inflammatory cells (58). We found an increased HDM-specific serum IgE level and IL-4 in Cx3cr1creERT2-Plxnd1 KO mice compared with their WT counterpart mice, which agrees with the effect of Sema3E deficiency in IgE production (17). Therefore, our data suggest that absence of the plexinD1/Sema3E axis in IMs might regulate IgE class switching in the B cells and exacerbate allergic asthma via an IgE-mediated mechanism.
Lung IMs constitutively produce anti-inflammatory cytokine IL-10 through the TLR4/MyD88 pathway independent of lung microbiota. IL-10–producing IMs downregulate HDM-induced allergic asthma exacerbations (46) by inhibiting allergen-loaded DC maturation and migration that activate Th2 responses (47). In this study, we found that ex vivo deletion of Plxnd1 from BMDMs reduces the expression of IL-10 mRNA at the baseline and upon HDM stimulation. These data agree with our recent study showing that in vivo Sema3E treatment downregulates DC-mediated Th2 cytokine responses (18). They also suggest that the absence of plexinD1/Sema3E interaction might regulate the signaling pathway of IL-10 cytokine production in the IMs. However, more studies are needed to clarify the effect of plexinD1/Sema3E interaction on IL-10 expression by IMs. Although Foxp3+ regulatory T cells (Tregs) produce IL-10, IL-10–producing IMs are more prevalent than Foxp3+ Tregs in the lung. However, we cannot exclude the contribution of Tregs in our model.
Excessive mucin secretion by goblet cells reduces the radius of the airway that inhibits airflow, leading to airway resistance. Global absence of the Sema3E/plexinD1 axis induces mucus overproduction, and treatment with recombinant Sema3E reduces mucus hypersecretion (17). Moreover, IL-10–producing lung IMs reduced goblet cell mucous production in allergic asthma (46). Our current study showed a higher expression of two major lung secretory mucins proteins Muc5ac and Muc5b, α-SMA, and BALF IL-13 in the Cx3cr1creERT2-Plxnd1 KO mice. IL-13 is a major inducer of goblet cell hyperplasia and mucin production (19). Because the deletion of Plxnd1 from lung IMs negatively regulates their IL-10 production, it is possible that the enhanced mucus gene and α-SMA expression levels in our model are due to the combined effect of downregulation of IL-10 and enhanced IL-13 (19)
In conclusion, we showed that plexinD1 deficiency in lung IMs leads to exacerbation of allergic asthma features, and that reduced IL-10 expression may account for this enhanced allergic asthma features.
Footnotes
This work was supported by Canadian Institute of Health Research Grant PJT 173291 (to A.S.G.). A.A. was supported by the Children Hospital Research Institute of Manitoba (CHRIM) Foundation and a Research Manitoba Master’s studentship. I.O. was supported by a CHRIM postdoctoral fellowship and an American Association of Immunologists international fellowship.
A.S.G. designed and supervised the study, provided scientific insight, and reviewed and edited the manuscript. I.O. performed the animal study, analyzed the data, and revised the manuscript. A.A. performed the experiments, analyzed the data, and drafted and wrote the manuscript. L.K. performed pathological scoring, analyzed the data, and drafted, wrote, and revised the manuscript. L.S. performed the animal study and analyzed the data. J.E.U. provided scientific insight and reviewed and edited the manuscript. S.B. and A.H. performed the measurement of airway hyperresponsiveness and provided insight into the study. M.S.A performed pathological scoring of mucus and collagen staining slides and revised the manuscript.
The online version of this article contains supplemental material.
Abbreviations used in this article:
- AHR
airway hyperresponsiveness
- AM
alveolar macrophage
- ASM
airway smooth muscle cell
- BALF
bronchoalveolar lavage fluid
- BM
bone marrow
- BMDM
bone marrow–derived macrophage
- DC
dendritic cell
- HDM
house dust mite
- IM
interstitial macrophage
- KO
knockout
- mLN
mediastinal lymph node
- qRT-PCR
quantitative real-time PCR
- Sema3E
semaphorin 3E
- α-SMA
α-smooth muscle actin
- Treg
regulatory T cell
- WT
wild-type
References
Disclosures
The authors have no financial conflicts of interest.




